Abstract
The prognosis for patients with pancreatic ductal adenocarcinoma (PDAC) is dismal. Although gemcitabine (GEM) is the standard chemotherapeutic agent for adjuvant therapy of resectable PDAC, recurrent disease is observed in an alarming number of GEM-treated patients. Regardless of the adjuvant therapy, the vast majority of patients treated with chemotherapy after surgical resection show tumor recurrence. A better understanding of the molecular mechanisms that contribute to chemoresistance would aid the development of more effective treatment strategies. GRP78 is an endoplasmic reticulum (ER) chaperone protein that primarily resides in the lumen of the ER and is the master regulator of the unfolded protein response (UPR). Here, we report that expression of GRP78 is significantly higher in GEM-resistant PDAC compared to GEM-sensitive PDAC patient samples. We show that GRP78 induces chemoresistance in PDAC cells. Our results also show that knockdown of GRP78 reduces chemoresistance in PDAC. Finally, we found that IT-139, a ruthenium-based anticancer drug, can overcome GRP78-mediated chemoresistance. In vitro, IT-139 restores sensitivity to cytotoxic drugs in drug-resistant PDAC cells and induces twice as much cell death in combination treatment compared with GEM alone. In vivo, a single weekly IT-139 treatment in combination with GEM caused a 35% increase in median survival and a 25% increase in overall survival compared to GEM alone. Collectively, our data show that GRP78 expression promotes chemoresistance in PDAC and therapeutic strategies, blocking the activity of GRP78 increases the efficacy of currently available therapies. Mol Cancer Ther; 15(5); 1043–52. ©2016 AACR.
Introduction
Pancreatic ductal adenocarcinoma (PDAC) is the fourth leading cause of cancer-related deaths in the United States with a 5-year survival rate of only 6% (1, 2). Poor response to available therapies is a major factor contributing to this dismal prognosis. Currently, gemcitabine (GEM), a nucleoside analog, is the standard of care adjuvant therapy in patients eligible for pancreatic resection (3). Unfortunately, response to GEM treatment is observed in only 37% of patients (4). These patient survival statistics show that there is still an urgent need for novel therapeutic strategies to improve overall survival of PDAC patients. A better understanding of the molecular mechanisms that contribute to chemoresistance would aid the development of more effective treatment strategies.
Inflammation, a major hallmark of PDAC (4), hypoxia, or nutrient deprivation, can lead to the accumulation of misfolded proteins within a cell. This condition is known as endoplasmic-reticulum (ER) stress. ER chaperone proteins are responsible for the unfolded protein response (UPR) and function to facilitate the folding of proteins into their correct conformation to alleviate ER stress (5).
GRP78, also known as BiP and HSPA5, is an ER chaperone protein that serves as the master regulator of the UPR. GRP78 activates “pro-survival” pathways and is capable of transmitting signals that promote tumor proliferation, anti-apoptosis, survival, and resistance to routinely utilized therapeutic routines (6). Thus, identifying the role of GRP78 in chemoresistant PDAC has significant potential for cancer therapy.
Here, we examined the role of ER stress and GRP78 expression in chemoresistant behavior in PDAC. We tested our hypothesis that GRP78 expression affects chemoresistance in PDAC cells and demonstrated that GEM sensitivity is both a cell intrinsic and acquired property that can be correlated with GRP78 expression. We show that GRP78 expression promotes chemoresistance in PDAC and that therapeutic strategies inhibiting GRP78 activity in vitro and in vivo increase the efficacy of currently available therapies.
Materials and Methods
Tissue microarray samples
Tissue biopsies were obtained from IU Simon Cancer Solid Tissue Bank and IU Department of Pathology. Each participant, in compliance with IUPUI IRB policies, signed an informed consent form. IUPUI IRB is accredited by the Association for the Accreditation of Human Research Protection Programs (AAHRPP). A certified pathologist insured quality and integrity of paraffin embedded or fresh pancreatic tissue samples used for the biopsies. Control samples were obtained from patients with conditions unrelated to pancreatic disease or from an unaffected area of the pancreas from patients with pancreatitis as confirmed via histopathologic analysis.
Isolation and engraftment of primary PDAC
Human PDAC tissue was obtained via a UCLA Institutional Review Board approved protocol, in collaboration with the UCLA Department of Surgery, in accordance with institutional policy and approval. All participants provided informed written consent. Less than 3 hours after each pancreatectomy, cancerous tissue was dissected away from the total resected specimen. PDAC tissue specimens were immediately minced into fragments (1 mm3) in PBS, dipped into a 1:1 mix of Matrigel (Becton Dickinson) and DMEM:F12 (Invitrogen), and surgically implanted into the subcutaneous flanks of recipient NOD:SCID IL2γ knockout (NSG) mice.
Single cell dissociation and xenotransplantation
Engrafted tumors (500 mm3) were harvested, minced, washed with PBS, and enzymatically digested for 2.5 to 3 hours in 1 mg/mL Type IV collagenase (Invitrogen), at 37°C, with constant agitation. Digestion media was supplemented with 3 mmol/L CaCl2, 0.1 mg/mL DNAse I (Roche), Soybean Trypsin Inhibitor (Calbiochem), 2% FBS, and 10 mmol/L HEPES (Invitrogen) in HBSS (Invitrogen). Cell suspensions were washed in DMEM:F12 media with 10% FBS containing DNAse I and Soybean Trypsin Inhibitor, then triturated through consecutive 18-gauge needles, 23-gauge needles, and passed through 40-μm filters. For xenotransplantation, 1 to 5 × 106 single cells were mixed 1:1 into Matrigel/DMEM:F12 and implanted subcutaneously into flanks of NSG.
Drug treatment protocol and measurements
Upon tumor growth of 4 to 5 mm in width, GEM (Eli Lilly) was intraperitoneally injected (twice a week, 100 mg/kg). After 4 weeks, some mice were released from drug and monitored up to 5 weeks. Tumor size was measured twice weekly with calipers (0.52 × length × Width2). All experiments were performed following Institutional Approval for Appropriate Care and use of Laboratory animals by the UCLA Institutional Animal Care and Use Committee (Chancellor's Animal Research Committee).
Cell lines
PANC-1 (ATCC CRL-1469) cell lines were obtained in April 2015 from ATCC. Dr. Timothy Donahue (University of California, Los Angeles) provided L3.6pl cells (7). Authentication was not performed for PANC-1 or L3.6pl cells but cells were passaged in our laboratory for fewer than 6 months after being received. GEM sensitivity or resistance of both cell lines was confirmed as previously described (8). Cells were cultured in Dulbecco's modified Eagle media supplemented with 10% FBS and penicillin, streptomycin, and l-glutamine.
GRP78 siRNA knockdown
PANC-1 cells were plated in complete DMEM media (10% FBS, 1% Pen/Strep). At 60% to 70% confluency, cells were washed with PBS and serum/antibiotic-free DMEM was added to each well. siRNA was incubated with HiPerfect Reagent (Qiagen 301702), according to the packaged protocol, and added to each well at 5 nmol/L siRNA. Negative Control siRNA (Qiagen1022076) and GRP78 (Qiagen SI02780554).
RNA collection and RT-qPCR
RNA from cells was harvested via TRizol, resuspended in RNase-free water, and analyzed for purity by 260/280 absorbance via nanodrop. RT-qPCR was conducted on the Bio-Rad-CFX-Connect cycler using Qiagen OneStep RT-qPCR Kit (Qiagen 210210) and primers: human GAPDH (Qiagen PPH00150F) and human HSPA5 (Qiagen PPH00158E).
In vitro drug treatments
Following treatment, cells were washed with PBS and complete DMEM was added to each well. Cells were then treated with 5 μmol/L GEM (Sun Pharmaceuticals Industries 47335-154-40) for 24 to 72 hours. Cells were trypsinized, stained with Trypan blue (Bio-Rad 145-0013) and counted with an automated cell counter.
Western blot
Cell lysates were lysed in radioimmunoprecipitation (RIPA) buffer supplemented with a protease inhibitor cocktail tablet (Roche 11836153001). Concentration was verified by nanodrop, subjected to gel electrophoresis (Bio-Rad Mini Protean TGX Gel 400091313), and transferred to a membrane. Membranes were blocked in 5% dry milk/TBS-T. Primary antibodies diluted in 1% dry milk and TBS-T used include: BiP (Cell Signaling 3177S), B-actin (Cell Signaling 4970L), p-AKT (Cell Signaling 4060L). Secondary antibodies include: anti-Rabbit (Cell Signaling 7074S). Protein levels were detected by enhanced chemiluminescence (ECL; Thermo Scientific 32106) and quantitated with Image Lab software (Bio-Rad).
Unfolded protein response PCR-Array
RNA harvested from PANC-1 treated with negative control siRNA or siRNA against GRP78 was added to a RT² Profiler PCR Array Human Unfolded Protein Response Plate (Qiagen PAHS-089Z). Supplier protocol was followed using RT2First Strand Kit (Qiagen 330401) and RT2SYBR Green ROX qPCR Mastermix (Qiagen 330520). PCR was performed on an ABI Prism 7700 Sequence Detector (Applied Biosystems). For data analysis, the ΔΔCt method was used; gene fold-changes were calculated as difference in gene expression between WT PANC-1 cells and siGRP78 PANC-1 cells. A positive value indicates gene upregulation and a negative value indicates gene downregulation.
IT139/GEM in vivo survival study
A total of 1 × 106 human pancreatic AsPC-1 cells diluted in 500 μL serum-free RPMI media were intraperitoneally injected into male NOD/SCID/IL2γ null mice via 25-gauge syringe. After 2 weeks, mice were divided into 4 cohorts: (1) PBS control; (2) GEM alone (50 mg/kg in PBS, twice a week); (3) IT-139 alone (30 mg/kg in 0.1M sodium citrate in autoclaved water, pH 3.5); and (4) combination of GEM and IT-139 (dosages as described). Intraperitoneal drug injections were executed via 30-gauge syringe. Mice were monitored daily and sacrificed upon morbidity. Time of death was determined from the day of the first injection.
Results
Increased GRP78 expression is observed in human PDACs via tissue microarray (TMA) staining
We determined the prevalence of GRP78 expression in human PDAC using TMAs. All patients contained well-differentiated, moderately differentiated, or poorly differentiated PDACs. Of cases with verifiable patient information, patient age ranged from 31 to 89 years of age, with 58% of cores being from female patients and 42% from male patients. The 102 cases lacked follow-up data, hence GRP78 expression, as an indicator of time-to-recurrence or disease free survival, was not able to be calculated.
Immunohistochemical (IHC) staining protocols for GRP78 were followed as previously described (9). Samples were scored for no staining, weak staining, or strong staining (representative images, Fig. 1A). 47% of samples showed weak staining and 24% showed strong staining of GRP78 (representative images, Fig. 1). These results show that a subset of patients have tumors exhibiting high expression of GRP78.
GRP78 protein expression in human TMA. A, representative staining of GRP78 in PDAC samples from human TMA. B, GRP78 expression in patient subset populations.
GRP78 protein expression in human TMA. A, representative staining of GRP78 in PDAC samples from human TMA. B, GRP78 expression in patient subset populations.
GRP78 is expressed in chemoresistant patient-derived xenografts
We examined if GRP78 overexpression correlated with chemoresistance in PDAC through establishing a patient-derived orthotopic xenograft (PDX). Relevant patient clinical data on select xenografts and associated pathology can be found in Supplementary Table S1.
To model drug response, seven PDX lines were individually implanted subcutaneously into NSG mice and allowed to grow to 5 mm in diameter. Tumor-bearing NSG mice were randomly separated into two cohorts: (i) control group (PBS treated) and (ii) GEM treatment group (100 mg/kg GEM twice weekly). Cohort 2 was further separated into two subgroups, one with continuous treatment and the other with treatment release after the initial 3- to 4-week treatment course; both subgroups were monitored for up to a month and the slopes of their tumor growth were calculated (Fig. 2A).
GRP78 expression correlates with chemoresistance in patient-derived xenograft (PDX) model. A, tumor growth over time of mice implanted subcutaneously with PDX samples that were sensitive to GEM treatment or relapsable. B, representative H&E images and Ki67 staining of GEM-treated samples compared to PBS-treated controls. C, fold change in GRP78 RNA expression in GEM-sensitive PDX tumors (gray) and GEM relapsable patient tumors (black). D, representative images of immunohistochemistry for GRP78 in PDX tumors.
GRP78 expression correlates with chemoresistance in patient-derived xenograft (PDX) model. A, tumor growth over time of mice implanted subcutaneously with PDX samples that were sensitive to GEM treatment or relapsable. B, representative H&E images and Ki67 staining of GEM-treated samples compared to PBS-treated controls. C, fold change in GRP78 RNA expression in GEM-sensitive PDX tumors (gray) and GEM relapsable patient tumors (black). D, representative images of immunohistochemistry for GRP78 in PDX tumors.
Two unique response groups developed. The first group includes two PDX lines that were sensitive to GEM treatment, hereafter termed as “Sensitive” (PDX-S1 and PDX-S2). These tumors shrank throughout the treatment course, as observed by the negative growth slope and, after withdrawal of GEM, these tumors did not grow back after a month of drug release (Fig. 2A, top). Histologically, although placebo-treated tumors were highly proliferative, sensitive tumor epithelia seemed to almost completely stop cycling after 3 weeks of GEM treatment, as seen by Ki67 staining (Fig. 2B, top). The second group includes five PDX lines, hereafter termed “Relapsable” (PDX-R1-5). The PDX-R tumors grew slowly throughout treatment, as measured by the positive growth slope, albeit at a much slower pace than placebo-treated controls (Fig. 2A, bottom). Tumors relapsed immediately upon treatment release and grew at a pace similar to control groups (Fig. 2A, bottom). In a sharp contrast to PDX-S tumors, although there was a significant growth difference between placebo and GEM treated tumors, a large percentage of PDX-R tumor cells remained highly proliferative after 3 weeks of treatment, as shown by Ki67 staining (Fig. 2B, bottom). Taken together, the responses of our PDX models suggest two different treatment phenotypes with different sensitivities to GEM in vivo.
We examined the expression level of GRP78 mRNA in PDX-S8, a complete responder to GEM and PDX-R6, a nonresponder to GEM. Our data show a marked 2.9-fold increase in GRP78 RNA expression in GEM-Relapsable tumors compared to GEM-Sensitive (Fig. 2C, as determined as the Log2 ratio of the GRP78 expression of PDX-R6 compared to PDX-S8). Immunohistochemistry staining revealed that GRP78 was located in the cytoplasm of cells in both the PDX-S and PDX-R samples. Although weak staining of GRP78 was found in the ductal cells of PDX-S tumors, intense staining of GRP78 was observed in the ductal cells of PDX-R tumors (representative images, Fig. 2D). Taken together, these results suggest that elevated GRP78 is correlated with chemoresistance in PDAC.
GRP78 expression correlates with chemoresistance in PDAC in vitro
After determining that GRP78 expression is prevalent in PDAC in vivo, we sought to characterize the expression of GRP78 in PDAC cell lines, as it relates to chemoresistance, in vitro. RNA was harvested from cultured GEM-resistant PANC-1 and GEM-sensitive L3.6 cells (8). Analysis revealed PANC-1 cells had almost fourfold increase in GRP78 expression as compared to L3.6 cells (Fig. 3A). The observation that GEM-sensitive cells exhibit markedly lower levels of GRP78 expression suggests that there may be a correlation between GEM resistance and the induction of GRP78 in cell lines. We hypothesized that induction of GRP78 in a chemosensitive cell line would result in the acquisition of a chemoresistant phenotype. To induce GRP78 expression, cultured L3.6 cells were treated with Thapsigargin (TG), a known ER stress inducer (10). L3.6 cells treated with TG showed increased RNA (Fig. 3A) and protein expression (Fig. 3B) of GRP78 compared to untreated L3.6 cells. Because PANC-1 cells and TG-treated L3.6 cells have a similar level of GRP78 expression, we next investigated if TG-treated L3.6 cells would respond like PANC-1 cells when exposed to GEM for 24 hours. The total number of surviving cells was then counted and compared to DMSO control treated L3.6 cells. When treated with TG alone, 75% of L3.6 cells survive. Some TG-mediated cell death was expected, as exposure to TG induces a severe state of ER stress that can easily lead to cell death. As expected, based on their GEM sensitive status, only 5% of L3.6 cells survived GEM treatment. However, when TG-treated L3.6 cells were dosed with GEM, 55% of cells survived (Fig. 3C). This suggests that the induction of ER stress and GRP78 expression leads to an increase in chemoresistant behavior in these cells.
Elevated GRP78 expression results in GEM resistance in vitro. A, RT-qPCR: known GEM-resistant cell line PANC-1 exhibits higher GRP78 expression compared to GEM-sensitive cell line L3.6. L3.6 cells treated with Thapsigargin (Tg) exhibit increased GRP78 expression. B, Western Blot: Tg treatment results in increased GRP78 expression in L3.6 cells. C, L3.6 cells with elevated GRP78 expression, because of Tg treatment, resist further treatment with GEM. Data are n = 3. *, P < 0.05; **, P < 0.01.
Elevated GRP78 expression results in GEM resistance in vitro. A, RT-qPCR: known GEM-resistant cell line PANC-1 exhibits higher GRP78 expression compared to GEM-sensitive cell line L3.6. L3.6 cells treated with Thapsigargin (Tg) exhibit increased GRP78 expression. B, Western Blot: Tg treatment results in increased GRP78 expression in L3.6 cells. C, L3.6 cells with elevated GRP78 expression, because of Tg treatment, resist further treatment with GEM. Data are n = 3. *, P < 0.05; **, P < 0.01.
GEM treatment induces GRP78 expression
As shown in Fig. 3A, PANC-1 cells demonstrate markedly higher expression of GRP78 as compared to L3.6 cells, suggesting that innate differences in GRP78 may be responsible for chemoresistance in these cell lines. Furthermore, ER stress-mediated increase in GRP78 show that acquired GRP78 expression can also induce chemoresistance. These data led us to investigate if GRP78 could be induced through other mechanisms. Recent studies show that current standard of care agents used in many cancer treatments may increase GRP78 expression (11, 12). L3.6 cells were treated with a sublethal dose of GEM, an event that would mimic poor drug delivery in vivo. GEM-treated cells exhibited an almost 2.5-fold increase in GRP78 expression compared to untreated cells (Supplementary Fig. S1A). This increase in GRP78 expression is comparable to the difference seen between PANC-1 cells and L3.6 cells (Fig. 3A) and was also demonstrated in vivo when we examined GRP78 expression in our GEM sensitive PDXs samples before and after GEM treatment. Following treatment, residual tumor samples found in these PDXs exhibited more pronounced GRP78 staining than they did before they were treated (Supplementary Fig. S1B). Taken together, these data show that GEM treatment can induce GRP78 expression that could lead to chemoresistance.
GRP78 knockdown decreases chemoresistance
Induced GRP78 expression led to increased chemoresistance in a chemosensitive cell line. Therefore, we hypothesized that knockdown of GRP78 would impart chemosensitivity in a known chemoresistant cell line. GEM-resistant PANC-1 cells were treated with 5 nmol/L siRNA against GRP78 (siGRP78) for 24 hours. Knockdown of GRP78 was verified via RT-qPCR and Western blot (Fig. 4A). We were able to consistently achieve 50% knockdown of GRP78 expression using siGRP78 compared to negative control siRNA. Following siRNA treatment, siGRP78 PANC-1 cells were treated with GEM for 48 hours. As expected, limited cell death, when treated with either GEM or siGRP78 alone, was observed. The amount of cell death exhibited by GEM-treated PANC-1 cells and siGRP78 PANC-1 cells was 5% and 7%, respectively; this was insignificant. However, when siRNA was used to knockdown GRP78, subsequent treatment with GEM significantly yielded 10 times more cell death compared to GEM-alone-treated cells (Fig. 4B). This data show that GRP78 knockdown sensitizes resistant PDAC cell lines to GEM treatment.
GRP78 knockdown increased GEM sensitivity and induced CHOP and cell death. A, RT-qPCR and Western blot: PANC-1 cells treated with siGRP78 exhibited reduced expression of GRP78. B, siGRP78 PANC-1 cells treated with GEM exhibited increased drug sensitivity. Data are n = 3. ***, P < 0.001. C, RT-qPCR array on PANC-1 cells. Columns represent percent differences of individual gene expression between WT PANC-1 cells and siGRP78 PANC-1. One representative experiment is shown.
GRP78 knockdown increased GEM sensitivity and induced CHOP and cell death. A, RT-qPCR and Western blot: PANC-1 cells treated with siGRP78 exhibited reduced expression of GRP78. B, siGRP78 PANC-1 cells treated with GEM exhibited increased drug sensitivity. Data are n = 3. ***, P < 0.001. C, RT-qPCR array on PANC-1 cells. Columns represent percent differences of individual gene expression between WT PANC-1 cells and siGRP78 PANC-1. One representative experiment is shown.
PDAC cells with knockdown of GRP78 display upregulated expression of “proapoptotic” ER stress genes
Having established that GRP78 knockdown sensitizes chemoresistant cells to GEM, we next investigated the mechanism of this effect. The UPR gene profile of PANC-1 cells and siGRP78-treated PANC-1 cells was investigated by using a PCR Array Kit. A representative experiment, shown in Fig. 4C, confirms that the expression of GRP78 (HSPA5) was downregulated 35% following siGRP78 treatment compared to controls (Fig. 4C). Furthermore, in siGRP78-treated PANC-1 cells, the expression of genes linked to “proapoptotic” ER stress, CHOP (DDIT3), and IRE1 (ERN1), was increased 53% and 64%, respectively. This data show that GRP78 knockdown induces the expression of the UPR genes linked to apoptosis (5) and consequently supports the hypothesis that increased GRP78 expression in chemoresistant tumors directly inhibits the activation of UPR signaling pathways that would help to eradicate tumor cells.
IT-139 treatment sensitizes drug-resistant PDAC cells to GEM
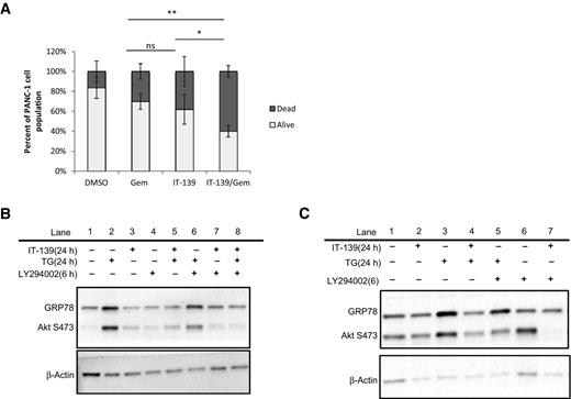
Our data show that siRNA-mediated GRP78 knockdown sensitizes drug-resistant cells to chemotherapy. Therefore, we investigated whether a small molecule compound capable of inhibiting GRP78 could replicate this effect. IT-139 is a first-in-class ruthenium-based anticancer drug that downregulates GRP78 levels in tumor cells (13). GEM-resistant PANC-1 cells were treated with GEM (5 μmol/L) alone, IT-139 (150 μmol/L) alone, or combination treatment thereof for 72 hours. The number of live cells were counted and compared to the DMSO control. As expected, PANC-1 cells showed resistance to GEM treatment, exhibiting only 25% cell death (Fig. 5A). IT-139-treated PANC-1 cells had no significant difference in the percentage of cells alive, as compared to GEM alone. This also was not surprising considering our data show that GRP78 knockdown alone did not induce significant cell death (Fig. 4B). However, PANC-1 cells exposed to combination IT-139 and GEM treatment exhibited significant, 60% cell death, as compared to the untreated, GEM, and IT-139 controls (Fig. 5A). This over two-fold significant increase in cell death suggests that small molecule inhibition of GRP78, in combination with GEM treatment, may be a therapeutically efficacious strategy.
IT-139 treatment sensitizes PANC-1 cells to GEM. A, combination treatment with IT-139 and GEM demonstrated increased drug sensitivity and cell death. Data are n = 3. *, P < 0.05; **, P < 0.01. ns, not significant. B, Western blot of L3.6 cells treated as indicated. C, Western blot of Panc-1 cells treated as indicated. TG, Thapsigargin.
IT-139 treatment sensitizes PANC-1 cells to GEM. A, combination treatment with IT-139 and GEM demonstrated increased drug sensitivity and cell death. Data are n = 3. *, P < 0.05; **, P < 0.01. ns, not significant. B, Western blot of L3.6 cells treated as indicated. C, Western blot of Panc-1 cells treated as indicated. TG, Thapsigargin.
IT-139 blocks ER stress induced increases in GRP78 and P-AKT expression
We next investigated the mechanism of action of IT-139 treatment in sensitizing drug-resistant PDAC cells to currently available chemotherapy. Phosphorylated AKT (P-AKT, AKT S473) activation promotes cell survival (6). Moreover, GRP78 induction is linked with P-AKT activation (14). We hypothesize that GRP78-mediated P-AKT activation contributes to chemoresistance in PDAC. IHC staining of sections from PDX samples showed that more intense staining for P-AKT was observed in GEM-relapsable tumors compared to GEM-sensitive tumors (Supplementary Fig. S2). This staining pattern matched that of GRP78 in these samples (Fig. 2D). This correlation suggests that GRP78-mediated activation of P-AKT may be important to chemoresistance in PDAC.
This led us to determine whether P-AKT activation is critical for ER stress-induced chemoresistance in PDAC cells. GEM-sensitive L3.6 cells show a low level of GRP78 expression, whereas TG-treated L3.6 cells show increased expression of GRP78 and P-AKT (Fig. 5B, lane 1 compared to lane 2). We next investigated if this same result could be observed in GEM-resistant PANC-1 cells. Untreated PANC-1 cells already have moderate expression of GRP78 and P-AKT (Fig. 5C, lane 1). However, both GRP78 and P-AKT expression increase following TG treatment (Fig. 5C, lane 1 compared to lane 3). These data suggest that intrinsic or ER stress-induced P-AKT expression is important for chemoresistance in PDAC cells.
We next determined if the mechanism of action of IT-139 was through blocking the ability of GRP78 to activate P-AKT. TG mediated increases in GRP78 and P-AKT in L3.6 cells was blocked by treatment with IT-139 (Fig. 5B, lane 2 compared to lane 5). Moreover, IT-139 treatment also blocked this TG-induced increase in GRP78 and P-AKT in PANC-1 cells (Fig. 5C, lane 3 compared to lane 4). However, some P-AKT expression remained following IT-139 treatment. It was thought that this could be eliminated with the addition of PI3K/AKT inhibitor, LY29004, to TG and IT-139-treated L3.6 cells (Fig. 5B, lane 5 compared to lane 8) and PANC-1 cells (Fig. 5C, lane 2 compared to lane 6 and lane 7); however, P-AKT inhibitor treatment alone did not prevent TG mediated increases in GRP78, nor did it completely abolish P-AKT signaling in L3.6 cells (Fig. 5B, lane 2 compared to lane 6) or PANC-1 cells (Fig. 5C, lane 3 compared to lane 5). Taken together, these data suggest that P-AKT induction linked to GRP78 expression is critical for chemoresistance in PDAC cells and that IT-139-treated cells are not able to sufficiently induce GRP78 and P-AKT, which could be a critical mechanism for their increased susceptibility to GEM.
Combination IT-139 and GEM treatment in vivo increases survival
Our data show that IT-139 treatment in vitro sensitized drug-resistant cells to currently available chemotherapy. Therefore, we tested whether this combination treatment would perform similarly in vivo. AsPC-1 PDAC cells (containing K-Ras, p53, and p16 mutations) are both metastatic and GEM resistant. The AsPC-1 intraperitoneal injection xenograft model is well characterized, highly reproducible, and closely resembles the metastatic progression pattern of the clinical disease (15–21). AsPC-1 cells were injected intraperitoneally into NOD/SCID/IL2γ null recipient mice. Two weeks later, tumor-bearing mice were treated with PBS (control), GEM (50 mg/kg, twice weekly), IT-139 (30 mg/kg, once weekly), or combinations thereof. Survival of the mice was analyzed by Kaplan–Meier survival plot (Fig. 6A). Compared to untreated controls, IT-139 (IT), GEM, and IT-139/GEM combination treatment showed an 8%, 17%, and 46% increase in median survival, respectively (Fig. 6B). The increase in overall survival compared to untreated controls was 23%, 54%, and 92%, respectively (Fig. 6B). Taken together, these results strongly support our hypothesis that inhibition of the prosurvival ER stress response can be utilized for overcoming chemoresistance in PDAC.
Combination IT-139 and GEM treatment significantly extends both median and overall survival. A, IT-139/GEM combination treatment increased percent survival in mice n = 16. B, IT-139/GEM combination treatment increased median and overall survival in mice.
Combination IT-139 and GEM treatment significantly extends both median and overall survival. A, IT-139/GEM combination treatment increased percent survival in mice n = 16. B, IT-139/GEM combination treatment increased median and overall survival in mice.
HSP70 increase following GRP78 knockdown
Our results show that although GRP78 is robustly expressed in GEM-relapsable tumors, some cells survived combination treatment with GRP78 knockdown or IT-139 treatment (Fig. 4B and Fig. 5A). As a result, we sought to find if a compensatory mechanism for ER stress-mediated chemoresistance exists in PDAC. In our functional studies, we determined the UPR gene profile of drug-resistant cells treated with siRNA against GRP78 using a PCR Array Kit. Our data show that HSPA1 expression increases in cells following GRP78 knockdown (Supplementary Fig. S3A). Thus, we compared the efficacy of IT-139 with VER-155008, a novel small molecule inhibitor that targets the ATPase binding domain of the HSP70 family members, including GRP78 and HSPA1 (22).
GEM-resistant PANC-1 cells were treated with GEM (5 μmol/L), IT-139 (150 μmol/L), VER-155008 (40 μmol/L), or combination treatment thereof for 72 hours. The number of live cells were counted and compared to the DMSO control. Interestingly, although PANC-1 cells showed resistance to treatment with GEM alone and IT-139 alone, they were somewhat sensitive to VER-155008 treatment alone. VER-155008-treated PANC-1 cells exhibited 55% cell death after 72 hours (Supplementary Fig. S3B). Furthermore, PANC-1 cells exposed to combination VER-155008 and GEM treatment exhibited the most cell death of any of the treatment combinations. Only 20% of the VER-155008/GEM-treated PANC-1 survived after 72 hours compared to 80% of the GEM-treated alone cells and 50% of the IT-139/GEM-treated cells (Supplementary Fig. S3B). Our findings show that GEM treatment combined with inhibition of the entire HSP70 family led to increased cell death compared to inhibition of GRP78 alone.
Discussion
PDAC is the fourth-leading cause of cancer deaths in the United States and is expected to be the second leading cause of cancer death in the United States by year 2020 (23). Even with aggressive combination treatments, 74% of patients show tumor recurrence (24). Therefore, understanding the mechanisms of PDAC resistance is an area of great importance. Our data show that GRP78 expression is important for regulating GEM resistance in PDAC and that inhibiting GRP78 sensitizes chemoresistant tumors to currently available chemotherapy.
To investigate the molecular events leading to drug resistance in the human disease, we chose to model PDAC utilizing low-passage patient-derived human xenografts grown in NSG mice. Our data show that GRP78 expression is elevated in GEM-relapsable patient-derived tumors compared to GEM-sensitive patient-derived tumors (Fig. 2). GRP78 expression has been linked to drug resistance and malignancy in brain (25, 26), liver (27, 28), lung (29), and breast cancers (30, 31). Our studies extend these findings by showing the prevalence and clinical significance of GRP78 expression in PDAC. We show that while tumors that were initially sensitive to GEM showed no expression of GRP78, these tumors later developed resistance to the drug and demonstrated robust expression of GRP78 (Fig. 2D). Furthermore, our in vitro analysis shows that ER stress–mediated induction of GRP78 leads to increased chemoresistance. Taken together, these results indicate that GRP78 plays a significant role in both intrinsic chemoresistance and acquired chemoresistance in PDAC.
Accumulating evidence suggests that GRP78 expression may be a common link between many clinical trials that have failed to successfully extended overall patient survival. Recent studies show that treatments utilizing proteasome and kinase inhibitors, taxanes, anthracyclines, and anti-metabolites all increase GRP78 expression (11, 12). GRP78 overexpression in tumor cells appears necessary to survive oncogenic stress and has been shown to provide resistance to chemotherapeutic agents in multiple tumor cell lines (32). Our in vitro and in vivo data show that inhibiting GRP78 sensitizes PDAC cells to GEM. Future in vivo studies are necessary to determine if GRP78 inhibition sensitizes PDAC to a wider range of currently available therapeutic regimens.
Our in vitro and in vivo data show that GEM treatment is also capable of inducing GRP78 expression (Supplementary Fig. S1). This is of great concern since GEM treatment alone does not induce a significant amount of apoptosis in PDAC cells. Suboptimal dosing of GEM because of many factors, including limited drug penetration (33), is a concern in PDAC treatment. Eradication of cells that should be sensitive to GEM is impaired in tumor regions with poor GEM uptake. Our data show that sub-lethal dosing of GEM induces GRP78 expression. Thus, it is possible that GEM treatment itself is aiding in the selection of more aggressive tumor cells, particularly in tumor regions not experiencing optimal GEM delivery because of poor drug delivery. Our data warrant further studies designed to investigate if GRP78 inhibition increases the efficacy of suboptimal GEM dosing.
We have previously demonstrated that membrane-associated GRP78 expression correlated with P-AKT in our mouse model of PDAC (9). In our in vivo studies, GRP78 expression is correlated with P-AKT in tumors that exhibit either innate or acquired resistance to GEM (Supplementary Fig. S2). However, our data show that complete suppression of P-AKT expression is not required for GRP78 targeted therapy to cause significant cell death in PDAC (Fig. 5). Our data also show that inhibition of P-AKT activation had limited effect on preventing ER induction upregulation of GRP78. This suggests that P-AKT activation is a secondary event during ER stress mediated chemoresistance in PDAC. Our findings are supported by work showing that inhibition of AKT phosphorylation has only a limited impact on cisplatin resistance caused by ER stress tolerance in lung cancer (34). Taken together, these results indicate that although GRP78-mediated P-AKT activation contributes to GEM resistance in PDAC cells, future studies are necessary to shed light on the additional downstream targets of GRP78 that may play a role in ER stress mediated chemoresistance.
HSPA1, a member of the HSP70 family, along with GRP78 (35), interacts with ER stress sensor protein IRE1α, thereby protecting the cells from ER stress–induced apoptosis. HSP70 levels have been shown to be significantly higher in human pancreatic tumors compared with normal tissue from the same patients (36). However, the role of HSPA1 in PDAC chemoresistance has not been elucidated. Our data suggest that HSPA1 is essential in aiding PDAC cells to resist apoptosis in conditions where GRP78 is reduced. Our findings show that VER-155008 is effective at restoring chemosensitivity to GEM-resistant PDAC cells. This evidence also suggests that complete blockade of the entire HSP70 family, and not GRP78 alone, will be necessary to achieve complete tumor elimination in PDAC.
In this study, we show that GRP78 expression is predictive of resistance and relapse of human patient-derived PDAC xenografts, necessary for intrinsic or acquired chemoresistance, capable of inducing P-AKT activation, and exists as part of a greater family of HSPs mediating chemoresistance in PDAC. Further, our data show that IT-139 treatment sensitizes drug-resistant cells to GEM and extends survival in vivo. To our knowledge, these data are the first test of this compound in relation to the chemoresistance of pancreatic cancer. Our findings implicate GRP78 as a possible biomarker for innate or acquired GEM resistance. Future retrospective studies, using time to recurrence, should be designed to ascertain if GRP78 expression might be a predictive factor of a PDAC patient's responsiveness to GEM-based chemotherapy following surgery. We anticipate that such studies would support our hypothesis that screening patients biopsies for GRP78 expression would allow clinicians to identify candidates for novel combination treatment that inhibits ER stress mediated chemoresistance.
Disclosure of Potential Conflicts of Interest
No potential conflicts of interest were disclosed.
Authors' Contributions
Conception and design: T.R. Donahue, R. Hill
Development of methodology: W. Huang, A. Hindoyan
Acquisition of data (provided animals, acquired and managed patients, provided facilities, etc.): J.B. Gifford, W. Huang, A.E. Zeleniak, A. Hindoyan, H. Wu
Analysis and interpretation of data (e.g., statistical analysis, biostatistics, computational analysis): J.B. Gifford, A. Hindoyan, T.R. Donahue, R. Hill
Writing, review, and/or revision of the manuscript: J.B. Gifford, A. Hindoyan, T.R. Donahue, R. Hill
Administrative, technical, or material support (i.e., reporting or organizing data, constructing databases): H. Wu, T.R. Donahue
Study supervision: R. Hill
Acknowledgments
We thank the Notre Dame Animal Core Facility for their technical help, Dr. Niranjan Awasthi for sharing protocols and for helpful discussions, the Walther Cancer Foundation, the Joseph D. Boyle Memorial Fund, and the Notre Dame Men's and Women's Rowing Teams.
Grant Support
R. Hill was awarded financial support from the Walther Cancer Foundation and the Joseph D. Boyle Memorial Fund.
The costs of publication of this article were defrayed in part by the payment of page charges. This article must therefore be hereby marked advertisement in accordance with 18 U.S.C. Section 1734 solely to indicate this fact.





