Abstract
Breast cancer has the second highest death toll in women worldwide, despite significant progress in early diagnosis and treatments. The main cause of death is metastatic disease. Matrix metalloproteinases (MMP) are required for the initial steps of metastasis, and have therefore been considered as ideal pharmacologic targets for antimetastatic therapy. However, clinical trials of MMP inhibitors were unsuccessful. These trials were conducted in patients with advanced disease, beyond the stage when these compounds could have been effective. We hypothesized that early treatment with a selective MMP inhibitor between the time of diagnosis and definitive surgery, the so-called “window-of-opportunity,” can inhibit metastasis and thereby improve survival. To investigate our hypothesis, we used the 4T1 mouse model of aggressive mammary carcinoma. We treated the animals with SD-7300, an oral inhibitor of MMP-2, -9, and -13, starting after the initial detection of the primary tumor. Seven days later, the primary tumors were excised and analyzed for MMP activity, and the SD-7300 treatment was discontinued. After 4 weeks, the animals were sacrificed and their lungs analyzed histologically for number of metastases and metastatic burden (metastases' area/lung section area). SD-7300 treatment inhibited 70% to 80% of tumor-associated MMP activity (P = 0.0003), reduced metastasis number and metastatic burden by 50% to 60% (P = 0.002 and P = 0.0082, respectively), and increased survival (92% vs. 66.7%; P = 0.0409), relative to control vehicle. These results show that treatment of early invasive breast cancer with selective MMP inhibitors can lower the risk of recurrence and increase long-term disease-free survival. Mol Cancer Ther; 15(10); 2370–7. ©2016 AACR.
Introduction
Breast cancer is the second leading cause of cancer death in women in the United States. By far the main cause of death from breast cancer is metastasis, as there exists no curative therapy for metastatic disease (1). Therefore, targeting the mechanisms of tumor cell dissemination could yield great benefits, and is the focus of research for novel pharmacologic treatments.
Tumor metastasis is a complex process that involves a number of tumor and host cell functions. These include the tumor cell's ability to invade into adjacent normal tissue and into the tumor vasculature or surrounding vessels (intravasation), survive in the systemic circulation, and extravasate at distant sites. Primary tumor and metastases are in turn infiltrated by stromal cells, such as immune and endothelial cells of the tumor neovasculature. Intratumoral immune cells have a significant impact on human breast cancer. For example, lymphocytic infiltrates are associated with better survival in early, triple-negative breast cancer (2), whereas the presence of tumor-associated macrophages correlates with increased recurrence due to promotion of tumor cell intravasation in hormone receptor–positive early breast cancer (3). These early events in tumor progression and metastasis involve the breaching of histologic barriers—extracellular matrix (ECM), basement membranes, stroma, and vascular basal laminae—which requires the degradation of their molecular components by enzymes produced by the invasive cells and/or tumor stroma (4, 5).
A large body of experimental and clinical evidence has shown that members of the matrix metalloproteinases (MMP) family of proteinases play a fundamental role in this process. MMPs mediate the ECM degradation required for tumor invasion and angiogenesis, and in later stages other cell functions involved in metastasis, such as tumor cell extravasation, invasion, and angiogenesis (6–8). MMPs also promote initiation and sustained growth of both primary tumor and metastatic foci by activating and/or mobilizing growth factors sequestered in the tumor ECM, and modulate stromal cell functions that support tumor growth. In addition, MMPs control apoptosis by various mechanisms that provide tumor cells with survival signaling (9, 10), and modulate the immune response to the tumor (11, 12).
A number of studies have shown the association of several MMPs with virtually all types of solid tumors (4). High levels of breast cancer–associated MMPs have been correlated with poor overall survival (13–16), and significant associations have been shown between MMP expression and tumor aggressiveness. In human breast cancer, high levels of MMP-1, -7, -9, -11, and -13 in tumor or stromal cells are associated with a high rate of distant metastasis (17). Elevated expression of MMP-1, -9, -12, -14, and -15 mRNA has been correlated with poor overall survival (18).
In light of the ample experimental and clinical evidence for strong associations of various MMPs with tumor progression, in the late 1980s and early 1990s, synthetic MMP inhibitors were developed for the treatment of cancer and other diseases (6). However, in spite of successful preclinical results, these MMP inhibitors were disappointingly ineffective in human studies. Several phase III clinical trials with first-generation, broad-spectrum MMP inhibitors (Marimastat, Batimastat) failed, due to lack of efficacy and severe musculoskeletal side effects (7, 19, 20). Paradoxically, small-cell lung cancer and pancreatic cancer patients treated with a more specific MMP inhibitor, Tanomastat, showed poorer survival than placebo-treated patients (7, 21, 22). Some positive, if modest, effects of Marimastat were reported on subgroups of patients with nonresectable gastric cancer (23), pancreatic carcinoma (24, 25), or glioblastoma multiforme (26). However, clinical trials with broad-spectrum or more selective MMP inhibitors were canceled because of inefficacy and severe side effects.
These trials were done with patients without regard to the stage of their disease. Because MMPs act in the early stages of tumor progression, we hypothesized that treatment with a selective MMP inhibitor initiated as early as possible, immediately after diagnosis of early invasive breast cancer and before definitive surgery, can lower the risk of tumor recurrence. Most breast malignancies are now diagnosed at a stage when the tumor is very small. Following diagnostic biopsy, the tumor is surgically excised, usually within 4 weeks of diagnosis (27). This time provides a “window of opportunity” for the administration of pharmacologic treatments aimed to prevent metastasis, and allows assessment of pharmacodynamics markers (i.e., target inhibition) in the treated tumor. We hypothesized that administration of MMP inhibitors during the “window of opportunity” will prevent, or at least decrease, breast cancer metastasis. To investigate our hypothesis, we used a mouse model of highly metastatic breast cancer that mimics the usual course of diagnosis and surgical treatment in breast cancer patients, including recurrence due to hematogenous spread, primarily to the lungs. We treated the animals with an oral inhibitor of MMP-2, -9, and -13 in the 7 days between the initial detection and subsequent excision of the primary tumor. The results showed that this treatment dramatically reduced both metastatic burden and mortality, indicating presurgical inhibition of MMPs as a pharmacologic approach to block breast cancer progression/recurrence after surgery and increase cure rates.
Materials and Methods
MMP inhibitor
SD-7300 (N-hydroxy-1-(2-methoxyethyl)-4-[4-[4-(trifluoromethoxy)phenoxy]piperidin-1-yl]sulfonylpiperidine-4carboxamide, also known as SC-81490 or PF-02881307 (http://pubchem.ncbi.nlm.nih.gov/compound/9893042) was provided by Pfizer under a Material Transfer Agreement with NYU School of Medicine.
Cells and animal studies
The animal studies were conducted at the Antitumor Assessment Core Facility of Memorial Sloan-Kettering Cancer Center (New York, NY), under an approved Institutional Animal Care and Use Committee (IACUC) protocol. Mouse 4T1-Luc breast cancer cells were provided by this facility, where they have been used previously (28), and were not authenticated by the authors. The cells were injected into the mammary fat pad (1 × 106 cells/50 μL/mouse) of 6-week-old female BALB/C mice (Taconic) on day 0 (Fig. 1). On day 2, the mice were randomized into two groups, and treated with either the indicated doses of SD-7300 or an equivalent volume of control vehicle (0.5% Methylcellulose; 0.1% Tween 80), by gavage twice daily for 7 days. Tumors were measured twice weekly using calipers, and volume was calculated by the formula: length x width2 × 0.52. Body weight was measured at least twice weekly. All mice were imaged weekly by IVIS Spectrum (PerkinElmer) from day 2 to the end of the experiment (day 38), and monitored for signs of distress on a daily basis. Mice deemed to be nearing the end of their life were sacrificed, and tissues collected for subsequent analysis.
Study design. Schematic representation of the experimental protocol for assessing the antimetastatic effect of presurgical MMP inhibition in the window of opportunity. A, characterization of SD-7300 inhibition of the target MMP activity in the primary tumor. Four groups of 3 mice were injected with 4T1-Luc cells. Forty-eight hours later, three groups received the indicated doses of SD-7300, and one group received control vehicle. After 7 days of treatment (day 10), the tumors (100–150 mm3 in size) were excised and assayed for MMP-9 activity as representative of the three target MMPs. B, analysis of the effect of presurgical administration of SD-7300 on lung metastasis. Two groups of 10 mice (experiment 1) or 15 mice (experiment 2) were injected with 4T1-Luc cells. Forty-eight hours later, one group received 30 mg/kg of SD-7300, and one group received control vehicle, BID by gavage. Seven days later (day 10), the treatment was discontinued, the tumors were excised, and their weight was measured. The mice were imaged on the indicated days. On day 38, the mice were sacrificed, the lungs harvested and analyzed for number of metastases and metastatic burden as described in Materials and Methods.
Study design. Schematic representation of the experimental protocol for assessing the antimetastatic effect of presurgical MMP inhibition in the window of opportunity. A, characterization of SD-7300 inhibition of the target MMP activity in the primary tumor. Four groups of 3 mice were injected with 4T1-Luc cells. Forty-eight hours later, three groups received the indicated doses of SD-7300, and one group received control vehicle. After 7 days of treatment (day 10), the tumors (100–150 mm3 in size) were excised and assayed for MMP-9 activity as representative of the three target MMPs. B, analysis of the effect of presurgical administration of SD-7300 on lung metastasis. Two groups of 10 mice (experiment 1) or 15 mice (experiment 2) were injected with 4T1-Luc cells. Forty-eight hours later, one group received 30 mg/kg of SD-7300, and one group received control vehicle, BID by gavage. Seven days later (day 10), the treatment was discontinued, the tumors were excised, and their weight was measured. The mice were imaged on the indicated days. On day 38, the mice were sacrificed, the lungs harvested and analyzed for number of metastases and metastatic burden as described in Materials and Methods.
Processing of primary tumors
On day 10, when the primary tumor masses were between 100 mm3 and 150 mm3 in size, the tumors were resected. Each tumor was weighed and divided into two halves: one was snap frozen in liquid nitrogen and stored at –80°C, and the other fixed in 4% PFA. To prepare protein extracts, the frozen samples were finely minced with sterile scissors and homogenized by sonication in ice-cold lysis buffer [50 mmol/L HEPES, 150 mmol/L NaCl, 1 mmol/L EDTA, pH 7.5, containing 10% glycerol, 1% Triton X-100, 25 mmol/L NaF, and complete protease inhibitor cocktail (Roche)]. The homogenates were centrifuged in a refrigerated Eppendorf centrifuge (14,000 rpm, 20 minutes), and the supernatants were assayed for protein concentration by the bicinchoninic acid (BCA) method (Pierce).
MMP-9 activity assay
Protein extracts of the primary tumors were assayed for MMP-9 activity by the SensoLyte 520 MMP-9 Assay Kit (Anaspec Inc.) following the manufacturer's instructions. Five micrograms/milliliter of tumor lysate protein were used as indicated by our pilot assays.
Processing of lungs and measurement of metastasis
On day 38, all the mice were imaged and sacrificed. The lungs were excised en bloc, immerged in 4% PFA, and coded. The fixed lungs were processed for histologic examination at the Histopathology Core of NYU School of Medicine. Three noncontiguous, coronal sections of the lung lobes, separated by a distance of 150 μm, were cut and stained with hematoxylin and eosin. The microscope slides were scanned with a Leica SCN400 slide scanner, and the captured images analyzed by four blinded observers who independently measured and recorded the number of intraparenchymal metastases in each section. To measure the metastatic burden, each image was analyzed in a blinded manner using Image J software (National Institutes of Health). The area involved by intraparenchymal tumor metastasis in each section was measured, and divided by the total area of the lungs in the same section.
Statistical analysis
MMP activity values were compared by one-way ANOVA; numbers of lung metastases and metastatic burden values by two-tailed Wilcoxon rank sum test, and survival curves by the log rank test, using GraphPad Prism, Version 6.07.
Results
To investigate the effect of presurgical administration of an MMP inhibitor on breast cancer metastasis, we set up a mouse model to mimic the usual course of diagnosis and surgical treatment in breast cancer patients. For this purpose, we used the 4T1 tumor, which shares many characteristics with human breast cancer, and is considered the best available model of breast cancer metastasis via the vascular route. After s.c. inoculation of 4T1 cells into the mammary fat pad, the primary tumor grows as a high-grade breast cancer and sheds spontaneous metastases primarily to the lungs. Surgical removal of the primary tumor once it becomes palpable does not affect the growth of metastases, which are usually the cause of death in the mice (29–31). As an MMP inhibitor, we used SD-7300 (Pfizer), an inhibitor of MMP-2, -9, and -13, which have been associated with human breast carcinomas (17, 32–34). SD-7300 is an R-piperidine sulfone hydroxamate compound that inhibits MMP activity by specifically chelating the zinc ion and blocking the active site. It has high inhibitory potency for human MMP-2, -9, and -13 (Ki = 0.03, 0.01, and 0.03 nmol/L, respectively), with a selectivity of several orders of magnitude versus MMP-1 (106-fold), -3, -7, -8, and -14 (35). SD-7300 is also a dose-dependent and potent inhibitor of angiogenesis in the mouse cornea, and of interleukin-1 (IL-1)-induced bovine cartilage degradation, indicating that it inhibits murine and bovine as well as human MMPs (35).
We first characterized the capacity of SD-7300 to block the activity of the target MMPs in the primary tumor. Preliminary toxicity and pharmacokinetics studies done in humans and rodents by the manufacturer indicated a dose of 30 mg/kg of SD-7300 per os BID as effective and safe in rodents. Therefore, to obtain the strongest possible MMP inhibition, we tested the effect of 30 mg/kg, 60 mg/kg, and 120 mg/kg given orally by gavage BID (Fig. 1A). For this purpose, we injected 4 groups of 3 mice with luciferase-labeled 4T1-Luc cells. Forty-eight hours later, three groups received the different SD-7300 doses, and the fourth group control vehicle alone. After 7 days of treatment (day 10), the tumors (100–150 mm3 in size) were excised and assayed for target MMP activity. Because SD-7300 has similar inhibitory activity on MMP-2, -9, and -13 (Ki = 0.01–0.03 nmol/L), we measured MMP-9 activity as representative of the three target MMPs. The results (Fig. 2) showed that administration of 30 mg/kg of SD-7300 inhibited 70% to 80% of tumor-associated MMP-9 activity (P = 0.0003), whereas the higher doses did not significantly increase this effect. Therefore, we used 30 mg/kg in our subsequent experiments.
Effect of SD-7300 on tumor-associated MMP-9 activity. Mice were treated as described in the legend to Fig. 1A, and MMP-9 activity was measured as described in Materials and Methods. The histograms show MMP-9 activity normalized to μg of tumor lysate protein. Mean ± standard error of triplicate samples are shown. *, P = 0.0003 by one-way ANOVA (each SD-7300 sample vs. control). #, P = 0.1453 by one-way ANOVA (difference between SD-7300 samples).
Effect of SD-7300 on tumor-associated MMP-9 activity. Mice were treated as described in the legend to Fig. 1A, and MMP-9 activity was measured as described in Materials and Methods. The histograms show MMP-9 activity normalized to μg of tumor lysate protein. Mean ± standard error of triplicate samples are shown. *, P = 0.0003 by one-way ANOVA (each SD-7300 sample vs. control). #, P = 0.1453 by one-way ANOVA (difference between SD-7300 samples).
To characterize the effect of SD-7300 on tumor metastasis, we injected 2 groups of 10 mice with 4T1-Luc cells (Fig. 1B). Two days after tumor cell injection (day 2), the treatment group was given SD-7300, whereas the control group received vehicle alone, orally twice daily. On day 10, when the primary tumor masses were 100 to 150 mm3 in size and no metastases were apparent by IVIS imaging (Fig. 3), the treatment was discontinued and the tumors were excised. Before tumor excision (day 9), IVIS imaging showed comparable tumor masses in the two groups (Fig 3). One week later (day 16), 5 of 9 mice in the control group showed large tumor masses at the original site of tumor cell injection. Conversely, mice in the treatment group had much smaller tumors. Three control mice died with respiratory distress before day 28, whereas all SD-7300–treated mice survived to the end of the experiment (day 38). IVIS imaging on day 38 showed that 3 of 5 of the control mice had large tumor masses in the thoracic region, whereas 3 of 10 mice in the treatment group had much smaller lesions (Fig. 3). These results suggested that SD-7300 retarded tumor relapse or regrowth in situ after surgical excision, and reduced the number of lung metastasis.
Effect of presurgical administration of SD-7300 on local recurrence and distant metastasis after surgical excision of the primary tumor. IVIS imaging of mice at the indicated times after injection of luciferase-labeled 4T1 cells. Day 9: primary tumors after 7 days of treatment with SD-7300 or control vehicle. Day 16: local relapse 6 days after surgical excision of the primary tumor. Day 38: local relapse and metastasis 28 days after surgical excision of the primary tumor. One mouse in the vehicle group died within 24 hours after tumor cell injection. The order of the mice in each row within the vehicle or SD-7300 groups is not the same as in the other rows.
Effect of presurgical administration of SD-7300 on local recurrence and distant metastasis after surgical excision of the primary tumor. IVIS imaging of mice at the indicated times after injection of luciferase-labeled 4T1 cells. Day 9: primary tumors after 7 days of treatment with SD-7300 or control vehicle. Day 16: local relapse 6 days after surgical excision of the primary tumor. Day 38: local relapse and metastasis 28 days after surgical excision of the primary tumor. One mouse in the vehicle group died within 24 hours after tumor cell injection. The order of the mice in each row within the vehicle or SD-7300 groups is not the same as in the other rows.
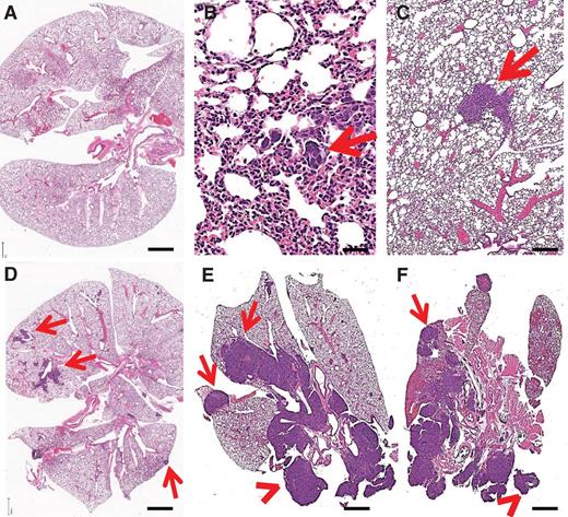
We then measured the number of lung metastases in histologic sections. No size parameters were predetermined for the identification of the metastatic lesions, which varied in size from small microscopic nidi of tumor cells to very large masses detectable at low magnification (Fig. 4). The results (Fig. 5A) showed that the number of metastases in SD-7300–treated mice (mean ± SD: 33.9 ± 34.6) was significantly lower than in control mice (64.0 ± 25.8; P = 0.002). Thus, these results indicated that presurgical treatment with SD-7300 significantly decreased the number of lung metastases by 50% to 60%.
Histologic analysis of lung metastasis. Representative images of hematoxylin and eosin–stained sections of the lungs 28 days after surgical excision of the primary tumor. Similar images could be seen in lung sections from both control and SD-7300–treated mice. The 4T1 tumor metastases can be readily identified by their intense purple staining. A, lungs devoid of metastases. In the other panels, arrows point to metastases of different sizes, from small nidi of tumor cells (B) to larger lesions. In E and F, very large intraparenchymal metastases (arrows) can be seen in addition to extraparenchymal tumor (arrowheads). Size bars, A, D, E, F: 1 mm; B: 400 μm; C: 100 μm.
Histologic analysis of lung metastasis. Representative images of hematoxylin and eosin–stained sections of the lungs 28 days after surgical excision of the primary tumor. Similar images could be seen in lung sections from both control and SD-7300–treated mice. The 4T1 tumor metastases can be readily identified by their intense purple staining. A, lungs devoid of metastases. In the other panels, arrows point to metastases of different sizes, from small nidi of tumor cells (B) to larger lesions. In E and F, very large intraparenchymal metastases (arrows) can be seen in addition to extraparenchymal tumor (arrowheads). Size bars, A, D, E, F: 1 mm; B: 400 μm; C: 100 μm.
Effect of presurgical administration of SD-7300 on number of metastases per lung (A) and metastatic burden (B). The histograms show mean ± SD of 5 control and 10 SD-7300–treated mice (*, P = 0.002; A), and 15 control and 15 SD-7300–treated mice (**, P = 0.0082; B).
Effect of presurgical administration of SD-7300 on number of metastases per lung (A) and metastatic burden (B). The histograms show mean ± SD of 5 control and 10 SD-7300–treated mice (*, P = 0.002; A), and 15 control and 15 SD-7300–treated mice (**, P = 0.0082; B).
To confirm these findings, we repeated the experiment with 2 groups of 15 mice; one group receiving SD-7300 and the other control vehicle. Because of the high variability in the size of the lung metastases (Fig. 4), in order to include metastasis size in the analysis of the antimetastatic effect of SD-7300, we measured the metastatic burden, i.e., the surface of the metastatic lesions normalized to the total surface of the corresponding lung section. The results (Fig. 5B) showed that SD-7300–treated mice had a significantly lower metastatic burden than control mice (m ± SD: 4.3 ± 6.1 vs. 8.8 ± 14.6; P = 0.0082). Consistent with the previous experiment, the metastatic burden varied largely, ranging 0.0% to 50.60% in the control group and 0.0% to 18.52% in the treated mice. The majority of the mice in both groups (9/15, 60%) had a metastasis burden ≤ 2%. Of these, the control mice had a burden of 0.63 ± 0.007 (m ± SD) and the treated mice 0.44 ± 0.007 (P = 0.028). Therefore, SD-7300 significantly reduced the metastasis burden by 50% to 60%, an effect similar to the decrease in metastasis number.
In both experiments, we measured the weight of the primary tumors at the time of resection (day 10). The results (Fig. 6A) showed that the weight of the tumors in the treatment group (m ± SD: 123.1 ± 61.62 mg; n = 25) was approximately 20% smaller but not significantly different than in the control group (154.1 ± 81.63 mg; n = 24; P = 0.1394). Similarly, the number of mice with no lung metastases (Fig. 6B) was approximately 5-fold higher in the treatment group (6/25; 24%) than in the control group (1/20; 5%), but this difference did not reach statistical significance (P = 0.0886). However, survival analysis (Kaplan–Meier curve shown in Fig. 6C) showed a statistically significant decrease in mortality in the treatment group relative to the control group [2/25 (8%) vs. 8/24 (33%); P = 0.0409]. Thus, these results showed that presurgical treatment with SD-7300 decreased lung metastasis and increased survival from 4T1 mammary tumor.
Effect of presurgical SD-7300 treatment on primary tumor size, incidence of lung metastasis, and survival. A, primary tumor weight. Mean ± SD of 24 control and 25 SD-7300–treated mice. P = 0.1394 by two-tailed unpaired t test. B, incidence of lung metastasis. The histogram shows the fraction of mice free of lung metastasis in the control and SD-7300 groups. P = 0.1117 by two-tailed Fisher exact test. C, Kaplan–Meier survival analysis. Mice surviving at the end of the experiment: control, 16/24 (66.7%); SD-7300 treated, 23/25 (92%; P = 0.0409).
Effect of presurgical SD-7300 treatment on primary tumor size, incidence of lung metastasis, and survival. A, primary tumor weight. Mean ± SD of 24 control and 25 SD-7300–treated mice. P = 0.1394 by two-tailed unpaired t test. B, incidence of lung metastasis. The histogram shows the fraction of mice free of lung metastasis in the control and SD-7300 groups. P = 0.1117 by two-tailed Fisher exact test. C, Kaplan–Meier survival analysis. Mice surviving at the end of the experiment: control, 16/24 (66.7%); SD-7300 treated, 23/25 (92%; P = 0.0409).
Discussion
In spite of ample experimental and clinical evidence implicating various MMPs in tumor progression, the synthetic MMP inhibitors developed in the late 1980s and early 1990s were disappointingly ineffective in human studies. Several reasons can explain the failure of these inhibitors in clinical trials (6, 7, 19, 20). These drugs inhibited most, if not all, MMPs. This lack of specificity had two important consequences. It is now known that some MMPs, such as MMP-8 and MMP-12, have a protective effect from cancer (36–38); therefore, their inhibition favors tumor progression. In addition, MMPs mediate the physiologic turnover of the ECM in the whole organism; inhibiting this process produced adverse effects such as fibrosis, musculoskeletal pain and joint inflammation (musculoskeletal syndrome), observed with essentially all the MMP inhibitors tested (21). These effects were reversible, but led to lowered and possibly suboptimal doses in subsequent trials (20, 21). Importantly, in all the clinical trials, patients were recruited without regard to the stage of their disease. Because MMPs act in the early stages of tumor progression, inhibiting their activity at advanced or even terminal stages is expected to be ineffective—an important problem that reflects the inadequacy of current clinical trials for the assessment of antimetastatic therapies (39, 40). Indeed, preclinical testing of these compounds had used models of early-stage cancers, and shown that MMP inhibitors had no effect on regression of large invasive tumors (4, 20, 41–43). It has therefore been proposed that greatest therapeutic benefit should derive from targeting MMPs in the premetastatic setting, where they play a fundamental role in the early steps of the metastatic process (6, 8, 44, 45).
The data we report here show that presurgical administration of SD-7300, a selective inhibitor of MMP-2, -9, and -13, significantly reduces metastasis and mortality in a preclinical model of aggressive breast carcinoma. These findings provide proof of principle for the antimetastatic effect of early treatment with selective MMP inhibitors during the short time preceding the surgical resection of the primary tumor, in the absence of clinical metastasis.
The preclinical model we designed recapitulates the natural history of most breast carcinomas. These tumors are now diagnosed at a stage when they are typically very small, and are surgically excised within a short time, up to 4 weeks in the majority of patients (27). During this time, therapy can be administered in order to assess pharmacodynamic changes within the tumor, and (with longer treatment) prevent relapse and metastasis and increase the chance of long-term disease-free survival. In our model, we started the treatment with SD-7300 2 days after tumor cell injection, when the tumor became palpable, and discontinued the treatment 8 days later, when the relatively small tumor—approximately 150 mm3 in size—was excised, and no metastases were detectable. The delay between tumor cell injection and administration of SD-7300 was designed to prevent potential effects of the MMP inhibitor on the tumor cells' survival after injection into the host. At the time of surgical excision, the size of the primary tumors was comparable by IVIS imaging between the control mice and the mice that received the MMP inhibitor (Fig. 3, day 9). Measurement of the excised tumors' weight showed a nonsignificant, approximately 20% decrease in the treated animals, an effect lower than the highly significant 50% to 60% decrease in the number and size of lung metastases or metastatic burden at the end of the experiment. It is possible that longer treatment with SD-7300 would have resulted in a significant, stronger decrease in the size of the primary tumors. SD-7300 has indeed been shown to delay tumor growth in several murine models of human tumors when administered for up to 5 weeks, alone or in combination with conventional chemotherapy (35). This finding is consistent with a number of previous reports showing an inhibitory effect of proteinase inhibitors on tumor growth, which can be mediated indirectly by inhibition of angiogenesis and/or by a direct effect on tumor cell proliferation (4, 6, 46). SD-7300 dose-dependently inhibits angiogenesis in the mouse cornea (35); therefore, a decrease in angiogenesis in the primary tumor could be a mechanism by which SD-7300 reduced the hematogenous spreading of metastatic cells in our model. SD-7300 might also inhibit angiogenesis in developing metastatic foci, and thus reduce their growth.
IVIS imaging of the mice after surgical resection of the primary tumor indicated that both control and SD-7300–treated animals had local relapse or regrowth of the tumor. However, control mice appeared to have larger tumor masses than treated mice (Fig. 3, day 16). This finding was not analyzed quantitatively, and was not the focus of our study as the mouse does not provide a representative model for human breast cancer excision and local recurrence. However, our observation suggests that presurgical inhibition of MMPs can also prevent or decrease postsurgical relapse/regrowth or local metastasis. This effect is likely to result from SD-7300–induced inhibition of primary tumor cell invasion into the normal surrounding tissue before surgical excision. MMPs are required for the ECM degradation necessary for tumor cell migration across basement membranes and stroma (6–8). MMP inhibition therefore results in reduced local invasion and decreased number of tumor cells potentially remaining in the normal tissue after excision of the primary tumor.
Other nonmutually exclusive mechanisms can mediate the effect of MMP inhibition on tumor metastasis. In addition to local invasion and intravasation, MMPs are important mediators of tumor cell extravasation (47). MMP inhibitors can therefore block the tumor cell's capacity to egress from the systemic circulation and invade into distant tissues to form metastases. Thus, several well-documented mechanisms can contribute to the antimetastatic effect of early administration of MMP inhibitors.
Although the analysis of these mechanisms warrants further investigation, our results advocate the use of MMP inhibitors for the presurgical treatment of operable tumors in phase II clinical trials designed to study primary and secondary metastasis prevention (39, 40). A number of selective MMP inhibitors have been developed for the treatment of malignant and nonmalignant conditions (19, 20). These include synthetic inhibitors with high specificity for select MMPs, or neutralizing monoclonal antibodies such as DX-2400, which targets MT1-MMP (MMP-14), and GS-5745, which inhibits MMP-9 (48, 49). SD-7300 has high inhibitory potency for MMP-2, -9, and -13 (Ki = 0.03, 0.01, and 0.03 nmol/L, respectively), with a selectivity of several orders of magnitude versus MMP-1 (106-fold), -3, -7, -8, and -14. High selectivity confers a dual advantage upon synthetic MMP inhibitors. Specifically targeting tumor-promoting MMPs spares MMPs that potentially mediate protection from cancer; in addition, selectivity versus MMP-1 (and MMP-14) can potentially prevent the development of the musculoskeletal syndrome, the major adverse effect of the early MMP inhibitors (21). Therefore, selectivity is an important requisite of the new-generation MMP inhibitors that can avoid the serious limitations of the first-generation, broad-spectrum inhibitors.
Ideally, the choice of MMP inhibitor(s) for presurgical treatment should be based on the analysis of the MMPs expressed by the individual patient's tumor. Microarray analysis of MMP gene expression, including microfluidic analysis of single cells from diagnostic biopsies, can allow the development of a personalized approach to presurgical antimetastatic therapy with specific MMP inhibitors. The efficacy of inhibition of the target MMP(s) can be assessed in the treated tumor postsurgically by various assays for specific MMP activities. In addition, combinations of multiple MMP inhibitors could be used. It is possible that more specific inhibitors than the one we used, or combinations of several targeted inhibitors, will show higher efficacy in reducing metastasis than we found with SD-7300. New-generation MMP inhibitors also appear to have reduced side effects relative to the first-generation, broad-spectrum inhibitors (20). Moreover, administration of MMP inhibitors for a short time in the “window of opportunity” can circumvent the problem of toxicity of these reagents, which occurs for treatments longer than 3 to 4 weeks (50). Of note, treatments in the “window of opportunity” can afford the assessment of invaluable biomarkers for pharmacodynamics, as target inhibition can be studied in paired biopsies, and the results can guide dosing for continued use in the “adjuvant” setting.
Targeting the mechanisms by which breast cancer metastasizes can yield revolutionary approaches. Prevention of metastasis by means of a targeted, easy to administer, and relatively nontoxic therapy, such as with MMP inhibitors, has the potential to substantially increase cure rates for breast cancer. Importantly, this approach could be extended to other types of operable cancers, including colon and prostatic carcinomas, for which the availability of preoperative biopsies can direct the use of personalized anti-MMP therapies.
Disclosure of Potential Conflicts of Interest
No potential conflicts of interest were disclosed.
Authors' Contributions
Conception and design: M. Janosky, S. Adams, P. Mignatti
Development of methodology: A. Winer, B. Harrison, P. Mignatti
Acquisition of data (provided animals, acquired and managed patients, provided facilities, etc.): A. Winer, M. Janosky, B. Harrison, D. Moussai, P. Siyah, J. Zeng, P. Mignatti
Analysis and interpretation of data (e.g., statistical analysis, biostatistics, computational analysis): A. Winer, B. Harrison, J. Zhong, D. Moussai, N. Schatz-Siemers, S. Adams, P. Mignatti
Writing, review, and/or revision of the manuscript: A. Winer, M. Janosky, B. Harrison, N. Schatz-Siemers, S. Adams, P. Mignatti
Administrative, technical, or material support (i.e., reporting or organizing data, constructing databases): A. Winer, D. Moussai, P. Mignatti
Study supervision: S. Adams, P. Mignatti
Acknowledgments
We thank Dr. Austin L. Bailey (Pfizer) for information on SD-7300, the Histopathology Core and the Biostatistics Consulting Center, Division of Biostatistics, Department of Population Health of NYU School of Medicine, and the Antitumor Assessment Core Facility of Memorial Sloan-Kettering Cancer Center (New York, NY).
Grant Support
This work was supported by NIH grants R01 CA136715 and 3R01CA136715-05S1 to P. Mignatti, and in part by NYU CTSA grant UL1 TR000038 from the National Center for Advancing Translational Sciences, NIH.
The costs of publication of this article were defrayed in part by the payment of page charges. This article must therefore be hereby marked advertisement in accordance with 18 U.S.C. Section 1734 solely to indicate this fact.





