Abstract
Glioma-initiating cells (GIC), which are characterized by their self-renewal capacity and tumorigenicity, were recently identified as a highly tumorigenic subpopulation of glioblastoma multiforme and are considered responsible for glioblastoma recurrence and chemo/radiation resistance. Previously, it was revealed that Wnt signaling activation is critical to the self-renewal of GICs. However, the molecular mechanism underlying the high expression of β-catenin, the key transcription factor of the Wnt signaling pathway, remains elusive. In this investigation, it was determined that aurora kinase A (AURKA) regulates the self-renewal and tumorigenicity of GICs by stabilizing β-catenin. In GICs, AURKA directly interacts with AXIN and disrupts the AXIN/GSK3β/β-catenin destruction complex and stabilizes β-catenin, thereby activating Wnt signaling to promote self-renewal. Stable knockdown of AURKA destabilizes β-catenin by increasing phosphorylated β-catenin bound to AXIN and suppresses Wnt signaling, which inhibits the ability of GICs to self-renew. This effect is rescued by expression of an AURKA kinase dead mutant, D274A, which lacks the ability to phosphorylate GSK3β, indicating that stabilization of β-catenin by AURKA in GICs is independent from phosphorylation of GSK3β. Functional experiments confirm that inhibition of AUKRA in GICs could suppress their “stemness,” self-renewal ability, and tumorigenicity both in vitro and in vivo, and these effects could be rescued by stabilized β-catenin mutant. These findings indicate that AURKA competes away the binding of AXIN from β-catenin, induces β-catenin stabilization, and activates Wnt signaling in GICs.
Implications: AURKA kinase inhibition could effectively attenuate Wnt signaling, thereby inhibiting the self-renewal and tumorigenicity of GICs, and may be a novel target for glioblastoma treatment strategies. Mol Cancer Res; 11(9); 1101–11. ©2013 AACR.
This article is featured in Highlights of This Issue, p. 965
Introduction
Glioblastoma is the most common malignancy in the human central nervous system (1). Despite the emergence of radical treatment strategies, the prognosis of this malignancy remains dismal (1). The progression and recurrence of glioblastoma are associated with a subset of tumor cells called glioma-initiating cells (GICs) that have an extensive capacity for self-renewal (2, 3). These cells have been shown to influence not only glioblastoma initiation but also recurrence and chemo/radiation resistance (4, 5). Given the central role of GICs in glioblastoma tumorigenicity, understanding the molecular and biologic characteristics of GIC is required for targeting GIC as a novel glioblastoma treatment target (6).
Located on chromosome 20q13, AURKA is frequently amplified and overexpressed in human malignancies, including gastric cancer, breast cancer, and glioblastoma (7–9). AURKA overexpression leads to centrosome amplification, cytokinesis inhibition, and aneuploidy (10, 11). AURKA overrides the mitotic assembly checkpoint and induces chemoresistance (12). AURKA also contributes to chemoresistance in breast and esophageal cancers (13, 14). Recent studies have focused on the relationship between AURKA and cancer stem cells, showing that AURKA is essential for colorectal cancer stem cell tumorigenicity and chemoresistance, and that AURKA deprivation leads to the arrest of ovarian cancer stem cells through the inhibition of the NF-kB pathway (15, 16). However, the role and mechanism of AURKA in the self-renewal of GICs has not been reported.
The Wnt/β-catenin pathway critically regulates the self-renewal and differentiation of neural stem/progenitor cells (17, 18). Normally, adenomatous polyposis coli (APC) protein builds a complex with glycogen synthase kinase 3-β and controls the total levels of β-catenin. In colon cancer, APC deficiency or mutations in β-catenin that prevent its degradation can lead to excessive stem cell renewal and proliferation, predisposing the cells to the formation of tumors. Overexpression and persistent β-catenin activation have also been implicated in glioblastoma (19). Unlike colon cancer, Wnt signal activation in GICs may not be due to the APC gene or stabilizing mutations in β-catenin (20). In our recent studies, we found that the oncogenic transcription factor FoxM1 activates Wnt signaling by binding β-catenin and mediating β-catenin nuclear localization (21). However, FoxM1 does not affect the total β-catenin level. Although aberrant β-catenin expression is frequently observed in glioblastoma, the molecular mechanism of β-catenin accumulation in GICs remains elusive. In this study, we observed the role of AURKA in GIC's self-renewal and tumorigenicity and explored the potential molecular mechanism of AURKA in Wnt signaling activation.
Materials and Methods
Cell lines and reagents
Human embryonic kidney 293T cells and SW1783 glioma cells were obtained from the American Type Culture Collection (ATCC). The cells were cultured in Dulbecco's modified Eagle medium (DMEM) supplemented with 10% FBS, sodium pyruvate, nonessential amino acids, l-glutamine, and a vitamin solution (Invitrogen).
Primary cultured glioblastoma cells
The GIC cell lines were established by isolating neurosphere-forming cells from surgical specimens of human glioblastoma using a previously described method (22). These GIC cell lines were cultured as neurospheres in DMEM/F12 medium containing B27 supplement (Invitrogen), basic fibroblast growth factor (bFGF) and EGF (20 ng/mL each). Prior patient consent and approval from the Institutional Research Ethics Committee were obtained to use these clinical materials for research purposes. The clinical protocols were approved by the Ethics Committee of Sun Yat-sen University (Guangdong, PR China), and informed consent was obtained from all subjects.
Reagents
Lipofectamine was purchased from Invitrogen. Antibodies against AURKA (#4718), β-catenin (#9562 and #2677), phospho-β-catenin (#2009), GSK3β (#9832), phospho-GSK3β (#9331), Tju-1 (#5568), Nestin (#4760), GFAP (#3670), Sox-2 (#4900), Musashi (#2154), AXIN2 (#2151), and LEF-1 (#2230) were from Cell Signaling Technology; antibody against CD133 was from Millipore (MAB4310); and the antibody against actin was from Sigma. The short hairpin RNA (shRNA) sequences targeting AURKA were as follows: sh-AA-1: 5′ AUG CCC UGU CUU ACU GUC A 3′ and sh-AA-2: 5′ AUU CUU CCC AGC GCG UUC C 3′. The shControl sequences targeting 5′ GCTTTCATCTTCCGTACGA 3′ were from Invitrogen. The fluorescent secondary antibodies Alexa Fluor 488 and Alexa Fluor 596 were from Invitrogen. The β-catenin S33Y, AXIN expression plasmids, and Topflash/Fopflash reporter have been described previously (21).
Cell transfection and virus infection
All of the siRNAs were transfected into glioma cells using Lipofectamine 2000 according to the manufacturer's instructions. To introduce shRNAs into the glioma cells, we used the PRNATU6.2 lentivector to generate lentiviruses. Viral infections were serially conducted for 3 days, and stable cell lines expressing AURKA shRNA were selected using 0.5 μg/mL puromycin for 7 days.
Flow cytometry
Cells were harvested and then fixed in ice cold 75% ethanol before staining with propidium iodide (Sigma, 0.45 mg/mL), RNase (Sigma, 0.45 mg/mL), and 0.045% Tween-20 (Sigma). Resuspended cells were analyzed for DNA content using a fluorescence-activated cell sorter (FACS) Vantage, and the data were processed using the FACS Cell Quest software (Becton Dickinson).
Liquid chromatography/tandem mass spectrometry (LC/LC MS) assay
AXIN was identified in the Flag–AURKA protein complex, which was purified from extracts of 293T cells expressing Flag-AURKA using an anti-AURKA antibody. Immunoprecipitates were separated on SDS-PAGE, and various protein bands were collected, tryptically digested, and subjected to liquid chromatography/tandem mass spectrometry (LC/MS-MS) analysis.
Neurosphere formation assays
The primary sphere formation assay was conducted by plating dissociated single cells at a density of 1 cell/μL and counting the number of spheres that formed after 14 days. For the secondary sphere formation assay, the established tumorspheres were dissociated into single cells and plated at a density of 1 cell/μL, and the number of secondary spheres that formed after 14 days was counted.
Immunofluorescence staining
Cells or frozen glioma sections were fixed with 4% paraformaldehyde, permeabilized with PBS that contained 0.1% Triton X-100 (PBS-T), and blocked with 1% bovine serum albumin in PBS-T. Immunostaining was conducted using the appropriate primary antibodies and stained with 4′, 6-diamidino-2-phenylindole (DAPI), anti-rabbit immunoglobulin G (IgG) conjugated with Alexa Fluor 488 or anti-mouse IgG conjugated with Alexa Fluor 596. Images were acquired using a scanning confocal microscope (Olympus FluoView FV1000).
RNA extraction, reverse transcription PCR, and real-time reverse transcription PCR
Total RNA from cultured cells and frozen glioma tissues were extracted using TRIzol reagent (Invitrogen) according to the manufacturer's instructions. The real-time reverse transcription PCR assays were conducted as previously described (21). Each sample was tested in triplicate for the target gene and internal control gene.
Immunoprecipitation
Cells were lysed with sample buffer, and equal amounts of proteins and antibodies were added and rotated overnight. Then, agarose A/G bead (Millipore) was added. The protein complexes were electrophoretically separated in 7.5% SDS-polyacrylamide gels.
Luciferase assay
Luciferase activity was determined using a dual-luciferase reporter assay kit (Promega). The relative luciferase activity was determined after 48 hours of transfection and normalized to the protein concentration. The data are presented as the average of 3 independent experiments.
Intracranial tumor assay
All mouse experiments were approved by the Institutional Animal Care and Use Committee of the 1st affiliated hospital of Sun Yat-sen University. Male athymic BALB/c nude mice were purchased from the Animal Center of Sun Yat-sen University. Glioma cells were intracranially injected into the nude mice as previously described (23). Animals were euthanized when they were moribund, and the remaining animals were euthanized 120 days after glioma cell injection. Each mouse brain was harvested and tumor formation was determined by histologic analysis of the hematoxylin and eosin stain (H&E)-stained sections.
Statistical analysis
We determined the significance of differences in the human glioblastoma data using Pearson correlation test; results are expressed as the mean ± SD or ± SE from 3 independent experiments. The evaluation of significant differences was determined using a Student t test (two-tailed) and one-factor ANOVA for the in vitro data and the Mann–Whitney U test for the in vivo data. A P < 0.05 was considered significant.
Results
AURKA expression is correlated with the stemness of GIC cell lines
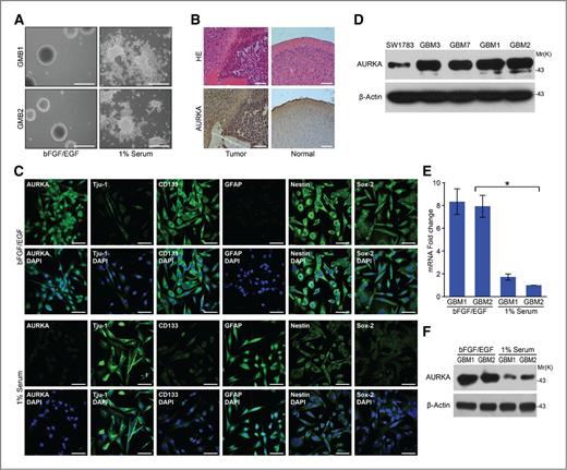
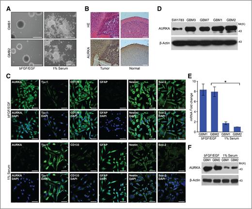
To test the hypothesis that AURKA is involved in the self-renewal of GICs, 4 GIC cell lines were established as previously described (22). These cell lines were fully characterized for the following 3 defining characteristics of GICs: self-renewal, multipotentiality, and tumor-initiating capacity. Specifically, the GIC cell lines exhibited typical neurospheres in bFGF/EGF medium (Fig. 1A). These GIC cells could be induced for differentiation by serum, as they did not form neurospheres in serum-containing medium (Fig. 1A). Furthermore, GIC cells formed brain tumors in nude mice, and AURKA was detected in the brain tumors of mice injected with the GICs (Fig. 1B). In addition, the expression of the stem cell markers Nestin, CD133, and Sox2 was decreased, and the expression of neural mature markers Tju-1 and GFAP was increased in the GIC cells cultured with serum-containing medium (Fig. 1C).
AURKA expression in GICs. A, left, neurosphere formation of two primary glioblastoma specimens derived from GICs cultured in bFGF/EGF-containing stem cell medium; right, morphologic changes of GICs after 1% serum was added for 2 weeks. Bars represent 100 μmol/L. B, the mouse brain was fixed in 4% formaldehyde and embedded in paraffin. Tumor formation was determined by the histologic analysis of H&E-stained sections, and AURKA expression was detected by immunohistochemical staining. × 100 magnification. C, dissociated GIC cells from neurospheres were plated on coverslips that were precoated with poly-L-ornithine and fibronectin, and the indicated neural precursor/differentiation markers were examined by immunofluorescence (scale bar, 50 μmol/L) before and after 1% serum induction. D, the AURKA protein expression levels were detected by Western blotting in SW1783 and 4 GIC cell lines. E, mRNA levels of AURKA in 2 GICs before and after serum addition were detected by real-time reverse transcriptase PCR. SDs are from 3 independent experiments, *, P < 0.001. F, AURKA protein levels were detected by Western blot analysis before and after 1% serum induction in GBM1 and GBM2 cells.
AURKA expression in GICs. A, left, neurosphere formation of two primary glioblastoma specimens derived from GICs cultured in bFGF/EGF-containing stem cell medium; right, morphologic changes of GICs after 1% serum was added for 2 weeks. Bars represent 100 μmol/L. B, the mouse brain was fixed in 4% formaldehyde and embedded in paraffin. Tumor formation was determined by the histologic analysis of H&E-stained sections, and AURKA expression was detected by immunohistochemical staining. × 100 magnification. C, dissociated GIC cells from neurospheres were plated on coverslips that were precoated with poly-L-ornithine and fibronectin, and the indicated neural precursor/differentiation markers were examined by immunofluorescence (scale bar, 50 μmol/L) before and after 1% serum induction. D, the AURKA protein expression levels were detected by Western blotting in SW1783 and 4 GIC cell lines. E, mRNA levels of AURKA in 2 GICs before and after serum addition were detected by real-time reverse transcriptase PCR. SDs are from 3 independent experiments, *, P < 0.001. F, AURKA protein levels were detected by Western blot analysis before and after 1% serum induction in GBM1 and GBM2 cells.
Next, we analyzed the expression of AURKA protein in the above GIC cells. SW1783 (grade 3 glioma line), which is not tumorigenic in nude mice (21), served as a control. High expression of AURKA protein was evident in the GICs (Fig. 1D). We detected that AURKA and stem cell markers CD133 were coexpressed in the same region of the mouse tumor sections (Supplementary Fig. S1). However, the expression of AURKA was diminished during GIC cell differentiation induced by serum. After 2 weeks of the serum induction, AURKA expression was dramatically decreased, as shown by immunofluorescence staining. We also harvested total mRNA and protein from glioblastoma multiform GBM1 and GM2 GIC cell lines and analyzed the changes in AURKA levels before and after the addition of serum. After 1% serum was added, the GIC cell lines had downregulated AURKA mRNA and protein levels (Fig. 1E and F). Together, these data suggest that AURKA is highly expressed in GICs and correlated with the stemness of GIC.
Silencing AURKA inhibits the self-renewal and tumorigenicity in GICs
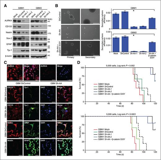
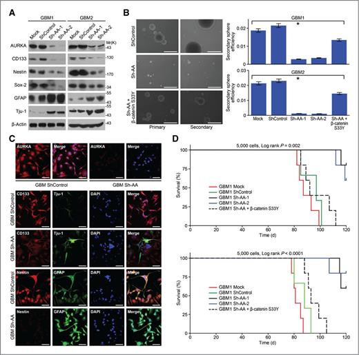
To explore the critical role of AURKA in GIC self-renewal maintenance, we established 2 stable AURKA-silencing GIC cell lines by using lentivirus carrying one of the 2 independent shRNA sequences (referred to as sh-AA-1 and sh-AA-2). We first examined the serial neural progenitor/differentiation markers in these cell lines. After AURKA was stably knocked down, the 2 GIC cell lines, GBM1 and GBM2, both exhibited decreased expression of the neural progenitor markers CD133, Nestin and Sox-2 compared with the shControl cell lines (Fig. 2A). In contrast, the expression levels of the differentiation markers Tju-1 (neuron marker) and GFAP (astrocyte marker) were elevated compared with the shControl cell lines (Fig. 2A). To assess the self-renewing capacity of GICs before and after the stable knockdown of AURKA, a neurosphere formation assay was conducted as previously described (21). As shown in Fig. 2B, a primary and secondary neurosphere formation assay, which is an indicator for self-renewing capacity, showed that the sizes and numbers of the spheres were remarkably lower in AURKA-silenced GBM1 and GBM2 cells compared with the shControl cells. When β-catenin S33Y, a stabilized β-catenin mutant that could constitutively activate Wnt signaling, was reexpressed in AURKA-silenced GICs, the neurosphere formation ability was rescued. The AURKA-silenced GICs also showed lower neural progenitor marker expression levels and higher differentiation marker expression levels by immunofluorescence staining (Fig. 2C). In an intracranial tumor assay, the implanted wild-type/shControl GBM1 and GBM2 cells killed all 5 mice within 100 days, whereas the groups that received AURKA-silenced cells resulted in only 2 dead mice within 120 days. Also, the tumorigenicity of AURKA-silenced GICs was restored when β-catenin S33Y mutant was reexpressed (Fig. 2D). These data indicate that AURKA inhibition reduces the stemness and tumorigenicity of GICs and that AURKA may play a critical role in GIC self-renewal and tumorigenicity.
Deprivation of AURKA reduces GIC stemness and tumorigenicity. A, expression of series neural precursor and differentiation markers after stable AURKA silencing in GBM1/2 primary cells was analyzed by Western blot analysis. B, top, photographs of primary and secondary neurosphere formation of primary glioblastoma cells expressing shRNAs for control or AURKA. Scale bar, 100 μmol/l. Bottom, the secondary neurosphere formation efficiency (spheres/cells plated) of the cells. Values are presented as the mean ± SD for triplicate samples, *, P < 0.001. C, dissociated GIC cells expressing shRNA for control or AURKA were plated on coverslips precoated with poly-L-ornithine and fibronectin, and the indicated neural precursor/differentiation markers were examined by immunofluorescence (scale bar, 50 μmol/L). D, 5 × 103 GICs cells were injected intracranially into nude mice. Brains were harvested when the animal was moribund; the remaining animals were killed 120 days after glioma cell injection. Kaplan–Meier curves with univariate analyses (log rank) of nude mice intracranial tumor assays.
Deprivation of AURKA reduces GIC stemness and tumorigenicity. A, expression of series neural precursor and differentiation markers after stable AURKA silencing in GBM1/2 primary cells was analyzed by Western blot analysis. B, top, photographs of primary and secondary neurosphere formation of primary glioblastoma cells expressing shRNAs for control or AURKA. Scale bar, 100 μmol/l. Bottom, the secondary neurosphere formation efficiency (spheres/cells plated) of the cells. Values are presented as the mean ± SD for triplicate samples, *, P < 0.001. C, dissociated GIC cells expressing shRNA for control or AURKA were plated on coverslips precoated with poly-L-ornithine and fibronectin, and the indicated neural precursor/differentiation markers were examined by immunofluorescence (scale bar, 50 μmol/L). D, 5 × 103 GICs cells were injected intracranially into nude mice. Brains were harvested when the animal was moribund; the remaining animals were killed 120 days after glioma cell injection. Kaplan–Meier curves with univariate analyses (log rank) of nude mice intracranial tumor assays.
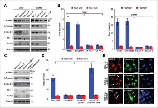
AURKA activates Wnt signaling in GICs by stabilizing β-catenin
To investigate the molecular mechanism by which AURKA maintains self-renewal in GICs, we examined the genes in the Wnt signaling cluster that were differentially expressed in quantitative PCR (Supplementary Table S1). We found a significant decrease in the expression of the AXIN2, LEF-1, and TCF4 genes in AURKA knockdown cells, which are all downstream Wnt signaling targets. In the GBM1 and GBM2 AURKA knockdown cells, the protein levels of β-catenin, Cyclin D1, LEF-1, and AXIN2 were lower compared with the control groups (Fig. 3A). In a Top/FopFlash luciferase assay, which is designed to measure transcriptional activation mediated by β-catenin, AURKA knockdown decreased the TopFlash activity in the GBM1 and GBM2 cells compared with the control group (Fig. 3B). To assess the hypothesis that AURKA regulates Wnt signaling by increasing β-catenin levels, we expressed the stable β-catenin S33Y mutant, which cannot be phosphorylated at the S33 site, in AURKA stable knockdown cells. As shown in Fig. 3C and D, stabilized β-catenin reverses the inhibition of Wnt signaling target gene expression and TopFlash activity in GICs caused by AURKA knockdown. Moreover, stabilized β-catenin increased the stem cell marker expression in AURKA knockdown GIC cells (Supplementary Fig. S2), indicating that AURKA maintains GIC stemness through β-catenin signaling. Next, we observed the change in the subcellular localization of β-catenin when AURKA levels changed. As shown in Fig. 3E, when AURKA siRNA was transfected into GICs, the whole cell and nuclear levels of β-catenin decreased, whereas the control cells had robust β-catenin staining and nuclear localization. In contrast, 293T cells, which express β-catenin only in the membrane, exhibited a substantial increase in the total and nuclear accumulation of β-catenin after transfection with Flag-tagged AURKA-expressing vector. Therefore, these results suggest that AURKA regulates GIC self-renewal by stabilizing β-catenin and inducing β-catenin nuclear accumulation, resulting in the Wnt signaling activation.
Knockdown AURKA blocks Wnt signaling in GICs. A, important Wnt signaling proteins were tested in GBM1 and GBM2 cells expressing control or 2 different AURKA shRNAs by Western blotting. B, TopFlash and FopFlash luciferase reporter assays were conducted in GBM1 and GBM2 cells expressing control or 2 different AURKA shRNAs. The bars are from 3 independent experiments, *, P < 0.001. C, glioblastoma cells expressing AURKA shRNA were transfected with a control plasmid or β-catenin S33Y plasmid, and the indicated proteins were examined after 48 hours of transfection. D, TopFlash/FopFlash luciferase reporter assays were conducted in AURKA shRNA-expressing glioblastoma cells transfected with control or β-catenin S33Y plasmids, *, P < 0.001. E, glioblastoma cells and 293T cells were transiently transfected with shControl/AURKA siRNA or Flag-AURKA; at 48 hours posttransfection, immunofluorescence was used to detect the subcellular localization of AURKA and β-catenin using anti-AURKA, anti-Flag, and anti-β-catenin antibodies. Nucleuses were stained by DAPI. Arrows showed that after AURKA knockdown, nuclear β-catenin staining also decreased. Bars represent 10 μmol/L.
Knockdown AURKA blocks Wnt signaling in GICs. A, important Wnt signaling proteins were tested in GBM1 and GBM2 cells expressing control or 2 different AURKA shRNAs by Western blotting. B, TopFlash and FopFlash luciferase reporter assays were conducted in GBM1 and GBM2 cells expressing control or 2 different AURKA shRNAs. The bars are from 3 independent experiments, *, P < 0.001. C, glioblastoma cells expressing AURKA shRNA were transfected with a control plasmid or β-catenin S33Y plasmid, and the indicated proteins were examined after 48 hours of transfection. D, TopFlash/FopFlash luciferase reporter assays were conducted in AURKA shRNA-expressing glioblastoma cells transfected with control or β-catenin S33Y plasmids, *, P < 0.001. E, glioblastoma cells and 293T cells were transiently transfected with shControl/AURKA siRNA or Flag-AURKA; at 48 hours posttransfection, immunofluorescence was used to detect the subcellular localization of AURKA and β-catenin using anti-AURKA, anti-Flag, and anti-β-catenin antibodies. Nucleuses were stained by DAPI. Arrows showed that after AURKA knockdown, nuclear β-catenin staining also decreased. Bars represent 10 μmol/L.
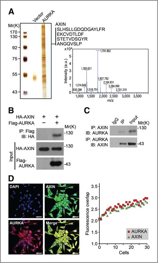
AURKA interacts with AXIN in GICs
Next, we explored the molecular mechanisms that drive AURKA to stabilize β-catenin. We did not find a remarkable β-catenin mRNA level decrease in AURKA-silenced GICs (Supplementary Fig. S3). Instead, in chasing assay, we identified that total β-catenin degradation was faster in AURKA-silenced GICs than the control cells, which indicated that AURKA may regulates β-catenin via posttranslational process (Supplementary Fig. S4). Using an LC/LC MS assay, we identified AXIN as one of the AURKA-binding partners in GICs (Fig. 4A). Coimmunoprecipitation confirmed the interaction between Flag-tagged AURKA and human influenza hemagglutinin (HA)-tagged AXIN in 293T cells (Fig. 4B). Next, we confirmed the endogenous binding between AURKA and AXIN in GICs (Fig. 4C). The colocalization of AURKA and AXIN was also shown by immunofluorescence staining (Fig. 4D). GSK3β/AXIN/APC forms a destruction complex that targets β-catenin for subsequent proteolysis (24). Because we identified AXIN as a novel binding partner of AURKA, we hypothesized that AURKA could affect the assembly of the β-catenin destruction complex.
AURKA binds to AXIN. A, LC/LC MS identification of AXIN as a novel binding partner of AURKA in 293T cells. B, 293T cells were transiently transfected with HA-AXIN and Flag-AURKA. Forty-eight hours posttransfection, immunoprecipitations (IP) were conducted with anti-Flag antibodies. The precipitated proteins were then analyzed by Western blotting. C, the endogenous binding of AXIN and AURKA was detected using anti-AXIN or anti-AURKA antibodies, respectively, in glioblastoma primary cells. D, left, dissociated GIC cells were plated on coverslips that had been precoated with poly-L-ornithine and fibronectin before being stained with anti-AXIN and anti-AURKA antibodies. Right, the localization and intensity of AURKA and AXIN2 were calculated with a confocal imaging system (Olympus FluoView FV1000), with the DsRed and Cyan fluorescent proteins being activated by lasers at 543 and 457 nm, respectively. AURKA/AXIN intensity was quantified with FluoView platform software, and the overlap was measured in 30 randomly selected cells. Bars represent 20 μmol/L. IB, immunoblotting.
AURKA binds to AXIN. A, LC/LC MS identification of AXIN as a novel binding partner of AURKA in 293T cells. B, 293T cells were transiently transfected with HA-AXIN and Flag-AURKA. Forty-eight hours posttransfection, immunoprecipitations (IP) were conducted with anti-Flag antibodies. The precipitated proteins were then analyzed by Western blotting. C, the endogenous binding of AXIN and AURKA was detected using anti-AXIN or anti-AURKA antibodies, respectively, in glioblastoma primary cells. D, left, dissociated GIC cells were plated on coverslips that had been precoated with poly-L-ornithine and fibronectin before being stained with anti-AXIN and anti-AURKA antibodies. Right, the localization and intensity of AURKA and AXIN2 were calculated with a confocal imaging system (Olympus FluoView FV1000), with the DsRed and Cyan fluorescent proteins being activated by lasers at 543 and 457 nm, respectively. AURKA/AXIN intensity was quantified with FluoView platform software, and the overlap was measured in 30 randomly selected cells. Bars represent 20 μmol/L. IB, immunoblotting.
AURKA stabilizes β-catenin partially by sequestering AXIN out of the β-catenin destruction complex
AURKA directly phosphorylates GSK3β gastric cancer cells, thus stabilizing β-catenin and activating Wnt signaling (25). To explore whether this mechanism also exists in GICs, we examined the pGSK3β (Ser9) levels in AURKA-silenced GICs and control cells. pGSK3β (Ser9) levels were slightly lower in AURKA-silenced GICs, which is consistent with the upregulation of p-β-catenin (Ser33/37 Thr41) and inhibition of β-catenin. However, compared with the upregulation of p-β-catenin, the change in the p-GSK3β level was not significant. Moreover, the total p-GSK3β level remained relatively low in the GBM1 cells. (Fig. 5A). To identify the biologic functions of the AURKA/AXIN interaction, we transfected siRNA that specifically targeted AURKA in GICs with increasing doses. Interestingly, the amount of AURKA binding to AXIN decreased in a dose-dependent manner, and p-β-catenin (Ser33/37 Thr41) binding to AXIN increased in a reverse pattern, thus elevating total p-β-catenin (Ser33/37 Thr41) levels (Fig. 5B). Furthermore, when the AURKA kinase dead mutant (AURKA KD, D274A), which lacks the ability to inhibit GSK3β through direct phosphorylation, was overexpressed in a dose-dependent manner in AURKA knockdown cells, p-β-catenin (Ser33/37 Thr41) binding to AXIN gradually decreased, followed by an increase in the binding pattern of AURKA KD to AXIN (Fig. 5C). On the basis of these results, we concluded that in GICs, AURKA can successfully compete for the binding of AXIN to the β-catenin destruction complex, thus leading to a stabilized β-catenin. In GICs, AURKA primarily stabilizes β-catenin by disrupting the β-catenin destruction complex, competing for its binding to AXIN in GICs, which was shown by the ARUKA KD transfection that rescued the β-catenin levels in AURKA stable silenced GICs.
AURKA stabilizes β-catenin by directly inhibiting GSK3β or by sequestering with AXIN in the β-catenin destruction complex. A, GBM1 and GBM2 primary cells that express control vector or AURKA shRNA were treated with 10 μmol/L MG132 for 12 hours. Western blotting was conducted to detect the indicated proteins. B, GICs were transfected with increased doses of siAURKA, and 10 μmol/L MG132 was added 48 hours posttransfection. Immunoprecipitations (IP) were conducted using anti-AXIN antibodies, and Western blotting was used to detect the indicated proteins. C, GICs were cotransfected with siAURKA; an increased dose of AURKA KD (D247A) mutant plasmid, and 10 μmol/L of MG132 were added 48 hours posttransfection. Immunoprecipitations were conducted using anti-AXIN antibodies, and Western blotting was used to detect the indicated proteins.
AURKA stabilizes β-catenin by directly inhibiting GSK3β or by sequestering with AXIN in the β-catenin destruction complex. A, GBM1 and GBM2 primary cells that express control vector or AURKA shRNA were treated with 10 μmol/L MG132 for 12 hours. Western blotting was conducted to detect the indicated proteins. B, GICs were transfected with increased doses of siAURKA, and 10 μmol/L MG132 was added 48 hours posttransfection. Immunoprecipitations (IP) were conducted using anti-AXIN antibodies, and Western blotting was used to detect the indicated proteins. C, GICs were cotransfected with siAURKA; an increased dose of AURKA KD (D247A) mutant plasmid, and 10 μmol/L of MG132 were added 48 hours posttransfection. Immunoprecipitations were conducted using anti-AXIN antibodies, and Western blotting was used to detect the indicated proteins.
AXIN counteracts the effects of AURKA KD overexpression-induced Wnt activation in AURKA stably silenced GICs
On the basis of the hypothesis that ARUKA is able to disrupt the β-catenin destruction complex by outcompeting the binding of AXIN in GICs, we designed several rescue experiments. First, we conducted AURKA immunoprecipitation in GICs. As shown in Fig. 6A, we did not detect unphosphorylated β-catenin binding to AURKA compared with phosphorylated-β-catenin (Ser33/37/Thr41), which indicates that AURKA is involved in the β-catenin destruction complex. In AURKA-stably silenced GICs, we sequentially transfected an AURKA KD plasmid and AURKA KD plus wild-type AXIN plasmids. Western blotting was used to detect the indicated proteins (Fig. 6B). We found no obvious changes in pGSK3β (Ser9) levels after AURKA KD plasmid transfection or AURKA KD plus AXIN plasmid cotransfection. However, p-β-catenin (Ser33/37 Thr41) levels decreased when the AURKA KD plasmid was transfected; this effect was reversed when wild-type AXIN was added. In contrast, total β-catenin levels increased when AURKA KD was transfected and decreased when AXIN was added (Fig. 6B). In immunoprecipitation, AURKA KD plasmid transfection attenuated the amount of p-β-catenin that was bound to AXIN. In GICs with stably silenced AURKA transfected with both AURKA KD and AXIN, transfected AXIN was able to completely bind to AURKA KD, thus increasing the p-β-catenin binding to AXIN and reversing the β-catenin stabilization process (Fig. 6B). Moreover, when GICs that stably express AURKA-shRNA were transfected with AXIN siRNA, the total β-catenin level was restored and the p-β-catenin level was decreased, which indicates that AURKA stabilizes β-catenin via competing AXIN away from the β-catenin destruction complex (Supplementary Fig. S5). To further show that these effects could influence Wnt signaling, we conducted a luciferase assay in the GICs. As shown in Fig. 6C, AURKA KD transfection partially rescued the AURKA stable silencing-induced TopFlash inactivation, and when AXIN was added, this effect was again reversed in both of the GIC cell lines. Finally, immunofluorescence showed that β-catenin was overexpressed in GICs and primarily accumulated in the nucleus; the stable silencing of AURKA reduced total β-catenin levels, thereby attenuating nuclear β-catenin accumulation. AURKA KD transfection retained the β-catenin nuclear localization, and this effect could be reversed by cotransfection with AXIN (Fig. 6D). Taken together, we showed that in GICs, AURKA-activated Wnt signaling outcompeted AXIN in terms of p-β-catenin, disrupting the β-catenin destruction complex, stabilizing β-catenin, and enhancing transcription.
AXIN rescues AURKA-induced Wnt signaling activation. A, GIC cells were lysed after 10 mmol/L MG132 treatment, and immunoprecipitation (IP) was conducted using the anti-AURKA antibody. The protein binding of pGSK3β (Ser9) and β-catenin was analyzed by Western blotting. B, GIC cells that express shControl/AURKA shRNA were transiently transfected with AURKA KD or cotransfected with AURKA KD and AXIN. Forty-eight hours posttransfection, cells were lysed, and an equal amount of protein was used for the immunoprecipitation analysis and Western blotting. C, GIC cells expressing AURKA shRNA were transiently transfected with AURKA KD or cotransfected with AURKA KD and AXIN. Then, the TopFlash and FopFlah luciferase reporter assays were conducted to examine Wnt signaling activity. D, dissociated GIC cells expressing control or AURKA shRNA were plated on coverslips that had been precoated with poly-L-ornithine and fibronectin and then transiently transfected with AURKA KD or cotransfected with AURKA KD and AXIN. Forty-eight hours posttransfection, immunofluorescence was conducted using anti-β-catenin antibodies to examine the β-catenin subcellular localization. Bars represent 5 μmol/L. E, the expression of AURKA and β-catenin was examined via immunohistochemical staining in 40 glioblastoma specimens. Left: representative β-catenin and AURKA expression levels are shown in 3 glioblastoma tumor sections. Right: staining of AURKA or β-catenin was scored from 1 to 4. The correlation was significant, as determined by Pearson correlation test (r2 = 0.8048; P < 0.001).
AXIN rescues AURKA-induced Wnt signaling activation. A, GIC cells were lysed after 10 mmol/L MG132 treatment, and immunoprecipitation (IP) was conducted using the anti-AURKA antibody. The protein binding of pGSK3β (Ser9) and β-catenin was analyzed by Western blotting. B, GIC cells that express shControl/AURKA shRNA were transiently transfected with AURKA KD or cotransfected with AURKA KD and AXIN. Forty-eight hours posttransfection, cells were lysed, and an equal amount of protein was used for the immunoprecipitation analysis and Western blotting. C, GIC cells expressing AURKA shRNA were transiently transfected with AURKA KD or cotransfected with AURKA KD and AXIN. Then, the TopFlash and FopFlah luciferase reporter assays were conducted to examine Wnt signaling activity. D, dissociated GIC cells expressing control or AURKA shRNA were plated on coverslips that had been precoated with poly-L-ornithine and fibronectin and then transiently transfected with AURKA KD or cotransfected with AURKA KD and AXIN. Forty-eight hours posttransfection, immunofluorescence was conducted using anti-β-catenin antibodies to examine the β-catenin subcellular localization. Bars represent 5 μmol/L. E, the expression of AURKA and β-catenin was examined via immunohistochemical staining in 40 glioblastoma specimens. Left: representative β-catenin and AURKA expression levels are shown in 3 glioblastoma tumor sections. Right: staining of AURKA or β-catenin was scored from 1 to 4. The correlation was significant, as determined by Pearson correlation test (r2 = 0.8048; P < 0.001).
β-Catenin expression in human glioblastoma is correlated with AURKA levels
Finally, we analyzed the significance of AURKA-mediated β-catenin expression in human glioblastoma using a panel of 40 glioblastoma samples. We defined a scoring index (SI) for the immunohistochemically staining samples as follows: 0 (no positive tumor cells), 1 (< 10% positive tumor cells), 2 (10%–50% positive tumor cells), and 3 (> 50% positive tumor cells). The staining intensity was graded according to the following criteria: 0 (no staining), 1 (weak staining = light yellow), 2 (moderate staining = yellow brown), and 3 (strong staining = brown). The scoring index was calculated as the staining intensity score × the proportion of positive tumor cells (0, 1, 2, 3, 6, 9). An SI > 3 was considered strongly expressed; SI ≤ 3 was considered moderately expressed; and SI = 0 was considered negative. AURKA was moderately expressed in 14 samples and strongly expressed in 18 samples. There were no detectable AURKA in the other 8 samples. The expression levels of AURKA were directly correlated with those of β-catenin (Fig. 6E and Supplementary Fig. S6), which was moderately expressed in 12 samples, strongly expressed in 17 samples and negatively expressed in 11 samples. These data further supported the critical role of ARUKA in β-catenin expression in human glioblastoma. Together, our data suggest that in glioblastoma tumors that express high levels of AURKA, β-catenin expression likely increases and promotes GIC self-renewal.
Discussion
Glioblastoma is one of the deadliest tumors in humans, with a 5-year survival rate of less than 3% (26). GICs, which show strong resistance to chemo/radiation therapy (27), may be a potential target for developing new therapeutic strategies. However, the molecular alterations and signaling pathways that drive the self-renewal of GICs, which is the most important GIC characteristic, remain unclear. In this study, we investigated the role of the AURKA in human glioma and GICs and the potential molecular relationship between AURKA and GIC self-renewal maintenance.
Previous microarray data showed that AURKA was overexpressed in 23 pediatric patients with glioblastoma (28). Klein and colleagues have also shown that AURKA mRNA amplification was detected in approximately 60% of samples from patients with glioma (9). In the present study on GIC cell lines isolated from a patient with glioblastoma, AURKA expression was much higher before serum induction, and AURKA inhibition significantly reduced the cells' self-renewal and tumorigenicity. These data suggest that AURKA may be a critical molecule for GIC self-renewal. It is worth mentioning that AURKA inhibition could affect ovarian cancer stem cells by inducing cell-cycle arrest and attenuating the NF-kB pathway (16); in colorectal cancer, AURKA downregulates the Bcl-2 antiapoptotic family members and induces chemoresistance (15). Indeed, we also found a massive G2 arrest in the stably AURKA-silenced GICs (Supplementary Fig. S7). The cell-cycle turnover induced by AURKA overexpression in GICs may explain the chemo/radiation resistance. However, in TUNEL assay, AURKA-silenced GICs showing no obvious increased apoptosis than the control cells, indicated that antiapoptosis may not be the main mechanism of GICs self-renewal capacity (Supplementary Fig. S8). We observed that AURKA also maintains the stemness of GICs, which was indicated by the fact that AURKA deprivation lowers the expression levels of stem cell markers and induces the differentiation of marker expression. We found that AURKA deprivation attenuated Wnt signaling in GICs. The upregulation of β-catenin and activation of Wnt signaling have recently become attractive in glioma research (29–31). Unlike colorectal cancer, in which Wnt signaling activation is caused by mutations in genes encoding Wnt signaling components, including the loss of APC or the CTNNB1 “gain-of-function” which stabilizes β-catenin, glioma does not exhibit prototypic mutations. In our recently published studies, we identified the oncogenic transcription factor FoxM1, which activates Wnt signaling by directly interacting with β-catenin and promoting β-catenin nuclear translocation (21). However, FoxM1 only relocates β-catenin and does not change its total levels. Because β-catenin overexpression in glioma is common (32–34), we investigated whether AURKA could increase the total β-catenin level in GICs. In stable AURKA knockdown GICs, total β-catenin was significantly reduced. Moreover, in 293T cells transfected with AURKA, the nuclear localized β-catenin increased, followed by the stabilization of total β-catenin levels. These effects are, most likely, not due to transcriptional regulation because AURKA transfection or deprivation did not change β-catenin mRNA levels. A recent report showed that AURKA could stabilize β-catenin by the direct interaction and inhibition of GSK3β at Ser 9 (25). We found that the p-GSK3β level in AURKA stably silenced GICs was inhibited. However, the inhibition of p-GSK3β was not strictly correlated with the total increase in β-catenin or decrease in p-β-catenin, which indicates that there may be other mechanisms by which AURKA regulates β-catenin stability in GICs.
AXIN, a multidomain scaffold protein, plays a major role in coordinating the assembly of the β-catenin destruction complex (35). The mutation or loss of function of AXIN has been reported in many human cancers (36–38), including brain tumors (39–42). Dahemen and colleagues reported that AXIN deletions were found in medulloblastomas, whereas Baeza and colleagues found that AXIN loss of function was primarily due to mutation (41, 42). We found that AXIN remained functional in GICs because the p-β-catenin destruction complex was detectable. Recent studies have shown that AXIN could form a protein destruction complex other than the one containing β-catenin, such as c-myc/GSK3β/Pin/PP2A, and induce target proteins for degradation (38). With this knowledge, we used LC/LC MS and found that AXIN was a binding partner of AURKA in GICs, which was validated by immunoprecipitation. Our additional experiments indicated that AURKA overexpression in GICs disrupted the β-catenin destruction complex by competing away AXIN, which subsequently lowered the p-β-catenin level and stabilized the total β-catenin. Stabilized β-catenin entered the nucleus and activated Wnt signaling. Thus, we concluded that AXIN had a higher binding affinity to AURKA than p-β-catenin, and an abundance of AURKA in GICs was sufficient to remove AXIN from p-β-catenin/GSK3β complexes and lower p-β-catenin levels, thus sequentially stabilizing total β-catenin and activating Wnt signaling. We further showed that AURKA KD could rescue the effect of AURKA knockdown and downregulate p-β-catenin without changing p-GSK3β levels. We concluded that AURKA primarily stabilizes β-catenin by competing away the binding to AXIN rather than G3K3β inhibition in GICs. AURKA has been reported to stabilize N-myc in neuroblastoma (43). Interestingly, similar to the mechanism shown in this study, AURKA could completely bind to Fbxw7, which is an ubiquitination ligase that induces N-myc degradation. N-myc stabilization is not required for the AURKA kinase activity, suggesting that kinase activity is not the only critical oncogenic AURKA function (44). Our data suggesting that AURKA inhibits oncoproteins from degradation by disrupting their destruction complex may not be limited to Wnt signaling and could reflect a common mechanism in human malignancy.
In summary, our results show that AURKA activates Wnt signaling by directly inhibiting GSK3β and disrupting the β-catenin destruction complex, which is dominant in GICs and represents a critical mechanism for the maintenance of GIC self-renewal. This study underscores a novel critical role of AURKA in GICs and provides a molecular basis for targeting not only the kinase activity but also the AURKA expression levels in future therapies.
Disclosure of Potential Conflicts of Interest
No potential conflicts of interest were disclosed.
Authors' Contributions
Conception and design: P. Wei, N. Zhang
Development of methodology: Z. Xia, P. Wei, Z. Huang
Acquisition of data (provided animals, acquired and managed patients, provided facilities, etc.): P. Wei, H. Zhang, Z. Ding, L. Yang, N. Zhang
Analysis and interpretation of data (e.g., statistical analysis, biostatistics, computational analysis): H. Zhang, N. Zhang
Writing, review, and/or revision of the manuscript: P. Wei
Administrative, technical, or material support (i.e., reporting or organizing data, constructing databases): P. Wei, Z. Huang
Study supervision: Z. Xia, N. Zhang
Grant Support
This work was supported by the National Natural Science Foundation of China (81001119, 80172082, 81201836), Grant Awarded to New Teacher From Chinese Ministry of Education (20110171120112), the Fundamental Research Funds for the Central Universities (11ykzd06), the Natural Science Foundation of Guangdong Province (S2012020006147, 10451008901004231, 10151008901000245, and 10151008901000245), the Science and Technology Planning Project of Guangdong Province, China (2010B031600057, 2010B031600072, 2009B060700031, and 2010B060900046), and Shanghai Pujiang Program (12PJ1401800) the Shanghai Committee of Science and Technology, China (Grant No.12DZ2260100).
The costs of publication of this article were defrayed in part by the payment of page charges. This article must therefore be hereby marked advertisement in accordance with 18 U.S.C. Section 1734 solely to indicate this fact.





