Abstract
Squamous cell carcinomas (SCC) comprise the most common types of human epithelial cancers. One subtype, head and neck squamous cell carcinoma (HNSCC), is a particularly aggressive cancer with poor prognosis due to late diagnosis and lymph node metastasis. Of all the processes involved in carcinogenesis, local invasion and distant metastasis are clinically the most relevant, but are the least well understood on a molecular level. Here, we find that in vivo, the α-catenin homologue—α-catulin, a protein originally reported to interact with Lbc Rho guanine nucleotide exchange factor, is highly expressed at the tumor invasion front and in the metastatic streams of cells in both malignant hHNSCCs and a mouse model of oral SCC. Knockdown of α-catulin in hHNSCC cell lines dramatically decrease the migratory and invasive potential of those cells in vitro and metastatic potential in xenotransplants in vivo. Analysis of tumors deficient in α-catulin showed that the tumor cells are unable to invade the surrounding stroma. Accordingly, transcriptional profiling of those tumors revealed that α-catulin ablation is accompanied by changes in genes involved in cell migration and invasion. Interestingly enough, in vitro experiments show that an upregulation of α-catulin expression correlates with the transition of tumor cells from an epithelial to a mesenchymal morphology, as well as an upregulation of epithelial-to-mesenchymal transition (EMT) markers vimentin and snail. Overall, these results strongly indicate that α-catulin contributes to the invasive behavior of metastatic cells and may be used as a prognostic marker and future therapeutic target for patients with cancer. Mol Cancer Res; 10(7); 892–903. ©2012 AACR.
Introduction
The progression from a locally growing tumor to an invasive and metastatic tumor is the event that is most often responsible for treatment failures in patients with cancer (1, 2). Head and neck squamous cell carcinoma (HNSCC) is highly aggressive and accounts for 45,000 malignancies diagnosed each year and is the fifth leading cancer worldwide (3–6). Despite various treatment options available, patients with HNSCC are still faced with a high chance of recurrence and/or metastasis, which is responsible for the poor clinical prognosis, with a 5-year survival rate of only about 50% (4, 5).
Metastatic dissemination requires several steps, including loss of cell–cell adhesions and cell polarity, acquisition of a motile phenotype, delamination of individual or small collective groups of cells from the primary tumor, subsequent reorganization of the extracellular matrix (ECM), and cell migration to adjacent and distant tissues (2, 7). During this process of epithelial-to-mesenchymal transition (EMT), cells downregulate their epithelial-specific tight junction and adherens junction proteins, such as E-cadherin and cytokeratins and reexpress mesenchymal molecules, such as vimentin and N-cadherin. Various factors play a crucial role in malignant tumor progression, for instance, altered signal transduction pathways, changes in adhesive and migratory capabilities of tumor cells, and the tumor microenvironment. At this stage of tumor development, tumor cells migrate into and invade the surrounding tissue, thereby forming an invasion front enriched in integrin-mediated interaction of the tumor cells with the ECM (8).
Reduced E-cadherin and α-catenin are often prognostic markers of poor clinical outcome in squamous cell carcinomas (SCC; refs. 9, 10). In a previously studied mouse model of SCC, the conditional loss of cell–cell junction protein α-catenin in the epithelium resulted in the formation of a SCC-like phenotype, accompanied by increased cell proliferation and migration (11). Microarray analysis comparing mouse α-catenin cKO keratinocytes, which failed to form cell–cell junctions, and wild-type epithelial cells, showed an upregulation of a new α-catenin homologue, α-catenin–like 1, α-catulin.
This protein has not been extensively characterized so far, but interestingly, it was shown to directly interact with Lbc-Rho guanine exchange factor and enhance Rho GTPase signaling, acting as a scaffold for the Rho GTPase signaling complex (12–14). Wiesner and colleagues (15) reported an interaction of α-catulin with inhibitor of IκB kinase (IKK)-β, a subunit of the NF-κB kinase inhibitor, and Lbc to promote tumor cell migration and increase resistance to apoptosis. In addition, α-catulin has also been shown to interact with dystrophin in the dystroglycan-dystrophin-utrophin complex, where dystroglycan mediates cell–ECM adhesion by its anchorage to actin cytoskeleton and its interactions with various extracellular proteins including laminin (16–19). As α-catulin serves as a scaffold for Rho signaling and shows structural similarities to vinculin and α-catenin, particularly in the N-terminal region, which contains binding sites for β-catenin, and also talin, α-actinin, and actin cytoskeleton (20), this suggests that α-catulin may act as a cytoskeletal linker protein to modulate cell migration.
Here, we observe that α-catulin is highly expressed at the invasion front of malignant hHNSCC. In vitro data show that an upregulation of α-catulin expression correlates with the transition of tumor cells from an epithelial to mesenchymal morphology and an increased expression of EMT markers. More importantly, knockdown of α-catulin in hHNSCC cell lines dramatically decreases the migratory and invasive potential of those cells in vitro and metastatic potential in xenotransplants in vivo. Transcriptional and biochemical analyses of tumors deficient in α-catulin show that its ablation prevented tumor cells from invading the surrounding stroma. In addition, α-catulin ablation was accompanied by a decrease in expression of genes involved in cell migration and invasion. Together, these findings highlight the importance of α-catulin in SCC metastasis in vivo.
Materials and Methods
Generation of stable cell lines and cell culture
α-Catenin keratinocyte cells were cultured as previously described (21, 22). SCC-15 and USC-HN1 [previously described and characterized in the work of Liebertz and colleagues (4)] cell lines were cultured in Dulbecco's Modified Eagle's Medium (DMEM) High Glucose (Gibco) supplemented with 10% FBS (HyClone), 100 IU penicillin, and 100 μg/mL streptomycin (Gibco). MDA-MB-231 cells were cultured in RPMI-1640 (Gibco) supplemented with 10% FBS (HyClone), 1 mmol/L sodium pyruvate (Gibco), 100 IU penicillin, and 100 μg/mL streptomycin (Gibco). SCC-15 and MDA-MB-231 cell lines were obtained from the American Type Culture Collection (ATCC) and authenticated by ATCC with tests such as short tandem repeat profiling (STR profiling). All cells were maintained in a humidified atmosphere at 37°C with 5% CO2. pGIPZ and pTRIPZ lentiviral shRNA clones (2 independent shRNA sequences against human α-catulin) are available from Open Biosystems and were packaged according to manufacturer's protocol. See Supplementary Procedures for clone details. At 48 hours posttransduction, cells were selected with puromycin to establish stable cell lines.
In vitro migration and invasion assays
Cells transduced with nonsilencing and α-catulin–specific shRNA were used for in vitro migration and invasion assays. BD Falcon cell culture inserts (catalog no. 353182) were used for migration assays and BD BioCoat Matrigel invasion chambers (catalog no. 354480) were used for invasion assays. A total of 200,000 cells were counted and resuspended in serum-free media and added to each chamber insert for both the migration and invasion assays. Media containing serum, providing a chemoattractant for the cells, was added to the lower chamber (wells). Cells were cultured in a humidified tissue culture incubator and allowed to migrate and invade for 36 and 48 hours, respectively. Migration assays were conducted in duplicates and repeated independently 3 times; invasion assays were conducted in single experiments and repeated independently 3 times. After the desired time point was reached, media was aspirated from the lower chamber and cells were fixed in 5% glutaraldehyde (in PBS) for 10 minutes at room temperature. Wells were then washed 3 times with distilled water. Cells were then stained with 0.5% toluidine blue (in 70% EtOH) in the lower chamber for 10 to 20 minutes at room temperature. Solution was then aspirated from both upper and lower chambers and washed 3 times with distilled water. The inner surface of the upper chamber was carefully wiped with a cotton swab. The number of cells that went through the porous membrane was counted under a microscope using a ×20 objective; cells were counted for 5 fields for each membrane.
Xenograft transplants
A total of 1 × 106 cells suspended in media were mixed 1:1 with Matrigel (BD Biosciences) and injected subcutaneously between the neck and shoulder of NOD.Cg mice. Tumors were allowed to form for 4 to 9 weeks before sacrificing and collecting the primary tumor, metastatic cells, and lungs from each subject. Briefly, tumors and metastatic cells used for RNA isolation were first dissected from the mouse, minced into small pieces, incubated in collagenase (1,000 U/mL) for 1 hour at 37°C, washed in PBS, trypsinized (0.25% trypsin-EDTA from Gibco) for 20 minutes at 37°C, and fluorescence-activated cell sorted (FACS) for GFP+ cells using a BD Biosciences FACSAria cell sorter.
RNA isolation, microarray, reverse transcription polymerase chain reaction (RT-PCR), and qPCR
Cultured cells were collected in TRIzol reagent (Invitrogen) and total RNA extracted using the RNeasy Mini Kit (QIAGEN). FACS cells were immediately collected in RNAprotect cell reagent (QIAGEN) before spinning down and resuspending in TRIzol (Invitrogen). Total RNA from FACS cells was extracted using RNeasy Micro Kit (QIAGEN). Microarray analysis was conducted by the University of Southern California Microarray Core Facility using Affymetrix GeneChip Human Genome U133 Plus 2.0 Arrays. To carry out semi-quantitative RT-PCR and quantitative real-time PCR, RNA was reverse-transcribed to cDNA with SuperScript II (Invitrogen). Real-time qPCR was carried out on an ABI 7900HT Fast Real-Time PCR System. Primer sequences are given in Supplementary Procedures.
Western blotting
Cells were washed and scraped in cold PBS. Cell pellet from a 10-cm plate was resuspended in 200 μL of RIPA lysis buffer containing 0.2% SDS, 10 mmol/L NaF, 1 mmol/L Na3VO4, and protease inhibitor cocktail III (Calbiochem). Cells were passed through a 21-gauge needle, gently rotated for 30 minutes at 4°C, and spun down at 14,000 × g for 15 minutes at 4°C.
Protein lysates were then collected and separated on 4% to 12% NuPAGE Novex Bis-Tris gels (Invitrogen) and blotted onto a nitrocellulose membrane with a semi-dry transfer system (Hoeffer TE77XP) for 1.5 hours at 75 mA. Membranes were blocked in 5% skim milk in TBS containing 0.1% Tween-20 (TBS-T) for 30 minutes at room temperature on a gentle rocker. Membranes were then incubated with primary antibody in 5% skim milk in 0.1% TBS-T with gentle rocking overnight at 4°C. Antibodies are described in Supplementary Procedures. LI-COR IRDye infrared-conjugated secondary antibodies were diluted 1:10,000 in 5% skim milk in 0.1% TBS-T. Signals were detected by the Odyssey Infrared Imaging System (LI-COR Biosciences).
Indirect immunofluorescence detection
Tumors from our xenograft animal models were dissected and immediately embedded in optimum cutting temperature and sectioned at 10 microns for indirect detection of various markers. Samples were fixed in 4% paraformaldehyde for 10 minutes and subsequently permeabilized in 0.1% Triton X-100 in PBS (PBS-T) for 10 minutes. Next, samples were blocked in 0.1% bovine serum albumin (BSA), 2.5% HI-GS, 2.5% HI-DS in 0.1% PBS-T for 30 minutes at room temperature. Primary antibodies were diluted in 0.1% BSA in 0.1% PBS-T and incubated overnight at 4°C. Alexa Fluor 488 or 594-conjugated secondary antibodies were diluted 1:500 in blocking solution and incubated for 1 hour at room temperature. Images were taken using AxioImager Z1 (Zeiss). Primary antibody descriptions and dilutions are described in Supplementary Procedures.
Immunohistochemistry
Tumors from our xenograft animal models were fixed in 4% paraformaldehyde overnight at 4°C, washed well in PBS, ethanol dehydrated, embedded in paraffin, and sectioned 6 microns thick. Human HNSCC tissue array is available from US Biomax. Samples were deparaffinized and pretreated using antigen retrieval 2100 Retriever (Proteogenix). Endogenous peroxidase was blocked in 0.03% hydrogen peroxide for 5 minutes, washed in 0.3% PBS-T, blocked in 0.1% gelatin, 2.5% HI-GS, 2.5% HI-DS, 0.1% BSA in 0.3% PBS-T for 1 hour, and incubated with primary antibody diluted in 0.1% BSA in 0.1% PBS-T overnight at 4°C. After washing well with 0.3% PBS-T, biotin-conjugated secondary antibodies (Vector Laboratories) were diluted 1:100 in blocking solution and incubated for 1 hour at room temperature. The ABC Kit was then used following manufacturer's instructions (Vector Laboratories). Staining was detected using DAB Peroxidase Substrate Kit following manufacturer's instructions (Vector Laboratories). Antibodies are described in Supplementary Procedures.
β-Galactosidase detection
To detect β-galactosidase activity, sections were fixed in 0.2% glutaraldehyde for 2 minutes, washed well with PBS and stained overnight at 37°C with 5-bromo-4-chloro-indolyl-β-d-galactopyranoside (X-Gal) staining solution (5 mmol/L EGTA, pH 8, 2 mmol/L MgCl2, 0.2% NP-40, 0.1% sodium deoxycholate, 2 mmol/L CaCl2, 5 mmol/L potassium ferricyanide, 5 mmol/L potassium ferrocyanide, and 1 mg/mL X-Gal in PBS).
Statistical analysis
Statistical significance was determined using student t test. P < 0.001 was considered statistically significant.
Results
α-Catulin is upregulated in metastatic cells
It was previously shown that the conditional loss of cell–cell junction protein α-catenin in skin results in the formation of a SCC-like phenotype, accompanied by increased cell proliferation and motility. Microarray expression profiling of the mouse α-catenin cKO keratinocytes showed an upregulation of the α-catenin homologue α-catenin–like 1, α-catulin (11). We verified the upregulation of α-catulin in the motile α-catenin cKO keratinocytes by RT-PCR using RNA from pure fractions of mouse α-catenin wild-type and cKO keratinocytes (Fig. 1A).
α-Catulin is expressed in motile, mesenchymal cells. A, RT-PCR shows that α-catulin is upregulated in motile mouse α-catenin conditional knockout keratinocytes compared with α-catenin wild-type (WT) keratinocytes. B and B′, hSCC cells expressing tGFP were injected into the neck region of NOD.Cg mice and imaged for GFP. Arrow shows the lymphatic vessels with migrating, metastatic cells that were dissected for analysis; arrowheads show the blood vasculature network, as identified by the presence of erythrocytes. C, RNA was isolated from FACS GFP+ SCC tumor and metastatic cells, and subsequently used to conduct microarray. D, RT-PCR on independent SCC tumor and metastatic cells samples confirmed the upregulation of α-catulin seen in the microarray data. E and F, epithelial hSCC cells were induced to go through EMT using various factors as indicated, for 44 hours [20 ng/mL TGF-β1, 20 ng/mL EGF, Wnt3a-conditioned media (published in ref. 38) in DMEM with 0.1% FBS]. E, cellular morphology shows successful EMT induction, which was confirmed by (F) RT-PCR using mesenchymal markers vimentin and snail. α-Catulin expression is upregulated in the mesenchymal cells. Cell–cell adhesion markers, E-cadherin and α-catenin, are unchanged on the transcriptional level after 44 hours of induction. DAPI, 4′, 6-diamidino-2-phenylindole; GAPDH, glyceraldehyde-3-phosphate dehydrogenase.
α-Catulin is expressed in motile, mesenchymal cells. A, RT-PCR shows that α-catulin is upregulated in motile mouse α-catenin conditional knockout keratinocytes compared with α-catenin wild-type (WT) keratinocytes. B and B′, hSCC cells expressing tGFP were injected into the neck region of NOD.Cg mice and imaged for GFP. Arrow shows the lymphatic vessels with migrating, metastatic cells that were dissected for analysis; arrowheads show the blood vasculature network, as identified by the presence of erythrocytes. C, RNA was isolated from FACS GFP+ SCC tumor and metastatic cells, and subsequently used to conduct microarray. D, RT-PCR on independent SCC tumor and metastatic cells samples confirmed the upregulation of α-catulin seen in the microarray data. E and F, epithelial hSCC cells were induced to go through EMT using various factors as indicated, for 44 hours [20 ng/mL TGF-β1, 20 ng/mL EGF, Wnt3a-conditioned media (published in ref. 38) in DMEM with 0.1% FBS]. E, cellular morphology shows successful EMT induction, which was confirmed by (F) RT-PCR using mesenchymal markers vimentin and snail. α-Catulin expression is upregulated in the mesenchymal cells. Cell–cell adhesion markers, E-cadherin and α-catenin, are unchanged on the transcriptional level after 44 hours of induction. DAPI, 4′, 6-diamidino-2-phenylindole; GAPDH, glyceraldehyde-3-phosphate dehydrogenase.
As the loss of α-catenin from cell–cell junctions in human tumors correlates with EMT and increased invasiveness, we wanted to test whether the in vitro data correlates with in vivo tumor metastasis. We generated a xenograft metastasis model where USC-HN1 cells, highly metastatic hSCC cells (4), were labeled with GFP for tracking and injected to immunocompromised NOD.Cg mice. After 5 weeks, as visualized by GFP, the injected hSCC cells formed primary SCC tumors (Fig. 1B) and had spread and metastasized to distant tissues including the lymph nodes and lungs, predominantly through the lymphatic vessels (Fig. 1B′). Carefully dissecting out the primary SCC tumor (Fig. 1B) and migrating metastatic cells (Fig. 1B′), we FACS for and collected GFP+ cells from the 2 populations (Fig. 1C). After isolating and sorting those cells, we plated them in culture to observe their cellular morphology. Initially, the metastatic cells from the lymphatic vessels show a more mesenchymal morphology, and do so up to 3 days in culture (Supplementary Fig. S1A), as compared with the cells sorted from the primary tumor (Supplementary Fig. S1C). However, after further culturing, the metastatic cells form tight epithelial colonies (Supplementary Fig. S1B) that are indistinguishable from the primary tumor cells (Supplementary Fig. S1D). This shows the high plasticity of those cells and suggests that the reversibility of the EMT process is dependent on the microenvironment.
In addition, RNA was isolated from these GFP+ primary SCC tumor and migrating, metastatic cells, and used for microarray expression profile analysis. One of the upregulated genes in the metastatic cells compared with the primary SCC tumor was α-catulin. This upregulation was confirmed on independent samples by RT-PCR (Fig. 1D).
To verify that the upregulation of α-catulin correlates with EMT in hSCC, we induced a human oral SCC cell line, SCC-15, that display an epithelial morphology to undergo EMT with various growth factors, TGF-β1, EGF, and Wnt3a, alone and in combination (Fig. 1E and F). Observing the cellular morphology, EMT induction was successful in these cells (Fig. 1E). Upon looking at the expression profiles of these cells, we saw upregulated α-catulin expression in the cells that have undergone EMT (Fig. 1F). Increased α-catulin expression in the cells correlated with known mesenchymal markers, vimentin and snail. However, the expression level of cell–cell adhesion markers, E-cadherin and α-catenin, are unchanged on the transcriptional level after 44 hours of EMT-inducing factors. This observation correlated with previous findings described by Maeda and colleagues (23) that the TGF-β1–induced morphologic changes associated with EMT, preceded the downregulation of E-cadherin. This discrepancy may be due to the stability of E-cadherin mRNA and/or protein. Another possible explanation is that, for efficient negative regulation of E-cadherin, cells need to acquire a certain threshold level of snail or SIP1 to function effectively (23). In the case of α-catenin, although the loss of its mRNA and protein in cancer cells can be attributed to epigenetic mechanisms of gene silencing, there are instances where the loss of plasma membrane staining and subsequent cytoplasmic accumulation of α-catenin are associated with increased metastasis and decreased patient survival (24).
To correlate changes in α-catenin and α-catulin expression and localization in vivo, we took advantage of our xenograft metastasis model previously described and presented in (Fig. 1B). Tumors that formed from the injection of GFP-labeled hSCC cells were analyzed after 5 weeks by immunofluorescence. In the center of the tumor, there is an abundance of cell–cell junctions, with E-cadherin and α-catenin localized on the membrane (Fig. 2A and C). The tumor centers did not express α-catulin or vimentin, when analyzing serial sections (Fig. 2E and G). On the other hand, the tumor invasion front, enriched in streams of metastatic cells, can be characterized by the loss of cell–cell junctions, as visualized by the lack of membrane-localized E-cadherin and α-catenin (Fig. 2B and D). Serial sections of the same streams of tumor cells show high expression of α-catulin and the mesenchymal marker vimentin (Fig. 2F and H). The loss of α-catenin from cell–cell adhesion sites in invasive tumor cells correlates with the upregulation of α-catulin.
Loss of cell–cell adhesion in invasive tumor cells correlate with the upregulation of α-catulin. Tumors formed from the injection of GFP-labeled hSCC cells were analyzed for cell–cell adhesion markers (A–D), α-catulin (E–F), and the mesenchymal marker, vimentin (G–H) by immunofluorescence. Left, sections from the center of the solid primary tumor; right, sections of invasive streams of tumor cells. Representative images are shown, with selected regions magnified as marked. Arrowheads point out the presence of cell–cell adhesion markers at the cell junctions in the tumor center (A and C); asterisks show the lack of cell–cell adhesion markers on the cell membrane in the invasive streams of tumor cells (B and D) or the lack of α-catulin (E) and vimentin (G) in the tumor center; arrows show the migrating, invasive tumor cells that are expressing α-catulin (F) or vimentin (H).
Loss of cell–cell adhesion in invasive tumor cells correlate with the upregulation of α-catulin. Tumors formed from the injection of GFP-labeled hSCC cells were analyzed for cell–cell adhesion markers (A–D), α-catulin (E–F), and the mesenchymal marker, vimentin (G–H) by immunofluorescence. Left, sections from the center of the solid primary tumor; right, sections of invasive streams of tumor cells. Representative images are shown, with selected regions magnified as marked. Arrowheads point out the presence of cell–cell adhesion markers at the cell junctions in the tumor center (A and C); asterisks show the lack of cell–cell adhesion markers on the cell membrane in the invasive streams of tumor cells (B and D) or the lack of α-catulin (E) and vimentin (G) in the tumor center; arrows show the migrating, invasive tumor cells that are expressing α-catulin (F) or vimentin (H).
α-Catulin is expressed at the invasion front and in migrating, metastatic streams of cells in SCC
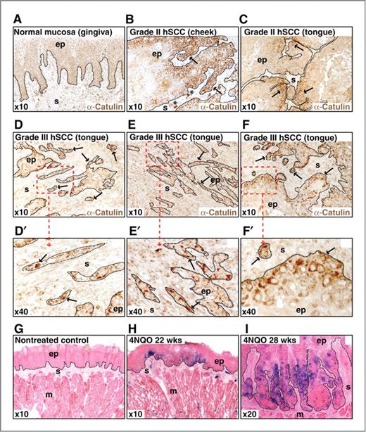
Upon seeing α-catulin upregulated in the mouse model of tumor metastasis in vivo and in EMT-induced mesenchymal cells in vitro, we wanted to see how this correlated with hSCCs. In a tissue array consisting of 6 samples of normal human oral mucosa (each sample in duplicate) and 20 various grade hHNSCCs (each sample in triplicate), α-catulin showed low levels of expression in the normal mucosa epithelium, and although α-catulin expression varied slightly in level and pattern in the malignant grade SCCs, in 18 of 20 cases, it mostly localized to the invasion front of the primary tumor (Fig. 3A–F). In higher grade SCCs that had streams of cells metastasizing away from the primary tumor, α-catulin was strongly expressed in those motile, invasive cells (Fig. 3D′–F′).
α-Catulin is expressed at the invasion front and in migrating cells in SCCs. A–F, immunohistochemical analyses shows α-catulin expression in a tissue array consisting of 20 cases of hHNSCCs and 6 normal oral mucosa epithelium. Tissue origin and tumor grade, as provided by the manufacturer, is indicated. A–F, representative images are shown. Asterisks point out the migrating, metastatic tumor cells. There is minimal α-catulin expression in the normal epithelium (A), when compared with the HNSCCs (B–F). D′–F′, selected regions from higher grade SCCs are magnified. G–I, mice expressing the β-galactosidase reporter under endogenous α-catulin promoter were given drinking water containing 4NQO for 16 weeks to induce oral SCC (25). Mice were examined 22 (H) and 28 weeks (I) after initial 4NQO administration. 4NQO-induced SCC lesions formed on the tongues compared with untreated controls (G), with higher grade dysplasia at 28 weeks, reflecting the carcinogenic progression. Analyzing frozen tongue sections and staining with X-Gal show α-catulin expressed at the invasion front of migrating SCCs. Magnification is as indicated. ep, epithelium; m, muscle; s, stroma.
α-Catulin is expressed at the invasion front and in migrating cells in SCCs. A–F, immunohistochemical analyses shows α-catulin expression in a tissue array consisting of 20 cases of hHNSCCs and 6 normal oral mucosa epithelium. Tissue origin and tumor grade, as provided by the manufacturer, is indicated. A–F, representative images are shown. Asterisks point out the migrating, metastatic tumor cells. There is minimal α-catulin expression in the normal epithelium (A), when compared with the HNSCCs (B–F). D′–F′, selected regions from higher grade SCCs are magnified. G–I, mice expressing the β-galactosidase reporter under endogenous α-catulin promoter were given drinking water containing 4NQO for 16 weeks to induce oral SCC (25). Mice were examined 22 (H) and 28 weeks (I) after initial 4NQO administration. 4NQO-induced SCC lesions formed on the tongues compared with untreated controls (G), with higher grade dysplasia at 28 weeks, reflecting the carcinogenic progression. Analyzing frozen tongue sections and staining with X-Gal show α-catulin expressed at the invasion front of migrating SCCs. Magnification is as indicated. ep, epithelium; m, muscle; s, stroma.
To be certain that the antibody staining results truly reflect α-catulin expression, we used a previously published mouse model of 4-nitroquinoline-oxide (4NQO)-induced tongue SCC (25) on transgenic α-catulin-β-galactosidase reporter mouse line generated in our laboratory, where the β-galactosidase reporter gene is under the control of endogenous α-catulin promoter. Mice were administered 4NQO, a DNA adduct-forming compound that serves as a surrogate to tobacco exposure, to induce oral SCC. When visualizing α-catulin expression by X-Gal staining in the 4NQO-induced SCC after 22 weeks, it is strongly expressed at the invasion front of the epithelium where it invaginates into the dermis (Fig. 3H). Twenty-eight weeks after initial 4NQO administration, we observe deeper invagination of the epidermis, correlating with the carcinogenic progression, and increased α-catulin expression (Fig. 3I). α-Catulin expression is increased in 4NQO-induced SCCs compared with low basal levels of expression in nontreated controls (Fig. 3G). These data in our animal model of oral SCC, correlates with the human tumor tissue array that was analyzed, where α-catulin has increased expression in SCCs and in addition, is expressed in the invasion front of the tumor.
α-Catulin–deficient tumor cells are unable to efficiently migrate and invade in vitro
Upon seeing the upregulation of α-catulin in more mesenchymal, metastatic SCC cells, we wanted to test the role of this protein in tumor cell migration and invasion. To obtain stable hSCC cell lines deficient of α-catulin, we generated lentivirus-containing α-catulin–specific shRNA to knockdown α-catulin in an oral cancer cell line SCC-15. We were able to successfully knockdown α-catulin in the SCC-15 cell line (G85), compared with cells transduced with the nonsilencing control (GNS) on the RNA (Fig. 4A and 4A′) and protein (Fig. 4B) level.
Ablation of α-catulin in hSCC cell lines decrease their migration and invasion in vitro. A and B, shRNA lentiviral system was used to generate stable hSCC cell lines that were α-catulin–deficient. The specific knockdown (KD) of α-catulin in SCC-15 cells (G85) compared with the nonsilencing control (GNS), was confirmed by RT-PCR (A), real-time qPCR (A′), and Western blotting (B). ***, statistical significance was assessed by t test (P < 0.001). In vitro cell migration (C) and invasion (D) was decreased in α-catulin–ablated SCC-15 cells; cells were visualized with toluidine blue. Standard error bars are shown (n = 3 for cell migration assay and n = 3 for invasion assay). E, conducting a cell growth assay, it was observed that the knockdown of α-catulin did not affect cell growth in SCC-15 cells, as compared with the control.
Ablation of α-catulin in hSCC cell lines decrease their migration and invasion in vitro. A and B, shRNA lentiviral system was used to generate stable hSCC cell lines that were α-catulin–deficient. The specific knockdown (KD) of α-catulin in SCC-15 cells (G85) compared with the nonsilencing control (GNS), was confirmed by RT-PCR (A), real-time qPCR (A′), and Western blotting (B). ***, statistical significance was assessed by t test (P < 0.001). In vitro cell migration (C) and invasion (D) was decreased in α-catulin–ablated SCC-15 cells; cells were visualized with toluidine blue. Standard error bars are shown (n = 3 for cell migration assay and n = 3 for invasion assay). E, conducting a cell growth assay, it was observed that the knockdown of α-catulin did not affect cell growth in SCC-15 cells, as compared with the control.
In vitro migration and invasion assays using this cell line showed that α-catulin ablation in SCC cells decreased the ability of these cells to migrate (Fig. 4C) and invade (Fig. 4D). Analyzing these cells for potential differences in proliferation rate, we conducted a growth assay and did not see a difference between control and α-catulin–deficient cancer cells (Fig. 4E). To show that the effect of α-catulin ablation is independent of the cell line used, we also knocked down α-catulin in the relatively mesenchymal and invasive human breast cancer cell line, MDA-MB-231. The levels of α-catulin were significantly decreased in MDA-MB-231 cells (G85), compared with cells transduced with the nonsilencing control (GNS) on the RNA (Supplementary Fig. S2A and S2A′) and protein (Supplementary Fig. S2B) level. In vitro migration and invasion assays using this cell line, again, showed that α-catulin ablation decreased the ability of these cells to migrate (Supplementary Fig. S2C) and invade (Supplementary Fig. S2D).
Ablation of α-catulin in hSCC cell lines decrease their metastatic potential in vivo
α-Catulin–ablated hSCC cells are less migratory and invasive in vitro; we wanted to test whether our observations are relevant in vivo. Two oral SCC cell lines, SCC-15 and USC-HN1, were initially tested, but as the SCC-15 cell line showed poor metastatic potential in vivo, it was excluded from further in vivo metastasis assays. In this experiment, we took advantage of the lentiviral shRNA constructs that also contained a turboGFP reporter (GNS/G85 stable lines) or turboRFP reporter (TNS/T84 inducible stable lines) for visualization of cells transduced with 2 independent α-catulin shRNAs. The levels of α-catulin were efficiently decreased in both systems, USC-HN1 T84 and USC-HN1 G85, compared with cells transduced with the nonsilencing control, USC-HN1 TNS and USC-HN1 GNS, on the RNA (Fig. 5B and B′ and N and N′) and protein level (Fig. 5C and O). Nonsilencing control and α-catulin knocked down hSCC cells were injected subcutaneously in the neck area into immunocompromised NOD.Cg mice, and the tumors that formed after 5 to 9 weeks were collected for analysis. Overall, we observed that tumors from the control GNS or TNS and α-catulin knockdown G85 or T84 cells were similar in size (Fig. 5A and M). Our observations were consistent when using 2 different systems with independent α-catulin–specific shRNAs, in which in one system, α-catulin knockdown occurred directly after lentiviral transduction (GNS/G85), and in the other system, knockdown occurred in an inducible manner (TNS/T84), after doxycycline induction, once the tumors begin to form.
Ablation of α-catulin in hSCC cell lines decreases their metastatic potential in xenotransplants in vivo. Upon injecting hSCC USC-HN1 TNS (A) and USC-HN1 GNS (M; nonsilencing control cells) and hSCC USC-HN1 T84 and USC-HN1 G85 (α-catulin knockdown cells) into NOD.Cg mice, tumors of similar sizes formed. The specific knockdown of α-catulin in hSCC USC-HN1 T84 and G85 cells compared with the nonsilencing control hSCC USC-HN1 TNS and GNS cells, was confirmed by RT-PCR (B and N), real-time qPCR (B′ and N′), and Western blotting (C and O). E–L and Q–X, tumors formed from control cells (top) and α-catulin knockdown cells (bottom) show a dramatic decrease in cells that metastasized to the lungs, as visualized by tRFP (E–L) and tGFP (Q–X) expression, in α-catulin–deficient xenografts. Arrows show metastatic groups of cells. D and P, quantification of metastatic foci formed in the lungs from the injection of control and α-catulin–deficient USC-HN1 tumor cells. Standard error bars are shown. (n = 3 for TNS/T84 lentiviral system and n = 5 for GNS/G85 lentiviral system). ***, statistical significance was assessed by t test (P < 0.001).
Ablation of α-catulin in hSCC cell lines decreases their metastatic potential in xenotransplants in vivo. Upon injecting hSCC USC-HN1 TNS (A) and USC-HN1 GNS (M; nonsilencing control cells) and hSCC USC-HN1 T84 and USC-HN1 G85 (α-catulin knockdown cells) into NOD.Cg mice, tumors of similar sizes formed. The specific knockdown of α-catulin in hSCC USC-HN1 T84 and G85 cells compared with the nonsilencing control hSCC USC-HN1 TNS and GNS cells, was confirmed by RT-PCR (B and N), real-time qPCR (B′ and N′), and Western blotting (C and O). E–L and Q–X, tumors formed from control cells (top) and α-catulin knockdown cells (bottom) show a dramatic decrease in cells that metastasized to the lungs, as visualized by tRFP (E–L) and tGFP (Q–X) expression, in α-catulin–deficient xenografts. Arrows show metastatic groups of cells. D and P, quantification of metastatic foci formed in the lungs from the injection of control and α-catulin–deficient USC-HN1 tumor cells. Standard error bars are shown. (n = 3 for TNS/T84 lentiviral system and n = 5 for GNS/G85 lentiviral system). ***, statistical significance was assessed by t test (P < 0.001).
Upon injecting these cells into mice, we can visualize tumor formation and track metastasis with the turboGFP and turboRFP reporters in vivo. We found that subcutaneous injection of the fluorescently labeled tumor cells in the neck area is a very useful assay that allows us to quantitatively assess metastatic potential of tumor cells in vivo by counting new foci present in the lungs. We observed that α-catulin–ablated tumor cells are dramatically less metastatic in both systems (Fig. 5E–L and Q–X), which is also depicted graphically in Fig. 5D and P. These data correlate well with our in vitro data, where the ablation of α-catulin in human tumor cells results in a decrease in the migratory and invasive potential of those cells.
To address previous findings (26) that α-catulin–deficient cells are more apoptotic, we analyzed control and α-catulin–deficient hSCC cells for AnnexinV activity under normal culture conditions and after the induction of apoptosis (Supplementary Fig. S3B). We do not see a significant difference in AnnexinV profiles between the 2 cell populations. This is not due to differences in proliferation rates as we did not observe differences in the growth rates in USC-HN1 cell lines (Supplementary Fig. S3A). It is possible that the discrepancy between what we see here and what was previously reported may be due to different cell lines used or differences in levels of α-catulin knockdown.
Signaling pathways changed by the loss of α-catulin
To better understand how the ablation of α-catulin in tumors lead to decreased capability to metastasize, we dissected the control GNS and α-catulin–deficient G85 tumors, FACS for a pure GFP+ population of epithelial tumor cells, and isolated RNA from them for microarray expression profiling. We conducted functional annotation of the microarray data using Ingenuity Pathways Software to identify the biologic functions that were significantly represented in the α-catulin–deficient tumors. Cellular movement, including invasion and migration, was among the 10 most enriched categories (Table 1).
Genes involved in cellular movement are differentially expressed in α-catulin–deficient tumor
| Category . | Functions . | P . | Molecules . |
|---|---|---|---|
| Cellular movement | Invasion | 9.84E-04 | ADAM9, ANXA1, ASAP1, BCAR1, CD44, CD9, CDKN1B, COL18A1, CSNK2A2, CTTN, DIAPH2, DPP4, ENPP2, ETS1, ETV1, FAM5C, HIF1A, HIPK2, ID2, IGF1R, IQGAP1, ITGA2, ITGA6, ITGB1, KITLG, LGR4, MARCKS, MET, MMP1, FE2L2, PDCD4, PICALM, PRKAA1, PTGS2, PTK2, PTP4A1, SEL1L, SERPINE1, SP100, TNFSF10, XIAP |
| Cellular movement | Migration | 6.43E-04 | ADAM10, AGK, ASAP1, BCAR1, C5ORF13, CASP8, CD44, CDKN1B, LIC4, COL18A1, CTBP2, CTTN, DBF4, DEFB1, DPP4, DPYSL2, ENPP2, ETS1, FAM5C, FOXO3, GNA13, HIF1A, IGF1R, IQGAP1, ITGA2, ITGA6, ITGB1, KITLG, MAP3K7, MET, MLL, PTGS2, PTK2, PTP4A1, PTPN11, RANBP9, REPS2, RLN2, SAA1, SERPINE1, SP100, TGM2, TMOD3, TNFAIP8, TNFSF10, LAMB1 |
| Category . | Functions . | P . | Molecules . |
|---|---|---|---|
| Cellular movement | Invasion | 9.84E-04 | ADAM9, ANXA1, ASAP1, BCAR1, CD44, CD9, CDKN1B, COL18A1, CSNK2A2, CTTN, DIAPH2, DPP4, ENPP2, ETS1, ETV1, FAM5C, HIF1A, HIPK2, ID2, IGF1R, IQGAP1, ITGA2, ITGA6, ITGB1, KITLG, LGR4, MARCKS, MET, MMP1, FE2L2, PDCD4, PICALM, PRKAA1, PTGS2, PTK2, PTP4A1, SEL1L, SERPINE1, SP100, TNFSF10, XIAP |
| Cellular movement | Migration | 6.43E-04 | ADAM10, AGK, ASAP1, BCAR1, C5ORF13, CASP8, CD44, CDKN1B, LIC4, COL18A1, CTBP2, CTTN, DBF4, DEFB1, DPP4, DPYSL2, ENPP2, ETS1, FAM5C, FOXO3, GNA13, HIF1A, IGF1R, IQGAP1, ITGA2, ITGA6, ITGB1, KITLG, MAP3K7, MET, MLL, PTGS2, PTK2, PTP4A1, PTPN11, RANBP9, REPS2, RLN2, SAA1, SERPINE1, SP100, TGM2, TMOD3, TNFAIP8, TNFSF10, LAMB1 |
NOTE: Signaling pathways changed by the loss of α-catulin in SCC tumors. Microarray analysis of nonsilencing control and α-catulin–ablated tumors, and subsequent functional annotation of the array data using Ingenuity Pathways Software, identified the biologic functions that were significantly changed in the α-catulin–deficient tumors. Cellular movement, including invasion and migration, was among the most enriched categories; selected categories are listed. Downregulated genes, in α-catulin–deficient tumor compared with control tumor, are indicated in bold, and upregulated genes are underlined.
α-Catulin–deficient tumors that are unable to metastasize showed a decrease in integrin expression, specifically ITGA2, ITGA6, and ITGB1, and in addition, a decrease in genes involved in integrin signaling, including ASAP1, BCAR1, PTK2, PIK3CA, PARVA, ACTR2, CTTN, and LAMB1.
Interestingly, many of the genes decreased in α-catulin–deficient tumors are involved in Met/hepatocyte growth factor (HGF) signaling pathway. Those genes include: MET, ELF1, ETS1, KRAS, MAP3K7, PIK3CA, PTGS2, PTK2, and PTPN11. Met/HGF signaling was shown to contribute to oncogenesis and tumor progression in several human cancers, and in addition to promote aggressive cellular invasiveness, which is strongly linked to tumor metastasis (8, 27).
α-Catulin–deficient hSCC lack vimentin-positive cells at the invasion front and are unable to rearrange the ECM for invasion and metastasis in vivo
To verify the changes observed in the microarray and further analyze α-catulin–deficient tumors that were unable to metastasize to distant tissues, we dissected out the tumors that formed from control GNS- and α-catulin–deficient G85-injected cells and analyzed them by immunofluorescence. Studying the tumor morphology, we notice that the control tumor has streams of invasive cells that are not present in the α-catulin–deficient tumor, which is still well separated from the surrounding stroma (Fig. 6A and B). We wanted to confirm localization of α-catulin in the normal tumor and its absence in the α-catulin–deficient tumors by staining with α-catulin antibody (Fig. 6C and D). In the control tumor (Fig. 6C), α-catulin is expressed at the invasion front and in the migratory streams of cancer cells, similar to what was seen in the hHNSCC tissue array (Fig. 3B–F). α-Catulin was indeed absent in the tumors that formed from injection of α-catulin–deficient cells (Fig. 6D). Samples were also stained with the proliferation marker Ki67 to exclude any effects due to differences in tumor growth; similar cell proliferation was observed (Supplementary Fig. S4A and S4B). This correlates with the growth curves of these cells (Supplementary Fig. S3A).
α-Catulin–ablated hSCC cells are unable to rearrange ECM components to migrate and invade in vivo. We analyzed the tumors that formed from the injection of α-catulin–deficient and control hSCC cell lines, where tGFP expression marks the transduced cancer cells. A and B, hematoxylin and eosin (H&E) staining of the tumors allow for visualization of the general tumor morphology. C–L, immunofluorescent staining of frozen sections of the tumors that formed from the injection of control (wild-type, WT) and α-catulin–deficient (knockdown, KD) hSCC cell lines with antibodies as indicated. Arrows indicate invasive tumor fronts in control tumors, whereas dashed lines indicate less invasive tumor margins in α-catulin–deficient tumors. ep, epithelium; s, stroma.
α-Catulin–ablated hSCC cells are unable to rearrange ECM components to migrate and invade in vivo. We analyzed the tumors that formed from the injection of α-catulin–deficient and control hSCC cell lines, where tGFP expression marks the transduced cancer cells. A and B, hematoxylin and eosin (H&E) staining of the tumors allow for visualization of the general tumor morphology. C–L, immunofluorescent staining of frozen sections of the tumors that formed from the injection of control (wild-type, WT) and α-catulin–deficient (knockdown, KD) hSCC cell lines with antibodies as indicated. Arrows indicate invasive tumor fronts in control tumors, whereas dashed lines indicate less invasive tumor margins in α-catulin–deficient tumors. ep, epithelium; s, stroma.
α-Catulin–deficient tumors lacked streams of invasive cells when compared with control tumors; we therefore analyzed the tumors for EMT with vimentin, a mesenchymal marker (Fig. 6E and F). The control tumor (Fig. 6E) has small groups of cells that express vimentin, whereas in α-catulin–ablated tumors (Fig. 6F), there is no vimentin expression.
As our array data showed that integrin signaling was affected, and it is known that integrins are involved in bidirectional signaling resulting in ECM rearrangement and transduction of ECM signals to achieve cell movement, we focused our analysis on integrin and ECM components in α-catulin–deficient tumors. Examining β4 integrin, a marker of the basal layer, we see small streams of cells in the control tumor (Fig. 6G) that express β4 integrin, but in the α-catulin–deficient tumor (Fig. 6H), it is only expressed in the solid tumor. Laminin, a component of the ECM and also downregulated in the microarray, is also minimally expressed in α-catulin–deficient tumors (Fig. 6J), whereas in α-catulin–positive tumors (Fig. 6I), laminin is present at the invasion front where it is aligned with the streams of migrating tumor cells. CD44, which is involved in cell migration, was also decreased in α-catulin–deficient tumors when analyzed by microarray (Table 1). Immunofluorescent staining of the tumors that formed from control GNS- and α-catulin–deficient G85-injected cells confirmed those array data (Fig. 6K and L). In α-catulin–positive tumors, CD44 is strongly expressed in the streams of invasive cells (Fig. 6K), whereas in α-catulin–deficient tumors, it is minimally expressed (Fig. 6L). We also notice that control tumors express more lyve-1, a marker of lymphatic vessels, than α-catulin knockdown tumors, indicating that the control tumor is more lymphogenetic, able to invade the surrounding stroma, and create their own lymphatic vasculature network (Supplementary Fig. S4C and S4D).
Because we observed a decrease in Met/HGF signaling pathway genes that can transduce signals to mitogen-activated protein kinase (MAPK), which have been implicated in cell migration in a number of studies, we looked at the MAPK family member c-jun-NH2-kinase (JNK; reviewed in ref. 28). When examining the tumors that formed, we observed an increase in activated phosphorylated JNK in the control tumors at the invasion front (Supplementary Fig. S4E and S4F). This suggests that the downregulation of phospho-JNK may indirectly play a role in decreased cell migration and subsequent metastasis observed in α-catulin–deficient tumors.
Discussion
Among the many changes in gene expression and protein function that occur during tumor progression, alterations in cell–cell and cell–matrix adhesion seem to have a central role in facilitating tumor cell migration, invasion, and metastatic dissemination. E-cadherin and/or α-catenin are lost concomitantly with tumor progression in most epithelial cancers.
In our study, we find that the ablation of tumor suppressor α-catenin in the epithelium results in a loss of formation of cell–cell junctions, accompanied by increased proliferation and motility, and correlates with the increase in expression of a recently described α-catenin homologue, α-catenin–like 1, α-catulin. Interestingly, upregulation of α-catulin expression in vitro correlates with the transition of tumor cells from an epithelial to mesenchymal morphology, and increased expression of EMT markers vimentin and snail. We showed that in vivo, α-catulin is highly expressed at the invasion front and in the migratory, metastatic streams of cells in malignant hHNSCCs and in a mouse model of oral SCC. Knockdown of α-catulin in hHNSCC cell lines dramatically decreases the migratory and invasive potential of those cells in vitro and metastatic potential in xenotransplants in vivo. Although α-catulin shows high homology with α-catenin, our data indicate that α-catulin might have a new role in modulating tumor invasion and migration in vivo.
Our analysis of tumors deficient in α-catulin showed that these tumor cells are unable to invade the surrounding stroma. Transcriptional profiling of those tumors revealed that α-catulin ablation is accompanied by changes in genes involved in cell migration and invasion, including integrins and Met receptor.
HGF and its receptor c-Met are key mediators of tumor progression. As part of its role in signal transduction, c-Met also selectively interacts with the cell adhesion molecule α6β4 integrin, which is itself phosphorylated by c-Met kinase to generate additional docking sites for other molecules and signaling effectors, and this in turn potentiates HGF-induced invasion and metastasis. The hyaluronan receptor CD44, that was also downregulated in α-catulin–deficient tumors, also cooperates with c-Met–mediated signal transduction (8). Downregulation of Met/HGF and integrin signaling in α-catulin–deficient tumors indicate a possible role for α-catulin in mediating those signals.
Integrins are known to transduce ECM adhesion signals and activate Rho proteins. The fact that α-catulin contains a talin-binding domain suggests that α-catulin may act as a scaffold for Rho signaling at the site of integrin activation. Rho, overexpressed in multiple cancers types, is responsible for cell contraction and regulating stress fibers during cell movement (29, 30). In addition, α-catulin has been shown to interact with the dystroglycan complex, another ECM receptor, through direct binding to dystrophin, further suggesting a role for it in cell migration (16, 17). In the future, it will be important to test whether α-catulin can interact directly with talin, and if so, whether this interaction is important for α-catulin function in cell migration.
Metastasis, a crucial step for tumor cells to invade distant tissues, has long been the target for cancer therapy as it is responsible for more than 90% of cancer-related deaths (2). α-Catulin is mapped in the human chromosome to a region where frequent mutations occur in a number of tumor types, including bladder, ovarian, esophageal SCC, and testicular cancer, and lymphomas (31–37). Although the regulation of and exact mechanism in which α-catulin acts is not yet clear, our current findings here suggest that α-catulin may be a good candidate for such therapeutics, as its knockdown dramatically decreases the invasive, metastatic potential of SCC tumor cells.
Disclosure of Potential Conflicts of Interest
The content is solely the responsibility of the authors and does not necessarily represent the official views of the National Cancer Institute or the NIH. No potential conflicts of interest were disclosed.
Authors' Contributions
Conception and design: C. Cao, A. Kobielak
Development of methodology: C. Cao, A. Kobielak
Acquisition of data (provided animals, acquired and managed patients, provided facilities, etc.): C. Cao, U.K. Sinha
Analysis and interpretation of data (e.g., statistical analysis, biostatistics, computational analysis): C. Cao, Y. Chen, A. Kobielak
Writing, review, and/or revision of the manuscript: C. Cao, R. Masood, A. Kobielak
Administrative, technical, or material support (i.e., reporting or organizing data, constructing databases): C. Cao, U.K. Sinha
Study supervision: A. Kobielak
Developed HN cell lines whcih is used in this manuscript: R. Masood
Acknowledgments
The authors thank Lora Barsky at the USC Flow Cytometry Core for technical assistance.
Grant Support
This work was partially supported by the NIH/NIDCR grant R215351568360 to A. Kobielak. In addition, the project was supported in part by award number P30CA014089 from the NCI.
The costs of publication of this article were defrayed in part by the payment of page charges. This article must therefore be hereby marked advertisement in accordance with 18 U.S.C. Section 1734 solely to indicate this fact.
![Figure 1. α-Catulin is expressed in motile, mesenchymal cells. A, RT-PCR shows that α-catulin is upregulated in motile mouse α-catenin conditional knockout keratinocytes compared with α-catenin wild-type (WT) keratinocytes. B and B′, hSCC cells expressing tGFP were injected into the neck region of NOD.Cg mice and imaged for GFP. Arrow shows the lymphatic vessels with migrating, metastatic cells that were dissected for analysis; arrowheads show the blood vasculature network, as identified by the presence of erythrocytes. C, RNA was isolated from FACS GFP+ SCC tumor and metastatic cells, and subsequently used to conduct microarray. D, RT-PCR on independent SCC tumor and metastatic cells samples confirmed the upregulation of α-catulin seen in the microarray data. E and F, epithelial hSCC cells were induced to go through EMT using various factors as indicated, for 44 hours [20 ng/mL TGF-β1, 20 ng/mL EGF, Wnt3a-conditioned media (published in ref. 38) in DMEM with 0.1% FBS]. E, cellular morphology shows successful EMT induction, which was confirmed by (F) RT-PCR using mesenchymal markers vimentin and snail. α-Catulin expression is upregulated in the mesenchymal cells. Cell–cell adhesion markers, E-cadherin and α-catenin, are unchanged on the transcriptional level after 44 hours of induction. DAPI, 4′, 6-diamidino-2-phenylindole; GAPDH, glyceraldehyde-3-phosphate dehydrogenase.](https://aacr.silverchair-cdn.com/aacr/content_public/journal/mcr/10/7/10.1158_1541-7786.mcr-12-0169/3/m_892fig1.jpeg?Expires=1709157836&Signature=Zkl-2~KFB8M6hmrfi2-CPWwhN7jkTfDMmrkGDO2h6KQ61K8fl2FZdThEbnafpOLuNm07Ss7PtQ2JN3D3U2aRZWSUgTcv6BvUWQN3RjlbJCvXztsqgd7u9HaQDYUeKaQyeBJHwZBKjRaOyN4I2CeamesgIgO9U6kRZo6gdrJ-5tG~YaypNoUPN5a8bNBcXxMf7SoIKWQgSvu~i7QLPa6tB2hbm~D~QThM0kDMDda32x45IOwdDWj7i0EtZFEmaoILtoja2usekq6vjoJzRAC~jzOS4HbXXvh8Wfb-aMlxXBXX7DDpfB6wy343ClCEh1vcFITk45J95VwDKa63cud22w__&Key-Pair-Id=APKAIE5G5CRDK6RD3PGA)




