Abstract
Purpose: Talimogene laherparepvec, a new oncolytic immunotherapy, has been recently approved for the treatment of melanoma. Using a murine version of the virus, we characterized local and systemic antitumor immune responses driving efficacy in murine syngeneic models.
Experimental Design: The activity of talimogene laherparepvec was characterized against melanoma cell lines using an in vitro viability assay. Efficacy of OncoVEXmGM-CSF (talimogene laherparepvec with the mouse granulocyte-macrophage colony-stimulating factor transgene) alone or in combination with checkpoint blockade was characterized in A20 and CT-26 contralateral murine tumor models. CD8+ depletion, adoptive T-cell transfers, and Enzyme-Linked ImmunoSpot assays were used to study the mechanism of action (MOA) of systemic immune responses.
Results: Treatment with OncoVEXmGM-CSF cured all injected A20 tumors and half of contralateral tumors. Viral presence was limited to injected tumors and was not responsible for systemic efficacy. A significant increase in T cells (CD3+/CD8+) was observed in injected and contralateral tumors at 168 hours. Ex vivo analyses showed these cytotoxic T lymphocytes were tumor-specific. Increased neutrophils, monocytes, and chemokines were observed in injected tumors only. Importantly, depletion of CD8+ T cells abolished all systemic efficacy and significantly decreased local efficacy. In addition, immune cell transfer from OncoVEXmGM-CSF-cured mice significantly protected from tumor challenge. Finally, combination of OncoVEXmGM-CSF and checkpoint blockade resulted in increased tumor-specific CD8+ anti-AH1 T cells and systemic efficacy.
Conclusions: The data support a dual MOA for OncoVEXmGM-CSF that involves direct oncolysis of injected tumors and activation of a CD8+-dependent systemic response that clears injected and contralateral tumors when combined with checkpoint inhibition. Clin Cancer Res; 23(20); 6190–202. ©2017 AACR.
Breakthrough oncology immunotherapies targeting checkpoint inhibition allow preexisting, tumor-specific cytotoxic T cells to replicate and attack the patient's tumor. Unfortunately, the combination of an immunosuppressive tumor microenvironment and/or lack of tumor-specific cytotoxic T cells renders these immunotherapies ineffective in most patients with cancer. Oncolytic virus immunotherapy is able to foster an inflammatory tumor microenvironment and generate new tumor-specific T-cell responses representing the ideal partner for checkpoint inhibitor therapy. Our results provide mechanistic data supporting the systemic efficacy of talimogene laherparepvec in combination with CTLA-4 blockade. The significant efficacy enhancement observed in these animal models and in the recent phase II clinical study combining talimogene laherparepvec with ipilimumab in patients with advanced melanoma suggest that this combination is a viable option to generate specific and efficacious antitumor adaptive immune responses in patients with cancer who might not benefit from single-agent therapy with checkpoint inhibitors.
Introduction
Understanding of the interactions between tumors and the immune system has resulted in breakthrough oncology immunotherapies, including Blincyto, a CD19-CD3 bispecific T-cell engager (BiTE), Opdivo, Tecentriq, and Keytruda, anti–programmed cell death protein (PD)-1 monoclonal antibodies, and Yervoy, an anti–cytotoxic T-lymphocyte–associated protein (CTLA)-4 monoclonal antibody (1). These agents build on clinical and mechanistic data that demonstrate the central role of tumor-specific CD8+ T cells in mediating tumor elimination (2–4). Appropriate T-cell activation is regulated by dendritic cells (DC), which detect peripheral tumor antigen, become activated, and migrate to secondary lymphoid tissues to induce antitumor responses (5, 6). Emergent tumors may develop strategies to evade this immune response, including expression of factors that suppress DC/T-cell activity (7–9).
Currently approved immunotherapies can overcome tumor-induced immune suppression by blocking negative immunoregulatory signals [e.g., CTLA-4 (10) or PD-1 (11)]. Oncolytic viruses may complement immunotherapies by selectively killing infected tumor cells (thereby releasing tumor antigens) and promoting specific anti-tumor immunity (by acting as viral adjuvants and by inducing proinflammatory tumor cell death); such activities are further enhanced by expression of transgenes designed to promote adaptive immune responses (12).
The available clinical evidence supports the safety of intratumorally administered oncolytic viruses, with modest side effects (13–16). Talimogene laherparepvec was designed to kill neoplastic cells by direct lysis and stimulation of a tumor antigen–specific adaptive immune response. Removal of the ICP34.5 gene from herpes simplex virus type 1 (HSV-1) confers tumor-selective replication and markedly reduces neurovirulence (17–20). Insertion of human granulocyte macrophage colony-stimulating factor (GM-CSF) allows local GM-CSF expression to trigger the influx and activation of DCs, which present tumor-associated antigens from lysed tumor cells. These DCs are intended to prime tumor-specific CD4+ and CD8+ T cells to stimulate a systemic and antitumor adaptive immune response (21, 22). Additional modifications include removal of the ICP47 gene, and immediate early expression of US11 (12).
Studies using mouse syngeneic models have demonstrated antitumor activity of talimogene laherparepvec in injected and contralateral tumors (12). These results support the development of adaptive antitumor immune responses and are consistent with emerging clinical evidence in treated patients (23). To gain further insight into the immune-mediated mechanisms of systemic activity, we have conducted studies in syngeneic murine tumor models using a version of talimogene laherparepvec that expresses the murine GM-CSF gene (OncoVEXmGM-CSF). Here, we detail the presence of viral particles to injected tumors only, describe longitudinal changes in chemokine expression and immune-cell infiltrates, pinpoint the key role of CD8+ cytotoxic cells in systemic efficacy, and characterize the enhanced anti-tumor activity of OncoVEXmGM-CSF in combination with CTLA-4 blockade. Our data provide definitive evidence of a systemic, tumor-specific adaptive immune response triggered by OncoVEXmGM-CSF.
Materials and Methods
Oncolytic viruses, cell lines, and in vitro viability assay
The engineering of talimogene laherparepvec (IMLYGIC, Amgen Inc.) is described above and by Liu and colleagues (18). OncoVEXmGM-CSF is engineered in a manner similar to talimogene laherparepvec, with the exception that the human GM-CSF transgene is replaced with the murine GM-CSF (18). All tumor cell lines were acquired from the ATCC, and cultured as indicated. Cells were plated in a 96-well plate at 2,000 to 10,000 cell per well and incubated overnight at 37°C. Talimogene laherparepvec was added in 1:5 dilutions starting at 10 or 100 MOI. After a 72-hour incubation, the number of cells left in each well was quantified using ATP-Lite (Perkin Elmer).
Animal care and use
Female BALB/c mice (Charles River Laboratories), 6 to 8 weeks of age were cared for in accordance with the “Guide for the Care and Use of Laboratory Animals” (24). Animals were housed at Association for Assessment and Accreditation of Laboratory Animal Care International–accredited facilities (at Amgen) in ventilated micro-isolator housing on corncob bedding. All protocols were approved by an Institutional Animal Care and Use Committee. Animals had ad libitum access to sterile pelleted feed and reverse osmosis–purified water and were maintained on a 12:12-hour light:dark cycle with access to environmental enrichment opportunities.
Tumor growth evaluation in subcutaneous murine tumor models
Single-agent and combination efficacy: mouse B-lymphoma cells (cell line A20) or mouse colon carcinoma cells (cell line CT-26) were injected subcutaneously in the right and left flanks of mice (2 × 106 cells). Tumor volume (mm3) was measured using electronic calipers twice per week. Once tumors reached an average of approximately 100 mm3, animals were randomized into groups (10 mice per group) such that the average tumor volume (in both flanks) at the beginning of treatment administration was uniform across treatment groups. Animals were then administered three intratumoral injections of OncoVEXmGM-CSF or vehicle every third day. Anti-CTLA-4 antibody was administered intraperitoneally twice per week for four doses, beginning on the same day at the same time as OncoVEXmGM-CSF. Clinical signs, body weight changes, and survival (tumors reached 800 mm3) were measured two to three times weekly until study termination.
CD8+ depletion and adoptive cell transfer
CD8+ T-cell depletion was achieved by treating animals with antimouse CD8α antibody (clone 53-6.72; BioXCell) intraperitoneally, 500 μg per mouse, 3 days prior to tumor cell implantation and then twice per week until study termination.
Donor immune cells derived from spleen and axillary lymph nodes (LNs) were processed into single-cell suspensions by mechanical dissociation. The splenocytes were then depleted of red blood cells by ammonium chloride lysis before being mixed with LN cells. A total of 2.5 × 107 donor immune cells were transferred intravenously into new Balb/c recipients and then challenged with A20 tumor cells (2 × 106) on the left subcutaneous flank. The appearance of tumor formation was monitored/measured for the ensuing 50 days.
Immunohistochemistry
Tumors were either embedded in optimal cutting temperature (OCT) compound or fixed in 10% neutral buffered formalin. Frozen sections were cut at 6 μm and fixed in an acetone/absolute ethanol solution (75%/25%). Paraffin sections were cut at 5 μm, baked at 56 to 60°C for at least 60 minutes, deparaffinized in xylene, and rehydrated through graded ethanol solutions. Epitope retrieval was performed by boiling the slides in DIVA Decloaking solution (Biocare Medical, #DV2004G1).
IHC was performed on frozen sections with the following markers—HSV-1 (Biocare Medical, #APA-3027 AAK), CD3 (clone #145-2C11; BD Biosciences #550275), F4/80 (clone #CI:A3-1; AbD Serotec #MCA497R), CD8 (clone #YTS 169AG 101HL; Thermo Scientific #MA1-70041), p46 (clone #29A1.4; eBiosciences #11-3351), and CD103 (clone #2E7; AbD Serotec #MCA4705GA). IHC was performed on formalin-fixed, paraffin-embedded (FFPE) sections with the following markers—HSV-1, F4/80, Granzyme B (clone #16G6; eBiosciences #13-8822-82), and B220 (clone #RA3-6B2; BD Biosciences #553086).
Morphometric analysis was performed by staining tissue sections via IHC with an anti-B220 antibody to identify the A20 tumor regions. The tumor areas, or region of interest (ROI) were outlined manually (nonviable regions were excluded) and applied to serial images to evaluate staining for cell markers. The area occupied by CD3+, CD8+, CD103+, or Granzyme B+ cells is expressed as percentage of the total tumor area.
Digital droplet PCR analysis for HSV-1 DNA
Total DNA was extracted from pulverized tissue samples (tumor or liver) and whole blood using Qiagen's DNeasy Kit (Qiagen). Digital droplet PCR (ddPCR) was performed using Bio-Rad QX200 System (Bio-Rad). The following sequences were used to amplify HSV-1 thymidine kinase gene—forward primer, 5′-CGATATCGTCTACGTACCCG-3′; reverse primer, 5′-ATATCTCACCCTGGTCGAGG-3′; and probe, 5′-FAM-CGATGACTT/ZEN/ACTGGCGGGTG-IBFQ-3′. Viral copy-number was normalized against mouse hypoxanthine guanine phosphoribosyl transferase (HPRT) gene. The following primers and probe sequences were used to detect murine HPRT—forward primer, 5′-GCTCCACTTTGAAACAGCTG-3′; reverse primer, 5′-CTTTTTCCAAATCCTCGGCA-3′; and probe 5′-HEX-TGCAGATTAGCGATGATGAACCA- BHQ-1-3′. DNA was digested with HaeIII before PCR amplification. Thermal cycling conditions are 95°C for 10 minutes, then 40 cycles at 94°C for 30 seconds, and 60°C for 1 minute, followed by 98°C for 10 minutes.
Gene product analysis
OCT-embedded or flash-frozen tissues were processed using a TissueLyzer (Qiagen). mRNA was extracted using RNEasy columns (Qiagen) and converted to cDNA using the High-Capacity cDNA Reverse Transcription Kit (Applied Biosystems). qPCR assay primer sets consisting of amplification primers and labeled probes for individual gene assays were synthesized by Integrated DNA Technologies. Pre-amplification and qPCR reactions were carried out using TaqMan PreAmp Master Mix and Universal PCR Master mix (Applied Biosystems), respectively, and then analyzed on Fluidigm Biomark HD using 96.96 integrated fluidics chips (Fluidigm). Expression data for individual samples are normalized to the geometric mean of four housekeeping genes (HKGs) Actb, Gapdh, Ipo8, and Tbp (dCt = Ctgene of interest − Geomean CtHKGs) and displayed as normalized gene expression (NGE = 2−ΔCt with an arbitrary scaling factor of 1,000). IFN response gene signature is comprised of the geometric mean of the NGE values of Ifi27l1, Ifi44, Ifit1, Mx1, and Oas1b.
Flow cytometry
The tumor-draining LNs (TDLNs) and spleens were isolated, and single-cell suspensions were generated by using protocols and reagents for dissociation of mouse spleen provided by Miltenyi and the GentleMACS Octo instrument (Miltenyi). Lymphocytes were stained with anti-CD3 (clone 145-2C11 or 17A2), anti-CD69 (H1.2F3), anti-CD49b (DX5), anti-CD19 (6D5), anti-Ly6C (HK1.4), and anti-Ly6G (1A8), and AH16-14 loaded H2-Ld dextramer (Immudex). Cells were run on either the Miltenyi MACSQuant VYB or a BD LSR Fortessa and analyzed using FlowJo software (FlowJo LLC).
Enzyme-linked ImmunoSpot assays
For enzyme-linked ImmunoSpot (ELISPOT) assays, 96-well plates with a nitrocellulose filter base (Millititer HA; Millipore) were coated with purified anti-IFNγ (2 μg/mL) antibody. Enriched T cells (mouse T-cell kit, Miltenyi) from OncoVEXmGM-CSF- or vehicle-treated A20 tumor-bearing mice on days 4, 7, 11, and 14 after treatment were added to the plates in a 10:1 ratio with either A20 or CT-26 tumor cells.
Alternatively, splenocytes from different treatment groups were used in peptide restimulation assays. Splenocytes (8 × 105) were incubated with control peptides (GFPs) or the AH1 peptide (SPSYVYHQF) at a final concentration of 1 μmol/L for 20 hours at 37°. The AH1 peptide is an immunodominant Ag derived from the envelope protein (gp70) of the endogenous murine leukemia virus presented by the MHC class I Ld molecule (25). Spots were enumerated using a CTLS6 Fluorospot analyzer (CTL).
Positron emission tomography imaging of OncoVEXmGM-CSF activity
Mice bearing 150 mm3 A20 tumors in both flanks received an intratumoral injection of 5 × 106 PFU OncoVEXmGM-CSF (n = 4) or saline (n = 4) into the left flank tumor. Animals received an intravenous injection of 100 μCi [18F]FHBG (26) into the lateral tail vein 24 hours after OncoVEXmGM-CSF treatment. Two hours after [18F]FHBG injection, animals were anesthetized (2–3% isoflurane in 100% oxygen) for anatomical x-ray computed tomography (CT) and 15-minute static PET imaging (Inveon PET/CT; Siemens Medical Solutions). Attenuation-corrected images were reconstructed using the OSEM OP-MAP algorithm, and images were analyzed for tumor [18F]FHBG uptake using Inveon Research Workplace (Siemens Medical Solutions).
Statistical analysis
In vivo efficacy data were analyzed by Kaplan–Meier analysis of median survival of mice treated with single agents or single agent versus combination. Unpaired Mann–Whitney nonparametric test was used to analyze morphometric IHC analysis, and P < 0.05 was considered statistically significant. One-way ANOVA with Dunnett's correction was applied for analysis of gene expression differences. Multiple comparison unpaired T-test with Holm–Sidak correction was applied to test the significance of ex vivo T-cell reactivities and flow cytometric analysis of individual populations in a time course manner.
Results
Talimogene Laherparepvec has broad oncolytic activity against human melanoma and mouse tumor cell lines
To characterize the oncolytic activity of talimogene laherparepvec against human and murine cell lines, we treated nine cell lines with virus in a 72-hour viability assay. All cell lines tested showed sensitivity to talimogene laherparepvec. IC50 ranged from 0.05 (SK-MEL-5 melanoma) to 12.7 (A20 murine B-cell lymphoma) MOI (Fig. 1). All human melanoma cell lines displayed IC50 below 1 MOI. Syngeneic model cell lines A20 and CT-26 were efficiently lysed by talimogene taherparepvec, although IC50 for CT-26 was 100-fold lower.
Oncolytic activity of talimogene laherparepvec against multiple human melanoma and murine tumor cell lines. Relative luminescence units (RLUs) represent the number of live cells following treatment with talimogene laherparepvec for 72 hours in vitro. Tumor cells were plated in 96-well culture plates and exposed to a range of talimogene laherparepvec MOIs (1:5 dilutions). After 72 hours, cell viability was measured with ATPlite assay. ATPlite signal is plotted against increasing MOI. Each point represents the average ± SD. IC50 is calculated using GraphPad 6.1. Data shown are representative of at least two experiments.
Oncolytic activity of talimogene laherparepvec against multiple human melanoma and murine tumor cell lines. Relative luminescence units (RLUs) represent the number of live cells following treatment with talimogene laherparepvec for 72 hours in vitro. Tumor cells were plated in 96-well culture plates and exposed to a range of talimogene laherparepvec MOIs (1:5 dilutions). After 72 hours, cell viability was measured with ATPlite assay. ATPlite signal is plotted against increasing MOI. Each point represents the average ± SD. IC50 is calculated using GraphPad 6.1. Data shown are representative of at least two experiments.
OncoVEXmGM-CSF detection, replication, and oncolysis are restricted solely to the injected tumor
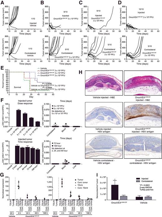
Previous studies have demonstrated that local delivery of OncoVEXmGM-CSF results in oncolysis but the mechanism of antitumor efficacy in noninjected tumors remains unclear (12). We established a syngeneic A20 contralateral tumor model to study systemic efficacy. In OncoVEXmGM-CSF-treated animals, a majority of injected tumors showed complete regression at all doses. In contrast, contralateral tumors at the lower dose showed no response, whereas the medium and high doses showed complete responses in half the tumors and growth delay in the other half (Fig. 2A–D). Efficacy comparison with backbone OncoVEX (no GM-CSF activity) in this model at the highest dose showed no difference in efficacy in the injected tumors but a significant decrease in cured mice in the contralateral side (Supplementary Table S1). Median survival was significantly increased in the medium- and high-dose groups compared with vehicle (38 days vs. 28 days, respectively; Fig. 2E), and no changes in body weight were observed (Supplementary Fig. S1A). Oncolysis was only observed in the injected tumors (Supplementary Fig. S1B). We monitored the presence of viral DNA and mRNA in injected and contralateral tumors, as well as in the blood, liver, and the respective draining LNs. Viral DNA was detected dose-proportionally only in injected tumors between 2 and 168 hours after injection and did not increase significantly with time. Viral DNA, at a level consistent with a 5 × 103 PFU dose, was detected in 1/16 contralateral tumors (5 × 105 PFU dose group) and probably represents tissue contamination (Fig. 2F). The expression of three HSV-1 genes, ICP27 (transcriptional regulator, immediate-early gene), VP16 (virion maturation), and thymidine kinase (marker of HSV-1 viral replication), were detected as early as 4 hours in the OncoVEXmGM-CSF-injected tumor, with a gradual reduction of the signal over time. Conversely, neither the OncoVEXmGM-CSF contralateral tumor nor the LNs draining any tumor had significant levels of any of the three viral gene products (Fig. 2G and Supplementary Fig. S2A).
OncoVEXmGM-CSF-induced lysis and HSV-1 virus are only detected in OncoVEXmGM-CSF-injected tumors. A–D, Growth of OncoVEXmGM-CSF (dose response 3 × 104 to 3 × 106 PFU) and vehicle-treated A20 tumors on the injected and contralateral side. Each line represents the growth pattern of a single tumor (n = 10/group). Data are representative of at least three independent experiments. E, Kaplan–Meier analysis of median survival of mice treated with OncoVEXmGM-CSF vs. vehicle. Events were recorded when tumor volume exceeded 800 mm3. F, ddPCR quantification analysis of viral HSV-1 DNA. Bars or points represent the mean copy-number variation (CNV) and SD for each dose or time point (n = 4). Dose–response analysis was performed at 24 hours. Time response analysis was performed at 5 × 106 PFU. G, Relative expression of viral gene products (ICP27 and thymidine kinase) is shown for injected and contralateral tumors as well as inguinal TDLNs draining each. Time points as indicated. Viral gene product expression is representative of two independent experiments with n = 5/group (*, P < 0.001). H, Sections from vehicle- and OncoVEXmGM-CSF-injected and contralateral A20 tumors at 96 hours postinjection were stained by H&E or an antibody-specific for an HSV-1 antigen. IHC data are representative of three independent experiments, n = 5/group. I, In vivo detection of OncoVEXmGM-CSF HSV-1 thymidine kinase activity by PET/CT imaging was performed using the radiolabeled penciclovir analog [18F]FHBG. [18F]FHBG accumulation in OncoVEXmGM-CSF-injected tumors compared to contralateral or vehicle-injected tumors.
OncoVEXmGM-CSF-induced lysis and HSV-1 virus are only detected in OncoVEXmGM-CSF-injected tumors. A–D, Growth of OncoVEXmGM-CSF (dose response 3 × 104 to 3 × 106 PFU) and vehicle-treated A20 tumors on the injected and contralateral side. Each line represents the growth pattern of a single tumor (n = 10/group). Data are representative of at least three independent experiments. E, Kaplan–Meier analysis of median survival of mice treated with OncoVEXmGM-CSF vs. vehicle. Events were recorded when tumor volume exceeded 800 mm3. F, ddPCR quantification analysis of viral HSV-1 DNA. Bars or points represent the mean copy-number variation (CNV) and SD for each dose or time point (n = 4). Dose–response analysis was performed at 24 hours. Time response analysis was performed at 5 × 106 PFU. G, Relative expression of viral gene products (ICP27 and thymidine kinase) is shown for injected and contralateral tumors as well as inguinal TDLNs draining each. Time points as indicated. Viral gene product expression is representative of two independent experiments with n = 5/group (*, P < 0.001). H, Sections from vehicle- and OncoVEXmGM-CSF-injected and contralateral A20 tumors at 96 hours postinjection were stained by H&E or an antibody-specific for an HSV-1 antigen. IHC data are representative of three independent experiments, n = 5/group. I, In vivo detection of OncoVEXmGM-CSF HSV-1 thymidine kinase activity by PET/CT imaging was performed using the radiolabeled penciclovir analog [18F]FHBG. [18F]FHBG accumulation in OncoVEXmGM-CSF-injected tumors compared to contralateral or vehicle-injected tumors.
We next analyzed tumors for viral antigen and HSV-1 thymidine kinase activity. Histologic analysis of OncoVEXmGM-CSF-injected tumors revealed a large, well-demarcated central nonviable region that was not present in vehicle-injected tumors. Evaluation of IHC staining in OncoVEXmGM-CSF-injected tumor tissue sections at higher magnification highlighted a central zone of HSV-1+ cell debris, surrounded by a thin band of HSV-1-infected tumor cells undergoing oncolysis (Supplementary Fig. S2B). Ninety-six hours after intratumoral injection treatment, HSV-1 antigen was observed only in the OncoVEXmGM-CSF-injected tumors (Fig. 2H and Supplementary Table S2). Viral antigen staining was most robust at 72 hours and markedly decreased by 168 hours. Finally, we used [18F]FHBG PETto detect HSV-1 thymidine kinase activity in live animals injected with vehicle or OncoVEXmGM-CSF. A very pronounced and significant 18FHBG tumor accumulation was only measured in the OncoVEXmGM-CSF-injected tumors (Fig. 2I and Supplementary Fig. S2C). Delivery of OncoVEXmGM-CSF systemically by intravenous administration did not produce detectable viral DNA in tumor tissue which correlated with lack of efficacy in the A20 syngeneic model (Supplementary Fig. S3).
OncoVEXmGM-CSF therapy induces a local inflammatory response
Type I IFN signaling has previously been shown to be critical in restricting the pathogenesis of HSV-1 in vivo (27). The IFN gene signature (composed of five type I IFN inducible genes) is elevated in OncoVEXmGM-CSF-injected tumor relative to vehicle 4 hours after injection (Fig. 3A).
Treatment with OncoVEXmGM-CSF induces a localized inflammatory response. A, Bilateral A20 tumor sections from OncoVEXmGM-CSF (single dose of 5 × 106 PFU) and vehicle control mice collected at time points indicated were processed to extract RNA. Indicated type I IFN gene signature was measured as the geometric mean of five different IFN inducible genes using Fluidigm qPCR. Statistics shown are for OncoVEXmGM-CSF-injected tumors vs. vehicle-injected using a one-way ANOVA (Dunnett's multiple comparison test). B, Expression of the GM-CSF, IFNγ, CXCL2, and CXCL10 was measured in vehicle and OncoVEXmGM-CSF-treated A20 tumor between 1 and 96 hours. Data are representative of two independent experiments. C, Viable cell counts obtained from LN disaggregates. Viable cell count by trypan exclusion harvested 96 hours after treatment and flow cytometric analysis of CD69+ CD3+ lymphocytes from vehicle- and OncoVEXmGM-CSF-treated mice at 2, 5, and 10 days after treatment. Data are representative of two independent experiments n = 10/group; statistics shown are for one-way ANOVA with Sidak correction for multiple testing, with comparators preselected by matched time point (OncoVEXmGM-CSF vs. vehicle) (*, P < 0.0001; **, P < 0.01; ***, P < 0.05).
Treatment with OncoVEXmGM-CSF induces a localized inflammatory response. A, Bilateral A20 tumor sections from OncoVEXmGM-CSF (single dose of 5 × 106 PFU) and vehicle control mice collected at time points indicated were processed to extract RNA. Indicated type I IFN gene signature was measured as the geometric mean of five different IFN inducible genes using Fluidigm qPCR. Statistics shown are for OncoVEXmGM-CSF-injected tumors vs. vehicle-injected using a one-way ANOVA (Dunnett's multiple comparison test). B, Expression of the GM-CSF, IFNγ, CXCL2, and CXCL10 was measured in vehicle and OncoVEXmGM-CSF-treated A20 tumor between 1 and 96 hours. Data are representative of two independent experiments. C, Viable cell counts obtained from LN disaggregates. Viable cell count by trypan exclusion harvested 96 hours after treatment and flow cytometric analysis of CD69+ CD3+ lymphocytes from vehicle- and OncoVEXmGM-CSF-treated mice at 2, 5, and 10 days after treatment. Data are representative of two independent experiments n = 10/group; statistics shown are for one-way ANOVA with Sidak correction for multiple testing, with comparators preselected by matched time point (OncoVEXmGM-CSF vs. vehicle) (*, P < 0.0001; **, P < 0.01; ***, P < 0.05).
GM-CSF can activate antigen-specific immune responses (21) and may play a similar role for OncoVEXmGM-CSF. We detected high levels of mGM-CSF between 4 and 96 hours, consistent with viral presence in the injected tumor. In addition, significant increase in IFNγ was detected at 4 hours postinjection in OncoVEXmGM-CSF-injected tumors. Consistent with an inflammatory response, the chemoattractant chemokine (C-X-C motif) ligand (CXCL) 2 and CXCL10 were both highly upregulated in the OncoVEXmGM-CSF-injected tumor compared with vehicle between 4 and 96 hours (Fig. 3B). Expression of CXCL2, known for its chemoattractant attributes for monocytes and neutrophils, increased in time and matched the increased number of these cell types detected in injected tumors at 24 and 48 hours (Supplementary Fig. S4A).
While evaluating the TDLN for HSV-1 antigen, we observed a marked enlargement of the TDLN proximal to the OncoVEXmGM-CSF-injected tumor at 48 hours (Supplementary Fig. S4B) but not the contralateral or vehicle-treated TDLN. Enlargement was characterized by an increased number of viable cells. We next investigated the lymphocyte populations by flow cytometry at 2, 5, and 10 days after OncoVEXmGM-CSF treatment. An increase in the percentage of activated T cells (CD69+CD3+) in the OncoVEXmGM-CSF-injected TDLN was observed at days 2 and 5, but not at day 10 (Fig. 3C).
Systemic modulation of lymphocytes after OncoVEXmGM-CSF intratumoral treatment
Next, we performed gene expression analysis in tumors harvested from OncoVEXmGM-CSF-treated and vehicle-treated animals for CD3, CD8, and CD103 at 48 and 168 hours after treatment (Fig. 4A). At 168 hours posttreatment, mRNA expression levels of all three markers were increased in both the OncoVEXmGM-CSF-injected and OncoVEXmGM-CSF contralateral tumors compared with the corresponding tumors from vehicle-treated animals. IHC and FACS analysis were performed to support the findings from gene expression analysis. Morphometric analysis of serial tissue sections stained using IHC showed that 5.5% of the ROI area was occupied by CD3+ cells in both the vehicle-injected (SD = 3.2%) and contralateral tumors (SD = 1.2%) at 168 hours after injection (Fig. 4B). There was a statistically significant increase in the percent tumor area occupied by CD3+ cells in both the OncoVEXmGM-CSF-injected (14.24% ± 2.29% of ROI, P < 0.01 by Mann–Whitney test) and OncoVEXmGM-CSF contralateral tumors (11.97% ± 2.89% of ROI, P < 0.05) compared with the respective tumors from vehicle-treated animals. Longitudinal changes in CD3+ T cells in contralateral tumors were confirmed by IHC and FACS analysis. Significant increases in CD3+ T cells were measured at 168 hours by both techniques (Fig. 4C and D). Similarly, the percent area occupied by CD8+ cells was significantly increased in both the OncoVEXmGM-CSF-injected and contralateral tumors at 168 hours compared with relevant controls (Fig. 4B). The percentage of tumor area occupied by CD103+ cells, a marker of tissue resident T cells and a pro-inflammatory subset of DCs (28), was significantly elevated in the OncoVEXmGM-CSF-injected versus vehicle-injected tumor (P < 0.01) but not in contralateral tumors (Fig. 4B). T-regulatory cells (Tregs) known for their immunosuppressive role in the tumor microenvironment were also significantly decreased in contralateral tumors following treatment with OncoVEXmGM-CSF (Fig. 4E).
OncoVEXmGM-CSF increases immune cells in both injected and contralateral tumor. A, Relative expression of CD3E, CD8A, and CD103 (ITGAE) was analyzed from vehicle-injected and OncoVEXmGM-CSF-injected and corresponding contralateral tumors. Gene expression analysis detects increased infiltration into both OncoVEXmGM-CSF-injected and contralateral tumors at 168-hour time points, compared with vehicle-injected tumors. Gene expression analysis is representative of two independent experiments with n = 5/group. B and C, Morphometric analysis of A20 tumor serial sections by IHC. A20 tumor sections from OncoVEXmGM-CSF (single dose of 5 × 106 PFU) and vehicle control mice 168 hours (or as indicated in Fig. 4C) after injection were subjected to morphometric analysis, and the percent area of ROI was calculated for CD3, CD8, and CD103. Statistics were generated using unpaired Mann–Whitney nonparametric test. D and E, FACS analysis of A20 tumors following OncoVEXmGM-CSF (single dose of 5 × 106 PFU) and vehicle treatment at the indicated time point (D) and at 96 hours (E). Data are representative of three independent experiments (*, P < 0.0001; **, P < 0.01; ***, P < 0.05).
OncoVEXmGM-CSF increases immune cells in both injected and contralateral tumor. A, Relative expression of CD3E, CD8A, and CD103 (ITGAE) was analyzed from vehicle-injected and OncoVEXmGM-CSF-injected and corresponding contralateral tumors. Gene expression analysis detects increased infiltration into both OncoVEXmGM-CSF-injected and contralateral tumors at 168-hour time points, compared with vehicle-injected tumors. Gene expression analysis is representative of two independent experiments with n = 5/group. B and C, Morphometric analysis of A20 tumor serial sections by IHC. A20 tumor sections from OncoVEXmGM-CSF (single dose of 5 × 106 PFU) and vehicle control mice 168 hours (or as indicated in Fig. 4C) after injection were subjected to morphometric analysis, and the percent area of ROI was calculated for CD3, CD8, and CD103. Statistics were generated using unpaired Mann–Whitney nonparametric test. D and E, FACS analysis of A20 tumors following OncoVEXmGM-CSF (single dose of 5 × 106 PFU) and vehicle treatment at the indicated time point (D) and at 96 hours (E). Data are representative of three independent experiments (*, P < 0.0001; **, P < 0.01; ***, P < 0.05).
T-cell-specific antitumor responses activated by OncoVEXmGM-CSF
We set out to investigate the ability of the systemic T cells found in OncoVEXmGM-CSF-treated animals to react to tumor-specific antigens. Pan-T cells were harvested and purified from tumor-bearing animals at days 4, 7, 11, and 14 post-intratumoral OncoVEXmGM-CSF or vehicle administration and used in an ELISPOT assay. At all time points tested, the number of IFNγ+ spots was significantly increased in the OncoVEXmGM-CSF-treated T cells cultured with A20 tumor cells compared with vehicle–treated T cells (Fig. 5A). In addition, tumor responses were largely specific to A20 and not to CT-26. Reactivity peaked at day 11. HSV-1–derived viral antigens did not appear to play a significant role in the systemic immune response visualized here, as there was no difference in T-cell reactivity when A20 stimulator cell lines were pre-exposed to virus prior to ex vivo restimulation with splenic T cells (Supplementary Fig. S5A).
T cells from OncoVEXmGM-CSF-treated tumor-bearing mice specifically and functionally recognize tumor antigens. A, Ex vivo restimulation reveals systemic antitumor reactivity. Splenic T cells were isolated from A20 tumor-bearing animals on days 4, 7, 11, and 14 following OncoVEXmGM-CSF (5 × 106 PFU) intratumoral injection and rechallenged ex vivo for 24 hours with either CT-26 or A20 tumor cells. Data are depicted as number of IFNγ-positive spots per 100,000 plated T cells. B–E, Efficacy of OncoVEXmGM-CSF following depletion of CD8+ T cells. Each line represents the growth pattern of a single A20 tumor (n = 10/group). Mice were treated with anti-CD8 antibody or control isotype. Following confirmation of CD8+ T-cell depletion, the mice where inoculated (contralaterally) with A20 cells, randomized into four groups when tumors reached 160 mm3, and treated with vehicle or OncoVEXmGM-CSF at 5 × 106 PFU every 3 days for the first week. Tumor volume and body weights were measured with calipers or an analytical scale, respectively. F, Kaplan–Meier analysis of median survival of mice treated with OncoVEXmGM-CSF vs. vehicle, with or without anti-CD8. Events were recorded when tumor volume exceeded 800 mm3. G, Schematic of adoptive cell transfer model. H–J, Immune cells from naïve BALB/C mice, BALB/C mice bearing A20 tumors or BALB/C mice cured of their A20 tumors with OncoVEXmGM-CSF treatment were collected and transplanted into recipient BALB/C mice. Mice in all groups were then challenged with A20 cells. Each line represents an individual A20 tumor followed using calipers for 50 days. All data are representative of two independent experiments (*, P < 0.01; **, P < 0.0001).
T cells from OncoVEXmGM-CSF-treated tumor-bearing mice specifically and functionally recognize tumor antigens. A, Ex vivo restimulation reveals systemic antitumor reactivity. Splenic T cells were isolated from A20 tumor-bearing animals on days 4, 7, 11, and 14 following OncoVEXmGM-CSF (5 × 106 PFU) intratumoral injection and rechallenged ex vivo for 24 hours with either CT-26 or A20 tumor cells. Data are depicted as number of IFNγ-positive spots per 100,000 plated T cells. B–E, Efficacy of OncoVEXmGM-CSF following depletion of CD8+ T cells. Each line represents the growth pattern of a single A20 tumor (n = 10/group). Mice were treated with anti-CD8 antibody or control isotype. Following confirmation of CD8+ T-cell depletion, the mice where inoculated (contralaterally) with A20 cells, randomized into four groups when tumors reached 160 mm3, and treated with vehicle or OncoVEXmGM-CSF at 5 × 106 PFU every 3 days for the first week. Tumor volume and body weights were measured with calipers or an analytical scale, respectively. F, Kaplan–Meier analysis of median survival of mice treated with OncoVEXmGM-CSF vs. vehicle, with or without anti-CD8. Events were recorded when tumor volume exceeded 800 mm3. G, Schematic of adoptive cell transfer model. H–J, Immune cells from naïve BALB/C mice, BALB/C mice bearing A20 tumors or BALB/C mice cured of their A20 tumors with OncoVEXmGM-CSF treatment were collected and transplanted into recipient BALB/C mice. Mice in all groups were then challenged with A20 cells. Each line represents an individual A20 tumor followed using calipers for 50 days. All data are representative of two independent experiments (*, P < 0.01; **, P < 0.0001).
To further characterize the activity of these systemic T cells in vivo, we performed CD8+ depletion experiments and adoptive cell transfer experiments. Depletion of CD8+ cells (>95%) using anti-CD8 antibodies (Supplementary Fig. S5B) had profound negative effects on the efficacy of OncoVEXmGM-CSF (Fig. 5B–F). CD8+ cell depletion affected the growth of both injected and contralateral A20 tumors by removing tumor volume variability from the vehicle-treated group (Fig. 5B and C). Most importantly, depletion of CD8+ cells from OncoVEXmGM-CSF-treated mice abrogated all the efficacy driven by OncoVEXmGM-CSF on contralateral tumors (0/10 vs. 5/10 cures) and also had a profound negative effect on efficacy in the injected tumors (1/10 vs. 9/10 cures) (Fig. 5D and E). The survival benefit produced by OncoVEXmGM-CSF in this model was not observed when CD8+ cells were depleted (Fig. 5F vs. Fig. 1E).
To evaluate the direct role of OncoVEXmGM-CSF in the specificity of a memory response, we injected mice with immune cells from naïve mice, mice bearing A20 tumors, and mice cured from contralateral tumors through OncoVEXmGM-CSF treatment. Re-challenged animals that received naïve cells or cells from A20 tumor-bearing mice showed no protection (Fig. 5G–I). Both groups showed established tumors at day 10 in 9/10 mice. However, mice receiving immune cells from OncoVEXmGM-CSF-cured mice demonstrated resistance to rechallenge with A20 cells with only two out of 10 mice growing tumors at day 32 (Fig. 5J). A similar level of protection was also observed when OncoVEXmGM-CSF cured mice were directly challenged with A20 cells (Supplementary Fig. S6).
Significant enhancement in systemic efficacy in combination with CTLA-4 blockade
We sought to determine if changes in immune regulatory molecules CD80 and CTLA-4 could be detected after OncoVEXmGM-CSF treatment. By FACS analysis, CTLA-4 and CD80 were upregulated in the OncoVEXmGM-CSF-injected TDLN at the early 48-hour timepoint, whereas significant tumor upregulation was observed in injected tumors at 168 hours (Fig. 6A).
Enhanced efficacy of OncoVEXmGM-CSF in combination with anti–CTLA-4 antibodies in A20 and CT-26 tumor models. A, Relative expression of CD80 and CTLA-4 in tumors and TDLNs. Statistical significance was determined using a one-way ANOVA using Dunnett's correction, with significance indicated vs. vehicle–injected tumor (*, P < 0.05; **, P < 0.01; ***, P < 0.001). Representative of two independent experiments with n = 5/group. B–E, Enhanced efficacy of OncoVEXmGM-CSF with CTLA-4 antibodies in the A20 tumor model. Growth of vehicle, OncoVEXmGM-CSF (5 × 106 PFU), anti–CTLA-4, and combination tumors on the injected and contralateral side. Each line represents the growth pattern of a single tumor (n = 10/group). F, Kaplan–Meier analysis of median survival of mice treated with single agents vs. combination. Events were recorded with tumor volume exceeding 800 mm3. G–J, Enhanced efficacy of OncoVEXmGM-CSF with CTLA-4 antibodies in the CT-26 tumor model. Growth of vehicle, OncoVEXmGM-CSF (5 × 106 PFU), anti–CTLA-4, and combination tumors on the injected and contralateral side. Each line represents the growth pattern of a single tumor (n = 10/group). K, Kaplan–Meier analysis of median survival of mice treated with single agents vs. combination. Events were recorded with tumor volume exceeding 800 mm3. L and M, Pharmacodynamic assessment of systemic anti-AH1 CD8+ T cells. Percent of splenic CD8+ T cells reacting with the AH1 antigen (L:EliSpot & M:FACS) were quantified from vehicle, OncoVEXmGM-CSF (5 × 106 PFU), anti–CTLA-4, and combination treated mice. N, Pharmacodynamic assessment of tumor anti-AH1 CD8+ T cells (black bars) and tumor Tregs (white bars) from vehicle, OncoVEXmGM-CSF (5 × 106 PFU), anti–CTLA-4, and combination treated tumors. Spleens were collected 7 days after the last treatment dose (n = 5). Data representative of two independent experiments. *, P < 0.05; **, P < 0.01; ***, P < 0.001.
Enhanced efficacy of OncoVEXmGM-CSF in combination with anti–CTLA-4 antibodies in A20 and CT-26 tumor models. A, Relative expression of CD80 and CTLA-4 in tumors and TDLNs. Statistical significance was determined using a one-way ANOVA using Dunnett's correction, with significance indicated vs. vehicle–injected tumor (*, P < 0.05; **, P < 0.01; ***, P < 0.001). Representative of two independent experiments with n = 5/group. B–E, Enhanced efficacy of OncoVEXmGM-CSF with CTLA-4 antibodies in the A20 tumor model. Growth of vehicle, OncoVEXmGM-CSF (5 × 106 PFU), anti–CTLA-4, and combination tumors on the injected and contralateral side. Each line represents the growth pattern of a single tumor (n = 10/group). F, Kaplan–Meier analysis of median survival of mice treated with single agents vs. combination. Events were recorded with tumor volume exceeding 800 mm3. G–J, Enhanced efficacy of OncoVEXmGM-CSF with CTLA-4 antibodies in the CT-26 tumor model. Growth of vehicle, OncoVEXmGM-CSF (5 × 106 PFU), anti–CTLA-4, and combination tumors on the injected and contralateral side. Each line represents the growth pattern of a single tumor (n = 10/group). K, Kaplan–Meier analysis of median survival of mice treated with single agents vs. combination. Events were recorded with tumor volume exceeding 800 mm3. L and M, Pharmacodynamic assessment of systemic anti-AH1 CD8+ T cells. Percent of splenic CD8+ T cells reacting with the AH1 antigen (L:EliSpot & M:FACS) were quantified from vehicle, OncoVEXmGM-CSF (5 × 106 PFU), anti–CTLA-4, and combination treated mice. N, Pharmacodynamic assessment of tumor anti-AH1 CD8+ T cells (black bars) and tumor Tregs (white bars) from vehicle, OncoVEXmGM-CSF (5 × 106 PFU), anti–CTLA-4, and combination treated tumors. Spleens were collected 7 days after the last treatment dose (n = 5). Data representative of two independent experiments. *, P < 0.05; **, P < 0.01; ***, P < 0.001.
Given the observed upregulation of CD80 and CTLA-4, we set to determine whether a combination of OncoVEXmGM-CSF with anti–CTLA-4 antibodies could result in enhanced efficacy in contralateral tumors. Treatment of A20 tumors with OncoVEXmGM-CSF in combination with anti–CTLA-4 antibodies resulted in a significant increase in median survival and complete regressions compared with either single agent alone (Fig. 6B–F). The combination produced cures in 90% of the contralateral tumors (Fig. 6E). To extend our observations to other models, we performed a combination study with anti–CTLA-4 antibodies in the CT-26 model (Fig. 6G–K). This model demonstrated some resistance to OncoVEXmGM-CSF in contralateral tumors, where tumor growth delays may be seen, but tumor regressions were rarely observed in monotherapy (Fig. 6I). The combination of OncoVEXmGM-CSF with anti–CTLA-4 resulted in complete cures of all injected tumors and regressions in 80% of contralateral tumors (with 6/10 cures) (Fig. 6J). More importantly and similar to what was observed in the A20 model, the median survival in the combination group was more than double that in the vehicle-treated group and was significantly better than either single agent alone (Fig. 6K). Interestingly, treatment in the combination group seemed to significantly delay the dynamics of the OncoVEXmGM-CSF monotherapy response resulting in large tumors (>500 mm3) suddenly regressing and disappearing (Fig. 6J).
Finally, we used the previously described AH1 antigen in CT-26 cells as a surrogate to assess the ability of OncoVEXmGM-CSF, CTLA-4, and the combination treatment to release tumor antigens and stimulate antitumor-specific T-cell responses. Quantification of systemic (splenic) anti-AH1 CD8+ T cells by ELISpot or by dextramer staining using FACS demonstrated a significant increase in AH1 reactive T cells in mice treated with OncoVEXmGM-CSF, CTLA4 blockade, or the combination (Fig.6L and M). Quantification of local (tumor) anti-AH1 CD8+ T cells showed a significant increase only in the combination group. Consistent with the effect of OncoVEXmGM-CSF in the A20 model, a significant decrease in Tregs was also observed in the CT-26 model. This effect was greater in combination with CTLA-4 blockade (Fig. 6N).
Discussion
In OPTiM, a randomized phase III clinical trial of intralesional talimogene laherparepvec versus subcutaneously GM-CSF in unresectable, metastatic melanoma, the primary endpoint of durable response rates was met, with a significant increase in the treatment arm versus control (HR 8.9; 16.3% vs. 2.1%; P < 0.001; ref. 29). At the lesion level, a ≥50% reduction in tumor area was seen in 64% of injected lesions, 32% of noninjected subcutaneously and nodal lesions, and 16% of distant visceral lesions (30). These findings can be explained by direct oncolysis or by enhanced systemic antitumor immunity. Clinical trials to elucidate the mechanism of action (MOA) and the potential use of talimogene laherparepvec in combination with checkpoint blockade (CTLA-4 and PD-1) are underway (NCT01740297 and NCT01740297). However, given the potential benefits for patients, preclinical studies to further elucidate its MOA are critical for optimizing future clinical use in combination with novel therapies that perturb the cancer immunity cycle.
Although evidence indicates systemic efficacy is provided by a talimogene laherparepvec-triggered tumor-specific immune response, data demonstrating that virus does not directly lyse distant tumor cells has been lacking. Using OncoVEXmGM-CSF, we demonstrate that oncolysis alone cannot account for systemic efficacy. Despite robust tumor growth inhibition in the contralateral tumor, no signals of oncolysis (viral DNA, mRNA, antigen, or thymidine kinase activity) were detected in contralateral tumors, blood, and liver with highly sensitive (31, 32) assays (ddPCR and qPCR). These data support the tumor selective nature of OncoVEXmGM-CSF replication described previously (12) and point to an immune-mediated MOA as its principal mode of systemic efficacy.
The A20 B-cell lymphoma model used in this study models an immunogenic tumor as evidenced by the diffuse staining of CD3. Despite this infiltration, detection of systemic antitumor reactivity in the absence of treatment is minimal. The localized innate immune response to the injected oncolytic virus and subsequent lysed tumor cells creates type I and type II IFN responses. The notion that such localized inflammatory response is capable of transforming an immunosuppressive microenvironment into an inflammatory one is an attractive therapeutic hypothesis for several reasons. First, altering the tumor immunosuppressive niche may be sufficient to unleash tumor-reactive T cells that are otherwise limited in their function (9). Second, this type of immunogenic cell death is thought to be a key factor in generating novel systemic antitumor responses and enabling efficacy enhancement through checkpoint blockade (23, 33, 34). Therefore, unlike tumor vaccinations, talimogene laherparepvec offers a novel strategy with no requirement for elucidating patient-specific tumor antigens.
Despite the potency of the inflammatory response elicited by OncoVEXmGM-CSF, these effects appear to be transient and localized to the injected tumor and adjoining LN. Systemic efficacy would theoretically still be governed by the same principles of interaction between the immune system and the tumor. Evidence of this can be seen in the upregulation of T-cell checkpoint molecules concomitant with infiltration of T-cells into the injected and contralateral tumors. In effect, intratumoral administration of OncoVEXmGM-CSF appears to increase the reactivity of splenic T cells even at early time points. Subsequently, an expansion of tumor-reactive T cells evaluated by secretion of IFNγ and by CTL killing is detected at time points that would be consistent with amplification and/or de novo priming. Without determining antigen specificity of the T cells, it is impossible to distinguish tumor-reactive from virus-specific T cells. However, a preponderance of evidence suggests that the systemic adaptive immune response contains a significant portion of tumor-specific T cells that are not present (or present at lower levels) in untreated tumor-bearing animals: (i) the absence of viral antigens in the contralateral tumor; (ii) ex vivo tumor cell line reactivity; (iii) transplantability of tumor rejecting immune cells; (iv) the loss of efficacy upon CD8+ cell depletion; (v) enhanced systemic efficacy in combination with CTLA-4 blockade. The increase in tumor-reactive T cells found in the splenic compartment as early as day 4 posttreatment is consistent with a very rapid mobilization and expansion of tumor-reactive T cells. At later time points, the adaptive response is expanded both systemically, as evidenced by the expansion of splenic tumor-reactive T cells and by the infiltration of lymphocytes into the contralateral tumor. Activation of tumor-reactive T cells may be accomplished by expansion and proliferation of the preexisting tumor-infiltrating lymphocytes (TIL) or by uncovering of novel tumor-derived antigens presented in secondary lymphoid organs. Even though we did not study the uncovering of novel tumor-derived antigens in our current experiments, our assessment of anti-AH1 CD8+ T cells in the spleen and tumor following OncoVEXmGM-CSF, CTLA-4 blockade, or the combination is consistent with the expansion and proliferation of preexisting TILs. The models described here do not allow us to pinpoint if efficacy is driven by a preexisting antigen like AH1, by novel tumor antigens or by the combination. However, previous approaches have shown that release of tumor-associated antigens by localized tumor destruction can lead to enhanced systemic responses and epitope spreading (35–37).
Expression of CTLA-4 (38), which is known to increase upon T-cell activation, is also consistent with an ongoing adaptive immune response. It appears that the inflammatory local microenvironment induced by the administration of OncoVEXmGM-CSF, evidenced by the increased expression of CD80 and local production of IFN, may provide a critical boost to antigen-presenting cells and thereby lead to the generation of a productive immune response. Therefore, it is likely that combining intratumoral talimogene laherparepvec treatment with blockade of CTLA-4 would further enhance anti-tumor efficacy beyond what can be achieved by monotherapy alone. The first evidence of this type of synergistic effect was described for another oncolytic virus by Allison and colleagues (37). When we combine OncoVEXmGM-CSF with CTLA-4 blockade the complete regression of many large (>400 mm3) CT-26 tumors confirms this synergistic effect. This level of efficacy is similar to that achieved by the combination of four different therapeutic approaches in a recently published report (39). Talimogene laherparepvec is currently being investigated in combination with the anti–CTLA-4 antibody ipilimumab for the treatment of unresected melanoma, where 56% of patients experienced objective responses (by Immune-Related Response Criteria) of both injected and distant tumors (40).
In summary, here we expand our understanding of the MOA of talimogene laherparepvec in order to optimize its future clinical benefit for patients. Our data clearly demonstrate that intratumoral administration of OncoVEXmGM-CSF drives the development of systemic antitumor immunity that can be enhanced in combination with checkpoint blockade.
Disclosure of Potential Conflicts of Interest
A.K. Moesta and J.B. Rottman hold ownership interest (including patents) in Amgen. R. Ponce reports receiving other commercial research support from Juno Therapeutics. C. Beers is an employee of Tizona Therapeutics and is a consultant/advisory board member for Oncorus. P.J. Beltran holds ownership interest (including patents) in Amgen. No potential conflicts of interest were disclosed by the other authors.
Authors' Contributions
Conception and design: A.K. Moesta, J.B. Rottman, T. Le, C. Glaus, R. Ponce, C. Beers, P.J. Beltran
Development of methodology: A.K. Moesta, K. Cooke, J. Piasecki, J.B. Rottman, K. Fitzgerald, J. Zhan, T. Le, K. Merriam, C. Glaus, K. Ganley, C. Beers, P.J. Beltran
Acquisition of data (provided animals, acquired and managed patients, provided facilities, etc.): A.K. Moesta, J. Piasecki, P. Mitchell, J.B. Rottman, K. Fitzgerald, J. Zhan, B. Yang, T. Le, B. Belmontes, O.F. Ikotun, K. Merriam, C. Glaus, D.H. Cordover, A.M. Boden
Analysis and interpretation of data (e.g., statistical analysis, biostatistics, computational analysis): A.K. Moesta, K. Cooke, J. Piasecki, P. Mitchell, J.B. Rottman, K. Fitzgerald, T. Le, B. Belmontes, O.F. Ikotun, C. Glaus, D.H. Cordover, A.M. Boden, R. Ponce, C. Beers, P.J. Beltran
Writing, review, and/or revision of the manuscript: A.K. Moesta, J.B. Rottman, K. Merriam, C. Glaus, R. Ponce, C. Beers, P.J. Beltran
Administrative, technical, or material support (i.e., reporting or organizing data, constructing databases): P. Mitchell, T. Le, K. Merriam, D.H. Cordover, A.M. Boden
Study supervision: A.K. Moesta, K. Cooke, P. Mitchell, C. Glaus, C. Beers, P.J. Beltran
Acknowledgments
We thank Angela Chong for technical assistance with gene expression profiling and Annie Mirsoian for assistance with flow cytometry panel design. We thank Emily Plummer who provided medical writing services on behalf of Amgen Inc. Assistance with formatting the manuscript to meet journal specifications was provided by Gurpreet Kaur, CACTUS Communications, on behalf of Amgen Inc.
Grant Support
The study was funded by Amgen, Inc.
The costs of publication of this article were defrayed in part by the payment of page charges. This article must therefore be hereby marked advertisement in accordance with 18 U.S.C. Section 1734 solely to indicate this fact.

![Figure 2. OncoVEXmGM-CSF-induced lysis and HSV-1 virus are only detected in OncoVEXmGM-CSF-injected tumors. A–D, Growth of OncoVEXmGM-CSF (dose response 3 × 104 to 3 × 106 PFU) and vehicle-treated A20 tumors on the injected and contralateral side. Each line represents the growth pattern of a single tumor (n = 10/group). Data are representative of at least three independent experiments. E, Kaplan–Meier analysis of median survival of mice treated with OncoVEXmGM-CSF vs. vehicle. Events were recorded when tumor volume exceeded 800 mm3. F, ddPCR quantification analysis of viral HSV-1 DNA. Bars or points represent the mean copy-number variation (CNV) and SD for each dose or time point (n = 4). Dose–response analysis was performed at 24 hours. Time response analysis was performed at 5 × 106 PFU. G, Relative expression of viral gene products (ICP27 and thymidine kinase) is shown for injected and contralateral tumors as well as inguinal TDLNs draining each. Time points as indicated. Viral gene product expression is representative of two independent experiments with n = 5/group (*, P < 0.001). H, Sections from vehicle- and OncoVEXmGM-CSF-injected and contralateral A20 tumors at 96 hours postinjection were stained by H&E or an antibody-specific for an HSV-1 antigen. IHC data are representative of three independent experiments, n = 5/group. I, In vivo detection of OncoVEXmGM-CSF HSV-1 thymidine kinase activity by PET/CT imaging was performed using the radiolabeled penciclovir analog [18F]FHBG. [18F]FHBG accumulation in OncoVEXmGM-CSF-injected tumors compared to contralateral or vehicle-injected tumors.](https://aacr.silverchair-cdn.com/aacr/content_public/journal/clincancerres/23/20/10.1158_1078-0432.ccr-17-0681/2/m_6190fig2.jpeg?Expires=1712961616&Signature=sXUb78QBsuT~GAbHi4aSBaHv6ncLxyPifag115En7ugBlJem3uiZaySWWqMaZ~a-tAQqOnyvLEFnZDpD8MkutlPH8bWj4rWc31m2n20ko2R9-L5Vmegfkv0D~A7PIi5a1nwkrHNwaRyrPu22OCZSRgBXC-kmSFDx9WYYgvYtxHyOKMY9s9uRQ6Pw7EtzqfbfFy~64JaRvwkFTxnP74iByCdAnrUcxpu3WJGfbhkTAUgRZ2Z8-voiQKMxBovZujT~y7S~KIsdIUnrGbQKHn9-A0KIw6KwegjfT9EAMWrfCQ03UAaNvF6ZrPrHwDqB655A4fjTYbuG3ocRgILa9Y84tw__&Key-Pair-Id=APKAIE5G5CRDK6RD3PGA)



