Abstract
Purpose: Immunomodulatory mAbs can treat cancer, but cures are rare except for small tumors. Our objective was to explore whether the therapeutic window increases by combining mAbs with different modes of action and injecting them into tumors.
Experimental Design: Combinations of mAbs to CD137/PD-1/CTLA-4 or CD137/PD-1/CTLA-4/CD19 were administrated intratumorally to mice with syngeneic tumors (B16 and SW1 melanoma, TC1 lung carcinoma), including tumors with a mean surface of approximately 80 mm2. Survival and tumor growth were assessed. Immunologic responses were evaluated using flow cytometry and qRT-PCR.
Results: More than 50% of tumor-bearing mice had complete regression and long-term survival after tumor injection with mAbs recognizing CD137/PD-1/CTLA-4/CD19 with similar responses in three models. Intratumoral injection was more efficacious than intraperitoneal injection in causing rejection also of untreated tumors in the same mice. The three-mAb combination could also induce regression, but was less efficacious. There were few side effects, and therapy-resistant tumors were not observed. Transplanted tumor cells rapidly caused a Th2 response with increased CD19 cells. Successful therapy shifted this response to the Th1 phenotype with decreased CD19 cells and increased numbers of long-term memory CD8 effector cells and T cells making IFNγ and TNFα.
Conclusions: Intratumoral injection of mAbs recognizing CD137/PD-1/CTLA-4/CD19 can eradicate established tumors and reverse a Th2 response with tumor-associated CD19 cells to Th1 immunity, whereas a combination lacking anti-CD19 is less effective. There are several human cancers for which a similar approach may provide clinical benefit. Clin Cancer Res; 21(5); 1127–38. ©2014 AACR.
See related commentary by Dronca and Dong, p. 944
Immunomodulatory mAbs have shown efficacy in both preclinical models and patients with cancer. However, complete regressions and cures are rare. We hypothesized that efficacy would improve by combining mAbs with different modes of action and injecting them intratumorally. The findings support our hypothesis by showing reversal of the immunosuppressive tumor microenvironment and long-term tumor-free survival in all three mouse models investigated, including mice with melanomas whose surface area was approximately 80 mm2. A four-mAb combination (anti-CD137/PD-1/CTLA-4/CD19) was most efficacious, particularly against large tumors. Regression was always associated with a strong Th1-type response in tumor, tumor-draining lymph nodes, and spleen and was accompanied by severe reduction of the number of CD19 cells in tumors and draining lymph nodes. Relapse was not encountered, suggesting that therapy-resistant tumor cells arising via immunoediting were deleted by some bystander effect of the immune response. An analogous approach should be considered for human cancers.
Introduction
More than a century ago, Coley reported that injecting certain bacterial toxins occasionally induced complete regression (CR) and cure of advanced cancers (1), and it has been known for decades that tumors, including those in humans, are recognized by the host's immune system (2, 3). However, the role of immunologic responses to most human cancers was questioned for many years and therapeutic tumor vaccination has not been sufficiently effective to become part of the clinical mainstay (4). A strong interest in cancer immunotherapy is now emerging as a result of encouraging clinical data (5–8). A major goal is to overcome the high immunosuppression in the tumor microenvironment (9) and the appearance of therapy-resistant tumor variants as a result of immunologic editing (10).
The identification of signals that regulate the immune response (11–13) played a key role to provide novel therapeutic approaches, e.g., using agonistic and antagonistic immunomodulatory mAbs to lymphocyte receptors and/or their ligands to induce a tumor-destructive Th1 response (14). MAbs to CTLA-4 were the first shown to have antitumor activity in mouse models (15), followed by mAbs to CD137 (16), and mAbs to CD3 plus CD28 were found to induce a tumor-selective Th1 response by lymphoid cells from patients with advanced cancer when added to cultured autologous tumor cells (17). A variety of additional mAbs were soon reported to cause a tumor-destructive immune response in preclinical models, including mAbs to PD-L1 (18, 19), CD40 (20), Ox40 (21), PD-1 (22), and CD20 (23) and antibody combinations were often more efficacious than single mAbs (24). Several mAbs also yield clinical benefit, including mAbs to CTLA-4 (25, 26), PD-1 (27), PD-L-1 (28), a combination of mAbs to CTLA-4 plus PD-1 (29), and of mAbs to CD137 plus PD-1 (30). However, the frequency of CR and cure remains low (31).
We hypothesized that the therapeutic efficacy can be improved by combining immunomodulatory mAbs with different mechanisms of action, including a mAb to CD19 to counteract tumor-promoting B cells (32) and/or a subpopulation of dendritic cells prone to induce immunologic tolerance (33) and by injecting the mAbs intratumorally (i.t.) to create a local inflammation with bystander killing (34), which may prevent the emergence of therapy-resistant variants. Our findings support the hypotheses by demonstrating frequent CR and long-term survival in all of three mouse tumor models (SW1 and B16 melanoma, TC1 lung carcinoma) and show that injection of tumors is therapeutically more efficacious than systemic administration to induce a strong local and systemic response. CR and long-term tumor-free survival were achieved also when the tumors were large at the onset of treatment. Responses were consistently associated with a shift in the tumor microenvironment from the Th2 type to Th1 immunity with long-term memory T cells and expression of genes encoding IFNγ and TNFα, and therapy-resistant cells were not detected. Importantly, the level of side effects was low.
On the basis of these findings and our previous demonstration that a combination of mAbs to CD137/PD-1/CTLA-4 prolongs survival of mice with the ID8 ovarian carcinoma (35, 36), as well as data from others (as cited above), we conclude that many cancers can be cured by engaging immunologic mechanisms of the Th1 type and we expect that increased knowledge about the underlying mechanisms will revolutionize cancer therapy. Encouraged by clinical responses with mAb combinations we feel that the four-mAb combination should be evaluated in humans.
Materials and Methods
Tumor lines and mice
SW1 is a clone from the K1735 melanoma of C3H origin with low immunogenicity and expression of MHC class I and II, B16/F10 is clone from a spontaneous C57BL/6 melanoma, and TC1 is a clone from a C57BL/6 lung carcinoma that was transfected with HPV-16 E6 and E7. Cells were cultured in IMEM supplemented with 10% fetal calf serum (FCS; Atlanta Biological), and 1% penicillin and streptomycin and suspensions prepared, and transplanted to mice. Six- to 8-week female C57BL/6 and C3H mice were purchased (Charles River Laboratories). The animal facilities are certified by the Association for Assessment and Accreditation of Laboratory Animal Care, and our protocols are approved by the institution (University of Washington).
Monoclonal antibodies for immunotherapy
The following mAbs were purchased from BioXcell: anti-CD137 (LOB12.3; Cat. #BE0169), anti–PD-1 (RMP1-14; Cat. #BE0146), anti–CTLA-4 (9D9; Cat. #BE0164), anti-CD19 (1D3; Cat. #BE0150), and control (2A3; Cat. #BE0089), and administered as indicated.
Animal studies
Of note, 5 × 105 SW1 cells, 5 × 105 TC1 cells or 1 × 105 B16 cells were transplanted subcutaneously (s.c.) on the right flank. When mice had tumors of the size referred to in Results (either 16–25 mm2 or 64–100 mm2 mean surface area), they were randomized into treatment groups and injected with mAbs, 0.25 mg of each indicated mAb; the mAbs were injected i.t. as indicated, at weekly intervals for three times, followed by three biweekly intervals; in some experiments (see Results) we, instead, injected the mAbs intraperitoneally (i.p.). Mice were monitored daily for side effects, two perpendicular tumor diameters were measured twice per week, and tumor surfaces were calculated. Survival was recorded for each mouse and overall survival (OS) was calculated as mean ± standard error (M ± SEM).
To investigate therapeutic effects on a second, untreated tumor in the same mice, mice were transplanted with 5 × 105 SW1 cells s.c. on their right and 2.5 × 105 SW1 cells on their left flank. When the right tumors were approximately 7 to 8 mm and the left ones approximately 5 to 6 mm mean diameter, the four-mAb combination was injected either into the right tumors while leaving the left tumors untreated or i.p. for systemic distribution; this treatment was repeated as for the other experiments with the SW1 tumor (shown by arrows in the Figs.).
For in vitro studies to investigate mechanisms, mice subjected to various treatments (including controls) as indicated in Results were euthanized and tumor-draining lymph nodes (TLN), spleens, and tumors were harvested. The collected tissues were prepared as described below. Mice with progressively growing tumors (progressors), whose tumors had fully regressed (regressors) as well as treated mice whose tumors started to respond (responders) or continued to grow (nonresponders) were investigated.
To obtain normal cells (presumably fibroblasts) to compare the immunologic effect with that of transplanted tumor cells, one female mouse, syngeneic to the tumor being studied in parallel, was euthanized after which the lungs removed, cut into approximately 1-mm pieces, which were incubated in IMEM medium with 500 μg/mL liberase at 37°C for 1 hour. The cell suspension was filtered through a 100-μm filter and washed three times with IMDM containing 10% FBS and then cultured similarly as the tumor cells.
Flow cytometry
Single-cell suspensions from spleens and lymph nodes were prepared as published (37, 38). Tumor-infiltrating lymphoid cells (TIL) were isolated from two or three pooled tumors as described (39). Single-cell suspensions were washed with FACS staining buffer and incubated with mouse Fc receptor binding inhibitor for 10 minutes before staining with antibodies of CD45 (clone 30-F11), CD3 (clone 145-2C11), CD4 (clone GK1.5), CD8 (clone 53-6.7), CD19 (clone eBio1D3), CD20 (clone AISB12), CD86 (clone GL1), CD80 (clone 16-10A1), CD11b (clone M1/70), Gr-1 (clone RB6-8C5), PD-1 (clone RMP1-30), CD137 (clone 17B5), PD-L1 (clone MIH5), PD-L2 (clone 122), and CD11c (clone N418) for 30 minutes. All these mAbs were bought from eBioscience. For intracellular staining of, IFNγ (clone XMG1.2 eBioscience), TNFα (clone MP6-XT22; eBioscience), CTLA-4 (clone MP6-XT22; eBioscience), and Foxp3 (clone FJK-16s; eBioscience), cells were fixed, permeabilized, and stained following the instruction of cytofix/cytoperm kit (BD Biosciences). Flow cytometry was performed using FACSCalibur (BD Biosciences) and the leukocyte population was selected by gating CD45+ cells. CountBright Absolute Counting Beads (Life technologies) were mixed with the cell sample and used to calculate absolute cell numbers. The data were analyzed using the FlowJo software (TreeStar).
To investigate whether there was a functional T-cell response, TLN, or splenocytes were cultured for 16 hours with the Cell stimulation Cocktail (eBioscience), which would induce the activation of cytokines production. After which intracellular cytokines were measured by flow cytometry.
Immunohistochemistry
SW-1–bearing mice were euthanized 7 days after their tumors had been injected once with the three-mAb injection, and the tumors were fixed in 10% paraformaldehyde. Sections (4μm) of formalin-fixed paraffin-embedded tissue were cut and placed on Superfrost Plus microscope slides (Fisher Scientific). The sections were deparaffinized and rehydrated through graded alcohols. Antigen retrieval was carried out with the Target Retrieval Solution (Dako) in a microwave for 10 minutes. Endogenous peroxidase activity was blocked with 3% H2O2. The slides were washed and incubated with anti-CD4 (Novus biologicals), anti-CD8 (Biorbyt), or anti-CD19 (Biorbyt) mAbs overnight at 4°C, after which they were washed and incubated with anti-Rabbit IgG-peroxidase antibody (Sigma-Aldrich). Color development was accomplished by incubation in diaminobenzidine (Dako). The slides were counterstained by hematoxylin (Dako) and cover-slipped with permanent mounting media.
Quantitative PCR
Collected TLNs, spleens, and tumors (when available) were stored in RNALater (Sigma-Aldrich) at −20°C. Total RNA was extracted from different tissues using Qiagen RNeasy Mini Kit, followed by cDNA synthesis using iScript Reverse Transcription Supermix (Bio-Rad). Subsequently, cDNA was used to measure the mRNA level of TNFα, IFNγ, IL4, Tbx21, Gata3, perforin, and granzyme B using qRT-PCR on the ABI Viia7 Real-Time PCR System (Applied Biosystems). The relative quantification was performed using the comparative CT method described by the manufacturer.
Statistical analysis
Results were expressed as mean ± SEM. The Student t test was used to compare the statistical difference between two groups and one-way ANOVA was used to compare three or more groups. Kaplan–Meier survival analyses were performed using GraphPad Prism 5, and the Gehan–Breslow–Wilcoxon test was used to determine significance. P < 0.05 was considered to be statistically significant.
Results
Certain combinations of immunomodulatory mAbs induce CR
We previously reported that i.t. injection of anti–CTLA-4 plus anti–PD-1 plus anti-CD137 mAbs (“the 3-mAb combination”) has efficacy in the ID8 ovarian cancer and SW1 melanoma models (35), and our present study confirms this efficacy in the three models investigated, SW1 and B16 melanoma, and TC1 lung carcinoma (Table 1) with CR in 26 of 40 (65%) mice with SW1, 3 of 10 (30%) mice, with B16 and 4 of 15 (27%) of mice with TC1 tumors when the mAbs were first injected when the tumors had a surface area of approximately 25 mm2.
Significantly prolonged survival of mice with established tumors following administration of mAbs to CD137/PD-1/CTLA-4 or to CD137/PD-1/CTLA-4/CD19
| . | Survival (d, M ± SEM) . | ||||
|---|---|---|---|---|---|
| Tumor model . | Control . | Three-mAb i.t. . | Three-mAb i.p. . | Four-mAb i.t. . | Four-mAb i.p. . |
| SW1 (25 mm2, n = 108) | 14.5 ± 0.9 (0/38)a | 107.2 ± 8.6d (26/40) | 61.3 ± 11f (5/15) | 157.9 ± 9.2d,f(14/15) | NT |
| SW1 (80 mm2, n = 15) | 16 ± 1.3 (0/5) | 50.6 ± 9.2c (0/5) | NT | 111 ± 24.1c,e (3/5) | NT |
| B16 (25 mm2, n = 55) | 8.6 ± 0.7 (0/20) | 51.3 ± 19.4c (3/10) | NT | 121.5 ± 16.5d,e (14/20) | 40.6 ± 24.9g (1/5) |
| B16 (80 mm2, n = 35) | 9.5 ± 0.9 (0/15) | 29.5 ± 10.4b (1/10) | NT | 77 ± 18.9d,e (5/10) | NT |
| TC1(25 mm2, n = 45) | 10.4 ± 0.8 (0/15) | 61 ± 19.3b (4/15) | NT | 94.5 ± 21.5d,e (7/15) | NT |
| . | Survival (d, M ± SEM) . | ||||
|---|---|---|---|---|---|
| Tumor model . | Control . | Three-mAb i.t. . | Three-mAb i.p. . | Four-mAb i.t. . | Four-mAb i.p. . |
| SW1 (25 mm2, n = 108) | 14.5 ± 0.9 (0/38)a | 107.2 ± 8.6d (26/40) | 61.3 ± 11f (5/15) | 157.9 ± 9.2d,f(14/15) | NT |
| SW1 (80 mm2, n = 15) | 16 ± 1.3 (0/5) | 50.6 ± 9.2c (0/5) | NT | 111 ± 24.1c,e (3/5) | NT |
| B16 (25 mm2, n = 55) | 8.6 ± 0.7 (0/20) | 51.3 ± 19.4c (3/10) | NT | 121.5 ± 16.5d,e (14/20) | 40.6 ± 24.9g (1/5) |
| B16 (80 mm2, n = 35) | 9.5 ± 0.9 (0/15) | 29.5 ± 10.4b (1/10) | NT | 77 ± 18.9d,e (5/10) | NT |
| TC1(25 mm2, n = 45) | 10.4 ± 0.8 (0/15) | 61 ± 19.3b (4/15) | NT | 94.5 ± 21.5d,e (7/15) | NT |
aSurvival (tumor free)/number of treated mice 120 days after the first treatment.
bP < 0.05; cP < 0.01; dP < 0.001, compared with the control group; eP < 0.05; fP < 0.01, compared with the three-mAb i.t. group; gP < 0.05, compared with the four-mAb i.t. group.
In view of the involvement of B cells in Th2-mediated antitumor responses (40), as well as our demonstration of an increased number of CD19+ cells in TLN after tumor-cell transplantation and the finding that tumor regression induced by the three-mAb combination was associated with a decreased number of CD19+ cells in tumors and TLN, we hypothesized that an anti-CD19 mAb would have antitumor efficacy. Although i.t. injection of an anti-CD19 mAb only slightly prolonged survival of SW1-bearing mice, as did mAbs to either CTLA-4 or PD-1, combination of anti-CD19 with either of these two mAbs significantly prolonged their survival (Fig. 1, P < 0.05), as did anti-CD19 plus anti–CTLA-4 mAb in mice with B16 melanoma (Fig. 1, P < 0.05) where neither mAb was efficacious as a single agent. Importantly, addition of CD19 mAb to the three-mAb combination significantly increased survival in all the three tumor models (Table 1). Thus, i.t. injection of anti-CD137/PD-1/CTLA-4/CD19 (“the 4 mAb combination”) produced CR in 14 of 15 SW1-bearing mice (P < 0.01), in 14 of 20 B16-bearing mice (P < 0.05), and in 7 of 15 mice with TC1 tumors (P < 0.05).
Eradication of established tumors by mAb combinations. When s.c. tumors had approximately 25 mm2 surface area, they were injected with indicated single mAbs or mAb combinations for 6 times as shown by arrows. A, survival curves for mice with s.c. SW1 melanoma (left), B16 melanoma (middle), or TC1 lung carcinoma (right). B, tumor growth curves for individual mice with s.c. SW1 melanoma (top), B16 melanoma (middle), or TC1 lung carcinoma (bottom). n = 5 for each group; *, P < 0.05; **, P < 0.01; ***, P < 0.001. Similar results were obtained in at least three independent experiments, summarized in Table 1.
Eradication of established tumors by mAb combinations. When s.c. tumors had approximately 25 mm2 surface area, they were injected with indicated single mAbs or mAb combinations for 6 times as shown by arrows. A, survival curves for mice with s.c. SW1 melanoma (left), B16 melanoma (middle), or TC1 lung carcinoma (right). B, tumor growth curves for individual mice with s.c. SW1 melanoma (top), B16 melanoma (middle), or TC1 lung carcinoma (bottom). n = 5 for each group; *, P < 0.05; **, P < 0.01; ***, P < 0.001. Similar results were obtained in at least three independent experiments, summarized in Table 1.
We next explored the efficacy against larger tumors by treating the mice that had s.c. melanoma of approximately 80 mm2 surface area. As shown in Fig. 2, anti–CTLA-4 plus anti–PD-1 mAbs were not efficacious in mice with large SW1 or B16 tumors. The three-mAb combination prolonged OS of SW1-bearing mice to 50.6 ± 9.2 days from 16 ± 1.3 days in controls (P < 0.01) and of B16-bearing mice to 29.5 ± 10.4 days from 9.5 ± 0.9 days in controls (P < 0.05), but it only induced one CR. In contrast, the four-mAb combination induced long-lasting CR in 3 of 5 SW1-bearing mice and 5 of 10 B16-bearing mice versus 0 of 5 and 1 of 10, respectively, for the three-mAb combination (P < 0.05). We never observed tumor recurrence in mice that had been tumor free for >150 days after cessation of treatment and, therefore, consider these mice cured.
Eradication of large SW1 and B16 tumors by i.t. injection of the four- and three-mAb combinations. When s.c. tumors had approximately 80 mm2 surface area, they were injected 6 times with indicated mAbs as shown by arrows. A, survival curves for mice with SW1 melanoma. B, survival curves for mice with B16 melanoma. C, tumor growth curves for individual mice with s.c. SW1 melanoma (top) or B16 melanoma (bottom). D, survival curves for mice bearing a SW1 melanoma transplanted on each flank, one of which was injected with the four-mAb combination or with control; in another group, the four-mAb combination was instead given i.p. E, tumor growth curves shown for both treated (right) and untreated (left) tumors in individual mice. n = 5 for each group; *, P < 0.05; **, P < 0.01.
Eradication of large SW1 and B16 tumors by i.t. injection of the four- and three-mAb combinations. When s.c. tumors had approximately 80 mm2 surface area, they were injected 6 times with indicated mAbs as shown by arrows. A, survival curves for mice with SW1 melanoma. B, survival curves for mice with B16 melanoma. C, tumor growth curves for individual mice with s.c. SW1 melanoma (top) or B16 melanoma (bottom). D, survival curves for mice bearing a SW1 melanoma transplanted on each flank, one of which was injected with the four-mAb combination or with control; in another group, the four-mAb combination was instead given i.p. E, tumor growth curves shown for both treated (right) and untreated (left) tumors in individual mice. n = 5 for each group; *, P < 0.05; **, P < 0.01.
Intraperitoneal mAb injection is less therapeutically efficacious than i.t. injection
The mAb combinations were also administrated i.p. to mice with tumors that had a mean surface area of approximately 25 mm2 and the data were compared with those in mice injected i.t. The three-mAb combination induced fewer CRs when given i.p. rather than i.t. (Table 1, 5 of 15 vs. 26 of 40 CR; P < 0.01) to mice with SW1 tumors, as did the four-mAb combination in the B16 model (Table 1, 1 of 5 vs. 14 of 20 CR; P < 0.05).
Transplanted tumor cells induce a Th2-type tumor microenvironment
SW1 or B16 cells were transplanted s.c. and the mice were euthanized after various times. Interestingly, transplanted SW1 cells significantly increased the number of CD19+ cells in TLNs already after 1 day, and the increase persisted when last evaluated on day 21. In contrast, the number of CD3+ and CD8+ cells decreased (Fig. 3A, left; P < 0.05). Similar results were found in C57BL/6 mice transplanted with B16 cells (Supplementary Fig. S1). Besides, there was a statistically significant increased number of CD11b+Gr-1+ MDSCs in spleens from mice transplanted with either SW1 or TC1 cells (Fig. 3A, right). Experiments were also performed in which mice were transplanted with syngeneic normal cells. These mice had a similar immunologic pattern as naïve mice, indicating that the induced Th2-type environment was tumor related.
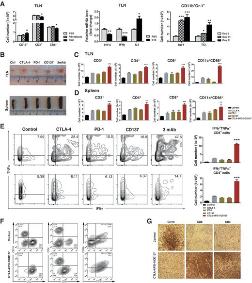
A, left, cells in TLN from mice that were naïve or transplanted with 5 × 105 cells from SW1 or syngeneic normal cells 1 day before euthanasia; middle, relative mRNA expression for TLN from mice that were naïve or transplanted 2 days previously with 1 × 105 B16 cells; right, CD11b+Gr-1+ MDSC in spleens from mice that were naïve or transplanted with 5 × 105 SW1 or TC1 cells 14 or 21 days before euthanasia (n = 5 per group). B, photographs of TLN (top) and spleen (bottom) from SW1-bearing mice 7 days after one injection of the three-mAb combination. C, lymphocyte populations in TLN from SW1-bearing mice treated as indicated (n = 5/group). D, lymphocyte populations in spleens from the same mice (n = 5 per group). E, dot plots and numbers of CD8+ (top) and CD4+ (bottom) spleen cells expressing IFNγ and TNFα after culture with the Cell Stimulation Cocktail for 16 hours (n = 3 per group). F, dot plots showing decrease of CD19+ cells and increase of CD3+, CD4+, CD8+ cells and CD11c+CD86+ mature DCs in TIL from SW1-bearing mice, which had been treated once with the three-mAb combination as compared with control mice. G, immunohistochemistry (IHC) images showing CD19, CD8, and CD4 cells in SW1 tumors of these mice. *, P < 0.05; **P, < 0.01; ***, P < 0.001. Similar results were obtained in at least three independent experiments.
A, left, cells in TLN from mice that were naïve or transplanted with 5 × 105 cells from SW1 or syngeneic normal cells 1 day before euthanasia; middle, relative mRNA expression for TLN from mice that were naïve or transplanted 2 days previously with 1 × 105 B16 cells; right, CD11b+Gr-1+ MDSC in spleens from mice that were naïve or transplanted with 5 × 105 SW1 or TC1 cells 14 or 21 days before euthanasia (n = 5 per group). B, photographs of TLN (top) and spleen (bottom) from SW1-bearing mice 7 days after one injection of the three-mAb combination. C, lymphocyte populations in TLN from SW1-bearing mice treated as indicated (n = 5/group). D, lymphocyte populations in spleens from the same mice (n = 5 per group). E, dot plots and numbers of CD8+ (top) and CD4+ (bottom) spleen cells expressing IFNγ and TNFα after culture with the Cell Stimulation Cocktail for 16 hours (n = 3 per group). F, dot plots showing decrease of CD19+ cells and increase of CD3+, CD4+, CD8+ cells and CD11c+CD86+ mature DCs in TIL from SW1-bearing mice, which had been treated once with the three-mAb combination as compared with control mice. G, immunohistochemistry (IHC) images showing CD19, CD8, and CD4 cells in SW1 tumors of these mice. *, P < 0.05; **P, < 0.01; ***, P < 0.001. Similar results were obtained in at least three independent experiments.
To further investigate the effect of transplanted tumor cells on the immune system, RNAs were extracted from TLN of mice transplanted with B16 cells 2 days earlier, and evaluated by qRT-PCR. As shown in Fig. 3A, middle, transplanted B16 cells induced a 2-fold decrease in IFNγ and TNFα mRNA levels and a 2-fold increase in IL4 mRNA levels; the changes were statistically significant.
Combinations of immunomodulatory mAbs shift a Th2 to a Th1 immunologic profile
Of note, 5 × 105 SW1 cells were transplanted s.c., mAbs were injected once i.t. to tumors with a surface area of approximately 25 mm2, and mice were euthanized 7 days later. TLNs and spleens were enlarged after injection of the three-mAb combination as compared with control mice or mice injected with a single mAb (Fig. 3B). The three-mAb combination dramatically increased the numbers of CD3+, CD8+, CD4+ cells and CD11c+CD86+ mature DC in both TLN and spleen (Fig. 3C and D; P < 0.001). It also increased the number of cells expressing CD86 or CD137, while expression of PD-1 and CTLA-4 was unaffected in both TLN and spleen (Supplementary Fig. S2).
To investigate whether there was a functional response, splenocytes from SW1-bearing mice euthanized 7 days after onset of therapy were cultured with the Cell Stimulation Cocktail and intracellular cytokines were measured. The three-mAb combination increased IFNγ and TNFα double-producing CD8+ and CD4+ cells compared with control or single mAb (Fig. 3E; P < 0.001).
The three-mAb combination reversed tumor immunosuppression and activated antitumor immunity in responders but not in nonresponders
TLNs and spleens were harvested from mice with B16 melanomas that either had completely regressed (“regressors”) or were growing progressively (“progressors”). The numbers of CD19+ cells and CD11b+Gr-1+ MDSCs were lower, and CD3+ cell numbers higher in regressors (Fig. 4A, left; P < 0.001). Consistently, qRT-PCR showed a 6-fold higher expression of IFNγ mRNA, a 4-fold higher expression of TNFα mRNA and a 2-fold lower expression of the Th2 cytokine IL4 in TLN from regressors (Fig. 4A, right), indicating that the suppressed immune response had been reversed in regressors but not in progressors. Similar differences were found in spleens with more CD3+ cells, fewer CD11b+Gr-1+ MDSCs, and a 2-fold higher expression of IFNγ mRNA in regressors (Fig. 4B).
Mice whose B16 melanoma had regressed or was growing progressively were euthanized 7 days after the third i.t. injection of the three-mAb combination and their TLNs and spleens were analyzed. A, left, lymphocyte components in TLN from regressors and progressors; right, qPCR analyses of mRNA levels for cytokines in TLNs from the same experiment. B, left, lymphocyte components in spleens from regressors and progressors; right, qPCR analyses of mRNA levels for cytokines in spleens from the same experiment. C, numbers of indicated CD8 and CD4 cells in TLN (top) and spleen (bottom) from regressors and progressors after culture with the Cell Stimulation Cocktail for 16 hours. D, percentages and absolute numbers of CD44+CD62L− effector memory CD8+ cells in TLN (top) and spleen (bottom) from regressors and progressors. E, left, flow cytometry analysis of TIL from mice whose melanoma had started to regress (responders) or grew progressively (nonresponders), as compared with control, 7 days after the second i.t. injection of the three-mAb combination and controls. Right, qPCR analyses of mRNA levels for cytokines in tumors from the same experiment. F, percentages and absolute numbers of CD44+CD62L− effector memory CD8 cells in tumors from responders, nonresponders, and controls. n = 5 per group. *, P < 0.05; **, P < 0.01; ***, P < 0.001; ****, P < 0.0001.
Mice whose B16 melanoma had regressed or was growing progressively were euthanized 7 days after the third i.t. injection of the three-mAb combination and their TLNs and spleens were analyzed. A, left, lymphocyte components in TLN from regressors and progressors; right, qPCR analyses of mRNA levels for cytokines in TLNs from the same experiment. B, left, lymphocyte components in spleens from regressors and progressors; right, qPCR analyses of mRNA levels for cytokines in spleens from the same experiment. C, numbers of indicated CD8 and CD4 cells in TLN (top) and spleen (bottom) from regressors and progressors after culture with the Cell Stimulation Cocktail for 16 hours. D, percentages and absolute numbers of CD44+CD62L− effector memory CD8+ cells in TLN (top) and spleen (bottom) from regressors and progressors. E, left, flow cytometry analysis of TIL from mice whose melanoma had started to regress (responders) or grew progressively (nonresponders), as compared with control, 7 days after the second i.t. injection of the three-mAb combination and controls. Right, qPCR analyses of mRNA levels for cytokines in tumors from the same experiment. F, percentages and absolute numbers of CD44+CD62L− effector memory CD8 cells in tumors from responders, nonresponders, and controls. n = 5 per group. *, P < 0.05; **, P < 0.01; ***, P < 0.001; ****, P < 0.0001.
In vitro incubation of TLN and spleen cells with the Cell Stimulation Cocktail showed that regressors had significantly higher numbers of CD8+ (P < 0.001) and CD4+ (P < 0.01) cells producing IFNγ and TNFα in both TLN and spleen (Fig. 4C). CD8 cells were analyzed for the expression of CD44 and CD62L as markers of effector memory T cells. Regressors had significantly more CD44+CD62L− cells than progressors in both TLN and spleen (Fig. 4D; P < 0.01), indicating that a functional immune response was activated in regressors but not in progressors.
We next studied B16 tumors that had either started to regress (responders) or grew progressively (nonresponders) in mice euthanized 7 days after the second i.t. injection of the three-mAb combination. Analysis of TIL showed that responding tumors contained much fewer CD19+ cells and more CD3+, CD4+, and CD8+ cells compared with nonresponders (Fig. 4E, left). Moreover, 6-fold higher mRNA levels of IFNγ and TNFα, 2-fold higher mRNA levels of perforin and a 15-fold increase of granzyme B were found in responding tumors when compared with nonresponding ones that had similar levels as controls (Fig. 4E, right).
Approximately 90% of the infiltrating CD8 cells in responders were CD44+CD62L− effector memory cells and were present in higher numbers than in nonresponders or controls (Fig. 4F; P < 0.001).
The four-mAb combination induced a stronger Th1 response than the three-mAb combination and caused rejection of a second, untreated tumor in the same mouse
We investigated the immune profiles of mice with B16 tumors 7 days after one i.t. injection of mAb(s). Anti-CD19 mAb, given alone or in combinations, depleted more than 95% of CD19+ cells (Supplementary Fig. S3); most of these cells were also CD20 positive (Supplementary Fig. S3). Importantly, there were much stronger local antitumor responses with more CD3+, CD4+, CD8+, and CD80+CD11c+ cells in TLN from mice whose tumors were injected with the four- rather than three-mAb combination (Fig. 5A, left; P < 0.05) and much fewer CD19 cells. Moreover, the four mAbs more effectively increased the shift to a Th1 from a Th2 response with an increased Tbx21/Gata3 ratio, higher mRNA expression of IFNγ and lower mRNA expression of IL4 (Fig. 5A, right; P < 0.05). Frequencies of CD44+CD62L− effector memory cells in TLN were similar in mice whose tumors were injected with either combination but the four-mAb combination increased the number of CD44+CD62L+ central memory CD8 T cells as compared with the three-mAb combination (Fig. 5B; P < 0.05).
The four-mAb combination induced a stronger antitumor immunity than the three-mAb combination detected by analyzing TLN, spleen, and tumors from B16-bearing mice 7 days after one i.t. injection of either mAb combination. A, left, TLN characterized by flow cytometry; right, TNL characterized by qRT-PCR for relative mRNA levels of indicated genes. B, dot plots and absolute numbers of CD44+CD62L+ CD8 cells in TLN from mice treated with three-mAb or four-mAb. C, upper bar graphs show CD8+ and effector memory T cells in spleen from mice treated as indicated; lower bar graphs show the relative mRNA levels of IFNγ and IL4 in TIL from the indicated groups. D, dot plots showing that addition of anti-CD19 to the three-mAb combination depletes a spleen cell population of CD19+CD11c+ DC that have a high expression of IDO. E, left, lymphocyte components and right, mRNA expression of TIL from mice treated as indicated. F, dot plots and graph showing CD4+Foxp3−/CD4+Foxp3+ ratios in tumors from mice receiving the three-mAb or four-mAb combination with the highest ratio in the group receiving the four-mAb combination (n = 7–10 per group). *, P < 0.05; **, P < 0.01; ***, P < 0.001.
The four-mAb combination induced a stronger antitumor immunity than the three-mAb combination detected by analyzing TLN, spleen, and tumors from B16-bearing mice 7 days after one i.t. injection of either mAb combination. A, left, TLN characterized by flow cytometry; right, TNL characterized by qRT-PCR for relative mRNA levels of indicated genes. B, dot plots and absolute numbers of CD44+CD62L+ CD8 cells in TLN from mice treated with three-mAb or four-mAb. C, upper bar graphs show CD8+ and effector memory T cells in spleen from mice treated as indicated; lower bar graphs show the relative mRNA levels of IFNγ and IL4 in TIL from the indicated groups. D, dot plots showing that addition of anti-CD19 to the three-mAb combination depletes a spleen cell population of CD19+CD11c+ DC that have a high expression of IDO. E, left, lymphocyte components and right, mRNA expression of TIL from mice treated as indicated. F, dot plots and graph showing CD4+Foxp3−/CD4+Foxp3+ ratios in tumors from mice receiving the three-mAb or four-mAb combination with the highest ratio in the group receiving the four-mAb combination (n = 7–10 per group). *, P < 0.05; **, P < 0.01; ***, P < 0.001.
The four-mAb combination also induced more CD8+ spleen cells and a higher frequency of CD44+CD62L− effector memory T cells in spleens and higher mRNA expression of IFNγ and lower mRNA expression of IL4 in the spleen (Fig. 5C; P < 0.05). To characterize the CD19 cells, spleens were harvested from SW1-bearing mice that had been injected i.t. with the three- or four-mAb combination. Although CD19+ cells were not detected in mice given the four-mAb combination, spleen cells and TLN from mice injected with the three-mAb combination (as well as from tumor-bearing controls) contained cells expressing CD19 and CD20 as well as a small cell population that expressed CD19 together with the DC marker CD11c and containing a high level of IDO (Fig. 5D). These cells most likely were “tolerogenic” DC similar to those previously detected in the mouse spleen (33, 41) and TLNs and able to activate Treg via IDO (42).
Furthermore, the four-mAb combination significantly increased the number of CD3, CD4, CD8, and NK cells among TIL as compared with the three-mAb combination (Fig. 5E, left; P < 0.05), and it gave a 2-fold increase of IFNγ mRNA expression and a 2-fold decrease of IL13 mRNA expression in tumors as compared with the three-mAb combination (Fig. 5E, right). There was an increase in the ratio of Teff (CD4+Foxp3−) to Treg (CD4+Foxp3+) cells in tumors from mice given the three-mAb combination versus control (Fig. 5F; P < 0.05) and a further increase in mice given the four-mAb combination (Fig. 5F; P < 0.05). Furthermore, addition of the anti-CD19 mAb to the three-mAb combination increased the number of cells in tumors that expressed CD137 and CD86, whereas the expression of PD-1, CTLA-4, PD-L1, and PD-L2 was not affected (Supplementary Fig. S4).
Experiments were performed to investigate whether i.t. injection of the four-mAb combination induces a systemic antitumor response and how this response compares to that in mice, which, instead, were injected i.p. SW1 cells were transplanted on both sides of the back of mice. In one group of mice, the tumor in the right flank was injected with the four-mAb combination, whereas in another group, the four-mAb combination was, instead, injected i.p.; there was also a group in which the right tumor was injected with a control mAb. The mice were monitored for survival and both the right and left side tumors were measured. As shown in Fig. 2D and E, i.t. injection of the four-mAb combination caused rejection also of untreated tumors in the same mice, whereas i.p. injection was much less effective against both tumors. The experiment was repeated with similar results. We conclude that i.t. injection of the four-mAb combination induces a strong systemic antitumor response, which is more therapeutically efficacious than i.p. injection at both the local and systemic levels.
Modest side effects
No evidence of toxicity was found in the 30 TC-1–bearing mice injected with the three-mAb or four-mAb combination. Three of 80 mice with the SW1 or B16 melanoma that were injected with the three-mAb combination died as did 2 of 55 mice that received the four-mAb combination. One of 20 mice injected i.p. died as compared with 4 of 115 mice injected i.t. The cause of death remains unknown, although histopathology reports showed marked diffuse extramedullary hematopoiesis in spleen and mild extramedullary hematopoiesis and random lymophocytic, plasmacytic, and neutrophilic hepatitis in liver. Most of the deaths occurred 10 to 20 days after the mAb therapy had started. Temporary hair loss was seen in <30% of treated mice with SW1 tumors and around 5% depigmentation was observed in mice with SW1 or B16 melanoma.
Discussion
We show that established mouse tumors, even when their surface area was approximately 80 mm2, were rejected after repeated i.t. injection of a combination of four immunomodulatory mAbs (anti-CD137/PD-1/CTLA-4/CD19) with >50% of the mice becoming long-term tumor-free survivors and most likely cured. Efficacy was detected in all three models investigated. These findings are remarkable as CR and cure in mice with large tumors is rare (31). Previous studies in mice with ID8 ovarian carcinoma also demonstrated prolonged survival with a combination of mAbs to CD137/PD-1/CTLA-4 (35) and there was a high frequency of CR when mAbs to CD137/PD-1 were combined with cisplatin (36) although the frequency of CR with the three-mAb combination was less than with the four-mAb combination in the models now studied. Although the three-mAb combination could induce CR, these were less frequent, particularly when the tumors were large.
There is evidence that anti–CTLA-4 mAbs induce melanoma regression by depleting Treg cells in tumors via antibody-dependent cellular cytotoxicity (ADCC; ref. 43) and that CD137 stimulation enhances the anti-lymphoma activity of anti-CD20 mAbs through ADCC (44). However, we have not investigated the quantitative and qualitative changes of various cell populations as a result of mAb administration or the mechanisms by which the various lymphoid cell populations are influenced beyond showing that the anti-CD19 mAb effectively removes CD19+ cells from lymph nodes and spleens.
Intratumoral injection of the four-mAb combination induced a systemic antitumor response that could reject a second, noninjected tumor in the same mouse and was more effective than i.p. injection. Rejection of untreated tumors in mice with two tumors after injecting one of them with the four-mAb combination was also observed in a previous study where the three-mAb combination was not efficacious against untreated tumors (35). Systemic (i.p.) injection of the mAb combinations could also induce CR, but was considerably less efficacious than i.t. injection. An advantage of i.t. over systemic injection of immunomodulatory mAbs has also been demonstrated by others, primarily as an approach to reduce systemic toxicity (20, 45, 46). To further improve its therapeutic window, one may obtain a sustained high intratumoral level by entrapping the mAbs in nanoparticles (47) or by using constructs that combine immunomodulatory mAbs with tumor-targeting ones; if the targeting is efficient, the constructs may be administered systemically.
Large numbers of CD19+ cells accumulated in TLN within 24 hours after tumor cell transplantation and, in parallel, there was a decrease of CD8+ cells and of TNFα and IFNγ. Similar changes were not seen in mice transplanted with syngeneic normal cells, indicating that the changes were induced in response to the tumor, e.g., to tumor antigens, PD-L1 (18), TGFβ (48), and/or IDO (49).
Responding mice consistently displayed a Th1 profile with dramatic decrease of tumor-associated CD19+ cells and increase of the number of mature DC and of CD4 and CD8 cells, including long-lived memory T cells and cells doubly positive for TNFα and IFNγ, an increase of FoxP3−CD4+ T-effector cells, and an increased transcription of Th1 genes. We detected no case in which rejection was accompanied by a Th2-type tumor microenvironment or where tumors grew progressively in a Th1-type environment. Accumulation of Th1 cells in responding tumors was greatest among TIL and TLN and was also seen in spleens. These changes were most pronounced in mice receiving the four-mAb combination, but also seen with the anti-CD137/PD-1/CTLA-4 combination. It is noteworthy that a Th1 tumor environment with expression of IFNγ correlates with good prognosis in patients with advanced melanoma (50).
We found no therapy-resistant tumors like we had originally anticipated, expecting that therapy would select cells lacking antigens as T cells targets or the ability to present such (10, 51). Maybe, successful therapy eliminated such cell variants via some bystander effect, mediated, e.g., by activated NK cells, macrophages, molecules such as TNFα or IFNγ, and/or damaged vasculature. Such bystander effects were seen in a related system in which adding highly immunogenic K1735 melanoma cells that expressed anti-CD137scFv to an excess of cells from an antigenically unrelated, syngeneic sarcoma, Ag104, caused rejection of the Ag104 cells (34). Bystander effects have been detected in other models as well and involve cooperation between CD4+ and CD8+ cells (52).
Progressively growing mouse tumors had a similar Th2 profile among TIL and TLN, including many CD19+ cells, whether the mice were untreated or did not respond to the mAb-based therapy, and we detected no case in which tumors grew progressively in a Th1-type environment. Although >50% of tumors responded to the four-mAb combination, others did not and consistently maintained a Th2-type microenvironment. We speculate that this may have been due to leakage of the mAbs from the tumors at the first treatment so that they reached the maximum size before the mice had to be euthanized according to IACUC regulations for our experimental protocol.
It is noteworthy that CD19+ cells were detected at tumor sites already within 24 hours of tumor transplantation and that the four-mAb combination, which contains an anti-CD19 mAb, was therapeutically more efficacious than the three-mAb combination and induced a stronger immune response according to in vitro assays. A small population of CD19+ cells that expressed CD11c and contained IDO was detected in tumor-bearing controls and tumor-bearers receiving the three-mAb combination but not in mice given the four-mAb combination. They were probably tolerogenic DCs (33), and depletion of these cells may contribute to the better efficacy of four-mAb combination with a higher population of memory/effector T cells, although most of the CD19 cells in tumor-bearing mice were probably B lymphocytes, including regulatory B cells, which can play an important role as part of a Th2 response promoting tumor growth (32, 40, 53–55). However, B-cell depletion has also been reported to impair CD4+ and CD8+ T cell tumor immunity to enhance tumor growth (56), and further investigation of tumor-associated CD19+ and CD20+ cells and their mechanism of action is needed.
The side effects have been low in the four models we have studied to date with less than 5% lethality in addition to hair-loss and depigmentation seen in some mice. Because injection of multiple mAbs capable of modifying immunologic responses contains the risk to cause serious toxicity, it will be important to deliver the mAbs in the smallest doses that are effective and keep the level of systemic exposure as low as possible. Combination of the mAb treatment with approaches that increase the tumor specificity, e.g., therapeutic vaccination, may also improve efficacy over toxicity. It is encouraging that studies of the ID8 ovarian carcinoma showed that successfully treated mice were immune to tumor antigens as detected by ELIspot and CTL assays (35, 36) and that they could reject transplanted ID8 cells but not cells from an antigenically different syngeneic tumor (36).
We conclude that tumors, including large ones, can be destroyed by the host's immune system by administering immunomodulatory mAbs, that the four-mAb combination is most successful in our hands, and that CD19+ cells play a larger role in tumor growth and rejection than anticipated. We also conclude that i.t. injection is more efficacious than systemic (i.p) treatment to induce both a local and systemic response. Although mAb efficacy and safety profiles vary between species, we feel that i.t. injection of the four-mAb combination should be considered for clinical “translation.”
Disclosure of Potential Conflicts of Interest
No potential conflicts of interest were disclosed.
Authors' Contributions
Conception and design: K.E. Hellstrom, I. Hellstrom
Development of methodology: M. Dai, Y.Y. Yip
Acquisition of data (provided animals, acquired and managed patients, provided facilities, etc.): M. Dai, Y.Y. Yip
Analysis and interpretation of data (e.g., statistical analysis, biostatistics, computational analysis): K.E. Hellstrom, I. Hellstrom, M. Dai, Y.Y. Yip
Writing, review, and/or revision of the manuscript: K.E. Hellstrom, M. Dai, Y.Y. Yip, I. Hellstrom
Administrative, technical, or material support (i.e., reporting or organizing data, constructing databases): K.E. Hellstrom, I. Hellstrom, M. Dai, Y.Y. Yip
Acknowledgments
The authors thank Drs. H.O. Sjögren and P. Abrams for valuable suggestions.
Grant Support
The study was supported by the grant R01CA134487 from the NIH.
The costs of publication of this article were defrayed in part by the payment of page charges. This article must therefore be hereby marked advertisement in accordance with 18 U.S.C. Section 1734 solely to indicate this fact.




