Abstract
Purpose: This study aimed to understand the prognostic value of integrin β1 expression in head and neck squamous cell carcinoma (HNSCC) and the mechanism underlying its association with metastatic HNSCC.
Experimental Design: Archival HNSCC tissues including 99 nonmetastatic primary tumors and 101 metastatic primary tumors were examined for the association of integrin β1 expression with metastasis and disease prognosis by appropriate statistical methods. Fluorescence-activated cell sorting was used to separate the integrin β1high/+ cell population from the integrin β1low/− population in HNSCC cell lines. These two populations and integrin β1 shRNA knockdown HNSCC cells were examined for the effect of integrin β1 on invasion in vitro and on lymph node and lung metastases in a xenograft mouse model. Expression and activation of matrix metalloproteinases (MMP) were examined by zymography.
Results: Statistical analysis showed that integrin β1 expression was significantly higher in the metastatic primary tumors than in the nonmetastatic tumors (42.6% vs. 24.8%, P < 0.0001 and P < 0.0001 by univariate and multivariate analyses, respectively). In patients with lymph node metastasis, integrin β1 expression was inversely correlated with overall survival (P = 0.035). The integrin β1 knockdown or integrin β1low/− HNSCC cells showed a significant reduction in lymph node and lung metastases in vivo (P < 0.001 and P < 0.05, respectively). Significantly reduced Matrigel invasion capability was also found in integrin β1 knockdown or integrin β1low/− HNSCC cells (P < 0.01). Finally, zymography results showed integrin β1-affected HNSCC invasion by regulating MMP-2 activation.
Conclusion: These findings indicate that integrin β1 has a major impact on HNSCC prognosis through its regulation of metastasis. Clin Cancer Res; 18(17); 4589–99. ©2012 AACR.
Metastasis is one of the major factors underlying the poor prognosis of head and neck cancer (HNC). Understanding the progression of HNC from the primary site to the lymph node and distant organs will facilitate the development of new treatment strategies against this disease. Although integrin β1 is known to contribute to invasion, its prognostic value and role played in metastasis of HNC have not been elucidated. The current study examined integrin β1 expression in human HNC tissues and tested whether blocking integrin β1 could reduce the incidence of lymph node and lung metastases in an animal model. Our results clearly indicated that integrin β1 was not only a potential marker of metastasis but also played a significant role in the regulation of HNC metastasis. This study opens the possibilities of using integrin β1 for early detection of metastatic lesions and of targeting this protein for the treatment of metastatic disease.
Introduction
Head and neck cancer (HNC) is one of the most common cancers and is responsible for almost 200,000 deaths around the world every year (1, 2). HNC accounted for an estimated 49,260 new cases and 11,480 deaths in the United States alone in 2010 (3). Squamous cell carcinoma (SCC) represents 90% of HNC cases and is a highly heterogeneous disease. Both locoregional recurrences and lymph node metastasis (LNM) of the squamous cell carcinoma of the head and neck (HNSCC) are associated with a poor prognosis. Despite the advances in understanding of the biologic behavior of HNC, along with its improved diagnosis, the 5-year survival rate has been virtually unchanged in the past 30 years, remaining at 54% for patients with regional LNM and 32% for patients with distant metastasis (1, 3). Therefore, better understanding of the molecular mechanisms underlying the metastasis of HNC will contribute significantly to predicting and guiding the treatment of this disease.
The mechanisms underlying metastasis in most cancers are still poorly understood (4). Like other cancers, HNC metastasis is a multistep process that results from the accumulation of multiple genetic and epigenetic alterations (5–7). It has been shown that carcinoma cells first invade the surrounding stroma, then migrate and intravasate into the blood or lymphatic vessels, and survive anoikis. Once arrested in the capillaries of a distant location or organ, they will penetrate the adjacent parenchyma, and adapt to the newly colonized milieu or subvert the local microenvironment to form a new tumor. Many genes and proteins take part in these multiple steps that facilitate the metastatic process, one of which is integrin β1. Integrins are a family of transmembrane glycoproteins. Their noncovalently linked α and β subunits together support and modulate various cellular functions that are required for cancer survival and metastasis (8, 9). Integrin β1 drew our attention because its expression was found to be much higher in highly metastatic HNSCC cells selected in vivo than in their poorly metastatic counterpart (10, 11). The role of integrin β1 in the metastasis of several types of cancer has been studied (8, 12). Integrin β1 expression in HNSCC has been reported by several researchers. Van Waes and colleagues showed that integrin β1 expression was increased in tissue specimens from 80 patients with SCC of the upper aerodigestive tract and in the cell lines derived from neoplasms. Their results suggested that an increase in suprabasilar expression of integrin β1 might be advantageous for tumor progression (13). Koivisto and colleagues showed that integrins α1β1, αvβ1, and αvβ6 collaborated in supporting SCC cell spreading and migration on fibronectin (14). However, the contribution of integrin β1 to HNSCC metastasis and prognosis remains to be shown. Matrix metalloproteinases (MMP) are enzymes that degrade components of the extracellular matrix (ECM) and thus play a pivotal role in cell migration and ECM remodeling during physiologic and pathologic processes (15, 16). Although integrin β1 has been widely studied, its interaction with MMPs has not been fully defined (17).
In this study, we address the roles of integrin β1 in the metastasis of HNSCC on 3 fronts: HNSCC cell lines, a xenograft animal model, and tissue specimens obtained from patients with HNSCC. First, we analyzed the integrin β1 expression level in tissue specimens obtained from 200 patients with HNSCC (101 from patients with LNM and 99 from patients without LNM) and determined the correlation between its expression and metastasis. Next, we differentiated integrin β1high/+ from integrin β1low/− cells and knocked down integrin β1 with shRNA in HNSCC cells. The incidence of metastases between knockdown cells and control cells and between integrin β1high/+ and integrin β1low/− cells was compared in a xenograft mouse model. These cells were further used to investigate the effect of integrin β1 on cancer cell invasion and MMP activities.
Materials and Methods
Human tissue specimens and cell lines
Using an Institutional Review Board–approved consent for tissue acquisition, clinical samples for this study were obtained from surgical specimens from patients diagnosed with HNSCC from 1994 to 2003 at Emory University Hospital (Atlanta, GA), whose initial treatment was surgery and who had never received prior treatment with radiation and/or chemotherapy. The selection criteria applied to the available formalin-fixed and paraffin-embedded tissue blocks included 2 groups: primary SCC with positive lymph nodes (N-positive; 101 patients; the Tu+Met group) and primary SCC with negative lymph nodes (N-negative; 99 patients; the Tu−Met group). In the Tu−Met group, none of the patients developed metastases within 2 years of the initial procedure. In addition, 10 benign oral soft tissue specimens from noncancer patients were used as normal controls. The clinical information on the samples was obtained from the surgical pathology files in the Department of Pathology at Emory University according to the regulations of the Health Insurance Portability and Accountability Act. The clinicopathologic parameters for the 2 study groups, including age, sex, tobacco history, tumor location, and disease stage, are characterized and listed in Supplementary Table S1. Each patient's disease-free survival (DFS) and overall survival (OS) were documented through June 2011. The HNSCC cell lines M4E, 212LN, and PCI-37B were maintained as a monolayer culture in Dulbecco's modified Eagle's medium (DMEM)/F12 medium (1:1) supplemented with 10% FBS as previously described (11, 18). Their human originality was confirmed by genotyping (data not shown).
Immunohistochemistry staining
Formalin-fixed, paraffin-embedded tissue sections were used for immunohistochemistry, as described previously (19). The slides were incubated with anti-integrin β1 primary antibody (BD Bioscience), anti-MMP 2 antibody (Abcam), anti-membrane type-1 MMP (MT1-MMP) antibody (Millipore), and anti MMP-9 antibody (Santa Cruz Biotechnology Inc.). The staining of the antibody was observed by diaminobenzidine tetrahydrochloride peroxidase substrate solution (Vector Laboratories. Cell nuclei were counterstained by using Hematoxylin QS (Vector Laboratories). Mouse immunoglobulin G (IgG) was used as a negative control, and normal epithelial tissue with known positive immunoreactivity to integrin β1 was used as a positive control. The intensity of immunohistochemical (IHC) staining was quantified and represented by the percentage of positive stained cells among all cancer cells. The percentage was determined by 2 individuals, and the final values were the average of the 2 readings.
Fluorescence-activated cell sorting
Monolayer-growing cells were trypsinized and washed with PBS. Cells (1 × 106) were resuspended in 90 μL PBS/1% bovine serum albumin (BSA) buffer and mixed with 10 μL PE-mouse anti-human integrin β1 antibody (BD Bioscience). Isotype control was carried out by adding 10 μL PE-mouse IgG2a κ instead of the specific antibody. The cell samples were incubated at 4°C for 1 hour and then washed with 1 mL PBS/1%BSA buffer 3 times. Finally, the cells were resuspended and analyzed by fluorescence-activated cell sorting (FACS; BD Bioscience).
Stable transfection of integrin β1 shRNA
To knockdown integrin β1 in M4E and PCI37B cells, we used pLVTHM vector (Addgene). Online software from www.ambion.com was used to locate 3 potential siRNA sequences. Three pairs of shRNA were designed following the protocol provided by lentiweb.com. Basically, 3 pairs of oligonucleotides each containing the shRNA sequence and hairpin sequence plus Mlu1 and Cla1 sites were synthesized and cloned into the pLVTHM lentiviral vector, which contains a GFP insert. Only 1 of the 3 constructed targeting sequences “ggaatgcctacttctgcac” showed a significant knockdown effect. Cells transfected with pLVTHM/shRNA were then purified using FACS based on their GFP expression. Western blot analysis was carried out to confirm the integrin β1 knockdown efficiency in these purified cells. Integrin β1 knockdown cells were named PCI-37B-15 and M4E-15 cells.
Metastatic xenograft mouse model
Animal experiments were approved by the Animal Care and Use Committee of Emory University. Nineteen nude mice (athymic nu/nu; Taconic) aged 4 to 6 weeks (about 20 g body weight) were randomly divided into 2 groups. M4E cells suspended in 0.10 mL of Hank-buffered saline were orthotopically injected into the submandibular to mylohyoid muscle as described previously (11). Each animal in group 1 was injected with 1 × 106 M4E/pLVTHM control cells. Animals in group 2 were injected with 1 × 106 M4E-15 cells. The xenograft tumors were measured 3 times per week. Mice were euthanized 4 weeks after the initial injection, and cervical lymph nodes and lungs were collected, fixed immediately in 10% buffered formalin, and embedded in paraffin. Tissue sections were stained with hematoxylin and eosin. Lymph node and lung metastases were identified by 2 pathologists (S. Muller and Y. Wang).
Western blot analysis
Cells were washed twice with PBS before being lysed on ice for 30 minutes with lysis buffer containing 50 mmol/L HEPES buffer, 150 mmol/L NaCl, 1 mmol/L EDTA (pH 8.0), 1 mmol/L EGTA (pH 8.0), 1% IGEPAL CA-630, 0.5% Triton X-100, 10 mmol/L NaF, 2 mmol/L Na3VO4, 10 mmol/L β-glycerophosphate, and 1% protease inhibitor cocktail (Sigma-Aldrich). The lysate was centrifuged at 16,000 × g at 4°C for 15 minutes. Fifty micrograms of total protein for each sample were separated by 10% SDS-PAGE and transferred onto a Westran S membrane (Whatman Inc.), and desired proteins were probed with corresponding antibodies. Mouse anti-integrin β1 (1:100 dilution) was purchased from BD Bioscience, mouse anti-human actin (1:100 dilution) from Sigma, anti-MMP 2 antibody from Abcam, and anti-MT1-MMP antibody from Millipore. Horseradish peroxidase–conjugated secondary anti-mouse IgG (H+L) was obtained from Promega. Bound antibody was detected using the SuperSignal West Pico Chemoluminescence system (Pierce, Inc.).
Matrigel invasion assay
The matrigel invasion assay was conducted using the matrigel basement membrane matrix according to the manufacturer's protocol (Becton Dickinson Biosciences Discovery Labware). Briefly, 3 × 104 cells in 0.5 mL of serum-free medium were seeded in the invasion chamber containing the matrigel membrane (27.2 ng per chamber) in triplicate and allowed to settle for 3 hours at 37°C. NIH3T3-conditioned medium was added as a chemoattractant in the lower compartment of the invasion chamber. The chambers were incubated for 36 hours at 37°C in a 5% CO2 atmosphere. The invading cells appeared at the lower surface of the membrane. The upper surface of the membrane was scrubbed with a cotton swab and the absence of cells in the upper surface was confirmed under the light microscope. After the cells were fixed and stained with crystal violet, the membrane was placed on a microscope slide with the bottom side up and covered with immersion oil and a cover slip. Cells were counted under a microscope as a sum of 10 high-power fields that were distributed randomly on the central membrane. The experiment was repeated 3 times.
Gelatin zymography
M4E and PCI37B cells and their integrin β1 knockdown counterparts M4E-15 and 37B-15 were seeded at the same numbers on 10-cm petridishes. Cells were serum deprived once they reached 70% confluence. After 24 hours, the medium was collected and centrifuged at 12,000 rpm at 4°C. The medium sample was mixed with 3× SDS loading buffer, and a 30 μL sample was loaded for each cell line. After gel electrophoresis, the gel was incubated in buffer A (10 mmol/L Tris–HCl, 2.5% Triton X-100, pH 7.4) with gentle agitation twice for 30 minutes at room temperature. Buffer A was decanted and replaced with buffer B (50 mmol/L Tris–HCl 10 mmol/L CaCl2) at 37°C overnight for maximum sensitivity. The gel was stained with Coomassie Blue R for 30 minutes, then destained with an appropriate Coomassie R-250 destaining solution [methanol: acetic acid: water (50: 10: 40)). Areas of protease activity appeared as clear bands against a dark blue background where the protease has digested the substrate. Activated MMP-2 abundance was quantified using UVP BioImaging System to measure the density of specific bands.
Statistical analyses
The characteristics of patients were summarized and compared between patients with metastatic and nonmetastatic tumors. Age was presented as a median (range) and compared using Wilcoxon's rank sum test. Other variables, such as sex, smoking, site, tumor (T) and N stage, chemotherapy, radiation, differentiation level (moderately differentiated, poorly differentiated, well differentiated) were treated as categorical variables and compared with χ2 test.
For univariate analysis, as the sample size was relatively large and the residuals from the methods satisfied the normality and homoscedasticity assumptions, integrin β1 expression was treated as a continuous outcome. ANOVA was used to test the overall significance across different strata of each independent variable. We further evaluated pairwise differences by using Tukey method when the overall difference was significant at the significance level of 0.05. For multivariate analysis, a general linear model approach was used to estimate the adjusted relationship between integrin β1 and each independent variable after adjustment for all other factors. Age was treated as continuous variable and all other factors were treated as categorical variables.
Time of OS was calculated as the time from study enrollment to death or last contact. Time of DFS was calculated as the time from study enrollment to the date of disease progression, death, or last contact, whichever was earliest. DFS and OS were estimated by the method of Kaplan and Meier (20). The log-rank test was used to determine the difference in the overall DFS or OS between different groups stratified by the factors. A COX model (21) was also used to estimate the adjusted effect of integrin β1 on DFS or OS after adjustment for other factors as well as the adjusted effects of other factors on DFS or OS. Both point and 95% confidence interval estimates of DFS and OS probabilities at different time points (e.g., 1, 3, or 5 years after study enrollment, etc.) were calculated. The SAS statistical package (SAS Institute, Inc.) was used for all data management and analyses.
Results
Prognostic significance and metastatic correlation of integrin β1 in HNSCC
The characteristics of all patients are summarized in Supplementary Table S1. Integrin β1 showed a membranous and cytoplasmic expression pattern by IHC analysis in these patient tissues (Fig. 1). The results of univariate analysis of integrin β1 expression in primary tumors are summarized in Table 1. Integrin β1 expression in the primary tumor was found to be significantly higher in patients with metastatic tumors than in those with nonmetastatic tumors (42.6% vs. 24.8%, P < 0.0001), but there was no significant difference in integrin β1 expression between the primary tumor in patients with metastatic tumors and LNM (42.6% vs. 41.5%, P = 0.82). Integrin β1 expression level in the primary tumor was 33.6% in patients with stage I, 19.2% in stage II, 24.5% in stage III, and 41.1% in patients with stage IV disease (P = 0.0001). However, integrin β1 expression in the primary tumor was not significantly associated with age, sex, site, T stage, postsurgery radiation therapy, chemotherapy, smoking, or differentiation at a significance level of 0.05 (Table 1). We further divided both metastatic and nonmetastatic patients into 4 groups, respectively, by grading scale (0%–25%, 26%–50%, 51%–75%, 76%–100%) to understand the pattern of integrin β 1 expression. A significant difference in integrin β1 expression level in the primary tumor was observed (P < 0.0001 by χ2 analysis; Table 2 and Fig. 1). More patients with metastasis had higher integrin β1 level than patients without metastasis. For example, 21% of patients with metastasis had an integrin β1 expression level of 76% to 100%, compared with only 1% of patients without metastasis.
Integrin β1 expression pattern in HNSCC tissues from patients with and without metastasis. IHC analysis of integrin β1 in HNSCC samples shows membrane and cytoplasmic expression patterns. Of the patients without metastasis, 61% had 0% to 25% positive staining, 29% had 26% to 50% positive staining, 8% had 51% to 75% positive staining, and only 1% of patients had 76% to 100% positive staining, whereas of the patients with metastasis, 37% had 0% to 25% positive staining, 20% had 25% to 50% positive staining, 23% had 51% to 75% positive staining, and 21% of patients had 76% to 100% positive staining. Tissue stained with IgG only and normal epithelium staining was used as a negative and positive control, respectively. Metastatic lymph node shows a similar staining as its primary counterpart (magnification, ×200).
Integrin β1 expression pattern in HNSCC tissues from patients with and without metastasis. IHC analysis of integrin β1 in HNSCC samples shows membrane and cytoplasmic expression patterns. Of the patients without metastasis, 61% had 0% to 25% positive staining, 29% had 26% to 50% positive staining, 8% had 51% to 75% positive staining, and only 1% of patients had 76% to 100% positive staining, whereas of the patients with metastasis, 37% had 0% to 25% positive staining, 20% had 25% to 50% positive staining, 23% had 51% to 75% positive staining, and 21% of patients had 76% to 100% positive staining. Tissue stained with IgG only and normal epithelium staining was used as a negative and positive control, respectively. Metastatic lymph node shows a similar staining as its primary counterpart (magnification, ×200).
A univariate analysis (ANOVA) results of integrin β1 in the primary tumor
| Predictor . | Integrin β1 . | ||||
|---|---|---|---|---|---|
| . | N . | Mean . | SD . | P . | |
| Disease | No Met | 99 | 24.752 | 20.550 | ≤0.0001 |
| Met | 101 | 42.564 | 29.121 | ||
| Age | Below median (<61) | 103 | 35.029 | 26.824 | 0.4859 |
| Above median (≥ 61) | 97 | 32.386 | 26.675 | ||
| Sex | Female | 71 | 36.683 | 28.620 | 0.2500 |
| Male | 129 | 32.131 | 25.581 | ||
| Site | 1 = OP | 38 | 29.078 | 29.707 | 0.1183 |
| 2 = L | 61 | 30.295 | 24.211 | ||
| 3 = OC | 101 | 37.589 | 26.680 | ||
| T | 1 | 66 | 35.984 | 25.911 | 0.3679 |
| 2 | 69 | 33.833 | 30.028 | ||
| 3 | 29 | 36.862 | 30.106 | ||
| 4 | 36 | 26.972 | 16.432 | ||
| N | 0 | 99 | 24.752 | 20.550 | <0.0001 |
| 1 | 19 | 42.894 | 31.306 | ||
| 2 | 74 | 42.472 | 28.476 | ||
| 3 | 8 | 42.625 | 33.738 | ||
| Radiation | No | 72 | 31.840 | 24.416 | 0.4684 |
| Yes | 123 | 34.707 | 27.781 | ||
| Chemotherapy | No | 175 | 32.757 | 26.236 | 0.2156 |
| Yes | 23 | 40.043 | 28.013 | ||
| Missing | 2 | ||||
| Differentiation | 1 = PD | 36 | 32.180 | 30.088 | 0.3789 |
| 2 = MD | 132 | 35.469 | 26.320 | ||
| 3 = WD | 32 | 28.406 | 24.244 | ||
| Smoking | No | 30 | 34.866 | 29.765 | 0.9159 |
| Yes | 158 | 34.300 | 26.308 | ||
| Missing | 12 | ||||
| Stage | I | 42 | 33.619 | 22.631 | 0.0001 |
| II | 31 | 19.209 | 18.896 | ||
| III | 29 | 24.482 | 25.392 | ||
| IV | 98 | 41.142 | 28.336 | ||
| Predictor . | Integrin β1 . | ||||
|---|---|---|---|---|---|
| . | N . | Mean . | SD . | P . | |
| Disease | No Met | 99 | 24.752 | 20.550 | ≤0.0001 |
| Met | 101 | 42.564 | 29.121 | ||
| Age | Below median (<61) | 103 | 35.029 | 26.824 | 0.4859 |
| Above median (≥ 61) | 97 | 32.386 | 26.675 | ||
| Sex | Female | 71 | 36.683 | 28.620 | 0.2500 |
| Male | 129 | 32.131 | 25.581 | ||
| Site | 1 = OP | 38 | 29.078 | 29.707 | 0.1183 |
| 2 = L | 61 | 30.295 | 24.211 | ||
| 3 = OC | 101 | 37.589 | 26.680 | ||
| T | 1 | 66 | 35.984 | 25.911 | 0.3679 |
| 2 | 69 | 33.833 | 30.028 | ||
| 3 | 29 | 36.862 | 30.106 | ||
| 4 | 36 | 26.972 | 16.432 | ||
| N | 0 | 99 | 24.752 | 20.550 | <0.0001 |
| 1 | 19 | 42.894 | 31.306 | ||
| 2 | 74 | 42.472 | 28.476 | ||
| 3 | 8 | 42.625 | 33.738 | ||
| Radiation | No | 72 | 31.840 | 24.416 | 0.4684 |
| Yes | 123 | 34.707 | 27.781 | ||
| Chemotherapy | No | 175 | 32.757 | 26.236 | 0.2156 |
| Yes | 23 | 40.043 | 28.013 | ||
| Missing | 2 | ||||
| Differentiation | 1 = PD | 36 | 32.180 | 30.088 | 0.3789 |
| 2 = MD | 132 | 35.469 | 26.320 | ||
| 3 = WD | 32 | 28.406 | 24.244 | ||
| Smoking | No | 30 | 34.866 | 29.765 | 0.9159 |
| Yes | 158 | 34.300 | 26.308 | ||
| Missing | 12 | ||||
| Stage | I | 42 | 33.619 | 22.631 | 0.0001 |
| II | 31 | 19.209 | 18.896 | ||
| III | 29 | 24.482 | 25.392 | ||
| IV | 98 | 41.142 | 28.336 | ||
Abbreviations: L, larynx; MD, moderately differentiated; Met, metastasis; OC, oral cavity; OP, oropharynx; PD, poorly differentiated; WD, well differentiated.
Integrin β1 expression level by grading scale in the primary tumors
| . | None-Met . | Met . |
|---|---|---|
| Expression level (%) . | n (%) . | n (%) . |
| 0–25 | 61 (61.4) | 37 (36.6) |
| 25–50 | 29 (29.3) | 20 (19.8) |
| 50–75 | 8 (8.1) | 23 (22.8) |
| 75–100 | 1 (1.0) | 21 (20.8) |
| . | None-Met . | Met . |
|---|---|---|
| Expression level (%) . | n (%) . | n (%) . |
| 0–25 | 61 (61.4) | 37 (36.6) |
| 25–50 | 29 (29.3) | 20 (19.8) |
| 50–75 | 8 (8.1) | 23 (22.8) |
| 75–100 | 1 (1.0) | 21 (20.8) |
Abbreviation: Met, metastasis.
NOTE: P < 0.0001.
The multivariate analysis of integrin β1 expression in the primary tumor is summarized in Table 3. Integrin β1 in the primary tumor was still significantly associated with metastasis status (P < 0.0001) and primary tumor site (P < 0.0044) after additional adjustment for age, sex, disease site, disease differentiation, and smoking. Although the tumor site was not correlated with integrin β1 expression (Table 1), it was found to be a significant factor after adjusting for confounding effect of disease status (metastasis vs. nonmetastasis; Table 3 and Supplementary Table S1). Integrin β1 expression in the primary tumor, treated as a continuous variable, was not significantly associated with DFS or OS after fully adjusting for age, sex, disease site, disease differentiation, and smoking (Supplementary Table S2A and S2B) for all patients using a COX model. However, the same analysis showed integrin β1 expression level was inversely related to OS among patients with metastasis (P = 0.0352; Supplementary Table S2C).
Multivariate analysis (GLM) of integrin β1 in the primary tumor
| Covariates in the model . | Parameter estimate . | SE . | P -value (Compared with reference) . | P - value (for the covariate) . | |
|---|---|---|---|---|---|
| Age | −0.0327 | 0.1453 | 0.8218 | 0.8218 | |
| Disease | Met | 22.6864 | 4.1059 | <0.0001 | ≤0.0001 |
| No met | Reference | ||||
| Sex | Female | 1.8980 | 4.3273 | 0.6615 | 0.6615 |
| Male | Reference | ||||
| Site | 2 = L | 9.6236 | 5.6431 | 0.0899 | 0.0044 |
| 3 = OC | 18.4080 | 5.6756 | 0.0014 | ||
| 1 = OP | Reference | ||||
| Differentiation | PD | 0.1814 | 6.9882 | 0.9793 | 0.9854 |
| MD | 0.7761 | 5.6658 | 0.8912 | ||
| WD | Reference | . | . | ||
| Smoking | No | −0.2471 | 5.4904 | 0.9642 | 0.9642 |
| Yes | Reference | ||||
| Covariates in the model . | Parameter estimate . | SE . | P -value (Compared with reference) . | P - value (for the covariate) . | |
|---|---|---|---|---|---|
| Age | −0.0327 | 0.1453 | 0.8218 | 0.8218 | |
| Disease | Met | 22.6864 | 4.1059 | <0.0001 | ≤0.0001 |
| No met | Reference | ||||
| Sex | Female | 1.8980 | 4.3273 | 0.6615 | 0.6615 |
| Male | Reference | ||||
| Site | 2 = L | 9.6236 | 5.6431 | 0.0899 | 0.0044 |
| 3 = OC | 18.4080 | 5.6756 | 0.0014 | ||
| 1 = OP | Reference | ||||
| Differentiation | PD | 0.1814 | 6.9882 | 0.9793 | 0.9854 |
| MD | 0.7761 | 5.6658 | 0.8912 | ||
| WD | Reference | . | . | ||
| Smoking | No | −0.2471 | 5.4904 | 0.9642 | 0.9642 |
| Yes | Reference | ||||
Abbreviations: L, larynx; MD, moderately differentiated; Met, metastasis; OC, oral cavity; OP, oropharynx; PD, poorly differentiated; WD, well differentiated.
Our data also showed that differences in the T stage were marginally significant between patients with and without metastasis (P < 0.04). Among patients with metastatic tumors, more patients presented with stage IV (83%) or stage III (17%) disease. In contrast, patients with nonmetastatic tumors typically had lower disease stages: stage I (43%) and stage II (31%), versus stage III (12%) and stage IV (14%). The tumor site was found to correlate with metastasis: oral cavity (39%) > oropharynx (33%) > larynx (28%; P < 0.0001). Significantly more patients with metastatic tumors had moderately differentiated tumors and significantly fewer had well differentiated tumors, compared with patients with nonmetastatic tumors (P < 0.0001; Supplementary Table S1). Patients with nonmetastatic tumors had significantly better DFS and OS than those with metastatic tumors (Supplementary Fig. S1A and S1B). Metastasis status was a significant predicator of DFS or OS after adjustment for age, integrin β1, sex, disease site, disease differentiation, and smoking (Supplementary Table S2A and S2B). As illustrated in our Supplementary data (Supplementary Table S1), 18% (18 of 101) of patients with metastasis and 5% (5 of 99) of patients without metastasis had chemotherapy. Eighty-seven percent (87 of 101) of patients with metastasis and 36% (36 of 99) of patients without metastasis were treated with radiation therapy. Patients who received chemotherapy had worse DFS and OS than patients who did not receive chemotherapy (Supplementary Fig. S2A and S2B). This result is not surprising, as comprehensive treatment is usually reserved for late-stage patients. There was no effect of radiation therapy on DFS and OS (data not shown).
Differential capabilities in invasion and metastasis between integrin β1high/+ and integrin β1low/− cancer cells
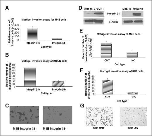
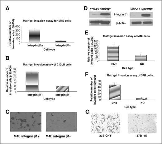
To explore whether HNSCC populations with different integrin β1 expression levels have different invasion abilities, we separated M4E and 212LN cells using a specific anti-integrin β1 antibody. Integrin β1–positive (or high) and integrin β1–negative (or low) cells were isolated by FACS. Isolated M4E and 212LN cells were seeded in the number of 3 × 104 cells per chamber, and a Matrigel invasion assay was conducted. The number of invasive cells was counted as a sum of 10 high-power fields (×200) in the central membrane under the microscope. Figure 2 shows the relative number of invasive cells from both M4E (Fig. 2A) and 212LN (Fig. 2B) cell lines. Analysis of invasive cells from each cell line was repeated 3 times. Integrin β1–positive populations in both 212LN and M4E cells showed significantly higher invasive abilities in Matrigel than their negative counterparts. As shown in Fig. 2C, there were greater numbers of invasive integrin β1–positive M4E cells in the lower part of the chamber membrane than integrin β1–negative M4E cells.
Integrin β1 affects the invasive ability of SCCHN cell lines. (A) and (B) show that in both M4E (A) and 212 LN (B) cells, the integrin β1–positive population shows a significantly higher invasive ability than the integrin β1–negative population. C, there are more invasive integrin β1+ M4E than integrin β1− M4E cells at the lower part of the chamber membrane (magnification, ×200). D, integrin β1 was knocked down using integrin β1–specific shRNA expressed by pLVTHM lentivirus vector in PCI-37B and M4E cells to create M4E-15 and PCI-37B-15 cells, respectively. Knockdown of integrin β1 expression significantly reduced the invasive ability of M4E (E) and PCI-37B (F) cells. The analysis of invasive cells from each cell line was repeated 3 times. G, more invasive 37B control cells than 37B-15 integrin β1 knockdown cells on the lower part of the chamber membrane (magnification ×200). CNT, control cells; KO, integrin β1 knockdown cells.
Integrin β1 affects the invasive ability of SCCHN cell lines. (A) and (B) show that in both M4E (A) and 212 LN (B) cells, the integrin β1–positive population shows a significantly higher invasive ability than the integrin β1–negative population. C, there are more invasive integrin β1+ M4E than integrin β1− M4E cells at the lower part of the chamber membrane (magnification, ×200). D, integrin β1 was knocked down using integrin β1–specific shRNA expressed by pLVTHM lentivirus vector in PCI-37B and M4E cells to create M4E-15 and PCI-37B-15 cells, respectively. Knockdown of integrin β1 expression significantly reduced the invasive ability of M4E (E) and PCI-37B (F) cells. The analysis of invasive cells from each cell line was repeated 3 times. G, more invasive 37B control cells than 37B-15 integrin β1 knockdown cells on the lower part of the chamber membrane (magnification ×200). CNT, control cells; KO, integrin β1 knockdown cells.
We then orthotopically injected M4E integrin β1–positive and integrin β1–negative cells into nude mice. Mice were sacrificed after 4 weeks. Lymph nodes of all the mice were collected and subjected to hematoxylin and eosin (H&E) staining. All 5 of the mice injected with integrin β1high/+ cells developed LNM, whereas only 2 out of 5 integrin β1low/− mice developed LNM. χ2 analysis shows that the 2 populations of cells have significantly different metastatic capability (P < 0.05).
Effect of knocking down integrin β1 on invasion and metastasis of HNSCC
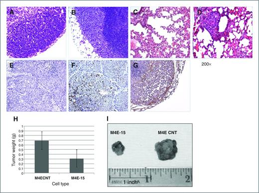
To assess the role that integrin β1 plays in invasion of HNSCC, we knocked down integrin β1 expression using the pLVTHM lentivirus system in 37B and M4E cells and named the integrin β1 knockdown cells 37B-15 and M4E-15 (Fig. 2D). Matrigel invasion assay was conducted as described above on the integrin β1 knockdown cells and the control cells. Knockdown of integrin β1 significantly reduced the invasive ability of both M4E cells and PCI-37B cells (Fig. 2E and F). Figure 2G shows the invasive PCI-37B cells at the lower part of the chamber membrane. To determine if integrin β1 is essential in the process of HNSCC metastasis in vivo, we injected M4E control and M4E/integrin β1/knockdown cells (M4E-15) into nude mice. Mice were sacrificed 4 weeks after the tumors were observed. Cervical lymph nodes and lungs were collected for H&E staining to identify metastasis in these 2 organs. Within the 2 groups, 7 of 9 mice injected with control M4E cells developed LNM, whereas none of the mice in the group injected with integrin β1/knockdown cells developed LNM (P < 0.001 by χ2 analysis). Four of 9 mice injected with control cells developed lung metastases, whereas no lung metastasis was observed in the group injected with integrin β1/knockdown cells (P < 0.05). Figure 3A and C shows the lack of lymph node and lung metastasis in mice injected with M4E-15 cells, whereas Fig. 3B and D shows the metastatic cancer cells in the lymph node and lung in mice injected with M4E control cells. Figures 3E and F show the integrin β1 staining of xenograft tumors from M4E-15 and M4E control injected mice, respectively. Figure 3G shows the integrin β1 expression in lymph node of a M4E injected mouse. Our xenograft model also showed that M4E control cells developed significantly larger tumors (0.69 ± 0.19 g) than M4E-15 cells (0.31 ± 0.18 g), as shown in Fig. 3H and I (P < 0.002 by Student t test).
M4E control cells, but not their integrin β1 knockdown counterparts, developed lymph node and lung metastasis. No metastatic cancer cells were observed in lymph node (A) and lung (C) in M4E-15 injected mice, whereas tumor developed from the control M4E cells further migrated to both lymph node (B) and lung (D). IHC staining of xenograft tumor tissues using an integrin β1-specific antibody showed no integrin β1 expression in xenograft tumor developed from M4E-15 cells (E), and confirmed integrin β1 expression in control M4E cells (F). G, integrin β1 expression in metastatic lesion (lymph node metastatic tumor; magnification ×200). H, control M4E cells developed significantly larger tumor in the xenograft model compared with their integrin β1 knockdown counterparts. Student t test was conducted to determine the difference in weight between the 2 groups. I, control M4E developed larger and heavier tumors (0.69 ± 0.19 g) than M4E-15 cells (0.31 ± 0.18 g; P < 0.002).
M4E control cells, but not their integrin β1 knockdown counterparts, developed lymph node and lung metastasis. No metastatic cancer cells were observed in lymph node (A) and lung (C) in M4E-15 injected mice, whereas tumor developed from the control M4E cells further migrated to both lymph node (B) and lung (D). IHC staining of xenograft tumor tissues using an integrin β1-specific antibody showed no integrin β1 expression in xenograft tumor developed from M4E-15 cells (E), and confirmed integrin β1 expression in control M4E cells (F). G, integrin β1 expression in metastatic lesion (lymph node metastatic tumor; magnification ×200). H, control M4E cells developed significantly larger tumor in the xenograft model compared with their integrin β1 knockdown counterparts. Student t test was conducted to determine the difference in weight between the 2 groups. I, control M4E developed larger and heavier tumors (0.69 ± 0.19 g) than M4E-15 cells (0.31 ± 0.18 g; P < 0.002).
Effect of integrin β1 on MMP-2 activity
To address how integrin β1 affects the invasion ability of cancer cells, we next conducted a gelatin gel zymography assay to determine which MMP is affected after integrin β1 knockdown. Our results show that integrin β1 knockdown reduced the invasion capability, likely by hampering MMP-2 activity in vitro, whereas MMP-9 activity was not detectable based on the position of the band. Two integrin β1-knockdown cell lines, PCI-37B-15 and M4E-15, were tested for MMP-2 activity in vitro with and without fibronectin, a ligand for integrin β1. In both PCI-37B-15 and M4E-15 cells, knockdown of integrin β1 significantly reduced MMP-2 activity induced by fibronectin (P < 0.01, n = 3). Figure 4A shows that MMP-2 activity in both M4E and PCI-37B control cells was increased after fibronectin treatment; however, this inductive effect of fibronectin was significantly reduced in integrin β1 knockdown cells. As shown by the zymography assay, only the active form of MMP-2 (62-66KD) was reduced by knocking down integrin β1. MMP-2 activity was not observed in nonfibronectin-treated cells. Figure 4C and D shows that the density of activated MMP-2 bands in M4E (Fig. 4C) and PCI-37B cells (Fig. 4D) treated with fibronectin was 3.97 ± 0.55 and 5.03 ± 0.60 times higher, respectively, than that in integrin β1 knockdown cells with the same treatment.
Fibronectin stimulates MMP-2 activity only in control HNSCC cell lines, and not in their integrin β1 knockdown counterparts. A, MMP-2 activity in both M4E and PCI-37B cells was increased after fibronectin treatment (20 μg/mL), however the induction effect of fibronectin was eliminated in integrin β1 knockdown cells. As shown by the zymography assay, only the active form of MMP-2 (62-66KD) was reduced. MMP-2 activity was not observed in nonfibronectin treated cells. No MMP-9 band was found in this test. The density of activated MMP-2 bands in M4E and PCI-37B control cells was 3.97 ± 0.55 (C) and 5.03 ± 0.60 (D) times higher than that in the integrin β1 knockdown cells, respectively. This figure represents 1 of 3 experiments. B, Western blot analysis showed that no change of MT1-MMP was observed in integrin β1 knockdown cells (M4E-15 and 37B-15) comparing with wild-type control cells. However, active MMP-2 was reduced in integrin β1 knocked down cells.
Fibronectin stimulates MMP-2 activity only in control HNSCC cell lines, and not in their integrin β1 knockdown counterparts. A, MMP-2 activity in both M4E and PCI-37B cells was increased after fibronectin treatment (20 μg/mL), however the induction effect of fibronectin was eliminated in integrin β1 knockdown cells. As shown by the zymography assay, only the active form of MMP-2 (62-66KD) was reduced. MMP-2 activity was not observed in nonfibronectin treated cells. No MMP-9 band was found in this test. The density of activated MMP-2 bands in M4E and PCI-37B control cells was 3.97 ± 0.55 (C) and 5.03 ± 0.60 (D) times higher than that in the integrin β1 knockdown cells, respectively. This figure represents 1 of 3 experiments. B, Western blot analysis showed that no change of MT1-MMP was observed in integrin β1 knockdown cells (M4E-15 and 37B-15) comparing with wild-type control cells. However, active MMP-2 was reduced in integrin β1 knocked down cells.
Western blot analysis results also indicate that after integrin β1 was knocked down, MMP-2 expression (active form) was reduced, but no change in MT1-MMP was observed (Fig. 4B). We also conducted immunostaining of MMP-2 in the samples from both integrin β1 wild-type xenograft tumors and integrin-β1 knockdown xenograft tumors. The results showed that 5 of 6 integrin β1 wild-type xenograft tumors expressed MMP-2, whereas only 2 out of 6 integrin β1 knockdown xenograft tumors expressed MMP-2 (Supplementary Fig. S3). Similar to the Western blot analyses, we observed no change in MT1-MMP immunostaining between the integrin β1 wild-type and integrin-β1 knockdown xenograft tumors. MMP-9 was not detectable in any xenograft tumors (Supplementary Fig. S3).
To further understand the function of MMP 2 in cell invasion, we overexpressed MMP-2 in M4E integrin β1 knockdown cells (M4E-15). Increased invasion capability of M4E-15 cells was observed (Supplementary Fig. S4). We next addressed the nature of the regulatory relationship between MMP-2 and integrin β1. It has been shown that ERK activation is required for invasion of tumor cells through MMP-2 activity (22). We also found that knockdown of integrin β1 reduced ERK activity in HNSCC cell lines (Supplementary Fig. S5), suggesting that integrin β1 may take part in ERK activation and sequentially, MMP-2 activation.
Discussion
Metastasis is the hallmark of malignant tumors and the primary cause of death in patients with cancer. LNM of HNSCC is associated with poor prognosis. Therefore, better understanding of the molecular mechanisms underlying the metastasis of HNC and the identification of predictive metastatic and prognostic markers will contribute significantly to our ability to predict and guide the treatment of this disease. In our current study, we aimed to determine the role of integrin β1 in metastasis of HNSCC from several perspectives. First, we found a significantly higher expression level of integrin β1 in the primary tumors from patients with metastasis than those without, indicating that integrin β1 is a potential metastatic marker for HNSCC. Most interestingly, we found that in patients with metastatic tumors, low integrin β1 expression correlated significantly with longer OS, suggesting that integrin β1 may serve as a prognostic marker for this group of patients. We next showed that the integrin β1+/high population of M4E cells has a significantly higher metastatic rate in a xenograft animal model than the integrin β1−/low counterpart. This result further confirmed the potential of integrin β1 as a metastatic marker. Integrin β1 knockdown in highly metastatic M4E cells significantly impaired their metastatic rate in a xenograft animal model. None of the 10 mice injected with integrin β1 knockdown cells developed lymph node or lung metastasis, which was significantly different from the control cells. This in vivo result clearly implicates integrin β1 not only as a potential metastatic marker, but also as having a significant role in the regulation of HNSCC metastasis, which has not been reported in HNSCC before.
It is crucial to understand the function that integrin β1 plays in the metastasis process, although the involvement of integrin β1 in cell adhesion is well known. We tested whether integrin β1 regulates HNSCC metastasis by affecting the invasive ability of cancer cells. Through in vitro studies, we showed that knockdown of integrin β1 significantly reduced fibronectin-stimulated activity of MMP-2, an enzyme of the MMP family. MMP-2 is a 72 kDa, type IV collagenase that is involved in the breakdown of ECM in normal physiologic processes, such as embryonic development, reproduction, and tissue remodeling, as well as in disease processes, such as arthritis and metastasis (23–25). Our results suggest that MMP-2 activity requires integrin β1. Furthermore, our finding that knockdown of integrin β1 reduced ERK activity in HNSCC cell lines suggests that integrin β1 may take part in ERK activation and sequentially, MMP-2 activation, consistent with the demonstration that ERK activation is required for invasion of tumor cells through MMP-2 activity (22). On the other hand, MMP-2 is known to be activated by MT1-MMP. MT1-MMP cleaves the N-terminal prodomain of pro-MMP-2, allowing it to mature into the fully active MMP-2 enzyme (26). It has been reported that polarized trafficking of MT1-MMP can be induced by integrin β1–mediated adhesion to collagen, and is required for protease localization at invasive structures (27). Because we did not observe changes in MT1-MMP expression after knocking down integrin β1, further study is warranted to define the regulation pathway involving integrin β1, MT1-MMP, and MMP-2.
Integrin β1 is reported to contribute to epithelial–mesenchymal transition (EMT) through interaction with TGF-β1 (28) and is involved in several signaling pathways supporting metastasis. In prostate, colon, and HNC, integrin β1 was reported to be associated with a cell population with the characteristics of EMT, metastasis, and/or cancer stem-like cells (24, 25, 29, 30). In our study, both M4E and PCI-37B cells showed EMT features including loss of E-cadherin and expression of vimentin. Reducing integrin β1 did not promote mesenchymal–epithelial transition (MET; data not shown), suggesting other molecular events are involved in the process. However, our study clearly showed that in both EMT (M4E) and non-EMT cells (212LN), there is an integrin β1–positive/high population, which is prone to metastasize more easily than the negative/low population, supporting the metastasis subpopulation concept observed in breast and colon cancers.
Many integrins (α5β1, α8β1, αvβ1, αvβ3, and α4β1) can recognize and bind to fibronectin via the Arg–Gly–Asp (RGD) motif (31). Among these integrins, α5β1 is particularly efficient in mediating fibronectin matrix assembly (32–34), which is important for cell spreading. Because fibronectin clearly increased the invasive ability of the cancer cells in our system, we suspect it is probably α5 paired with β1 in cancer cells that drives the cancer cells to metastasize. A recent publication also reported for the first time that loss of an epithelial marker E-cadherin promoted ovarian cancer metastasis via α5β1 integrins, suggesting integrin β1 could be a therapeutic target for metastatic disease (35). Van Waes and colleagues reported enhanced expression of α6β4 integrin in progression of HNSCC (13). α6β4 as well as α2β1 and α3β1 mentioned in this article are mainly laminin receptors. Siqueria and colleagues also showed that a laminin-derived peptide, AG73, regulated invasion through the integrin β1-MMP-9 pathway in oral squamous cell carcinoma cells (36). However, we did not observe an effect of laminin on integrin β1–associated invasion and MMP-9 activation in our cell line models (data not shown), suggesting that the α integrin subunit, which binds fibronectin, may play the major role in our cell line models. It is obvious that fibronectin is not the only primary mediator of the effects of integrin β1 in HNSCC. The 2 cell line models may only represent a subpopulation of HNSCC cells.
Another interesting finding of our work is that both the integrin β1+/high population and control cells developed significantly larger tumors than their integrin β1−/low and integrin β1 knockdown counterparts, respectively. We did not observe reduced proliferation in vitro for either integrin β1−/low or integrin β1 knockdown cells (Supplementary Fig. S6), suggesting that the microenviroment in vivo leads to this difference in tumor growth. The tumor microenviroment has been shown to play an important role in tumor progression (28, 37–39). The roles of integrins in the cancer microenvironment have also been discussed (29, 30). It will be interesting and necessary to use 3-dimensional culture systems and animal models to further investigate the interaction between cancer cells and the stroma surroundings involving integrin β1.
Disclosure of Potential Conflicts of Interest
No potential conflicts of interest were disclosed.
Acknowledgments
The authors thank Dr. Anthea Hammond for her critical reading of the manuscript and Dr. Yuxiang Wang for confirming metastases in the mouse model.
Grant Support
This study was supported by a GCC Distinguished Scholar Award and NIH/NCI R21 CA125062 to Z.G. Chen and NIH/NCI P50 Head and Neck Cancer SPORE to D.M. Shin.
The costs of publication of this article were defrayed in part by the payment of page charges. This article must therefore be hereby marked advertisement in accordance with 18 U.S.C. Section 1734 solely to indicate this fact.



