Abstract
Purpose: Telomere shortening is an early event in bronchial carcinogenesis, preceding P53/Rb pathway inactivation and telomerase reactivation, and leading to DNA damage responses (DDR). As their inactivation in cancer increases genetic instability, our objective was to identify the chronology of telomere machinery critical events for malignant progression.
Experimental Design: We have evaluated telomere length by fluorescence in situ hybridization and analyzed DDR proteins p-CHK2, p-ATM, and p-H2AX, and telomeric maintenance proteins TRF1 and TRF2 expression by immunohistochemistry in normal bronchial/bronchiolar epithelium, and in 109 bronchial preneoplastic lesions, in comparison with 32 squamous invasive carcinoma (SCC), and in 27 atypical alveolar hyperplasia (AAH) in comparison with 6 adenocarcinoma in situ (AIS; formerly bronchiolo-alveolar carcinoma) and 24 invasive adenocarcinoma (ADC).
Results: Telomere length critically shortened at bronchial metaplasia stage to increase gradually from dysplasia to invasive SCC; in bronchiolo-alveolar lesions, telomere length decreased from normal to AIS and increased from stage I to II to stage III to IV ADC. Expression of TRF1 and TRF2 increased progressively from dysplasia to SCC and from AAH to invasive ADC. The expression of concomitant DDR proteins increased significantly from low- to high-grade dysplasia and from AAH to AIS and stage I to II ADC. P-CHK2 and p-H2AX expressions were highly correlated and both decreased, along with p-ATM, in SCC and advanced ADC.
Conclusion: Telomere attrition occurs at the earliest stage of lung carcinogenesis as an initiating event, preceding TRF1 and TRF2 overexpression for telomere stabilization. In contrast, dismiss of DDR, through p-H2AX and p-CHK2 downregulation, represents a late progressing event associated with SCC and ADC progression. Clin Cancer Res; 16(11); 2979–88. ©2010 AACR.
This article is featured in Highlights of This Issue, p. 2919
DNA damage responses and telomere integrity represent anticancer barriers; they prevent genome instability and occurrence of new genomic abnormalities and are said to be early impaired in tumorogenesis. We describe herein, for the first time, the entire chronology of telomere attrition, preceding telomeric maintenance proteins TRF1 and TRF2 overexpression, and DNA damage responses during bronchial and bronchioloalveolar carcinogenesis; DNA damage response proteins represent promising predictive factors for cancer progression and potential markers of drug sensitivity in chemoprevention.
Lung cancer remains the leading cause of cancer-related death worldwide; its poor survival being mainly due to unresectable advanced diseases at the time of diagnosis. Eighty percent to 90% of lung cancers are related to tobacco consumption and lung carcinogenesis is a multifocal (“field cancerization”) and a multistep process, resulting from the sequential accumulation of molecular and genetic/epigenetic abnormalities, mostly caused by tobacco carcinogens. These abnormalities lead to the activation of growth-promoting oncogenes and the inactivation of tumor-suppressor genes, favoring proliferation and resistance to apoptosis. Survival improvement will require the understanding of carcinogenesis events to identify the genetic markers of tumor initiation and progression, and to develop novel targeted therapeutic or prophylactic/preventive strategies.
The main histologic types of lung cancer are small cell lung carcinoma (15%), adenocarcinoma (ADC), which increases in frequency worldwide (50%), and squamous cell carcinoma (SCC; 30%). The histologic transformation of bronchial and bronchiolo-alveolar epithelium parallels the accumulation of genetic and molecular abnormalities, with the recognition of well-described preinvasive lesions by the recently updated WHO classification (1, 2). Morphologic changes of bronchial mucosa leading to SCC include hyperplasia, squamous metaplasia, dysplasia of various degrees (mild, moderate, and severe), and in situ carcinoma (CIS); mild dysplasia is considered as a low-grade lesion, whereas moderate and severe dysplasia and CIS are high-grade preneoplastic conditions, at risk for cancer development (3, 4). Peripheral ADC arise from Clara cells or type II pneumonocytes, and a subset of them are preceded by one preneoplastic condition, the atypical adenomatous hyperplasia (AAH), and one preinvasive lesion, the ADC in situ (AIS) with pure lepidic growth (formerly “bronchiolo-alveolar carcinoma”). However, the correlation between morphologic and molecular/genetic abnormalities and the potential of these preneoplasia to malignant progression are not definitively established. Particularly, the distinction between initiating events and those leading to progression is poorly understood.
Telomeres are nucleoprotein complexes located at the end of eukaryotic chromosomes and represent critical structures for chromosome end stabilization, preventing them from end-to-end fusion and exonuclease digestion. To favor telomere stability, some telomere-associated proteins, forming the “shelterin” complex (5), are related to telomeric DNA; they include three sequence-specific DNA-binding proteins, telomeric repeat factor-1 (TRF1), TRF2, and POT1, and three bridging proteins, RAP1, TIN2, and TPP1. Among them, TRF1 and TRF2 are both considered as negative regulators of telomere length, but possibly through distinct pathways. However, their behavior remains unclear in tumors, some cancers presenting a downregulation of TRF1 and TRF2, whereas others harbor high levels of protein or mRNA. In lung cancers, high levels of TRF1 and TRF2 mRNA have been reported in ADC precursors at the AAH stage by Nakanishi et al. (6), but a subsequent study was controversial in non–small cell lung carcinoma (7), and to date, little is known about preneoplastic bronchial lesions.
In somatic cells, telomeres shorten physically at each cell division because of an incomplete DNA replication by DNA polymerase (the so-called “end replication problem”). In normal cells, telomere capping deficiency or critical shortening limit cell proliferation and induce apoptosis or cellular senescence (cellular mortality stage 1). Short telomeres are thus perceived as double-strand breaks and their presence induces DNA damage responses (DDR), which include p53/ATM pathway activation through H2AX and CHK2 phosphorylation. Indeed, the free ends of DNA at double-strand breaks are recognized by the Mre11-Rad50-Nbs1 complex, which mediates ATM recruitment and phosphorylation. In turn, p-ATM phosphorylates the histone H2AX, which spreads over a 2-Mb chromatin domain surrounding double-strand breaks, and activates other DDRs (MDC1, 53BP1, and Mre11 complex), resulting in DNA damage foci formation implicated in signal amplification. In addition, p-ATM phosphorylates a checkpoint kinase, CHK2, which then activates cdc25A and P53, which are responsible for G1-, G2-, and S-phase arrests (8–10).
At the early stages of carcinogenesis, telomere shortening is mainly caused by an increased DNA replication due to oncogenic stimuli, but activated oncogenes ras, myc, cyclin E, and E2F1 engaged in DNA responses can also directly induce stalling and the collapse of DNA replication forks, which in turn lead to the formation of DNA double-strand breaks in various cancer cell lines or animals models (11–15). At least, tobacco smoke directly activates ATM and H2AX phosphorylation in A549 ADC cell line or in normal bronchial epithelial HBME cell line (16) and we have shown the role of P14ARF in this tobacco smoke response, leading to G2 checkpoint activation (17). For all these reasons, DDRs are early activated during lung carcinogenesis. This has been recently shown in short series of preneoplastic bronchial lesions (18–20), as well as in colonic preneoplasia (21), exhibiting high immunohistochemical levels of phosphorylated ATM, H2AX, P53BP1, and CHK2. DDR are then successively impaired in invasive processes to prevent apoptosis or cellular mortality; at this time, short telomeres are no longer able to protect chromosome ends from the occurrence of new genetic abnormalities, which in turn promote proliferation. To validate this model in a larger series of preneoplastic bronchial lesions and in bronchioloalveolar carcinogenesis, which has never been evaluated before, we have investigated the chronology of DDR activation/inactivation in response to telomere attrition, along with TRF1 and TRF2 expression, in 109 bronchial preneoplasia and in 33 bronchioloalveolar preinvasive lesions in comparison with their normal and malignant counterparts.
Materials and Methods
Patients and tissue samples
Specimens were collected from lung resections of lung cancer. Some of the preinvasive bronchial lesions belong from a previous study (22). Because most (90%) of the patients were smokers, we did not consider a subpopulation of nonsmokers. They were all formalin fixed and paraffin embedded. One hundred and nine bronchial preneoplastic lesions included 15 mild dysplasia, 19 moderate dysplasia, 31 severe dysplasia, and 44 CIS. They were compared with 20 normal or hyperplastic bronchial mucosa (normal/hyperplasia), 15 squamous metaplastic mucosa, and 30 invasive SCC.
Preneoplastic bronchiolo-alveolar conditions included 27 AAH and 6 AIS; they were compared with normal alveolar epithelium, 6 stage I mixed-type ADC, 12 stage II mixed ADC, and 6 stage III to IV mixed ADC. All preinvasive lesions and invasive carcinoma were classified according to the WHO classification of lung tumors (1, 2).
All pathology samples have been stored for scientific research in a biological resource repository (Centre de Resources Biologiques du Centre Hospitalier Universitaire, Grenoble). The latter structure was accredited by the Institutional Review Board of the University Hospital (CPP Sud Est) and by the National Health ministry under the number AC-2007-23. All patients were given an information form describing the CRB and the type of research.
Immunohistochemical analysis
A three-stage indirect immunoperoxidase technique was done as previously described (21), either manually for p-H2AX, p-ATM, and TRF1, or on Ventana Nexes staining module for p-CHK2 and TRF2. We used antibodies against Thr 68–phosphorylated Chk2 (#2661 Cell Signaling Technology; dilution, 1:10), p-H2AX (ser139; #05-636 Upstate Biotechnology; dilution, 1:100), Ser 1981–phosphorylated ATM (#200-301-500 Rockland Immunochemicals; dilution, 1:500), TRF1 (#ab 10579-50; dilution, 1:50), and TRF2 (#05-521, Millipore; dilution, 1:500).
Incubation with the primary antibody at 4°C overnight (for manual technique) or 1 hour at room temperature on Ventana module, after antigenic retrieving in a citrate buffer (pH 6; microwave for 20 min for pCHK2, and water bath for 60 min for p-H2AX and TRF1), in Tris Citrate buffer for 40 minutes for TRF2, and in EDTA 0.025 mmol/L buffer for 50 minutes in a water bath for p-ATM, was followed by exposition to the secondary anti-mouse or anti-rabbit biotinylated IgG, and then by the amplification system avidin-biotin complex. Negative control consisted in omission of the primary antibody and incubation with immunoglobulin of the same species. The percentage of positive nuclei was evaluated by two pathologists (SL and EB) and multiplied by intensity score from 1 to 3, with final scores ranging from 0 to 300.
Telomere length assessment using fluorescence in situ hybridization
Telomere fluorescence in situ hybridization (FISH) was done as previously described by Meeker et al. (23). Briefly, deparaffinized and rehydrated sections underwent a retrieval of 15 minutes, 98°C in Tris buffer (pH 6). They were placed in 0.1% PBS Tween for 5 minutes and then in Pepsine 10% in HCl 0.01M for 20 minutes at 37°C. They were then dehydrated and air dried. Ten microliters of a Cy3-labeled specific peptide nucleic acid targeting telomeres (DAKO) were applied to each sample, which was then denaturated for 4 minutes at 83°C. Slides were then moved in the dark for hybridization of 2 hours at 37°C. They were then rinsed, respectively, twice for 15 minutes and thrice for 5 minutes in Formamide-Tris and Tris-NaCl-Tween buffer at room temperature. They were counterstained with 4′,6-diamidino-2-phenylindole and mounted with aqueous mounting medium. The intensity of telomere staining, related to the number of telomeric spots and linearly related to telomere length, was assessed visually. Nuclear telomeres were scored as 0 (undetectable), 1 (fluorescent signal intensity far less intense than that in normal basal bronchial or bronchiolar cells), 2 (if equivalent to that of normal basal bronchial or bronchiolar cells), and 3 (signals equivalent to that of stromal activated lymphocytes).
Statistical analysis
The staining scores were compared in different categories using Mann-Whitney, Kruskall-Wallis, and Wilcoxon tests. P values of <0.05 were considered as statistically significant. All the tests were done with the StatView software (Abacus Concepts)
Results
Relative telomere length variation in preneoplastic bronchial and bronchioloalveolar lesions, in comparison with normal epithelium and invasive SCC and ADC
Relative telomere length (RTL) analysis by FISH was assessable in only 78 of 109 bronchial specimens, some lesions having disappeared on serial sections, or some specimens having been fixed with formalin mixed with eosin, this stain being responsible for an autofluorescent background preventing the FISH analysis. The studied specimens included 10 normal/hyperplastic epithelium, 7 squamous metaplasia, 7 mild dysplasia, 11 moderate dysplasia, 13 severe dysplasia, 17 CIS, and 13 SCC, as previously reported (5). RTL mean score was 2 in normal bronchial basal cells and 3 in activated lymphocytes, which served as positive internal controls. Mean score in squamous metaplasia was lower (score 1), whereas RTL mean score increased from low-grade (mild dysplasia; score, 1.2) to high-grade dysplasia (score, 1.44 in moderate and severe dysplasia), to reach a plateau in CIS (score, 1.7); it increased in invasive SCC (score, 2; Fig. 1 and Supplementary Histogram 1A). However, these variations were not statistically significant, probably because of the low number of cases studied (Tables 1 and 2).
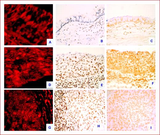
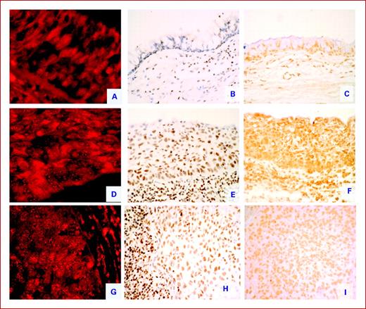
RTL assessed by Tel FISH in normal bronchial epithelium (A), in severe dysplasia (D), and in invasive SCC (G). TRF1 and TRF2 immunohistochemical expressions in corresponding normal bronchial epithelium (B and C, respectively), in severe dysplasia (E and F, respectively), and in invasive SCC (H and I, respectively).
RTL assessed by Tel FISH in normal bronchial epithelium (A), in severe dysplasia (D), and in invasive SCC (G). TRF1 and TRF2 immunohistochemical expressions in corresponding normal bronchial epithelium (B and C, respectively), in severe dysplasia (E and F, respectively), and in invasive SCC (H and I, respectively).
Immunohistochemical expression of p-ATM, p-CHK2 and p-ATM in the same cases of normal bronchial epithelium (A-C), severe dysplasia (D-F), and SCC (G-I).
Immunohistochemical expression of p-ATM, p-CHK2 and p-ATM in the same cases of normal bronchial epithelium (A-C), severe dysplasia (D-F), and SCC (G-I).
RTL, TRF1, TRF2, and the expression of DDR proteins during bronchial carcinogenesis
| Histology (no. of cases studied) . | RTL mean score . | TRF1 mean score ± SD . | TRF2 mean score ± SD . | p-ATM mean score ± SD . | p-H2AX mean score ± SD . | p-CHK2 mean score ± SD . |
|---|---|---|---|---|---|---|
| N/H (n = 20) | 2 | 30 | 50 | 20 | 10 | 20 |
| SM (n = 15) | 1 | 46.6 ± 15 | 49.1 ± 18 | 37.1 ± 19 | 12.3 ± 9 | 35.3 ± 19 |
| MD (n = 15) | 1.2 | 42.8 ± 19 | 43.6 ± 24 | 27.5 ± 18 | 15.8 ± 13 | 36 ± 21.7 |
| MD (n = 19) | 1 | 66.6 ± 13 | 67.1 ± 21 | 45.8 ± 21 | 21.3 ± 16 | 49.2 ± 23 |
| Severe dysplasia (n = 31) | 1.7 | 73.6 ± 12 | 69.6 ± 16 | 49 ± 22 | 27.6 ± 18 | 49.3 ± 19 |
| CIS (n = 44) | 1.7 | 76.6 ± 14 | 70.2 ± 16 | 47.8 ± 23 | 30.8 ± 19 | 48.3 ± 25 |
| SCC (n = 32) | 2 | 80.6 ± 12 | 63.8 ± 22 | 50 ± 20.1 | 22.7 ± 15 | 35.1 ± 26 |
| Histology (no. of cases studied) . | RTL mean score . | TRF1 mean score ± SD . | TRF2 mean score ± SD . | p-ATM mean score ± SD . | p-H2AX mean score ± SD . | p-CHK2 mean score ± SD . |
|---|---|---|---|---|---|---|
| N/H (n = 20) | 2 | 30 | 50 | 20 | 10 | 20 |
| SM (n = 15) | 1 | 46.6 ± 15 | 49.1 ± 18 | 37.1 ± 19 | 12.3 ± 9 | 35.3 ± 19 |
| MD (n = 15) | 1.2 | 42.8 ± 19 | 43.6 ± 24 | 27.5 ± 18 | 15.8 ± 13 | 36 ± 21.7 |
| MD (n = 19) | 1 | 66.6 ± 13 | 67.1 ± 21 | 45.8 ± 21 | 21.3 ± 16 | 49.2 ± 23 |
| Severe dysplasia (n = 31) | 1.7 | 73.6 ± 12 | 69.6 ± 16 | 49 ± 22 | 27.6 ± 18 | 49.3 ± 19 |
| CIS (n = 44) | 1.7 | 76.6 ± 14 | 70.2 ± 16 | 47.8 ± 23 | 30.8 ± 19 | 48.3 ± 25 |
| SCC (n = 32) | 2 | 80.6 ± 12 | 63.8 ± 22 | 50 ± 20.1 | 22.7 ± 15 | 35.1 ± 26 |
Abbreviations: N/H, normal/hyperplasia; SM, squamous metaplasia; mD, mild dysplasia; MD, moderate dysplasia; SD, severe dysplasia.
RTL, TRF1, TRF2, and the expression of DDR proteins during bronchioloalveolar carcinogenesis
| Histology (no. of cases studied) . | RTL mean score . | TRF1 mean scores ± SD . | TRF2 mean scores ± SD . | p-ATM mean scores ± SD . | p-H2AX mean scores ±SD . | p-CHK2 mean scores ±SD . |
|---|---|---|---|---|---|---|
| Normal PII-bronchiolar cells | 2 | 30 | 50 | 10 | 10 | 10 |
| AAH (n = 27) | 1.8 | 74 ± 37 | 87 ± 63 | 48 ± 42 | 55 ± 46 | 113 ± 47 |
| AIS (n = 6) | 1.33 | 75 ± 5 | 100 ± 35 | 76 ± 55 | 56 ± 44 | 83 ± 56 |
| Stage I-II ADC (n = 18) | 2 | 85 ± 62 | 123 ± 51 | 125 ± 72 | 124 ± 86 | 97 ± 51 |
| Stage III-IV ADC (n = 6) | 1.83 | 101 ± 43 | 115 ± 52 | 96 ± 53 | 67 ± 46 | 55 ± 56 |
| Histology (no. of cases studied) . | RTL mean score . | TRF1 mean scores ± SD . | TRF2 mean scores ± SD . | p-ATM mean scores ± SD . | p-H2AX mean scores ±SD . | p-CHK2 mean scores ±SD . |
|---|---|---|---|---|---|---|
| Normal PII-bronchiolar cells | 2 | 30 | 50 | 10 | 10 | 10 |
| AAH (n = 27) | 1.8 | 74 ± 37 | 87 ± 63 | 48 ± 42 | 55 ± 46 | 113 ± 47 |
| AIS (n = 6) | 1.33 | 75 ± 5 | 100 ± 35 | 76 ± 55 | 56 ± 44 | 83 ± 56 |
| Stage I-II ADC (n = 18) | 2 | 85 ± 62 | 123 ± 51 | 125 ± 72 | 124 ± 86 | 97 ± 51 |
| Stage III-IV ADC (n = 6) | 1.83 | 101 ± 43 | 115 ± 52 | 96 ± 53 | 67 ± 46 | 55 ± 56 |
RTL analysis by FISH was done in 43 bronchioloalveolar preneoplastic and ADC specimens, including 25 AAH, 6 in situ ADC, 4 stage I ADC, 3 stage II, and 6 stage III to IV ADC. Mean RTL score was 1 in type I pneumonocytes, 2 in type II pneumonocytes and in bronchiolar cells, and 3 in activated lymphocytes, those cells serving as positive internal controls; mean RTL score in AAH was 1.8. In contrast, RTL mean score was the lowest in preinvasive ADC (1.33), and increased in stage I to II ADC (2) and in stage III to IV ADC (1.8; Fig. 3 and Histogram 1B); however, these variations were of borderline significance (P = 0.047), probably because of the low number of cases studied. We have not seen any difference between ADC and SCC with regard to RTL.
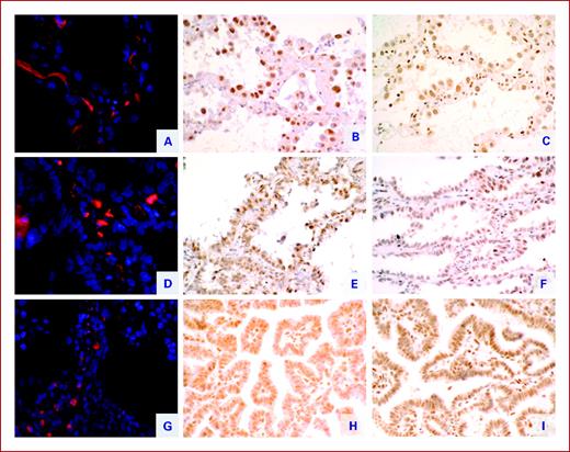
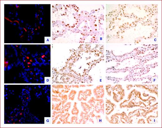
Relative telomere length (RTL) assessed by Tel FISH in Atypical Adenomatous Hyperplasia AAH (A), in Adenocarcinoma In Situ AIS (D), and in invasive papillary adenocarcinoma ADC (G). TRF1 and TRF2 immunohistochemical expressions in corresponding AAH (B and C, respectively), in AIS (E and F, respectively), and in ADC (H and J, respectively).
Relative telomere length (RTL) assessed by Tel FISH in Atypical Adenomatous Hyperplasia AAH (A), in Adenocarcinoma In Situ AIS (D), and in invasive papillary adenocarcinoma ADC (G). TRF1 and TRF2 immunohistochemical expressions in corresponding AAH (B and C, respectively), in AIS (E and F, respectively), and in ADC (H and J, respectively).
TRF1 and TRF2 expression in preneoplastic bronchial and bronchioloalveolar lesions, in comparison with normal epithelium and invasive SCC and ADC
TRF1 and TRF2 expression was observed in 30% to 50% of the normal bronchial cell nuclei of squamous metaplasia and mild dysplasia. This expression significantly increased in high-grade dysplasia, including moderate and severe dysplasia and CIS, to be maintained or slightly decreased in invasive SCC (Fig. 1). Overall, TRF1 and TRF2 were considered to be differentially expressed according to histology when high-grade dysplasia and SCC were compared together with normal epithelium, squamous metaplasia, and low-grade dysplasia (P < 0.0001 for TRF1 and P = 0.0007 for TRF2, respectively; Kruskall Wallis test). TRF1 and TRF2 expressions were also correlated together (P = 0.0009; Wilcoxon test). Regarding TRF1 and TRF2 expression, no statistical difference was observed between SCC and ADC altogether or between in situ SCC and AIS.
In bronchioloalveolar cells, both TRF1 and TRF2 expressions were observed in 30% of pneumonocytes, mainly of type II, and in 50% of bronchiolar cells, but with a nuclear staining with low intensity (mean score of 30 and 50, respectively). TRF1 and TRF2 mean scores were high in AAH and increased progressively from AIS to stage I to II ADC and to stage III-IV ADC, but this variation was statistically significant only for TRF2 (P = 0.0052; Fig. 3). TRF1 and TRF2 expressions did not correlated together.
Overall, this suggests that TRF1 and TRF2 were recruited at the early stages of bronchial and bronchioloalveolar carcinogenesis and their expression paralleled telomere elongation in high-grade lesions and invasive carcinoma.
The expression of DDR proteins in preneoplastic bronchial and bronchioloalveolar lesions, in comparison with normal epithelium and invasive SCC and ADC
In normal bronchial epithelium, a mild nuclear immunostaining was observed with p-H2AX, p-CHK2, and p-ATM antibodies, mainly on suprabasal bronchial cells, serous cells of bronchial glands, and lymphocytes. Squamous metaplasia and mild dysplasia displayed significant higher scores than normal epithelium, these scores being comparable with the three antibodies; the highest scores were observed in moderate dysplasia, severe dysplasia, and CIS, whereas invasive SCC exhibited slightly lower scores. Overall, p-ATM, p-CHK2, and p-H2AX were significantly differentially expressed according to histology (squamous metaplasia and mild dysplasia versus moderate dysplasia, severe dysplasia, and CIS versus SCC; P < 0.0001 for p-CHK2 and p-H2AX, and P = 0.0007 for p-ATM; Histogram II). P-H2AX expression was significantly correlated with that of p-CHK2 and p-ATM (P < 0.0001; Wilcoxon test). P-ATM and TRF2 expression were highly correlated (P < 0.0001; Figs. 2 and 4).
Immunohistochemical expression of p-ATM, p-CHK2 and p-ATM in the same cases of AAH (A,B,C), AIS (D,E,F) and ADC (G,H,J).
Immunohistochemical expression of p-ATM, p-CHK2 and p-ATM in the same cases of AAH (A,B,C), AIS (D,E,F) and ADC (G,H,J).
Normal bronchiolo-alveolar cells expressed low levels of p-ATM, p-H2AX, and p-CHK2, rather similar than those observed in normal bronchial cells, with a percentage of positive cells ranging from 10% to 30%. In preneoplastic lesions and corresponding tumors, p-ATM, p-H2AX, and p-CHK2 expressions varied significantly according to histology and stage, particularly when AAH versus preinvasive ADC, versus stage I to II ADC, versus stage III to IV ADC were compared (P < 0.0001 for p-ATM and p-H2AX, and P = 0.02 for p-CHK2; Histogram 2B), but no correlation was found between p-ATM, p-CHK2, and p-H2AX expressions in preneoplastic bronchioloalveolar lesions. P-ATM and p-H2AX scores were higher in ADC altogether than in SCC (P = 0.0038 and P = 0.003). In contrast, no differences were found when in situ SCC was compared with AIS.
Overall, this shows that all DDR proteins are highly expressed in high-grade preinvasive bronchial lesions and in stage I to II ADC. They tend to be inactivated in invasive SCC and to a lesser extent in advanced stage ADC, suggesting a higher DDR inactivation in bronchial carcinogenesis. However, the p-ATM and TRF2 correlation we observed in preneoplastic bronchial lesions were not found in bronchioloalveolar conditions, possibly due to a lower number of cases.
Discussion
The sequence of molecular events sustaining the malignant transformation and progression of preinvasive lung lesions remains quite unclear. We showed here that telomere shortening precedes DDR and activation of checkpoint proteins, and that both DDR and telomere length maintains protein increase until invasion.
We confirm that telomere attrition is an early event in bronchial carcinogenesis, occurring early in squamous metaplasia and low-grade dysplasia stages (24); it is followed by a progressive telomere elongation, likely due to telomerase activation, until CIS stage, which presents the highest RTL. With this regard, further analyses of upper airway dysplasia with patient follow-ups could be interesting in order to investigate the telomere machinery and the predictive value for malignant progression of telomere length in such squamous preneoplasia. As expected, RTL slightly decreases in invasive SCC, consistently with the literature reporting short telomeres in non–small cell lung carcinoma; accordingly, in established lung tumors, telomere shortening, only partially balanced by telomere elongation by telomerase, favors the occurrence of new genetic instability and correlates with a poor clinical outcome (25). In contrast, in bronchioloalveolar carcinogenesis, telomere shortening occurs lately at AIS stage to increase in stage I ADC, similarly to what has been described in other ADCs from colon (21) or breast (23), in which telomere length was the lowest in high-grade dysplasia to reach only in invasive tumors the same levels than in normal cells.
Regarding the modulation of telomeric protein TRF1 and TRF2 expression in response to telomere shortening, we found low levels of TRF1 and TRF2 in normal to low-grade bronchial dysplasia, in contrast with an increased TRF1 and TRF2 expression, paralleling telomere elongation in high-grade dysplasia. During bronchioloalveolar carcinogenesis, TRF1 and TRF2 behave similarly, increasing regularly from normal alveolar cells to invasive cancer, as previously shown by Nakanishi et al. (6), and consistently with that reported in high-grade colorectal dysplasia (21). However, this high TRF1 expression we and others observed in lung cancer is contradictory, not only with the idea that short telomeres contain less shelterin (26) but also with the putative tumor suppressor role of TRF1; indeed, the deletion of TRF1 in mice results in severe DNA damages, leading to p53/p21 and p16 pathway activation, and the development of SCCs in p53 knockout and TRF1-deleted mice (27). Nevertheless, TRF1 acts with tankyrase 1 and 2 to control telomere access in order to decrease the possibility of a further elongation by telomerase (28) and is thus considered as a negative regulator of telomere elongation; however, it is upregulated through a negative feedback loop when telomerase is activated, its expression increasing with the number of newly synthesized TTAGGG repeats.
TRF1 and TRF2 expressions were correlated in our study in bronchial lesions, suggesting an analogous role at telomere sites. TRF2 is not only involved in the recognition of short telomeres and recruited at DNA damage sites but is also able to negatively regulate telomere length (29). Indeed, TRF2 in lung or esophageal tumors could help tumor cells to better tolerate short telomeres before telomerase reactivation (30, 31). Consistently, in gastrointestinal tumors, although a downregulation of TRF1 and TRF2 is frequent (32), tumors exhibiting short telomeres need high levels of telomeric proteins (33, 34).
Telomere attrition is one cause of DDR activation, which can also be related to an increased replication induced by oncogene stimuli or to tobacco smoke exposure. Indeed, DDRs already observed herein in normal bronchial and bronchioloalveolar cells, exhibiting a p-ATM, p-H2AX, and p-CHK2 expression, were not described during colon or breast carcinogenesis, in which normal epithelial cells adjacent to tumors were almost negative (21, 35); this indicates that within the respiratory tract, tobacco carcinogens are yet able to generate DNA damages in normal epithelium. In agreement with the literature, we observed an increased p-H2AX, p-CHK2, and p-ATM expression along with the severity of bronchial preneoplasia. It diminished from in situ to invasive tumors, as previously shown in lung, breast, colon, urinary bladder, and prostate carcinoma (18–21, 36, 37), in which DDR pathway is impaired to enable tumors to overcome apoptosis. These findings have never been reported in bronchioloalveolar carcinogenesis, and our results imply that in comparison with what happen during bronchial carcinogenesis, DDR activation occurs after CIS stage, represented by the AIS with pure lepidic growth (formerly bronchioloalveolar carcinoma) histology; this suggests that preinvasive ADC is less molecularly impaired than CIS regarding the DDR activation/inactivation sequence. However, when we compared DDR scores in AIS and CIS, no statistical differences could be shown. Actually, DDRs peak at limited stage ADC to be then impaired at advanced stages. At least three pathways of genetic and molecular abnormalities are involved in the genesis of peripheral lung ADC (38), one concerning 10% to 15% of ADC in Western countries, preferentially in nonsmokers, in which a driving epidermal growth factor receptor mutation occurs at AAH stage, and is associated with additional epidermal growth factor receptor and TTF1 amplifications at invasive and metastatic stages (39–42). Another known pathway involves k-ras–activating mutation, occurring in 20% to 30% of ADC in smokers, but one or more alternative pathways likely exist, involving other abnormalities that remained to be determined (43).
DNA damage is involved in other malignancies and H2AX, CHK1, and CHK2 phosphorylation have been shown recently in myelodysplastic syndrome, in which they significantly increase from low-risk to high-risk myelodysplastic syndrome cells to decrease in acute myelodysplastic leukemia (44). Interestingly, the authors also described in established acute myelogenous leukemia, a maintained p-ATM expression, contrasting with p-H2AX and p-CHK2 downregulation, similarly to what we observed in bronchioloalveolar lesions; this uncompleted expression of p-ATM has been also reported in irradiated acute myeloid leukemia cells, exhibiting high levels of autophosphorylated ATM but a diminished CHK2 phosphorylation. According to the authors, ATM activation could be uncorrelated to checkpoint kinase CHK1/CHK2 inactivation but conversely coupled to antiapoptotic signals, such as NFκB transcription factor (45), thus promoting transformation. In addition, the same authors found no correlation between ATM and H2AX phosphorylation, suggesting other pathways leading to CHK2 and H2AX phosphorylation than p-ATM (46); this could be possibly mediated by ATR, which is probably the second transducer of DDR at short telomeres.
TRF2 facilitates T loop formation and thus the protection of the G-strand overhang, preventing telomeres from end-to-end fusions and formation of dicentric chromosomes. TRF2 is said to inhibit ATM phosphorylation, but in case of DNA damage or uncapped G-strand tail, phosphorylation of TRF2 induced by p-ATM shifts this protein from its telomere maintenance role to facilitate DNA damage repair (47). TRF2 protects telomere ends from inappropriate DNA repair and deletion of TRF2 results in a DNA damage signal mediated by ATM kinase and CHK2 phosphorylation (48); this signal originates from telomeric DNA, as suggested by the presence at telomeres of 53BP1, MDC1, and p-H2AX (9). TRF2 is thus required to prevent ATM activation at telomeres (49, 50). High levels of TRF2 in established lung tumors can be explained either by an “oncogenic” role of TRF2, inhibiting ATM and DDR, thus avoiding apoptosis or cell death, or, as for TRF1, by an increase of expression related to a negative feedback. TRF2, which is able to regulate the telomere length, may act in tumors to prevent additional uncontrolled elongation.
Overall, we confirm herein that telomere erosion precedes TRF1 and TRF2 overexpression and DDR activation before their inactivation in invasive tumors, with a similar chronology in bronchial and in bronchioloalveolar carcinogenesis. These results seem promising in lung cancer, in which small-molecule DDR inhibitors could be used in association with chemotherapy to prevent premalignant or early malignant cells to repair drug-induced DNA damages; however, at the same time, these inhibitors could be of limited interest in established tumors, which have yet inactivated their DDR, and they could conversely promote tumor growth and progression through the occurrence of new genetic abnormalities (51). In that sense, activation or inactivation of DDR proteins could represent new biomarkers of drug sensitivity or could be predictive for malignant transformation in pulmonary preinvasive lesions, but their expression need to be further analyzed in a larger prospective series of cases with follow-up.
Disclosure of Potential Conflicts of Interest
No potential conflicts of interest were disclosed.
Acknowledgments
Grant Supports: PNES/Inca 2005-2008 (E Brambilla and C. Brambilla), PHRC Microméthodes 2003-2007 (E. Brambilla), and Biomarskan 2005 (C. Brambilla).
The costs of publication of this article were defrayed in part by the payment of page charges. This article must therefore be hereby marked advertisement in accordance with 18 U.S.C. Section 1734 solely to indicate this fact.



