Abstract
Purpose: Peptide receptor radionuclide therapy (PRRT) using somatostatin analogues labeled with β-particle–emitting isotopes such as 90Y or 177Lu has been a promising treatment strategy for metastasized neuroendocrine tumors. Although remission can be accomplished in a high percentage of neuroendocrine tumors, some tumors do not respond to this treatment. α-Emitting isotopes—such as the 10-day half-life α-emitting generator nuclide Actinum-225 (225Ac)—are characterized by extremely high cytotoxic activity on the cellular level, and may be superior in the treatment of neuroendocrine tumors not responding to PRRT using β-emitting isotopes.
Experimental Design: Radiolabeling of 225Ac 1,4,7,10-tetra-azacylododecane N,N′,N′′,N′′′-J-tetraacetic acid-Tyr3-octreotide (DOTATOC) was done at pH 5 (60 minutes at 70°C) without further purification. Biodistribution in nude mice bearing AR42J rat pancreas neuroendocrine tumor xenografts were measured for up to 24 hours. Toxicity was tested by weight changes, retention variables (blood urea nitrogen and creatine), and histopathology in mice 7 months after treatment with 10 to 130 kBq (n = 4-5). Therapeutic efficacy was assessed by tumor weighing in animals treated 4 days after xenotransplantation and compared with 177Lu-DOTATOC as a reference.
Results: Activities up to 20 kBq had no significant toxic effects in mice. In contrast, activities higher than 30 kBq induced tubular necrosis. Biodistribution studies revealed that 225Ac-DOTATOC effectively accumulated in neuroendocrine xenograft tumors. 225Ac-DOTATOC activities were shown to be nontoxic (12-20 kBq), reduced the growth of neuroendocrine tumors, and showed improved efficacy compared with 177Lu-DOTATOC.
Conclusions:225Ac might be suitable to improve PRRT in neuroendocrine tumors.
Neuroendocrine carcinomas are a heterogeneous group of tumors with different malignant potentials (1). In limited disease, surgical resection of the tumor is the treatment of choice by which the disease could frequently be cured. In contrast, in metastatic disease, cure rates are low, as cytotoxic chemotherapy or treatment with somatostatin analogues rarely lead to complete tumor remission. Also, the role of external beam radiation is limited to local tumor control and symptomatic palliation in a fraction of patients (2).
During the last decade, peptide receptor radionuclide therapy (PRRT) has been developed as a new treatment strategy for metastasized neuroendocrine tumors. Because neuroendocrine tumors, in contrast with other tissues, express high levels of somatostatin receptor subtypes, somatostatin analogues with high affinity to somatostatin receptors can be used for targeting these types of tumors. Additionally, receptor internalization upon somatostatin-analogue binding and its subsequent recycling to the cell surface are beneficial for efficient tumor targeting. It has been shown by a number of groups that treatment with β-particle–emitting isotopes such as 90Y or 177Lu coupled to somatostatin analogues such as 1,4,7,10-tetra-azacylododecane N,N′,N′′,N′′′-J-tetraacetic acid-Tyr3-octreotide (DOTATOC) leads to tumor regression of 50% or more in at least 30% of patients with metastasized neuroendocrine tumors, as well as to a significant reduction of symptoms in most patients (3, 4). Although the efficacy of PRRT in neuroendocrine tumors is well documented, it may be possible to improve this therapy strategy. One possibility of improvement may be the use of high linear energy transfer radiation using α-particle–emitting isotopes instead of conventionally used low linear energy transfer radiation using 90Y, 177Lu, or external beam radiation.
The therapeutic application of α-particle–emitting isotopes coupled to tumor-homing peptides or antibodies is an innovative approach in cancer therapy. α-Particles are characterized by a high linear energy transfer rate leading to an extremely high cytotoxic activity on the cellular level (5, 6), and a short range in tissue, reducing side effects in normal tissues. Consequently, a number of preclinical studies show the potency and limited toxicity of targeted α therapy both with monoclonal antibodies and peptides as carrier molecules (7–9). 225Ac is an α-particle–emitting isotope that has been proposed to be useful in radionuclide therapy. It is a 10-day half-life generator nuclide that decays via a short decay scheme with the emission of a total of four α-particles. 225Ac-DOTA–based chelates have shown sufficient stability to serve as a linking moiety for 225Ac-targeted therapy (10). However, after disintegration, the retention of daughter isotopes within the chelate is highly unlikely, either due to the physical recoil energy or the different chemical properties of the first daughter nuclide 221Fr. Despite their relatively short half-lives, the α-emitting daughter nuclides 221Fr (t1/2 = 4.8 m) and its subsequent daughters, 217As (t1/2 = 32 ms) and 213Bi (t1/2 = 45.6 min), are capable of relocating within the organism and accumulation of 213Bi originating from the bloodstream into the kidneys with subsequent radiation damage has been shown in nonhuman primates (11). Nevertheless, due to its high net α energy of 27 MeV, 225Ac is very promising as a therapeutic radionuclide (12). In comparison, 177Lu, which has been successfully used as a therapeutic isotope for somatostatin receptor radiotherapy is a β-emitting isotope with a similar half-life (6.7 days) and an abundance of relatively low-energy β-particles (384 keV). Therefore, a comparison of the efficacy of 177Lu-DOTATOC and 225Ac-DOTATOC would help to elucidate the potential use of 225Ac-DOTATOC in PRRT of neuroendocrine tumors.
In this study, we tested the efficacy of the α-particle–emitting conjugate 225Ac-DOTATOC in preclinical models of neuroendocrine tumors and tested its toxicity. We found that 225Ac-DOTATOC accumulates in neuroendocrine xenograft tumors in mice and leads to a growth delay of the tumors treated. Interestingly, compared with tumors treated with β-particle–emitting 177Lu-DOTATOC, tumor control was more effective in tumors treated with α-particle–emitting 225Ac-DOTATOC in a certain therapeutic window. In this range of 225Ac-DOTATOC activity, no significant toxic side effects were observed. Based on these results, we conclude that α-particle–emitting isotopes may lead to an improvement of PRRT of neuroendocrine tumors in the future.
Materials and Methods
Radiolabeling of 225Ac-DOTATOC and 177Lu-DOTATOC. DOTATOC was purchased from Bachem, AG. Actinium-225 was received as a solid nitrate from Actinium Pharmaceuticals, Inc. The sources of actinium were OakRidge National Laboratory and Isonics Corporation. Activity determination was done with a dose calibrator (Capintec). Cross-calibration with gamma spectroscopy confirmed the accuracy of the measurements. After resuspension of 225Ac in 0.2 mol/L of HCl (Merck), an aliquot of typically 1 to 3 MBq (30 μL) was buffered with 35 μL of 1 mol/L sodium acetate (Merck) and 5 μL of 1 mol/L gentisic acid (pH 5; 2.5-dihydroxybenzoic acid; Fluka Steinsheim). After the addition of typically 25 μg DOTATOC in 25 μL of ultrapure water (Merck) incubation was allowed at 70°C for 60 min. Radiochemical purity was then determined without further purification steps by instant TLC with silica gel–impregnated glass fiber sheets (Pal Gelman Laboratory) as stationary phase and 10 mmol/L of diethylenetriaminepentaacetic acid (Sigma-Aldrich) as a mobile phase. After having reached secular equilibrium, instant TLC strips were analyzed using a TLC scanner. For experiments using 177Lu-DOTATOC, labeling was done with typically 50 MBq 177Lu.
Cell culture. AR42J cells (rat acinar pancreatic cell line with high expression levels of somatostatin receptor subtype 2; ref. 13) were obtained from the European Collection of Animal Cell Cultures. Cells were cultured in RPMI 1640 (Seromed) supplemented with 10% FCS (Seromed) and 2 mmol/L l-glutamine (Life Technologies, Inc.) maintained at 37°C in a 5% CO2/humidified air atmosphere.
Biodistribution of 225Ac-DOTATOC. All animal experiments were carried out in accordance with the guidelines for the use of living animals in scientific studies and the German Law for the protection of animals. AR42J cells (3 × 106) were suspended in 200 μL of ice-cold sterile PBS (Biochrom AG) and injected s.c. into one flank of a nu/nu mouse (6-8 weeks; Charles River). Mice were then observed thrice weekly. When tumors measured ∼1 cm in diameter, 40 kBq of 225Ac-DOTATOC were injected via the tail vein. After 0.5, 1, 4, and 24 h, groups of four to five mice were euthanized by CO2 asphyxiation and organs collected. The organs were counted after a time delay of at least 3 h to allow the equilibration of the daughter nuclides with a Wallac automatic gamma counter (1480 Wizard). The energy window was set to 380 to 500 keV. In one animal, the distribution of radioactivity within the tumor was determined 10 days after injection of 100 kBq 225Ac-DOTATOC by scanning a 20 μm fresh-frozen section over 48 h with a high-resolution microimaging device (Biospace Measures).
Toxicity of 225Ac-DOTATOC in vivo. Groups of four to five BALB/c mice (6 weeks old; Charles River) were injected with 10, 20, 30, 60, and 125 kBq of 225Ac-DOTATOC by tail vein injection (n = 4 at the 10 kBq dose level, otherwise n = 5). Mice were clinically observed thrice weekly and weight was determined once or twice weekly. Mice were sacrificed after 7 months when weight loss exceeded 25% in one group, and blood urea nitrogen and blood creatinine levels were determined. Kidneys, heart, lung, liver, pancreas, spleen, stomach, intestine, adrenals, bladder, muscle, and femur were fixed in 4% formalin. Sections were cut and stained with H&E staining.
Treatment of xenograft tumors with 225Ac-DOTATOC. Therapeutic efficacy was investigated at two nontoxic dose levels on nonvisible tumor sizes. Therefore, groups of nude mice were injected with 3 × 106 of AR42J cells and treatment was done 4 days later. Two dose levels of 225Ac-DOTATOC were applied: in one experiment, 12 kBq/mouse (n = 7) with 450 kBq of 177Lu-DOTATOC as reference (n = 9) was used. In another experiment, 20 kBq/mouse (n = 15) with 1 MBq of 177Lu-DOTATOC (n = 15) as reference along with 1 μg/mouse of unlabeled DOTATOC as nonradioactive control (n = 10) was used. When tumor sizes exceeded ∼1 mL in more than five animals, all animals were sacrificed. Tumors were then excised totally and weighed. Statistical analysis was done with GraphPad Prism (unpaired Student's t test for two groups and one-way ANOVA with post hoc Bonferroni's correction for multiple comparisons for three groups).
Results
Labeling of DOTATOC with 225Ac or 177Lu. Radiolabeling of DOTATOC with 225Ac at specific activities (activities per quantity of peptide) between 40 and 120 kBq/μg yielded radiochemical purities of 90% (±3.5%, n = 12). In all further experiments, only preparations >90% were used (92 ± 2%, n = 5). Labeling of DOTATOC with 177Lu at specific activities of 2 MBq/μg always yielded radiochemical purities of >99%.
Biodistribution of 225Ac-DOTATOC. As indicated by Fig. 1 within the first hour, 225Ac-DOTATOC was cleared rapidly from the blood pool and effectively accumulated in the tumor. Thirty minutes postinjection, the radioactivity concentration was ∼10%/ID/g (30 min, 11.4%/ID/g; 60 min, 9.3%/ID/g). The radioactivity concentration in the tumors then declined within 24 h to 4.1%ID/g. Maximal uptake in the kidney was 13.2%/ID/g 1 h postinjection and declined rapidly within 24 h. Liver uptake was found to be between 1.8% and 3.5% ID/g without clear decline, most likely due to free 225Ac. In comparison, liver uptake of 177Lu-DOTATOC was maximal at 0.5% ID/g (data not shown). Autoradiography of an ∼2 × 1 cm AR42J xenograft, 10 days after treatment with 225Ac-DOTATOC showed homogenous activity distribution throughout the tumor (Fig. 2). Taken together, these data indicate that 225Ac-DOTATOC effectively accumulates in neuroendocrine tumors and is primarily excreted via the kidneys.
Biodistribution of 225Ac-DOTATOC in tumor-bearing nude mice. Forty kilobecquerels of 225Ac-DOTATOC were injected in nude mice xenotransplanted s.c. with AR42J cells. Mice were euthanized at the indicated time points and the radioactivity concentrations present in individual organs was determined.
Biodistribution of 225Ac-DOTATOC in tumor-bearing nude mice. Forty kilobecquerels of 225Ac-DOTATOC were injected in nude mice xenotransplanted s.c. with AR42J cells. Mice were euthanized at the indicated time points and the radioactivity concentrations present in individual organs was determined.
Distribution of 225Ac-DOTATOC in AR42J xenograft tumors and H&E staining. A, histologic sections of AR42J tumors from nude mice were analyzed by autoradiography 10 days after injection of 225Ac-DOTATOC. B, H&E-stained section of the AR42J tumor.
Distribution of 225Ac-DOTATOC in AR42J xenograft tumors and H&E staining. A, histologic sections of AR42J tumors from nude mice were analyzed by autoradiography 10 days after injection of 225Ac-DOTATOC. B, H&E-stained section of the AR42J tumor.
Analysis of the toxicity of 225Ac-DOTATOC. We next studied the toxicity of 225Ac-DOTATOC in vivo. Activities between 10 and 60 kBq were well tolerated by the mice. Clinically, except for weight loss, no signs of toxicity were noted in all groups. In the group having received the highest dose of 225Ac-DOTATOC (125 kBq/mouse), an initial weight loss of ∼12% after 3 weeks was observed. Thereafter, weight loss in this group occurred gradually over the next 6 months. Seven months after treatment, all groups of animals were euthanized. At this time point, the groups treated with the highest activity doses (125 and 60 kBq) of 225Ac-DOTATOC showed a mean weight loss of 13% (±10%) and 27% (±8%), respectively (Fig. 3A). Correspondingly, these two groups showed an increase of the retention values (blood urea nitrogen and creatinine) but interindividual variation was high (Fig. 3B and C). Histopathologic analysis showed no pathologic findings after injection of 10 and 20 kBq, only nonspecific infiltrates were present in the renal cortex. In contrast, after injection of higher activities (>30 kBq), pathologic changes consistent with radiation-induced acute tubular necrosis were observed. Both distal and proximal tubules were affected (Fig. 4). Glomerular damage was less pronounced and becomes apparent with higher doses (Table 1). None of the other organs (heart, lung, liver, pancreas, spleen, stomach, intestine, adrenals, bladder, muscle, and femur) analyzed showed pathologic changes. In particular, the liver (the organ with the second highest Actinum-225 uptake) did not show histopathologic changes (Fig. 5).
Analysis of functional indicators of toxicity of 225Ac-DOTATOC. A, body weight of mice treated with different activities of 225Ac-DOTATOC 7 months after application. B, blood urea nitrogen was measured in animals treated with different activities of 225Ac-DOTATOC 7 months after injection. C, the creatinine concentration in the serum was measured in animals treated with different activities of 225Ac-DOTATOC 7 months after injection.
Analysis of functional indicators of toxicity of 225Ac-DOTATOC. A, body weight of mice treated with different activities of 225Ac-DOTATOC 7 months after application. B, blood urea nitrogen was measured in animals treated with different activities of 225Ac-DOTATOC 7 months after injection. C, the creatinine concentration in the serum was measured in animals treated with different activities of 225Ac-DOTATOC 7 months after injection.
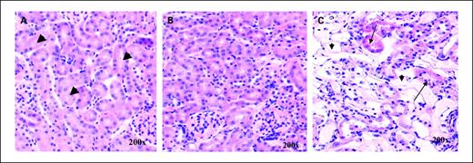
Histopathologic analysis of 225Ac-DOTATOC toxicity in mice. H&E sections of nude mice at 7 months after injection of different amounts of 225Ac-DOTATOC. A, after injection of 10 kBq, normal glomeruli and tubuli are seen (original magnification, ×200; H&E, arrow). B, after injection of 20 kBq, no changes are seen in the kidney (original magnification, ×200; H&E). C, after injection of 30 kBq, acute tubular necrosis with partial atrophy, edema, and partial loss of epithelial cells are observed (original magnification, ×200; H&E). Many tubules show complete atrophy characterized by lumen dilation and complete denudation of the basement membrane (*). Some proximal tubules show edema and partial loss of epithelial cells (arrows). Note that the glomeruli are histologically normal.
Histopathologic analysis of 225Ac-DOTATOC toxicity in mice. H&E sections of nude mice at 7 months after injection of different amounts of 225Ac-DOTATOC. A, after injection of 10 kBq, normal glomeruli and tubuli are seen (original magnification, ×200; H&E, arrow). B, after injection of 20 kBq, no changes are seen in the kidney (original magnification, ×200; H&E). C, after injection of 30 kBq, acute tubular necrosis with partial atrophy, edema, and partial loss of epithelial cells are observed (original magnification, ×200; H&E). Many tubules show complete atrophy characterized by lumen dilation and complete denudation of the basement membrane (*). Some proximal tubules show edema and partial loss of epithelial cells (arrows). Note that the glomeruli are histologically normal.
Quantitative assessment of histopathologic alterations of kidneys 7 months after treatment with different activities of 225Ac-DOTATOC
| Received activity of Actinium-225-DOTATOC (kBq) . | Tubules . | Glomeruli . | Interstitium . |
|---|---|---|---|
| 125 | +++ | + | +++ |
| 125 | +++ | + | +++ |
| 130 | +++ | + | +++ |
| 125 | +++ | + | +++ |
| 125 | ++ | + | ++ |
| 60 | +++ | + | ++ |
| 60 | ++ | + | ++ |
| 65 | ++ | + | ++ |
| 60 | +++ | + | ++ |
| 65 | ++ | + | ++ |
| 30 | ++ | + | ++ |
| 35 | + | + | ++ |
| 30 | +++ | +/− | +++ |
| 30 | ++ | +/− | ++ |
| 30 | +++ | + | +++ |
| 20 | − | − | Infiltrates |
| 20 | − | − | Infiltrates |
| 20 | − | − | Infiltrates |
| 20 | − | − | Infiltrates |
| 20 | − | − | Infiltrates |
| 10 | − | − | Infiltrates |
| 5 | − | − | Infiltrates |
| 10 | − | − | Infiltrates |
| 10 | − | − | Infiltrates |
| Received activity of Actinium-225-DOTATOC (kBq) . | Tubules . | Glomeruli . | Interstitium . |
|---|---|---|---|
| 125 | +++ | + | +++ |
| 125 | +++ | + | +++ |
| 130 | +++ | + | +++ |
| 125 | +++ | + | +++ |
| 125 | ++ | + | ++ |
| 60 | +++ | + | ++ |
| 60 | ++ | + | ++ |
| 65 | ++ | + | ++ |
| 60 | +++ | + | ++ |
| 65 | ++ | + | ++ |
| 30 | ++ | + | ++ |
| 35 | + | + | ++ |
| 30 | +++ | +/− | +++ |
| 30 | ++ | +/− | ++ |
| 30 | +++ | + | +++ |
| 20 | − | − | Infiltrates |
| 20 | − | − | Infiltrates |
| 20 | − | − | Infiltrates |
| 20 | − | − | Infiltrates |
| 20 | − | − | Infiltrates |
| 10 | − | − | Infiltrates |
| 5 | − | − | Infiltrates |
| 10 | − | − | Infiltrates |
| 10 | − | − | Infiltrates |
NOTE: The histopathologic changes in the renal tubuli, the glomeruli, and the renal interstitium in mice treated with the indicated amounts of 225Ac-DOTATOC were quantified by a semiquantitative score.
Photomicrograph of a liver of a mouse treated with 125 kBq 225Ac-DOTATOC. The liver shows a normal morphology. Between the cords are vascular sinusoids (arrows). An interlobular vena (*), and a bile duct (arrowhead) are depicted. Note that some of the hepatocytes are binucleated and show a karyomegaly. This is a normal finding in mice reaching sexual maturity.
Photomicrograph of a liver of a mouse treated with 125 kBq 225Ac-DOTATOC. The liver shows a normal morphology. Between the cords are vascular sinusoids (arrows). An interlobular vena (*), and a bile duct (arrowhead) are depicted. Note that some of the hepatocytes are binucleated and show a karyomegaly. This is a normal finding in mice reaching sexual maturity.
Treatment of neuroendocrine xenograft tumors with 225Ac-DOTATOC. In a series of experiments, we tried to determine the amount of 225Ac-DOTATOC required to achieve growth control in exponentially growing tumors. In a first treatment study, the effect of low activities of 225Ac-DOTATOC that was found to be nontoxic (12 kBq/mouse) was compared with 177Lu-DOTATOC (450 kBq/mouse). The radiolabeled peptides were injected 4 days after xenograft implantation. Twenty-four days after xenograft implantation (20 days after treatment), the mean tumor weight was 0.45 g (±0.56 g) in the 225Ac-DOTATOC–treated group (n = 7) and 1.05 g (±0.78 g) in the 177Lu-DOTATOC–treated group (n = 9; Fig. 6A). A two-sided t test showed a nonsignificant trend favoring 225Ac-DOTATOC treatment over 177Lu-DOTATOC treatment (P = 0.1).
A, group comparison of tumor weights after treatment with low activities of 225Ac-DOTATOC vs. 177Lu-DOTATOC. B, after treatment with the highest nontoxic activity of 225Ac-DOTATOC vs. 177Lu-DOTATOC vs. cold DOTATOC. A, tumor-bearing mice were injected with 225Ac-DOTATOC (12 kBq/mouse) or with 177Lu-DOTATOC (450 kBq/mouse). Mice were sacrificed 20 days after treatment, the tumors were surgically resected and the tumor weight was determined. B, tumor-bearing mice were injected with 225Ac-DOTATOC (20 kBq/mouse) or with 177Lu-DOTATOC (1 MBq/mouse). Mice were sacrificed 14 days after treatment, the tumors were surgically resected and the tumor weight was determined.
A, group comparison of tumor weights after treatment with low activities of 225Ac-DOTATOC vs. 177Lu-DOTATOC. B, after treatment with the highest nontoxic activity of 225Ac-DOTATOC vs. 177Lu-DOTATOC vs. cold DOTATOC. A, tumor-bearing mice were injected with 225Ac-DOTATOC (12 kBq/mouse) or with 177Lu-DOTATOC (450 kBq/mouse). Mice were sacrificed 20 days after treatment, the tumors were surgically resected and the tumor weight was determined. B, tumor-bearing mice were injected with 225Ac-DOTATOC (20 kBq/mouse) or with 177Lu-DOTATOC (1 MBq/mouse). Mice were sacrificed 14 days after treatment, the tumors were surgically resected and the tumor weight was determined.
In a second treatment study, we compared the highest nontoxic dose of 225Ac-DOTATOC (20 kBq/mouse) to 177Lu-DOTATOC (1 MBq/mouse) and to unlabeled DOTATOC. Again, the therapeutic radionuclides were injected 4 days after implantation of xenografts. Mean tumor weight 18 days after xenograft implantation (14 days after treatment) was 0.12 g (±0.11 g) for 225Ac-DOTATOC–treated animals, 0.52 g (±0.38 g) for 177Lu-DOTATOC–treated animals, and 0.89 g (±0.5 g) for controls. Statistical analysis with one-way ANOVA revealed significant differences of the mean tumor weights (P < 0.05). Bonferroni's multiple comparison had significance levels of <0.001, <0.01, and <0.05 for 225Ac-DOTATOC versus cold DOTATOC, 225Ac-DOTATOC versus 177Lu-DOTATOC, and 177Lu-DOTATOC versus cold DOTATOC, respectively (Fig. 6B). Our results indicate that treatment with nontoxic doses of 225Ac-DOTATOC leads to growth control in exponentially growing xenograft tumors. Taken together, our data indicate that in a certain window activities of 225Ac-DOTATOC which are not toxic are more effective compared with 177Lu-DOTATOC in achieving growth control in neuroendocrine xenograft tumors.
Discussion
It is well documented that PRRT using somatostatin analogues labeled with β-emitting isotopes such as 90Y and 177Lu is effective in the treatment of metastasized neuroendocrine tumors. In this study, we tested whether the α-emitting isotope 225Ac coupled to DOTATOC helps to improve the efficacy of PRRT of neuroendocrine tumors. The α-emitting generator nuclide 225Ac has been proposed to be a potent cytotoxic agent for radioimmunotherapy (14). Its promising, physical and chemical characteristics have led to the development of a variety of so-called nanogenerator targeted therapies which have been successfully evaluated in preclinical studies (12). However, due to the high toxicity of 225Ac and its daughter nuclides, 221Fr, 217As, and 213Bi, unwanted side effects are to be expected. In particular, it is known that free bismuth is accumulated by the renal cortex. Therefore, we studied the biodistribution, toxicity, and therapeutic efficacy of 225Ac-DOTATOC in a preclinical model of neuroendocrine tumors.
We found that 225Ac-DOTATOC effectively accumulates in xenograft tumors expressing somatostatin receptors and in kidneys, whereas no significant accumulation in other tissues was found, except for the liver. The discrete accumulation in the liver is most likely due to free 225Ac, indicating the slightly lower radiochemical purity of 225Ac-DOTATOC compared with 177Lu-DOTATOC, as no liver uptake was found after the injection of this conjugate. According to our results, 225Ac-DOTATOC is rapidly cleared from the blood pool and is excreted via the kidneys. Consequently, toxic side effects are to be expected in the kidneys, but are less likely in other organs. Indeed, we found that injection of activities higher than 30 kBq caused radiation-induced acute tubular necrosis in the distal and proximal tubules of the kidneys. As a consequence, in these mice, an increase of renal retention variables such as blood urea nitrogen and creatinine was found. In contrast, activities up to 20 kBq induced only discrete, nonspecific changes in the kidney, but significantly reduced tumor growth. Thus, treatment activities which are not significantly toxic were able to reduce tumor growth. In a certain therapeutic window (20 kBq), 225Ac-DOTATOC is even more effective than the widely used therapeutic conjugate 177Lu-DOTATOC. However, due to the chronic nature of side effects, and therefore, limitations in the exact determination of the maximal tolerated dose of the animals comparability between these two nuclides was based on physical data: the net α-radiation energy for each 225Ac disintegration is 27 MeV (four α-disintegrations); compared with a mean β radiation energy for each 177Lu disintegration of 0.4 MeV. This yields a factor of ∼70. The ratio of activities in the therapeutic studies were 38 and 50, respectively. This small change in favor of Actinium-225 was allowed due to the lower radiochemical purity of 225Ac-DOTATOC versus 177Lu-DOTATOC and a possible loss of α-radiation energy with the potential redistribution of daughter nuclides for radionuclide-peptide constructs bound to the cells but not internalized.
Our data are consistent with the results of an earlier study in which the short-lived α-emitter, 213Bi, showed high efficacy in a subcutaneous rat model of neuroendocrine tumors. The activity of 22.2 MBq of 213Bi-DOTATOC caused tumor reduction in this rat model. Mild interstitial nephritis at 26 weeks after the application of 11 to 13 MBq of 213Bi-DOTATOC was noted as a sign of chronic toxicity (15). Just like 225Ac-DOTATOC, 213Bi-DOTATOC compared favorably with 177Lu-DOTATOC in vitro and displayed a higher therapeutic efficacy at the same absorbed dose (16), supporting the idea that α-emitting isotopes may help to improve the efficacy of PRRT in neuroendocrine tumors. It remains to be determined whether isotopes with a short half-life and lower therapeutic activity, such as 213Bi, or isotopes with longer half-lives and higher therapeutic potential, but a higher risk of side effects, are more favorable in PRRT.
In spite of the potential toxicity of therapies with α-emitting isotopes, a therapeutic window of 225Ac-DOTATOC was shown in a tumor model. As expected from the physical properties of the α-generator nuclide, the beneficial effect(s) of 225Ac-DOTATOC over 177Lu-DOTATOC was shown. However, when translating the results to a clinical situation, several possible improvements for the therapy, which are beyond the scope of this study, have to be taken into account. Several methods have been described to decrease renal toxicity both from 225Ac decay in the kidneys that occurs due to the fraction of peptide that is reabsorbed in the proximal tubules and due to the 225Ac daughter nuclides from 225Ac decay, mainly in the bloodstream, which relocate specifically to the kidneys. Renal protection with co-infusion of amino acids is an effective approach to block peptide reabsorption in the proximal tubules, which significantly diminishes the radiation dose to the kidneys for other somatostatin receptor radiotherapies (17). Renal protection from the accumulation of 225Ac daughter nuclides can be achieved by the application of chelating agents such as 2,3-dimercapto-1-propanesulfonic acid or meso-2,3-dimercaptosuccinic acid and by diuresis with either furosemide or chlorothiazide (18). Additionally, renal protection with low-dose spironolactone, and to a lesser extent, angiotensin receptor-1 blockade, offered renal protection in a mouse model (19). In a clinical situation, depending on tumor load and its somatostatin receptor expression level, the kidney dose might also be reduced when large tumor target-sinks retain a fraction of the radioisotope-peptide conjugate and thus diminish the amount of radiopeptide secreted by the kidney. Therefore, additional tests should be done to understand how the toxicity of 225Ac-DOTATOC could be further reduced.
Based on our results, we conclude that further studies to assess the efficacy of 225Ac-DOTATOC in the treatment of neuroendocrine tumors is justified and may lead to the development of more efficient treatment strategies.
Disclosure of Potential Conflicts of Interest
No potential conflicts of interest were disclosed.
Grant support: Deutsche Forschungsgemeinschaft (MI 946/1-1).
The costs of publication of this article were defrayed in part by the payment of page charges. This article must therefore be hereby marked advertisement in accordance with 18 U.S.C. Section 1734 solely to indicate this fact.
Acknowledgments
The Actinium-225 used here was a gift from Actinium Pharmaceuticals, Inc. (Florham Park, NJ) and is cordially acknowledged.





