Abstract
Purpose: NY-ESO-1 and LAGE-1 are homologous cancer-testis antigens, which are expressed in many different cancers. It is essential to type tumors accurately to assess patient suitability for clinical trials which target these. This study evaluates typing strategies used to distinguish these two homologous but distinct antigens and to characterize and quantitate expression of each in clinical samples.
Experimental Design: We typed 120 malignant melanomas for the expression of NY-ESO-1 and LAGE-1 with immunohistochemistry, reverse transcription-PCR (RT-PCR), and quantitative real-time (qRT-PCR), which was also used to explore the relationship between NY-ESO-1 and LAGE expression.
Results: The two monoclonal antibodies ES121 and E978 had very similar immunohistochemistry reactivities. Both were specific for NY-ESO-1 because neither bound to homologous LAGE-1 peptides despite 84% overall amino acid homology. Of 120 melanomas tested by immunohistochemistry, NY-ESO-1 was expressed in >50% of cells in 23 melanomas (19%), between 11 and 50% cells in 15 (12.5%), <11% cells in 16 (13.5%), and negative in 66 (55%). Although specific for both antigens, the PCR methods did not provide this information about microheterogeneity. Polymorphisms in the LAGE-1 gene resulted in false negative LAGE-1 typing by qRT-PCR by inhibiting binding of oligonucleotide primers, thereby showing the exquisite specificity of qRT-PCR as a typing method.
Conclusions: For NY-ESO-1 typing, immunohistochemistry compared favorably with the RT-PCR, with the added advantage of being able to characterize heterogeneity of antigen expression. Because neither mAb bound LAGE and because there was no coordinate expression LAGE and NY-ESO-1, separate typing for each is required.
INTRODUCTION
To optimize vaccination approaches for cancer, it is important to understand those factors that contribute to the success or failure of a vaccine. This includes understanding antigen distribution and the strengths and weaknesses of the tools available for measuring these antigens.
NY-ESO-1 is a cancer-testis antigen expressed in 20 to 70% of common cancers, including malignant melanoma (34%; ref. 1), bladder (32 to 80%; refs. 2, 3), lung (21%; ref. 3), and rarer cancers such as synovial cell sarcoma (80%; ref. 4). Initial immunohistochemical studies with the monoclonal antibody (mAb) ES121 have shown that tumors may express NY-ESO-1 heterogeneously. Expression can range from relatively few cells in the tumor to homogeneous expression in all cancer cells, when typed with this antibody (5).
More recently, a highly homologous antigen called LAGE-1 has been previously described (6, 7), and because of homologies at both the mRNA and protein level, there is the potential for cross detection with molecular methods and antibodies against NY-ESO-1.
NY-ESO-1 was identified by a SEREX (serological analysis of tumor antigens by recombinant expression cloning) screen of an esophageal carcinoma (1). NY-ESO-1 shows a pattern of expression typical of cancer-testis antigens, which are present in various histologic types of tumors but not in any normal adult tissues, except spermatogonia (5). LAGE-1 was defined by representational difference analysis and has significant DNA and amino acid homology with NY-ESO-1. Both genes map to chromosome Xq28 and the fully spliced mRNAs share 84% homology (6). Their biological function is unknown. There are two known splice variants of the LAGE-1 antigen, “LAGE long” and “LAGE short” (6), and both the NY-ESO-1 and LAGE-1 genes are able to use an alternative open reading frame (8, 9). Both humoral and cellular responses to NY-ESO-1 have been described in patients with NY-ESO-1–positive tumors (10, 11), and a number of HLA class I-restricted epitopes have been identified (11, 12). More recently, a number of MHC class II epitopes have been described (13, 14, 15, 16, 17, 18, 19, 20). NY-ESO-1 is therefore an attractive target for immunotherapeutic protocols and is the basis of several cancer vaccine clinical trials reported (19, 20, 21, 22) or currently in progress. In addition, HLA-A2–restricted antigenic peptides have been identified from LAGE-1 and alternative putative proteins. CTLs, specific for these epitopes, have been found (8, 9).
When evaluating patients as candidates for vaccine therapy, it is important to characterize accurately NY-ESO-1 expression in their tumors and to distinguish between reactivity for NY-ESO-1 and LAGE-1. This is particularly so if immune responses to nonshared epitopes are found to be clinically important. To establish the optimal methods for typing, comparisons of three independent assays for NY-ESO-1 and LAGE-1 were done: (a) immunohistochemical typing with two mAbs that bind NY-ESO-1 in paraffin-embedded tissue; (b) reverse transcription-PCR (RT-PCR); and (c) quantitative real-time (qRT-PCR) for each antigen. Here, we report the comprehensive analysis of these antigens in 120 malignant melanomas with these methods.
MATERIALS AND METHODS
Tumor Samples and Cell Lines.
Tumor samples were collected from patients with melanoma with their informed consent and either snap frozen in liquid nitrogen and stored at −70°C for RNA extraction, or formalin-fixed and paraffin-embedded tissue sections were cut for immunohistochemistry. The melanoma cell line SK-MEL-37 was provided by the Ludwig Institute for Cancer Research (LICR), New York Branch. Protocols were approved by the Human Research Ethics Committee, Austin Health, Melbourne, Australia.
Antibodies.
Two anti–NY-ESO-1 mAbs, E978 and ES121, were compared for reactivity by immunohistochemistry. The generation of these reagents was reported previously (5). Mice were immunized with NY-ESO-1 fusion protein, and E978 (IgG1) was generated with bacterially synthesized full-length NY-ESO-1 protein of 180 amino acids and mAb ES121 (IgG1) with a truncated protein, which lacked the first 10 amino acids. ES121 cotypes with another NY-ESO-1–specific mAb B9.8 (23). Fig. 1 shows sequences of NY-ESO-1 and LAGE-1, including the protein translation and reported binding sites of the two antibodies (E. Stockert, LICR, New York Branch).5
Immunohistochemistry.
Paraffin-embedded sections were stained with E978 at a concentration of 3 μg/mL, and binding was detected with either a peroxidase-labeled streptavidin biotin-based assay (LSAB2 kit from Dako Corp., Carpinteria, CA) or a Vectastain Elite universal ABC kit (Vector Laboratories, Burlingame, CA), and 3-amino-9-ethyl-carbazole (Sigma-Aldrich, St. Louis, MO) was used as the chromogen. ES121 mAb was used at 9.4 μg/mL and as described previously (5). No antibodies for LAGE-1 were available. For each antibody one section was studied per tumor. Negative and positive controls were always included. These were as follows: omission of the primary antibody and inclusion of a known NY-ESO-1–positive tumor, respectively. Slides were scored by eye as a percentage of tumor cells staining for NY-ESO-1 and assigned to one of four groups: A (>50% cells staining); B (11 to 50% of cells staining); C < 11% of cells staining; and D (no staining).
Peptide ELISA.
Peptides (Auspep Pty. Ltd., Parkville, Australia) NY-ESO-1: AA 73–90; NGCCRCGARGPESRLLEF and AA 91–108: YLAMPFATMEAELARRS; LAGE-1: AA 73–90: DGRCPCGARRPDSRLLQL and AA 91–108: HITMPFSSPMEAELVRRI, or NY-ESO-1 whole protein (Dr. Roger Murphy, LICR, Melbourne, Australia) were dissolved at 1 or 8.83 μg/mL, respectively, at equal molar concentrations, in 0.05 mol/L carbonate buffer (pH 9.6), added to the wells of Nunc ELISA plates (Nalge Nunc International, Roskilde, Denmark), and incubated overnight at 4°C under humidifying conditions. Nonspecific binding sites were blocked with 2% BSA in PBS for 2 hours at 20°C. After washing with PBS, anti-NY-ESO-1 mAb or CD3 mAb (mouse antihuman IgG1 antibody, clone UCHT1, PharMingen, San Diego, CA) was added and incubated for 2 hours at room temperature. The plates were washed again and incubated for 1 hour at room temperature and for 1 hour with chicken antimouse IgG conjugated to alkaline phosphatase (Chemicon International, Temecula, CA). Finally, p-nitrophenyl phosphate (Sigma-Aldrich) in 0.05 mol/L carbonate buffer (pH 9.6) and 0.02% MgCl2 were used as a substrate, and color development was measured at A405 nm.
RNA Extraction and cDNA Synthesis.
Total RNA was isolated from frozen melanoma tumor tissue or cultured melanoma cell lines, with a modification of an established method (24). Briefly tissue was homogenized in TRI reagent (Sigma-Aldrich), extracted with phenol, and the RNA precipitated with isopropanol. Alternatively, RNA was prepared with a Qiagen RNeasy kit (Qiagen, Hilden, Germany). Conventional RT-PCR was used to determine the tissue distribution of NY-ESO-1 and LAGE-1. Two μg of total RNA were used to synthesize cDNA in a 20-μL reaction, with 1 μg of random hexamers (Promega, Madison, WI), 1 mmol/L deoxynucleoside triphosphates (Applied Biosystems, Foster City, CA), 40 units of RNase inhibitor (Promega), and 10 units Moloney murine leukemia virus reverse transcriptase (Invitrogen, Carlsbad, CA) for 60 minutes at 42°C.
DNA Sequencing.
RT-PCR products were cut from agarose gels and the DNA purified with Qiagen gel extraction kits and sequenced with an ABI Prism 7700 DNA sequencer (Applied Biosystems). Sequencing primers were obtained from Sigma-Genosys (Castle Hill, New South Wales, Australia.)
NY-ESO-1 and LAGE-1 Plasmids.
The NY-ESO-1 plasmid was provided by Yao-Tseng Chen (LICR, New York Branch). For the LAGE-1 plasmid, a RT-PCR product was amplified from the melanoma cell line SK-MEL-37, with the LAGE-1 RT-PCR primers (LAGE-1A and LAGE-1B) and cloned into pBluescript-KS with a TOPO A cloning kit (Invitrogen). Plasmid preparations were made with Qiagen kits, and the DNA sequence of both inserts was confirmed by DNA sequence analysis. Plasmid DNA was used for standard curve production in the qRT-PCR assays for the quantitation of mRNA copy number in melanoma tissue.
RT-PCR.
One μL of cDNA (100 ng of total RNA) was used in each 25-μL reaction, final concentration 2 mmol/L MgCl2, 0.2 mmol/L deoxynucleoside triphosphates (Applied Biosystems), 0.625 units of Amplitaq Gold DNA polymerase (Applied Biosystems) and 2 ng of primers (Sigma-Genosys). Primer sequences were as follows: ESO 1A (forward), 5′-atggatactgagatgc-3′; ESO 1B (reverse), 5′-gcttagcgcctctgcc-3′; LAGE 1A (forward), 5′-ctgcgcaggatggaaggtgcccc-3′; and LAGE 1B (reverse), 5′-ggcttagcgctctgccctg-3′. The binding sites of ESO 1A and LAGE 1A forward primers are shown in Fig. 1. (The binding sites of the reverse primers are not shown because they fall in the DNA sequence that is identical for NY-ESO-1 and LAGE-1, and this is not shown in the figure). PCR comprised 35 cycles (94°C for 1 minute, 60°C (NY-ESO-1) or 64°C (LAGE-1; 1 minute) and 72°C (1 minute) and a final primer extension at 72°C (6 minutes).
qRT-PCR.
To quantitate the copy number of mRNA of the genes NY-ESO-1 and LAGE-1, qRT-PCR was done with a Taqman 7700 (Applied Biosystems; ref. 25). cDNA was synthesized as above. One μL of cDNA (equivalent to 100 ng of total RNA) served as a template, and the PCR was set up according to the manufacturer’s instructions. Probes and primers were designed across intron/exon boundaries, where possible, to distinguish amplified genomic DNA. Primer and probe sequences are as follows: NY-ESO-1 primer 1 (forward), 5′-tgcttgagttctacctgcca-3′; NY-ESO-1 primer 2 (reverse), 5′-tatgttgccggacacagtgaa-3′; NY-ESO-1 probe, FAM-aggatgccccaccgcttccc-TAMRA; LAGE-1 primer 1 (forward), 5′-gcctgcttcagttgcacatc-3′; LAGE-1 primer 2 (reverse), 5′-cggaccagctccgcttc-3′; and LAGE-1 probe, FAM-cgatgcctttctcgtc-TAMRA. The binding sites of these are shown in Fig. 1. A multiplex PCR was set up with the housekeeping gene β-actin to normalize the cDNA samples. It was first determined that the expression of β-actin was consistent in samples of measured amounts of cDNA amplified from 10 different melanoma tissues. Copy numbers of NY-ESO-1 and LAGE-1 were calculated from standard curves of the relevant plasmid and expressed per 105 copies of the housekeeping gene β-actin in 100 ng of total RNA. The cycle threshold (Ct) value is defined as the PCR cycle at which a product begins to be amplified, thus the lower the Ct value, the higher the initial copy number.
RESULTS
Comparison of Monoclonal Antibodies ES121 and E978 in Immunohistochemical Examination of Malignant Melanoma
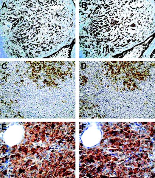
The anti–NY-ESO-1 mAb ES121 has been described previously (5). To validate results obtained with mAb E978, the two were compared for the detection of NY-ESO-1 in paraffin-embedded tissue (Table 1). Forty melanomas were compared with both mAbs, and staining was categorized as described in Materials and Methods. For ES121, five were in group A (>50% cells staining), seven were in group B (11 to 50% cells staining), five were in group C (<11% cells staining), and twenty-three were in group D (no staining) compared with seven, nine, five, and nineteen, respectively, for E978. In four of the tumors that were positive for E978 but did not bind E121, staining was weak, and the proportion of positive cells was small. In one sample that showed no staining with the ES121, staining with E978 was intermediate. For all of the remaining cases, staining patterns were similar. In some, when adjacent sections were compared with both antibodies, the same regions stained; however, staining with ES121 was less intense and tended to stain fewer cells. In general, the mAbs showed similar staining patterns in tumors that had either high levels (Fig. 2, A and B) or heterogeneous expression (Fig. 2, C and D) of NY-ESO-1, and this was independent of magnification (Fig. 2, C–F). On the basis of these results, E978 was used for all additional evaluations described here.
Reactivity of Antibody E978 on NY-ESO-1 and LAGE-1 Peptides by ELISA
The NY-ESO-1 epitopes recognized by mAbs ES121 and E978 have previously been mapped to amino acids 73–90 and 91–108, respectively (E. Stockert, LICR, New York Branch; Fig. 1).6 Both of these regions have 62% amino acid identity with the LAGE-1 antigen, which differs by seven amino acids in each of these 18 amino acid peptides. Consequently, it was uncertain whether either mAb was capable of binding LAGE-1. To evaluate this, synthetic peptides for the NY-ESO-1 and LAGE-1 sequences were used in ELISA assays. In both cases, mAb bound well to NY-ESO-1 protein and the respective peptides E978: NY-ESO-173–90 and ES121: NY-ESO-191–108 (data not shown). In contrast, neither bound to the LAGE-1 peptides at concentrations of ≤1 μg/mL. Although LAGE-1 protein was not available for specific testing, on the basis of these studies, neither antibody appears to be capable of binding to these epitopes when presented as peptides. The isotype control mAb to CD3 did not bind to any of the antigens tested (data not shown).
Validation of NY-ESO-1 and LAGE-1 RT-PCR Products
RT-PCR.
The specificity of each set of oligonucleotide primers was evaluated by conventional RT-PCR and qRT-PCR with two plasmids containing either NY-ESO-1 (Fig. 3,A) or LAGE-1 (Fig. 3,B) cDNA as templates. The NY-ESO-1 primers amplified a single product from the NY-ESO-1 plasmid, but no product was obtained from the LAGE-1 plasmid (Fig. 3,A). These products were of the expected size (330 bp; Figs. 1 and 3,A). The LAGE-1 primer set amplified a single product from the LAGE-1 plasmid of the correct size (358 bp). However, at a high copy number of NY-ESO-1 plasmid (108 copies, but not ≤107), the LAGE-1 primers did amplify weakly a slightly higher product (∼400 bp; Fig. 3,B). This high copy number exceeds that seen in any of the clinical samples and is therefore unlikely to confound antigen analysis. In contrast, RT-PCR for NY-ESO-1 was highly specific. These primer sets were then used to amplify cDNA derived from the melanoma cell line SK-MEL-37, which expresses both NY-ESO-1 and LAGE-1. Both primer sets amplified products of the expected size (Fig. 3, A and B) with an additional higher band (∼550 bp) amplified with the LAGE primers. The DNA sequences of each product were confirmed by sequence analysis and found to be to be identical to the published sequences of NY-ESO-1 and LAGE-1, respectively. The higher band from SK-MEL 37 was confirmed to be the LAGE long variant.
qRT-PCR.
Unique primers and probes designed for qRT-PCR of NY-ESO-1 and LAGE-1 were tested on the NY-ESO-1 and the LAGE-1 plasmids. Fig. 3, C and D, shows the cycle threshold (Ct) values obtained on known copy numbers of the plasmids. In contrast to the primers used for conventional RT-PCR, the qRT-PCR reagents were found to be absolutely specific for their respective cDNA (Fig. 3, C and D)
Analysis of Clinical Malignant Melanoma Samples.
A total of 120 samples was tested by RT-PCR. One was a primary tumor, the remainder were metastases that had been resected from lymph node (n = 48), skin/subcutaneous sites (n = 46), lung (n = 6), brain (n = 2), liver (n = 3), bowel (n = 5), and other sites (n = 9). Of these tumors, 11 were solely positive for NY-ESO-1 by RT-PCR, 15 were solely positive for LAGE-1, and 37 were positive for both (Table 2 A). In addition, a low abundance cDNA band was detected in some patient samples (∼550 bp). Sequence analysis confirmed that this was a previously described splice variant LAGE-11 (26).
Reactivity of Antibody E978 on NY-ESO-1 and LAGE-1 Proteins by Immunohistochemistry.
To assess the specificity of the mAb E978 for NY-ESO-1 and LAGE-1, 120 melanomas were immunostained with E978 (Table 2,A). Tumors were characterized by the two RT-PCR methods and were characterized as being positive or negative for NY-ESO-1 and LAGE-1. Antibody staining was then evaluated for each of the four combinations: NY-ESO-1+/LAGE-1−, NY-ESO-1+/LAGE-1−, NY-ESO-1−/LAGE-1+, and NY-ESO-1−/LAGE-1−. Of the 120 tumors which were PCR +ve for NY-ESO-1, 48 stained with E978. Fifty were positive by qRT-PRC and of these 43 stained with E978, so there was good correlation between both of these molecular methods and antibody staining (Table 2,A). Thirty-seven samples expressed both antigens by RT-PCR, and of these, 33 (89%) bound E978. Interestingly, of the 57 tumors that were negative for both NY-ESO-1 and LAGE-1, 9 (16%) nonetheless bound E978. Of these, six contained only a very low percentage of cells that were E978 positive (group C, <11% cells staining), and the remaining three were in group B (11 to 50% cells staining). To assess the possibility that E978 might bind to LAGE-1, staining was examined in the 15 tumors that typed negative for NY-ESO-1 and positive for LAGE-1. Of these, two (13%) showed immunostaining, suggesting possible cross-reactivity or alternatively binding to some as yet undefined antigen. Table 2 A also shows a parallel analysis done with qRT-PCR to assess antigen expression. All tumors containing >25 copies mRNA were deemed to be positive for antigen expression because above this copy number assays were reproducible. For reasons discussed below, qRT-PCR analysis resulted in fewer LAGE+ tumors, so the numbers in each of the four categories differed. Nonetheless, the trends were the same. None of the 10 tumors that were positive for LAGE but negative for NY-ESO-1 by qRT-PCR stained with E978. Nonetheless, 11 (18%) of tumors that were negative for both antigens bound the antibody.
Comparison of Each Method for Quantitation of NY-ESO-1 Expression in Tumor Tissues: Immunohistochemistry, RT-PCR, and qRT-PCR.
Melanoma tissue sections that bound the antibody E978 were arbitrarily categorized depending on the extent of staining: (a) group A, tumor contained >50% melanoma cells staining positive for NY-ESO-1; (b) group B, 11 to 50% positive cells; and (c) group C, 1 to 10% positive cells. To evaluate the correlation between immunohistochemistry and the two PCR-based methods, tumors categorized on this basis were assessed by both methods. Table 2 shows the relationship between RT-PCR and immunohistochemistry. The amount of the amplified product was categorized according to the intensity of the band seen on ethidium bromide-stained gels. Of the 120 tumors, 54 stained with E978. Among the 66 that were negative by immunohistochemistry, 5 were positive for NY-ESO-1 gene expression by conventional RT-PCR. Four of these were also positive by qRT-PCR, but copy numbers were low (ranging between 32 and 94 copies). Among the NY-ESO-1 group A tumors (n = 23), there were no major discrepancies between immunohistochemistry and qRT-PCR, although the range of copy numbers was large (137 to 17,717). The largest number of discrepancies was found in tissues that were classified as having 11 to 50% positive staining cells or <11% cells staining by immunohistochemistry. Of the 15 tumors that stained between 11 and 50% of cells, 4 were negative by RT-PCR. Of the 16 tumors in which <11% cells stained with E978, 2 samples were clearly inconsistent by RT-PCR, yielding strong bands and 7853 and 5646 copies, respectively, by qRT-PCR. The likely explanation for these discrepancies was that samples were isolated from different parts of tumors in which NY-ESO-1 was heterogeneously expressed.
All samples were also analyzed by qRT-PCR with primers and probes specific for each antigen. The relationship between NY-ESO-1 mRNA copy number and immunohistochemistry staining pattern is shown in Fig. 4 A. In general, there was a good agreement between the two methods, although the range of copy numbers was wide: for group A (>50% cells staining) tumors (n = 23, 19%), the median was 1,524 (range, 190 to 17,717); for group B (11 to 50% cells staining; n = 15, 12.5%) had a median copy number of 71 (range, 3 to 2,146); for group C (<11% cells staining; n = 16, 13.5%) had a median copy number of 35.5, range (1 to 7,853); and group D (n = 66, 55%) had a median copy number of 3 (range, 0 to 94).
Five of the 120 samples were positive for LAGE-1 by RT-PCR but negative for LAGE-1 by qRT-PCR. To investigate this discrepancy additionally, the amplified product was sequenced on each occasion. This revealed two previously observed single base substitutions in the LAGE-1 cDNA sequence (ref. 6; Fig. 1). The first was in exon 1 in the binding site of the forward LAGE-1 qRT-PCR primer. Here, a single base substitution of a guanine results in an amino acid substitution of glutamine to glutamic acid at residue 89, within the peptide epitope of the E978 antibody. The other base substitution detected is within exon 2 where a thymine (present in the LAGE-1 sequence) becomes a guanine (the base at this location in NY-ESO-1). This is a silent substitution and does not result in any amino acid change and does not involve the binding sites of either the LAGE-1 primers or probes (Fig. 1). A third reported substitution (6), which leads to an amino acid change at residue 6, does not occur within the DNA region amplified by of any of the RT-PCR primers and so was not detected in this study.
Quantitation of mRNA for NY-ESO-1 and LAGE-1: Relationship between Copy Number of Each Antigen.
Because both antigens were commonly co-expressed, we investigated whether there was a relationship between mRNA copy number, which might suggest that a common mechanism underlay expression of each. Fig. 4 B shows the correlation based on copy number (r = 0.0063). There was no correlation, indicating that any regulatory mechanisms for expression of these antigens are independent of each other.
DISCUSSION
For cancer clinical trials that target defined antigens, typing criteria are required for patient selection. The presence, absence or distribution of the target antigen(s) may have important impact on the success of a vaccine, so detailed knowledge about expression of these molecules may be critical. The purpose of this study was to evaluate immunohistochemistry and molecular methods for typing the homologous cancer-testis antigens NY-ESO-1 and LAGE-1 with two different mAbs and two RT-PCR–based methods. This study is the first comprehensive comparison of methods used for typing tumors for these commonly expressed cancer antigens. We have detailed a new mAb against NY-ESO-1, E978, and have characterized the advantages and limitations of each of the methods described here. Furthermore, we have been able to characterize the patterns of antigen distribution in melanoma and the relationship between the expression of these two antigens.
For the detection of NY-ESO-1, mAb E978 appears to be more sensitive than a previously described antibody ES121, although both antibodies showed very similar patterns of immunoreactivity in positive tumors (Table 1). This greater sensitivity established E978 as our preferred antibody for subsequent studies. NY-ESO-1 and LAGE-1 share >80% homology at the amino acid level, with the resultant potential for cross-recognition of epitopes recognized by antibodies (and T cells). Consequently, it was important to determine whether cross-recognition also occurred with these typing methods. The potential for immunoreactivity of E978 with LAGE-1 was therefore explored.
As seen in Table 2,A and Fig. 4,B, NY-ESO-1 and LAGE-1 were not consistently co-expressed, so it was possible to identify tumors expressing LAGE-1 but not NY-ESO-1 mRNA and evaluate the reactivity of E978 on these. Of the 15 such tumors, antibody staining was not seen, except in 2 that were in groups B and C (fewer than 50% of cells stained positive; Table 2 A). Furthermore, peptide binding studies (data not shown) with ELISA showed that both antibodies were specific for NY-ESO-1 peptides and were incapable of binding to the corresponding LAGE-1 peptides, indicating that neither was suitable for detection of LAGE-1. Thus, until LAGE-1 specific antibodies become available, RT-PCR–based methods are required for the detection of LAGE-1.
These molecular methods proved to be reliable and specific with several caveats: (a) when NY-ESO-1 plasmid DNA was present at high copy number (≥108 copies/105 copies of β-actin in 100 ng of RNA), some nonspecific amplification by the LAGE-1 primers occurred (Fig. 3). Because none of the tumors studied here had >106 copies of NY-ESO-1 mRNA, this is unlikely to be a practical problem. (b) The qRT-PCR assay detected LAGE-1 with greater stringency; however, polymorphisms in the LAGE-1 gene resulted in some false negative results and confounded this analysis in some patients.
Having characterized E978, it was then important to compare this antibody with the PCR-based methods. As shown in Table 2,B, the concordance between the results obtained with the immunohistochemistry and RT-PCR assays for NY-ESO-1 was high, particularly in the tumor group that had high levels of NY-ESO-1 expression. Of the 48 samples that were positive by RT-PCR, most were also positive by immunohistochemistry; however, 5 (9%) were negative. These all had low copy numbers (<94) of NY-ESO-1, and mRNA positivity probably reflects the greater sensitivity, which is conferred by the amplification of PCR. Discrepancies in the results may also reflect sampling methods. Table 2,A shows that 11 tumors that stained positive for NY-ESO-1 by immunohistochemistry were negative by conventional RT-PCR or qRT-PCR, respectively. As seen in Fig. 2, antigen expression can be focal, and it was not always feasible to extract RNA and prepare tissue sections from identical parts of the tumor sample. This may also account for the mismatch between results by each method.
For the purpose of quantitation, the qRT-PCR assay provided helpful information about mRNA copy number, and these correlated well with four arbitrary categories of NY-ESO-1 expression as defined by immunohistochemistry. Clearly the RT-PCR–based methods cannot provide information about the heterogeneity of antigen distribution in these tissues or reflect the expression level of tumor antigens in individual cells. It may therefore be desirable to use both immunohistochemistry and qRT-PCR to obtain information about both expression level and antigen distribution.
On a tumor-by-tumor basis, it was clear that NY-ESO-1 and LAGE-1 were not consistently co-expressed. Although they were both present in 31% (37 of 120) of samples as shown by RT-PCR or 30 as shown by qRT-PCR (Table 2,A, Fig. 4 B), many tumors expressed one or other but not both. Because these antigens can share epitopes, the question arises whether it is really necessary to type for both antigens. This is likely to depend on whether the immunodominant epitopes lie within shared or dissimilar regions of the proteins. Presently, the mapping of NY-ESO-1 and LAGE-1 epitopes is not complete, and very little is known about immunodominance patterns among these epitopes. Nonetheless, for some stretches of the NY-ESO-1 molecule (e.g., amino acids 165–177), several epitopes are known to exist and homology with LAGE-1 is high. If these turn out to be critical, the presence of either antigen could make a tumor susceptible to killing after vaccination with either one of these antigens. If other less homologous parts of the molecule turn out to be important, it may be more relevant to know precisely which antigen is present.
Because neither the PCR primers nor the antibodies that were used to detect NY-ESO-1 were reliable for detection of LAGE-1, it is clear that antigen-specific reagents would then be required for the confident detection of each antigen.
Lastly, the relationship between clinical outcomes after vaccination and the level of antigen expression needs to be considered. Antigen expression level is important because it may correlate with the likelihood of anticancer responses after successful vaccination. At present, little is known about the impact on clinical response rates when considering the level of antigen expression or the distribution of antigen throughout a tumor. This needs to be studied prospectively in clinical trials where antigen expression is well documented and where robust immune responses are induced, thus making it possible to prospectively evaluate any relationship between antigen expression and clinical benefit. Until these studies are done, it is too early to use these methods to include or rule out patients from participation in a clinical trial.
In vitro studies of tumor cell lines show that the level of protein expression in a tumor cell may influence the ability of a CTL to kill its target (27, 28). This has been assessed for MAGE-1 where it was estimated that only cells expressing >10% of MAGE-1 mRNA level of the reference cell line MZ2-MEL.3.0 were susceptible to cell lysis by CTLs. In a more recent study with a more accurate method of quantitation (28), expression levels of several melanoma antigens, including NY-ESO-1, were analyzed by real-time qRT-PCR on 12 melanoma cell lines. The levels of these transcripts were found to be extremely variable among the cell lines tested. A threshold level of ∼500 mRNA copies per 108 copies of rRNA for gp-100 was found to be necessary for T-cell stimulation and target cell killing (27). However, any rules governing antigen expression and CTL killing are not yet fully understood and may well vary with each separate antigen or epitope. Evaluation of the role of antigen dose in vivo has not been reported, and because many variables can potentially affect the net clinical outcome after vaccination, finding a reliable antigen threshold as an entry criterion for clinical trials is unlikely to be easy. Nonetheless, qRT-PCR appears to be a very useful technique for assessing this. It is highly specific and gives quantitative data, even if not at the level of an individual cell. Assessment by immunohistochemistry provides additional information about cellular distribution.
Prospective evaluation of and comparisons to clinical outcomes are required, and both methods will need to be applied in these studies. The methods described here provide a basis for such assessments in the clinical setting.
DNA and translated protein sequence of the variable part of the NY-ESO-1 and LAGE-1 mRNA: (dotted line) identical oligonucleotide sequence; (dashed lines) identical amino acid sequence; RT-PCR primer binding sites (→); qRT-PCR primer (
▸) and probe (solid line) binding sites; NY-ESO-173–90 epitope, which binds E978
, or NY-ESO-191–108, which binds ES121 ▪ polymorphisms in LAGE-1 DNA and/or protein sequence
.
DNA and translated protein sequence of the variable part of the NY-ESO-1 and LAGE-1 mRNA: (dotted line) identical oligonucleotide sequence; (dashed lines) identical amino acid sequence; RT-PCR primer binding sites (→); qRT-PCR primer (
▸) and probe (solid line) binding sites; NY-ESO-173–90 epitope, which binds E978
, or NY-ESO-191–108, which binds ES121 ▪ polymorphisms in LAGE-1 DNA and/or protein sequence
.
Comparison of reactivity of two anti–NY-ESO-1 mAbs; ES978 (A, C, and E) and ES121 (B, D, and F) on melanoma tissue tested by immunohistochemistry.
Comparison of reactivity of two anti–NY-ESO-1 mAbs; ES978 (A, C, and E) and ES121 (B, D, and F) on melanoma tissue tested by immunohistochemistry.
Validation of RT-PCR and qRT-PCR for NY-ESO-1 and LAGE-1. RT-PCR on NY-ESO-1 and LAGE-1 plasmids and SK-MEL 37 melanoma cell line with NY-ESO-1 primers (A) and LAGE-1 primers (B). Ct values obtained by qRT-PCR on NY-ESO-1and LAGE-1 plasmids with NY-ESO-1 primers and probe (C) and LAGE-1 primers and probe (D).
Validation of RT-PCR and qRT-PCR for NY-ESO-1 and LAGE-1. RT-PCR on NY-ESO-1 and LAGE-1 plasmids and SK-MEL 37 melanoma cell line with NY-ESO-1 primers (A) and LAGE-1 primers (B). Ct values obtained by qRT-PCR on NY-ESO-1and LAGE-1 plasmids with NY-ESO-1 primers and probe (C) and LAGE-1 primers and probe (D).
Antigen distribution. A, relationship between copy number by qRT-PCR and extent of expression of NY-ESO-1 defined by immunohistochemistry (IHC). Shown are the range, median, and 75th and 25th percentiles for mRNA copy number of NY-ESO-1 in each group. The dotted line (25 copies) represents the level above which the qRT-PCR assay was deemed positive. B, relationship between NY-ESO-1 and LAGE-1 mRNA copy number. The hatched box contains those samples that were negative (<26 copies/106 copies of β-actin/100 ng RNA). R2 = 0.0063.
Antigen distribution. A, relationship between copy number by qRT-PCR and extent of expression of NY-ESO-1 defined by immunohistochemistry (IHC). Shown are the range, median, and 75th and 25th percentiles for mRNA copy number of NY-ESO-1 in each group. The dotted line (25 copies) represents the level above which the qRT-PCR assay was deemed positive. B, relationship between NY-ESO-1 and LAGE-1 mRNA copy number. The hatched box contains those samples that were negative (<26 copies/106 copies of β-actin/100 ng RNA). R2 = 0.0063.
Grant support: This project was wholly supported by the Ludwig Institute for Cancer Research.
The costs of publication of this article were defrayed in part by the payment of page charges. This article must therefore be hereby marked advertisement in accordance with 18 U.S.C. Section 1734 solely to indicate this fact.
Requests for reprints: Jonathan Cebon, Ludwig Oncology Unit, Austin Health, Studley Road, Heidelberg VIC 3084, Australia. Fax: 61-3-9457-6698; E-mail: jonathan.Cebon@ludwig.edu.au
Unpublished data.
Unpublished data.
Comparison of mAbs ES121 and E978
| Tumor . | RT-PCR . | % cells positive . | . | |
|---|---|---|---|---|
| . | . | mAb E121 . | mAb E978 . | |
| 1 | Negative | 0 | 0 | |
| 2 | Positive | 1–10 | 1–10 | |
| 3 | Positive | 11–50 | 11–50 | |
| 4 | Positive | >50 | >50 | |
| 5 | Positive | 0 | 1–10 | |
| 6 | Positive | 11–50 | 11–50 | |
| 7 | Positive | 0 | 1–10 | |
| 8 | Positive | 11–50 | 11–50 | |
| 9 | Positive | 11–50 | 11–50 | |
| 10 | Negative | 0 | 11–50 | |
| 11 | Negative | 0 | 0 | |
| 12 | Negative | 1–10 | 1–10 | |
| 13 | Positive | 0 | 11–50 * | |
| 14 | Positive | >50 | >50 | |
| 15 | Positive | >50 | >50 | |
| 16 | Positive | >50 | >50 | |
| 17 | Negative | 0 | 0 | |
| 18 | Positive | 1–10 | 1–10 | |
| 19 | Negative | 0 | 0 | |
| 20 | Positive | 1–10 | 11–50 | |
| 21 | Negative | 0 | 0 | |
| 22 | Negative | 0 | 0 | |
| 23 | Positive | 11–50 | 11–50 | |
| 24 | Negative | 0 | 0 | |
| 25 | Negative | 0 | 0 | |
| 26 | Positive | 11–50 | >50 | |
| 27 | Negative | 0 | 0 | |
| 28 | Positive | 1–10 | 11–50 | |
| 29 | Negative | 0 | 0 | |
| 30 | Negative | 0 | 0 | |
| 31 | Negative | 0 | 0 | |
| 32 | Negative | 0 | 0 | |
| 33 | Negative | 0 | 0 | |
| 34 | Negative | 0 | 0 | |
| 35 | Positive | 11–50 | >50 | |
| 36 | Negative | 0 | 0 | |
| 37 | Negative | 0 | 0 | |
| 38 | Negative | 0 | 0 | |
| 39 | Negative | 0 | 0 | |
| 40 | Positive | >50 | >50 | |
| Tumor . | RT-PCR . | % cells positive . | . | |
|---|---|---|---|---|
| . | . | mAb E121 . | mAb E978 . | |
| 1 | Negative | 0 | 0 | |
| 2 | Positive | 1–10 | 1–10 | |
| 3 | Positive | 11–50 | 11–50 | |
| 4 | Positive | >50 | >50 | |
| 5 | Positive | 0 | 1–10 | |
| 6 | Positive | 11–50 | 11–50 | |
| 7 | Positive | 0 | 1–10 | |
| 8 | Positive | 11–50 | 11–50 | |
| 9 | Positive | 11–50 | 11–50 | |
| 10 | Negative | 0 | 11–50 | |
| 11 | Negative | 0 | 0 | |
| 12 | Negative | 1–10 | 1–10 | |
| 13 | Positive | 0 | 11–50 * | |
| 14 | Positive | >50 | >50 | |
| 15 | Positive | >50 | >50 | |
| 16 | Positive | >50 | >50 | |
| 17 | Negative | 0 | 0 | |
| 18 | Positive | 1–10 | 1–10 | |
| 19 | Negative | 0 | 0 | |
| 20 | Positive | 1–10 | 11–50 | |
| 21 | Negative | 0 | 0 | |
| 22 | Negative | 0 | 0 | |
| 23 | Positive | 11–50 | 11–50 | |
| 24 | Negative | 0 | 0 | |
| 25 | Negative | 0 | 0 | |
| 26 | Positive | 11–50 | >50 | |
| 27 | Negative | 0 | 0 | |
| 28 | Positive | 1–10 | 11–50 | |
| 29 | Negative | 0 | 0 | |
| 30 | Negative | 0 | 0 | |
| 31 | Negative | 0 | 0 | |
| 32 | Negative | 0 | 0 | |
| 33 | Negative | 0 | 0 | |
| 34 | Negative | 0 | 0 | |
| 35 | Positive | 11–50 | >50 | |
| 36 | Negative | 0 | 0 | |
| 37 | Negative | 0 | 0 | |
| 38 | Negative | 0 | 0 | |
| 39 | Negative | 0 | 0 | |
| 40 | Positive | >50 | >50 | |
Weak staining.
Characterization of 120 melanomas for NY-ESO-1 and LAGE-1 by immunohistochemistry, RT-PCR, and qRT-PCR
| A. E978 antibody staining categorized on the basis of NY-ESO-1 and LAGE-1 expression . | . | . | . | . | . | ||||
|---|---|---|---|---|---|---|---|---|---|
| . | Tumors typed by RT-PCR . | . | Tumors typed by qRT-PCR* . | . | |||||
| mRNA . | Number . | Positive by mAb E978 (%) . | Number . | Positive by mAb E978 (%) . | |||||
| NY-ESO-1+/LAGE-1+ | 37 | 33 (89) | 30 | 28 (93) | |||||
| NY-ESO-1+/LAGE-1− | 11 | 10 (91) | 20 | 15 (75) | |||||
| NY-ESO-1-/LAGE-1 + | 15 | 2 (13.3) | 10 | 0 (0) | |||||
| NY-ESO-1 -/LAGE-1− | 57 | 9 (15.5) | 60 | 11 (18) | |||||
| Total | 120 | 54 (45) | 120 | 54 (45) | |||||
| A. E978 antibody staining categorized on the basis of NY-ESO-1 and LAGE-1 expression . | . | . | . | . | . | ||||
|---|---|---|---|---|---|---|---|---|---|
| . | Tumors typed by RT-PCR . | . | Tumors typed by qRT-PCR* . | . | |||||
| mRNA . | Number . | Positive by mAb E978 (%) . | Number . | Positive by mAb E978 (%) . | |||||
| NY-ESO-1+/LAGE-1+ | 37 | 33 (89) | 30 | 28 (93) | |||||
| NY-ESO-1+/LAGE-1− | 11 | 10 (91) | 20 | 15 (75) | |||||
| NY-ESO-1-/LAGE-1 + | 15 | 2 (13.3) | 10 | 0 (0) | |||||
| NY-ESO-1 -/LAGE-1− | 57 | 9 (15.5) | 60 | 11 (18) | |||||
| Total | 120 | 54 (45) | 120 | 54 (45) | |||||
| B. Comparison of RT-PCR and immunohistochemistry based on levels of NY-ESO-1 antigen expression . | . | . | . | . | . | ||||
|---|---|---|---|---|---|---|---|---|---|
| . | NY-ESO-1 immunohistochemistry with mAb E978: % cells positive . | . | . | . | . | ||||
| RT-PCR . | A >50% (n = 23) . | B 11–50% (n = 15) . | C 1–10% (n = 16) . | D Negative (n = 66) . | Total . | ||||
| +++ | 17 | 5 | 2 | 1 | 25 | ||||
| ++ | 6 | 5 | 4 | 2 | 17 | ||||
| + | 0 | 1 | 3 | 2 | 6 | ||||
| Negative | 0 | 4 | 7 | 61 | 72 | ||||
| Total | 23 | 15 | 16 | 66 | 120 | ||||
| B. Comparison of RT-PCR and immunohistochemistry based on levels of NY-ESO-1 antigen expression . | . | . | . | . | . | ||||
|---|---|---|---|---|---|---|---|---|---|
| . | NY-ESO-1 immunohistochemistry with mAb E978: % cells positive . | . | . | . | . | ||||
| RT-PCR . | A >50% (n = 23) . | B 11–50% (n = 15) . | C 1–10% (n = 16) . | D Negative (n = 66) . | Total . | ||||
| +++ | 17 | 5 | 2 | 1 | 25 | ||||
| ++ | 6 | 5 | 4 | 2 | 17 | ||||
| + | 0 | 1 | 3 | 2 | 6 | ||||
| Negative | 0 | 4 | 7 | 61 | 72 | ||||
| Total | 23 | 15 | 16 | 66 | 120 | ||||
NOTE. +++, strong band seen on gel; ++, distinctive band seen on gel; +, weak band seen on gel; −, no product seen on gel.
Positive by qRT-PCR defined as >25 copies mRNA.



