Abstract
Purpose: Although NY-ESO-1 was isolated from an esophageal carcinoma patient, its expression in this type of cancer and its immunogenicity in esophageal cancer patients have not yet been fully elucidated. We report here the frequency of NY-ESO-1 mRNA and protein expression in esophageal cancer and the presence of NY-ESO-1-specific immune response in patients.
Experimental Design: One hundred twenty three esophageal squamous cell carcinoma specimens were analyzed for the expression of NY-ESO-1 mRNA by conventional and real-time reverse transcription-PCR and the expression of protein by immunohistochemistry and Western blot. Sera and peripheral blood lymphocytes from 51 patients were analyzed for the NY-ESO-1 antibody production by enzyme-linked immunosorbent assay and NY-ESO-1 T cell response by enzyme-linked immunospot assay. Survival analyses were also performed.
Results: NY-ESO-1 mRNA was expressed in 41 of 123 (33%) esophageal squamous cell carcinoma specimens, and its expression was found at higher frequency in well-differentiated and moderately differentiated type of cancer. No mRNA copy was detected in any of the adjacent normal tissues. Twenty-one of 24 (87.5%) NY-ESO-1 mRNA-positive tumors were stained positively by immunohistochemistry. Correlation between the level of NY-ESO-1 mRNA expression and the degree of immunohistochemistry positivity was observed. Antibody production was observed in 2 patients with tumors that showed protein expression. Furthermore, a CD8 T-cell response against NY-ESO-1 was observed in 1 of the 2 seropositive patients.
Conclusions: The high expression frequency of NY-ESO-1 mRNA and protein indicates NY-ESO-1 as a feasible vaccine target in esophageal cancer.
INTRODUCTION
Esophageal cancer shows a poor prognosis due to the lack of early screening strategy and often advanced stage at the time of diagnosis. As a result, its mortality rate is almost equal to its incidence (1, 2), and even recent advances in surgical resection, radiation, and chemotherapy have barely improved its poor prognosis (2, 3). Whereas the high mortality of esophageal cancer is universal, there is a wide geographic variability in the incidence of this cancer (4). For example, in the United States, esophageal cancer accounts for <1% of all cancer deaths, whereas in Japan, this disease accounts for 3.5% of cancer deaths, which ranks sixth, with an incidence of 10 in 100,000 (2, 3). Consequently, esophageal cancer is a common disease that oncologists in Japan encounter in daily practice.
Among tumor antigens, cancer/testis antigens such as MAGE, GAGE, NY-ESO-1, and others have received particular attention as potential targets for vaccine-based immunotherapy of cancer because of their unique expression pattern (5, 6). In contrast to other cancer/testis antigens, NY-ESO-1 showed strong immunogenicity and induced efficient spontaneous humoral immune responses in melanoma patients (7). NY-ESO-1 mRNA was expressed in 24% to 44% of melanomas (5, 8, 9, 10, 11, 12), 17% to 20% of lung cancers (5, 10, 11), 10% to 30% of breast cancers (5, 12, 13), 25% of prostate cancers (5, 10, 11), 32% of urinary tract cancers (14), and 25% of ovarian cancer tissues (5, 10).
NY-ESO-1 was originally isolated from an esophageal carcinoma (5). NY-ESO-1 mRNA and protein expression was shown in 24% (13) and 32% (15), respectively, of esophageal cancer, and NY-ESO-1 antibody production was shown in 13% of the patients (15). However, its expression and immunogenicity have not yet been fully elucidated in a large panel. In the present study, we examined NY-ESO-1 mRNA expression by conventional and real-time reverse transcription-PCR (RT-PCR) and its protein expression by immunohistochemistry and Western blot in a series of esophageal carcinomas. We also analyzed NY-ESO-1 immunogenicity by investigating the presence of NY-ESO-1 antibody production by enzyme-linked immunosorbent assay and specific CD8 T-cell responses by interferon (IFN) γ enzyme-linked immunospot (ELISPOT) assay.
MATERIALS AND METHODS
Subjects and Tissue Samples.
Pairs of esophageal cancer and normal esophageal tissue specimens were surgically obtained from 123 patients. All of the tumors were histopathologically classified as squamous cell carcinoma. The pathological stage was determined by standard criteria (16). The normal esophageal tissues were also examined microscopically by H&E staining to confirm that they contained normal squamous epithelium and no malignant cells. All of the tissue and blood samples were collected after obtaining informed consent from the patients. This study was conducted under approval of Institutional Review Board. HLA typing was examined at Okayama Red Cross Blood Center (Okayama, Japan).
Conventional RT-PCR.
Total cellular RNA was extracted from frozen tissue using TRIZOL Reagent (Invitrogen, Carlsbad, CA). Total RNA (1 μg) was used for the reverse transcription reaction in 20 μL buffer with oligo-(dT)15 primer, using the Reverse Transcription System (Promega, Madison, WI). Conventional PCR was performed in a 25-μL reaction mixture containing 1 μL of cDNA template, 0.2 mmol/L of each primer, and 1 unit of TaqDNA Polymerase (AmpliTaq Gold, Roche Molecular Systems, Pleasanton, CA), as follows: one cycle of 95°C for 12 minutes, followed by 35 cycles of 94°C for 1 minute, 60°C for 1 minute, 72°C for 1.5 minutes, followed by 72°C for 10 minutes (9). Three different sets of primers for NY-ESO-1 were used. The sequences of these were as follows: ESO1–1, 5′-AGTTCTACCTCGCCATGCCT-3′ and ESO1–2, 5′-TCCTCCTCCAGCGACAAACAA-3′ (14), ESO1-A, 5′- cacacaggatccATGGATGCTGCAGATGCGG -3′ and ESO1-B, 5′- cacacaaagcttGGCTTAGCGCCTCTGCCCTG -3′, ESO1-AN, 5′-ATGGATGCTGCAGATGCGG-3′, and ESO1-BN, 5′- GGCTTAGCGCCTCTGCCCTG-3′ (9). The integrity of each RNA sample was verified by performing RT-PCR for porphobilinogen deaminase (PBGD). PCR products were visualized with ethidium bromide by electrophoresis on a 2% agarose gel.
Real-time RT-PCR.
In the NY-ESO-1 cDNA-specific real-time quantitative PCR assay, we added 250 nmol/L of ESO1-forward and ESO1-reverse primers, 200 nmol/L TaqMan probe, 25 μL TaqMan Universal PCR Master Mix (Applied Biosystems, Foster City, CA), and 1 μL of cDNA in a total reaction volume of 50 μL. After enzyme activation for 10 minutes at 95°C, 50 two-step cycles were performed (20 seconds at 95°C and 60 seconds at 64°C) using the ABI PRISM 7700 Sequence Detection System (Applied Biosystems). Primers and TaqMan probe were designed as follows: ESO1-forward, 5′-GGCTGAATGGATGCTGCAGA-3′, ESO1-reverse, 5′-CTGGAGACAGGAGCTGATGGA-3′, and TaqMan probe, 5′-FAM-TGTGTCCGGCAACATACTGACTATCCGA-TAMRA-3′. GAPDH was measured by TaqMan Human GAPDH Control Reagents (Applied Biosystems) for normalization. To transform the cycle threshold (Ct) values into absolute mRNA copy numbers, we used a dilution series of linearized plasmid containing the NY-ESO-1 insert and constructed a calibration curve. Wells with no template were used for negative control.
Immunohistochemistry.
Tissue specimens were deparaffinized in xylene and a series of graded alcohols and then immersed into preheated antigen retrieval buffer (DAKO hipH buffer, DAKO, Carpinteria, CA) at 95°C for 40 minutes with a water bath. Monoclonal antibodies specific to NY-ESO-1, ES121 and E978, were used at a concentration of 2.5 μg/mL, and incubation was done overnight at 4°C. The DAKO Envision Plus system was used to detect the primary antibody, and diaminobenzidine tetrahydrochloride (DAB liquid, BioGenex, San Ramon, CA) was used as a chromogen. Gill’s hematoxylin was used for counterstaining (17). Testis with intact spermatogenesis was used as a positive control. The extent of immunohistochemical reactivity was graded as follows: +++, >50% of cells stained; ++, 25% to 50% of cells stained; +, 5% to 25% of cells stained; and focal, stained of single cell or small clusters of cells (<5% of cells stained; ref. 18).
Western Blot Analysis.
Cell lysates (50 μg) or tissues prepared with HEPES buffer (50 mmol/L HEPES, 150 mmol/L NaCl, 2.5 mmol/L EGTA, 1.0 mmol/L EDTA, 0.1% Tween 20, 10% glycerol, 1.0 mmol/L DTT, 10 μg/mL leupeptin, 10 μg/ml aprotinin, and 1.0 mmol/L phenylmethylsulfonylfluoride) were subjected to 12.5% SDS-PAGE (Bio-Rad Laboratories, Hercules, CA) under reducing conditions. After electrophoresis for 35 minutes, Western blotting was performed as described previously (19). Briefly, after transfer for 90 minutes, transferred membrane was blocked by 5% skim milk. After washing, 1 μg/ml ES121 or E978, mouse monoclonal antibody recognizing NY-ESO-1 protein specifically, were applied for 30 minutes. Peroxidase-conjugated antimouse secondary antibody (0.33 μg/mL, Amersham Biosciences United Kingdom, Buckinghamshire, United Kingdom) and enhanced chemiluminescence detection system (Amersham Pharmacia Biotech Europe, Duebendorf, Switzerland) were applied after the wash in each step.
ELISA.
Sera from 51 esophageal cancer patients, which were collected 0 to 9 months after surgery, and from 29 healthy donors were tested for antibody. ELISA was performed using recombinant NY-ESO-1 protein according to the method described previously by Stockert et al. (9).
Generation of Viral Vectors.
Adenoviral constructs encoding NY-ESO-1 were provided by Genzyme Corporation (Farmington, MA). Vaccinia virus constructs encoding NY-ESO-1 were provided by Therion Biologics (Cambridge, MA). These constructs have been described previously (20, 21).
Infection of Antigen-Presenting Cells or Target Cells with Recombinant Viruses.
For antigen-presenting cells, CD8 T cell-depleted peripheral blood lymphocytes (PBLs) were infected with adeno/NY-ESO-1 recombinant virus at 100 IU/cell for 20 hours at 37°C in 300 μL X-VIVO-15 (Bio-Whittaker, Walkersville, MA). For target cells, 1 × 106 CD8-depleted PBL cultured with 200 units/mL interleukin (IL)-6 (Peprotech, London, United Kingdom) and 10 ng/mL IL-12 (Peprotech) for 1 week were infected with vaccinia/NY-ESO-1 recombinant virus or vaccinia virus wild-type at 30 plaque-forming units/cell for 20 hours at 37°C in 300 μL X-VIVO-15.
In vitro Sensitization of CD8 T Cells with Adenoviral Constructs.
CD8 T cells were purified from PBL using antibody-coated magnetic beads (Miltenyi Biotec, Albrun, CA). CD8 T cells (5 × 105) were cocultured with irradiated 2 × 106 antigen-presenting cells infected with adeno/NY-ESO-1 recombinant virus in 24-well plates (Becton Dickinson, Franklin Lakes, NJ) in RPMI 1640 containing 5% human antibody serum (Sigma, St. Louis, MO), 2 mmol/L l-glutamine, 100 units/mL penicillin, 100 μg/mL streptomycin, and 1% nonessential amino acids for 10 days at 37°C in 5% CO2. IL-2 (10 units/mL, Takeda, Osaka, Japan) and 20 ng/mL IL-7 (Peprotech) were added every 3 days.
ELISPOT Assay.
Responding CD8 T cells (2 × 104 to 1 × 105) and target cells (5 × 104 or 1 × 105) were cultured in 96-well nitrocellulose plates (Millipore, Bedford, MA) precoated with 2 μg/mL antihuman IFN-γ monoclonal antibody (1-DIK; Mabtech, Stockholm, Sweden) for 20 hours at 37°C in RPMI 1640 without IL-2 and human serum. After washing, rabbit antihuman IFN-γ serum diluted at 1:800 with PBS was added and incubated for 2 hours at 37°C. After washing extensively, goat antirabbit IgG serum conjugated with alkaline-phosphatase (Southern Biotechnology, Birmingham, AL) diluted at 1:2,000 was added and incubated for 1 hour at 37°C. After washing, substrate (AP conjugate substrate kit; Bio-Rad Laboratories) was added and incubated for 15 minutes. In the final step, the plates were washed, and the spots were counted under a microscope.
RESULTS
NY-ESO-1 mRNA Expression in Esophageal Cancer.
NY-ESO-1 mRNA expression was analyzed in esophageal squamous cell carcinoma by conventional RT-PCR, and 41 of 123 (33%) cancer specimens were found to be NY-ESO-1 positive. No discrepancy was observed with the three sets of primers (Table 1; Fig. 1). The size of the PCR product in cancer was identical to that in the testis, and representative PCR products were confirmed as NY-ESO-1 by DNA sequencing. No expression of NY-ESO-1 mRNA was observed in any of the 123 adjacent normal esophageal tissues. A significantly higher frequency of NY-ESO-1 mRNA expression was observed in well-differentiated and moderately differentiated type than in poorly differentiated type of esophageal cancer (P = 0.0034; Table 2). A higher frequency of NY-ESO-1 mRNA expression was observed in the later stages of cancer. The difference between stage I/II and III/IV cases, however, was not statistically significant (Table 2). No correlation was seen between NY-ESO-1 status and other clinicopathological parameters, e.g., age, sex, location, tumor size, and the lymph node metastasis (P > 0.5).
Quantitative Analysis of NY-ESO-1 mRNA Expression.
NY-ESO-1 mRNA expression was quantitatively analyzed by real-time RT-PCR analysis. The NY-ESO-1 mRNA copy number was determined in 50 esophageal cancer specimens, including 23 positive and 27 negative for NY-ESO-1 mRNA expression by conventional RT-PCR (Fig. 2). In the testis 3,169 copies were detected. More than 1 copy of NY-ESO-1/105 GAPDH mRNA was detected in all of the specimens positive by conventional RT-PCR. No NY-ESO-1 mRNA copy was detected in 24 of 27 cancer tissues negative by conventional RT-PCR and in all of the normal esophageal tissues. Three cases negative for NY-ESO-1 mRNA by conventional RT-PCR were found to have low copy numbers (0.5 to 5.0 copies; Fig. 2) of NY-ESO-1 mRNA. Significantly higher number of NY-ESO-1 mRNA copies were observed in the differentiated type (P = 0.0309; Table 2).
Immunohistochemical Analysis of NY-ESO-1 Protein Expression.
Sixty-four esophageal cancer specimens (24 positive and 40 negative for NY-ESO-1 mRNA expression by conventional RT-PCR) were available for immunohistochemistry analysis. Two different anti-NY-ESO-1 antibodies, ES121 and E978, were used, and similar staining patterns were observed. The tissue staining was heterogeneous or focal and localized predominantly in the cytoplasm. Twenty six of 64 specimens (41%) were positively stained in various extent by immunohistochemistry for NY-ESO-1 (Table 1; Fig. 3). Within those, 21 were positive, whereas the remaining 5 were negative for NY-ESO-1 mRNA by conventional RT-PCR. The latter showed focal (<5%) staining by immunohistochemistry. Correlation of immunohistochemistry to the NY-ESO-1 mRNA expression was then investigated (Fig. 2 B). Generally, higher number of NY-ESO-1 mRNA copies was observed in higher immunohistochemistry grade. However, a variable level of mRNA expression was observed in focal staining. No staining was observed in normal esophageal mucosa or any other nontumorous tissue component.
Western Blot Analysis of NY-ESO-1 Protein Expression.
The expression of NY-ESO-1 protein in carcinoma was additionally examined by Western blot analysis on 3 representative NY-ESO-1 mRNA-positive cases. Western blot analysis showed that ES121 antibody was reactive with 22 kDa bands in cancer tissues stained positively by immunohistochemistry (Fig. 1 C). The band was the same size as that from recombinant protein as well as from the NY-ESO-1-expressing cell lines, SK-MEL-37 and NW-MEL-38. The band was not observed in normal tissues or NY-ESO-1 mRNA-negative cancer tissue.
Most of cancer specimens positive for NY-ESO-1 protein expression were well-differentiated and moderately differentiated type by histopathological examination and classified as stages III and IV (Table 2).
Antibody Response to NY-ESO-1.
Sera from 51 esophageal cancer patients were available and were examined for the presence of NY-ESO-1 antibody by ELISA against recombinant NY-ESO-1 protein (Table 1). NY-ESO-1 antibody production was detected in sera of 2 of the 51 patients, ID3367 and ID4782, with corresponding cancer specimens expressing NY-ESO-1 mRNA by RT-PCR and protein both by immunohistochemistry and Western blot (Fig. 1,C and Fig. 3). Fig. 4 A shows the titration curves of sera from the 2 patients. No NY-ESO-1 antibody production was detected in sera of 35 patients with NY-ESO-1 mRNA-negative tumor and from 29 healthy volunteers.
CD8 T-Cell Response to NY-ESO-1 in a Seropositive Esophageal Cancer Patient.
Gnjatic et al. (21) reported the detection of NY-ESO-1-recognizing CD8 T cells among PBL from seropositive patients by IFN-γ ELISPOT assay using adeno/NY-ESO-1 and vaccinia/NY-ESO-1 recombinant viruses. We used the same assay to analyze the CD8 T-cell response in a seropositive patient (ID3367) whose HLA type was HLA A*2402, B*4006, *52, Cw*0801, *1202. For sensitization, purified CD8 T cells from the patient and a control seronegative patient (ID1660) were cultured with autologous CD8-depleted cells infected with adeno/NY-ESO-1 recombinant virus for 10 days. Sensitized CD8 T cells were cultured with autologous CD8-depleted PBL infected with vaccinia/NY-ESO-1 recombinant virus, and an IFN-γ ELISPOT assay was performed. As shown in Fig. 4 B, IFN-γ ELISPOTs were detected with CD8 T cells from seropositive patient ID3367 against target cells infected with vaccinia/NY-ESO-1 recombinant virus but not against target cells with wild-type vaccinia virus. No spots were observed with CD8 T cells from the control patient cultured with target cells infected with recombinant or wild-type vaccinia virus. PBL from another seropositive patient ID4782 was not available in this study.
Survival Rate in NY-ESO-1 Positive and Negative Esophageal Cancer Patients.
Clinical follow-up was observed in 26 and 38, respectively, of NY-ESO-1 immunohistochemistry-positive and -negative cases. The medium duration of clinical follow up is 33 months postoperatively, with a range of 3 to 47 months. The cumulative survival data indicated that the survival rate was higher in NY-ESO-1 protein-positive cases than in negative cases (Fig. 4 C). The difference, however, was not statistically significant (P = 0.0959).
DISCUSSION
The present study showed the following: (1) NY-ESO-1 mRNA expression was observed in 41 of 123 (33%) esophageal cancer specimens, (2) correlation of NY-ESO-1 mRNA and NY-ESO-1 protein expression to histologic type was observed, higher frequency of the expression was observed in differentiated type than in poorly differentiated type cancers, (3) real-time RT-PCR analysis showed variation of mRNA copy numbers in cancers and no mRNA copy was observed in adjacent normal tissues, (4) 21 of 24 (87.5%) NY-ESO-1 mRNA-positive specimens by conventional RT-PCR were positively stained with NY-ESO-1 antibody by immunohistochemistry and yielded the 22kDa-band by Western blot, (5) correlation of NY-ESO-1 mRNA expression to immunohistochemistry grade was observed and higher number of NY-ESO-1 mRNA copies was detected in specimens showing higher immunohistochemistry reactivity, (6) antibody production was observed in 2 patients with tumors that were positive with protein expression by immunohistochemistry and Western blot, and (7) a CD8 T-cell response was observed against NY-ESO-1 in at least 1 of the 2 seropositive patients.
The frequency of NY-ESO-1 protein expression (assayed by immunohistochemistry) and that in mRNA positives varies in different histological types of cancer. In lung carcinoma, NY-ESO-1 mRNA expression was observed in 25% of the tumors and 69% of those expressed NY-ESO-1 protein by immunohistochemistry (17). In malignant melanoma, mRNA expression was observed in 34% and protein expression in 36% of all (5, 17). In urinary tract cancers, mRNA expression was observed in 32% of tumors and protein expression in 14% of those (14). In uterine cancer, protein expression was 21% of all of the cancers (22). In this study, we showed that NY-ESO-1 mRNA expression was observed in 33% of esophageal cancer, and 87.5% of those expressed protein, consistent with previous findings (15). Correlation between NY-ESO-1 mRNA expression and stage was shown in melanoma and urinary tract cancers (9, 14). Higher frequency of NY-ESO-1 mRNA expression was similarly observed in higher-grade esophageal cancers. In those tumors, NY-ESO-1 expression might be a marker of advanced disease.
In esophageal squamous cell cancer, histopathologically differentiated type of cancer tended to express NY-ESO-1. In contrast, poorly differentiated type rarely expressed NY-ESO-1. This correlation between NY-ESO-1 expression and histological grade is opposite of that observed in urinary tract cancer, in which higher histological grade was found to be associated with higher frequency of NY-ESO-1 expression (14). In other tumor types, such as non-small cell carcinoma of the lung, the frequency of NY-ESO-1 expression did not appear to be correlated significantly to the histological grades.6 Thus, the correlation between histological grade and NY-ESO-1 expression in cancer appears to be variable in different tumor types, and its biological significance is unclear at present.
By real-time RT-PCR analysis, it was possible to compare NY-ESO-1 mRNA copies expressed in cancer tissues to the protein expression level determined by immunohistochemistry. Specimens expressing >100 copies of NY-ESO-1 mRNA were all stained positively by immunohistochemistry. Generally, NY-ESO-1 mRNA copy number can be correlated to the degree of immunohistochemistry positivity. However, 5 specimens negative for NY-ESO-1 mRNA by conventional RT-PCR showed focal staining by immunohistochemistry. Two of these 5 specimens analyzed by immunohistochemistry were obtained from areas distant from the main tumor mass that was mRNA negative, and a low level of mRNA expression was indeed detected by real time RT-PCR in these 2 cases.
A NY-ESO-1-specific immune response could be detected in patients with NY-ESO-1 protein-expressing esophageal tumors. Sera from 51 esophageal cancer patients were examined by ELISA using NY-ESO-1 recombinant protein, and NY-ESO-1 antibody production was detected in 2 patients (3.9%) with tumors positive for NY-ESO-1 mRNA and protein expression. Akcakanat et al. (15) reported that NY-ESO-1 antibody was detected in 13% of sera from esophageal cancer patients. The reason for the difference is unclear but could be due to the difference of detection methods for specific antibody. Furthermore, a CD8 T-cell response to NY-ESO-1 was detected in seropositive patient ID3367 using recombinant viral constructs encoding NY-ESO-1 cDNA. HLA type of ID3367 was HLA A*2402, B*4006, *52, Cw*0801, *1202, and no peptide epitope has been determined with these HLA molecules. Additional investigations are necessary to elucidate how frequent CD8 T-cell responses occur in seropositive patients and to determine the epitopes.
Patients with tumors positive for NY-ESO-1 protein showed a longer survival when compared with those with tumors negative for protein after surgery. However, because tumors in those patients are a more differentiated type, it is unclear whether NY-ESO-1 positivity is an independent prognostic factor. Additional analysis in a large scale will be needed to elucidate this possibility. The significant NY-ESO-1 mRNA and protein expression frequency in esophageal cancer indicates NY-ESO-1 as a feasible vaccine target, and we are currently planning NY-ESO-1 cancer vaccine trials in esophageal cancer patients with NY-ESO-1-positive tumors.
Analysis of NY-ESO-1 expression were examined by RT-PCR (A and B) and by Western blot (C) analysis. In A, RNA extracted from esophageal cancer specimens ID1660, ID3137, ID4782, and ID3367 were examined by RT-PCR with three sets of primer pairs; ESO1–1 and ESO1–2, ESO1-A and ESO1-B, and ESO1-AN and ESO1-BN. In B, normal (N) and cancer (C) tissues from the same surgical specimens ID1660, ID3137, ID4782, and ID3367, were examined by RT-PCR. In C, ES121-reactive band was observed at 22 kDa in cancer tissues (C) from ID4782, ID3367, and ID3137 but not in normal esophageal tissues (N) and in a NY-ESO-1 mRNA-negative cancer (ID1660). ESO-1 protein, recombinant protein. SK-MEL-37 and NW-MEL-38, NY-ESO-1 expressing cell lines.
Analysis of NY-ESO-1 expression were examined by RT-PCR (A and B) and by Western blot (C) analysis. In A, RNA extracted from esophageal cancer specimens ID1660, ID3137, ID4782, and ID3367 were examined by RT-PCR with three sets of primer pairs; ESO1–1 and ESO1–2, ESO1-A and ESO1-B, and ESO1-AN and ESO1-BN. In B, normal (N) and cancer (C) tissues from the same surgical specimens ID1660, ID3137, ID4782, and ID3367, were examined by RT-PCR. In C, ES121-reactive band was observed at 22 kDa in cancer tissues (C) from ID4782, ID3367, and ID3137 but not in normal esophageal tissues (N) and in a NY-ESO-1 mRNA-negative cancer (ID1660). ESO-1 protein, recombinant protein. SK-MEL-37 and NW-MEL-38, NY-ESO-1 expressing cell lines.
A NY-ESO-1 cDNA-specific real-time quantitative RT-PCR. To transform the cycle threshold (Ct) values into absolute mRNA copy numbers, serial dilutions of plasmid containing the NY-ESO-1 insert were used to construct a calibration curve. The function of the calibration curve was: Ct = −1.7346Ln(NY-ESO-1 mRNA copies) + 42.792, (r2 = 1.0). In A, NY-ESO-1 mRNA copy numbers/105 GAPDH mRNA copy numbers were plotted with positive (•) and negative (○) NY-ESO-1 mRNA expressing cancers and normal tissues (Δ) by conventional RT-PCR. In B, the number of NY-ESO-1 mRNA copies of positive (•) and negative (○) NY-ESO-1 mRNA expressing cancers by conventional RT-PCR was compared with the immunohistochemistry grade. Immunohistochemistry grades were +++, > 50%; ++, 50 to 25%; +, 25 to 5%, and focal staining, <5% of the cells stained.
A NY-ESO-1 cDNA-specific real-time quantitative RT-PCR. To transform the cycle threshold (Ct) values into absolute mRNA copy numbers, serial dilutions of plasmid containing the NY-ESO-1 insert were used to construct a calibration curve. The function of the calibration curve was: Ct = −1.7346Ln(NY-ESO-1 mRNA copies) + 42.792, (r2 = 1.0). In A, NY-ESO-1 mRNA copy numbers/105 GAPDH mRNA copy numbers were plotted with positive (•) and negative (○) NY-ESO-1 mRNA expressing cancers and normal tissues (Δ) by conventional RT-PCR. In B, the number of NY-ESO-1 mRNA copies of positive (•) and negative (○) NY-ESO-1 mRNA expressing cancers by conventional RT-PCR was compared with the immunohistochemistry grade. Immunohistochemistry grades were +++, > 50%; ++, 50 to 25%; +, 25 to 5%, and focal staining, <5% of the cells stained.
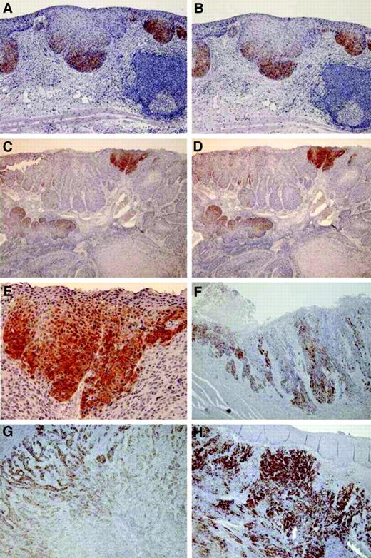
Immunohistochemical staining. Five esophageal cancer specimens (ID5512, A and B; ID3137, C–E; ID3367, F; ID3001, G; ID4782, H) were shown. Staining was done using monoclonal antibodies ES121 (A, C, and E–H) and E978 (B and D). A–E showed focal staining (<5% of cells stained). F showed + (5 to 25% of cells stained). G showed ++ (25 to 50% of cells stained). H showed +++ (>50% of cells stained). No cells were stained in normal esophageal epithelium. Magnification: ×40 (A–D and F–H); ×200 (E).
Immunohistochemical staining. Five esophageal cancer specimens (ID5512, A and B; ID3137, C–E; ID3367, F; ID3001, G; ID4782, H) were shown. Staining was done using monoclonal antibodies ES121 (A, C, and E–H) and E978 (B and D). A–E showed focal staining (<5% of cells stained). F showed + (5 to 25% of cells stained). G showed ++ (25 to 50% of cells stained). H showed +++ (>50% of cells stained). No cells were stained in normal esophageal epithelium. Magnification: ×40 (A–D and F–H); ×200 (E).
Immune responses to NY-ESO-1 (A and B) and survival rates of immunohistochemistry positives and negatives (C). In A, ELISA using recombinant NY-ESO-1 protein with sera from ID3367 (▪), ID4782 (•), and ID1660 (□). ○, a healthy donor. In B, the CD8 T-cell response in NY-ESO-1–seropositive patient ID3367. Purified CD8 T cells from PBL were cultured with autologous CD8-depleted PBL infected with adeno/NY-ESO-1 recombinant virus for 10 days for sensitization. Effector cells (5 × 104) were then cultured with 5 × 104 and 1 × 105 autologous CD8-depleted PBL infected with recombinant NY-ESO-1 (□) or wild type (▪) vaccinia virus for 24 hours, and the IFNγ ELISPOT assay was performed. Essentially similar results were obtained in three independent experiments during 2 months. ID1660 was a patient with a tumor not expressing NY-ESO-1 mRNA (for control). In C, survival rates of 26 and 38, respectively, immunohisochemistry positive (dotted line) and immunohistochemistry negative (solid line) patients shown in Table 2 were analyzed by Kaplan-Meier method. Pair-wise differences were analyzed with the log-rank test.
Immune responses to NY-ESO-1 (A and B) and survival rates of immunohistochemistry positives and negatives (C). In A, ELISA using recombinant NY-ESO-1 protein with sera from ID3367 (▪), ID4782 (•), and ID1660 (□). ○, a healthy donor. In B, the CD8 T-cell response in NY-ESO-1–seropositive patient ID3367. Purified CD8 T cells from PBL were cultured with autologous CD8-depleted PBL infected with adeno/NY-ESO-1 recombinant virus for 10 days for sensitization. Effector cells (5 × 104) were then cultured with 5 × 104 and 1 × 105 autologous CD8-depleted PBL infected with recombinant NY-ESO-1 (□) or wild type (▪) vaccinia virus for 24 hours, and the IFNγ ELISPOT assay was performed. Essentially similar results were obtained in three independent experiments during 2 months. ID1660 was a patient with a tumor not expressing NY-ESO-1 mRNA (for control). In C, survival rates of 26 and 38, respectively, immunohisochemistry positive (dotted line) and immunohistochemistry negative (solid line) patients shown in Table 2 were analyzed by Kaplan-Meier method. Pair-wise differences were analyzed with the log-rank test.
Grant support: Grant-in-Aid from the Ministry of Education, Science, Sports and Culture of Japan, and the Cancer Research Institute, New York.
The costs of publication of this article were defrayed in part by the payment of page charges. This article must therefore be hereby marked advertisement in accordance with 18 U.S.C. Section 1734 solely to indicate this fact.
Requests for reprints: Hisashi Wada, Department of Surgery and Clinical Oncology, Graduate School of Medicine, Osaka University, 2-2 Yamada-oka, Suita, Osaka 565-0871, Japan. Phone: 81-6-6879-3251; Fax: 81-6-6879-3259; E-mail: hwada@surg2.med.osaka-u.ac.jp
Chen YT, Old LJ, et al. unpublished observations.
Analysis of NY-ESO-1 expression by conventional RT-PCR and immunohistochemistry in esophageal cancer and antibody production by ELISA in sera of patients with esophageal cancer
| NY-ESO-1 expression . | . | Antibody production . | . | ||
|---|---|---|---|---|---|
| RT-PCR . | Immunohistochemistry* . | n . | ELISA positive/sera examined . | ||
| + | +++ to + | 12 | 2/11 | ||
| + | Focal | 9 | 0/1 | ||
| + | − | 3 | 0/3 | ||
| + | ND | 17 | 0/1 | ||
| − | +++ to + | 0 | 0/0 | ||
| − | Focal | 5 | 0/2 | ||
| − | − | 35 | 0/27 | ||
| − | ND | 42 | 0/6 | ||
| Total | 123 | 2/51 | |||
| NY-ESO-1 expression . | . | Antibody production . | . | ||
|---|---|---|---|---|---|
| RT-PCR . | Immunohistochemistry* . | n . | ELISA positive/sera examined . | ||
| + | +++ to + | 12 | 2/11 | ||
| + | Focal | 9 | 0/1 | ||
| + | − | 3 | 0/3 | ||
| + | ND | 17 | 0/1 | ||
| − | +++ to + | 0 | 0/0 | ||
| − | Focal | 5 | 0/2 | ||
| − | − | 35 | 0/27 | ||
| − | ND | 42 | 0/6 | ||
| Total | 123 | 2/51 | |||
Abbreviations: ND, not done.
Immunohistochemistry grade; +++, >50%; ++, 25 to 50%; +, 5 to 25%; focal, <5% of cells stained.
Correlation between NY-ESO-1 expression and clinicopathological features in esophageal cancer
| . | mRNA positive*/tumors examined . | P † . | P ‡ . | Immunohistochemistry positive/tumors examined . | P † . |
|---|---|---|---|---|---|
| Histopathological type | |||||
| Poorly differentiated | 3/24 (13%) | 0.0034 | 0.0309 | 4/24 (17%) | 0.0058 |
| Well- and moderately differentiated | 21/40 (53%) | 22/40 (55%) | |||
| Pathological stage | |||||
| I and II | 4/17 (24%) | 0.273 | 0.2048 | 5/17 (29%) | 0.3177 |
| III and IV | 20/47 (43%) | 21/47 (45%) |
| . | mRNA positive*/tumors examined . | P † . | P ‡ . | Immunohistochemistry positive/tumors examined . | P † . |
|---|---|---|---|---|---|
| Histopathological type | |||||
| Poorly differentiated | 3/24 (13%) | 0.0034 | 0.0309 | 4/24 (17%) | 0.0058 |
| Well- and moderately differentiated | 21/40 (53%) | 22/40 (55%) | |||
| Pathological stage | |||||
| I and II | 4/17 (24%) | 0.273 | 0.2048 | 5/17 (29%) | 0.3177 |
| III and IV | 20/47 (43%) | 21/47 (45%) |
Results by conventional RT-PCR.
χ2 test for independence.
Mann-Whitney test. For this nonparametric analysis, relative copies of NY-ESO-1 mRNA were used.
Acknowledgments
We thank Junko Mizuuchi for excellent technical assistance.



