Abstract
Glioblastomas, the most common primary brain cancers, respond poorly to current treatment modalities and carry a dismal prognosis. In this study, we demonstrated that the transcription factor nuclear factor (NF)-κB is constitutively activated in glioblastoma surgical samples, primary cultures, and cell lines and promotes their growth and survival. Sulfasalazine, an anti-inflammatory drug that specifically inhibits the activation of NF-κB, blocked the cell cycle and induced apoptosis in several glioblastoma cell lines and primary cultures, as did gene therapy with a vector encoding a super-repressor of NF-κB. In vivo, sulfasalazine also significantly inhibited the growth of experimental human glioblastomas in nude mice brains. Given the documented safety of sulfasalazine in humans, these results may lead the way to a new class of glioma treatment.
INTRODUCTION
Glioblastomas account for 40% of all human primary central nervous system tumors and affect mostly people ages 45–70 years (1). These cancers infiltrate normal brain parenchyma, destroy its function, and respond poorly to surgery, chemotherapy, and radiotherapy. They carry a dismal prognosis (2), with an overall median survival time of 11 months. Recent advances in the treatment of glioblastomas have been disappointing and have hardly managed to increase the median survival of selected patient populations to 18–24 months (3, 4). There is thus an urgent need for a more thorough study of glioblastoma biology and the development of new, specific treatments.
The nuclear factor (NF)-κB transcription factor is present in most cell types as a latent cytoplasmic complex that can be rapidly activated in response to a large variety of signals such as pro-inflammatory cytokines, oxidative stress, infection, or DNA-damaging agents (5). NF-κB consists of heterodimers from five different proteins, namely, p50, p65, Rel-B, c-Rel, and p52. These dimers are trapped in the cytoplasm through a noncovalent interaction with one specific protein inhibitor (IκBα, IκBβ, or IκBε). In response to a variety of specific signals, these inhibitors are phosphorylated by the IKK kinase complex and are subsequently degraded by the proteasome. A nuclear translocation signal is then unmasked that allows NF-κB migration to the nucleus and the transcription of several genes involved in the control of cell proliferation, death, and migration (5, 6). In a few normal cell types (7) as well as in a variety of epithelial tumors and lymphoid cancers such as Hodgkin’s disease, multiple myeloma, or breast carcinoma (8, 9), NF-κB is constitutively activated and appears to promote tumorigenesis or tumor cell survival (10). Such an activation was also described recently in some glial and neuronal brain cancers (11, 12, 13).
Sulfasalazine is an anti-inflammatory drug that has been used for decades in the treatment of inflammatory bowel diseases and in the treatment of severe, resistant rheumatoid arthritis. Its properties have been linked recently to its ability to block the IKK kinase complex and hence NF-κB activation. In this study, we have sought to confirm the constitutive activity of the NF-κB transcription factor in glioblastomas and to study the therapeutic potential of inhibitors such as sulfasalazine in human glioblastoma.
MATERIALS AND METHODS
Cell Culture and Treatment.
LN18 and U87 cells were grown in RPMI 1640 containing l-glutamine (Life Technologies, Inc., Gent, Belgium) and supplemented with 10% (v/v) fetal bovine serum (Life Technologies, Inc.) and penicillin. Rat astrocytes were obtained as described previously (14) from whole brain hemispheres of newborn Wistar rat pups. They were cultivated in minimum Eagle’s medium (Life Technologies, Inc.) supplemented with 10% (v/v) fetal bovine serum (Life Technologies, Inc.) and penicillin (60 μg/ml). Rat C6 cells (American Type Culture Collection) were grown in Dulbecco’s modified Eagle’s medium (Life Technologies, Inc.) supplemented with 10% fetal bovine serum and penicillin.
Primary cultures of human brain tumor (GM-1, -2, -3, -4, and -5) and astrocytes were obtained by mincing fresh surgical tumor samples or pieces of temporal lobectomies in Petri dishes containing Dulbecco’s modified Eagle’s medium supplemented with 10% fetal bovine serum and 1% sodium pyruvate. These cultures were obtained in agreement with the Ethical Committee of the University of Liège and after obtaining the informed consent of the patients.
Sulfasalazine (Sigma, Bornem, Belgium) was directly dissolved in the culture medium and used at concentrations of up to 1 mm. BAY 11-7085 was purchased from BioMol (Plymouth Meeting, PA) and dissolved in ethanol (stock solution, 40 mm).
Immunohistochemistry.
Sections (4-μm thick) were cut from formalin-fixed, paraffin-embedded tumor tissue. They were hydrated through graded alcohols and incubated in 0.3% H2O2 for 15 min. Sections were autoclaved for 11 min at 126°C in citrate buffer (pH 6) for antigen retrieval (Dako, Glostrup, Denmark) and then incubated in primary monoclonal antibody anti-p65 (1:1000; Santa Cruz Biotechnology, Santa Cruz, CA) or primary polyclonal antibody anti-p50 (1:1100; Upstate Biotechnology, Souffelweyersheim, France) for 1 h at room temperature followed by peroxidase-conjugated EnVision (Dako). Immunoreactivity was visualized with 3,3′-diaminobenzidine (Dako). The LN18 glioblastoma cell line was used as a control for specific positive nuclear staining. Rat astrocytes were used as a control for positive staining restricted to the cytoplasm in the absence of nuclear staining. On glioblastoma sections, reactive astrocytes surrounding the tumor provided additional internal control with NF-κB positivity restricted to the cell cytoplasm. Global (nucleus and cytoplasm) negative controls were obtained by omitting the primary antibodies.
Electrophoretic Mobility Shift Assay.
Nuclear protein extracts were obtained as described previously (15). Briefly, pelleted nuclei were resuspended in nuclear buffer containing 20 mm HEPES (pH 7.9), 1.5 mm MgCl2, 0.2 mm EDTA, 0.63 m NaCl, 25% glycerol, and Complete protease inhibitors (Roche, Mannheim, Germany); incubated for 20 min at 4°C; and centrifuged for 30 min at 14,000 × g. Protein amounts were quantified as described by Bradford (16). To perform the electrophoretic mobility shift analysis (EMSA), 5 μg of proteins were incubated with a radioactive κB probe containing the sequence of the HIV promoter site for each condition. For antibody supershift experiments, 1 μl of antibody was preincubated at 4°C with the extracts for 30 min before the addition of the labeled NF-κB probe. The p50, p52, p53, and p65 (RelA) antibodies were purchased from Upstate Biotechnology, and the c-Rel, Rel-B, and c-jun antibodies were obtained from Santa Cruz Biotechnology. The p53 and c-jun antibodies were used as controls to assess the specificity of supershifts. Competition experiments were performed in the presence of an excess of unlabeled wild-type or mutated NF-κB probe. Further verification of protein loading homogeneity was performed in sulfasalazine and BAY 11-7085 inhibition experiments by performing SP1 Western blots on the same extracts used for EMSA gels (data not shown).
Transient Transfections and Luciferase Assays.
Reporter gene assays were performed with a plasmid encoding the firefly luciferase gene driven by an isolated triple repeat of the κB sequence of the human intercellular adhesion molecule gene promoter (a gift from Dr. E. Caldenhoven; Utrecht University, Utrecht, the Netherlands). The binding specificity of this transcript for NF-κB has been largely described previously (17, 18, 19). Transfection efficacy was controlled by cotransfection with a plasmid carrying the β-galactosidase gene driven by a Rous sarcoma virus promoter sequence (RSV-βGAL; a gift from Dr. R. Winkler, University of Liège, Liège, Belgium). Cells were transiently transfected with these plasmids and FuGENE (Roche) as per the manufacturer’s instructions. Luciferase and β-galactosidase activities were measured using the β-galactosidase reporter gene assay chemiluminescence (Roche) and the luciferase reporter gene assay (Roche) kits, respectively. Activities were normalized according to the protein concentrations of the cellular extracts.
Viral Infections.
NF-κB inhibition was obtained by infection with a replication-incompetent type 5 adenovirus lacking the E1 and E3 sequences and carrying a transgene coding for the IκBα inhibitor mutated at amino acids 32 and 36 (IκBΔM; a gift from Dr. C. Jobin; University of North Carolina, Chapel Hill, NC). Infections rates were assessed by infection of control cells with a similar adenoviral vector encoding the green fluorescent protein (GFP) at 0, 50, 100, and 200 plaque-forming units (pfu)/cell. Cells were harvested after 24 h of culture and either counted using the trypan blue exclusion test or processed for fluorescence-activated cell-sorting (FACS) analysis of GFP fluorescence.
Flow Cytometry.
Cells grown in 35-mm dishes were infected with the adenoviruses carrying the gene coding for the GFP or IκBα mutant protein and grown for 24 h. They were harvested and fixed in ice-cold ethanol (70%) for 24 h. Cells were then washed in phosphate-buffered saline (PBS) and analyzed for GFP expression by detecting green fluorescence with a Becton Dickinson (Franklin Lakes, NJ) cytometer.
For cell cycle analysis, cells were fixed in ice-cold ethanol (70%) and treated with RNase A (Roche) for 30 min at room temperature. They were then incubated in a saturating concentration of propidium iodide (Sigma) and analyzed using a Becton Dickinson FacsCalibur flow cytometer and WinMDI Version 2.8 software (Joseph Trotter; Scripps Research Institute).
All flow cytometry studies were performed on 10,000 ungated cells as counted by the flow cytometer.
Thymidine Incorporation.
Cells were seeded at a density of 105 cells/well in 24-well plates and grown for 24 h in their respective media supplemented with 4 μCi/ml [3H]thymidine (Pharmacia-Amersham, Rosendaal, the Netherlands) in the presence or absence of sulfasalazine (0.5 mm). The incorporation was stopped after PBS washes by digestion of the cells in 1 ml of 0.1 N NaOH, and [3H]thymidine activity was recorded with a Wallac 1400 scintillation counter. Results were normalized to the protein content of each culture well. All experiments were run three times in triplicate. Statistical analysis was done with the Student’s t test, using GraphPad Instat software (GraphPad Software Inc., San Diego, CA).
Apoptosis.
Apoptosis was determined on cell cycle analyses (flow cytometry) as the fraction of cells detected in the sub-G1 zone of the plots, i.e., the hypodiploid cells.
Terminal deoxynucleotidyl transferase-mediated nick end labeling (TUNEL) was performed using the in situ cell death detection kit and fluorescein kit (Roche), according to the manufacturer’s instructions, on cells grown in Labtek (Nalge Nunc International) coverslip culture chambers and analyzed on a Zeiss confocal microscope.
For DNA laddering experiments, cellular DNA was extracted from control and treated cells and separated on a 1% agarose electrophoretic gel.
Caspase 3, 9, and 8 activity was also assessed in vivo with the Caspatag assay (Intergen, Oxford, United Kingdom). U87 or LN18 cells were grown to near confluence on polyornithine-coated Labtek Slide culture chambers. Treatment was then initiated, and the cell-permeable, nontoxic caspase fluorogenic substrates were added after various times according to the manufacturer’s instructions. Cells were then washed and observed under a Zeiss confocal microscope. Pictures were taken from randomly chosen microscopic fields showing similar confluences.
Cell Survival.
Cell survival in response to the various treatments was assessed using either trypan blue exclusion or the 3-(4,5-dimethylthiazol-2-yl)-2,5-diphenyltetrazolium bromide (MTT) survival test. Briefly, the survival of primary malignant gliomas cells in response to NF-κB inhibitors was assessed directly in 24-well cell culture dishes. Four-week-old cultures were treated with either sulfasalazine (1 mm) or BAY 11-7085 (10 μm) for 24 h and subsequently trypsinized, collected in a minimum of 1 ml of saline to avoid cell damage, and stained with trypan blue. Cells (100–500 cells) were counted on a Thomas hemocytometer for each cell type and condition, and each experiment was carried out in triplicate wells. Results are shown as the mean ratio (±SD) between dye-excluding and dye-incorporating cells in these conditions and are representative of two independent experiments. For MTT tests, as described elsewhere (20), cells were seeded at an initial density of 10,000 cells/well in 96-well plates and grown in culture according to individual conditions described in “Results.” Survival data were obtained as the percentage of the optical density (directly proportional to the amount of live cells with this test) in a given treatment condition with respect to the optical density of control, untreated wells. Results are expressed as the mean ± SD of these survival data for each condition in each of the three independent experiments.
Western Blot Analysis.
Western blots were run with total protein extracts obtained in 25 mm HEPES supplemented with 0.5% Triton, 10% glycerol, 1 mm dithiothreitol, 150 mm NaCl, 1 mm sodium orthovanadate, 25 mm β-glycerophosphate, 1 mm sodium fluorure, and Complete protease inhibitors (Roche). Forty micrograms of protein/well were run on polyacrylamide gels and then transferred onto polyvinylidene difluoride membranes (Roche), blocked with powdered milk, and probed with primary antibodies as described in the text. A horseradish peroxidase-coupled secondary antibody (Roche, Brussels, Belgium) was then incubated, and peroxidase activity was evidenced with a chemiluminescent reagent (Perbio, Rockford, IL).
In vivo Experiments.
Models of human brain tumors were obtained as described previously (21), in accordance with the Harvard University and University of Liège ethical recommendations. Briefly, 105 U87 cells in 2 μl of PBS were injected into the right striatum of anesthetized 5-week-old female Swiss/nude mice using a Hamilton microsyringe held in a stereotactic device. Animals were randomly assigned to either the treatment or control group. A total of 10 mice were assigned to each group in two separate sets of experiments. Tumors were allowed to grow for 5 days before the initiation of daily intraperitoneal sulfasalazine or PBS treatment for 21 days. Animals were then sacrificed by cervical dislocation, and their brains were removed and frozen at −70°C. No animal died from any other cause or showed any sign of discomfort. Brains were then postfixed in formol and embedded in paraffin. Five-micrometer serial sections were obtained every 100 μm and stained with H&E. Careful analysis for tumor was carried out on these slices, and microphotographs of the tumor sections were obtained. Volume reconstruction was then performed with IGL Trace software (Boston University). Statistical analyses were performed with Statview software version 5.0 (SAS Institute, Cary, NC).
RESULTS
Constitutive Nuclear Factor-κB Activity in Glioblastomas.
EMSAs showed a spontaneous NF-κB nuclear activity in several different glioblastoma cells (rat C6 and 9L cells; human LN18 and U87 cells), but not in primary rat astrocytes (Fig. 1,A; data not shown). Similarly, EMSA results showed a constitutive NF-κB activity in nuclear extracts from primary cultures of three human malignant gliomas, but not from human astrocytes (Figs. 1,A and 2,C; data not shown). Supershift experiments demonstrated p50 and p65 NF-κB DNA binding in nuclear extracts from U87, LN18, and C6 cells (Fig. 1,B; data not shown). Immunocytochemistry using anti-p50 and anti-p65 antibodies showed further evidence for a nuclear localization of these subunits in tumor cells from several fresh surgical specimens of human glioblastomas, as opposed to normal astrocytes surrounding the tumors (Fig. 1 D).
The discrepancy between the nuclear NF-κB activity of glioblastoma cells and astrocytes was further demonstrated using transient transfections of rat astrocytes and C6 glioblastoma cells with a reporter plasmid carrying a NF-κB-driven luciferase reporter gene and a Rous sarcoma virus (RSV) promoter-driven galactosidase reporter gene. In these experiments, a 16-fold increase in the luciferase/galactosidase ratio was observed in C6 cells as compared with normal rat astrocytes (Fig. 1 D).
Nuclear Factor-κB Promotes Glioblastoma Cell Survival and Proliferation In vitro.
Treatment of LN18, C6, and U87 cells for 24 h with several NF-κB inhibitors (sulfasalazine and BAY 11-7085) led to NF-κB inhibition as seen on EMSA (Fig. 2,A) and to a dose-dependent decrease in cell proliferation and/or cell survival (Fig. 2,B). These results were confirmed on cells from several primary cultures of human glioblastoma with either sulfasalazine or BAY 11-7085 (Fig. 2, C and D). On the contrary, NF-κB drug inhibitors did not significantly affect the survival of primary rat and human normal astrocytes (Fig. 2, B and D).
Likewise, the infection of C6 and LN18 glioblastoma cells with a replication-defective adenovirus encoding a mutant, dominant negative, IκBα protein (IκBΔM) reduced cell survival but did not have any effect on primary astrocytes. Infection of controls with similar adenoviruses encoding enhanced GFP (eGFP) did not result in cytotoxicity (Fig. 3,A). Protein expression was confirmed by FACS analysis of eGFP-related fluorescence of the controls. Incidentally, loss of survival at a dose of 200 viral pfu/ml of IκBΔM adenoviruses grossly paralleled the proportion of infected cells as estimated by eGFP expression (Fig. 3,B). As a control, the IκBΔM adenoviruses were shown to inhibit the activity of NF-κB-driven luciferase reporter genes in LN18 cells as compared with eGFP adenovirus-infected cells (Fig. 3 C).
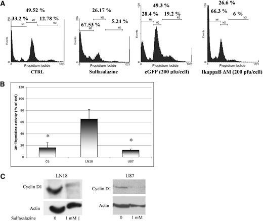
Cell cycle analysis was performed on a primary culture of human glioblastoma treated with sulfasalazine (1 mm) or infected with IκBΔM adenoviruses (200 pfu/cell) and compared with that of untreated cells and cells infected with eGFP adenovirus (200 pfu/cell), respectively. As shown in Fig. 4,A, which is representative of two independent sets of experiments, sulfasalazine treatment and IκBΔM adenovirus infection largely increased the amount of dead cells (67% and 66%, respectively, versus 33% and 28% in control and eGFP conditions) and decreased the amount of cells in G0-G1 (26% in both treatment conditions versus 49% in both untreated and eGFP controls) and those in the S and G2-M phases of the cell cycle (5% and 6% versus 12% and 19%, respectively). These results suggested that both G0-G1 cell cycle arrest and necrotic/apoptotic cell death occurred after sulfasalazine treatment or IκBΔM adenovirus infection. Similar alterations of the cell cycle were observed on the C6, LN18, and U87 cells treated with either sulfasalazine (1 mm) or BAY 11-7085 (10 μm) for 24 h (data not shown). Sulfasalazine (0.5 mm) was also found to reduce the incorporation of [3H]thymidine in C6, U87, and LN18 cells, although the decrease did not reach statistical significance in LN18 cells (Fig. 4 B).
Treatment of U87, LN18, and C6 cells with sulfasalazine reduced the overall cyclin D1 content of these cells as assessed by Western blot (Fig. 4 C; data not shown).
Evidence of a subdiploid population of cells that suggested apoptosis on FACS cell cycle analysis of sulfasalazine-treated C6, LN18, and U87 cells was confirmed by TUNEL (Fig. 5,A; data not shown). Moreover, using fluorogenic caspase substrates, an activation of caspases 8, 9, and 3 was observed in sulfasalazine-treated human U87 and LN18 cells (Fig. 5,B; data not shown), and these activations were confirmed by Western blot (Fig. 5,B). Pan-caspase inhibitors partially protected both U87 (22%; P = 0.0376) and LN18 (25%; P = 0.0216) cells from sulfasalazine-induced toxicity (1 mm; Fig. 5,C). When used alone, benzyloxycarbonyl (Z)-LEHD-fluoromethyl ketone (FMK; 20 μm), a caspase 9 inhibitor, slightly yet significantly protected LN18 (9%; P = 0.0005) and U87 cells (10%; P = 0.0317), but the caspase 8 inhibitor Z-IETD-FMK (20–30 μm) did not (Fig. 5,C; data not shown). Combinations of caspase 8 and 9 inhibitors more strongly protected both LN18 (15%; P = 0.0484) and U87 cells (20%; P = 0.0487) from sulfasalazine (1 mm; Fig. 5 C). Similar results were obtained with respect to BAY 11-7085-induced toxicity (data not shown).
In vivo Effect of Sulfasalazine on a Human Glioblastoma Tumor Model.
Intraperitoneal treatment with sulfasalazine of mice grafted in the brain with U87 human glioblastomas significantly reduced the mean volume of these tumors. The amplitude of this reduction was independent of the sulfasalazine dose administered in our experiments. The mean tumor volume was 26.268 mm3 in control animals (n = 10) versus 8.575 mm3 [n = 10; P = 0.0194, analysis of variance (ANOVA)] and 9.815 mm3 (n = 10; P = 0.0248, ANOVA; Fig. 6) in animals treated with 15 and 30 mg/kg of sulfasalazine, respectively. However, there may be some advantage to the higher dosage scheme because 2 of the 10 animals treated with 30 mg/kg of sulfasalazine were tumor-free at the time of sacrifice, and only 3 animals showed microscopic signs of tumor presence on autopsy (versus 0 and 2 animals, respectively, for the lower dosage scheme). However, two animals in the higher dosage group did not seem to respond to the treatment and grew control-like tumors.
DISCUSSION
In this report, we provide evidence for constitutive NF-κB activity in glioblastoma cell lines, primary cultures, and human surgical specimens. In the latter, virtually all tumor cells proved positive for nuclear p50 immunoreactivity, whereas only a variable proportion of the cells did so for p65. Whether this represents the fraction of cells at specific stages of the cell cycle, as suggested by Ansari et al. (22), or exposed to various microenvironmental factors is currently under investigation. In contrast to tumor cells, normal murine and human astrocytes in vitro or in the vicinity of human tumors did not present any constitutive NF-κB activity. Over the past few years, a similar constitutive NF-κB activation has been described in a variety of epithelial and lymphoid cancers (23). Recently, Nagai et al. (12) and Gill et al. (13) provided some evidence for a role of this transcription factor on the proliferation and survival of glioblastoma cell lines. Weaver et al. (24) also recently reported that NF-κB activation in response to chemotherapeutic agents somewhat protected U87 and U251 glioblastoma cells in vitro. In this study, we extended these findings to demonstrate that constitutive NF-κB activity in glioblastomas constitutes a specific target for their treatment per se. In vitro indeed, infection with replication-deficient adenoviruses encoding for a NF-κB super-repressor or treatment with pharmacological inhibitors of NF-κB is harmless for astrocytes, whereas it is strongly toxic to a variety of glioblastoma cell lines and human primary cultures. This differential toxic effect was observed with both a variety of pharmacological inhibitors of NF-κB [sulfasalazine, BAY 11-7085, purrolidine dithiocarbanate, and caffeic acid phenetyl ester (data not shown)] and mutant, stable, IκBα and thus appears to be specific for NF-κB inhibition.
The mechanisms that explain constitutive NF-κB activity in glioblastoma cells may involve autocrine or constitutive receptor activation in these cells (25, 26). Other causes of constitutive NF-κB activation have also been described, such as mutations of the IκB inhibitor (27) or viral infection and expression of Tax (T-lymphotrophic virus) or v-FLIP (HHV8) protein (28, 29). The mechanisms underlying this activity in glioblastomas have not yet been discovered, but viral causes are most unlikely. Preliminary results obtained in our laboratory show that glioblastoma cells present a constitutive activity of the IKK complex that can be abolished by BAY 11-7085 treatment.6 Likely uptstream activators of this NF-κB signaling pathway include the tumor necrosis factor superfamily of receptor, the platelet-derived growth factor receptor, and the epidermal growth factor receptor.
NF-κB inhibition in glioblastomas reduced the expression of cyclin D1, a known target of NF-κB (5), decreased the incorporation of thymidine, and induced cell cycle arrest. Sulfasalazine and BAY 11-7085 also activated caspases 8, 9, and 3 and induced apoptosis in a proportion of cells. DNA laddering was also observed, although only in LN18 cells (data not shown), which might notably result from a higher apoptotic sensitivity of these cells to the treatment as suggested by our FACS results. The fact that a pan-caspase inhibitor or a combination of the caspase 8 and 9 inhibitors protected U87 and LN18 cells much more efficiently than either caspase 8 or 9 inhibitor alone suggests that both caspase 8- and 9-dependent pathways are independently involved in this toxicity.
Finally, sulfasalazine was also able to strongly reduce and, in a few cases, even suppress the growth of human glioblastomas in an in vivo model of brain tumor. The reason why some tumors escaped its antiproliferative effects is not currently understood, but this escape has been observed in a variety of other therapeutic models and possibly somewhat reflects the situation in humans, where tumors respond variably to even the most effective treatments (2, 30). This may result from individual metabolization of the drugs, altered delivery of the drug, experimental flaws, or modified tumor biology. As a whole, the effects of sulfasalazine were statistically significant and were not associated with any observable toxicity. Given these promising experimental results with a drug that is well tolerated in humans (31) and because glioblastomas carry such a dismal prognosis despite the current treatments, we believe that human experimentation of the therapeutic use of sulfasalazine in recurrent glioblastomas may be warranted under a strict experimental protocol.
Grant support: Grants from the National Fund for Scientific Research of Belgium, the University Hospital of Liège, the Fondation Leon Fredericq, the Centre Anticancereux près l’Université de Liège, and the Boston Neurosurgical Foundation. P. Robe is a postdoctoral researcher and M-P. Merville is a research associate, at the National Fund for Scientific Research of Belgium.
The costs of publication of this article were defrayed in part by the payment of page charges. This article must therefore be hereby marked advertisement in accordance with 18 U.S.C. Section 1734 solely to indicate this fact.
Requests for reprints: Pierre A. Robe, Department of Neurosurgery, University Hospital of Liège, Domaine universitaire du Sart Tilman, B35, 4000 Liege, Belgium. Phone: 32-4-366-7209; Fax: 32-4-366-7737; E-mail: Pierre.robe@ulg.ac.be
M. Bonif and P. R. Robe, unpublished data.
Constitutive NF-κB activity of glioblastomas. A, EMSAs performed with a NF-κB probe on nuclear extracts of glioblastoma cell lines (C6 and LN18), primary cultures from human glioblastomas (GM-1 and GM-2), and normal rat and human astrocytes. B, supershift analysis performed on LN18 nuclear extracts incubated with p50, p65, Rel-B, c-Rel, and p52 antibodies (CC, competition EMSA run in the presence of an excess of unlabeled, wild-type NF-κB probe; CCM, competition EMSA run with an excess of mutated, inactive, unlabeled NF-κB probe). Similar shifts performed with p50 and p53 antibodies are also shown as a control on the right panel. Similar supershifts were obtained with C6 and U87 cells (data not shown). C, luciferase assay performed after transfection of rat C6 cells and primary cultures of normal rat astrocytes with a plasmid encoding a NF-κB-driven luciferase reporter gene and a RSV-driven β-galactosidase gene. The ratios of luciferase/galactosidase activities confirm the constitutive NF-κB activity in glioblastoma cells (n = 3; P < 0.05, Student’s t test). D, immunohistochemistry performed with p65 and p50 antibodies on a surgical sample of human glioblastoma and its surrounding normal brain. The immunoreactivity (brown) is confined to the cytoplasm of normal astrocytes but is present in the nuclei of tumor cells.
Constitutive NF-κB activity of glioblastomas. A, EMSAs performed with a NF-κB probe on nuclear extracts of glioblastoma cell lines (C6 and LN18), primary cultures from human glioblastomas (GM-1 and GM-2), and normal rat and human astrocytes. B, supershift analysis performed on LN18 nuclear extracts incubated with p50, p65, Rel-B, c-Rel, and p52 antibodies (CC, competition EMSA run in the presence of an excess of unlabeled, wild-type NF-κB probe; CCM, competition EMSA run with an excess of mutated, inactive, unlabeled NF-κB probe). Similar shifts performed with p50 and p53 antibodies are also shown as a control on the right panel. Similar supershifts were obtained with C6 and U87 cells (data not shown). C, luciferase assay performed after transfection of rat C6 cells and primary cultures of normal rat astrocytes with a plasmid encoding a NF-κB-driven luciferase reporter gene and a RSV-driven β-galactosidase gene. The ratios of luciferase/galactosidase activities confirm the constitutive NF-κB activity in glioblastoma cells (n = 3; P < 0.05, Student’s t test). D, immunohistochemistry performed with p65 and p50 antibodies on a surgical sample of human glioblastoma and its surrounding normal brain. The immunoreactivity (brown) is confined to the cytoplasm of normal astrocytes but is present in the nuclei of tumor cells.
Effects of NF-κB inhibitors on the survival of glioblastoma cell lines, primary cultures of human glioblastoma cells, and normal rat and human astrocytes. A, effects of sulfasalazine and BAY 11-7085 on NF-κB activity in U87 and LN18 cells as evidenced with EMSA (CC, competition assay performed with an excess of unlabeled, wild-type NF-κB probe). B, differential effects of sulfasalazine and BAY 11-7085 on the survival of the glioblastoma C6, U87, and LN18 cells and normal rat astrocytes are dose-dependent. The results are expressed as the percentage of surviving cells in the given condition in comparison with control, untreated wells and were assessed using a MTT test (n = 3; mean ± SD). C, effects of sulfasalazine and BAY 11-7085 on NF-κB activity of primary cultures of human glioblastoma cells (GM-1, GM-2, and GM-3) as evidenced with EMSA (CC, competition assay performed with an excess of cold, wild-type NF-κB probe). D, differential effects of sulfasalazine and BAY 11-7085 on the survival of primary cultures of glioblastoma and human astrocytes as assessed by the ratio of live to dead cells in culture dishes of each cell type (trypan blue exclusion test). Counts were performed in three separate dishes for each cell type and each condition and are shown as mean ± SD. This panel is representative of two independent experiments.
Effects of NF-κB inhibitors on the survival of glioblastoma cell lines, primary cultures of human glioblastoma cells, and normal rat and human astrocytes. A, effects of sulfasalazine and BAY 11-7085 on NF-κB activity in U87 and LN18 cells as evidenced with EMSA (CC, competition assay performed with an excess of unlabeled, wild-type NF-κB probe). B, differential effects of sulfasalazine and BAY 11-7085 on the survival of the glioblastoma C6, U87, and LN18 cells and normal rat astrocytes are dose-dependent. The results are expressed as the percentage of surviving cells in the given condition in comparison with control, untreated wells and were assessed using a MTT test (n = 3; mean ± SD). C, effects of sulfasalazine and BAY 11-7085 on NF-κB activity of primary cultures of human glioblastoma cells (GM-1, GM-2, and GM-3) as evidenced with EMSA (CC, competition assay performed with an excess of cold, wild-type NF-κB probe). D, differential effects of sulfasalazine and BAY 11-7085 on the survival of primary cultures of glioblastoma and human astrocytes as assessed by the ratio of live to dead cells in culture dishes of each cell type (trypan blue exclusion test). Counts were performed in three separate dishes for each cell type and each condition and are shown as mean ± SD. This panel is representative of two independent experiments.
Effects of IκB super-repressor encoding adenoviruses on rat astrocyte, C6, and LN18 cell survival. A, survival of rat astrocytes, LN18 cells, and C6 cells infected with increasing doses of replication-deficient adenoviruses encoding IκBΔM (♦) or eGFP (▪; control groups). Results were assessed with a trypan blue exclusion test (n = 3; mean ± SD). B, FACS analysis of eGFP expression in astrocytes, C6 cells, and LN18 cells infected with 200 pfu/cell of replication-deficient adenoviruses encoding eGFP. In this experiment, which is representative of two independent experiments, 81.26%, 20.8%, and 48.44% of astrocytes, LN18 cells, and C6 cells, respectively, were infected and expressed eGFP. C, NF-κB-driven luciferase reporter gene activity of LN18 cells infected with replication-deficient adenoviruses encoding IκBΔM (200 pfu/cell) or eGFP. Results are expressed as the ratio of luciferase activity to β-galactosidase activity (after cotransfection with a plasmid encoding a NF-κB-driven luciferase gene and a RSV-driven β-galactosidase gene).
Effects of IκB super-repressor encoding adenoviruses on rat astrocyte, C6, and LN18 cell survival. A, survival of rat astrocytes, LN18 cells, and C6 cells infected with increasing doses of replication-deficient adenoviruses encoding IκBΔM (♦) or eGFP (▪; control groups). Results were assessed with a trypan blue exclusion test (n = 3; mean ± SD). B, FACS analysis of eGFP expression in astrocytes, C6 cells, and LN18 cells infected with 200 pfu/cell of replication-deficient adenoviruses encoding eGFP. In this experiment, which is representative of two independent experiments, 81.26%, 20.8%, and 48.44% of astrocytes, LN18 cells, and C6 cells, respectively, were infected and expressed eGFP. C, NF-κB-driven luciferase reporter gene activity of LN18 cells infected with replication-deficient adenoviruses encoding IκBΔM (200 pfu/cell) or eGFP. Results are expressed as the ratio of luciferase activity to β-galactosidase activity (after cotransfection with a plasmid encoding a NF-κB-driven luciferase gene and a RSV-driven β-galactosidase gene).
Effects of NF-κB inhibition on the cell cycle. A, cell cycle analysis of primary human glioblastoma cells (GM-2; 104 cells/analysis) under control conditions, after treatment with sulfasalazine (1 mm, 24 h) and infection with replication-deficient adenoviruses encoding eGFP or IκBΔM (200 pfu/cell). These illustrations are representative of two independent experiments. Markers are set as follows: M1, sub-G1 or dead cells; M2, G0-G1 cells; and M3, S and G2-M cells. B, [3H]thymidine incorporation in C6, U87, and LN18 cells in response to sulfasalazine treatment. Results are expressed as percentages of control, untreated wells (1 mm, 24 h; ∗, P < 0.05, one sample t test). C, in both U87 and LN18 cells, sulfasalazine treatment (1 mm, 18 h) reduced the expression of cyclin D1 in whole cell protein extracts. The loading homogeneity was assessed with an actin antibody. These Western blots are representative of two independent experiments.
Effects of NF-κB inhibition on the cell cycle. A, cell cycle analysis of primary human glioblastoma cells (GM-2; 104 cells/analysis) under control conditions, after treatment with sulfasalazine (1 mm, 24 h) and infection with replication-deficient adenoviruses encoding eGFP or IκBΔM (200 pfu/cell). These illustrations are representative of two independent experiments. Markers are set as follows: M1, sub-G1 or dead cells; M2, G0-G1 cells; and M3, S and G2-M cells. B, [3H]thymidine incorporation in C6, U87, and LN18 cells in response to sulfasalazine treatment. Results are expressed as percentages of control, untreated wells (1 mm, 24 h; ∗, P < 0.05, one sample t test). C, in both U87 and LN18 cells, sulfasalazine treatment (1 mm, 18 h) reduced the expression of cyclin D1 in whole cell protein extracts. The loading homogeneity was assessed with an actin antibody. These Western blots are representative of two independent experiments.
Apoptosis is induced in glioblastoma cells after treatment with sulfasalazine. A, apoptotic cell death in response to treatment of LN18 and U87 cells with sulfasalazine (1 mm, 24 h) as evidenced with the TUNEL reaction. B, cleavage of cell permeant, fluorogenic substrates of caspases 3, 8, and 9 in response to sulfasalazine treatment (1 mm, 18 h) in U87 cells. These illustrations are representative of two independent experiments. Right, Western blot showing the disappearance of uncleaved caspases 3, 8, and 9 in U87 cells treated with sulfasalazine (1 mm, 18 h). Similar results were obtained with LN18 cells. C, effects of caspase 9, caspases 8 and 9, and caspase 3 inhibitors (Z-LHED-FMK, Z-LHED-FMK + Z-IETD-FMK, and Z-DEVD-FMK) on the toxicity of sulfasalazine (1 mm, 24 h). Results are expressed as the absolute difference between the survival of cells treated with sulfasalazine and caspase inhibitors minus that of cells treated with sulfasalazine and a FMK-negative control (cathepsin inhibitor Z-FA-FMK). Both treatment survivals were calculated with respect to completely untreated wells (n = 3; mean ± SD).
Apoptosis is induced in glioblastoma cells after treatment with sulfasalazine. A, apoptotic cell death in response to treatment of LN18 and U87 cells with sulfasalazine (1 mm, 24 h) as evidenced with the TUNEL reaction. B, cleavage of cell permeant, fluorogenic substrates of caspases 3, 8, and 9 in response to sulfasalazine treatment (1 mm, 18 h) in U87 cells. These illustrations are representative of two independent experiments. Right, Western blot showing the disappearance of uncleaved caspases 3, 8, and 9 in U87 cells treated with sulfasalazine (1 mm, 18 h). Similar results were obtained with LN18 cells. C, effects of caspase 9, caspases 8 and 9, and caspase 3 inhibitors (Z-LHED-FMK, Z-LHED-FMK + Z-IETD-FMK, and Z-DEVD-FMK) on the toxicity of sulfasalazine (1 mm, 24 h). Results are expressed as the absolute difference between the survival of cells treated with sulfasalazine and caspase inhibitors minus that of cells treated with sulfasalazine and a FMK-negative control (cathepsin inhibitor Z-FA-FMK). Both treatment survivals were calculated with respect to completely untreated wells (n = 3; mean ± SD).
Effect of sulfasalazine on the growth of experimental U87 tumors in the brain of nude mice. U87 cells were implanted in the right hemisphere of nude mice and allowed to grow for 5 days before a daily treatment with increasing amounts of sulfasalazine (0, 15, or 30 mg/kg every day in PBS) for 21 days. The animals were then sacrificed, and serial sections of the brains were obtained to assess the total volume of the experimental tumors. Both treatment conditions with sulfasalazine significantly reduced the final size of the brain tumors as compared with control (PBS-treated) conditions (n = 10 animals/group; mean ± SD; P < 0.05 for each group with respect to controls, ANOVA).
Effect of sulfasalazine on the growth of experimental U87 tumors in the brain of nude mice. U87 cells were implanted in the right hemisphere of nude mice and allowed to grow for 5 days before a daily treatment with increasing amounts of sulfasalazine (0, 15, or 30 mg/kg every day in PBS) for 21 days. The animals were then sacrificed, and serial sections of the brains were obtained to assess the total volume of the experimental tumors. Both treatment conditions with sulfasalazine significantly reduced the final size of the brain tumors as compared with control (PBS-treated) conditions (n = 10 animals/group; mean ± SD; P < 0.05 for each group with respect to controls, ANOVA).
Acknowledgments
We thank A. Brose and P. Ernst Gengoux for expert technical assistance.



![Fig. 4. Effects of NF-κB inhibition on the cell cycle. A, cell cycle analysis of primary human glioblastoma cells (GM-2; 104 cells/analysis) under control conditions, after treatment with sulfasalazine (1 mm, 24 h) and infection with replication-deficient adenoviruses encoding eGFP or IκBΔM (200 pfu/cell). These illustrations are representative of two independent experiments. Markers are set as follows: M1, sub-G1 or dead cells; M2, G0-G1 cells; and M3, S and G2-M cells. B, [3H]thymidine incorporation in C6, U87, and LN18 cells in response to sulfasalazine treatment. Results are expressed as percentages of control, untreated wells (1 mm, 24 h; ∗, P < 0.05, one sample t test). C, in both U87 and LN18 cells, sulfasalazine treatment (1 mm, 18 h) reduced the expression of cyclin D1 in whole cell protein extracts. The loading homogeneity was assessed with an actin antibody. These Western blots are representative of two independent experiments.](https://aacr.silverchair-cdn.com/aacr/content_public/journal/clincancerres/10/16/10.1158_1078-0432.ccr-03-0392/3/m_zdf0160431230004.jpeg?Expires=1709542833&Signature=JpvJzy~nz7~Y9afJPz04Zvr35Y0Ga9IZKVhjJoRavuo6x4OWGl0fQnC24KtcegY9HQ08JtP-jRoj2DWj36s6FU8hmrzkU1iexAuLEmX0Px~b5YZBJg6DeBy1KweoM7Gb~0Zbr6-Wl8lAFST-3O7Z9QMqac8pRcx53Vjqa8x~M~BZfuid2zQLmMihPY0ja0mIZtJW7AvREZDwP2Q152L1FtVzA6PVhdLtRESIi7FAQCcX59MYIHadywkCQe794A8xHChI1lnC4kUX3PAO2fFRTUaHK12XPWpc7unthp-6fqWX5lNhzQb3PwSqy-vRmV6EcmKw2u30s-fmeixRs-jr1g__&Key-Pair-Id=APKAIE5G5CRDK6RD3PGA)

