Abstract
The dynamic changes of RNA N6-methyl-adenosine (m6A) during cancer progression contribute to quick adaption to microenvironmental changes. Here, we profiled the cancer cell m6A dynamics in the hypoxic tumor niche and its pathological consequences in glioblastoma multiforme (GBM). The m6A demethylase ALKBH5 was induced in GBM models under hypoxic conditions and was associated with a hypoxic gene signature in GBM patient samples. Depletion or inactivation of ALKBH5 in GBM cells significantly suppressed hypoxia-induced tumor-associated macrophage (TAM) recruitment and immunosuppression in allograft tumors. Expression and secretion of CXCL8/IL8 were significantly suppressed in ALKBH5-deficient tumors. However, ALKBH5 did not regulate CXCL8 m6A directly. Instead, hypoxia-induced ALKBH5 erased m6A deposition from the lncRNA NEAT1, stabilizing the transcript and facilitating NEAT1-mediated paraspeckle assembly, which led to relocation of the transcriptional repressor SFPQ from the CXCL8 promoter to paraspeckles and, ultimately, upregulation of CXCL8/IL8 expression. Accordingly, ectopic expression of CXCL8 in ALKBH5-deficient GBM cells partially restored TAM recruitment and tumor progression. Together, this study links hypoxia-induced epitranscriptomic changes to the emergence of an immunosuppressive microenvironment facilitating tumor evasion.
Hypoxia induces tumor immune microenvironment remodeling through an ALKBH5-mediated epigenetic and epitranscriptomic mechanism, providing potential immunotherapeutic strategies for treating glioblastoma.
Introduction
Glioblastoma multiforme (GBM) is the most common and aggressive form of intracranial tumors. A combined approach, including maximum safe surgical resection followed by radiotherapy with concomitant and adjuvant temozolomide is generally used as the first-line therapy for GBM treatment (1). But median survival remains dismal. The emergence and success of immune therapy in a few types of tumors once became a beacon of hope for anti-GBM treatment. Unfortunately, immune therapy has not achieved breakthroughs in treating GBM so far. The immunosuppressive tumor microenvironment (TME) has been demonstrated to be a major cause of low response (2, 3).
In GBM, rapid cancer cell growth and poorly organized tumor vasculature result in extensive hypoxia. In response to hypoxia, multiple subtypes of immunosuppressive cells and mainly tumor-associated microglia or macrophages (TAM) are infiltrated in addition to profound adaptation of cancer cells. TAMs are one of the most abundant TME cell types, contributing up to 30% to 50% of brain tumor mass (3–6). A primary part of TAMs are macrophages differentiated from monocytes that are recruited by cancer cells-secreted cytokines. In general, macrophages (M1 like) execute an antitumor response, but tumor hypoxia play a pivotal role to educate macrophages to TAMs (M2 like) possessing tumor-promoting phenotype (5, 7). Given the tight association between TAM infiltration and poor prognosis, mechanistic understanding of the hypoxia-induced crosstalk between cancer cells and TAMs is crucial for the optimization of combination therapies.
Mounting evidence has shown that cancer cells are highly plastic and quickly adapt to microenvironmental changes, including hypoxia. Epigenetic reprogramming in response to hypoxia has been demonstrated to promote cancer cell survival, metastasis, and remodel TME (4). Besides, the epitranscriptomic changes, that is, the RNA modifications have caught attention in recent years. N6-methyl-adenosine (m6A), one of the most abundant RNA modifications, is emerging as critical regulators in cell biology, including tumorigenesis (8–11). It is catalyzed by METTL3 and METTL14 whereas erased by two demethylases fat mass and obesity-associated protein (FTO; ref. 12) and alkB homologue 5 (ALKBH5; ref. 8). The dynamic nature of m6A affects almost every stage of RNA metabolism, including RNA stability (13–15). Independent studies have shown that the deregulation of m6A is crucial for GBM progression, especially Glioblastoma stem cell (GSC) self-renewal (10, 16–18). Nonetheless, it remains largely unknown that how m6A is dynamically controlled in complex TME.
Here, we aim to profile the cancer cell m6A dynamics in hypoxic niche and its pathological consequences in GBM. Among the two m6A demethylases, we find that ALKBH5 expression is induced as an adaptation to hypoxia. Through in vitro Transwell assay and orthotopic allograft tumor models, we demonstrate that ALKBH5 is instrumental for hypoxia-induced TAM recruitment, involving its demethylase activity. RNA-sequencing (RNA-seq) analysis show that ALKBH5 is required for hypoxia-induced activation of CXCL8, encoding a cytokine IL8 in human. However, ALKBH5 does not directly affect the m6A levels of CXCL8. Instead, we have unveiled an indirect hypoxia-responsive mechanism for CXCL8 transcription activation. Moreover, we show that IL8 acts as a crucial attractor for hypoxia-ALKBH5–mediated TAM recruitment and thereby fosters immunosuppression in GBM.
Materials and Methods
Cloning and plasmid preparation
Human ALKBH5 cDNA was amplified and cloned in pLVX-Tight-Puro (Takara) according to the manufacturer's protocol and verified by sequencing. TheALKBH5–H204A mutation was generated with PCR site-directed mutagenesis and collated by sequencing. Human CXCL8 cDNA was introduced into pLVX-IRES-ZsGreen1 vector by the ClonExpress II One Step Cloning Kit (Vazyme C112). Specific oligonucleotides were cloned into pLKO.1 TRC cloning vector following the protocol recommended by Addgene. The sequences for primers or oligos are listed in Supplementary Table S1.
Cell culture
The human glioblastoma cell line U87 was authenticated as described previously (19). The murine glioblastoma cell line GL261 was purchased from the ATCC and grown in DMEM containing 10% FBS. All cells were maintained at 37°C with 5% CO2, but hypoxia experiments were performed in hypoxic incubator with 5% CO2 and 1% O2. All cells were regularly authenticated by PCR and tested for Mycoplasma free.
Chromatin immunoprecipitation and RT-qPCR
The regular chromatin preparation was performed as described previously (20). Briefly, cells were cross-linked with 1% formaldehyde for 10 minutes (min) at room temperature and quenched with 0.125 mol/L glycine for another 5 min. After being quenched, cells were washed, resuspended, lysed, and sonicated using a BioRuptor sonicator (Diagenode), followed by centrifugation at 16,000 × g for 20 min at 4°C. The chromatin was incubated overnight at 4°C with primary antibodies. Anti-H3K4me3 and anti-H3K27ac were purchased from Cell Signaling Technology (catalog 9751S and catalog 8173S). Anti-SFPQs were purchased from GeneTex (catalog GTX114209). After reverse cross-linking, chromatin immunoprecipitation (ChIP) DNA was purified for qPCR analysis. Primers for the SFPQ binding region at the CXCL8 promoter were synthesized according to previously reported sequences (21).
Total RNA was isolated using TRIzol reagent (Invitrogen) and subjected to reverse transcription with Superscript Reverse Transcriptase (Invitrogen). The RT-qPCR primer sequences are summarized in Supplementary Table S1.
Immunofluorescence
Cultured cells were fixed with 4% formaldehyde, permeabilized with PBS containing 0.1% Triton X-100, blocked with 5 mg/mL BSA, and incubated overnight with appropriate primary antibodies followed by FITC or TRITC-secondary antibody (ZSBIO, dilution 1:200) before mounting with Hoechst. The antibodies include anti-HIF1α (1:100, GeneTex, GTX127309), anti-ALKBH5 (1:100, Millipore, ABE547), anti-SFPQ (1:100, GeneTex, GTX114209), and anti-NONO (1:100, Abclonal, A3800).
IHC staining
For the IHC staining, specimen's tissue slides were deparaffinized, rehydrated, antigen retrieval, blocked, and incubated with appropriate primary. The antibodies included anti-CD68 (1:1,000, Sigma, HPA048982), anti-CD8 (1:200, Cell Signaling Technology, 85336), anti-CD68 (1:200, Abcam, ab31630), anti-CD8 (Mouse Specific; 1:200, Cell Signaling Technology, 98941), anti-ALKBH5 (1:100, Proteintech, 16837–1-AP), and anti-HIF1α (1:100, GeneTex, GTX127309). According to the percentage of positive cells and staining intensity, the statistics analysis for the IHC staining was scored: (i) if 0%–25% of the tumor cells showed positive staining, (ii) if 26%–50% of cells were stained, (iii) if 51%–75% stained, and (iv) if 76%–100% stained.
Tumor size measurement
GL261 cells were transduced with lentivirus expressing Luciferase to obtain GL261-luc cells. Male C57BL/6 mice (4–6 weeks old) were used in all tumor allografting experiments and transplanted with GL261-luc cells (1×105) into the frontal lobes of brains. The ALKBH5-WT/H204A expression in GL261-luc cells were induced by feeding the allografted C57 mice with drinking water containing 1 mg/mL doxycycline. Bioluminescence xenogen imaging was used to monitor tumor growth.
Western blot
To obtain whole-cell protein extracts, cells were harvested and lyzed as previously described (22). Cell culture medium and serum from the allografted mice were prepared to measure IL8 levels. The corresponding primary antibodies used for immunoblotting included anti-ALKBH5 (1:1,000, Proteintech, 16837–1-AP), anti-HIF1α (1:1,000, GeneTex, GTX127309), anti-FTO (1:1,000, Santa Cruz Biotechnology, sc-271713), anti-METTL3 (1:1,000, Abclonal, A19079), anti–β-actin (1:10,000, Abclonal, AC026), anti–β-tubulin (1:10,000, Abclonal, AC021), anti-GAPDH (1:20,000, Abclonal, AC002), anti-IL8 (1:1,000, GeneTex, GTX115959), anti-albumin (1:1,000, Abclonal, A0353), anti-SFPQ (1:1,000, GeneTex, GTX114209), and anti-NONO (1:1,000, Abclonal, A3800). And Direct-load Color Prestained Protein Marker (M221, GenStar) was used in all Western blot assays.
Transcriptome data
The transcriptome data for The Cancer Genome Atlas (TCGA) and Chinese Glioma Genome Atlas (CGGA) datasets were obtained from Gliovis (http://gliovis.bioinfo.cnio.es/) for analyses, including correlation of gene expression, Geno Ontology (GO), and Kyoto Encyclopedia of Genes and Genomes (KEGG; ref. 23). Hierarchical clustering of the ALKBH5 or NEAT1-correlated genes was performed online in Gliovis according to the biological process, molecular function, and KEGG pathways. For the analysis, we set a P value cutoff of 0.05, Q value cutoff 0.05 for GO analysis, and P value cutoff 0.05, Q value cutoff 0.1 for KEGG analysis.
Macrophage migration assay
Twenty-four-well Transwell chambers with 8-μm pore size (Corning Costar) were used to perform migration assay. The upper chamber was inoculated with 2×105 macrophages with serum-free medium. The lower chamber was filled with supernatant of conditioned culture medium from different groups of GL261 cells as a chemotaxis force. Cells in the upper chamber were carefully removed 48 hours later. The migrated and invaded cells were washed with PBS and fixed with 4% paraformaldehyde for 10 min, stained with 0.1% crystal violet for 30 min at room temperature and imaged.
Macrophage phagocytic function assay
Macrophages were infected with lentivirus-expressing pCMV-mCherry and selected with blasticidin. Then the mCherry-positive macrophages were treated with PMA for 24 hours, followed by co-culturing with GL261-GFP for another 48 hours. After images were taken, phagocytic index was calculated as the percentage of the macrophages that had phagocytosed GL261-GFP cells.
m6A RNA immunoprecipitation sequencing and MeRIP (m6A-IP)-qPCR
m6A RNA immunoprecipitation sequencing (m6A RIP-seq, or short as m6A-seq) assay was adapted from an optimized protocol for low input materials (24). Briefly, the total RNA was isolated from U87 cells and the total volume of approximately 3 to 5 μg total RNA was adjusted to 18 μL with RNase-free water. The amount of 2 μL of 10×RNA fragmentation buffer (100 mmol/L Tris-HCl, 100 mmol/L ZnCl2 in nuclease-free H2O) was added and incubated in a preheated thermal cycler for approximately 5 to 6 min at 70°C. The reaction was then stopped by adding 2 μL of 0.5 mol/L EDTA. The total RNA was chemically fragmented into approximately 200-nt-long fragments. 30 μL of protein G magnetic beads were tumbled with 5 μg anti-m6A antibody (Milipore, ABE572) at 4°C for at least 6 hours. Then, the antibody–bead mixture was resuspended in 500 μL of the IP reaction mixture containing fragmented total RNA, 100 μL of 5× IP buffer, and 5 μL of RNase Inhibitor and incubated for 2 hours at 4°C. Then the RNA reaction mixture was washed in the low/high salt-washing buffer. The m6A-enriched RNA was eluted with 14 μL ultrapure H2O according to the instructions of RNeasy Mini Kit (QIAGEN). Primers for MeRIP (m6A-IP)-qPCR are listed in Supplementary Table S1. Once methylated RNA was successfully immunoprecipitated, 5 μL eluted RNA and 50 ng input RNA were followed by library preparation for high-throughput sequencing using SMARTer Stranded Total RNA-Seq Kit version 2 (Pico Input Mammalian, 635005, Takara/Clontech, Japan) according to the manufacturer's protocol. High-quality libraries were then sequenced with Nova PE150.
Flow cytometry
Tumor tissue was ground into single-cell suspensions and centrifuged at 1,600 rpm at room temperature for 5 min. The supernatant was discarded. The cell pellet was resuspended with DMEM medium containing 2% FBS and incubated with primary antibodies (Supplementary Table S1) for at least 1 hour at 2°C–8°C in dark. Then 500 μL fixation Buffer was added. 50 min later, the single-cell suspensions were centrifuged at 1,600 rpm at room temperature for 5 min. Then the cell pellets were resuspended with 100 μL DMEM-2% FBS for flow cytometry analysis. Data acquisition was done on a FACS Fortessa (BD Biosciences) and analysis was performed using FlowJo. The corresponding primary antibodies included anti-Brilliant Violet 605 anti-mouse CD45 (BioLegend, 103139), APC anti-mouse/human CD11b (BioLegend, 101211), PE anti-mouse F4/80 Antibody (BioLegend, 123109), PerCP/Cy5.5 anti-mouse CD3 (BioLegend, 100217), APC/Fire 750 anti mouse CD4 (BioLegend, 100460), and PE/cy7 anti mouse CD8 (BioLegend, 100722).
RNA-seq and m6A-seq analysis
For RNA-seq, library construction, sequencing, and data analysis were performed at Beijing Genomics Institute (BGI). Log2 (FPKM+1) values were used to generate heatmap with scaling in the row direction. For m6A-seq, Reads were aligned to the reference human genome assembly hg19 using hisat2 Version 2.1.0 with defaults (25). Differentially m6A methylated peaks between normoxia and hypoxia conditions were identified by exomePeak package (26). Genes associated with these peaks were determined using their nearest gene. The m6A enrichment in each group was calculated by normalization of the mapped reads of the methylated peaks to one million of total unique reads. The mapping rate of all samples exceeds 85%.
Data availability statement
RNA-seq and m6A-seq data can be downloaded from GEO data repository. The corresponding accession number is GSE171500.
Statistical analysis
Statistical analyses were performed using Prism software GraphPad Prism 8. A two-tailed unpaired Student t test and Pearson correlation test were used as appropriate. A P value of less than 0.05 was supposed statistically significant.
Study approval
All research performed was approved by the Institutional Review Board at Tongji Hospital, Wuhan and was in accordance with the principles expressed at the Declaration at Helsinki. Written informed consent was received from all participants. All animal experiments were performed according to Health guidelines of Tianjin Medical University Institutional Animal Use and Care Committee.
Results
ALKBH5 expression is induced by hypoxia in GBM
To investigate the m6A epitranscriptomic changes in response to hypoxic condition in GBM, we performed m6A-seq analysis in the GBM cell line U87 cultured, respectively, in 20% (normoxia) or 1% O2 (hypoxia). Compared with the normoxia control, 174 m6A peaks from 58 m6A-modified transcripts are significantly increased whereas 2,032 m6A peaks from 556 m6A-modified transcripts are significantly decreased in hypoxia (Fig. 1A). Because such a major set of m6A signals is downregulated, we wondered which demethylase is activated in response to hypoxia. Exposing human and mouse GBM cells (U87 and GL261, respectively) to hypoxic condition, we harvested the cells to measure the expression levels of ALKBH5, FTO, and METTL3. RT-qPCR analysis showed that ALKBH5 mRNA levels are significantly upregulated, whereas FTO levels are either downregulated or unchanged and METTL3 levels are unchanged after hypoxia treatment (Fig. 1B). The specific induction of ALKBH5 is confirmed at protein levels by Western blot assay (Fig. 1C; Supplementary Fig. S1A) and immunofluorescence (IF) staining (Fig. 1D). Thus, ALKBH5 activation is likely the main contributing factor for m6A demethylation in hypoxia.
Hypoxia-induced ALKBH5 expression is associated with hypoxia signatures. A, Scatterplot showing m6A enrichment on total RNA of U87 cells in normoxia (N, 20% O2) and hypoxia (H, 1% O2). m6A enrichment in each group is calculated by normalization of the mapped reads of the methylated peaks to one million of total unique reads. Log2 (m6A enrichment +1) value for each condition was used to generate the scatterplot. B and C, The expression level of ALKBH5, FTO and METTL3 in U87 and GL261 with or without hypoxia were compared by RT-qPCR (B) and Western blot analysis (C). Two-tailed unpaired Student t test, **, P < 0.01; ****, P < 0.0001; NS, nonsignificant; n = 3. β-Actin served as a loading control. D, Representative IF images of U87 and GL261 cells with ALKBH5 and HIF1α antibody in normoxia or hypoxia condition. Scale bars, 10 μm. E, The mRNA levels of ALKBH5 and hypoxia-induced marker genes GLuT1, VEGFα, or LDHα were positively correlated according to TCGA RNA-seq dataset. Pearson product–moment correlation (two-sided) was calculated. F, GO analysis of ALKBH5-associated genes in TCGA Agilent-4502A datasets. Tops of enrichment of each biological process (GO term) are shown. G, Tumor sections from 39 GBM specimens were IHC-stained with anti-ALKBH5 or anti-HIF1α antibody. Representative examples of immunostainings are shown in normoxia or hypoxia niche. Scale bar, 50 μm. H, Correlation between ALKBH5 and HIF1α protein levels in 39 human GBM specimens. The significance of the correlation was determined by the Pearson correlation test R = 0.3844, P = 0.0157.
Hypoxia-induced ALKBH5 expression is associated with hypoxia signatures. A, Scatterplot showing m6A enrichment on total RNA of U87 cells in normoxia (N, 20% O2) and hypoxia (H, 1% O2). m6A enrichment in each group is calculated by normalization of the mapped reads of the methylated peaks to one million of total unique reads. Log2 (m6A enrichment +1) value for each condition was used to generate the scatterplot. B and C, The expression level of ALKBH5, FTO and METTL3 in U87 and GL261 with or without hypoxia were compared by RT-qPCR (B) and Western blot analysis (C). Two-tailed unpaired Student t test, **, P < 0.01; ****, P < 0.0001; NS, nonsignificant; n = 3. β-Actin served as a loading control. D, Representative IF images of U87 and GL261 cells with ALKBH5 and HIF1α antibody in normoxia or hypoxia condition. Scale bars, 10 μm. E, The mRNA levels of ALKBH5 and hypoxia-induced marker genes GLuT1, VEGFα, or LDHα were positively correlated according to TCGA RNA-seq dataset. Pearson product–moment correlation (two-sided) was calculated. F, GO analysis of ALKBH5-associated genes in TCGA Agilent-4502A datasets. Tops of enrichment of each biological process (GO term) are shown. G, Tumor sections from 39 GBM specimens were IHC-stained with anti-ALKBH5 or anti-HIF1α antibody. Representative examples of immunostainings are shown in normoxia or hypoxia niche. Scale bar, 50 μm. H, Correlation between ALKBH5 and HIF1α protein levels in 39 human GBM specimens. The significance of the correlation was determined by the Pearson correlation test R = 0.3844, P = 0.0157.
As the most important mediator of hypoxia signaling, HIFs allow cell adaptation to low-oxygen condition mainly through transcription activation of target genes (4). And ALKBH5 was once identified as one of HIF1α target genes in human hepatocarcinoma HepG2 cells (27). Hence, we would like to find out whether ALKBH5 activation relies on HIF1α. As shown in Supplementary Fig. S1B and S1C, hypoxia-induced ALKBH5 expression was significantly suppressed upon successful depletion of HIF1α. And motif analysis identified a few hypoxia response elements (HRE) at the ALKBH5 promoter regions (Supplementary Fig. S1D). Through construction of ALKBH5 promoter for luciferase-reporter assay, we demonstrated that only the promoter with intact HREs can specifically be induced by hypoxia (Supplementary Fig. S1E). Therefore, hypoxia induces ALKBH5 expression in an HIF1α-dependent manner.
To further get insight into the relationship between ALKBH5 and hypoxia stress in clinical samples, we first inquired The Cancer Genome Atlas (TCGA) GBM datasets and found that ALKBH5 expression levels are positively correlated with the expression levels of hypoxia-induced marker genes such as VEGFα, LDHα or GLuT1 (Fig. 1E). To avoid bias caused by race differences, we also queried Chinese Glioma Genome Atlas (CGGA) datasets (28) and observed almost exactly the same correlation as in TCGA datasets (Supplementary Fig. S2A). And ALKBH5 expression levels are significantly higher in mesenchymal subtype associated with increased levels hypoxia and necrosis than in other subtypes (Supplementary Fig. S2B and S2C; ref. 29). GO analysis demonstrated that the genes whose expression levels are positively correlated ALKBH5 mRNA levels are significantly enriched in response to hypoxia according to the TCGA Agilent 4502A datasets (Fig. 1F). Furthermore, we examined ALKBH5 and HIF1α protein levels by IHC staining of resected glioma samples from 39 patients at different ages. As shown in Fig. 1G and H, the protein levels of ALKBH5 and HIF1α are positively correlated. Together, these data indicate that ALKBH5 expression is sensitive to decreased oxygen levels and its upregulation may contribute to hypoxia-induced changes in GBM.
ALKBH5 is required for TAM recruitment and immunosuppression
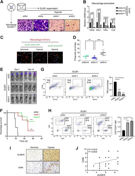
Hypoxia is a powerful driving force for shaping of immunosuppressive TME (4). Meanwhile, GO terms for molecular function indicate that ALKBH5 is associated with leukocyte migration or chemotaxis according to the TCGA RNA-seq dataset (Supplementary Fig. S2D). Considering of the importance of TAM in GBM, we sought to find out whether ALKBH5 acts as a potential mediator for hypoxia-induced macrophage recruitment. First, we transduced GL261 cell line with two specific shRNAs targeting ALKBH5 (shA5–1 and shA5–2) or shScr and the knockdown efficiency was confirmed by RT-qPCR and Western blot assays (Supplementary Fig. S2E and S2F). To measure the chemotaxis effects, mouse macrophages Raw264.7 cells were used for the Transwell assay. Raw264.7 cells incubated in a serum-free medium in the upper chamber were allowed to migrate to the lower chamber filled with conditional medium from control or ALKBH5-depleted GL261 cells. As shown in Fig. 2A, the medium from hypoxia-treated GL261 control cells significantly strengthened the migration abilities of Raw264.7 cells. In contrast, the increased Raw264.7 migration abilities were abrogated when culturing with medium from ALKBH-depleted cancer cells. Moreover, RT-qPCR analysis showed that supernatants from hypoxia-treated control GL261 cells, rather than the ALKBH5-depleted cells specifically induce the expression of TGM2 and MGL1 (M2 marker genes) in macrophages (Fig. 2B). Meanwhile, we performed tumor phagocytosis tests and found that the control GL261 cells (shScr-GFP) are less likely to be phagocytized by cocultured Raw264.7 cells (mCherry stably expressed) in hypoxia than in normoxia, suggesting that hypoxia suppresses phagocytosis of tumor cells. However, a much larger number of ALKBH5-depleted GL261 cells (shA5-GFP) are phagocytized than the control even in hypoxia (Fig. 2C and D). Therefore, ALKBH5 in GBM cells are vital for macrophage recruitment, M2 polarization and phagocytosis function in vitro.
ALKBH5 is required for TAM recruitment in vitro and in vivo. A, Transwell assays were performed to measure the migration ability of macrophage in vitro with the supernatant from GL261 shScr or shALKBH5 cells with or without hypoxia treatment. Scale bars, 50 μm. B, RT-qPCR analysis of the mRNA expression level of M1 and M2 subtype of macrophage marker genes in designated groups. shScr-N, shScr-Normoxia; shScr-H, shScr-Hypoxia; shA5-H, shALKBH5-Hypoxia. C and D, Macrophage phagocytosis was performed to test the role of ALKBH5 in hypoxia-medicated suppression of phagocytosis. The engulfed GL261 cells were labeled with arrows (C) and counted (D). Two-tailed unpaired Student t test; **, P < 0.01; ***, P < 0.001; n = 50. E, Representative luciferase images of three mice per group 7 and 14 days after implantation. GL261-luciferase cells were transduced with shScr or shALKBH5. Color scale for GL261 cells: Min = 3.00×e5; Max = 1.00×e8. F, Survival analysis of mice intracranially implanted with GL261 cells with or without ALKBH5 knockdown. The x-axis represents days after cell injection. Significance was determined using log-rank analysis. shA5–1, P = 0.0002; shA5–2, P = 0.0001; ***, P < 0.001; n = 6 for each treatment group. G and H, TAM, CD8+, and CD4+ subsets in GL261 tumor mass were assessed by flow cytometry. Representative flow cytometry plots (left) and statistics analysis of the proportion of CD11b+/F4–80+ TAMs (G) and the ratio of CD8+T cells/CD4+T cells (right; H) are shown. Two-tailed unpaired Student t test; ***, P < 0.001, n = 3. I, Representative examples of immunostainings are shown in specimens with normoxic or hypoxic niche; scale bars, 50 μm. J, Correlation between ALKBH5 and CD68 protein levels. Significance of the correlation was determined by the Pearson correlation test.
ALKBH5 is required for TAM recruitment in vitro and in vivo. A, Transwell assays were performed to measure the migration ability of macrophage in vitro with the supernatant from GL261 shScr or shALKBH5 cells with or without hypoxia treatment. Scale bars, 50 μm. B, RT-qPCR analysis of the mRNA expression level of M1 and M2 subtype of macrophage marker genes in designated groups. shScr-N, shScr-Normoxia; shScr-H, shScr-Hypoxia; shA5-H, shALKBH5-Hypoxia. C and D, Macrophage phagocytosis was performed to test the role of ALKBH5 in hypoxia-medicated suppression of phagocytosis. The engulfed GL261 cells were labeled with arrows (C) and counted (D). Two-tailed unpaired Student t test; **, P < 0.01; ***, P < 0.001; n = 50. E, Representative luciferase images of three mice per group 7 and 14 days after implantation. GL261-luciferase cells were transduced with shScr or shALKBH5. Color scale for GL261 cells: Min = 3.00×e5; Max = 1.00×e8. F, Survival analysis of mice intracranially implanted with GL261 cells with or without ALKBH5 knockdown. The x-axis represents days after cell injection. Significance was determined using log-rank analysis. shA5–1, P = 0.0002; shA5–2, P = 0.0001; ***, P < 0.001; n = 6 for each treatment group. G and H, TAM, CD8+, and CD4+ subsets in GL261 tumor mass were assessed by flow cytometry. Representative flow cytometry plots (left) and statistics analysis of the proportion of CD11b+/F4–80+ TAMs (G) and the ratio of CD8+T cells/CD4+T cells (right; H) are shown. Two-tailed unpaired Student t test; ***, P < 0.001, n = 3. I, Representative examples of immunostainings are shown in specimens with normoxic or hypoxic niche; scale bars, 50 μm. J, Correlation between ALKBH5 and CD68 protein levels. Significance of the correlation was determined by the Pearson correlation test.
To confirm whether ALKBH5 is required for hypoxia-induced TAM infiltration in vivo, we established orthotopic tumor models using GL261 cells transduced with luciferase expressing lentivirus. As detected by quantification of the luciferase activity, ALKBH5 downregulation results in a significant signal reduction, indicative of slower tumor growth (Fig. 2E). Accordingly, the mice transplanted with ALKBH5-deficient tumors had a significant longer survival as shown by Kaplan–Meier survival analysis (Fig. 2F). Excitingly, we observed a significant decrease in the proportion of CD11b+/F4–80+ TAMs whereas a significantly increased ratio of CD8+T cells (so-called killer T cells)/CD4+T cells in ALKBH5-deficient tumors by flow cytometry analysis (Fig. 2G and H).
To further elucidate the relationship between ALKBH5 expression levels and TAM infiltration in clinical samples, we examined the protein levels of ALKBH5 and the TAM marker CD68 (30) by IHC staining. As shown in Fig. 2I and J, quantification of the staining (see Materials and Methods) revealed a significant positive correlation between the expression levels of ALKBH5 and CD68 (P = 0.0333). Therefore, in support of its association with worse prognosis (16), these data indicate that ALKBH5 has an important implication for TAM infiltration in human GBM. These data indicate TAM infiltration and the formation of immunosuppressive TME rely on ALKBH5 expression in cancer cells.
ALKBH5 demethylase activity is required for TAM recruitment and immunosuppression
To find out whether the roles of ALKBH5 in immunosuppression induction are dependent on its demethylase activity, we generated GL261 cells lines with doxycycline-inducible expression of wild-type or catalytic inactive mutant of ALKBH5 (A5-WT or A5-H204A; Supplementary Fig. S3A) in the endogenous ALKBH5-depleted GL261 cells. Similarly, we proceeded with these cells for Raw264.7 Transwell assay and in vivo allograft assay. As shown in Supplementary Fig. S3B, A5-WT rather than the A5-H204A mutant supports hypoxia-induced Ra264.7 migration. Moreover, the ALKBH5-inactive (A5-H204A) tumors grow much slower and confer a significantly longer survival to the transplanted mice than the A5-WT tumors (Supplementary Fig. S3C and S3D). Harvesting the allografted tumors 21 days after transplantation, we prepared cell suspension for cell cytometry analysis. As shown in Supplementary Fig. S3E, a significantly lower percentage of TAM is found in ALKBH5-inactive (A5-H204A) or ALKBH5-depleted (shA5) tumors compared with the control groups (shScr or shA5+A5-WT). Furthermore, we dissected the tumors from each group for IHC staining. As shown in Supplementary Fig. S3F, a significant increase in the number of CD8+ T cells and a decrease in the number of CD68+ TAMs were observed in the tumors allografted by ALKBH5-depleted or inactive tumors, compared with the control groups. Together, ALKBH5′s demethylase activity is required for TAM recruitment, immunosuppression and tumor progression. Our data are in support of a recent finding that ALKBH5 inhibition enhances the efficacy of cancer immunotherapy (31).
ALKBH5 is required for CXCL8/IL8 expression and secretion
On the basis of the above data, we speculated that ALKBH5 may induce inflammation-promoting factors such as cytokines or chemokines to recruit microphages in hypoxic niche. Interestingly, Kyoto Encyclopedia of Genes and Genomes (KEGG) analysis indicates that ALKBH5-positively correlated genes are associated with cytokine–cytokine receptor interaction (Fig. 3A). To sort out which genes are responsible for ALKBH5-induced immunosuppression, we performed RNA-seq analysis in U87 cells to define the ALKBH5-dependent hypoxia-induced genes. Among 3,264 hypoxia-induced genes (at least 2 folds of upregulation in Hypoxia-treated U87 shScr cells compared with Normoxia group), the expression of 278 genes listed in Supplementary Table S2 is significantly suppressed by ALKBH5 depletion (U87 Hypoxia shALKBH5/shScr; Fig. 3B and C). Independent RT-qPCR analysis validated a few of the ALKBH5-dependent hypoxia-induced genes, such as CXCL8, WISP1, and TWIST1 (Fig. 3D). WISP1 and TWIST1 play crucial roles in mesenchymal transition and cancer cell migration, suggesting that ALKBH5 may also enhance hypoxia-induced tumor invasion confirmed by GO analysis (Fig. 3E). Meanwhile, GO analysis demonstrated that ALKBH5-dependent hypoxia-induced genes are positively correlated with signal transduction (Fig. 3E). Interestingly, as shown by the heatmap, CXCL8 is the most upregulated cytokine encoding gene in hypoxia (Fig. 3B). Moreover, Western blot analysis confirmed ALKBH5-dependent hypoxia-induced CXCL8/IL8 expression at protein levels (Fig. 3F).
ALKBH5 is required for CXCL8/IL8 expression and secretion. A, KEGG analyses of ALKBH5-corelated genes in TCGA RNA-seq datasets. Tops of enriched pathway are shown. B, Heatmap shows the 278 transcripts of ALKBH5 dependent hypoxia-induced genes. Filtered by log2 (fold change) ≥1 and FDR < 0.001. shScr-N, shScr-Normoxia; shScr-H, shScr-Hypoxia; shA5-H, shALKBH5-Hypoxia. C, Genomic snapshots of RNA-seq analyses of ALKBH5 and CXCL8 gene in U87 cells. The y-axis represents the normalized number of reads. D, RT-qPCR analysis of identified differentially expressed genes in U87 shScr or shALKBH5 with or without hypoxia. Two-tailed unpaired Student t test; ***, P < 0.001; ****, P < 0.0001. E, GO analysis of ALKBH5-dependent hypoxia-induced genes. Tops of enrichment of each biological process are shown. F and G, Western blot analyses in designated U87 cells or serum from mice transplanted with designated U87 cells. β-Actin served as a loading control for F, whereas albumin served as a loading control for G. N, normoxia; H, hypoxia.
ALKBH5 is required for CXCL8/IL8 expression and secretion. A, KEGG analyses of ALKBH5-corelated genes in TCGA RNA-seq datasets. Tops of enriched pathway are shown. B, Heatmap shows the 278 transcripts of ALKBH5 dependent hypoxia-induced genes. Filtered by log2 (fold change) ≥1 and FDR < 0.001. shScr-N, shScr-Normoxia; shScr-H, shScr-Hypoxia; shA5-H, shALKBH5-Hypoxia. C, Genomic snapshots of RNA-seq analyses of ALKBH5 and CXCL8 gene in U87 cells. The y-axis represents the normalized number of reads. D, RT-qPCR analysis of identified differentially expressed genes in U87 shScr or shALKBH5 with or without hypoxia. Two-tailed unpaired Student t test; ***, P < 0.001; ****, P < 0.0001. E, GO analysis of ALKBH5-dependent hypoxia-induced genes. Tops of enrichment of each biological process are shown. F and G, Western blot analyses in designated U87 cells or serum from mice transplanted with designated U87 cells. β-Actin served as a loading control for F, whereas albumin served as a loading control for G. N, normoxia; H, hypoxia.
Considering that IL8 is a secretory protein, we envisaged that the serum IL8 levels may be an important indicator for TAM infiltration and immunosuppression. Thus, we harvested the peripheral blood and prepared serum from the mice transplanted with human GBM cells of differential ALKBH5 expression or activity. Because CXCL8 is not expressed in mouse cells (32), the released protein from human GBM cells should be the only source for serum IL8. As shown in Fig. 3G, IL8 levels are significantly decreased in the serum from ALKBH5-depleted or inactive tumors compared with the control groups. Together, we identify and validate CXCL8 as a key hypoxia-induced cytokine gene that relies on ALKBH5 activity.
ALKBH5 is required for hypoxia-induced demethylation of NEAT1 and its stabilization
Initially, we thought ALKBH5 might directly demethylate CXCL8 m6A in hypoxia. However, we failed to identify CXCL8 as a differentially regulated m6A target genes (Fig. 1A). To understand how ALKBH5 regulates CXCL8 expression, we undertook m6A-seq analysis to define the post-transcriptional program controlled by ALKBH5. Among the downregulated m6A peaks in hypoxia compared with normoxia condition, ALKBH5 depletion leads to 847 increased m6A peaks in 276 transcripts (fold change≥1.5). The lncRNA NEAT1 is one of the top 20 ALKBH5 downregulated m6A-associated genes under hypoxia condition (Fig. 4A and B). And m6A-qPCR analysis in U87 and GL261 cells validated that hypoxia-induced NEAT1 m6A demethylation is reversed by ALKBH5 depletion (Fig. 4C; Supplementary Fig. S4A).
ALKBH5 is required for hypoxia-induced NEAT1 demethylation and stabilization. A, Scatterplot showing m6A enrichment on total RNA of U87 cells in normoxia/hypoxia (fold change ≥ 1.5, red dots) and shALKBH5-hypoxia/shScr-hypoxia (fold change ≥ 1.5, blue dots). The overlapped one (yellow dots) represents ALKBH5-dependent hypoxia-induced m6A decrease with NEAT1 as one of them. B, Genomic snapshots of m6A-seq analyses of NEAT1 in designated groups of U87 cells. shScr-N, shScr-Normoxia; shScr-H, shScr-Hypoxia; shA5-H, shALKBH5-Hypoxia. C, MeRIP (m6A-IP)-qPCR analysis of the NEAT1 m6A peak region in U87 shScr or shALKBH5 with specified time point of hypoxia. Two-tailed unpaired Student t test; *, P < 0.05; **, P < 0.01; n = 3. shScr-N, shScr-Normoxia; shScr-H, shScr-Hypoxia; shALKBH5-H, shALKBH5-Hypoxia. D, RT-qPCR analysis of NEAT1–2 levels in corresponding U87 cells. Two-tailed unpaired Student t test; *, P < 0.05; **, P < 0.01; n = 3. E, Western blot analysis of the exogenous expression of dCas13b–ALKBH5 fusion proteins in 293T cells. β-Tubulin served as a loading control. F, MeRIP (m6A-IP)-qPCR analysis of the NEAT1 m6A peak region in 293T cells transduced with dCas13b-ALKBH5-WT or H204A by means of NEAT1 gRNA. Two-tailed unpaired Student t test; **, P < 0.01; ***, P < 0.001; n = 3. G, RT-qPCR analysis of NEAT1–2 levels in corresponding 293T cells. Two-tailed unpaired Student t test; ***, P < 0.001; n = 3. H, U87 shScr or shALKBH5 cells were exposed to actinomycin D (ActD, 1 μg/mL) at indicated time points. RT-qPCR was performed to assess the half-lives of NEAT1–2. Two-tailed unpaired Student t test; ***, P < 0.001; n = 3. N, normoxia; H, hypoxia.
ALKBH5 is required for hypoxia-induced NEAT1 demethylation and stabilization. A, Scatterplot showing m6A enrichment on total RNA of U87 cells in normoxia/hypoxia (fold change ≥ 1.5, red dots) and shALKBH5-hypoxia/shScr-hypoxia (fold change ≥ 1.5, blue dots). The overlapped one (yellow dots) represents ALKBH5-dependent hypoxia-induced m6A decrease with NEAT1 as one of them. B, Genomic snapshots of m6A-seq analyses of NEAT1 in designated groups of U87 cells. shScr-N, shScr-Normoxia; shScr-H, shScr-Hypoxia; shA5-H, shALKBH5-Hypoxia. C, MeRIP (m6A-IP)-qPCR analysis of the NEAT1 m6A peak region in U87 shScr or shALKBH5 with specified time point of hypoxia. Two-tailed unpaired Student t test; *, P < 0.05; **, P < 0.01; n = 3. shScr-N, shScr-Normoxia; shScr-H, shScr-Hypoxia; shALKBH5-H, shALKBH5-Hypoxia. D, RT-qPCR analysis of NEAT1–2 levels in corresponding U87 cells. Two-tailed unpaired Student t test; *, P < 0.05; **, P < 0.01; n = 3. E, Western blot analysis of the exogenous expression of dCas13b–ALKBH5 fusion proteins in 293T cells. β-Tubulin served as a loading control. F, MeRIP (m6A-IP)-qPCR analysis of the NEAT1 m6A peak region in 293T cells transduced with dCas13b-ALKBH5-WT or H204A by means of NEAT1 gRNA. Two-tailed unpaired Student t test; **, P < 0.01; ***, P < 0.001; n = 3. G, RT-qPCR analysis of NEAT1–2 levels in corresponding 293T cells. Two-tailed unpaired Student t test; ***, P < 0.001; n = 3. H, U87 shScr or shALKBH5 cells were exposed to actinomycin D (ActD, 1 μg/mL) at indicated time points. RT-qPCR was performed to assess the half-lives of NEAT1–2. Two-tailed unpaired Student t test; ***, P < 0.001; n = 3. N, normoxia; H, hypoxia.
Actually two distinct isoforms of NEAT1 are produced by RNA polymerase II, the short isoform NEAT1–1 and the long isoform NEAT1–2 (33). Among them, NEAT1–2 assembles paraspeckles, which is a membrane-less nuclear structure and critical for cellular response to stress (34). Then we examined their expression levels through RT-qPCR analysis. As shown in Fig. 4D and Supplementary Fig. S4B, hypoxia stress could elevate NEAT1–2 expression in U87 and GL261 cells, which is antagonized by ALKBH5 knockdown. In support, ALKBH5 mRNA levels are positively correlated with the expression levels of NEAT1 in the TCGA and CGGA dataset (Supplementary Fig. S4C).
To illustrate the direct regulatory effects of ALKBH5 on NEAT1, we took advantage of dCas13b–ALKBH5 system to site-specifically remove m6A through an introduction of specific gRNAs (35). As shown by Western blot analysis, both dCas13b-ALKBH5-WT and dCas13b-ALKBH5-H204A fusions were expressed in HEK293T cells (Fig. 4E). The NEAT1-specific gRNA was designed and transduced into the dCas13b-ALKBH5-WT or H204A-expressing cells. As measured by m6A-RIP-qPCR and RT-qPCR analyses, the targeted demethylation of NEAT1 by dCas13b-ALKBH5-WT increases the NEAT1 mRNA levels. In contrast, although dCas13b-ALKBH5-H204A failed to remove m6A marks on NEAT1 and showed no effects on the expression levels of NEAT1 (Fig. 4F and G). To further investigate whether decreased NEAT1 expression levels in ALKBH5-depleted cells were due to m6A-mediated RNA decay, we measured NEAT1 RNA half-life in cells treated with actinomycin D for 0, 3, and 6 hours. As shown in Fig. 4H and Supplementary Fig. S4D, NEAT1 displays a significantly decreased half-life upon ALKBH5 depletion in human and mouse GBM cells. These findings indicate that hypoxia-induced ALKBH5 directly demethylates NEAT1 for its stabilization.
ALKBH5 is essential for hypoxia-induced NEAT1-dependent paraspeckle assembly and SFPQ relocation from CXCL8 promoter
As an essential architectural component of paraspeckle, NEAT1 is necessary and sufficient for paraspeckle assembly, which controls an array of cellular processes such as transcription and splicing, etc. (21, 36–38). Then we assessed whether ALKBH5 is required for hypoxia-induced paraspeckle assembly in human and mouse GBM cells. In addition to lncRNA NEAT1, paraspeckles are composed of protein components, including NONO and splicing factor proline and glutamine rich (SFPQ; ref. 34). Hence, we took NONO and SFPQ protein condensation to indicate paraspeckle assembly. Compared with normoxia condition, we found that NONO and SFPQ-associated paraspeckle numbers and sizes are significantly increased in control cells upon hypoxia treatment (Fig. 5A and B; Supplementary Fig. S5A and S5B). And this increased condensation is not due to the increased protein levels. As shown in Supplementary Fig. S5C, hypoxia stress even leads to downregulation of SFPQ and NONO bulk protein levels. Interestingly, hypoxia-induced increase of paraspeckle numbers and sizes is significantly suppressed upon ALKBH5 depletion (Fig. 5A and B; Supplementary Fig. S5A and S5B). These data confirm that ALKBH5 is indispensable for hypoxia-induced paraspeckle assembly.
ALKBH5 facilitates hypoxia-induced paraspeckle assembly and SFPQ relocation from CXCL8 promoter through NEAT1. A and B, NONO (A) and SFPQ (B) immunostaining was performed in normoxia and hypoxia in control and ALKBH5-depleted U87 cells. Left, representative images. Scale bars, 2 μm. The paraspeckle numbers were counted for 50 cells, whereas the paraspeckle sizes were measured for 10 cells and, respectively, analyzed (right). Two-tailed unpaired Student t test; *, P < 0.05; ***, P < 0.001; ****, P < 0.0001. shScr-N, shScr-Normoxia; shScr-H, shScr-Hypoxia; shA5-H, shALKBH5-Hypoxia. C, Schematic of CXCL8 promoter. Hatched line box indicates the SFPQ-binding sequence. Black lines below the CXCL8 gene indicate the regions amplified by the qPCR primer sets for the ChIP analysis. D and G, ChIP-qPCR analysis of the two marked regions in C in U87 shScr or shALKBH5, shScr or shNEAT1 in normoxia or hypoxia. Two-tailed unpaired Student t test; *, P < 0.05; **, P < 0.01; ***, P < 0.001; n = 3. shScr-N, shScr-Normoxia; shScr-H, shScr-Hypoxia; shA5-H, shALKBH5-Hypoxia; shNEAT1–2-H, shNEAT1–2-Hypoxia. E and H, RT-qPCR analysis of the RNA expression levels of NEAT1–2 (E) or CXCL8 (H) in U87 shScr and shNEAT1–2 cells in normoxia or hypoxia condition. Two-tailed unpaired Student t test; **, P < 0.01; n = 3. F, NONO immunostaining in U87 cells in normoxia or hypoxia condition. Representative images are shown. White scale bars, 2 μm. N, normoxia; H, hypoxia; NS, nonsignificant.
ALKBH5 facilitates hypoxia-induced paraspeckle assembly and SFPQ relocation from CXCL8 promoter through NEAT1. A and B, NONO (A) and SFPQ (B) immunostaining was performed in normoxia and hypoxia in control and ALKBH5-depleted U87 cells. Left, representative images. Scale bars, 2 μm. The paraspeckle numbers were counted for 50 cells, whereas the paraspeckle sizes were measured for 10 cells and, respectively, analyzed (right). Two-tailed unpaired Student t test; *, P < 0.05; ***, P < 0.001; ****, P < 0.0001. shScr-N, shScr-Normoxia; shScr-H, shScr-Hypoxia; shA5-H, shALKBH5-Hypoxia. C, Schematic of CXCL8 promoter. Hatched line box indicates the SFPQ-binding sequence. Black lines below the CXCL8 gene indicate the regions amplified by the qPCR primer sets for the ChIP analysis. D and G, ChIP-qPCR analysis of the two marked regions in C in U87 shScr or shALKBH5, shScr or shNEAT1 in normoxia or hypoxia. Two-tailed unpaired Student t test; *, P < 0.05; **, P < 0.01; ***, P < 0.001; n = 3. shScr-N, shScr-Normoxia; shScr-H, shScr-Hypoxia; shA5-H, shALKBH5-Hypoxia; shNEAT1–2-H, shNEAT1–2-Hypoxia. E and H, RT-qPCR analysis of the RNA expression levels of NEAT1–2 (E) or CXCL8 (H) in U87 shScr and shNEAT1–2 cells in normoxia or hypoxia condition. Two-tailed unpaired Student t test; **, P < 0.01; n = 3. F, NONO immunostaining in U87 cells in normoxia or hypoxia condition. Representative images are shown. White scale bars, 2 μm. N, normoxia; H, hypoxia; NS, nonsignificant.
Considering that paraspeckles sequester the transcriptional repressor SFPQ and leads to derepression of its target genes such as CXCL8 (21), we followed to examine how ALKBH5 depletion affects SFPQ binding at CXCL8 promoter (Fig. 5C). ChIP-qPCR analysis showed that SFPQ enrichment at its binding site of CXCL8 gene was significantly decreased in response to hypoxia. In contrast, SFPQ enrichment was significantly increased in ALKBH5-depleted U87 cells even in hypoxia condition (Fig. 5D), accompanied with loss of paraspeckles (Fig. 5A and B). Moreover, ChIP-qPCR analysis showed that the levels of transcription activation-associated histone marks H3K4me3 and H3K27ac at the SFPQ-binding site are significantly enhanced by hypoxia, which are abrogated by ALKBH5 depletion (Supplementary Fig. S6A). These analyses confirmed that the subnuclear localization of SFPQ and therefore its transcription repression of CXCL8 is controlled by hypoxia and is dependent on ALKBH5.
Whereafter, we would like to find out whether ALKBH5 facilitates paraspeckle assembly and CXCL8 upregulation through the lncRNA NEAT1. As expected, NEAT1 depletion (Fig. 5E) inhibits hypoxia-induced paraspeckle assembly as shown by IF staining of NONO (Fig. 5F). Moreover, hypoxia-induced decrease of SFPQ binding at CXCL8 promoter in control cells, accompanied with the gene derepression. However, these regulatory effects were abrogated by NEAT1 depletion (Fig. 5G and H). Accordingly, the hypoxia-induced H3K4me3 and H3K27ac levels at the SFPQ-binding site are significantly decreased in NEAT1-depleted U87 cells (Supplementary Fig. S6B). Therefore, ALKBH5 contributes to NEAT1-mediated paraspeckle assembly and upregulates CXCL8 expression by sequestrating SFPQ from CXCL8 promoter to paraspeckles.
Interestingly, GO analysis shows that NEAT1-correlated genes mainly function in extracellular structure organization, leukocyte migration or positive regulation of chemotaxis (Supplementary Fig. S7A) and KEGG analysis reveal that NEAT1-correlated genes are associated with cytokine–cytokine receptor interaction (Supplementary Fig. S7B). These data further indicate that NEAT1 may participate in ALKBH5-induced TME reconfiguration through secretion of cytokines such as IL8. Thus, we speculated ALKBH5 drives TAM-associated immunosuppression through the NEAT1/paraspeckle/CXCL8 axis.
ALKBH5 facilitated TAM recruitment and immunosuppression through CXCL8/IL8
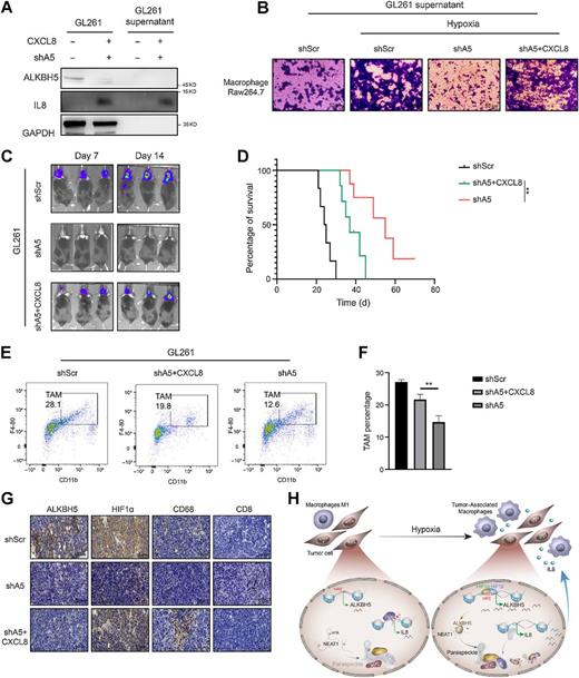
Given that CXCL8 is not expressed in mouse cells, we ectopically transduced CXCL8 into the ALKBH5-depleted GL261 cells. And a significant amount of IL8 could be detected in the supernatant from the cell culture medium (Fig. 6A). Then we followed to find out whether the alleviated macrophage chemotaxis capability of ALKBH5-deficient (shALKBH5) tumor cells would be restored by IL8 expression. Taking these cells for Transwell assays, we found that CXCL8 expression in ALKBH5-depleted GL261 cells partially restores macrophage migration capability in hypoxia condition (Fig. 6B). Furthermore, we took these cells for intracranial transplantation. As shown in Fig. 6C and D, the ALKBH5-deficient tumors resume growth and progression, and lead to significantly shortened survival of allografted mice upon re-expression of CXCL8. Harvesting the tumors from each group, we prepared cell suspension for flow cytometry analysis. As shown in Fig. 6E and F, CXCL8 expression in ALKBH5-deficient tumors significantly recovers TAM abundance. Moreover, the IHC analysis demonstrated that CXCL8 expression reduces CD8+cell infiltration in ALKBH5-deficient tumors (Fig. 6G). Taken together, CXCL8/IL8 expression is at least partly responsible for ALKBH5-mediated TAM infiltration and therefore immunosuppression.
CXCL8/IL8 is responsible for ALKBH5-mediated TAM recruitment and immunosuppression. A, Western blot analysis of the exogenous expression of CXCL8/IL8 in ALKBH5-depleted GL261 cells. Supernatant of the cell culture medium was harvested for secreted IL8 protein detection. GAPDH served as a loading control for cell lysates. B, Transwell assays were performed to measure IL8 ability to promote macrophage recruitment in U87 shALKBH5 under hypoxia stress. Scale bars, 50 μm. C, Representative luciferase images of three mice per group 7 and 14 days after tumor implantation. Color scale for GL261 cells: Min = 3.00 × e5; Max = 1.00 × e8. D, Survival analysis of mice intracranially implanted with designated GL261 cells. Significance level was determined using log-rank analysis. **, P < 0.01; n = 6 for each treatment group. E and F, TAM subsets in designated groups of tumors were assessed by flow cytometry. Representative flow cytometry plots are shown in E and statistical analysis of the proportion of CD11b+/F4–80+ TAMs is in F. Two-tailed unpaired Student t test; **, P < 0.01; n = 3. G, IHC staining for designated groups of tumors. Scale bars, 50 μm. H, Proposed model for ALKBH5 facilitates hypoxia-induced paraspeckle assembly to modulate tumor immunosuppressive environment through enhanced CXCL8/IL8 expression and release.
CXCL8/IL8 is responsible for ALKBH5-mediated TAM recruitment and immunosuppression. A, Western blot analysis of the exogenous expression of CXCL8/IL8 in ALKBH5-depleted GL261 cells. Supernatant of the cell culture medium was harvested for secreted IL8 protein detection. GAPDH served as a loading control for cell lysates. B, Transwell assays were performed to measure IL8 ability to promote macrophage recruitment in U87 shALKBH5 under hypoxia stress. Scale bars, 50 μm. C, Representative luciferase images of three mice per group 7 and 14 days after tumor implantation. Color scale for GL261 cells: Min = 3.00 × e5; Max = 1.00 × e8. D, Survival analysis of mice intracranially implanted with designated GL261 cells. Significance level was determined using log-rank analysis. **, P < 0.01; n = 6 for each treatment group. E and F, TAM subsets in designated groups of tumors were assessed by flow cytometry. Representative flow cytometry plots are shown in E and statistical analysis of the proportion of CD11b+/F4–80+ TAMs is in F. Two-tailed unpaired Student t test; **, P < 0.01; n = 3. G, IHC staining for designated groups of tumors. Scale bars, 50 μm. H, Proposed model for ALKBH5 facilitates hypoxia-induced paraspeckle assembly to modulate tumor immunosuppressive environment through enhanced CXCL8/IL8 expression and release.
Discussion
GBM is a highly heterogeneous and refractory tumor. The pervasive hypoxic niche is one of the underlying causes of the heterogeneity. Single-cell RNA-seq analysis has interestingly revealed an enrichment of immune response and hypoxia gene signatures in human GBM cells (39). Hence, it is important to dissect how hypoxia-induced deregulation of transcription and post-transcription regulatory network in GBM results in high aggressiveness and treatment resistance. In this study, we report that hypoxia induced ALKBH5 transcription. Through m6A demethylation and stabilization of NEAT1, ALKBH5 facilitates paraspeckle assembly and sequesters transcription repressor from CXCL8/IL8, whose expression and secretion recruit TAMs to promote GBM progression (Fig. 6H).
Oxygen levels are critical for demethylation activities (40). Consequently, global methylation levels of DNA, RNA or proteins may be rapidly adaptive to hypoxia even independent of HIFs (41–44). However, in response to chronic hypoxia, stabilized HIFs activate the expression of a diversity of 2-oxoglutarate dioxygenases, including DNA demethylase, and Jumonji-domain (JmjC)-containing demethylases, and ALKBH5 (27, 45). No matter this is a compensatory mechanism for deficiency of demethylase activities, it is crucial to understand the biological and pathological significance of the upregulated demethylases in hypoxia niche. Though epitranscriptomics is still at infant stage. ALKBH5 has been shown to be crucial for hypoxia-induced cancer stem cell enrichment in breast cancers (45). Interestingly, cancer stem cells actively reconfigure TME through interactions with immune cells, stromal cells, etc., for a sustainable tumor ecosystem (46). In this scenario, ALKBH5-active GBM cells may act like GSCs that drive TAM infiltration, induce M2 polarization, and therefore lead to immunosuppression. In fitting with this concept, ALKBH5 has been recently reported to modulate the composition of tumor-infiltrating regulatory T cells and myeloid-derived suppressor cells in melanoma and colorectal cancers. Therefore, ALKBH5 inhibition will hopefully be an optional combination strategy with immune therapy in the future (31).
In addition to TME remodeling, additional functions for ALKBH5 in hypoxic response await to be studied. Focusing on NEAT1 as one of ALKHB5′s substrates, we link ALKBH5 activity to the formation of paraspeckles. Thus, NEAT1 stability and thereby paraspeckle functions in response to hypoxia and even other stimuli (21, 37, 47, 48) may be governed by ALKBH5. These findings prompt us to understand the importance of epigenetic and epitranscriptomic regulation in paraspeckle assembly in response to physiological or pathological stress.
CXCL8, as one of the key deregulated cytokine genes by hyperactive ALKBH5, has already been widely studied in cancer cells as well as immune cells. In addition to hypoxia, TNFα and ionizing radiation have been found to stimulate IL8 secretion (49, 50). Further studies are required to find out whether the ALKBH5/paraspeckle/CXCL8 axis is also activated in these stress conditions. As a paracrine factor, IL8 binds to CXCR1 and most importantly CXCR2 to induce tumor progression and TME remodeling (50, 51). Accordingly, CXCL/CXCR2 targeting has been shown to be effective to prime TME and augment immunotherapy in a few types of cancers (52, 53). More attractively, Chimeric antigen receptor T cells modified to express CXCR1 or CXCR2 showed significantly enhanced intratumoral T-cell trafficking to IL8-releasing tumor cells and complete tumor regression in preclinical cancer models (49).
To sum, our study has highlighted a TME remodeling mechanism involving hypoxia-induced epigenetic and epitranscriptomic deregulation. Furthermore, our findings will hopefully provide novel antitumor therapeutic strategies. And it is worthwhile testing whether IL8 could be a feasible prognostic biomarker for immunotherapy in preclinical or clinical antitumor studies.
Authors' Disclosures
No disclosures were reported.
Authors' Contributions
F. Dong: Performed experiments, analyzed the data, prepared the figures and wrote the article. X. Qin: Conducted m6a-seq, m6a-QPCR and IF assays. B. Wang: Conducted in vitro Transwell assay and IHC analysis. Q. Li: RNA-seq and m6a-seq analysis. J. Hu: Conducted in vitro Transwell assay and IHC analysis. X. Cheng: Collected the GBM samples and prepared the tissue sections, assisted the IHC analysis. D. Guo: Collected the GBM samples and prepared the tissue sections, assisted the IHC analysis. F. Cheng: Collected the GBM samples and prepared the tissue sections, assisted the IHC analysis. C. Fang: Collected the GBM samples and prepared the tissue sections, assisted the IHC analysis. Y. Tan: Collected the GBM samples and prepared the tissue sections, assisted the IHC analysis. H. Yan: provided assistance in molecular cloning, tissue culture, and xenografting assays. Y. He: Provided assistance in molecular cloning, tissue culture, and xenografting assays. X. Sun: Provided assistance in molecular cloning, tissue culture, and xenografting assays. Y. Yuan: RNA-seq analysis. H. Liu: Provided assistance in molecular cloning, tissue culture, and xenografting assays. T. Li: Provided assistance in molecular cloning, tissue culture, and xenografting assays. Y. Zhao: Provided assistance in molecular cloning, tissue culture, and xenografting assays. C. Kang: Resources. X. Wu: Conceptualized and supervised the project and wrote the article.
Acknowledgments
The authors are grateful to Dr. H. Wang for the dCas13b constructs. They sincerely thank Dr. D. Hu (TMU) for helpful discussions. This study was supported by National Key Research and Development program (2017YFA0504102 to X. Wu), the National Natural Science Foundation of China (81772676, 31970579 to X. Wu; 82002654 to F. Dong; 82072797 to B. Wang; 82073138 to Q. Li), the Natural Science Foundation of Tianjin Municipal Science and Technology Commission (18JCJQJC48200 to X. Wu), Chinese Academy of Medical Sciences (grant number 157-Z20-04 to X. Wu), Key Research Project of Tianjin Education Commission (2020ZD13 to X. Wu), China Postdoctoral Science Foundation grant (2019M66103713; to F. Dong), and Tianjin Medical University Talent Excellence Program (to X. Wu).
The costs of publication of this article were defrayed in part by the payment of page charges. This article must therefore be hereby marked advertisement in accordance with 18 U.S.C. Section 1734 solely to indicate this fact.





