Abstract
Ovarian cancer spheroids constitute a metastatic niche for transcoelomic spread that also engenders drug resistance. Spheroid-forming cells express active STAT3 signaling and display stem cell–like properties that may contribute to ovarian tumor progression. In this study, we show that STAT3 is hyperactivated in ovarian cancer spheroids and that STAT3 disruption in this setting is sufficient to relieve chemoresistance. In an NSG murine model of human ovarian cancer, STAT3 signaling regulated spheroid formation and self-renewal properties, whereas STAT3 attenuation reduced tumorigenicity. Mechanistic investigations revealed that Wnt signaling was required for STAT3-mediated spheroid formation. Notably, the Wnt antagonist DKK1 was the most strikingly upregulated gene in response to STAT3 attenuation in ovarian cancer cells. STAT3 signaling maintained stemness and interconnected Wnt/β-catenin signaling via the miR-92a/DKK1–regulatory pathways. Targeting STAT3 in combination with paclitaxel synergistically reduced peritoneal seeding and prolonged survival in a murine model of intraperitoneal ovarian cancer. Overall, our findings define a STAT3–miR-92a–DKK1 pathway in the generation of cancer stem–like cells in ovarian tumors, with potential therapeutic applications in blocking their progression. Cancer Res; 77(8); 1955–67. ©2017 AACR.
Introduction
Epithelial ovarian cancer (EOC) is the most lethal of all gynecologic malignancies, and the majority of cases are discovered when the primary tumor has already metastasized. Despite the high complete response rate after maximal debulking surgery and platinum/taxane–combination chemotherapy, approximately 75% of patients with advanced EOC develop recurrent disease within 3 years of diagnosis (1). Recurrent disease is generally not curable, and the relative survival rates at 10 years for stage III and IV disease are 23% and 8%, respectively (2).
The metastatic pattern of EOC differs from that of most other epithelial malignant diseases. After direct extension, EOC most frequently disseminates via the transcoelomic route, with approximately 70% of patients having diffuse multifocal intraperitoneal metastasis and malignant ascites at staging laparotomy (3). Malignant cells are exfoliated as single cells and multicellular aggregates (spheroids) from the primary tumor to the peritoneal cavity (4), where distribution is facilitated by the peritoneal fluid. The accumulation of carcinomatous ascites, comprised of cellular components, membrane-bound vesicles, and soluble proteins, establishes a unique metastatic niche for the progression of metastatic disease (5). More importantly, the majority of current chemotherapeutic agents are ineffective in inhibiting anchorage-independent growth associated with a three-dimensional structure. It has become apparent that spheroids of malignant cells contained within malignant ascites are a major source of disease recurrence and significantly impede efficacious treatment of advanced EOC (6).
The multicellular nature of the spheroids is thought to be attributable to adhesive molecules that mediate cell–cell and cell-secreted extracellular matrix (ECM) interactions (7, 8). It was reported that the type I calcium-dependent cadherins, N- and E-cadherin, dominantly mediate spheroid compaction (9, 10). Indeed, an epithelial–mesenchymal transition (EMT) spectrum can define a spheroidogenic intermediate mesenchymal state, and such EMT gene expression signatures correlate with worse clinical outcomes (11–13). These EMT and cancer stem cell (CSC)-like phenotypes may facilitate chemoresistance in recurrent EOC (14). Genomic signature analysis identified several CSC markers that were upregulated in spheroids, including ALDH1A1, β-catenin, and c-KIT (15). These data strongly support the hypothesis that EOC cells that form spheroids are enriched for CSCs, allowing transcoelomic metastasis and persistence after chemotherapy.
Tumor cells isolated from the ascites of recurrent EOC patients are enriched with tumor cells overexpressing EPCAM/STAT3 compared with cells isolated from the ascites of chemotherapy-naïve patients (16). STAT3 activation has been implicated in the self-renewal and survival of embryonic, hematopoietic, and CSCs (17–20); however, its role in ovarian CSCs has not yet been defined. We hypothesize that the inhibition of STAT3 disrupts spheroid formation, impairs ovarian CSCs, impacts drug sensitivity, and blocks cancer metastasis. In particular, we demonstrate that STAT3 directly activates the transcription of miRNA miR-92a-1, which leads to the downregulation of the DICKKOPF-1 (DKK1) gene, a Wnt antagonist, in three-dimensional culture models. These STAT3-mediated regulatory circuits are required for spheroid formation in diverse cell lines and intraperitoneal tumor growth in xenografts, supporting the idea that the inhibition of this pathway is vital to the discovery of a cure.
Materials and Methods
Antibodies and reagents
Antibodies against P-STAT3, STAT3, β-catenin, E-cadherin, OCT4, PARP, cleaved caspase-3, P-ERK, and ERK were purchased from Cell Signaling Technology, and antibody against SOX2 was obtained from GeneTex. All of the chemicals and McCoy 5A medium were purchased from Sigma.
Specimens and IHC
Tissues were obtained from the Cancer Tissue Core of the National Taiwan University Hospital (NTUH, Taipei, Taiwan) and Kaohsiung Chang Gung Memorial Hospital. Immunostaining was performed using the SuperPicture Kit (Life Technologies). Immunointensity was independently scored by two pathologists based on both nuclear immunoreactivity and extent. The percentage of cells that stained positive within the tumor was scored on a scale of 1–4 where 1 = ≤10%, 2 = 11%–50%, 3 = 51%–75%, and 4 = >75%. Written informed consent was obtained from each patient, and the use of the clinical samples was approved by the Research Ethics Review Committee.
Immunofluorescence
Adherent and nonadherent cells were plated on tissue culture–treated chamber slides. Cells grown on chamber slides were fixed in 4% paraformaldehyde and permeabilized with ice-cold 100% methanol. Fixed cells were incubated in blocking buffer and then with anti-phospho-STAT3 (Alexa Fluor 488 conjugated). Finally, the slides were incubated with DAPI in PBS, and mounted with Dako Fluorescent Mounting Medium.
Cell culture
Primary EOC cells were obtained from malignant ascites of three consecutive relapsing patients. Written informed consent was obtained from each patient, and the use of the clinical samples was approved by the Institutional Review Board at NTUH (Taipei, Taiwan). The SKOV3 and ES2 cells were obtained from the ATCC. The HeyA8 cells were obtained from Dr. Jean-Paul Thiery (A*STAR, Singapore). All cell lines used in this study were authenticated by Promega using STR genotyping. The Tet-inducible STAT3 shRNA-expressing cells were established by infection with lentivirus. The luciferase-expressing cells were established by infection with the pWPXL-Luc2-IRES-Puro–expressing lentivirus.
Vector construction
The pLVTHM, pLV-tTRKRAB, and pWPXL constructs (Addgene plasmids 12247, 12249, and 12257, respectively) were described and provided by Dr. D. Trono (Global Health Institute, School of Life Sciences, EPFL, Lausanne, Switzerland; ref. 21). To construct the Tet-inducible shRNA lentiviral vector, the STAT3 shRNA sequences were synthesized, pair annealed, and subcloned into the pLVTHM vector. The target sequences of STAT3 shRNA#1 and shRNA#2 are described in Supplementary Table S1. To construct pWPXL-Luc2-IRES-Puro, the sequence encoding Luc2 was excised from pGL4 and inserted into pWPXL-IRES-Puro upstream of the IRES-Puro cassette.
Western blot analysis
Cells were lysed in NETN lysis buffer containing a protease inhibitor cocktail (Sigma). Equal amounts of proteins were separated by SDS-PAGE and transferred to a polyvinylidene fluoride membrane. After blocking, the membrane-bound proteins were probed with the indicated primary antibodies. After washing and incubating with secondary antibodies, antibody-bound proteins were detected using enhanced chemiluminescence reagents (Millipore).
Anoikis assay
Cells were plated at 5 × 105 cells/mL in growth medium in 3% poly-HEMA–coated tissue culture plates. At the end of the indicated culture period, 150-μL aliquots were transferred to 96-well plates. Cell survival was determined using the CellTiter AQueous reagent (Promega).
Culture of ovarian cancer spheroids
Cells (100 cells/mL) were seeded onto 96-well ultra-low plates (Corning) in DMEM/F12 medium (Invitrogen) supplemented with 20 ng/mL EGF, 20 ng/mL bFGF, and 5 μg/mL insulin. Images of the spheroids were obtained, and the number of spheroids was counted under a microscope 14 days after cell seeding.
Detection of ALDH1+ cells
ALDH1 enzyme activity was detected using the ALDEFLUOR kit (Aldagen). Briefly, cells were loaded with the enzyme substrate either alone or in the presence of the specific enzyme inhibitor diethylamino-benzyaldehyde (DEAB). After 30 minutes at 37°C, the cells were analyzed using a BD FACSAria III flow cytometer with a 488-nm blue laser and 530/30 bandpass filter. ALDH1+ cells were identified as having greater fluorescence than cells in which enzyme activity was inhibited by DEAB.
Tumor formation assay
Varying numbers of SKOV3/scramble and SKOV3/STAT3 shRNA#1 cells were prepared. The cells were serially diluted and resuspended in 100 μL of a 1:1 mixture of PBS and Matrigel and then injected subcutaneously into the right and left flanks of 6-week-old female NOD/SCID/IL2rγnull (NSG) mice. Each unique xenograft was treated as an individual experiment, and a total of 20 mice (different number of cells were injected on each flank; n = 5 injections per group) were used to evaluate the clonogenic growth potential of each starting xenograft. Tumor formation was considered positive if a mass greater than 1 cm in diameter was detected by palpation.
Quantitative RT-PCR
Real-time PCR was performed using the Applied Biosystems StepOne Real-Time PCR Systems (Applied Biosystems). All qPCR reactions were performed in duplicate and the amplification signal from the target gene was normalized to a GAPDH signal. For pri-miRNA and pre-miRNA detection, the sequences of the primers are described in Supplementary Table S2. For the detection of mature miR-92a, the TaqMan MicroRNA assay kit (Applied Biosystems) was used according to the manufacturer's instructions. All qPCR reactions were performed in duplicate and the amplification signal from the target miRNA was normalized to a U6 signal. The average of three experiments each performed in triplicate with SEs is presented.
TaqMan qPCR array for human WNT pathway
TaqMan array plates of 92 genes to WNT signaling–associated genes and 4 assays to candidate endogenous control were used to perform qPCR analysis (Applied Biosystems). Results were expressed as fold change, by comparing STAT3 knockdown SKOV3 cells with scramble control after correction for housekeeping genes, using the threshold cycle (Ct) method and the 2ΔΔCt formula.
Luciferase assays
Luciferase reporter assays were carried out using the Luciferase Assay System (Promega). The reporter gene construct and pTK-Renilla construct were cotransfected into cells, and luciferase activity was measured with the Dual-Luciferase Reporter Assay System (Promega). The results are expressed as luciferase/Renilla ratios and represent the average ± SD of at least three experiments, each performed in triplicate.
Animal studies and bioluminescence
All of the procedures were carried out according to the animal protocol approved by the National Taiwan University College of Medicine Institutional Animal Care and Use Committee. Age-matched NOD/SCID female mice (6–8 weeks old) were used. A total of 3 × 106 luciferase-expressing SKOV3/tTR/STAT3 shRNA cells were intraperitoneally (i.p.) injected, and the mice were separated into 4 treatment groups. In the doxycycline treatment group, a rodent diet with 625 mg/kg doxycycline (Harlan-Teklad) was administered 14 days after the injection. In the paclitaxel treatment group, beginning on day 14 after tumor inoculation, the mice were treated with paclitaxel (Sinphar) once a week for 6 consecutive weeks. Tumor progression was monitored using bioluminescence (IVIS Spectrum), and the survival was monitored daily. Tissue samples were collected on the indicated days after injection for pathologic analysis.
Statistical analyses
Data are expressed as the means ± SD. Differences were analyzed by one-way ANOVA. The median difference in paired data was tested by the Wilcoxon signed rank test. Survival analyses were conducted using the Kaplan–Meier method and log-rank test. P < 0.05 was considered significant.
Results
STAT3 activation in chemoresistant ovarian carcinoma ascites spheroids
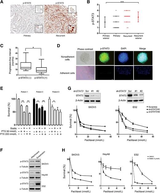
To address whether STAT3 activation was associated with EOC progression, we compared the expression levels of p-STAT3 in 31 paired primary and recurrent tumor tissues. The clinicopathologic characteristics are presented in Supplementary Table S3. Figure 1A shows representative examples of the differential nuclear p-STAT3 staining between paired primary and recurrent tumors. High levels of STAT3 phosphorylation (p-STAT3 score ≥ 3) were observed by IHC in 32.3% of primary (10/31) and 67.7% of recurrent (21/31) EOC tissues. Significantly higher levels of STAT3 phosphorylation were found in recurrent tumors (P < 0.0001, Wilcoxon signed rank test; Fig. 1B). Indeed, STAT3 activation in ovarian cancer was significantly associated with a reduced progression-free interval (10.6 ± 7.2 vs. 17.3 ± 8.9 months, P < 0.05; Fig. 1C).
Activation of STAT3 in EOC. A, Representative expression of p-STAT3 in matched primary and recurrent ovarian cancers. p-STAT3 is overexpressed in the recurrent tumors with strong nuclear staining. B, Distribution of p-STAT3 immunohistochemical staining scores in 31 paired primary and recurrent ovarian cancers. C, Comparison of the disease-free intervals in ovarian cancer patients with or without STAT3 activation. D, Representative immunofluorescent images of tumor cells isolated from ascites associated with recurrent EOC in three-dimensional cultures. E, The selective STAT3 inhibitor Stattic (5 μmol/L) sensitized EOC spheroids to paclitaxel. Plot of viability, measured by the MTS assay (72 hours), of primary EOC cells derived from malignant ascites of recurrent EOC patients. All experiments were performed in triplicate. F, Immunoblotting of various EOC cell lines showing the expression of p-STAT3 protein on monolayer or three-dimensional cultures. α-Tubulin was used as a loading control. G, STAT3 silencing promotes anoikis in EOC cells exposed to paclitaxel. Top, expression of STAT3 and β-actin was examined by Western blot analysis. Bottom, SKOV3 and ES2 cells were cultured in poly-HEMA–coated plates and were treated with either paclitaxel alone or together with STAT3 knockdown in floating culture. After 72 h, MTS assay was performed. Error bars represent the SD from triplicate cultures. Each experiment was repeated at least three times with similar results. H, Combination of STAT3 inhibitor and paclitaxel effectively leads to anoikis in EOC cell lines. Cell lines grown in three-dimensional cultures were treated with paclitaxel, with or without 5 μmol/L Stattic for 96 hours, and cell viability was analyzed by an MTS assay. Results are mean ± SD of three independent experiments. Across all panels, *, significant change t test P < 0.05; **, P < 0.01; and ***, P < 0.001.
Activation of STAT3 in EOC. A, Representative expression of p-STAT3 in matched primary and recurrent ovarian cancers. p-STAT3 is overexpressed in the recurrent tumors with strong nuclear staining. B, Distribution of p-STAT3 immunohistochemical staining scores in 31 paired primary and recurrent ovarian cancers. C, Comparison of the disease-free intervals in ovarian cancer patients with or without STAT3 activation. D, Representative immunofluorescent images of tumor cells isolated from ascites associated with recurrent EOC in three-dimensional cultures. E, The selective STAT3 inhibitor Stattic (5 μmol/L) sensitized EOC spheroids to paclitaxel. Plot of viability, measured by the MTS assay (72 hours), of primary EOC cells derived from malignant ascites of recurrent EOC patients. All experiments were performed in triplicate. F, Immunoblotting of various EOC cell lines showing the expression of p-STAT3 protein on monolayer or three-dimensional cultures. α-Tubulin was used as a loading control. G, STAT3 silencing promotes anoikis in EOC cells exposed to paclitaxel. Top, expression of STAT3 and β-actin was examined by Western blot analysis. Bottom, SKOV3 and ES2 cells were cultured in poly-HEMA–coated plates and were treated with either paclitaxel alone or together with STAT3 knockdown in floating culture. After 72 h, MTS assay was performed. Error bars represent the SD from triplicate cultures. Each experiment was repeated at least three times with similar results. H, Combination of STAT3 inhibitor and paclitaxel effectively leads to anoikis in EOC cell lines. Cell lines grown in three-dimensional cultures were treated with paclitaxel, with or without 5 μmol/L Stattic for 96 hours, and cell viability was analyzed by an MTS assay. Results are mean ± SD of three independent experiments. Across all panels, *, significant change t test P < 0.05; **, P < 0.01; and ***, P < 0.001.
Tumor cells in ascites, which survive as spheroids and exhibit chemoresistance (22, 23), are a major source of disease recurrence in EOC patients. These nonadherent tumor cells that are isolated from the ascites of recurrent EOC patients are enriched with phosphorylated STAT3 (Fig. 1D). Remarkably, we observed that treatment with higher concentrations of paclitaxel resulted in a marginal increase in cell death of primary tumor spheroids derived from recurrent EOC patients, which could be substantially enhanced by concurrent STAT3 inhibition (Fig. 1E). Consistent with these observations, phosphorylation of STAT3 increased when the cells were grown in three-dimensional suspension cultures compared with two-dimensional adherent cultures in a panel of EOC cell lines (SKOV3, HeyA8, and ES2; Fig. 1F). We speculated therefore that STAT3 activation is responsible for anchorage-independent EOC cell growth and chemoresistance. Accordingly, we found that knockdown of STAT3 (STAT3-KD) resulted in a significant reduction in the survival of EOC cells grown in three-dimensional suspension cultures (Supplementary Fig. S1). STAT3-KD significantly enhanced paclitaxel-induced anoikis in EOC cells (Fig. 1G), which correlated with the downregulation of various antiapoptotic gene products, including XIAP and Bcl-xL (Supplementary Fig. S2). In line with this, a nonpeptide small-molecule inhibitor of STAT3 could quantitatively sensitize the response of EOC cells grown in three-dimensional suspension cultures to paclitaxel (Fig. 1H). Collectively, our data suggest that the disruption of STAT3 could impact the chemoresistance of these nonadherent EOC cells.
STAT3 signaling regulates EOC stem cell–like properties
To determine whether STAT3 activation is indispensable in EOC spheroid formation, we developed stable sublines of SKOV3 cells that inducibly express shSTAT3 in the presence of tetracycline (Tet-on). Tight regulation of the gfp marker was achieved through the incubation of each subline with 5 μg/mL of doxycycline, and the levels of STAT3 and p-STAT3 were readily suppressed after 48 hours of repression (Fig. 2A and Fig. 5A). Cultures of both SKOV3/tTR/STAT3 shRNA#1 and SKOV3/tTR/STAT3 shRNA#2 cells were dissociated, and single cells were then plated. Without doxycycline, the SKOV3/tTR/STAT3 shRNA#1 and SKOV3/tTR/STAT3 shRNA#2 cells grown on ultra-low attachment culture plates formed compact spheroids after 12 days. In contrast, both cell lines hardly formed multicellular aggregates or spheroids in the presence of doxycycline (Fig. 2B, top). Furthermore, the treatment of intact SKOV3/tTR/STAT3 shRNA#1 and SKOV3/tTR/STAT3 shRNA#2 spheroids with doxycycline led to the dissociation of the established spheroids (Fig. 2B, bottom). We observed that Tet-on STAT3-KD in the SKOV3 cells resulted in a significant decrease in the formation of spheroids (Fig. 2C). Similar results were observed in other EOC cell lines (Supplementary Fig. S3). Moreover, treatment with paclitaxel or cisplatin resulted in a 25%–50% decrease in spheroid formation, which was significantly enhanced by concurrent STAT3 inhibition (Fig. 2D). These observations suggest that the activation of STAT3 is involved in EOC spheroid formation and that STAT3-KD could overcome spheroid-related chemoresistance. One of the striking features of EOC spheroids is the enrichment of cells with a CSC-like phenotype. We measured ALDH1 activity to assess whether STAT3 activation in EOC cells could affect characteristic traits of tumor-initiating cells. Flow cytometry analysis showed a reduced number of Aldefluor+ cells in STAT3-KD SKOV3 spheroids compared with parental cell spheroids (0.03% and 0.2% vs. 4.5%; Fig. 2E). Additional immunoblotting analyses validated the decreased expression of OCT4 and SOX2 in STAT3-KD EOC spheroids (Fig. 2F). As the number of tumor-initiating cells correlates with tumorigenic capacity in animals, we next measured the effect of STAT3-KD on EOC tumorigenicity in NSG mice. Notably, STAT3-KD either led to a reduced number of tumor-bearing mice or a reduction in the average size of the primary tumors, indicating reduced tumorigenicity (Fig. 2G and data not shown).
Activation of STAT3 in ovarian cancer spheroids regulates stem cell–like properties. A, Immunoblot analysis of STAT3/p-STAT3 levels in SKOV3 with doxycycline (Dox)-inducible STAT3 knockdown expressing system at 3 days after doxycycline treatment. B, Top, representative spheroids formed by SKOV3 transduced with the doxycycline-inducible vectors. Bottom, the doxycycline switches were performed at day 14. C, Plot of the number of spheroids formed per 1,000 cells in selected SKOV3. Error bars represent the SD from triplicate cultures. D, Plot of the number of spheroids formed by SKOV3 scramble/SKOV3 STAT3-KD cells (per 1,000 cells) in the presence or absence of paclitaxel (100 nmol/L) or cisplatin (50 μmol/L). E, ALDEFLUOR staining of ALDH+ and ALDH− SKOV3 cells with DEAB controls. All data are representative of at least three independent experiments. F, Immunoblot analysis of SKOV3 scramble/SKOV3 STAT3-KD cells in spheroid culture for the expression of OCT4 and SOX2. α-Tubulin was used as a loading control. G, The incidence of mouse xenograft tumors derived from SKOV3 scramble or SKOV3 STAT3-KD cells, following subcutaneous injection into NSG mice (n = 5 injections per group) at different cell numbers (1 × 105, 1 × 104, 1 × 103, and 1 × 102 cells). Across all panels, **, significant change t test P < 0.01.
Activation of STAT3 in ovarian cancer spheroids regulates stem cell–like properties. A, Immunoblot analysis of STAT3/p-STAT3 levels in SKOV3 with doxycycline (Dox)-inducible STAT3 knockdown expressing system at 3 days after doxycycline treatment. B, Top, representative spheroids formed by SKOV3 transduced with the doxycycline-inducible vectors. Bottom, the doxycycline switches were performed at day 14. C, Plot of the number of spheroids formed per 1,000 cells in selected SKOV3. Error bars represent the SD from triplicate cultures. D, Plot of the number of spheroids formed by SKOV3 scramble/SKOV3 STAT3-KD cells (per 1,000 cells) in the presence or absence of paclitaxel (100 nmol/L) or cisplatin (50 μmol/L). E, ALDEFLUOR staining of ALDH+ and ALDH− SKOV3 cells with DEAB controls. All data are representative of at least three independent experiments. F, Immunoblot analysis of SKOV3 scramble/SKOV3 STAT3-KD cells in spheroid culture for the expression of OCT4 and SOX2. α-Tubulin was used as a loading control. G, The incidence of mouse xenograft tumors derived from SKOV3 scramble or SKOV3 STAT3-KD cells, following subcutaneous injection into NSG mice (n = 5 injections per group) at different cell numbers (1 × 105, 1 × 104, 1 × 103, and 1 × 102 cells). Across all panels, **, significant change t test P < 0.01.
Regulation of Wnt/β-catenin signaling by STAT3 in EOC spheroids
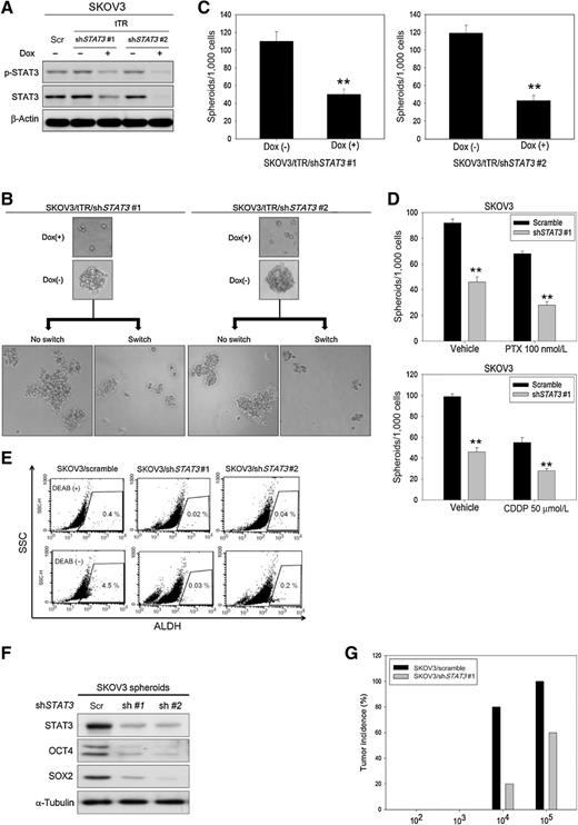
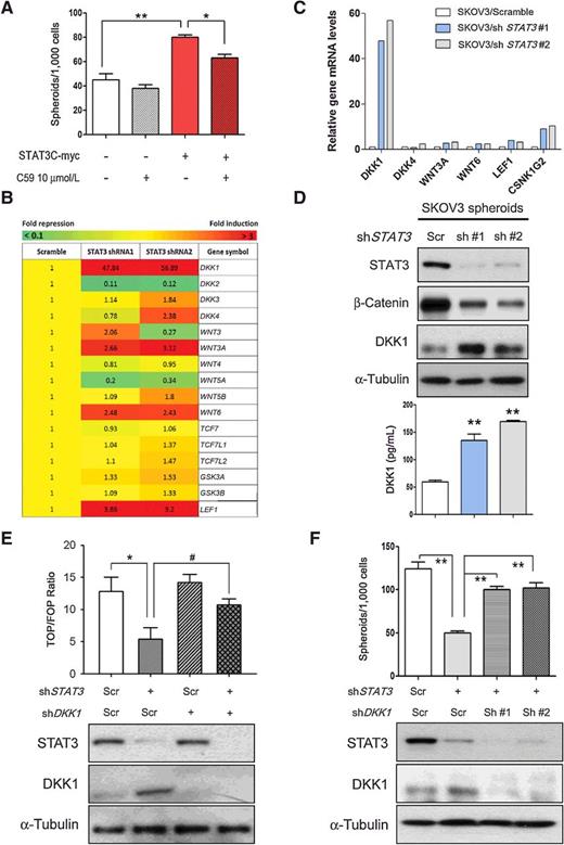
It is known that the Wnt/Wingless pathway contributes to the regulation of CSCs in different organs and has a crucial role in cell transformation and tumor progression of EOC (24). Activation of β-catenin regulates the tumor-initiating capacity of EOC and is instrumental in EOC spheroid formation and tumor metastases (15). The Wnt antagonist compound C59, which interferes with zygotic Wnt ligand secretion, was used to determine whether the Wnt/β-catenin pathway mediates STAT3-induced spheroid formation in EOC. Overexpression of STAT3 in SKOV3 cells remarkably induced spheroid formation, whereas C59 treatment significantly diminished STAT3-induced spheroid formation capacity (Fig. 3A). To explore the potential regulation of the Wnt pathway by STAT3 in EOC spheroid formation, qPCR analysis using a TaqMan low-density array was used. STAT3-KD mediated the differential expression of genes associated with Wnt signaling, which are listed in Fig. 3B. Among them, the Wnt antagonist DKK1 was the most strikingly upregulated gene in response to STAT3-KD in SKOV3 cells (Fig. 3C). In addition, we analyzed DKK1 protein levels in cell lysates and conditioned media from three-dimensional cancer spheroid cultures and found that the DKK1 protein level was significantly increased in STAT3-KD SKOV3 cells compared with parental cells (Fig. 3D). Consistent with the suppression of β-catenin in SKOV3/STAT3-KD spheroids (Fig. 3D), functional canonical Wnt signaling was significantly inhibited in response to STAT3-KD compared with control shRNA cells based on a TCF/LEF reporter assay (Fig. 3E). To further define the role of DKK1 in decreasing spheroid formation in this context, we infected SKOV3/STAT3-KD cells with lentiviral shRNAs targeting DKK1 or a scramble control. Silencing of DKK1 remarkably reversed the sphere-forming ability of SKOV3/STAT3-KD cells compared with cells infected with a scramble control (Fig. 3F).
Wnt signaling is critical for the STAT3-mediated stem cell-like phenotype. A, Spheroid-forming ability of the STAT3-overexpressing SKOV3 cells treated with the Wnt inhibitor C59 by quantifying the number of tumor spheroids. B, The Wnt pathway gene expression levels are represented as a heatmap. C, qPCR analysis of genes involved in the Wnt signaling pathway in SKOV3 spheroids. D, Top, Western blot analysis of STAT3, β-catenin, DKK1, and α-tubulin in SKOV3 cells infected with scramble or STAT3 shRNAs. Bottom, ELISA analysis of DKK1 levels in conditioned media of SKOV3 cells infected with scramble or STAT3 shRNAs. E, Either TOP or FOP TCF luciferase along with Renilla (RL) luciferase were transfected into stable SKOV3 cells expressing shDKK1, shSTAT3, or both. Luciferase reporter activity was calculated by dividing the ratio TOP/RL by the FOP/RL ratio. *, P < 0.05 compared with the control group; #, P < 0.05 compared with the STAT3-KD group. F, Spheroid-forming ability of STAT3-KD SKOV3 cells expressing control or DKK1 shRNA by quantifying the number of tumor spheroids. Across all panels, *, significant change t test P < 0.05; **, P < 0.01.
Wnt signaling is critical for the STAT3-mediated stem cell-like phenotype. A, Spheroid-forming ability of the STAT3-overexpressing SKOV3 cells treated with the Wnt inhibitor C59 by quantifying the number of tumor spheroids. B, The Wnt pathway gene expression levels are represented as a heatmap. C, qPCR analysis of genes involved in the Wnt signaling pathway in SKOV3 spheroids. D, Top, Western blot analysis of STAT3, β-catenin, DKK1, and α-tubulin in SKOV3 cells infected with scramble or STAT3 shRNAs. Bottom, ELISA analysis of DKK1 levels in conditioned media of SKOV3 cells infected with scramble or STAT3 shRNAs. E, Either TOP or FOP TCF luciferase along with Renilla (RL) luciferase were transfected into stable SKOV3 cells expressing shDKK1, shSTAT3, or both. Luciferase reporter activity was calculated by dividing the ratio TOP/RL by the FOP/RL ratio. *, P < 0.05 compared with the control group; #, P < 0.05 compared with the STAT3-KD group. F, Spheroid-forming ability of STAT3-KD SKOV3 cells expressing control or DKK1 shRNA by quantifying the number of tumor spheroids. Across all panels, *, significant change t test P < 0.05; **, P < 0.01.
miR-92a-1 is regulated by STAT3 and targets DKK1
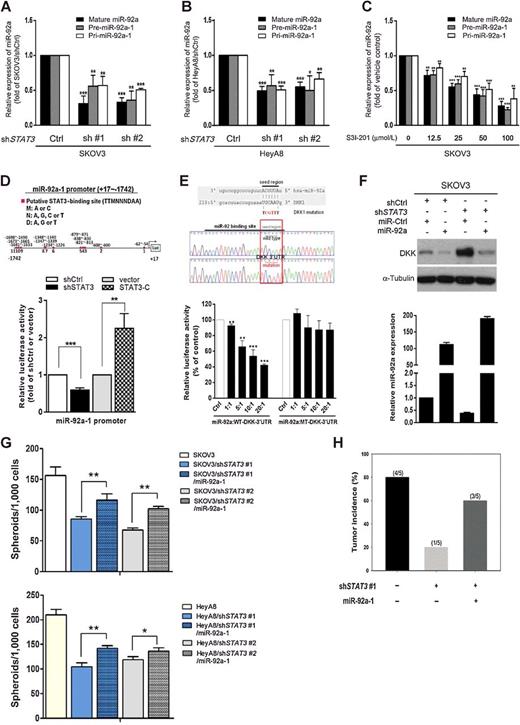
Next, we used computational target prediction to identify the DKK1 gene as a potential target of miR-92a. It is known that STAT3 transcriptionally upregulates miR-92a in cancer cells (25). Therefore, we examined whether STAT3 suppresses DKK1 expression through the upregulation of miR-92a. The significant reduction of mature miR-92a, pre-miR-92a-1, and pri-miR-92a-1 was observed in STAT3-KD SKOV3 and HeyA8 cells (Fig. 4A and B). The STAT3 inhibitor S3I-201 suppressed miR-92a expression in a dose-dependent manner in SKOV3 cells (Fig. 4C). To confirm the transcriptional control of miR-92a by STAT3, the promoter region, which contains numerous putative STAT3-binding sites, was investigated by the luciferase reporter assay. The results showed that knockdown or overexpression of STAT3 markedly inhibited or enhanced miR-92a promoter activity, respectively (Fig. 4D). These findings demonstrated that STAT3 transcriptionally controls miR-92a expression. Because DKK1 was predicted as a target of miR-92a and is suppressed by STAT3, we found that the 3′UTR of DKK1 encompasses a complementary binding region against miR-92a. To verify the role of miR-92a in DKK1 expression, the DKK1 3′UTR fragment harboring the putative miRNA-binding sites (wild-type and mutant) was cloned into the luciferase reporter gene. Luciferase activity of WT-DKK1 3′UTR was significantly reduced by miR-92a in a dose-dependent manner, whereas miR-92a abrogated the reduction of luciferase activity of the MT-DKK1 3′UTR (Fig. 4E). We then determined the expression of DKK1 in shSTAT3- or miR-92a–expressing SKOV3 cells. Expression of DKK1 was increased by STAT3-KD, while overexpression of miR-92a markedly inhibited shSTAT3-induced DKK1 expression (Fig. 4F), suggesting that the suppression of DKK1 by STAT3 is through the upregulation of miR-92a. To further validate the functional role of miR-92a in ovarian cancer spheroids, we determined the spheroid formation in STAT3-KD cells and found that the decreased spheroid formation by STAT3 inhibition was recovered by overexpression of miR-92a (Fig. 4G). Consistent with the in vitro results, enhanced tumorigenicity was observed in mice bearing miR-92a–overexpressing SKOV3/STAT3-KD xenografts (Fig. 4H). Taken together, these observations showed that STAT3-induced miR-92a expression is required for spheroid formation and tumor growth.
Epigenetic silencing of DKK1 by mir-92a. A and B, The expression of mature miR-92a, pre-miR-92a-1, and pri-miR-92a-1 was detected in STAT3-KD SKOV3 and HeyA8 cells by qRT-PCR analysis. C, Assessment of the expression of mi-92a and subsequent qRT-PCR analysis were performed after SKOV3 cells were treated with various doses of the STAT3 inhibitor S3I-201. D, Luciferase reporter assays were carried out using SKOV3 cells overexpressing STAT3-C or the vector controls or cells expressing either a control shRNA or a shRNA targeting STAT3. The results showed that miR-92a promoter activity was regulated by STAT3 expression. E, DKK1 3′-UTR is the direct target of miR-92a. The diagram shows miR-92a and its putative binding site at the 3′-UTR of DKK1 and the sequences of WT and MT DKK1 3′-UTR. A luciferase reporter assay was used to assess whether miR-92a can directly bind to the 3′-UTR of DKK1. F, The expression of DKK1 is suppressed by STAT3 through the upregulation of miR-92a. Western blot analysis was used to detect the protein expression of DKK1 in SKOV3 cells in which STAT3 was knocked down using shRNA or miR-92a was overexpressed. Tubulin was used as an internal control. G, Spheroid formation was determined in SKOV3 and HeyA8 cells in which STAT3 was knocked down with shRNA and/or miR-92a was overexpressed. H, The incidence of xenograft tumor was increased by STAT3 through miR-92a. NSG mice were separated into groups and injected subcutaneously with shSTAT3-, shSTAT3/miR-92a-, or vector control–expressing SKOV3 cells to observe tumorigenicity. Across all panels, *, significant change t test P < 0.05; **, P < 0.01; and ***, P < 0.001.
Epigenetic silencing of DKK1 by mir-92a. A and B, The expression of mature miR-92a, pre-miR-92a-1, and pri-miR-92a-1 was detected in STAT3-KD SKOV3 and HeyA8 cells by qRT-PCR analysis. C, Assessment of the expression of mi-92a and subsequent qRT-PCR analysis were performed after SKOV3 cells were treated with various doses of the STAT3 inhibitor S3I-201. D, Luciferase reporter assays were carried out using SKOV3 cells overexpressing STAT3-C or the vector controls or cells expressing either a control shRNA or a shRNA targeting STAT3. The results showed that miR-92a promoter activity was regulated by STAT3 expression. E, DKK1 3′-UTR is the direct target of miR-92a. The diagram shows miR-92a and its putative binding site at the 3′-UTR of DKK1 and the sequences of WT and MT DKK1 3′-UTR. A luciferase reporter assay was used to assess whether miR-92a can directly bind to the 3′-UTR of DKK1. F, The expression of DKK1 is suppressed by STAT3 through the upregulation of miR-92a. Western blot analysis was used to detect the protein expression of DKK1 in SKOV3 cells in which STAT3 was knocked down using shRNA or miR-92a was overexpressed. Tubulin was used as an internal control. G, Spheroid formation was determined in SKOV3 and HeyA8 cells in which STAT3 was knocked down with shRNA and/or miR-92a was overexpressed. H, The incidence of xenograft tumor was increased by STAT3 through miR-92a. NSG mice were separated into groups and injected subcutaneously with shSTAT3-, shSTAT3/miR-92a-, or vector control–expressing SKOV3 cells to observe tumorigenicity. Across all panels, *, significant change t test P < 0.05; **, P < 0.01; and ***, P < 0.001.
Interrupting the EOC stem cell pathway by targeting STAT3 suppresses peritoneal seeding and overcomes chemoresistance in vivo
Our cell-based studies demonstrated that STAT3-KD prevented spheroid formation and enhanced cytotoxicity of chemotherapy agents in vitro (Figs. 1 and 2). To determine the relevance of these findings in vivo, we examined Tet-inducible STAT3 inhibition in a murine model of intraperitoneal SKOV3 tumors. We previously showed that SKOV3 tumors exhibit active STAT3 signaling and display extensive intraperitoneal tumor seeding and signs of ascites formation following inoculation (26). In mice receiving SKOV3/tTR/STAT3 shRNA#2 xenografts, adding doxycycline to the food resulted in robust GFP expression in the tumors compared with the xenografts in the absence of doxycycline, reflecting the tight control of a gfp marker in vivo (Fig. 5A). Paclitaxel alone substantially inhibited ascites formation compared with the control group, and treatment with the STAT3-KD/paclitaxel combination completely inhibited the formation of measurable ascites (data not shown). During postmortem examination, a wide spread of seeded metastases was observed throughout the control mesentery compared with the STAT3-KD- and/or paclitaxel-treated mesentery, where the spread of tumor seeding decreased (Fig. 5B). The number of small (≤1 mm), large (>1 mm, ≤3 mm), and bulk (>3 mm) peritoneal tumor seedings was quantified. In the paclitaxel-treated group, the number of bulk tumor seedings was significantly lower than that in the untreated group (P < 0.05); however, the number of small tumor seedings was not affected. In contrast, STAT3-KD substantially reduced the number of small tumor seedings but was not able to suppress the tumor growth of established peritoneal implants. Furthermore, the combination of STAT3-KD and paclitaxel significantly reduced the intra-abdominal tumor burden such that bulk tumor seedings were abolished, and the number of small tumor seedings was significantly lower than that in the paclitaxel-treated mice (P < 0.05; Fig. 5C). Notably, p-STAT3 expression was persistently increased a week after paclitaxel treatment in the SKOV3 tumors. In response to the activation of STAT3 shRNA expression with doxycycline in vivo, we observed an increase in the number of apoptotic cells in response to the combination therapy compared with paclitaxel treatment or STAT3-KD alone (Fig. 5D). These data reinforce the importance of the STAT3 pathway in the peritoneal metastasis of ovarian cancer and, in particular, the role of STAT3-KD in conferring sensitivity to paclitaxel therapy.
Targeting STAT3 suppresses peritoneal seeding and overcomes chemoresistance in vivo. A, Conditional knockdown of STAT3 concomitant with GFP expression in vivo. A doxycycline (Dox)-containing diet was administered to mice 2 weeks after the intraperitoneal injection, and GFP fluorescence was analyzed 1 week after the administration of the doxycycline-containing diet. B, The visible peritoneal seeding of the mesentery was substantially reduced in the STAT3 knockdown (Dox+) and/or Taxol treatment groups. C, Quantification of peritoneal metastases. Peritoneal tumor seedings: small (≤1 mm), large (>1 mm, ≤3 mm), and bulk (>3 mm). D, Hematoxylin and eosin (H&E) staining and IHC with antibodies against p-STAT3 and cleaved caspase-3.
Targeting STAT3 suppresses peritoneal seeding and overcomes chemoresistance in vivo. A, Conditional knockdown of STAT3 concomitant with GFP expression in vivo. A doxycycline (Dox)-containing diet was administered to mice 2 weeks after the intraperitoneal injection, and GFP fluorescence was analyzed 1 week after the administration of the doxycycline-containing diet. B, The visible peritoneal seeding of the mesentery was substantially reduced in the STAT3 knockdown (Dox+) and/or Taxol treatment groups. C, Quantification of peritoneal metastases. Peritoneal tumor seedings: small (≤1 mm), large (>1 mm, ≤3 mm), and bulk (>3 mm). D, Hematoxylin and eosin (H&E) staining and IHC with antibodies against p-STAT3 and cleaved caspase-3.
Blocking STAT3 and paclitaxel in combination suppresses EOC tumor growth and improves survival in mice
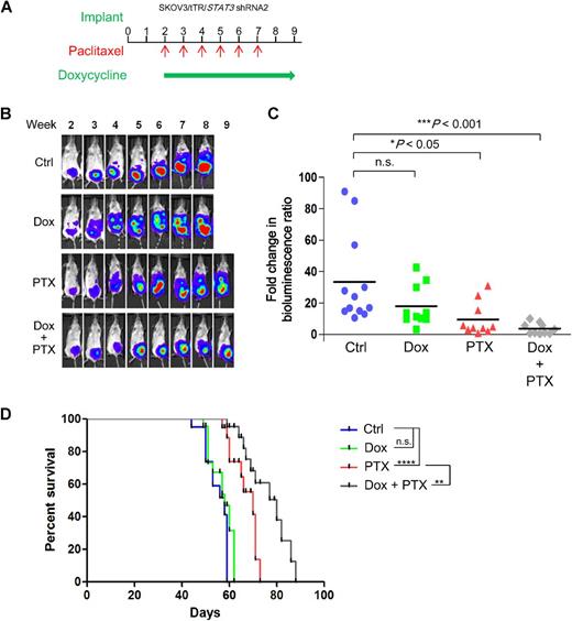
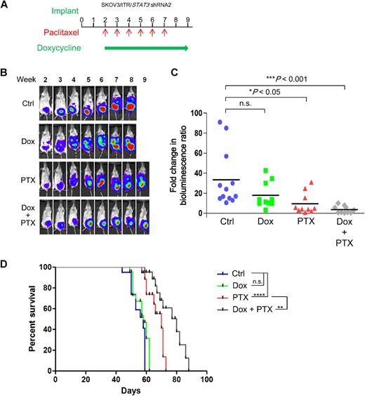
To evaluate the combinatorial effect of STAT3 inhibition and chemotherapy on EOC growth and progression, we treated mice bearing intraperitoneal EOC xenografts with STAT3-KD and paclitaxel, according to the depicted schema (Fig. 6A). Intraperitoneal implantation of SKOV3/tTR/STAT3 shRNA#2 cells resulted in the development of tumor foci throughout the peritoneal cavity as monitored with in vivo bioluminescence imaging (Fig. 6B). Paclitaxel substantially suppressed tumor growth as a single agent, whereas conditional STAT3-KD beginning on day 14 after tumor inoculation had no significant effect on tumor reduction as measured by bioluminescent imaging (Fig. 6C). Notably, the combination of the two treatments suppressed tumor growth even further (Fig. 6C). Importantly, combined STAT3-KD and paclitaxel treatment prolonged survival of mice with implanted EOC tumors from a median survival of 58 days for control animals to 80 days for the combination of paclitaxel and STAT3-KD (P < 0.0001, log-rank test). In addition, in this model, the STAT3-KD/paclitaxel regimen significantly increased survival compared with paclitaxel alone (log-rank test P < 0.01; HR, 4.101; Fig. 6D). These results suggested that STAT3 inhibition might potentially combine with current standard-of-care chemotherapy.
STAT3 silencing combines with paclitaxel to inhibit tumor growth of EOC cell xenografts and promote the survival of mice. SKOV3/tTR/STAT3 shRNA2 EOC cells were intraperitoneally implanted into NOD/SCID mice. A, Mice were separated into four treatment groups and treated according to the schema depicted. B, Weekly representative bioluminescence images of animals in each group are shown depicting tumor burden. C, Bioluminescence-based tumor growth (measured by the photon counts of the xenografts on the 7th week divided by the corresponding photon counts on day 0) was evaluated by changes in relative bioluminescence. Significance testing was performed by one-way ANOVA with Tukey post hoc multiple pairwise testing. D, Effects of STAT3 knockdown (n = 10; median survival = 58 days), paclitaxel (PTX; n = 10; median survival = 70 days), and combination paclitaxel + STAT3 knockdown (n = 10; median survival = 80 days) on survival of implanted EOC tumors compared with control-treated animals (n = 12; median survival = 58 days). Significant differences of survival between groups were determined by a log-rank test (**, P < 0.01; ****, P < 0.0001). Dox, doxycycline.
STAT3 silencing combines with paclitaxel to inhibit tumor growth of EOC cell xenografts and promote the survival of mice. SKOV3/tTR/STAT3 shRNA2 EOC cells were intraperitoneally implanted into NOD/SCID mice. A, Mice were separated into four treatment groups and treated according to the schema depicted. B, Weekly representative bioluminescence images of animals in each group are shown depicting tumor burden. C, Bioluminescence-based tumor growth (measured by the photon counts of the xenografts on the 7th week divided by the corresponding photon counts on day 0) was evaluated by changes in relative bioluminescence. Significance testing was performed by one-way ANOVA with Tukey post hoc multiple pairwise testing. D, Effects of STAT3 knockdown (n = 10; median survival = 58 days), paclitaxel (PTX; n = 10; median survival = 70 days), and combination paclitaxel + STAT3 knockdown (n = 10; median survival = 80 days) on survival of implanted EOC tumors compared with control-treated animals (n = 12; median survival = 58 days). Significant differences of survival between groups were determined by a log-rank test (**, P < 0.01; ****, P < 0.0001). Dox, doxycycline.
Discussion
Extrinsic tumor microenvironmental factors in EOC, such as inflammatory cytokines, growth factors, and oxidative stress, can activate STAT3 through different mechanisms (27–29). The data presented herein demonstrate the enhancement of STAT3 phosphorylation in tumors from patients with recurrent ovarian cancer and in residual xenografts harvested after paclitaxel treatment, suggesting that STAT3 activation may essentially contribute to ovarian cancer progression. In this article, we demonstrate that the activation of STAT3 has a central role in the generation of EOC spheroids. Moreover, we found that STAT3 signaling interconnects Wnt/β-catenin signaling, a known pathway regulating ovarian CSCs, in EOC spheroids. Inhibition of STAT3 signaling effectively eliminates the formation of the metastatic niche and suppresses its persistence after chemotherapy. These features point to new directions for targeting STAT3 for EOC therapy.
EOC spheroids serve as the vehicle for ovarian cancer cell dissemination in the peritoneal cavity and represent a significant impediment in the efficacy of chemotherapy agents (6). The disruption of STAT3 signaling alters homotypic cell–cell adhesion complexes by increasing the tyrosine phosphorylation of β-catenin, leading to the loss of β-catenin–cadherin associations (30) and highlighting STAT3 signaling in the self-assembly of EOC cells into spheroids. Notably, the current data reveal that cells exhibiting endogenous STAT3 phosphorylation readily aggregate from single cells into spheroids. It is noteworthy that STAT3 signaling may be involved in the promotion of the CSC phenotype of EOC. Studies have indicated that ovarian CSCs are involved in chemoresistance, metastasis, and tumor recurrence (31). We and others have suggested that targeting STAT3 signaling or its crucial upstream activators results in the disruption of CSC maintenance and dramatically reduces the chemoresistance and tumor metastases of EOC (32, 33). These findings are in accordance with previous studies, which revealed that STAT3 signaling is necessary for the growth of several types of CSCs, including colon, breast, and prostate CSCs (19, 34, 35).
The precise mechanism by which STAT3 signaling promotes the self-renewal of CSC in human cancers is not completely understood. In malignant gliomas, STAT3 signaling in neural stem cells prevents neural differentiation and triggers reprogramming toward an aberrant mesenchymal lineage (36). More recent studies suggested that STAT3 can recruit G9a histone methyltransferase to coordinately mediate epigenetic silencing of a specific cohort of gene targets involved in stemness differentiation plasticity (37). In accordance with the findings of these studies, our study provides the first evidence showing that STAT3 can activate Wnt signaling through epigenetic inactivation of the Wnt antagonist DKK1. DKK1 was discovered due to its ability to specifically bind and modulate the Wnt coreceptors Lrp5 and 6, which are indispensable for routing the Wnt signal to β-catenin (38). This canonical Wnt pathway results in β-catenin nuclear accumulation and transcriptional activation of target genes, which contribute to the maintenance of EOC spheroids (15). Studies have shown that several Wnt antagonist genes were low in EOC and epigenetic silencing by DNA methylation (16, 39). Deregulation of canonical Wnt/β-catenin signaling by these genes contributes to CSC populations, chemoresistance, and the aggressiveness of EOC (39, 40). Here, we found that DKK1 exhibited the most decreased expression as a result of STAT3 signaling. STAT3 silencing negatively regulates the canonical Wnt pathway, leading to increased phosphorylated β-catenin, decreased nuclear β-catenin levels, and inhibition of β-catenin–dependent TCF/LEF transcription activity. In particular, our data indicate that in vitro spheroidogenesis and in vivo tumorigenicity mediated by STAT3 signaling in EOC were substantially reduced in DKK1 transfectants. These results are in line with earlier studies in breast and colon cancer (41, 42), indicating a tumor suppressor function of DKK1 and its potential role in STAT3-regulated CSC characteristics in EOC.
Our studies identify a previously unrecognized mechanism by which STAT3 signaling downregulates DKK1 expression. The epigenetic silencing of DKK-1 expression is linked to DNA hypermethylation, histone deacetylation, and histone methylation (43–45). Interestingly, we found that STAT3-mediated DKK1 silencing was regulated via the DKK1 3′ UTR by miRNA in EOC. Combining miRNA microarray analysis, computational target prediction, and functional analysis, we observed that miR-92a negatively regulates protein levels of DKK1 by targeting a specific binding site in the DKK1 3′ UTR sequence. Through inactivation of the canonical Wnt antagonist DKK1, miR-92a may activate Wnt/β-catenin signaling and regulate CSC characteristics in EOC. Wu and colleagues reported that the miR-17-92 cluster may target the E2F1 and HIPK1 proteins, which suppress Wnt/β-catenin signaling (46). It has also been shown that the miR-17-92 cluster was highly induced during early reprogramming stages in induced pluripotent stem cells (47). Consistent with these observations, our study demonstrates the ability of miR-92a to mediate STAT3-regulated self-renewal of ovarian CSCs based on in vitro and in vivo assays. While STAT3 and miR-92a are associated with hallmarks of stemness in ovarian cancer cells, regulatory pathways directly connecting them are largely unknown. It has been suggested that STAT3 is an upstream activator of miR-92a (25). Here, we demonstrate that STAT3 directly binds specific sites in the miR-92a promoter region and that the promoter activity was decreased after the mutation of putative STAT3-binding sites, indicating that STAT3 is required for the transcriptional induction of miR-92a. Moreover, miR-92a is critically involved in the downregulation of DKK1 by STAT3 and is required for the maintenance of ovarian cancer stemness in vitro as well as tumorigenicity in vivo. Notably, DKK1 is a target gene for activation by β-catenin due to the presence of TCF-binding elements (TBE) in the DKK1 promoter (48). Accordingly, additional mechanistic insight shows that the negative feedback loop in Wnt signaling may be lost in the presence of STAT3 activation.
In summary, given the efficient tumor-initiating capacity, metastatic niches, and chemoresistance of ovarian CSCs, therapeutic strategies that can eliminate these cells are urgently needed. Our results provide evidence that STAT3 signaling regulates ovarian CSCs by targeting miR-92a/DKK1 and subsequently activating Wnt/β-catenin signaling. We propose that inhibition of STAT3 may be a rational option for EOC-targeted therapy against ovarian CSCs in combination with the current standard chemotherapy to block EOC progression.
Disclosure of Potential Conflicts of Interest
No potential conflicts of interest were disclosed.
Authors' Contributions
Conception and design: M.-W. Chen, M.-H. Chien, J.-L. Su, L.-H. Wei
Development of methodology: M.-W. Chen, M.-H. Chien
Acquisition of data (provided animals, acquired and managed patients, provided facilities, etc.): M.-W. Chen, C.-J. Wu, H. Lin, L.-H. Wei
Analysis and interpretation of data (e.g., statistical analysis, biostatistics, computational analysis): M.-W. Chen, S.-T. Yang, K.-T. Hua, S.-M. Hsiao, M. Hsiao, J.-L. Su
Writing, review, and/or revision of the manuscript: M.-W. Chen, S.-T. Yang, M.-H. Chien, J.-L. Su, L.-H. Wei
Study supervision: L.-H. Wei
Acknowledgments
We would like to thank Dr. Yung-Ming Cheng and Kuan-Ting Kuo for their help with the histopathological staining and interpretation. We also thank Min-Liang Kuo for critical feedback and technical assistance.
Grant Support
This work was funded by NSC102-2628-B-002-050 and NHRI-EX-10133BI (L.-H. Wei).
The costs of publication of this article were defrayed in part by the payment of page charges. This article must therefore be hereby marked advertisement in accordance with 18 U.S.C. Section 1734 solely to indicate this fact.





