Abstract
Breast cancer is the most common cancer among women worldwide, yet successful treatment remains a clinical challenge. Ivermectin, a broad-spectrum antiparasitic drug, has recently been characterized as a potential anticancer agent due to observed antitumor effects. However, the molecular mechanisms involved remain poorly understood. Here, we report a role for ivermectin in breast cancer suppression by activating cytostatic autophagy both in vitro and in vivo. Mechanistically, ivermectin-induced autophagy in breast cancer cells is associated with decreased P21-activated kinase 1 (PAK1) expression via the ubiquitination-mediated degradation pathway. The inhibition of PAK1 decreases the phosphorylation level of Akt, resulting in the blockade of the Akt/mTOR signaling pathway. In breast cancer xenografts, the ivermectin-induced cytostatic autophagy leads to suppression of tumor growth. Together, our results provide a molecular basis for the use of ivermectin to inhibit the proliferation of breast cancer cells and indicate that ivermectin is a potential option for the treatment of breast cancer. Cancer Res; 76(15); 4457–69. ©2016 AACR.
Introduction
Breast cancer is the most frequent cancer among women and ranks as the fifth leading cause of cancer-related death worldwide with more than 1.67 million people diagnosed annually, with over 522,000 deaths per year (1). Although surgical resection, in combination with radiotherapy when necessary, affords curative treatment for early or local disease, approximately 70% patients with advanced breast cancer require cytotoxic chemotherapy, endocrine therapy, biologic therapy, or combinations of these (2). Despite the diverse strategies that have been proposed to improve the current situation, the prognosis for patients with advanced breast cancer still remains poor (3), highlighting the need for the development of potential therapeutic agents.
Autophagy is a self-degrading process characterized by formation of double-membrane autophagosomes, which sequester excess or defective organelles and fuse with lysosomes for degradation of enclosed materials (4). Although constitutively active in cells, autophagy can be stimulated in response to multiple cellular stresses, such as nutrient shortage, hypoxia, and oxidative stress. In the scenario of tumor development, autophagy eliminates the source of cellular damage and protects the cells from stress induced by chemotherapy or radiation, which represents a fine mechanism of negative feedback regulation. However, in the recent decade, it has become apparent that the consequence of autophagy varies significantly under different circumstances (5, 6). To date, cytoprotective, cytostatic, cytotoxic, and nonprotective autophagy have been proposed as the four main functional forms of autophagy in the context of anticancer therapy (7). Cytoprotective autophagy serves as a survival mechanism to promote the nutrient cycle (8), which theoretically can be inhibited to achieve therapeutic advantage by sensitizing cells to anticancer agents (9). Subsequent studies on autophagy in cancer cells revealed the anticancer properties of autophagy, leading to the discovery of cytotoxic autophagy, cytostatic autophagy, and nonprotective autophagy (6, 7, 10). In view of current clinical efforts to exploit autophagy as a therapeutic target for cancer treatment, the multiple roles of autophagy underscore the necessity to understand the mechanism of autophagy and the regulatory signaling pathways involved in cancer cells (11).
Avermectin was initially purified by Drs. Campbell and Ōmura (12), and implicated as an efficient agent against parasites, which earned a Nobel Prize for physiology or medicine in 2015. Subsequently, ivermectin, an avermectin derivative, was chemically modified and found to be a more effective compound against a variety of parasites (13). Recently, ivermectin has been identified as a promising anticancer agent for colon cancer, ovarian cancer, melanoma, and leukemia (14–17). However, the detailed molecular mechanisms underlying ivermectin-mediated suppression of tumor growth remain to be further elucidated.
In this study, we show that ivermectin inhibits the growth of breast cancer by stimulating autophagy. Ivermectin promotes ubiquitination-mediated degradation of PAK1, which results in the blockade of the Akt/mTOR signaling, and thereby activates autophagy in breast cancer cells. These findings demonstrate a novel link between ivermectin and the autophagy machinery, indicating that the use of ivermectin as an autophagy inducer may constitute a new therapeutic approach for breast cancer.
Materials and Methods
Cell culture
Human breast cancer cell lines MDA-MB-435, HS578T, 4T1, and HEK 293T cell lines were purchased from the ATCC. MCF-7, MDA-MB-231, MDA-MB-468, and MDA-MB-361 cell lines were kindly provided by Prof. Qiang Yu (Genome Institute of Singapore, Singapore). All cell lines were cultured according to the ATCC guidelines and used within 6 months. The last time of authentication was between December 2015 and February 2016 using the short tandem repeat (STR) analysis. Cells were maintained in DMEM or RPMI1640 supplemented with 100 U/mL penicillin (Sigma), 100 μg/mL streptomycin (Sigma), and 10% serum (Biowest) in a humidified incubator at 37°C under 5% CO2 atmosphere.
Animal models
Female NOD/SCID and Balb/c mice at 8 weeks of age were purchased from HFK Bioscience Co., Ltd (Beijing). All studies were approved by the Institutional Animal Care and Treatment Committee of Sichuan University. For the orthotopic breast cancer model, 1 × 106 MDA-MB-231-GFP cells were suspended in PBS and engrafted in the mammary fat pad of NOD/SCID mice. For the syngeneic model, 1 × 106 4T1 cells were suspended in PBS and injected subcutaneously into Balb/c mice. When the tumor volumes reached 100 mm3, mice were randomized into two groups receiving 0.1 mL of vehicle (10% ricinus oil) or 0.12 mg ivermectin/mouse/day, respectively. Vehicle or ivermectin was injected intraperitoneally (i.p.) on the first 10 days. Mice were euthanized for analysis after three weeks. Tumor tissues were isolated and frozen in liquid nitrogen or fixed in 10% formalin immediately.
Breast cancer patients
All clinical breast cancer tissues were obtained from West China Hospital (Chengdu, P.R. China) with the approval of the Biomedical Ethics Committee. A total of 20 patients with breast cancer who underwent radical mastectomy were involved in this study. Tumor samples from these patients were collected for immunohistochemical analysis. Detailed clinicopathologic features including age, gender, and clinical stage were listed in Supplementary Table S1.
Western blotting and immunoprecipitation
Cells were lysed with RIPA buffer supplemented with protease and phosphatase inhibitor cocktail (Sigma, p8340). For immunoprecipitations, whole cell lysates were subjected to immunoprecipitation overnight at 4°C with 1 μg of the indicated antibodies, followed by addition of protein A-Sepharose beads (40 μL, GE Healthcare) for 2 hours. The samples were analyzed by immunobloting with the indicated antibodies. The identity and the suppliers of the antibodies are provided in Supplementary Methods.
Measurement of cell viability
The short-term effects of ivermectin on tumor cell growth were assessed using the 3-(4,5-dimethylthiazol-2-yl)-2,5-diphenyltetrazolium bromide (MTT; Sigma) assay, as described previously (6). The long-term effects of ivermectin on tumor cell proliferation were analyzed with a colony formation assay as described in Supplementary Methods.
BrdUrd labeling assay
The bromodeoxyuridine (BrdUrd) labeling assay was performed in 96-well plate using the BrdU Cell Proliferation Assay Kit (Roche). After ivermectin treatment, 10 μmol/L BrdUrd was added to each well, and the cells were incubated for 12 hours at 37°C. The BrdUrd signaling was determined using a Multiscan MK3 ELISA reader (Thermo Scientific) at 450 nm.
TUNEL assays
Cells were plated on glass coverslips in 24-well plates, fixed in 4% paraformaldehyde (Sigma), following incubation with ivermectin for 24 hours. Terminal deoxynucleotidyl transferase-mediated nick-end labeling (TUNEL) staining was performed using the DeadEnd Fluorometric TUNEL system (Promega). Two 40× fields of cells were imaged to evaluate the TUNEL-positive cells per coverslip in every independent experiment.
Flow cytometry
Cells were harvested and washed once with PBS, and then resuspended in PI/Annexin-V solution (KeyGEN Biotech) for apoptosis analysis. At least 10,000 live cells were analyzed on a FACSCalibur flow cytometer (Becton Dickinson). Data were analyzed by using FlowJo software.
Transmission electron microscopy
Transmission electron microscopy was performed as described previously (6). Briefly, MCF-7 cells were fixed in 4% glutaraldehyde (Sigma). A sorvall MT5000 microtome (DuPont Instruments, MT5000) was used to prepare ultrathin sections after dehydration. Lead citrate and /or 1% uranyl acetate were used to stain the sections, and the autophagic vacuoles in the cytoplasmic area were calculated using Image Pro Plus version 3 software.
RT-PCR analysis
RNA was prepared using TRIzol (Invitrogen). cDNA was prepared from 1 μg of total RNA, using reverse transcriptase and random hexamers from RevertAid First Strand cDNA Synthesis Kit (Fermentas). The PAK1 primers are available in Supplementary Methods.
Immunohistochemistry
Immunohistochemical analysis was performed as described previously (18). The immunostaining intensity (A) was indicated by four grades (0, negative; 1, weakly positive; 2, positive; 3, strongly positive) and the proportion of staining-positive cells (B) was divided into five grades (0, < 5%; 1, 6%–25%; 2, 26%–50%; 3, 51%–75%; 4, > 75%). The final score was calculated as A × B. Images were captured using a DM2500 fluorescence microscope (Leica).
Immunofluorescence
Cells were fixed with 4% paraformaldehyde (Sigma) for 30 minutes, washed three times with PBS and exposed to PBS containing 0.2% Triton X-100 and 5% BSA for 30 minutes. The slides were then stained with antibody against LC3 at 4°C overnight, and subsequently incubated with Alexa Fluor 488–conjugated goat anti-rabbit IgG (Molecular Probes) at 37°C for 1 hour. Nuclei were stained with Hoechst 33342 (Cell Signaling Technology). Images were captured using a confocal laser scanning microscopy (Zeiss).
Acridine orange staining
Evaluation of autophagy by acridine orange staining was performed as described previously (5). Briefly, cells were treated with or without ivermectin at indicated concentrations for 24 hours, and then stained with 1 μmol/L acridine orange (Sigma-Aldrich) in PBS containing 5% FBS at 37°C for 15 minutes. Cells were washed and then observed under fluorescence microscopy.
Statistical analysis
Statistical analysis was performed using Prism 6. Statistical differences were determined using a two-sample equal variance Student t test. Data were deemed to be statistically significant if P < 0.05. Error bars indicate SEM unless otherwise indicated.
Results
Ivermectin inhibits breast cancer growth both in vitro and in vivo
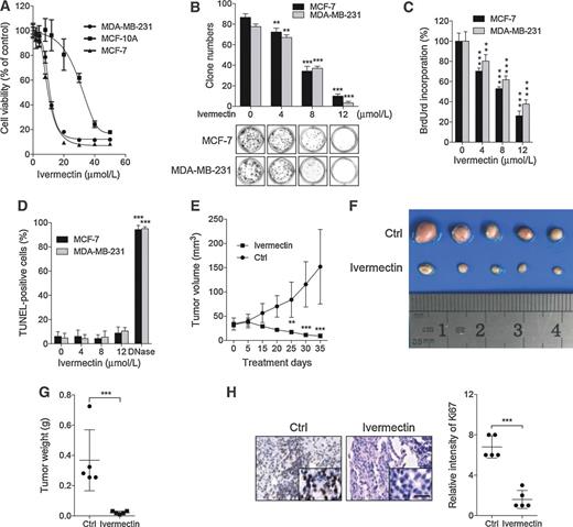
To ascertain the anticancer effect of ivermectin in breast cancer cells, the MTT assay was conducted to assess the growth of six breast cancer cell lines (MCF-7, MDA-MB-231, MDA-MB-468, MDA-MB-361, MDA-MB-435, and HS578T) and a nontumorigenic human breast cell line (MCF-10A) following ivermectin treatment. As shown in Fig. 1A and Supplementary Fig. S1A, ivermectin treatment for 24 hours markedly decreased the cell viability of breast cancer cell lines in a dose-dependent manner, while the IC50 value in MCF-10A cells was much higher than those in breast cancer cells. Consistently, ivermectin significantly suppressed cell proliferation in MCF-7 and MDA-MB-231 cells, as evidenced by reduced clonogenic survival (Fig. 1B). In addition, a significantly lower percentage of BrdUrd-positive cells was observed in ivermectin-treated cells compared with controls (Fig. 1C). Collectively, these results demonstrate that ivermectin inhibits the proliferation of breast cancer cells in vitro. Apoptosis is a major form of cell death induced by chemotherapeutic agents (19). To determine whether ivermectin induces apoptosis in breast cancer cells, we evaluated the apoptotic rate using both TUNEL and flow cytometry assays (doxorubicin or cisplatin was used as positive control; refs. 20, 21). Ivermectin treatment for 24 hours showed no obvious effect on apoptosis in either breast cancer cells (MCF-7, MDA-MB-231, MDA-MB-468, MDA-MB-361, MDA-MB-435, and HS578T) or breast epithelial cells (MCF-10A; Fig. 1D and Supplementary Fig. S1B–S1D). This was further supported by equivalent levels of cleaved caspase-3 in ivermectin-treated cells and control cells (Supplementary Fig. S1E and S1F). Of note, apoptotic induction, albeit at a relatively low level, could be observed with the prolonged treatment of ivermectin till 48 hours, in all the breast cancer cells examined (Supplementary Fig. S1G). Taken together, our data indicate that short-term treatment (i.e., 24 hours) of ivermectin displays a profound antiproliferative effect on breast cancer cells, while such a growth inhibition is independent of apoptosis.
Ivermectin inhibits the growth of breast cancer cells. A, ivermectin inhibited breast cancer cell viability. Cell viability was measured by the MTT assay in MCF-7, MDA-MB-231, and MCF-10A cells treated with the indicated concentrations of ivermectin for 24 hours. B, ivermectin suppressed colony formation in breast cancer cells. Cells were cultured in the indicated concentrations of ivermectin for 10 days. C, ivermectin inhibited breast cancer cell proliferation measured by BrdUrd labeling. Cells were treated as in A. D, the apoptosis rate was assessed by TUNEL assay. Cells were treated as in A. The TUNEL-positive cells were counted from at least 100 random fields. DNase, positive control. **, P < 0.01; ***, P < 0.001. E–H, NOD-SCID mice were inoculated with MDA-MB-231-GFP cells and treated with ivermectin or vehicle. Tumor volumes were measured at indicated time points (E). Photograph of isolated tumors derived from control or ivermectin-treated mice (F). Tumor weights at time of sacrifice (G). Ki67 expression in tumor xenografts was examined by IHC (H). Representative images were provided as indicated. ***, P < 0.001; Scale bars, 20 μm.
Ivermectin inhibits the growth of breast cancer cells. A, ivermectin inhibited breast cancer cell viability. Cell viability was measured by the MTT assay in MCF-7, MDA-MB-231, and MCF-10A cells treated with the indicated concentrations of ivermectin for 24 hours. B, ivermectin suppressed colony formation in breast cancer cells. Cells were cultured in the indicated concentrations of ivermectin for 10 days. C, ivermectin inhibited breast cancer cell proliferation measured by BrdUrd labeling. Cells were treated as in A. D, the apoptosis rate was assessed by TUNEL assay. Cells were treated as in A. The TUNEL-positive cells were counted from at least 100 random fields. DNase, positive control. **, P < 0.01; ***, P < 0.001. E–H, NOD-SCID mice were inoculated with MDA-MB-231-GFP cells and treated with ivermectin or vehicle. Tumor volumes were measured at indicated time points (E). Photograph of isolated tumors derived from control or ivermectin-treated mice (F). Tumor weights at time of sacrifice (G). Ki67 expression in tumor xenografts was examined by IHC (H). Representative images were provided as indicated. ***, P < 0.001; Scale bars, 20 μm.
To evaluate the effect of ivermectin on breast cancer cell growth in vivo, we employed an orthotopic breast cancer model by injecting human MDA-MB-231-GFP cells subcutaneously into the mammary fat pad of NOD-SCID mice. As shown in Fig. 1E, xenografts treated with ivermectin grew at a slower rate than those treated with placebo. Macroscopically, the size of control tumors was much larger than that of ivermectin-treated tumors (Fig. 1F). Consistently, tumor weight was reduced in ivermectin-treated mice compared with that of the control group (Fig. 1G). To confirm the change in proliferation status of tumors, xenografts were stained for Ki67, which is used clinically to assess the proliferative fraction in breast cancer (22). All control xenografts displayed stronger Ki67 staining than that of ivermectin-treated mice (Fig. 1H). Futhermore, we observed similar results in a syngeneic model using subcutaneous injection of 4T1 cells (Supplementary Fig. S2A–S2D). Taken together, these data suggest that ivermectin inhibits the growth of breast cancer both in vitro and in vivo.
Ivermectin stimulates autophagy in breast cancer cells
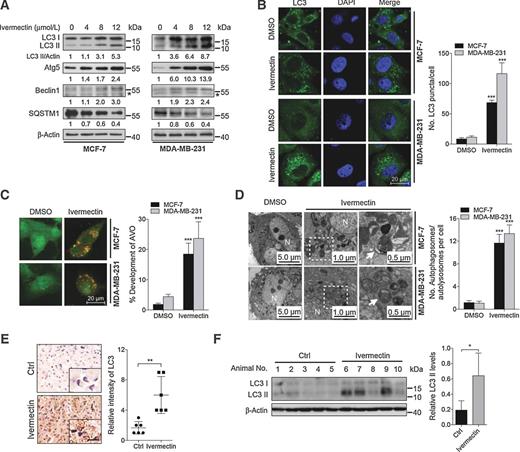
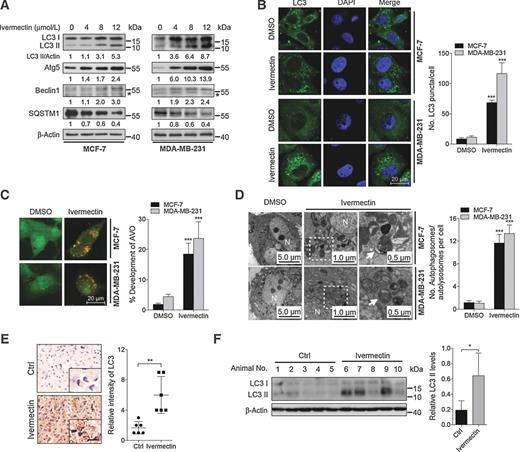
As increasing evidence has highlighted the important roles of drug-induced autophagy in anticancer therapies (6, 23), we investigated whether ivermectin regulated autophagy in breast cancer cells. We first evaluated the effect of ivermectin on the formation of the autophagosome membrane by detecting the conversion of LC3-I to lipidated LC3-II, and the distribution of endogenous LC3 puncta, two classical markers of autophagy (24). Ivermectin treatment resulted in marked autophagy induction as evidenced by increased LC3-II conversion (Fig. 2A and Supplementary Fig. S3A) and LC3 puncta (Fig. 2B). However, no apparent difference in LC3-II conversion was detected between ivermectin-treated cells and controls in MCF-10A cells (Supplementary Fig. S3B). Cells were also stained with acridine orange to detect the formation of acidic vesicular organelles (AVO), a characteristic of autophagy (24). As shown in Fig. 2C, abundant cytoplasmic AVO formation was readily observed in ivermectin-treated cells. To further corroborate ivermectin-induced autophagy, the appearance of double-membraned autophagosomes was investigated by transmission electronic microscopy. As shown in Fig. 2D, there was a significant accumulation of autophagosomes/autolysosomes in ivermectin-treated cells but not in control cells. In addition, mouse xenografts were stained with LC3 to clarify whether ivermectin could induce autophagy in vivo. As shown in Fig. 2E and Supplementary Fig. S4A, ivermectin-treated xenografts displayed stronger LC3 staining compared with the control group. Consistently, a similar tendency was observed in LC3-II conversion in ivermectin-treated tumors (Fig. 2F and Supplementary Fig. S4B). Taken together, these data indicate that ivermectin stimulates autophagy in breast cancer cells both in vitro and in vivo.
Ivermectin induces autophagy in breast cancer cells. A, immunoblot analysis of LC3, Atg5, Beclin 1, and SQSTM1 in cells treated with the indicated concentrations of ivermectin for 24 hours. *, nonspecific band. B, left, the formation of endogenous LC3 puncta in cells treated with DMSO or 8 μmol/L ivermectin for 24 hours. Right, total number of endogenous LC3 puncta per cell. C, left, autophagy measured by acridine orange staining of cells treated as in B. Right, total number of acidic vesicular organelles (AVO) per cell. D, left, autophagy measured by transmission electron microscopy in cells treated as in B. N, nucleus. Arrows, autophagosomes/autolysosomes. Right, total number of autophagosomes per cell. **, P < 0.01; ***, P < 0.001. E, LC3 expression in orthotopic xenografts was examined by IHC. Representative images were provided as indicated. ***, P < 0.001. Scale bars, 20 μm. F, left, orthotopic xenograft tissues were extracted to assess the levels of LC3-II by Western blot analysis. Right, densitometry quantification of the band intensities in F was carried out using ImageJ software and is presented as a percentage of relative densitometry normalized to actin.
Ivermectin induces autophagy in breast cancer cells. A, immunoblot analysis of LC3, Atg5, Beclin 1, and SQSTM1 in cells treated with the indicated concentrations of ivermectin for 24 hours. *, nonspecific band. B, left, the formation of endogenous LC3 puncta in cells treated with DMSO or 8 μmol/L ivermectin for 24 hours. Right, total number of endogenous LC3 puncta per cell. C, left, autophagy measured by acridine orange staining of cells treated as in B. Right, total number of acidic vesicular organelles (AVO) per cell. D, left, autophagy measured by transmission electron microscopy in cells treated as in B. N, nucleus. Arrows, autophagosomes/autolysosomes. Right, total number of autophagosomes per cell. **, P < 0.01; ***, P < 0.001. E, LC3 expression in orthotopic xenografts was examined by IHC. Representative images were provided as indicated. ***, P < 0.001. Scale bars, 20 μm. F, left, orthotopic xenograft tissues were extracted to assess the levels of LC3-II by Western blot analysis. Right, densitometry quantification of the band intensities in F was carried out using ImageJ software and is presented as a percentage of relative densitometry normalized to actin.
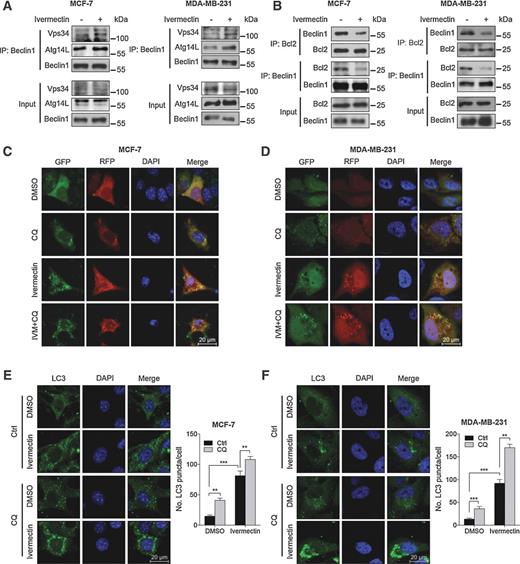
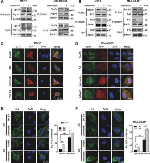
The expression levels of Beclin 1 and Atg5, two autophagy-related proteins (24), were then examined to clarify whether ivermectin promoted autophagosome formation. As shown in Fig. 2A, ivermectin promoted the expression of both Beclin 1 and Atg5 in a dose-dependent manner. To explore the mechanism by which ivermectin induces autophagy, we next investigated whether ivermectin could induce the formation of autophagosome by enhancing the interaction of Beclin 1 with positive regulators such as Atg14L and Vps34, and diminishing the interaction of Beclin 1 with negative regulators such as Bcl-2 (24). As shown in Fig. 3A, ivermectin treatment increased coimmunoprecipitation of Beclin 1 with Vps34 or Atg14L, respectively. Conversely, cells treated with ivermectin showed decreased coimmunoprecipitation of Beclin 1 with Bcl-2 (Fig. 3B). Silencing the expression of either Beclin 1 or Atg5 using siRNA partially blocked LC3 lipidation and endogenous LC3 puncta accumulation in ivermectin-treated cells (Supplementary Fig. S5A–S5C). Coadministration of wortmannin, a PI3K inhibitor (25), with ivermectin failed to stimulate autophagy (Supplementary Fig. S5D–S5F). Moreover, ivermectin treatment resulted in decreased levels of SQSTM1, a well-known autophagic substrate, in a dose-dependent manner (Fig. 2A). Using a tandem monomeric RFP-GFP–tagged LC3, we found increased formation of yellow fluorescent autophagosomes and red fluorescent autolysosomes (Fig. 3C and D). Combinatorial treatment of chloroquine (a lysosomal inhibitor) and ivermectin resulted in further accumulation of yellow fluorescent autophagosomes, endogenous LC3 puncta, and increased LC3-II conversion (Fig. 3C–F and Supplementary Fig. S5G). These results indicate that ivermectin induces autophagic flux in breast cancer cells.
Ivermectin promotes autophagy flux in breast cells. A, interaction among Beclin 1, Atg14L, and Vps34 was determined by coimmunoprecipitation assay. B, interaction between Beclin 1 and Bcl-2 was determined by coimmunoprecipitation assay. C and D, cells were transiently transfected with an RFP-GFP tandem fluorescent-tagged LC3 (RFP-GFP-LC3). In addition, cells were treated with 8 μmol/L ivermectin (IVM) alone or in combination with 10 μmol/L chloroquine (CQ) for 24 hours. E and F, left, immunofluorescence analysis of endogenous LC3 puncta in cells treated as in C. Right, total number of endogenous LC3 puncta per cell. **, P < 0.01; ***, P < 0.001. Scale bars, 20 μm.
Ivermectin promotes autophagy flux in breast cells. A, interaction among Beclin 1, Atg14L, and Vps34 was determined by coimmunoprecipitation assay. B, interaction between Beclin 1 and Bcl-2 was determined by coimmunoprecipitation assay. C and D, cells were transiently transfected with an RFP-GFP tandem fluorescent-tagged LC3 (RFP-GFP-LC3). In addition, cells were treated with 8 μmol/L ivermectin (IVM) alone or in combination with 10 μmol/L chloroquine (CQ) for 24 hours. E and F, left, immunofluorescence analysis of endogenous LC3 puncta in cells treated as in C. Right, total number of endogenous LC3 puncta per cell. **, P < 0.01; ***, P < 0.001. Scale bars, 20 μm.
Autophagy is involved in ivermectin-inhibited cell proliferation in breast cancer cells
To determine whether autophagy was involved in the anticancer effect of ivermectin, cells were transfected with Beclin 1 siRNA or Atg5 siRNA followed by treatment with ivermectin. Cell growth was assessed by MTT assay, BrdUrd labeling, and colony formation analysis. As shown in Fig. 4A–C, knockdown of either Beclin 1 or Atg5 significantly restored cell growth in ivermectin-treated cells. Consistently, similar results were obtained by inhibition of autophagy using wortmannin or chloroquine (Fig. 4D), indicating that ivermectin-inhibited breast cancer cell growth was autophagy dependent. In addition, combinatorial treatment of wortmannin or chloroquine with ivermectin showed no obvious effect on apoptosis induction in breast cancer cells (Supplementary Fig. S6). Thus, these findings suggest that ivermectin-induced autophagy is cytostatic in breast cancer cells, and suppression of autophagy may attenuate the anticancer effect of ivermectin.
Inhibition of autophagy represses the antiproliferative effect of ivermectin in breast cancer cells. A–C, cells were transfected with siRNA against Atg5 or Beclin 1 or control (50 nmol/L) for 48 hours, and then treated with ivermectin at 8 μmol/L for another 24 hours. Proliferation rate was detected by MTT assay (A), BrdUrd labeling (B), and colony formation (C). D, cells were treated with DMSO, chloroquine (CQ), or wortamannin (Wort) in the presence or absence of ivermectin (8 μmol/L) for 24 hours, and then the proliferation rate was measured by MTT assay. *, P < 0.05; **, P < 0.01; ***, P < 0.001.
Inhibition of autophagy represses the antiproliferative effect of ivermectin in breast cancer cells. A–C, cells were transfected with siRNA against Atg5 or Beclin 1 or control (50 nmol/L) for 48 hours, and then treated with ivermectin at 8 μmol/L for another 24 hours. Proliferation rate was detected by MTT assay (A), BrdUrd labeling (B), and colony formation (C). D, cells were treated with DMSO, chloroquine (CQ), or wortamannin (Wort) in the presence or absence of ivermectin (8 μmol/L) for 24 hours, and then the proliferation rate was measured by MTT assay. *, P < 0.05; **, P < 0.01; ***, P < 0.001.
Akt/mTOR signaling plays a major role in ivermectin-induced autophagy
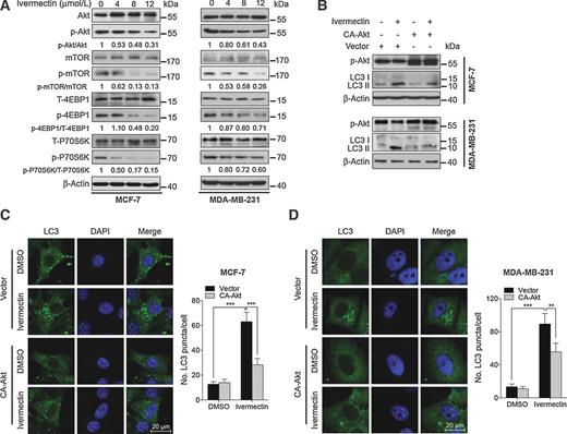
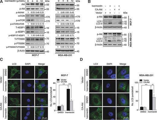
It has previously been reported that constitutively activated PI3K/Akt signaling is involved in breast carcinogenesis, and Akt/mTOR acts as a key negative modulator of autophagy (26). Therefore, we examined whether the Akt/mTOR pathway was inhibited in ivermectin-treated breast cancer cells. As shown in Fig. 5A and Supplementary Fig. S7A, ivermectin treatment resulted in inhibition of the Akt/mTOR pathway, as evidenced by decreased phosphorylation levels of Akt, mTOR, p70S6K, and 4E-BP1. To determine whether the Akt/mTOR pathway is involved in ivermectin-induced autophagy, we transfected a constitutively active form of Akt (CA-Akt) to restore ivermectin-induced Akt/mTOR inhibition (27). Akt activation significantly reduced LC3-II conversion and LC3 puncta accumulation in ivermectin-treated cells (Fig. 5B–D), suggesting that the Akt/mTOR pathway is an important mediator in ivermectin-induced autophagy in breast cancer cells.
Ivermectin induces autophagy by repressing the Akt/mTOR pathway in breast cancer cells. A, immunoblot analysis of phosphorylation of Akt (S473), mTOR (S2448), p70S6K (S424/T421), and 4EBP1 (S65/T70) in cells treated with the indicated concentrations of ivermectin for 24 hours. Total Akt, mTOR, p70S6K, and 4EBP1 expression was used as the internal control, respectively. B, cells were transfected with an empty vector (pECE) or with a constitutively active CA-Akt for 48 hours, and then cells were treated with 8 μmol/L ivermectin for another 24 hours. Akt and mTOR phosphorylation, and LC3 lipidation were determined by immunoblotting. C and D, left, the formation of endogenous LC3 puncta was assessed in cells treated as in B. Right, total number of endogenous LC3 puncta per cell. **, P < 0.01; ***, P < 0.001. Scale bars, 20 mm.
Ivermectin induces autophagy by repressing the Akt/mTOR pathway in breast cancer cells. A, immunoblot analysis of phosphorylation of Akt (S473), mTOR (S2448), p70S6K (S424/T421), and 4EBP1 (S65/T70) in cells treated with the indicated concentrations of ivermectin for 24 hours. Total Akt, mTOR, p70S6K, and 4EBP1 expression was used as the internal control, respectively. B, cells were transfected with an empty vector (pECE) or with a constitutively active CA-Akt for 48 hours, and then cells were treated with 8 μmol/L ivermectin for another 24 hours. Akt and mTOR phosphorylation, and LC3 lipidation were determined by immunoblotting. C and D, left, the formation of endogenous LC3 puncta was assessed in cells treated as in B. Right, total number of endogenous LC3 puncta per cell. **, P < 0.01; ***, P < 0.001. Scale bars, 20 mm.
Ivermectin induces autophagy through the blocking PAK1/Akt/mTOR axis
To further investigate the mechanism underlying ivermectin-induced autophagy, we identified the Akt-interacting proteins using a previously constructed global protein–protein interaction network (Supplementary Fig. S8A; ref. 28). Intriguingly, among these proteins, PAK1 has been reported to be a potential target of ivermectin (15). In addition, PAK1 is associated with phosphorylation of Akt (29). These observations suggest that PAK1 might be involved in ivermectin-induced autophagy through regulation of Akt/mTOR pathway. It has been reported that PAK1 is abnormally expressed in a variety of tumor cells and accociated with tumor cell proliferation and invasiveness (30, 31). Our data showed that the basal levels of PAK1 in breast epithelial cells (MCF-10A) were significantly lower than that in breast cancer cells (MCF-7, MDA-MB-231, MDA-MB-361, MDA-MB-435, HS578T, and MDA-MB-468; Supplementary Fig. S7B). In addition, ivermectin treatment showed no notable effect on the expression of both PAK1 and p-Akt in MCF-10A cells (Supplementary Fig. S7C), while in breast cancer cells, ivermectin treatment decreased PAK1 expression in a dose-dependent manner (Fig. 6A and Supplementary Fig. S7A). Following on from this, we examined the phosphorylation levels of Akt in PAK1 knockdown or PAK1-overexpressing cells, respectively, to validate whether PAK1 regulates the Akt/mTOR signaling pathway. As shown in Supplementary Fig. S8B and S8C, knockdown of PAK1 decreased Akt phosphorylation, while enforced expression of PAK1 promoted Akt phosphorylation. To explore the mechanism by which PAK1 promotes Akt phosphorylation, we performed a molecular docking calculation of Akt binding conformation (Supplementary Fig. S8D). The results indicated that PAK1 could interact with Akt directly, which was further corroborated by coimmunoprecipitation analysis (Supplementary Fig. S8E). Moreover, we found that this interaction was reduced in ivermectin-treated cells (Supplementary Fig. S8E), suggesting that ivermectin regulates Akt/mTOR signaling by interfering with the interaction between PAK1 and Akt in breast cancer cells.
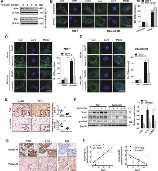
Ivermectin induces autophagy through downregulation of PAK1 in breast cancer cells. A, immunoblot analysis of PAK1 protein expression in cells treated with the indicated concentrations of ivermectin for 24 hours. B, left, the formation of endogenous LC3 puncta was analyzed in cells transfected with PAK1 siRNA or control (50 nmol/L) for 48 hours. Right, total number of endogenous LC3 puncta per cell. C and D, left, cells were transfected with an empty vector (pCDNA-3.1-HA) or with PAK1-HA for 48 hours, and then cells were treated with 8 μmol/L ivermectin for another 24 hours. The formation of endogenous LC3 puncta was analyzed by immunofluorescence. Right, total number of endogenous LC3 puncta per cell. **, P < 0.01; ***, P < 0.001. E, p-Akt and PAK1 expression in orthotopic xenografts was examined by IHC. Scale bars, 20 μm. F, orthotopic xenograft tissues were extracted to assess the levels of p-Akt, p-mTOR, and PAK1 by Western blot analysis. Densitometry quantification of the band intensities in Fig. 6F was carried out using ImageJ software and is shown as a percentage of relative densitometry normalized to actin. G, immunohistochemical analyses of PAK1, p-Akt, and LC3 expression in breast cancer tissues. Scale bars, 20 μm. H, correlation of immunostaining intensity between PAK1 and p-Akt or LC3, respectively.
Ivermectin induces autophagy through downregulation of PAK1 in breast cancer cells. A, immunoblot analysis of PAK1 protein expression in cells treated with the indicated concentrations of ivermectin for 24 hours. B, left, the formation of endogenous LC3 puncta was analyzed in cells transfected with PAK1 siRNA or control (50 nmol/L) for 48 hours. Right, total number of endogenous LC3 puncta per cell. C and D, left, cells were transfected with an empty vector (pCDNA-3.1-HA) or with PAK1-HA for 48 hours, and then cells were treated with 8 μmol/L ivermectin for another 24 hours. The formation of endogenous LC3 puncta was analyzed by immunofluorescence. Right, total number of endogenous LC3 puncta per cell. **, P < 0.01; ***, P < 0.001. E, p-Akt and PAK1 expression in orthotopic xenografts was examined by IHC. Scale bars, 20 μm. F, orthotopic xenograft tissues were extracted to assess the levels of p-Akt, p-mTOR, and PAK1 by Western blot analysis. Densitometry quantification of the band intensities in Fig. 6F was carried out using ImageJ software and is shown as a percentage of relative densitometry normalized to actin. G, immunohistochemical analyses of PAK1, p-Akt, and LC3 expression in breast cancer tissues. Scale bars, 20 μm. H, correlation of immunostaining intensity between PAK1 and p-Akt or LC3, respectively.
To further evaluate the role of PAK1 in ivermectin-induced autophagy, LC3 lipidation and LC3 puncta were assessed in PAK1 siRNA–transfected breast cancer cells followed by treatment with or without ivermectin. PAK1 knockdown resulted in LC3 lipidation (Supplementary Fig. S9A) and LC3 puncta accumulation (Fig. 6B), while ivermectin treatment failed to induce further lipidation of LC3 in PAK1 siRNA–treated cells (Supplementary Fig. S9A). In contrast, PAK1 overexpression suppressed ivermectin-induced LC3 lipidation and accumulation of endogenous LC3 and GFP-LC3 puncta (Fig. 6C and D and Supplementary Fig. S9B). Consistently, control xenografts showed stronger phosphorylated Akt and PAK1 staining compared to that in ivermectin-treated xenografts (Fig. 6E and Supplementary Fig. S4C and S4D). Accordingly, immunoblot analysis displayed an apparent attenuation of phosphorylated Akt, phosphorylated mTOR, and PAK1 in tumors from ivermectin-treated mice compared with controls (Fig. 6F). Furthermore, we assessed the clinical relevance of the PAK1/Akt axis and LC3 in breast cancer patient tissues (n = 20). As expected, PAK1 expression was positively correlated with p-Akt and negatively correlated with LC3, respectively (Fig. 6G and H). Together, our results indicate the PAK1/Akt/mTOR axis as a crucial pathway of ivermectin-induced autophagy in breast cancer.
Ubiquitination-mediated degradation of PAK1 results in autophagy activation in breast cancer cells
To gain insights into the mechanism underlying the regulation of PAK1 by ivermectin, we used reverse transcription PCR (RT-PCR) analysis to quantify the mRNA level of PAK1. As shown in Fig. 7A, ivermectin treatment showed no obvious effect on PAK1 mRNA level, suggesting that transcription regulation might not account for the decreased PAK1 expression observed following ivermectin treatment. We next examined whether PAK1 was degraded through the proteasome/ubiquitination pathway. We showed that treatment of MG132, a proteasome inhibitor, could stabilize the protein levels of PAK1 in MCF-7 and MDA-MB-231 cells (Fig. 7B), suggesting that PAK1 may be degraded by the proteasome/ubiquitination pathway.
Ivermectin promotes ubiquitin degradation of PAK1. A, PAK1 mRNA expression in cells treated with the indicated concentrations of ivermectin for 24 hours was evaluated by RT-PCR. B, immunoblot analysis of PAK1 expression in cells treated with 8 μmol/L ivermectin alone or pretreatment with MG132 (10 μmol/L, 2 hours) for 24 hours. C, immunoprecipitation (IP)–Western blots showing the ubiquitination of PAK1 after ivermectin treatment. HEK 293T cells were cotransfected with PAK1-HA and Flag-tagged ubiquitin. D, HEK 293T cells were cotransfected with Flag-tagged ubiquitin and PAK1-HA (wild-type, WT; knockout, KO; K11R; K29R; K39R; K148R; K162R; K256R). E, HEK 293T cells were cotransfected with Flag-tagged ubiquitin and PAK1-HA (WT; KO; Lys11, Lys29, Lys39, Lys148, Lys162, or Lys256 only) as indicated.
Ivermectin promotes ubiquitin degradation of PAK1. A, PAK1 mRNA expression in cells treated with the indicated concentrations of ivermectin for 24 hours was evaluated by RT-PCR. B, immunoblot analysis of PAK1 expression in cells treated with 8 μmol/L ivermectin alone or pretreatment with MG132 (10 μmol/L, 2 hours) for 24 hours. C, immunoprecipitation (IP)–Western blots showing the ubiquitination of PAK1 after ivermectin treatment. HEK 293T cells were cotransfected with PAK1-HA and Flag-tagged ubiquitin. D, HEK 293T cells were cotransfected with Flag-tagged ubiquitin and PAK1-HA (wild-type, WT; knockout, KO; K11R; K29R; K39R; K148R; K162R; K256R). E, HEK 293T cells were cotransfected with Flag-tagged ubiquitin and PAK1-HA (WT; KO; Lys11, Lys29, Lys39, Lys148, Lys162, or Lys256 only) as indicated.
To further determine whether ivermectin-induced PAK1 reduction is due to proteasome-mediated degradation, we measured the effect of ivermectin on PAK1 ubiquitination by cotransfecting PAK1-HA and Flag-ubiquitin expression vectors in human HEK293T cells with or without MG132 treatment. As shown in Fig. 7C, ivermectin markedly induced PAK1–Ub conjugation and this was further enhanced by MG132 treatment. Bioinformatics analysis was then used to identify the potential ubiquitination site(s) of PAK1. As shown in Supplementary Table S2, 47 lysine residues in PAK1 were identified using the UbPred program (www.ubpred.org), and six candidates (Lys11, Lys29, Lys39, Lys148, Lys162, Lys256) were predicted with high confidence to be the ubiquitination sites (32). To test the contribution of these lysine residues to PAK1 ubiquitination, we constructed six single-site mutants with each of the six lysine residues mutated to arginine (K11R, K29R, K39R, K148R, K162R, and K256R). However, the ubiquitination of these mutants was almost the same as the wild type (Fig. 7D). We further constructed another six mutants (K11, K29, K39, K148, K162, and K256) that each contained a single candidate lysine (e.g., K11 contained one lysine at position 11 with other five lysines mutated to arginine). As shown in Fig. 7E, ubiquitin was conjugated efficiently with PAK1 mutants containing K11, K29, K39, or K148, indicating that these four lysines might be potential ubiquitination sites. These results show that ivermectin downregulates the expression of PAK1 by targeting the lysine residues at K11, K29, K39, or K148 and promoting the ubiquitin/proteasome–mediated degradation in breast cancer cells.
Discussion
The use of ivermectin, a broad-spectrum antiparasitic drug, has now been extended to multiple disease models (14, 33). Recently, this antiparasitic drug has been proposed as a promising anticancer agent in several types of cancer due to its remarkable ability to inhibit tumor growth (16, 17). However, the mechanisms underlying the growth-inhibitory effects of ivermectin are still elusive. In this study, our data revealed that ivermectin suppressed Akt/mTOR signaling by promoting ubiquitination degradation of PAK1, and thereby activated cytostatic autophagy, leading to inhibition of tumor growth in breast cancer cells.
Studies on cancer treatment have identified autophagy activation as a consequence of chemotherapy or radiotherapy; however, the role that autophagy plays in cancer progression is varied (34). Generally, autophagy is considered as a prosurvival mechanism in cancer cells by removing damaged organelles and recycling nutrients upon anticancer treatment (10). However, a recent remarkable finding is that autophagy induced by certain chemotherapeutic agents may have a suppressive role in cancer cells, revealing two additional functional forms of autophagy, of which one is the cytotoxic function that results in autophagic cell death or promotes apoptosis, the other is the cytostatic function that may inhibit cell proliferation in an apoptosis-independent way (6, 7). In this study, we demonstrated that ivermectin-induced autophagy inhibited the growth of breast cancer cells while no significant apoptosis was observed till 48 hours after ivermectin treatment, suggesting that short-term treatment of ivermectin induces cytostatic autophagy in breast cancer cells. Similar reports have been documented that drug-induced autophagy may precede apoptosis in certain cancer cells (35, 36), it would be of particular interest for us to consider optimal manipulation of autophagy for cancer treatment in combination with conventional apoptosis-inducing agents. Because of the complex nature of apoptosis and autophagy in cell fate determination (36), further studies are needed to investigate the crosstalk between these tightly regulated biological processes.
Conventional anticancer therapies primarily trigger apoptosis to promote cancer cell death. However, accumulating evidence suggests that cancer cells may deregulate apoptosis, leading to drug resistance and tumor recurrence (37, 38). Thus, with current chemotherapy regimens, apoptosis resistance has become a tremendous challenge in the development of novel anticancer therapies. As a backup strategy to inhibit tumor growth, cytostatic autophagy may overcome these barriers by inhibiting the growth of cancer cells regardless of their sensitivity to apoptosis (39, 40). In support of this, very recently, it has been reported that the combination of radiotherapy with vitamin D inhibits cell proliferation through inducing cytostatic autophagy in non-small cell lung cancer cells (41). Our results revealed that autophagy induced by ivermectin has the capacity to inhibit breast cancer cell growth in a cytostatic way, suggesting that the use of ivermectin as an anticancer agent may reduce the self-renewal capacity and proliferation recovery in breast cancer cells.
The Akt/mTOR signaling pathway is a major pathway accounting for autophagy activation and is also involved in regulating the proliferation and apoptosis of cancer cells (42). In this study, we found that the Akt/mTOR signaling pathway was significantly inhibited by ivermectin. The inhibited Akt/mTOR signaling in ivermectin-treated cells was attributed to down regulated PAK1 (15), whose expression correlates with the phosphorylation of Akt (29). Our data showed that ivermectin could markedly decrease the expression of PAK1 and inhibit the Akt/mTOR signaling pathway, implicating the PAK1/Akt/mTOR axis as a novel pathway in ivermectin-induced autophagy. Although previous studies have mentioned that ivermectin could decrease the expression of PAK1, the detailed mechanism underlying ivermectin-regulated PAK1 still remains unclear. We showed that ivermectin downregulated PAK1 protein levels by targeting the lysine residues at K11, K29, K39, or K148 and promoting ubiquitination-mediated degradation. These results support ivermectin as a potent agent in the induction of ubiquitination-mediated degradation of PAK1, suggesting that ivermectin-mediated inhibition of the PAK1/Akt/mTOR signaling pathway may merit exploration as a therapeutic strategy for breast cancer treatment.
Notably, PAK1 has been demonstrated to be increased in breast cancer and plays a key role in promoting tumor growth and drug resistance (30, 43–45). The oncogenic function of PAK1 is also observed in other cancers, such as colon cancer, neurofibromatosis, and ovarian cancer (31, 46, 47). Thus, further study targeting PAK1 may provide an optional therapeutic strategy for tumors with PAK1 overexpression. On the basis of our findings, the combination of traditional anticancer treatment with ivermectin seems to be a rational way to treat cancer cells with PAK1-involved drug resistance (48, 49). In line with our hypothesis, a recent study showed that ivermectin could alleviate multidrug resistance in breast cancer and enhance the cytotoxicity of doxorubicin and paclitaxel (50). Further studies may focus on validating the effect of ivermectin in conjunction with conventional anticancer therapies in drug-resistant tumors.
In summary, our study revealed that ivermectin inhibited the tumor growth of breast cancer by inducing PAK1/Akt/mTOR axis-mediated cytostatic autophagy. These findings provide insights into the anticancer efficacy of ivermectin, which support a preclinical rational to explore broadening the clinical evaluation of ivermectin for the treatment of breast tumor.
Disclosure of Potential Conflicts of Interest
No potential conflicts of interest were disclosed.
Authors' Contributions
Conception and design: K. Li, Y.-Q. Wei, C. Huang
Development of methodology: C. Huang
Acquisition of data (provided animals, acquired and managed patients, provided facilities, etc.): Q. Dou, H.-N. Chen, K. Li, Y. Chen, Z. Huang, C. Huang
Analysis and interpretation of data (e.g., statistical analysis, biostatistics, computational analysis): Q. Dou, H.-N. Chen, K. Li, N. Xie, R. Xiang, C. Huang
Writing, review, and/or revision of the manuscript: Q. Dou, H.-N. Chen, K. Wang, K. Yuan, Y. Lei, L. Zhang, E.C. Nice, C. Huang
Administrative, technical, or material support (i.e., reporting or organizing data, constructing databases): K. Li, J. Lan
Study supervision: E.C. Nice, C. Huang
Acknowledgments
The authors thank Dr. Changan Jiang for providing Flag-Ub plasmid and Dr. Qiang Yu and Dr. Ning Zhang for providing breast cancer cell lines used in this study.
Grant Support
This work was supported by grants from the National 973 Basic Research Program of China (no. 2013CB911300 to C. Huang), the National Science and Technology Major Project (no. 2012ZX09501001-003 to C. Huang), the Chinese NSFC (nos. 81225015 and 81430071 to C. Huang; no. 81502441 to K. Yuan; no. 81401951 to Y. Lei; no. 81501743 to N. Xie), and Sichuan Science-Technology Innovative Research Team for Young Scientist (no. 2013TD0001 to C. Huang).
The costs of publication of this article were defrayed in part by the payment of page charges. This article must therefore be hereby marked advertisement in accordance with 18 U.S.C. Section 1734 solely to indicate this fact.






