Abstract
The impact of complement on cancer metastasis has not been well studied. In this report, we demonstrate in a preclinical mouse model of breast cancer that the complement anaphylatoxin C5a receptor (C5aR) facilitates metastasis by suppressing effector CD8+ and CD4+ T-cell responses in the lungs. Mechanisms of this suppression involve recruitment of immature myeloid cells to the lungs and regulation of TGFβ and IL10 production in these cells. TGFβ and IL10 favored generation of T regulatory cells (Treg) and Th2-oriented responses that rendered CD8+ T cells dysfunctional. Importantly, pharmacologic blockade of C5aR or its genetic ablation in C5aR-deficient mice were sufficient to reduce lung metastases. Depletion of CD8+ T cells abolished this beneficial effect, suggesting that CD8+ T cells were responsible for the effects of C5aR inhibition. In contrast to previous findings, we observed that C5aR signaling promoted Treg generation and suppressed T-cell responses in organs where metastases arose. Overall, our findings indicated that the immunomodulatory functions of C5aR are highly context dependent. Furthermore, they offered proof-of-concept for complement-based immunotherapies to prevent or reduce cancer metastasis. Cancer Res; 74(13); 3454–65. ©2014 AACR.
Introduction
Preventing cancer metastasis is a Holy Grail of cancer therapy, as the majority of cancer deaths are attributed to this process (1). However, progress in this area has been limited by our poor understanding of its mechanism. Recent evidence has indicated that, in addition to the mechanisms operating in neoplastic cells (2), alterations in host homeostasis, particularly in the immune system, contribute to metastasis (3). These alterations occur in the primary tumor microenvironment (2), however roles for host-derived cells and mediators at sites distal to the tumor have also been reported (4). An important concept in tumor metastasis is the formation of premetastatic niches, in which malignant tumors prepare the environment of remote organs to receive metastatic cells by altering host homeostasis in these organs before tumor cell arrival. Because these changes precede metastases, therapeutic targeting of these premetastatic niches might prevent metastasis. The existence of premetastatic niches was proposed more than 100 years ago (3), but only recently have components of these niches been identified and they include myeloid-derived suppressor cells (MDSC; refs. 5–8). The primary tumor hypoxia inducible factors (9), serum amyloid A3 induced by S100A8 and A100A9 (10), and S1PR1-STAT3 signaling (11) have been suggested to be involved in recruiting these cells from the bone marrow to premetastatic organs. However, mechanisms governing recruitment of various cells to premetastatic organs and how the cells facilitate metastases are not clear. It is conceivable that MDSCs, which suppress antitumor T-cell responses in primary tumors and peripheral lymphoid organs (12), shield metastasizing tumor cells from immune attack at distant sites targeted by metastases (5). However, in contrast to primary sites, the significance of T-cell suppression in premetastatic niches remains unclear (13). Because the complement anaphylatoxin C5a, a potent chemoattractant in inflammatory reactions (14), activates and attracts immunosuppressive cells to primary tumors (15), we hypothesize that C5a also contributes to immunosuppression facilitating metastases in distant sites.
Using a mouse model of breast cancer (16), we show that C5a receptor 1 (C5aR) contributes to metastasis by suppressing T-cell responses in the lungs, because reduction in metastatic burden in the lungs by C5aR inhibition was abolished by CD8+ T-cell depletion. C5aR blockade resulted in increased recruitment of CD4+ and CD8+ T cells and induction of Th1/Tc1-biased T-cell responses. Mechanisms of C5aR-mediated immunosuppression involved recruitment of MDSCs and generation of Treg cells and regulating production of the immunosuppressive cytokines, TGFβ and IL10, in myeloid cells. Relevance of our findings for human breast cancer was underscored by identifying MDSCs and complement deposition in tumor-draining lymph nodes (TDLN) of patients with breast cancer.
Materials and Methods
Mice and cell lines
Balb/c wild-type (WT) and C5aR-deficient (C5aR−/−) mice were from The Jackson Laboratory. C5aR−/− mice were backcrossed 10 generations to Balb/c before being made homozygous. Upon arrival to The Jackson Laboratory, these mice were bred at least 1 generation to Balb/c. Mice were housed in the animal facility of Texas Tech University Health Sciences Center. Water and standard rodent diet were provided ad libitum. All experiments were approved by the Committee of Institutional Animal Care and Use according to the guidelines of the National Institutes of Health. 4T1 (CRL-2539; ATCC) and 4T1-luc2-GFP (128090; Caliper/PerkinElmer) tumor cell lines were maintained in cell culture media as recommended by suppliers and routinely tested for the absence of mycoplasma (Aldevron). The information of tumor model development and CD8+ T-cell depletion is provided in the Supplementary Materials.
Complement C5aR antagonism
A selective antagonist of C5aR, the cyclic peptide Ac-(cyclo-2,6)-F[OP(D-Cha)WR] was used for C5aR-blockade. This compound, originally named 3D53 and also licensed as PMX53 (17) but abbreviated as C5aRA herein, specifically binds to C5aR1 and does not bind to the second C5aR (C5L2) or to the C3aR (18). It was synthesized and characterized as described (19), dissolved in sterile PBS, and injected subcutaneously at a dose of 1 mg/kg body weight, every 2 to 3 days beginning on day 7 after tumor cell injection (3.3 μmol/kg body weight per week; ref. 15); or day 12 to 15 after 4T1-luc2-GFP cell injection when palpable breast tumors (approximately 5 mm in diameter) were observed. The delay in administering C5aRA when 4T1-luc2-GFP cells were injected in mice was because of the slower tumor growth compared with the parent 4T1 cell line. Control mice received sterile PBS.
Tissue and cell processing, immunofluorescence/immunohistochemistry, quantitative PCR, ELISA for complement fragments, and bronchoalveolar lavage isolation
Mouse organs were fixed in 10% (v/v) formalin, 4% paraformaldehyde or froze in optimum cutting temperature (OCT) medium. Formalin-fixed samples were routinely processed for histology and immunohistochemistry. Paraformaldehyde-fixed lungs were immersed in 30% sucrose, washed in PBS, and then froze in OCT medium. Frozen samples were sectioned with cryostat (Leica) for immunofluorescence or quantification of GFP+ metastases. Blood samples after erythrocyte lysis with ACK buffer (118-156-101; Quality Biological) were stained for FACS. Lungs were digested in the digestion buffer (collagenase D) and mechanically disintegrated and passed through 40-μm cell strainers (BD Biosciences) to obtain single-cell suspensions. Spleens were mechanically disintegrated and passed through cell strainers. Formalin-fixed sections were stained with hematoxylin and eosin (H&E) to quantify metastases by digital pathology algorithms. Details of immunofluorescence/immunohistochemistry procedures, information on scoring metastases, quantitative PCR, C5a, and C3 ELISA, Bronchoalveolar lavage (BAL) isolation, are provided in the Supplementary Materials.
Antibodies, functional assays, and FACS
For T-cell stimulation assays, cells were incubated in the presence of brefeldin-A and monensin (BD Biosciences) in CD3 and CD28 antibodies adsorbed 96-well plates (17A2 and 37.51; eBioscience) for 6 to 8 hours. Cytokine production was assessed by intracellular cytokine staining. For analysis of C5aR expression, cells were incubated with rabbit polyclonal anti-mouse C5aR (C1150-32; BD Biosciences) or rabbit isotype-matched control antibody (550875; BD Pharmingen) and then with FITC-conjugated anti-rabbit IgG (F0112; R&D Systems). In addition, rat mAb to mouse C5aR (20/70; Hycult Biotechnology) or rat isotype-matched control antibody (553928; BD Pharmingen), followed by FITC-conjugated anti-rat IgG (81-9511; Zymed-Invitrogen) were used.
To study the impact of C5aR-signaling in MDSCs on the polarization of T-cell responses, groups of tumor-bearing Balb/c WT mice were injected with C5aRA or PBS as described in the Supplementary Materials. On day 30, mouse lungs were harvested for MDSCs isolation, which was performed with MDSC Isolation Kit (miltenyi). Naïve CD4+ T cells were negatively sorted (miltenyi) from splenocytes of nontumor-bearing mice. Purity of cells was verified by FACS staining and found to be >98%. CD4+ T cells and lung-derived MDSCs were cocultured in 1:5 ratios in a 24-well plate previously coated with CD3/CD28 antibodies. CD4+ T-cell cultures were harvested at day 5 and intracellular staining for IFNγ and IL4 was performed after stimulation as described in the Supplementary Materials. Additional information on antibodies, staining, and gating strategies is also provided in the Supplementary Materials.
Digital image analysis
H&E-stained lung and liver sections were scanned and digitalized (Aperio Technologies, Inc.). Quality control of digital whole slide images (WSI) and all further analysis were performed using ImageScope (Aperio). Aperio Genie Classifier was used for analyzing all the WSI.
Statistical analysis
At least 5 mice per group were included in each experiment, except 1 experiment with n = 3. Data were analyzed with unpaired t test or nonparametric Mann–Whitney test, depending on results of the normality test (Kolmogorov–Smirnov). For data with the normal distribution, 2-tailed unpaired t test (t test) was used. Two-tailed unpaired t test with Welch correction (t test with Welch correction) was used for data having significant differences in variances between groups. For data lacking the normal distribution, 2-tailed nonparametric Mann–Whitney (Mann–Whitney test) test was used. For multiple comparisons, one-way ANOVA and for normalized data from qPCR one sample t test were used. Outliers were identified using Grubb test at α = 0.05. All statistical analysis was done with Graph Pad Prism 6 software. Statistical significance was based on a value of P ≤ 0.05. For P > 0.05, 95% confidence interval (CI) was used to draw conclusions.
Results
C5aR signaling facilitates lung and liver metastases
C5aR signaling was found to promote tumor growth by modulating antitumor immunity in a syngeneic mouse model of cervical cancer (15). However, its role in metastatic spread of cancer has not been explored. Therefore, we investigated whether C5aR contributes to metastasis. We found that C5aR deficiency reduced lung (Fig. 1A and B) and liver (Supplementary Fig. S1A and S1B) metastatic burden without significantly affecting the growth of primary breast tumors (Fig. 1C) in a syngeneic model of breast cancer (4T1), which closely mimics stage IV of human breast cancer (16). Decreased metastatic burden together with the lack of an impact of C5aR deficiency on primary tumor growth suggests that C5aR promotes metastasis through mechanisms independent of those operating in primary tumors. In addition, because 4T1 tumor cells do not express C5aR (Supplementary Fig. S1C), C5aR signaling in tumor cells does not directly govern metastasis to distant organs. To support our data from genetically modified mice, we examined the impact of pharmacologic inhibition of C5aR on metastases in mice bearing GFP-expressing 4T1 breast tumors (4T1-GFP+). Metastatic burden was markedly reduced in mice treated with C5aRA compared with placebo-treated control mice (Fig. 1D–F). Importantly, 75% of the mice that received C5aRA remained metastases free (Fig. 1E), whereas 25% of the mice developed fewer and smaller lung metastases than control mice (Fig. 1E and F). Despite this substantial impact on metastasis, similar to observations from the experiments with C5aR knockout mice, pharmacologic inhibition of C5aR by C5aRA did not affect growth of the primary tumors in this study (Fig. 1G).
C5aR signaling promotes metastasis to the lungs of breast tumor–bearing mice. A, scans of H&E-stained sections of the lungs of WT and C5aR-deficient (C5aR−/−) mice with breast tumors (top) and their corresponding digital mark-up images (bottom). Purple, metastases; red, tissue with severe inflammatory changes; yellow and pink colorations, remaining tissue. B, quantification of lung metastases from A; *, P = 0.0421 (t test). C, breast tumor volumes of WT and C5aR−/− mice at various time points after tumor cell injection. D, GFP+ metastases in the lungs of tumor-bearing mice treated with PBS or C5aR antagonist (C5aRA). Arrow, small metastatic tumor. E and F, number of lung metastases (*, P = 0.0225; Mann–Whitney test; E), and area covered by these metastases (*, P = 0.0141; Mann–Whitney test; F) in PBS and C5aRA-treated tumor-bearing mice. G, breast tumor volumes of WT Balb/c mice treated with C5aRA or PBS at various time points after injection of tumor cells. Horizontal lines represent mean in scatter plots (C and E–G). Bars represent mean + SEM. Data are representative of two independent experiments with n1 = 19, n2 = 10 (A–C), or two independent experiments with n1 ≥ 8, n2 = 10 (D–G).
C5aR signaling promotes metastasis to the lungs of breast tumor–bearing mice. A, scans of H&E-stained sections of the lungs of WT and C5aR-deficient (C5aR−/−) mice with breast tumors (top) and their corresponding digital mark-up images (bottom). Purple, metastases; red, tissue with severe inflammatory changes; yellow and pink colorations, remaining tissue. B, quantification of lung metastases from A; *, P = 0.0421 (t test). C, breast tumor volumes of WT and C5aR−/− mice at various time points after tumor cell injection. D, GFP+ metastases in the lungs of tumor-bearing mice treated with PBS or C5aR antagonist (C5aRA). Arrow, small metastatic tumor. E and F, number of lung metastases (*, P = 0.0225; Mann–Whitney test; E), and area covered by these metastases (*, P = 0.0141; Mann–Whitney test; F) in PBS and C5aRA-treated tumor-bearing mice. G, breast tumor volumes of WT Balb/c mice treated with C5aRA or PBS at various time points after injection of tumor cells. Horizontal lines represent mean in scatter plots (C and E–G). Bars represent mean + SEM. Data are representative of two independent experiments with n1 = 19, n2 = 10 (A–C), or two independent experiments with n1 ≥ 8, n2 = 10 (D–G).
C5aR inhibits the recruitment and function of CD4+ and CD8+ T cells in the lungs and livers of breast tumor–bearing mice
Antitumor CD4+ and CD8+ T cells are considered to be major effectors that limit tumor growth at primary sites and our previous study linked C5aR to antitumor T-cell responses (15). However, no role for T cells in preventing metastases at distal organs has been demonstrated. Therefore, we examined the impact of C5aR blockade on both of these T-cell populations. We found higher numbers of CD4+ and CD8+ T cells in the peripheral blood (Fig. 2A and E) and higher percentages of these cells in the lungs of breast tumor–bearing mice treated with C5aRA compared with control mice (Fig. 2B and F). A similar observation was made in C5aR−/− mice (data not shown). We hypothesize that these cells, which were found to be more frequent in C5aR−/− or C5aRA-treated mice, would also be more efficient in the immunosurveillance of the distant organs, eventually contributing to reduction in metastatic burden. This hypothesis is supported by significantly higher percentages of IFNγ producing CD4+ and CD8+ T cells observed in the lungs of C5aRA-treated or C5aR−/− mice when stimulated ex vivo with CD3/CD28 antibodies (Fig. 2C, G, D, and H). Thus, we propose that the absence of C5aR signaling encompasses Th1 and Tc1 predominant responses, which are likely to be involved in the clearance of circulating and/or seeding tumor cells in the lungs. This is further supported by significantly higher numbers of perforin-armed CD8+ T cells infiltrating the lungs of breast tumor–bearing mice that received C5aRA (Fig. 2I and J), supporting contribution of these cells to protection of this organ against metastasizing tumor cells, because acquisition of perforin is a major effector function of CD8+ cytotoxic T cells (CTL) and these cells posses tumoricidal activity (20). The impact of C5aR signaling on T-cell accumulation in metastases-targeted organs seems to be indirect, as we did not detect any expression of C5aR on peripheral blood CD4+ and CD8+ T cells (Supplementary Fig. S1D). Next, we examined expression of CXCR-3 and LFA-1 on CD8+ T cells in peripheral blood of breast tumor–bearing mice treated with C5aRA and PBS, because these receptors are involved in the homing of effector CD8+ T cells to the lungs in other models (21–23). However, we found no differences in the expression of these receptors (data not shown). Similar to the lungs, an increased accumulation of CTLs was observed in the livers of C5aR−/− mice compared with Balb/c WT mice (Supplementary Fig. S1E and S1F).
C5aR blockade enhances CD4+ and CD8+ T-cell responses. A and B, CD4+ T cells from peripheral blood (*, P = 0.0358; t test; A) and lungs (*, P = 0.2452, with 95% CI, −0.08 to 0.30; t test; B) of breast tumor–bearing mice injected with PBS or C5aR antagonist (C5aRA). C and D, IFNγ-expressing CD4+ T cells from lungs of breast tumor–bearing mice injected with PBS or C5aRA (*, P = 0.0368; t test; C), and WT and C5aR−/− mice (*, P = 0.0004; t test; D). E and F, CD8+ T cells from peripheral blood (*, P = 0.0267; t test; E) and lungs of breast tumor–bearing mice injected with PBS or C5aRA (*, P = 0.0471; t test; F). G and H, IFNγ-expressing CD8+ T cells from lungs of breast tumor–bearing mice injected with PBS and C5aRA (*, P = 0.1438; 95% CI, −0.01 to 0.002; t test; G), and WT and C5aR−/− mice (*, P = 0.0364; Mann–Whitney test; H). I and J, perforin-expressing (red fluorescence) and CD8+ (green fluorescence) T cells in lungs of breast tumor–bearing mice injected with PBS (left) or C5aRA (two right panels; I), with quantification (*, P = 0.0008; t test; J). K, lung metastatic burden in Balb/c WT mice treated with C5aRA or PBS and injected with CD8-neutralizing antibody or isotype IgG. *, P = 0.0005 (Mann–Whitney test); n.s., not significant. L, CD8+ T cells in peripheral blood of Balb/c WT mice treated with PBS or C5aRA and injected with CD8-neutralizing antibody (α-CD8) or isotype IgG (Isotype). *, P = 0.0057 (Mann–Whitney test); **, P = 0.0040 (t test with Welch correction). Scale bar, 20 μm. Bars represent mean + SEM. Data are representative of two independent experiments n1 = 9 and n2 = 10 (A, B, C, F, and G) or three independent experiments n1 = 8, n2 = 9, and n3 = 10 (E), or one experiment with at least n = 8 (D–H, and I–L).
C5aR blockade enhances CD4+ and CD8+ T-cell responses. A and B, CD4+ T cells from peripheral blood (*, P = 0.0358; t test; A) and lungs (*, P = 0.2452, with 95% CI, −0.08 to 0.30; t test; B) of breast tumor–bearing mice injected with PBS or C5aR antagonist (C5aRA). C and D, IFNγ-expressing CD4+ T cells from lungs of breast tumor–bearing mice injected with PBS or C5aRA (*, P = 0.0368; t test; C), and WT and C5aR−/− mice (*, P = 0.0004; t test; D). E and F, CD8+ T cells from peripheral blood (*, P = 0.0267; t test; E) and lungs of breast tumor–bearing mice injected with PBS or C5aRA (*, P = 0.0471; t test; F). G and H, IFNγ-expressing CD8+ T cells from lungs of breast tumor–bearing mice injected with PBS and C5aRA (*, P = 0.1438; 95% CI, −0.01 to 0.002; t test; G), and WT and C5aR−/− mice (*, P = 0.0364; Mann–Whitney test; H). I and J, perforin-expressing (red fluorescence) and CD8+ (green fluorescence) T cells in lungs of breast tumor–bearing mice injected with PBS (left) or C5aRA (two right panels; I), with quantification (*, P = 0.0008; t test; J). K, lung metastatic burden in Balb/c WT mice treated with C5aRA or PBS and injected with CD8-neutralizing antibody or isotype IgG. *, P = 0.0005 (Mann–Whitney test); n.s., not significant. L, CD8+ T cells in peripheral blood of Balb/c WT mice treated with PBS or C5aRA and injected with CD8-neutralizing antibody (α-CD8) or isotype IgG (Isotype). *, P = 0.0057 (Mann–Whitney test); **, P = 0.0040 (t test with Welch correction). Scale bar, 20 μm. Bars represent mean + SEM. Data are representative of two independent experiments n1 = 9 and n2 = 10 (A, B, C, F, and G) or three independent experiments n1 = 8, n2 = 9, and n3 = 10 (E), or one experiment with at least n = 8 (D–H, and I–L).
To confirm that reduction in metastatic burden caused by C5aR inhibition was dependent on the protective role of CD8+ T cells, we investigated the impact of C5aR inhibition on lung metastases in mice with depleted CD8+ T cells. C5aR blockade did not reduce lung metastases in these mice (Fig. 2K and L). On the contrary, in mice with an intact CD8+ T-cell population treated with control IgG, we observed a protective effect of C5aRA treatment, with a significant reduction in the lung metastatic burden compared with control mice (Fig. 2K and L). This observation indicates that C5aR inhibits the protective function of CD8+ T cells in metastasis-targeted organs rendering them unable to control metastasis.
C5a regulates the immunosuppressive environment of metastases-targeted organs
The accumulation of immunosuppressive myeloid cells has been reported to be a contributing factor in the formation of premetastatic sites, thereby facilitating metastasis (5, 6). However, factors regulating the recruitment of these cells to distant sites need to be elucidated. In our previous study in a model of HPV-induced cancer, we demonstrated that C5a acts as a potent chemoattractant of MDSCs to the primary tumors (15). Thus, we hypothesized that C5a/C5aR also activates and recruits MDSCs to premetastatic niches, resulting in immunosuppression in metastases targeted organs before tumor cell arrival. In fact, genetic (Fig. 3A) and pharmacologic (Fig. 3B and C) ablation of C5aR decreased MDSC infiltration of the lungs of breast tumor–bearing mice (Fig. 3A–C). A similar reduction in MDSCs was observed in the livers of C5aR−/− mice (Supplementary Fig. S1G and S1H). We did not find any differences in the numbers of MDSCs present in peripheral blood (Supplementary Fig. S2A) and bone marrow (Supplementary Fig. S2B) of C5aRA-treated and control mice. In an independent set of experiments, we determined that tumor cells were first observed in the lungs between days 20 to 26 after injection of 4T1 cells (Supplementary Fig. S2C), whereas a significant increase in MDSC infiltration into the lungs could be detected at day 16 (Supplementary Fig. S2D and S2E). Interestingly, we observed that complement activation, which is associated with C5a generation, occurred in the lungs of breast tumor–bearing mice before metastases and significant accumulation of MDSC (Fig. 3D), because complement C3 fragments were deposited in the lungs as early as at day 4 after tumor implantation (Fig. 3D). Therefore, we propose that in premetastatic niches, C5a functions as a chemoattractant for MDSCs expressing high levels of C5aR (Fig. 3E). This hypothesis is supported by the presence of high amounts of C5a in peripheral blood of breast tumor–bearing mice, which increased at later time points (Supplementary Fig. S3A). Although we observed some increases in C5a levels in BAL, these differences did not reach statistical significance (data not shown). Interestingly, we also found increases in total C3 concentration in plasma (Supplementary Fig. S3B) and BAL (Supplementary Fig. S3C), suggesting enhanced production of complement fragments in tumor–bearing mice. Increased expression of genes encoding C3 and C5 in the liver (Supplementary Fig. S3D) indicated that this organ is a primary site of C3 and C5 production in tumor-bearing mice. In contrast, we did not observe increased expression of C3 and C5 in the lungs (data not shown). We did not find increased expression of C3 and C5 genes (data not shown) in the kidneys that are usually spared from metastasis in this tumor model (16). We observed deposition of some C3 cleavage fragments limited to the periphery of kidney glomeruli in tumor-free mice (Supplementary Fig. S3E) with identical staining pattern as reported previously (24). The presence of primary breast tumors did not increase this deposition (Supplementary Fig. S3E), indicating that enhanced complement activation is limited to organs targeted by metastasis.
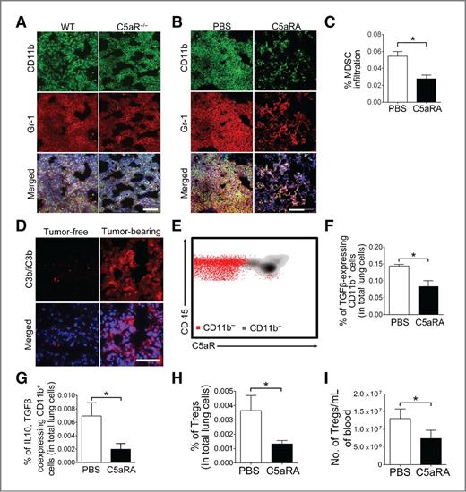
C5aR-mediated immunosuppression in the lungs of breast tumor–bearing mice. A and B, CD11b and Gr-1 expression, green and red fluorescence, respectively, in lung MDSCs of tumor-bearing WT and C5aR−/− mice (A) and tumor-bearing WT mice injected with PBS or C5aR antagonist (C5aRA; B). C, MDSCs quantification. *, P = 0.0017 (t test) from B. D, C3 cleavage products in the lungs of tumor-free and tumor-bearing mice. E, C5aR expression in CD11b+ blood cells in tumor-bearing mice. F and G, percentages of CD11b+ cells expressing TGFβ after ex vivo LPS stimulation (*, P = 0.0085; t test with Welch correction; F) and coexpressing TGFβ and IL10 (*, P = 0.0412; t test with Welch correction; G) in the lungs of tumor-bearing mice injected with PBS or C5aRA. H and I, percentages of Treg cells in the lungs (*, P = 0.2679, 95% CI, −0.001 to 0.005; t test; H) and absolute counts of Treg cells in the peripheral blood (*, P = 0.05; t test; I) of tumor-bearing mice injected with PBS or C5aRA. Blue fluorescence-DAPI (A, B, and D). Bars represent mean + SEM. Data are representative of one experiment with n = 8 (A); or two independent experiments, n1 ≥ 8 and n2 = 10 (B, C, and E); or two independent experiments, n1 = 3 and n2 = 8 (D); or one experiment, n = 9 (F and G); or one experiment, n ≥ 5 (H and I). Scale bar, 100 μm for A and B; 200 μm for D; and 50 μm for D.
C5aR-mediated immunosuppression in the lungs of breast tumor–bearing mice. A and B, CD11b and Gr-1 expression, green and red fluorescence, respectively, in lung MDSCs of tumor-bearing WT and C5aR−/− mice (A) and tumor-bearing WT mice injected with PBS or C5aR antagonist (C5aRA; B). C, MDSCs quantification. *, P = 0.0017 (t test) from B. D, C3 cleavage products in the lungs of tumor-free and tumor-bearing mice. E, C5aR expression in CD11b+ blood cells in tumor-bearing mice. F and G, percentages of CD11b+ cells expressing TGFβ after ex vivo LPS stimulation (*, P = 0.0085; t test with Welch correction; F) and coexpressing TGFβ and IL10 (*, P = 0.0412; t test with Welch correction; G) in the lungs of tumor-bearing mice injected with PBS or C5aRA. H and I, percentages of Treg cells in the lungs (*, P = 0.2679, 95% CI, −0.001 to 0.005; t test; H) and absolute counts of Treg cells in the peripheral blood (*, P = 0.05; t test; I) of tumor-bearing mice injected with PBS or C5aRA. Blue fluorescence-DAPI (A, B, and D). Bars represent mean + SEM. Data are representative of one experiment with n = 8 (A); or two independent experiments, n1 ≥ 8 and n2 = 10 (B, C, and E); or two independent experiments, n1 = 3 and n2 = 8 (D); or one experiment, n = 9 (F and G); or one experiment, n ≥ 5 (H and I). Scale bar, 100 μm for A and B; 200 μm for D; and 50 μm for D.
Because immunosuppressive properties of MDSC in the primary tumor microenvironment are maintained to a large extent by cytokines produced in these cells (25), we investigated whether similar mechanisms operated in premetastatic niches. The impact of C5aR inhibition on the expression of cytokines involved in immunosuppression, such as IL10, and TGFβ, was evaluated in lung myeloid cells of tumor-bearing mice. We determined numbers of cells that produced only one of the examined cytokines, as well as cells that coexpressed both cytokines. Total lung cells were isolated from breast tumor–bearing mice treated with C5aRA or PBS and stimulated ex vivo with the TLR4 agonist lipopolysaccharide (LPS). We found reduction in the amount of CD11b+ cells producing only TGFβ in mice treated with C5aRA compared with the PBS group (Fig. 3F). Relatively low numbers of cytokine-producing cells were observed in total lung cells. Of note, extremely rare hematopoietic stem cell/progenitors have found to be key contributors to the premetastatic niche (7). Importantly, we found that C5aR inhibition reduced numbers of CD11b+ cells that coproduced TGFβ and IL10 (Fig. 3G). TGFβ and IL10, in addition to facilitating metastasis (26, 27) are also reported to promote Treg-cell generation (28, 29), thereby suppressing adaptive immunity in the tumor microenvironment (25). Therefore, we next assessed whether decreased production of these cytokines in mice treated with C5aRA correlated with the reduced numbers of Treg cells in the lungs of mice with primary breast tumors. We found that these mice had lower numbers of Treg cells compared with control mice (Fig. 3H). This finding was consistent with a reduction in the numbers of Treg cells in the circulation (Fig. 3I). Thus, we propose that C5aR signaling contributes to immunosuppression in metastases-targeted lungs via recruitment of MDSCs to these sites, regulation of TGFβ and IL10 expression in these cells and, consequently, generation of Treg cells.
C5aR in MDSCs affects T-cell polarization in metastases-targeted organs
We observed that C5aR deficiency led to Th1 polarization of CD4+ T cells in the lungs of breast tumor–bearing mice (Fig. 4A). To confirm that C5a impacts generation and polarization of anti-tumor effector T-cell responses in metastases-targeted organs by modulating functions of MDSCs, CD4+ T cells isolated from spleens of tumor-free “naïve” mice were differentiated in vitro by stimulating with CD3/CD28 antibodies in the presence of lung-derived MDSCs (CD11b+Gr-1+) from control or C5aRA-treated breast tumor–bearing mice. Importantly, we observed by FACS analysis that these T cells lacked C5aR expression on their surface, excluding the possibility of a direct action of C5aRA on T cells (Supplementary Fig. S1D). We found that CD4+ T cells differentiated in the presence of lung MDSCs from C5aRA-treated mice displayed increased expression of IFNγ and decreased expression of IL4, resulting in a higher Th1/Th2 ratio compared with a similar setting that used lung MDSC from the PBS group (Fig. 4B and C). Based on these data, we propose that C5aR signaling contributes to the polarization of CD4+ T cells to a Th2 type in the lungs of tumor–bearing mice by modulating MDSC functions and that disabling C5aR signaling reverses this effect.
C5aR impact T-cell polarization by regulating lung MDSCs. A, Th1/Th2 ratio calculated from IFNγ (Th1)- and IL4 (Th2)-expressing CD4+ T cells obtained from the lungs of breast tumor-bearing WT and C5aR−/− mice. *, P = 0.0245 (t test with Welch correction). B and C, percentages of IFNγ (*, P = 0.2712; 95% CI, −0.02 to 0.06; t test; B) and IL4-expressing (*, P = 0.1332; 95% CI, −60.23 to 10.18; t test with Welch correction; C) CD4+ T cells differentiated in vitro by anti-CD3/CD28 stimulations in the presence of lung MDSCs from breast tumor–bearing mice treated with C5aRA or PBS. Horizontal lines represent mean + SEM. Data are representative of one independent experiment with n ≥ 9 (A) and n ≥ 5 (B and C).
C5aR impact T-cell polarization by regulating lung MDSCs. A, Th1/Th2 ratio calculated from IFNγ (Th1)- and IL4 (Th2)-expressing CD4+ T cells obtained from the lungs of breast tumor-bearing WT and C5aR−/− mice. *, P = 0.0245 (t test with Welch correction). B and C, percentages of IFNγ (*, P = 0.2712; 95% CI, −0.02 to 0.06; t test; B) and IL4-expressing (*, P = 0.1332; 95% CI, −60.23 to 10.18; t test with Welch correction; C) CD4+ T cells differentiated in vitro by anti-CD3/CD28 stimulations in the presence of lung MDSCs from breast tumor–bearing mice treated with C5aRA or PBS. Horizontal lines represent mean + SEM. Data are representative of one independent experiment with n ≥ 9 (A) and n ≥ 5 (B and C).
Inflammatory changes in the premetastatic niche resemble interstitial pneumonia-like inflammation
In addition to the decrease in metastatic burden and decreased MDSC infiltration into the lungs and liver, C5aR deficiency (C5aR−/−) markedly attenuated inflammation in these organs. This was demonstrated by reduced inflammatory infiltrates in intra-alveolar septa in the lungs (Fig. 5A), as well as in periportal areas of the liver (Fig. 5B). Morphologic heterogeneity in these infiltrates suggests that, apart from MDSCs, other cells contribute to premetastatic niche formation and recruitment of these cells could be C5aR dependent. A detailed histopathologic evaluation revealed progressive inflammatory changes in the intra-alveolar septa of mice bearing tumors. This inflammation acquired an interstitial “pneumonia-like” pattern in advanced stages (Fig. 5C). The diffuse interstitial infiltrates in the lungs were composed of cells resembling granulocytes, with an admixture of small lymphocytes and histiocytes. Occasionally, immature myeloid cells were noted (Fig. 5D).
C5aR-mediated inflammation facilitates metastases. A, H&E-stained sections of the lungs of WT and C5aR−/− tumor-bearing mice. Double-headed arrows, 54.92 μm in WT and 37.61 μm in C5aR−/− mice showing thickness of alveolar septa. B, H&E-stained sections of the livers of WT and C5aR−/− tumor-bearing mice. Arrows, inflammatory cells. C, H&E-stained sections of the lungs of tumor-free mice (left) and tumor-bearing mice (right). D, arrows, immature myeloid cells in H&E-stained lung sections of tumor-bearing mice. E, the lungs from tumor-free (left) and tumor-bearing mice (right) injected intravenously with GFP+ tumor cells. Top, white light images; note multiple gross metastases in breast tumor–bearing mice; bottom, fluorescence images; arrows, few GFP+ metastases in tumor-free mice; note numerous GFP+ metastases in breast tumor–bearing mice. F, GFP+ tumor cells (bright fluorescence) in sections of the lungs of tumor-free (top) and tumor-bearing mice (bottom) injected intravenously with GFP+ tumor cells. G, numbers of GFP+ metastases in the lungs of tumor-free (TF) and tumor-bearing mice (TB) injected intravenously with GFP+ tumor cells; *, P = 0.0604; 95% CI, −18.1 to 0.5 (t test). H, size (area) of GFP+ metastases in the lungs of tumor-free and tumor-bearing mice injected intravenously with GFP+ tumor cells; *, P = 0.0159 (Mann–Whitney test). Bars represent mean + SEM. I, scans of the endpoint H&E-stained lung sections from tumor-free (left) and tumor-bearing mice (middle) injected intravenously with GFP+ tumor cells. Arrows, metastases. Inset depicts the enlarged lung area with metastases. Right, immunohistochemistry detection of GFP in lung metastases. Data are representative of two independent experiments with n1 = 5 and n2 = 6 (A, B, and E–I) or two independent experiments with n1 = 3 and n2 = 8 (C and D). Scale bars, 100 μm, except 50 μm for D.
C5aR-mediated inflammation facilitates metastases. A, H&E-stained sections of the lungs of WT and C5aR−/− tumor-bearing mice. Double-headed arrows, 54.92 μm in WT and 37.61 μm in C5aR−/− mice showing thickness of alveolar septa. B, H&E-stained sections of the livers of WT and C5aR−/− tumor-bearing mice. Arrows, inflammatory cells. C, H&E-stained sections of the lungs of tumor-free mice (left) and tumor-bearing mice (right). D, arrows, immature myeloid cells in H&E-stained lung sections of tumor-bearing mice. E, the lungs from tumor-free (left) and tumor-bearing mice (right) injected intravenously with GFP+ tumor cells. Top, white light images; note multiple gross metastases in breast tumor–bearing mice; bottom, fluorescence images; arrows, few GFP+ metastases in tumor-free mice; note numerous GFP+ metastases in breast tumor–bearing mice. F, GFP+ tumor cells (bright fluorescence) in sections of the lungs of tumor-free (top) and tumor-bearing mice (bottom) injected intravenously with GFP+ tumor cells. G, numbers of GFP+ metastases in the lungs of tumor-free (TF) and tumor-bearing mice (TB) injected intravenously with GFP+ tumor cells; *, P = 0.0604; 95% CI, −18.1 to 0.5 (t test). H, size (area) of GFP+ metastases in the lungs of tumor-free and tumor-bearing mice injected intravenously with GFP+ tumor cells; *, P = 0.0159 (Mann–Whitney test). Bars represent mean + SEM. I, scans of the endpoint H&E-stained lung sections from tumor-free (left) and tumor-bearing mice (middle) injected intravenously with GFP+ tumor cells. Arrows, metastases. Inset depicts the enlarged lung area with metastases. Right, immunohistochemistry detection of GFP in lung metastases. Data are representative of two independent experiments with n1 = 5 and n2 = 6 (A, B, and E–I) or two independent experiments with n1 = 3 and n2 = 8 (C and D). Scale bars, 100 μm, except 50 μm for D.
In the next set of experiments, we verified that inflammatory alterations of the lungs, observed before metastasis in the breast tumor–bearing mice, facilitated seeding of these organs by circulating tumor cells. In these experiments, mice were injected with regular 4T1 cells into the mammary fat pad to create premetastatic niche in the lungs, then these mice and tumor-free control mice were injected intravenously with 4T1-GFP+ (GFP-expressing) cells. This experimental approach was used to investigate whether lung inflammation associated with, and induced by, the primary breast tumor could facilitate lung seeding by circulating GFP+ 4T1 cells (injected intravenously). Seeding of lungs by circulating tumor cells is reported to depend upon existence of a premetastatic niche. We observed that lung inflammation in tumor-bearing mice increased seeding of 4T1-GFP+ cells in this organ, evident from higher numbers and increased sizes of GFP+ metastases in the lungs of mice previously injected with regular 4T1 into the mammary fat pad (Fig. 5E–H). Nevertheless, GFP− (nonfluorescent) metastases were also present in these mice (Fig. 5E) but, by using animal imaging combined with fluorescent microscopy, we were able to distinguish GFP+ from GFP− metastases. When these experiments were repeated with 10-fold lower numbers of 4T1-GFP+ cells injected intravenously, only mice bearing breast tumors developed GFP+ metastases in their lungs (Fig. 5I), indicating that circulating tumor cells required prior inflammatory changes in the premetastatic niche before effective lung seeding.
Complement deposition associated with MDSC recruitment may contribute to premetastatic niche formation in patients with breast cancer
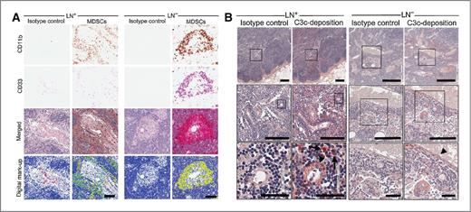
To determine the clinical significance of our findings, sections of TDLNs from breast cancer patients with invasive, not-otherwise specified (NOS), ductal carcinoma were examined for infiltration by MDSCs and for complement activation (Fig. 6A and B). In these experiments, MDSCs were identified by coexpression of CD11b+ and CD33+ and complement deposition was analyzed as C3 cleavage product deposition (Fig. 6A and B). We found accumulation of MDSCs in the TDLNs with breast tumor metastases, as well as in those that were free of metastases, suggesting a correlation with and possible involvement of MDSCs in formation of premetastatic niches in humans. We observed C5aR expression in those areas occupied by MDSCs (Supplementary Fig. S3F). Moreover, complement activation in the TDLNs was observed as extracellular deposition of C3 cleavage fragments in the vasculature and sinuses of these lymph nodes (Fig. 6B). In addition, we observed production of C3 in the macrophages located in sinuses, as demonstrated by intracellular staining (Fig. 6B). Intriguingly, both complement deposition and local production of C3 seemed to be higher in the TDLNs where metastases were present (Fig. 6B, right panels vs. left panels).
MDSC infiltration and C3 deposition and expression in lymph nodes of patients with breast cancer. A, immunohistochemistry detection of human MDSC markers CD11b (brown) and CD33 (fast red) in axillary lymph nodes with (LN+) or without (LN−) breast cancer metastases. Yellow in digital mark-up images indicates cells that coexpress both CD11b and CD33. B, immunohistochemistry detection of C3/C3c in LN+ and LN−. Boxes outline areas that are shown in higher magnification in panels below. Arrowheads, vessels with C3 cleavage product deposition; arrows, macrophages producing C3. Scale bars, 200 μm for A and 400, 200, and 50 μm for B (top, middle, and bottom, respectively). Data are representative of 12 patients diagnosed with breast NOS ductal carcinoma with axillary lymph node metastases (6 patients) and without axillary lymph node involvement (6 patients; A and B).
MDSC infiltration and C3 deposition and expression in lymph nodes of patients with breast cancer. A, immunohistochemistry detection of human MDSC markers CD11b (brown) and CD33 (fast red) in axillary lymph nodes with (LN+) or without (LN−) breast cancer metastases. Yellow in digital mark-up images indicates cells that coexpress both CD11b and CD33. B, immunohistochemistry detection of C3/C3c in LN+ and LN−. Boxes outline areas that are shown in higher magnification in panels below. Arrowheads, vessels with C3 cleavage product deposition; arrows, macrophages producing C3. Scale bars, 200 μm for A and 400, 200, and 50 μm for B (top, middle, and bottom, respectively). Data are representative of 12 patients diagnosed with breast NOS ductal carcinoma with axillary lymph node metastases (6 patients) and without axillary lymph node involvement (6 patients; A and B).
Discussion
The role of complement in cancer remains uncertain with only a few studies to date reporting on tumor-promoting or tumor-inhibiting properties of complement proteins (30). Recent studies have provided some, albeit limited, mechanistic insights into the roles of certain complement proteins in cancer progression. For example, C5a overexpression in tumor cells has been linked to tumor regression in a mouse model of breast cancer (31). Conversely, C5a has also been shown to promote progression of cancer in a model of cervical cancer through the recruitment of MDSCs to tumors (15). The activation of MDSC in the tumor microenvironment by C5aR leads to production of reactive oxygen and nitrate species that inhibit antitumor T-cell responses (12, 15, 32). These findings placed C5a among inflammatory mediators implicated in the progression of cancer (33). In addition, recent work in a transgenic model of ovarian cancer has shown the contribution of complement to angiogenesis in ovarian tumors. In the absence of complement factor C3 or C5aR, the transgenic mice either did not develop ovarian tumors or the growth of tumors was significantly limited (34).
Our present study reveals a new role for C5a and C5aR in tumor metastasis. We propose that C5a/C5aR signaling contributes to an inflammatory condition that creates a premetastatic niche environment by recruiting and facilitating generation of immunosuppressive cells in the lungs and livers of mice with breast malignancy. Recent studies have identified some key components of premetastatic niches and potential mechanisms that are involved in tumor cell recruitment to distal sites targeted by metastases (5, 7, 8, 10). However, considering that several other factors may be involved in this process, regulation of premetastatic niche environment and its role in metastases requires further elucidation. It is for example not known why different types of tumor cells home to different organs (35). Although accumulation of immunosuppressive MDSCs cells in a premetastatic niche was previously demonstrated, the precise mechanism governing this recruitment and the role of immunosuppression in facilitating metastases remain unclear (13). This study addresses this gap in knowledge of the properties of premetastatic niches. Furthermore, the roles of effector T cells in preventing metastasis at distant sites remain unknown. To our knowledge, this is the first report demonstrating that blockade of C5aR signaling enables CD8+ T cells to control lung metastases. In addition, our study suggests a protective nature for Th1/Tc1-polarized CD4+/CD8+ T cells in the context of lung metastasis. These findings have important therapeutic implications, as they provide proof of concept that boosting type 1 CD4+ T-cell and CTL responses, with simultaneous targeting of the mechanisms of immunosuppression, can prevent metastases even at an advanced stage of cancer.
In addition, given the abundance of complement fragments in plasma and interstitial fluid and their function in maintaining immune homeostasis (36), the contributions of complement C5a/C5aR signaling to premetastatic inflammation described herein points to a previously unknown mechanism for metastasis, which can operate at various locations. This is further supported by ubiquitous production of complement fragments by virtually all cells in the body participating in the innate immune responses, thus accessibility of complement proteins in most of the tissues is very high (36). Complement activation can also occur in vitro, for instance, complement components were secreted when CD4+ T cells were cocultured with dendritic cells (37, 38), indicating that formation of immunologic synapses between proximal immune cells is sufficient enough to produce and activate complement fragments. Our data have shown that activation of complement in lungs of mice occurred as early as day 4 after injection of tumor cells and was associated with high concentrations of C5a in plasma. We observed an increase in C3 concentrations in plasma and BAL, indicating increased production of C3. In addition, we found a significant increase in C3 and C5 mRNA levels in the liver after 4T1 tumor inoculation. Therefore, we conclude that an increased concentration of complement fragments in the circulation of tumor-bearing mice is a consequence of increased production in the liver. This rapid onset of activation of the complement cascade is an upstream regulator of the premetastatic niche. C5a generated in this cascade leads to recruitment of MDSCs to the lungs before metastases. This function of C5a is similar to its role in recruiting leukocytes to sites of inflammation (14). Given ubiquitous expression of C5aR on cells of myeloid origin, other myeloid cells in addition to MSDCs are also likely to be recruited to the premetastatic lungs. Interestingly, the morphologic pattern of lung infiltration resembled that of interstitial pneumonia with most of the infiltrating cells present in the intra-alveolar septa. This type of pneumonitis in humans is difficult to diagnose based on physical examination, however, chest x-ray showing diffuse alveolar opacities or computerized tomography may provide diagnostic clues to premetastatic inflammation.
In addition to recruiting MDSCs, C5a/C5aR signaling stimulated TGFβ and IL10 production in these cells. Because coexpression of TGFβ and IL10 contributes to Treg-cell generation upon antigenic stimulation (29), we speculate that C5aR signaling in recruited MDSCs regulates this process in premetastatic sites. Our data contrast with recent studies demonstrating inhibitory functions of C5aR in Treg-cell generation (38, 39). This “discordance” is consistent with immunomodulatory functions of C5aR being highly context dependent. In contrast to our study, the previous work was conducted in nontumor models (38–40). In addition, some studies focused on thymus-derived (natural) Treg cells (39) that are generated through different pathways compared with inducible Treg cells (41, 42). It seems that primary tumors alter the immune microenvironment, including the cytokine milieu, to such an extent that C5aR signaling in tumor-bearing mice has opposing roles to those in nontumor models. Our previous work in a model of HPV-induced cancer has shown that C5aR inhibits antitumor T-cell responses, although this study has examined roles of C5aR only in primary tumors and not at sites distal to the tumors (15).
Inhibitory roles of complement in Treg-cell generation have also been suggested in a transgenic model of ovarian cancer (34). Although MDSCs have been shown to increase Treg-cell generation (43) and Treg cells and MDSCs are known for their immunosuppressive properties in the primary tumors (44), roles of these cells at the sites targeted by metastases have not been demonstrated. We propose that MDSCs and Treg cells have similar functions in metastases-targeted organs and work together to shield metastasizing tumor cells from immune attack. Indeed, reduction in MDSCs and Treg cells in the lungs of mice with breast tumors treated with C5aRA was associated with CD4+ and CD8+ T-cell responses that resulted in reduced metastasis to the lungs. The lack of impact of C5aR inhibition on metastases in mice that were devoid of CD8+ T cells demonstrated that C5aR signaling facilitates metastasis by suppressing CD8+ T-cell responses. Moreover, considering that type 1 CD4+ T-cell responses are helpful in generating antitumor CD8+ T-cell responses in the primary tumor microenvironment, we analyzed CD4+ T-cell function in the lungs of breast tumor–bearing mice. We observed that disabling C5aR signaling augments IFNγ and lowers IL4 expression in CD4+ T cells in the lungs of mice compared with the control group. Furthermore, to prove that the difference in T-cell polarization was attributed to recruitment of MDSC, experiments were conducted to differentiate “naïve” CD4+ T cells into effectors in the presence of lung MDSC isolated from C5aRA-treated and control mice. These studies suggested that C5aR blockade in MDSCs increased numbers of IFNγ-expressing CD4+ T cells and reduced numbers of IL4 producing CD4+ T cells. Thus, by using in vitro coculture experiments, we demonstrated that C5a/C5aR affects CD4+ T-cell polarization through the modulation of MDSC functions. Nonetheless, besides improving the functional quality of T cells, C5aR blockade also resulted in increased recruitment of these cells to the lungs.
The expression of C5aR on T cells remains controversial, with conflicting reports on C5aR expression in T cells (45). We did not detect C5aR expression on CD4+ and CD8+ T cells. Therefore, we propose an indirect regulation of T-cell responses in the lungs through C5aR. C5aR inhibition did not affect expression of CXCR-3 and LFA-1 on circulating T cells, suggesting that increased T-cell homing to the lungs is less likely to be responsible for increased numbers of T cells in the lungs of mice lacking C5aR or treated with C5aRA. A more plausible explanation is that reduction in MDSCs, caused by the lack of C5aR signaling, decreases apoptosis and increases survival of T cells, as recent studies have shown that MDSCs promote T cells apoptosis (46). Importantly, effects of C5aR inhibition on metastasis and antitumor immunity seem to be independent from mechanisms operating in primary tumors, as this inhibition did not significantly affect growth of tumors in this breast tumor model. This finding, which contrasts with our previous report (15), can be attributed to the higher rate of tumor growth in a breast cancer model compared with the model used previously or simply to the difference in tumor type. The 4T1 tumors were on average 3 times larger between day 25 and 27 (time of sacrifice in this study) after injection of tumor cells, in comparison to TC-1 tumors in the previous study. We assumed that in a case of 4T1 breast tumors, therapy introduced just 2 weeks before mice were sacrificed was unable to reduce growth of these aggressive tumors.
In conclusion, this study provides evidence for the role of C5a/C5aR signaling in promoting metastasis via immunosuppression in premetastatic sites. Importantly, pharmacologic blockade of this receptor efficiently activated adaptive immune responses and reduced lung metastatic burden. Given that the C5aR antagonist used in this study has already progressed to phase 2 clinical trials for inflammatory diseases (17, 47), this report builds an early foundation for introducing C5aR antagonism as a possible means of reducing risk of cancer metastasis in future clinical studies.
Disclosure of Potential Conflicts of Interest
M.M. Markiewski has ownership interest (including patents) from patent for the use of complement inhibitors in anticancer therapy. No potential conflicts of interest were disclosed by the other authors.
Authors' Contributions
Conception and design: S.K. Vadrevu, N.K. Chintala, S.K. Sharma, M. Karbowniczek, M.M. Markiewski
Development of methodology: S.K. Vadrevu, N.K. Chintala, S.K. Sharma, P. Sharma, M.M. Markiewski
Acquisition of data (provided animals, acquired and managed patients, provided facilities, etc.): S.K. Vadrevu, N.K. Chintala, S.K. Sharma, P. Sharma, C. Cleveland, L. Riediger, W. Gorczyca, O. Almanza, M.M. Markiewski
Analysis and interpretation of data (e.g., statistical analysis, biostatistics, computational analysis): S.K. Vadrevu, N.K. Chintala, S.K. Sharma, P. Sharma, S. Manne, D.P. Fairlie, W. Gorczyca, M.M. Markiewski
Writing, review, and/or revision of the manuscript: S.K. Vadrevu, N.K. Chintala, S.K. Sharma, P. Sharma, D.P. Fairlie, W. Gorczyca, M. Karbowniczek, M.M. Markiewski
Administrative, technical, or material support (i.e., reporting or organizing data, constructing databases): S.K. Vadrevu, N.K. Chintala, S.K. Sharma, L. Riediger
Study supervision: M.M. Markiewski
Grant Support
This research was supported by the Australian NHMRC (456060, 1028423), ARC (DP130100629, CE140100011), and NHMRC SPR Fellowship 1027369 to D.P. Fairlie, Cancer Prevention and Research Institute of Texas RP 120168 to M. Karbowniczek, and the Department of Defense Breast Cancer Research Program BC 111038 to M.M. Markiewski. Views and opinions of, and endorsements by the author(s) do not reflect those of the US Army or the Department of Defense.
The costs of publication of this article were defrayed in part by the payment of page charges. This article must therefore be hereby marked advertisement in accordance with 18 U.S.C. Section 1734 solely to indicate this fact.





