Abstract
Human papillomavirus-associated head and neck squamous cell carcinomas (HPV-HNSCC) originate in the tonsils, the major lymphoid organ that orchestrates immunity to oral infections. Despite its location, the virus escapes immune elimination during malignant transformation and progression. Here, we provide evidence for the role of the PD-1:PD-L1 pathway in HPV-HNSCC immune resistance. We show membranous expression of PD-L1 in the tonsillar crypts, the site of initial HPV infection. In HPV-HNSCCs that are highly infiltrated with lymphocytes, PD-L1 expression on both tumor cells and CD68+ tumor-associated macrophages is geographically localized to sites of lymphocyte fronts, whereas the majority of CD8+ tumor-infiltrating lymphocytes express high levels of PD-1, the inhibitory PD-L1 receptor. Significant levels of mRNA for IFN-γ, a major cytokine inducer of PD-L1 expression, were found in HPV+ PD-L1(+) tumors. Our findings support the role of the PD-1:PD-L1 interaction in creating an “immune-privileged” site for initial viral infection and subsequent adaptive immune resistance once tumors are established and suggest a rationale for therapeutic blockade of this pathway in patients with HPV-HNSCC. Cancer Res; 73(6); 1733–41. ©2012 AACR.
Introduction
Human papillomavirus (HPV) is recognized as the causative agent of a growing subset of head and neck cancers (1, 2). It is now estimated that HPV is responsible for up to 80% of oropharyngeal cancers in the United States (3, 4). HPV-associated head and neck squamous cell carcinomas (HPV-HNSCC) differ from tobacco-related head and neck cancers in several ways (5, 6). The patients tend to be younger in age, lack a significant tobacco and/or alcohol history, and have improved clinical outcomes. The virus-related tumors arise from the deep crypts within the lymphoid tissue of the tonsil and base of tongue, and the majority can be distinguished from tobacco-related head and neck cancers by the characteristic infiltration of lymphocytes in the stroma and tumor nests (7). Nevertheless, despite this profound inflammatory response, HPV-HNSCCs are able to evade immune surveillance, persist, and grow.
Various mechanisms have been proposed for the resistance of human solid tumors to immune recognition and obliteration, including the recruitment of regulatory T cells, myeloid-derived suppressor cells, and local secretion of inhibitory cytokines. Recent evidence suggests that tumors coopt physiologic mechanisms of tissue protection from inflammatory destruction via upregulation of immune inhibitory ligands; this has provided a new perspective for understanding tumor immune resistance. Antigen-induced activation and proliferation of T cells are regulated by the temporal expression of both costimulatory and coinhibitory receptors and their cognate ligands. Coordinated signaling through these receptors modulates the initiation, amplification, and subsequent resolution of adaptive immune responses. In the absence of coinhibitory signaling, persistent T-cell activation can lead to excessive tissue damage in the setting of infection as well as autoimmunity. In the context of cancer, in which immune responses are directed against antigens specifically or selectively expressed by tumor cells, these immune checkpoints can represent major obstacles to the generation and maintenance of clinically meaningful antitumor immunity. Therefore, efforts have been made in the clinical arena to investigate blockade of immune checkpoints as a novel therapeutic approach to cancer. CTLA-4 and programmed cell death-1 (PD-1) are two such checkpoint receptors being actively targeted in the clinic. Ipilimumab, a monoclonal antibody (mAb) that blocks CTLA-4, showed an overall survival benefit in patients with advanced metastatic melanoma in a randomized phase III clinical trial; however, it was associated with significant immune-related toxicities (8). In a first-in-human clinical trial, a blocking mAb against PD-1 (BMS-936558, MDX-1106/ONO-4538) was evaluated in patients with advanced metastatic melanoma, colorectal cancer, castrate-resistant prostate cancer, non–small cell lung cancer, and renal cell carcinoma. In this study, the antibody was well tolerated and there was evidence of clinical activity in all of the evaluated histologies except prostate cancer (9). In a subset of patients, tumor cell surface or “membranous” expression of the major PD-1 ligand, PD-L1, seemed to correlate with the likelihood of response to therapy. Expanded phase I clinical studies with anti-PD-1(BMS-936558) and anti-PD-L1 (BMS-936559) confirmed objective clinical responses in renal cell carcinoma, melanoma, and non–small cell lung cancer, and again a relationship between tumor cell surface PD-L1 expression and objective responses to anti-PD1 therapy was observed (10, 11).
Given the promising safety profile and clinical responses observed in blocking the PD-1 immune checkpoint, we evaluated the role of the PD-1:PD-L1 pathway in HPV-HNSCC. These investigations are aimed at understanding how HPV can infect a lymphoid rich organ, such as the tonsil, and yet still evade immune clearance as it induces malignant transformation of infected cells. Our findings support a model in which the PD-1:PD-L1 pathway creates an immune-privileged site for HPV infection and becomes further induced during the subsequent development of HPV-HNSCC as an adaptive resistance mechanism of tumor against host.
Materials and Methods
Human subjects
Patients undergoing surgical resection for tonsil (palatine or lingual) cancer were enrolled in this study that was approved by the Johns Hopkins Institutional Review Board, after providing informed consent. HPV status was determined by in situ hybridization (ISH) and p16 immunohistochemistry (IHC). Briefly, 5 μm sections from formalin-fixed paraffin-embedded tumor blocks were evaluated with the Ventana HPV III Family16 probe set. Punctate hybridization signals localized to tumor cell nuclei defined a HPV-positive tumor. P16 expression was evaluated using the Ultra view polymer detection kit (Ventana Medical Systems, Inc.) on a Ventana BenchmarkXT autostainer (Ventana); expression was scored as positive if strong and diffuse nuclear and cytoplasmic staining was present in 70% or more of the tumor. All slides were interpreted by a head and neck pathologist (W.H. Westra).
A separate cohort of patients (both adults and pediatric patients, <2 years of age) undergoing a tonsillectomy for management of a nonmalignant process such as tonsil hypertrophy or chronic tonsillitis served as noncancer controls.
Flow cytometry analysis
Circulating peripheral blood mononuclear cells (PBMC) isolated by density gradient centrifugation and infiltrating lymphocytes dissociated from fresh tumor or nonmalignant tonsil digests were stained with the following mAbs: anti-human CD3-PERCP, CD8-APC, CD4-FITC (BD Biosciences), and anti-human PD-1 (MDX-1106, fully human IgG4, 10 μg/mL, BMS) or an isotype control, anti-diphtheria toxin human IgG4 (BMS). Anti-human IgG4-PE (SouthernBiotech) was used as a secondary label. Analysis was conducted on FACSCalibur (BD Biosciences) with CELLQuest or Flow Jo software (BD Biosciences and Tree Star Inc, respectively).
Flow cytometric analysis of PD-L1 expression in 4 HNSCC cell lines (JHU011, JHU022, JHU028, JHU029) was conducted. Subconfluent cells were treated with 10 ng/mL of recombinant human IFN-γ (Peprotech) or were untreated. After 24 hours, the cells were harvested and stained with either mouse anti-human PD-L1 (clone 5H1) or a mouse IgG1 isotype control, followed by phycoerythrin (PE)-conjugated goat anti-mouse Ig. The cells were acquired with FACSCalibur and analyzed with CellQuest Pro software.
PD-L1 and PD-1 detection by immunohistochemistry
PD-L1 expression analysis was conducted using mAb 5H1 as previously described (9, 12). Briefly, formalin-fixed paraffin-embedded tissue sections were deparaffinized and dehydrated in xylene and graded ethanol solutions. Antigen retrieval was conducted in Tris-EDTA buffer and the DAKO Catalyzed Signal Amplification System for mouse antibodies was used for staining and detection (DAKO). Mouse IgG1 isotype-matched control antibody and secondary biotinylated anti-mouse IgG1 antibody were used (BD Biosciences). PD-L1 expression in deep crypts and germinal centers in nontumor–involved areas of lymphoid tissue served as an internal positive control. A 5% threshold of cell surface PD-L1 expression on tumor cells was defined as positive (12).
For PD-1 immunostaining, the murine anti-human PD-1 mAb, clone M3, was used. Citrate buffer (pH 6.0) was used for antigen retrieval, and a Catalyzed Signal Amplification System (DAKO) was used for signal amplification, followed by development with diaminobenzidine chromagen. All slides were reviewed and interpreted independently by 2 pathologists (W.H. Westra and J.M. Taube).
Detection of immune cell infiltrates in tonsil cancers
Serial 5 μm tissue sections were immunostained with anti-CD3, CD4, CD8, CD68, or CD1a using the Ultraview polymer detection kit (Ventana Medical Systems) on a Ventana BenchmarkXT autostainer (Ventana Medical Systems) under a standard protocol with isotype control antibodies by the Pathology Core Laboratory at Johns Hopkins Hospital (Baltimore, MD). The intensity of the infiltrate was graded as 0 (none), 1 (mild, perivascular infiltrate), 2 (moderate, perivascular infiltrate extending away from vessels and into tumor), or 3 (severe or diffuse lymphocytic infiltrate throughout the tumor). This grading system was adapted from previously published work (12).
Quantitative reverse transcription PCR
Frozen oropharyngeal tumor specimens were scraped from glass slides with a sterile scalpel and total RNA was isolated using the Qiagen RNeasy Micro Kit (Qiagen). Fifty nanograms of total RNA from each specimen was reverse transcribed in a 10 μL reaction volume using qScript cDNA SuperMix (Quanta Biosciences) per protocol. A total of 0.5 μL from each reverse transcription (RT) reaction was combined with 5 μL TaqMan Universal Master Mix II (Applied Biosystems), 4 μL Molecular Grade Water, and 0.5 μL of primer/probe preparations specific for human IFN-γ, CD8a, CD4, or glyceraldehyde-3-phosphate dehydrogenase (GAPDH; Applied Biosystems). PCR reactions were run in triplicate on 384-well plates using a 7900 HT Fast Real Time PCR system (Applied Biosystems). Cycle thresholds were determined using a manual cut off of 0.04. The assay was conducted in duplicate.
Evaluation of PTEN expression
Total protein was extracted from 4 HPV-negative HNSCC cell lines (JHU011, JHU022, JHU028, JHU029) using a M-PER mammalian protein extraction reagent (Thermo Scientific) in the presence of a protease inhibitor cocktail (Roche), and was loaded onto a 10% SDS-PAGE gel. After membrane blotting, the expression of PTEN was detected with the rabbit anti-PTEN mAb D4.3 (Cell Signaling) followed by incubation with goat anti-rabbit IgG conjugated to horseradish peroxidase. Expression of PTEN protein was visualized using an Amersham ECL Western Blotting Detection Reagent (GE Health). The HeLa cell line was used as a positive control for PTEN expression and β-actin was used as a loading control. All of these cell lines were generated at John Hopkins Medical Institutions and authenticated by genomic sequencing.
Intracellular IFN-γ functional assay
After exclusion of dead cells with the Live/Dead Fixable Acqua Dead Cell Staining Kit (Invitrogen Molecular Probes), lymphocytes [PBMCs, tumor-infiltrating lymphocytes (TIL)] were incubated with anti-human mAbs for CD45RO-APC-H7 (BD Biosciences), CD3-efluor 450, CD8-Pe-Cy7 (eBioscience), and anti-PD1 mAb MDX-1106 and its secondary anti-IgG4-PE (SouthernBiotech). CD45RO+CD3+CD8+ T cells were sorted on the basis of PD-1 expression by FACSAria (Becton Dickinson). Cells were stimulated for 6 hours with phorbol 12-myristate 13-acetate (PMA) and ionomycin in the presence of Golgi Stop (BD Biosciences). Cells were then fixed, permeabilized (Foxp3 Fixation/Permeabilization Concentrate and Diluent, eBioscience), and stained for intracellular cytokines (IFNγ-PerCP-Cy5.5 and TNFα-APC). Analysis was conducted on LSRII with FACSDiva software (Becton Dickinson).
Statistical analysis
Statistical significance of PD-1 expression by CD4 and CD8 lymphocytes was evaluated using the Student t test. For qRT-PCR assays, a Fisher exact test was used. For the functional assays, T-cell cytokine expression was log transformed, and comparisons of expression between PD-1 (+) and (−) T cells were evaluated by fold difference. Mixed effect models were used to take into account correlations within the same subject. To compare the differential expression of PD-1 (+) vs. PD-1(−) T cells between sample types, we tested the interaction between the PD-1 status and sample type (HNSCC and PBMC) in the model.
Results and Discussion
Localized expression of PD-L1 within deep tonsillar crypts, the site of initial HPV infection, and origin of HPV-HNSCC
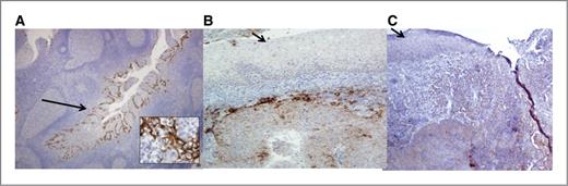
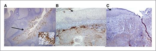
HPV-HNSCC localizes to the lingual and palatine tonsils—lymphoepithelial organs that represent a first line of defense against oral infections. Paradoxically, oncogenic HPVs express foreign viral antigens that are capable of eliciting robust immune responses, but are nonetheless able to escape immune clearance. To explore potential mechanisms for immune resistance, we evaluated expression of PD-L1 in noncancerous adult tonsil tissue and HPV-naïve pediatric patients and found localized expression of PD-L1 to the reticulated epithelium of the deep crypts, which are the sites of origin of these virus-related cancers (Fig. 1A). Interestingly, we did not find PD-L1 expression on the surface epithelium of tonsils (Fig. 1B and C). This suggests that the reticulated epithelium of tonsillar crypts may represent a distinct immune microenvironment relative to the surface epithelium. The deep invagination of tonsil crypts makes them susceptible to collection of bacteria and foreign material. Thus, the resident lymphohistiocytes are chronically exposed to high concentrations of foreign antigen. It is therefore possible that even in the absence of overt chronic tonsillitis, there is ongoing basal immune activation in the crypts driving PD-L1 expression. Given the selective expression of PD-L1 within the deep crypts, this region may consequently represent an immune-privileged site, in which effector function of virus-specific T cells is downmodulated, thereby facilitating immune evasion at the time of initial HPV infection and subsequent virus-induced malignant transformation.
The reticulated epithelium of benign tonsil tissue expresses high levels of PD-L1. A, chronically inflamed tonsil tissue shows localized PD-L1 expression within the reticulated epithelium of tonsillar crypts (long arrow). Magnification, ×40. The inset (magnification, × 400) shows cell surface staining of the crypt epithelial cells. In contrast, the surface epithelium of the tonsils was negative for PD-L1 expression (short arrows; B and C). Magnification, ×40.
The reticulated epithelium of benign tonsil tissue expresses high levels of PD-L1. A, chronically inflamed tonsil tissue shows localized PD-L1 expression within the reticulated epithelium of tonsillar crypts (long arrow). Magnification, ×40. The inset (magnification, × 400) shows cell surface staining of the crypt epithelial cells. In contrast, the surface epithelium of the tonsils was negative for PD-L1 expression (short arrows; B and C). Magnification, ×40.
Programmed death-1 (PD-1) receptor expressed by CD8+ TILs in HPV-HNSCC
To further evaluate the relevance of the PD-1:PD-L1 pathway in the development of HPV-HNSCC, we compared the frequency of PD-1 expression on TILs and PBMCs isolated from patients with HPV-HNSCC versus patients with a nonmalignant tonsil process. We found that PD-1 expression by both CD4+ and CD8+ T cells was higher in tonsil tissue as compared with the peripheral blood of patients with either HPV-HNSCC or with benign, chronically inflamed tonsils (all P < 0.05; Fig. 2A and B). There was no significant difference in the frequency of PD-1–expressing CD4+ T cells infiltrating tumors versus benign tonsils (P = 0.31; Fig. 2A). However, there was a higher frequency of PD-1 expression on CD8+ TILs (mean frequency 73.5%, SD 14.1) versus CD8+ T cells in benign, chronically inflamed tonsils (mean frequency 35.5%, SD 13.4 P < 0.0001; Fig. 2B). Strikingly, CD8+ TILs from HPV-HNSCC contained a distinct population of PD-1hi cells not observed among CD8+ T cells from inflamed tonsils.
High levels of PD-1 receptor on TILs from HPV-HNSCC. A, representative flow cytometry of CD4+ T-cell population expressing PD-1 in various tissues. Summary graph with mean frequency of CD4+PD-1(+) T cells in noncancerous tonsils and HPV-HNSCC as compared with peripheral blood. B, similar analysis conducted for CD8+PD-1(+) T-cell population. The circle on the representative flow data highlights a subpopulation of CD8+ TILs with high levels of PD-1 expression that was not observed in benign tonsils. •, chronic tonsillitis specimens; ⋄⋄⋄⋄⋄, HPV-HNSCC.
High levels of PD-1 receptor on TILs from HPV-HNSCC. A, representative flow cytometry of CD4+ T-cell population expressing PD-1 in various tissues. Summary graph with mean frequency of CD4+PD-1(+) T cells in noncancerous tonsils and HPV-HNSCC as compared with peripheral blood. B, similar analysis conducted for CD8+PD-1(+) T-cell population. The circle on the representative flow data highlights a subpopulation of CD8+ TILs with high levels of PD-1 expression that was not observed in benign tonsils. •, chronic tonsillitis specimens; ⋄⋄⋄⋄⋄, HPV-HNSCC.
Patterns of PD-L1 expression in the tumor microenvironment of HPV-HNSCC
In normal tissue, PD-1 ligands are induced in response to inflammatory cytokines such as IFN-γ. This system represents a major mechanism for tissue protection in the setting of T-cell–mediated inflammation. We therefore sought to determine whether expression of the major PD-1 ligand, PD-L1, is linked to infiltrating TILs and IFN-γ production. We evaluated PD-L1 expression in HPV-HNSCC by IHC and initially correlated expression with TIL infiltration and the presence of HPV DNA (Fig. 3A–D).
High levels of PD-L1 expression present in the tumor microenvironment of HPV-HNSCC. A, hematoxylin and eosin stain of HPV-HNSCC shows the prototypic tumor nests (thin arrow) surrounded by a dense inflammatory stroma (thick arrow). Serial sections evaluated for HPV ISH (arrows mark areas of blue, intranuclear staining; B); p16 IHC (C); and PD-L1 IHC (D–F). Two patterns of PD-L1 staining were observed: peripheral tumoral staining (D and E) and diffuse intratumoral staining (F). Magnification, ×400
High levels of PD-L1 expression present in the tumor microenvironment of HPV-HNSCC. A, hematoxylin and eosin stain of HPV-HNSCC shows the prototypic tumor nests (thin arrow) surrounded by a dense inflammatory stroma (thick arrow). Serial sections evaluated for HPV ISH (arrows mark areas of blue, intranuclear staining; B); p16 IHC (C); and PD-L1 IHC (D–F). Two patterns of PD-L1 staining were observed: peripheral tumoral staining (D and E) and diffuse intratumoral staining (F). Magnification, ×400
Two patterns of cellular distribution of PD-L1 have been described: membranous (cell surface) and cytoplasmic (9, 12–14). Among 20 HPV-HNSCC samples examined in our study, 14 (70%) expressed PD-L1 and all of these (14/14) displayed cell surface staining on 5% or more of tumor cells. Furthermore, we found that nearly all (13/14) showed staining restricted to the tumor periphery at the interface between tumor cell nests and inflammatory stroma (Fig. 3D and E), whereas only 1 of 14 showed diffuse PD-L1 expression throughout the tumor nests (Fig. 3F, Table 1).
PD-L1 Expression in head and neck cancers
| . | HPV+ (N = 20) . | HPV− (N = 7) . | ||
|---|---|---|---|---|
| . | Positive . | Negative . | Positive . | Negative . |
| PD-L1 expression | 14/20 (70%) | 6/20 (30%) | 2/7 (29%) | 5/7 (71%) |
| Membranous staining | 14/14 (100%) | — | 2/2 (100%) | — |
| Tumor periphery | 13/14 (93%) | — | 2/2 (100%) | — |
| Diffuse within tumor | 1/14 (7%) | — | — | — |
| Presence of TILs | 14/14 (100%) | 3/6 (50%) | 2/2 (100%) | 2/5 (40%) |
| . | HPV+ (N = 20) . | HPV− (N = 7) . | ||
|---|---|---|---|---|
| . | Positive . | Negative . | Positive . | Negative . |
| PD-L1 expression | 14/20 (70%) | 6/20 (30%) | 2/7 (29%) | 5/7 (71%) |
| Membranous staining | 14/14 (100%) | — | 2/2 (100%) | — |
| Tumor periphery | 13/14 (93%) | — | 2/2 (100%) | — |
| Diffuse within tumor | 1/14 (7%) | — | — | — |
| Presence of TILs | 14/14 (100%) | 3/6 (50%) | 2/2 (100%) | 2/5 (40%) |
To determine whether PD-L1 expression was specific to HPV-HNSCC, we evaluated 7 HPV-negative tonsil cancers and found that only 29% (2/7) expressed PD-L1. PD-L1 expression in HPV-negative cancers was membranous and, at the tumor periphery, juxtaposed to immune infiltrates, similar to HPV-HNSCC (Table 1).
Association of PD-L1 expression with TILs and colocalization with tumor-associated macrophages
All sixteen PD-L1–expressing HPV(+) and HPV(−) tumors were detected in the setting of a host inflammatory immune response (grades 1–3), indicating an association of PD-L1 expression with the presence of TILs (Table 1). In contrast, among 11 PD-L1(−) tumors, 5 (45%) contained TILs. These results suggest that TILs are necessary but not sufficient to induce tumor cell PD-L1 expression (P = 0.0016, Fisher exact test) and imply that the functional profile of TILs may be an important determining factor.
Given the geographic heterogeneity of membranous PD-L1 expression within the tumor microenvironment, we wanted to determine the spatial relationship of infiltrating immune cells to PD-L1 expression. CD3+, CD4+, and CD8+ T lymphocytes were found to intercalate among tumor cells (Fig. 4A–D). We did not observe any difference in the density or quality of TILs between the 2 patterns of PD-L1 expression (peripheral vs. diffuse throughout the tumor). We found that in 6 of 9 PD-L1–expressing tumors, there were equal or greater proportions of CD8+ T cells infiltrating the tumor and stroma as compared with CD4+ T cells. The majority of these CD8+ T cells expressed the PD-1 receptor (mean frequency 73.5%, SD 14.1; Fig. 2B). For those tumors that showed PD-L1 expression at the tumor periphery, the CD8+ T cells were juxtaposed to PD-L1–expressing cells.
Colocalization of TILs with PD-L1 expression in HPV-HNSCC. A, hematoxylin and eosin stain of HPV-HNSCC (thin arrow marks tumor nests and thick arrow marks inflammatory stroma). Serial sections evaluated for: CD3 (B); CD4 (C); CD8 (D); PD-L1 (E); and CD68 expression (F). Red arrows indicate a representative area with clusters of PD-L1 and CD68 expression in serial sections (E and F). Magnification, ×400.
Colocalization of TILs with PD-L1 expression in HPV-HNSCC. A, hematoxylin and eosin stain of HPV-HNSCC (thin arrow marks tumor nests and thick arrow marks inflammatory stroma). Serial sections evaluated for: CD3 (B); CD4 (C); CD8 (D); PD-L1 (E); and CD68 expression (F). Red arrows indicate a representative area with clusters of PD-L1 and CD68 expression in serial sections (E and F). Magnification, ×400.
Membranous PD-L1 expression was localized to tumor as well as inflammatory cells. To further characterize the immune cells expressing PD-L1, IHC for cells of the macrophage lineage with anti-CD68, and for interdigitating dendritic cells with anti-CD1a, was conducted. CD1a did not colocalize with PD-L1 (data not shown). However, CD68 colocalized with the 2 observed patterns of membranous PD-L1 expression, peripheral or diffuse, in the tumor microenvironment (Fig. 4E and F). PD-L1+CD68+ tumor-associated macrophages (TAM) at the interface between the tumor periphery and the surrounding inflammatory stroma may create a PD-L1 immunoprotective “barrier” around the tumor nests. These findings suggest that there are multiple cell types expressing PD-L1 within the tumor microenvironment of HPV-HNSCC, including a mixture of epithelial-derived tumor cells, and recruited CD68+ TAMs. Furthermore, they suggest an adaptive resistance mechanism whereby PD-L1 expression by tumor cells and host infiltrating TAMs is induced by inflammatory signals, setting up a local interaction in the microenvironment between T cells expressing PD-1 receptor and its ligand, PD-L1 (Fig. 4D and E).
In hepatocellular carcinoma (HCC), it has been reported that PD-L1 overexpression is associated with TAM infiltration, suggesting that overexpression of PD-L1 may be induced by an inflammatory microenvironment involving macrophages (15). Zhao and colleagues reported that PD-L1(+) macrophages were enriched predominantly in the peritumoral stroma of HCC and that interleukin (IL)-17 could activate monocytes as well as hepatoma cells to express PD-L1 (16). Here, we show that PD-L1 colocalizes with CD68+ TAMs in HPV-HNSCC, and we hypothesize that macrophages may be mediators of adaptive resistance through the PD-1:PD-L1 pathway to dampen tumor-specific T-cell functions. Further investigation is needed to evaluate the immune signatures and identify the players critical to recruiting or driving PD-L1 expression at the tumor interface.
IFN-γ upregulates PD-L1 expression
The colocalization of lymphocytic infiltrates and PD-L1 expression, together with the defined role of IFN-γ in inducing PD-L1 expression by tumor cells, led us to explore IFN-γ expression in the microenvironment of HPV-HNSCC. Quantitative RT-PCR was conducted for IFN-γ as well as the leukocyte antigens CD4 and CD8 in PD-L1(+) and PD-L1(−) oropharyngeal tumors (Fig. 5). We found a significant increase in expression of CD8 (P = 0.002) and IFN-γ (P = 0.003) mRNA in PD-L1(+) as compared with PD-L1(−) cancers. No significant difference in expression was observed for CD4+ T cells (P = 0.08) or GAPDH (P = 0.96). This suggests that CD8+ TILs present in PD-L1(+) HPV-HNSCC are activated and secrete IFN-γ, which may be driving the expression of PD-L1 at the tumor fronts juxtaposed to the inflammatory stroma (Fig. 4D and E).
Increased expression of IFN-γ and CD8 mRNA in PD-L1(+) versus (−) tonsil cancers. IFN-γ, CD8, CD4, and GAPDH were evaluated by quantitative RT-PCR in both PD-L1(+) (n = 3) and PD-L1(−) (n = 6) tumors. Error bars represent SEM. Cycle threshold is on a log2 scale; lower numbers indicate greater expression. *, P = 0.003 and **, P = 0.002. Results are representative of 2 separate experiments.
Increased expression of IFN-γ and CD8 mRNA in PD-L1(+) versus (−) tonsil cancers. IFN-γ, CD8, CD4, and GAPDH were evaluated by quantitative RT-PCR in both PD-L1(+) (n = 3) and PD-L1(−) (n = 6) tumors. Error bars represent SEM. Cycle threshold is on a log2 scale; lower numbers indicate greater expression. *, P = 0.003 and **, P = 0.002. Results are representative of 2 separate experiments.
These findings are highly compatible with a model in which IFN-γ and potentially other cytokines associated with an immune response induce PD-L1 on tumor cells, which then downmodulates antitumor immunity to an extent which facilitates tumor survival.
In addition to this adaptive resistance mechanism, oncogene-driven “innate” PD-L1 expression represents an alternative mechanism. For example, PD-L1 expression has been reported to increase with phosphoinositide-3- kinase (PI3K)/AKT pathway activation due to loss of PTEN function in glioblastoma cells (17). However, PTEN loss is rarely observed in HPV(+) HNSCC (18–20), so it is unlikely to be relevant to PD-L1 induction observed in this subset of cancers. However, PTEN loss is more common among HPV(−) HNSCC. Indeed, 4 of 4 HPV(−) HNSCC cell lines had lost PTEN expression as assessed by Western blot analysis, and 3 of 4 cell lines expressed endogenous levels of PD-L1 (Supplementary File S1A). When IFN-γ was added to the cultures, the PD-L1(−) cell line showed surface PD-L1 induction and the 3 lines with baseline PD-L1 expression showed at least a 10-fold upregulation of surface PD-L1 (Supplementary File S1B). These findings suggest that, as with other cancer types, innate and adaptive mechanisms of PD-L1 expression can be simultaneously operative.
PD-1–expressing CD8+ TILs are functionally anergic relative to peripheral blood PD-1–expressing T cells
While PD-L1 expression on HNSCC is variable, PD-1 is always expressed on a high proportion of TILs—much higher than on peripheral blood T cells (Fig. 2 and data not shown). It was therefore of interest to determine the functional capacity of PD-1(+) TILs in relation to patient-matched peripheral T cells. In the peripheral blood, CD45RO+CD3+CD8+PD-1(+) T cells showed enhanced IFN-γ production in response to PMA/ionomycin stimulation, as compared with CD45RO+CD3+CD8+PD-1(−) T cells (mean ratio 4.04) in all 4 HPV-HNSCC patients evaluated (Fig. 6A and B and Supplementary File S2). This is consistent with the concept that PD-1 expression on peripheral T cells marks antigen-experienced effector and memory cells, not exhausted or anergic cells. In striking contrast, CD45RO+CD3+CD8+PD-1(+) TILs showed a decreased ability to produce IFN-γ as compared with the CD45RO+CD3+CD8+PD-1(−) TILs (mean ratio 0.84; Fig. 6A and B and Supplementary File S2). This difference in IFN-γ production between the PD-1(+) and PD-1(−) TILs compared with peripheral blood T cells was highly significant (P = 0.005), and suggested PD-1 expression within the tumor microenvironment marks TILs that are functionally suppressed in their capacity to produce effector cytokines and may be indeed at least partially responsible for this suppression. Similar functional assays were conducted for TNF-α production and, again, a decrease in functional ability of the CD8+PD-1(+) TILs to produce TNF-α as compared with CD8+PD-1(−) TILs was observed (mean ratio 0.69, SD 0.7). However, in the peripheral blood, we did not observe a decreased ability of CD8+PD-1(+) T lymphocytes to produce TNF-α as compared with CD8+PD-1(−) T cells (mean ratio 1.26, SD 0.14).
PD-1–expressing CD8+ TILs are functionally anergic relative to peripheral blood PD-1–expressing T cells. A, representative flow cytometry comparing IFN-γ production by CD8+ T cells sorted by PD-1 expression in PBMCs and TILs and stimulated with PMA/ionomycin. B, summary graph of the ratio of IFN- γ production by PD-1(+) to PD-1(−) TILs and peripheral blood in response to PMA/ionomycin. A value greater than 1 indicates increased IFN-γ production in PD-1(+) compared with PD-1(−) T cells, and a value less than 1 indicated a reduction. •, PBMC; ⋄⋄⋄⋄⋄, TILs.
PD-1–expressing CD8+ TILs are functionally anergic relative to peripheral blood PD-1–expressing T cells. A, representative flow cytometry comparing IFN-γ production by CD8+ T cells sorted by PD-1 expression in PBMCs and TILs and stimulated with PMA/ionomycin. B, summary graph of the ratio of IFN- γ production by PD-1(+) to PD-1(−) TILs and peripheral blood in response to PMA/ionomycin. A value greater than 1 indicates increased IFN-γ production in PD-1(+) compared with PD-1(−) T cells, and a value less than 1 indicated a reduction. •, PBMC; ⋄⋄⋄⋄⋄, TILs.
We also compared the functional status of CD8+ PD-1(+) vs. CD8+PD-1(−) T cells in the peripheral blood and tissue of patients with chronic tonsillitis. In contrast to TILs from patients with cancer, we did not observe significant differences in the functional capacity of PD-1(+) vs. PD-1(−) tissue infiltrating CD8+ T cells, or between circulating versus tissue infiltrating CD8+ PD-1(+) T cells [mean ratio 1.49 (SD 0.86) vs. 1.05 (SD 0.35), respectively, P = 0.61, Supplementary File S3]. This finding further supports the distinct immune inhibitory role of the PD-1 pathway within the tumor microenvironment as opposed to inflammation in the noncancerous setting, where PD-1 expression likely marks activated cells whose functional capacity is not impaired.
HPV-HNSCCs have favorable clinical outcomes with survival rates of 82% at 3 years, compared with 57% in non-HPV-HNSCCs (6). Improved survival has been attributed to a younger patient age and enhanced tumor responsiveness to chemoradiation therapy. However, a contributing factor may also be the strong host immune response generated against these tumors. Evidence for inherent immunologic responses generated against HPV-HNSCC is the observed high frequency of TILs and inflammatory responses within these tumors. Indeed, HPV-HNSCC express foreign viral proteins, such as the E6 and E7 antigens, for which the host immune system should not be tolerant. Similar favorable clinical outcomes in the presence of TILs have been observed with other solid tumors including ovarian, esophageal, small cell lung, and colorectal cancers (21–24). While strong host immune responses may account for favorable clinical outcomes, the findings presented here suggest that these local immune responses induce the PD-1:PD-LI checkpoint pathway, which in turn may limit the capacity of TILs to ultimately eliminate the tumor without therapeutic intervention. The relevance of the PD-1:PD-L1 checkpoint in cancer immunity is highlighted by reports showing that blockade of PD-L1 or PD-1 by specific mAbs can reverse the anergic state of tumor-specific T cells and thereby enhance antitumor immunity (10–11, 25, 26).
We propose here that the PD-1:PD-L1 pathway plays a role in both persistence of HPV infection (through expression of PD-L1 in the tonsillar crypt epithelium—the site of initial infection) as well as resistance to immune elimination during malignant progression. These findings extend those recently reported in melanoma (12), which is a nonvirus-associated cancer but has also been considered to be “immunogenic.” Similar to melanoma, and in keeping with the proposed adaptive resistance hypothesis, PD-L1 is not expressed uniformly within HPV-HNSCCs but rather at sites of lymphocyte infiltration. In contrast to melanoma, in which approximately 40% of tumors express PD-L1, the majority of HPV-HNSCC tumors (70%) and a subset of HPV-negative HNSCC (29%) are PD-L1(+).Few PD-L1(−) tumors, that are lymphocyte poor, have a different immune microenvironment with potential activation of alternative mechanisms of immune resistance.
Given the high levels of membranous PD-L1 expression within the tumors, our studies support a rationale for administering PD-1/PD-L1–targeted therapy to the HPV-HNSCC patient population. Future studies will need to validate these findings in a larger cohort, characterize the gene signatures of tumor immune infiltrates associated with PD-L1 expression, and identify additional factors responsible for inducing local PD-L1 expression and hence immunosuppression within the tumor microenvironment.
Disclosure of Potential Conflicts of Interest
J.M. Taube has a commercial research grant from BMS. C.G. Drake has ownership interest (including patents) in BMS and Amplimmune and is a consultant/advisory board member of BMS, Dendrion, Janssen, Amplimmune, and Regeneron. S.L. Topalian has a commercial research grant from Bristol-Myers Squibb and is a consultant/advisory board member of Bristol-Myers Squibb and Amplimmune Inc. D.M. Pardoll is a consultant/advisory board member of Amplimmune, Aduro, and ImmuneXcite. No potential conflicts of interest were disclosed by the other authors.
Authors' Contributions
Conception and design: S. Lyford-Pike, S. Peng, L. Chen, C.G. Drake, S.L. Topalian, S.I. Pai
Development of methodology: S. Lyford-Pike, S. Peng, G.D. Young, T.C. Bruno, L. Chen, C.G. Drake, S.I. Pai
Acquisition of data (provided animals, acquired and managed patients, provided facilities, etc.): S. Lyford-Pike, S. Peng, G.D. Young, J.M. Taube, B. Akpeng, J.A. Bishop, L. Chen, S.I. Pai
Analysis and interpretation of data (e.g., statistical analysis, biostatistics, computational analysis): S. Lyford-Pike, G.D. Young, J.M. Taube, W.H. Westra, T.C. Bruno, H. Wang, L. Chen, S.L. Topalian, S.I. Pai
Writing, review, and/or revision of the manuscript: S. Lyford-Pike, G.D. Young, J.D. Richmon, H. Wang, J.A. Bishop, L. Chen, C.G. Drake, S.L. Topalian, D.M. Pardoll, S.I. Pai
Administrative, technical, or material support (i.e., reporting or organizing data, constructing databases): G.D. Young, B. Akpeng, J.D. Richmon, S.I. Pai
Study supervision: S.I. Pai
Grant Support
This work was supported by the NIH/NIDCR P50 DE019032 Head and Neck Cancer SPORE grant (W.H. Westra and S.I. Pai), NIH/NIDCD T32000027 grant (S. Lyford-Pike), and NIH R01 CA142779 (S.L. Topalian).
The costs of publication of this article were defrayed in part by the payment of page charges. This article must therefore be hereby marked advertisement in accordance with 18 U.S.C. Section 1734 solely to indicate this fact.





