Abstract
Insulin-like growth factor-I receptor (IGF-IR) overexpression may play a role in prostate cancer progression. We found previously that, in prostate cancer cells, IGF-IR is up-regulated by both androgens and estrogens via a nongenotropic pathway. We now show that, in prostate cancer cells, stimulation with either androgens or estrogens up-regulates IGF-IR by inducing cyclic AMP response element–binding protein (CREB) activation. Both sex steroids phosphorylated CREB at Ser133 in a dose-dependent manner in androgen receptor (AR)–positive LNCaP cells, whereas only estrogens phosphorylated CREB in AR-negative PC3 cells. CREB phosphorylation involved c-Src–dependent extracellular signal-regulated kinase 1/2 activation, but not protein kinase A, protein kinase C, or calmodulin-dependent kinase II, and occurred also in cells transfected with AR or estrogen receptor mutants that do not localize into the nucleus. CREB silencing abrogated IGF-IR up-regulation and promoter activation. We also showed that CREB binds to IGF-IR promoter region and identified the relevant CREB-binding site at the 5′-untranslated region fragment of IGF-IR promoter. In conclusion, we describe a novel mechanism of IGF-IR up-regulation and promoter activity by CREB activation, induced by sex steroids, through a nongenotropic signaling. [Cancer Res 2009;69(18):7270–7]
Introduction
Prostate cancer is usually initially responsive to androgenic regulation but eventually progresses to a stage that is highly resistant toandrogen deprivation and poorly responsive to all available therapies (1). Many factors account for progression to androgen independence, including the possibility that the androgen receptor (AR) signaling pathway is activated in an androgen-independent manner. A possible role of estrogens is suggested by findings showing that most primary and metastatic prostate cancers express a subtype of the estrogen receptor (ER)-β (2–4) and that ER blockade may inhibit growth and/or induce apoptosis in prostate cancer cells (2, 5).
Insulin-like growth factor-I (IGF)-I and II and their cognate receptor, the IGF-I receptor (IGF-IR), play a key role in regulating growth, survival, and invasion in a variety of human malignancies, including prostate cancer (6, 7). In human prostate cancer xenografts, progression to androgen independence is associated with increased expression of both IGF-IR and IGF-I (8, 9) and increased responsiveness to IGF-I (10). In transgenic mice expressing human IGF-I in the prostate epithelium, IGF-IR is activated and prostate cells undergo tumorigenesis (11). IGF-IR down-regulation suppresses prostate cancer growth in rats and invasiveness of human cancer transplants in mice (12, 13).
We have shown previously that both androgens and estrogens markedly up-regulate IGF-IR in prostate cancer cells. This effect requires binding of sex steroids to ER or AR but not receptor binding to specific DNA response elements (14, 15). IGF-IR up-regulation is actually dependent by the c-Src/extracellular signal-regulated kinase (ERK) pathway and can be more effectively blocked by Src and ERK1/2 inhibitors rather than by antiandrogens and antiestrogens (14, 15), showing that it is mediated by nongenotropic signaling, that is, by kinase-initiated effects that do not involve steroid receptor binding to canonical steroid response elements on DNA.
An increasing number of important biological effects of sex steroids involving nongenotropic signaling, including apoptosis protection (16), cyclin D1 up-regulation (17), and bone-protective effects (18, 19), have been recently shown.
Previous studies have indicated that transcription regulation of certain gene by estrogens may involve the cyclic AMP response element (CRE; refs. 20, 21). CRE, located in the regulatory regions of target genes, is bound by CRE-binding protein (CREB), a member of the CREB/CREM/ATF family of transcription factors. Estrogens may induce CREB phosphorylation at Ser133 residue (22, 23), which is required for CREB-binding protein recruitment and CREB-mediated transactivation of transcription. Limited data are available concerning CREB activation by androgens (16, 24).
In the present study, we found that CREB activation is a common mechanism involved in IGF-IR promoter activation by androgens and estrogens.
Materials and Methods
Materials. LNCaP and PC3 human prostate cancer cells and human embryonic kidney 293 (HEK293) cells were obtained from the American Type Culture Collection. AR-transfected PC3 cells were provided by Dr. E. Baldi.
Antibodies anti–IGF-IR, anti-AR (clone 441), anti–ER-α (clone D12), and anti–ER-β (H150) were from Santa Cruz Biotechnology. Antibodies anti–phospho-CREB (clone 1B6) and anti-CREB (clone 86B10) were from Cell Signaling Technology.
The human AR construct was provided by Dr. A.O. Brinkmann. Constructs encoding the mutated human ARs ART877A, ARC619Y, and ARC574R were provided by Dr. M. Marcelli. The expression vectors for the human ER-α and ER-β were provided by Prof. P. Chambon. The dominant-negative CREB (ΔN CREB) construct was provided by Dr. C. Vinson. Rat IGF-IR promoter sequences cloned into pGL3 vector were provided by Dr. C.T. Roberts, Jr. The cDNAs encoding mutants of the ligand-binding domain (E) of the human ER-α, E-CFP (fused to nontargeted fluorescent protein), E-Mem-CFP (with a membrane localization sequence), and E-Nuc-CFP (with a nuclear localization sequence), as well as the serum response element ligated to the secreted alkaline phosphatase (SEAP) reporter gene, were provided by Drs. S. Kousteni and S. Manolagas. The CRE reporter was from SABiosciences. The MMTV-luc reporter gene was provided by Dr. A. Farsetti.
CREB activation. For CREB activation, serum-starved cells were stimulated with 10 nmol/L sex steroids for 30 min and lysed in Laemmli buffer. Cell lysates were run on 10% SDS-PAGE and analyzed by Western blot with a phosphospecific monoclonal antibody recognizing phosphorylated CREB (pCREB) at Ser133.
Transient transfection and reporter assays. HEK293 cells were transiently transfected as described previously (14). Twenty-four hours after transfection, cells were serum starved for 36 h and incubated with sex steroids, 10 nmol/L, or vehicle. For luciferase assay, cells were stimulated for 18 h, lysed, and processed according to the manufacturer's instructions (Promega). Luciferase activity was normalized for transfection efficiency using a vector coding for the H2B-green fluorescent protein (GFP) reporter gene (pBOS H2B-GFP-N1). For serum response element-SEAP activity, supernatants were collected and SEAP activity was measured using the Great EscAPe SEAP Chemiluminescence Kit (Clontech Laboratories).
Generation of mutated IGF-IR promoter by site-directed mutagenesis. The method used to obtain the pGL3 reporters of IGF-IR promoter containing a mutated a 5′-untranslated region (5′-UTR) fragment in the CREB motif (−44 to −36; Stratagene) is based on a PCR done on the plasmid template by using two complementary primers containing the mutation. The PCR was done by using the Pfu DNA polymerase, the pGL3 recombinant IGF-IR 5′-UTR as template, and the following pairs of complementary primers (mutation is shown in lowercase letters): 5′-CTCTTACGCGTGCTAGCgtagGTGCGCGGCCCCGAGAG-3′ (sense) and 5′-CTCTCGGGGCCGCGCACctacGCTAGCACGCGTAAGAG-3′ (antisense). PCR conditions were set according to the manufacturer's suggestions. The PCR product was incubated with the restriction enzyme DpnI to digest the parental methylated DNA. The pGL3 recombinant IGF-IR 5′-UTR deleted inthe CREB motif (−44 to −36) was produced as described above by using thefollowing pairs of complementary primers: 5′-ACGCGTGCTAGCTGTGCGCGGCCC-3′ (sense) and 5′-GGGCCGCGCACAGCTAGCACGCGT-3′ (antisense).
Gene silencing by short hairpin RNA. For short hairpin RNA (shRNA) experiments, LNCaP cells were transiently transfected with a mixture containing 6 μg of either four different shRNAs against CREB or scramble shRNAs and Lipofectamine LTX according to the manufacturer's instructions (Invitrogen).
Bioinformatic analysis. Human and rat IGF-IR promoter sequences were obtained from National Center for Biotechnology Information database. The sequences were aligned using Blast2seq tool. Identification of putative CREB-binding sites was obtained using both the Genomatix software package (Genomatix Software) and the Transcription Element Search Software using the recommended default settings.
Preparation of nuclear extracts and DNA affinity precipitation assay. Serum-starved LNCaP cells were stimulated or not with 10 nmol/L sex steroids for 18 h and nuclear extracts were obtained as described previously (25) and stored at −80°C until used. The DNA-binding assay was done by mixing 200 μg nuclear protein extract, 2 μg biotinylated DNA sequences (fragment −53/−24 of the rat IGF-IR promoter), and 30 μL streptavidin-agarose beads. The mixture was incubated for 3 h at 4°C. DNA-bound proteins were eluted and analyzed by Western blot. To obtain rat IGF-IR promoter-specific sequences, we used the following biotinylated oligonucleotides: for the wild-type fragment 5′-biotin-GTGTGCGCGCGGGCACGTGTGCGCGGCCCC-3′,for the mutated fragment 5′-biotin-GTGTGCGCGCGGGCgtagGTGCGCGGCCCC-3′ (mutation in lowercase), and for the deleted fragment 5′-biotin-GTGTGCGCGCGGGCTGTGCGCGGCCCC-3′. The oligonucleotides were annealed with the corresponding complementary strand immediately before immunoprecipitation.
Chromatin immunoprecipitation assay and PCR. LNCaP cells were serum starved for 24 h and incubated in the presence or absence of 10 nmol/L sex steroids for 18 h. Cells were then processed according to ChampionChIP One-Day Kit (SaBiosciences). Briefly, cells were cross-linked for 10 min with 1% formaldehyde and lysed. Lysate pellets were resuspended and sonicated with a Microson sonifier XL-2000 (Misonix). Protein-DNA complexes were immunoprecipitated using either monoclonal anti-pCREB (Ser133) antibody or control IgG bound to protein A/G agarose, eluted, and digested with proteinase K. PCR was done using primers 5′-CTCGAGAGAGGCGGGAGAGC-3′ (forward) and 5′-GGAGCGGGGCCGAGGGTCTG-3′ (reverse) specific for human IGF-IR promoter fragment +119/+201 (size 82 bp). PCR amplification was carried out for 40 cycles of 30 s at 95°C, 30 s at 62°C, and 30 s at 72°C. PCR was also done using primers 5′-ACACACTTGGAAGTCCCGGG-3′ (forward) and 5′-TTGGGAGGGAGGAGGATTG-3′ (reverse) for Sox-9 promoter fragment (size 150 bp). PCR amplification was carried out for 36 cycles of 30 s at 95°C, 30 s at 54°C, and 30 s at 72°C. PCR products were analyzed on agarose gel electrophoresis and stained with Syber Safe (Invitrogen).
Results
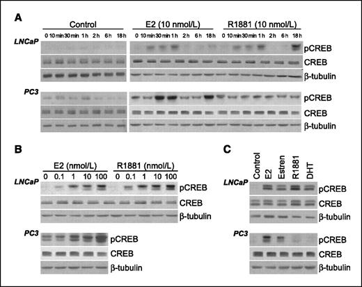
Both androgens and estrogens activate CREB phosphorylation in prostate cancer cells. We first used the AR-positive LNCaP cells that also express the ER-β. To evaluate CREB phosphorylation, cells were incubated with 10 nmol/L of either 17β-estradiol (E2) or the nonaromatizable androgen R1881. As shown in Fig. 1A (top), both E2 and R1881 induced time-dependent CREB phosphorylation. CREB phosphorylation started to increase 10 min after stimulation reaching maximum after 1 h with both steroids. It declined after 1 h and increased again after 18 h incubation. Total CREB expression remained unaltered. No CREB phosphorylation was observed in control cells incubated with vehicle alone.
CREB phosphorylation in prostate cancer cells. A, time course of CREB phosphorylation by E2 or R1881. LNCaP (top) or PC3 (bottom) cells were incubated in the presence or absence of E2 or R1881 at 10 nmol/L or vehicle alone (Control). pCREB was detected with an anti-pCREB (Ser133) antibody. B, dose-dependent CREB phosphorylation by E2 or R1881. LNCaP (top) or PC3 (bottom) cells were incubated in the presence or absence of E2 or R1881 at the indicated doses. C, CREB phosphorylation by various androgens or estrogens. LNCaP (top) or PC3 (bottom) cells were incubated in the presence or absence of E2, estren, R1881, or dihydrotestosterone (DHT). Representative of three independent experiments.
CREB phosphorylation in prostate cancer cells. A, time course of CREB phosphorylation by E2 or R1881. LNCaP (top) or PC3 (bottom) cells were incubated in the presence or absence of E2 or R1881 at 10 nmol/L or vehicle alone (Control). pCREB was detected with an anti-pCREB (Ser133) antibody. B, dose-dependent CREB phosphorylation by E2 or R1881. LNCaP (top) or PC3 (bottom) cells were incubated in the presence or absence of E2 or R1881 at the indicated doses. C, CREB phosphorylation by various androgens or estrogens. LNCaP (top) or PC3 (bottom) cells were incubated in the presence or absence of E2, estren, R1881, or dihydrotestosterone (DHT). Representative of three independent experiments.
We then evaluated CREB phosphorylation in AR-negative prostate cancer cells (PC3) that express both ER-α and ER-β subtypes. E2 but not R1881 induced time-dependent CREB phosphorylation, which reached maximum at 30 to 60 min, declined at 2 h, and then increased again at 18 h (Fig. 1A,, bottom). In LNCaP cells, CREB phosphorylation was activated by low doses of steroids, starting from 0.1 nmol/L and reached maximum at 100 nmol/L (Fig. 1B,, top). In PC3 cells exposed to E2, CREB phosphorylation followed the same pattern (Fig. 1B , bottom).
We also incubated LNCaP and PC3 cells with estren (a synthetic ER ligand that elicits only nongenotropic signals) and with dihydrotestosterone (both at 10 nmol/L for 30 min). CREB phosphorylation was induced by all ligands in LNCaP cells, whereas it was only induced by E2 and estren in PC3 cells (Fig. 1C).
CREB activation in transfected cells. To evaluate whether ectopic AR expression in PC3 cells induces androgen-dependent CREB phosphorylation, we used AR-transfected PC3 cells (PC3/AR). In these cells, CREB phosphorylation could be induced by E2 and R1881 incubation (Fig. 2A).
CREB phosphorylation in transfected cells. A, PC3 cells, transfected with plasmid encoding ARwt cDNA (PC3/AR), were exposed to either E2 or R1881. CREB phosphorylation and AR were analyzed by immunoblotting. B, stable HEK293 cell clones transfected either with an empty vector (EV) or with plasmids encoding either ER-α or ER-β cDNA were exposed to either E2 or R1881 (R). C, stable HEK293 cell clones transfected with either an empty vector or with plasmids encoding ARwt or ART877A cDNA were exposed to either E2 or R1881. B, unstimulated. Representative of three independent experiments.
CREB phosphorylation in transfected cells. A, PC3 cells, transfected with plasmid encoding ARwt cDNA (PC3/AR), were exposed to either E2 or R1881. CREB phosphorylation and AR were analyzed by immunoblotting. B, stable HEK293 cell clones transfected either with an empty vector (EV) or with plasmids encoding either ER-α or ER-β cDNA were exposed to either E2 or R1881 (R). C, stable HEK293 cell clones transfected with either an empty vector or with plasmids encoding ARwt or ART877A cDNA were exposed to either E2 or R1881. B, unstimulated. Representative of three independent experiments.
We next evaluated whether each ER subtype was able to activate estrogen-mediated CREB phosphorylation in the absence of AR and, conversely, whether the AR was also able to induce CREB activation in the absence of ER. As LNCaP cells express a mutated AR, ART877A, we also compared the effect of AR wild-type (ARwt) and ART877A in HEK293 cells. Cells were stably transfected with ER-α or ER-β or ARwt or ART877A and incubated with either E2 or R1881 (10 nmol/L for 30 min). Control cells were transfected with the corresponding empty vectors. As shown in Fig. 2B and C, CREB phosphorylation was higher in both ER- and AR-transfected cells compared with controls. CREB phosphorylation could be stimulated by E2 in ER-transfected cells (Fig. 2B) but could be stimulated by R1881 in AR-transfected cells (Fig. 2C).
CREB activation by sex steroids is mediated by nongenotropic signaling. We first evaluated whether sex steroid–induced CREB phosphorylation was a genomic effect. We transfected HEK293 cells with an ER mutant targeted to the plasma membrane (E-Mem-CFP), which is unable to bind to DNA but retains the ability to activate the ERK pathway or with AR mutants that are either unable to bind DNA (AR-C619Y) or to translocate into the nucleus (AR-C574R). Control cells were transfected with an empty vector, with a nontargeted ER (E-CFP), with a nucleus-targeted ER (E-Nuc-CFP), or with ARwt. To confirm the specific localization of the ER mutants, we used a serum response element-SEAP reporter, which is induced by ER located in the cytoplasm but repressed by ER present in the nucleus. E2 stimulated SEAP activity in the presence of the membrane-targeted or nontargeted ERs but not in the presence of nucleus-targeted ER (Fig. 3A). R1881 was used as negative control. Parallel experiments with a MMTV-luc reporter were carried out to confirm the lack of transcriptional activity of the mutated ARs (Fig. 3B). Indeed, MMTV activity was only stimulated in the presence of the ARwt.
CREB phosphorylation does not require steroid receptor DNA-binding activity. A, HEK293 cells were transiently cotransfected with a plasmid encoding serum response element (SRE) ligated to a SEAP reporter and with expression vectors encoding the E domain of ER-α either fused to the nontargeted CFP (E-CFP), or the membrane-targeted CFP (E-Mem-CFP), or the nuclear-targeted CFP (E-Nuc-CFP). Serum response element activity was then measured in the presence or absence of E2 or R1881. B, unstimulated. Columns, mean of three separate experiments; bars, SD. B, HEK293 cells were transiently cotransfected with a MMTV reporter plasmid and with either ARwt or AR mutants devoid of genomic activity (ARC619Y and ARC574R). MMTV promoter activity was then measured. Columns, mean of three separate experiments, normalized with a GFP vector; bars, SD. C, HEK293 cells were transiently transfected with expression vectors E-CFP, E-Mem-CFP, E-Nuc-CFP, or control empty vector. Cells were exposed or not to either E2, estren, or R1881. CREB phosphorylation and ER expression were measured by immunoblotting. D, stable HEK293 cell clones transfected with a plasmid encoding either ARwt, ARC619Y, ARC574R, or the corresponding empty vector were exposed to 10 nmol/L E2, R1881, or dihydrotestosterone for 30 min. CREB phosphorylation and transfected AR were evaluated by immunoblotting. Representative of three independent experiments.
CREB phosphorylation does not require steroid receptor DNA-binding activity. A, HEK293 cells were transiently cotransfected with a plasmid encoding serum response element (SRE) ligated to a SEAP reporter and with expression vectors encoding the E domain of ER-α either fused to the nontargeted CFP (E-CFP), or the membrane-targeted CFP (E-Mem-CFP), or the nuclear-targeted CFP (E-Nuc-CFP). Serum response element activity was then measured in the presence or absence of E2 or R1881. B, unstimulated. Columns, mean of three separate experiments; bars, SD. B, HEK293 cells were transiently cotransfected with a MMTV reporter plasmid and with either ARwt or AR mutants devoid of genomic activity (ARC619Y and ARC574R). MMTV promoter activity was then measured. Columns, mean of three separate experiments, normalized with a GFP vector; bars, SD. C, HEK293 cells were transiently transfected with expression vectors E-CFP, E-Mem-CFP, E-Nuc-CFP, or control empty vector. Cells were exposed or not to either E2, estren, or R1881. CREB phosphorylation and ER expression were measured by immunoblotting. D, stable HEK293 cell clones transfected with a plasmid encoding either ARwt, ARC619Y, ARC574R, or the corresponding empty vector were exposed to 10 nmol/L E2, R1881, or dihydrotestosterone for 30 min. CREB phosphorylation and transfected AR were evaluated by immunoblotting. Representative of three independent experiments.
CREB phosphorylation was induced by both E2 and estren in cells transfected with membrane-targeted or nontargeted ER but not with nucleus-targeted ER (E-Nuc-CFP; Fig. 3C). Androgens stimulated CREB phosphorylation also in cells transfected with AR mutants unable to bind DNA as well as in ARwt-transfected cells (Fig. 3D).
We next showed that both phosphoinositide 3-kinase (PI3K) and ERK pathways, but not protein kinase A, protein kinase C, and calmodulin-dependent kinase II, are involved in CREB phosphorylation and activation by sex steroids (see Supplementary Figs. S1 and S2).
CREB activity is required for IGF-IR promoter activation and protein up-regulation by sex steroids. We then evaluated whether sex steroid–induced CREB phosphorylation plays a role in IGF-IR promoter activation. We transiently transfected HEK293 cells with either ER-α or ER-β or the ART877A together with a luciferase construct containing the full-length IGF-IR promoter. Cotransfection of ΔN CREB completely blocked IGF-IR promoter stimulation by sex steroids (Fig. 4A). Similar results were obtained with CREB silencing with shRNAs (data not shown). Finally, ΔN CREB was able to inhibit CRE activity stimulation by sex steroids in the presence of their cognate receptors (Fig. 4B). CREB silencing by shRNAs also completely blocked CREB phosphorylation and ligand-induced IGF-IR protein up-regulation both in LNCaP-transfected and in ER- or ART877A-transfected HEK293 cells (Fig. 4C and D). We further showed that sex steroid–dependent IGF-IR promoter activity in HEK293 cells was dependent on the PI3K/Akt and c-Src/ERK pathway by using dominant-negatives and constitutively active forms of Src, MEK1, and p85/p110. In contrast, dominant-negative constructs for the protein kinase A, protein kinase Cα, and α-calmodulin-dependent kinase II were ineffective (see Supplementary Fig. S3).
Steroid-activated CREB induces IGF-IR up-regulation. A, HEK293 cells were transiently cotransfected with plasmids encoding either ER-α, ER-β, or ART877A in the presence of the full-length IGF-IR promoter-luciferase vector and with a plasmid encoding for a ΔN CREB mutant. Cells were incubated with either E2 or R1881 and the IGF-IR promoter activity was measured. Columns, mean of three separate experiments, normalized for transfection efficiency with a GFP vector; bars, SD. B, HEK293 cells were transiently cotransfected with plasmids encoding either ER-α, ER-β, or ART877A and with a ΔN CREB mutant in the presence of a CRE-luc construct. Cells were incubated with either E2 or R1881 and CRE activity was measured. Columns, mean of three separate experiments, normalized with a GFP vector; bars, SD. *, P < 0.05, basal (B) versus stimulated (Student's t test for paired values). HEK293 cells transiently expressing either ER-α or ER-β or ART877A (C) and LNCaP cells (D) were cotransfected with shRNAs directed to CREB or scrambled shRNAs. Representative of three independent experiments.
Steroid-activated CREB induces IGF-IR up-regulation. A, HEK293 cells were transiently cotransfected with plasmids encoding either ER-α, ER-β, or ART877A in the presence of the full-length IGF-IR promoter-luciferase vector and with a plasmid encoding for a ΔN CREB mutant. Cells were incubated with either E2 or R1881 and the IGF-IR promoter activity was measured. Columns, mean of three separate experiments, normalized for transfection efficiency with a GFP vector; bars, SD. B, HEK293 cells were transiently cotransfected with plasmids encoding either ER-α, ER-β, or ART877A and with a ΔN CREB mutant in the presence of a CRE-luc construct. Cells were incubated with either E2 or R1881 and CRE activity was measured. Columns, mean of three separate experiments, normalized with a GFP vector; bars, SD. *, P < 0.05, basal (B) versus stimulated (Student's t test for paired values). HEK293 cells transiently expressing either ER-α or ER-β or ART877A (C) and LNCaP cells (D) were cotransfected with shRNAs directed to CREB or scrambled shRNAs. Representative of three independent experiments.
Identification of sequences binding CREB on the IGF-IR promoter. By bioinformatic analysis, we found three different CREB sites in the 5′-UTR promoter, which shows 85% homology between rat and human gene. To confirm the involvement of these sites, we first analyzed the activity of the rat 5′-UTR compared with the 5′-flanking region and the full-length promoter in ER- or ART877A-transfected cells (Fig. 5A). The basal activity of the 5′-UTR fragment was ∼80% the activity of the full-length promoter, whereas the activity of the 5′-flanking fragment dropped to ∼60%. After stimulation with sex steroids the activity of the 5′-UTR fragment increased significantly compared with basal (P = 0.04 for ER-α, P = 0.03 for ER-β, and P = 0.01 for ART877A), whereas the 5′-flanking fragment was unresponsive (Fig. 5A).
Identification of CREB-binding sequences in the IGF-IR promoter. A, HEK293 cells were transiently cotransfected as indicated in Materials and Methods. Cells were incubated with either E2 or R1881 and IGF-IR promoter activity was measured. Columns, mean of three separate experiments, normalized for transfection efficiency with a GFP vector; bars, SD. Box, schematic representation of rat IGF-IR proximal promoter region with the putative CREB-binding sites (ovals) identified. B, HEK293 cells were transiently cotransfected as indicated in Materials and Methods. Cells were incubated in the presence or absence of sex steroids and IGF-IR promoter activity was measured. Columns, mean of three separate experiments, normalized for transfection efficiency with a GFP vector; bars, SD. Inset, nucleotide substitution and deletion in the 5′-UTR mutated promoter fragments (lowercase). *, P < 0.05, unstimulated (B) versus stimulated (Student's t test for unpaired values).
Identification of CREB-binding sequences in the IGF-IR promoter. A, HEK293 cells were transiently cotransfected as indicated in Materials and Methods. Cells were incubated with either E2 or R1881 and IGF-IR promoter activity was measured. Columns, mean of three separate experiments, normalized for transfection efficiency with a GFP vector; bars, SD. Box, schematic representation of rat IGF-IR proximal promoter region with the putative CREB-binding sites (ovals) identified. B, HEK293 cells were transiently cotransfected as indicated in Materials and Methods. Cells were incubated in the presence or absence of sex steroids and IGF-IR promoter activity was measured. Columns, mean of three separate experiments, normalized for transfection efficiency with a GFP vector; bars, SD. Inset, nucleotide substitution and deletion in the 5′-UTR mutated promoter fragments (lowercase). *, P < 0.05, unstimulated (B) versus stimulated (Student's t test for unpaired values).
To confirm the crucial role of a CREB-binding site present in the 5′-UTR fragment, we obtained two 5′-UTR mutated fragments: in the first one, we introduced a nucleotide substitution in the CRE site (GCACGT versus GCGTAG), whereas, in the second one, we performed a deletion (GCACGT versus GCxxxT) in the same site. We then compared the activity of these two promoter fragments with that of the wild-type 5′-UTR fragment (Fig. 5B). The basal activity of both mutated and deleted 5′-UTR fragments was reduced to approximately half that of the 5′-UTR fragment wild-type. In addition, the promoter activity in response to sex steroids was significantly lower in the mutated 5′-UTR fragment than with the 5′-UTR fragment wild-type (P = 0.02 for ER-α, P = 0.03 for ER-β, and P = 0.01 for ART877A) and was completely lost in the deleted 5′-UTR promoter fragment (Fig. 5B).
We then evaluated rat IGF-IR promoter occupancy by the steroid-activated CREB using DNA affinity precipitation assay (Fig. 6A). We used biotinylated oligonucleotides containing either the 5′-UTR CRE site (GCACGT) or a mutated (GCAtag) or a deleted (GCxxxT) sequence. Nuclear extracts of LNCaP cells unstimulated or exposed to sex steroids for 18 h were incubated with each of the three oligonucleotides and DNA-binding proteins were analyzed by Western blot. Recruitment of pCREB to the wild-type DNA probe was found in unstimulated cells and increased after incubation with E2 (∼2-fold) or R1881 (∼4-fold; Fig. 6B). pCREB recruitment was markedly reduced with the mutated promoter fragment and was undetectable with the deleted promoter fragment, except for a low signal observed after R1881 incubation (Fig. 6A).
pCREB recruitment to the IGF-IR promoter (DNA affinity precipitation assay and chromatin immunoprecipitation). A, pCREB binding to biotinylated oligonucleotides containing either the wild-type CRE site (wt) or a mutated (M) or a deleted (Δ) sequence was carried out by DNA affinity precipitation assay (DAPA) and analyzed by Western blotting using nuclear extracts of either unstimulated (B) or E2- or R1881-treated LNCaP cells. pCREB recruitment to the wild-type promoter probe was responsive to sex steroids and was markedly reduced or abolished in the mutated and deleted probes. INPUT, 10% of nuclear proteins; CTRL, aspecific pCREB recruitment in the presence of unrelated DNA sequences (right). B, LNCaP cells incubated or not with sex steroids were processed for chromatin immunoprecipitation. PCR was carried out to detect the human IGF-IR promoter (top) and the SOX-9 promoter (bottom, positive control). C, schematic representation of the human IGF-IR proximal promoter region with the putative CREB-binding sites (ovals) identified. INPUT, 10% of fragmented chromatin; pCREB, fragmented chromatin immunoprecipitated with anti-pCREB (Ser133) antibody; IgG, fragmented chromatin immunoprecipitated with control IgG. Representative of three independent experiments.
pCREB recruitment to the IGF-IR promoter (DNA affinity precipitation assay and chromatin immunoprecipitation). A, pCREB binding to biotinylated oligonucleotides containing either the wild-type CRE site (wt) or a mutated (M) or a deleted (Δ) sequence was carried out by DNA affinity precipitation assay (DAPA) and analyzed by Western blotting using nuclear extracts of either unstimulated (B) or E2- or R1881-treated LNCaP cells. pCREB recruitment to the wild-type promoter probe was responsive to sex steroids and was markedly reduced or abolished in the mutated and deleted probes. INPUT, 10% of nuclear proteins; CTRL, aspecific pCREB recruitment in the presence of unrelated DNA sequences (right). B, LNCaP cells incubated or not with sex steroids were processed for chromatin immunoprecipitation. PCR was carried out to detect the human IGF-IR promoter (top) and the SOX-9 promoter (bottom, positive control). C, schematic representation of the human IGF-IR proximal promoter region with the putative CREB-binding sites (ovals) identified. INPUT, 10% of fragmented chromatin; pCREB, fragmented chromatin immunoprecipitated with anti-pCREB (Ser133) antibody; IgG, fragmented chromatin immunoprecipitated with control IgG. Representative of three independent experiments.
Finally, we analyzed CREB occupancy on human IGF-IR promoter by chromatin immunoprecipitation in LNCaP cells incubated in the presence or the absence of sex steroids (10 nmol/L for 18 h). Protein-DNA complexes were obtained by immunoprecipitation with an anti-pCREB (Ser133) antibody and analyzed as indicated in Materials and Methods. We found that a +119/+201 promoter fragment, covering a predicted CREB site located in the human 5′-UTR fragment, was not only contained in the immunoprecipitated protein-DNA complexes but also increased after sex steroid treatment (Fig. 6B and C).
Discussion
Previously, we showed that both androgens and estrogens are able to stimulate IGF-IR up-regulation in prostate cancer cells, thus sensitizing cells to the biological effects of IGF-I (14, 15). Herein, we show that CREB phosphorylation and activation is a key common mechanism underlying IGF-IR promoter activation by sex steroids in prostate cancer cells. This newly described mechanism of IGF-IR up-regulation by sex steroid hormones is downstream the c-Src/ERK and PI3K pathways. We have also identified the relevant CREB-binding sites, which are located in the 5′-UTR of the IGF-IR promoter and are required for this effect of sex steroids. Sex steroids at nanomolar concentrations (0.1-1.0 nmol/L) phosphorylate CREB at Ser113 in a dose- and time-dependent manner in prostate cancer cells with a first peak after 30 to 60 min and a late peak after 18 h of incubation. AR or ER mutants that do not bind toDNA are able to induce CREB phosphorylation as well as the wild-type receptors, confirming that genomic effects of steroids arenot involved. Moreover, sex steroid–induced CREB phosphorylation is inhibited by MEK1 and Src inhibitors, confirming that theinvolvement of the c-Src/ERK pathway. Sex steroids also specifically induced CRE activity, which was also dependent on the c-Src/ERK pathway. These findings are in agreement with data showing that CREB is a substrate of p90Rsk, a kinase downstream ERK1/2 (26–28). Also, PI3K inhibition blocked sex steroid effects on CREB phosphorylation and CRE activity. The involvement of this pathway appears to be more important after E2 stimulation than after R1881, in agreement with our previous findings (15). In contrast, inhibitors of protein kinase A, protein kinase C, and calmodulin-dependent kinase II kinases were ineffective. Very limited data are available on CREB activation by androgens. It was reported previously that dihydrotestosterone induces c-fos promoter activity in LNCaP cells through a c-Src/MEK/ERK/CREB pathway (16). In the present study, we extensively characterized CREB phosphorylation in prostate cancer cells, showing that it is not cell type specific and is also mediated by ARwt and not only by ART877A expressed in LNCaP cells. Androgens were reported to induce CREB phosphorylation in Sertoli cells although at a 10- to 25-fold higher dose than in the present study. In that study, CREB phosphorylation was downstream ERK1/2 but not PI3K or protein kinase A (24).
CREB activation in response to estrogens has been studied in brain, where it is involved in plasticity and resistance to apoptosis. In hippocampal primary cell cultures, both mitogen-activated protein kinase and calmodulin-dependent kinase II activities were involved in CREB activation by estrogens (29), whereas, in immortalized hippocampal cells, mitogen-activated protein kinase and p90Rsk were the primary mediators (30). Our present work is the first report indicating that E2 is able to phosphorylate and activate CREB in prostate cancer cells. After phosphorylation at Ser133, CREB binds to a conserved CREB responsive element, a palindromic 8-bp sequence (TGACGTCA) found in the enhancer regions of a variety of genes (31). We found that stimulation of CREB phosphorylation and binding to CRE is a crucial step in IGF-IR up-regulation by sex steroids, as CREB silencing abrogates CRE activity as well as IGF-IR promoter activity and protein up-regulation.
The human IGF-IR promoter consists in a sequence of 1,557 bp, including a 5′-flanking region (−518/−1 fragment) and a 5′-UTR (+1/+1038 fragment). Both regions are highly GC-rich and show a very high homology to the corresponding regions of the rat IGF-IR gene (32), with 75% homology in the 5′-flanking region and 85% homology in the 5′-UTR. Major regulators of the IGF-IR gene include Sp1 transcription factor (33), WT1 (34), p53 (35, 36), and caveolin (37). No effect of CREB has been reported previously.
We have now identified the sex steroid–responsive CREB sites in the 5′-UTR promoter. In cells transfected with either ER subtypes or ART877A, the sex steroid responsiveness of the 5′-UTR fragment was similar to that of the full-length promoter. Mutation of one CREB site at the 5′-UTR markedly reduced both basal and sex steroid–stimulated promoter activity, whereas deletion of this region completely abolished the response to sex steroids. The crucial role of this sequence was further confirmed by DNA affinity precipitation assay.
By chromatin immunoprecipitation analysis, we also found that protein-DNA complexes reacting with an anti-pCREB (Ser133) antibody contained an 82-bp promoter fragment, in agreement with a predicted CREB site located in the human 5′-UTR fragment.
Interestingly, activation of the IGF-IR by IGFs may stimulate CREB phosphorylation and regulate the expression of CRE-containing genes involved in growth and survival (38–40). Sex steroid–mediated IGF-IR up-regulation may, therefore, activate a loop of increased CREB phosphorylation and cell survival program.
In conclusion, we have identified, in prostate cancer cells, a novel mechanism for IGF-IR promoter activation through CREB phosphorylation induced by sex steroids via the c-Src/ERK pathway. This mechanism enhances IGF downstream signaling and biological effects and may occur not only in AR-positive but also in AR-negative/ER-positive prostate cancer cells and in malignant cells that express AR and/or ER mutants unable to bind DNA. This novel mechanism enhances our understanding of IGF-IR promoter regulation in prostate cancer cells and may open a different approach to prostate cancer therapy, considering that this effect is blocked by CREB silencing or by inhibitors of the c-Src/ERK/PI3K pathway rather than by the classic antiandrogen or antiestrogen compounds (14, 15).
Disclosure of Potential Conflicts of Interest
No potential conflicts of interest were disclosed.
Note: Supplementary data for this article are available at Cancer Research Online (http://cancerres.aacrjournals.org/).
Acknowledgments
Grant support: Associazione Italiana per la Ricerca sul Cancro (A. Belfiore and R. Vigneri), PRIN-MIUR 2005 grants 2005055874-002 and 2005063915-004 and grants from the Ministero della Salute, Italy (A. Belfiore).
The costs of publication of this article were defrayed in part by the payment of page charges. This article must therefore be hereby marked advertisement in accordance with 18 U.S.C. Section 1734 solely to indicate this fact.
We thank all researchers who have provided materials that have made this work possible, as mentioned in Materials and Methods, particularly Dr. C.T. Roberts, Jr., for IGF-IR gene promoter constructs, Drs. S. Kousteni and S. Manolagas for constructs encoding the targeted ER ligand-binding domain, Dr. M. Marcelli for the mutated AR constructs, and Dr. C. Vinson for the ΔN CREB construct.





