Abstract
The Aurora-A/STK15 gene encodes a kinase that is frequently amplified in cancer. Overexpression of Aurora-A in mammalian cells leads to centrosome amplification, genetic instability, and transformation. In this study, we show that Aurora-A activates nuclear factor-κB (NF-κB) via IκBα phosphorylation. Inhibition of endogenous Aurora-A reduces tumor necrosis factor α (TNFα)–induced IκBα degradation. We analyzed primary human breast cancers, and 13.6% of samples showed Aurora-A gene amplification, all of which exhibited nuclear localization of NF-κB. We propose that this subgroup of patients with breast cancer might benefit from inhibiting Aurora-A. We also show that down-regulation of NF-κB via Aurora-A depletion can enhance cisplatin-dependent apoptosis. These data define a new role for Aurora-A in regulating IκBα that is critical for the activation of NF-κB–directed gene expression and may be partially responsible for the oncogenic effect of Aurora-A when the gene is amplified and overexpressed in human tumors. [Cancer Res 2007;67(4):1689–95]
Introduction
The Aurora-A gene (also known as Aurora 2, STK15, BTAK, mouse Stk6, or Iak1) encodes a centrosome-associated serine/threonine kinase (1). Aurora-A is the human homologue of the aurora protein kinase from Drosophila, Ipl1 kinase is from Saccharomyces cerevisiae (2, 3) and is a member of a family of Aurora kinases that includes Aurora-B and Aurora-C (STK13; refs. 4–6). In somatic cells, Aurora-A mRNA, protein, and kinase activity levels are cell cycle–regulated (7, 8). The Aurora-A gene is located on human chromosome 20q13—a region that has been found to be amplified in a variety of human tumors (9), including >50% of primary colorectal cancers, 6% to 18% of primary breast cancers, as well as in breast, ovarian, colon, prostate, neuroblastoma, and cervical tumor cell lines (4, 5). Ectopic expression of Aurora-A in NIH3T3 and Rat1 fibroblasts results in abnormal centrosome amplification and cellular transformation (4, 5). However, overexpression of Aurora-A in primary mouse embryo fibroblast (MEF) cells does not induce transformation, indicating that Aurora-A alone is insufficient to induce carcinogenesis (10). In agreement, a transgenic mouse designed to overexpress Aurora-A in the mammary epithelium did not develop tumors (11).
A polymorphism in the Aurora-A gene was recently identified and showed preferential amplification associated with increased aneuploidy in colon cancers (12). Data from 15 case-control studies involving colon, breast, ovarian, prostate, lung, esophageal, and non–melanoma skin cancer confirmed that the Aurora-A variant Phe31Ile is a low-penetrance cancer susceptibility allele affecting multiple cancer types (13). We have shown that Aurora-A binds the E2 ubiquitin ligase UBE2N in vitro and in vivo (12). UBE2N has been previously shown to be involved in nuclear factor-κB (NF-κB) activation (14). The “classical” activation of NF-κB involves the IκB kinase complex [IKK-α and IKK-β and IKKγ (NEMO)] responsible for phosphorylation of IκB. Normally, IκB sequesters NF-κB in the cytoplasm (15), but when phosphorylated, IκB is targeted for proteolysis resulting in the nuclear translocation and activation of NF-κB complexes. A number of studies have shown that NF-κB plays a key role in the regulation of cell proliferation, inflammation, and apoptosis (16–20). Aberrantly active forms of NF-κB have been described in a variety of primary tumors and transformed cell lines (21). The binding of Aurora-A to UBE2N and the involvement of UBE2N in NF-κB activation prompted us to investigate the role of Aurora-A in the NF-κB pathway. We found that Aurora-A mediates the phosphorylation of IκBα leading to NF-κB activation. Therefore, Aurora-A may play an important function in regulating the activation of NF-κB–directed gene expression leading to carcinogenesis and drug resistance. Our results suggest a novel approach for cancer therapy, based on combining the down-regulation of NF-κB via the inhibition of Aurora-A with the administration of chemotherapeutic agents.
Materials and Methods
Cell culture, transfections, and inhibitors. HeLa cells, MCF7 cells, and IKKβ−/− MEFs were maintained in DMEM supplemented with 10% FCS glutamine, penicillin, and streptomycin at 37°C and 5% CO2. Cell clones stably transfected with Aurora-A were selected in 400 μg/mL of G418. For transient transfections, LipofectAMINE 2000 reagent (Invitrogen, Carlsbad, CA) was used according to the instructions of the manufacturer and cells were harvested 36 h post-transfection unless otherwise indicated. For drug sensitivity assays, 8 μmol/L of cisplatin was added for 24 h unless otherwise indicated, 50 μmol/L of PD98059 (Calbiochem, San Diego, CA), 50 μmol/L of LY294002 (Calbiochem), 1.6 μmol/L of VX-680 (10× IC50; a gift from Chroma Therapeutics, Oxford, United Kingdom), and 1.5 μmol/L of IKKβ inhibitor IKKIV (Calbiochem) were incubated for 24 h, as well as 50 ng/mL of tumor necrosis factor α (TNFα; PeproTech) for 10 min prior to harvesting. Cells were treated with 10 nmol/L of Calyculin A (Sigma, St. Louis, MO) for 5 min prior to harvesting, and 10 μmol/L of MG132 (Sigma) for 1 h before harvesting.
Luciferase reporter assays. For NF-κB luciferase assays, cells were seeded at 70% confluency in six-well plates and transfected with LipofectAMINE 2000 reagent according to the instructions of the manufacturer (Invitrogen). One microgram of NF-κB–dependent luciferase reporter plasmid 3XκBL was cotransfected with 1.5 μg of corresponding plasmid as indicated in the figure legends. For luciferase assays, cells were lysed in Reporter lysis buffer (Promega, Madison, WI), and activity was measured with luciferase assay reagent (Promega) according to the instructions of the manufacturer. Normalization for transfection efficiency was done by cotransfecting 500 ng of a β-galactosidase expression plasmid (pGK-β-gal) and measuring β-galactosidase activity.
Immunoblotting and antibodies. Cells were lysed in lysis buffer [50 mmol/L Hepes (pH 7.5), 250 mmol/L NaCl, 0.5% NP40 with protein inhibitors], incubated on ice for 30 min and centrifuged at 20,000 × g for 15 min. The supernatant was collected and protein concentration was determined with Pierce BCA assay reagent. For immunoblotting, samples were separated on Novex Tris-Glycine gels (Invitrogen) followed by electrophoretic transfer onto polyvinylidene difluoride membrane (Millipore, Billerica, MA) and blocked with 5% nonfat milk. Incubation with primary antibodies was carried out at 4°C. Antibodies used were IAK1 (Aurora-A; BD Transduction Laboratories), V5 (PK; Serotec), α-tubulin and Flag (Sigma), PARP, Bcl-xL, and phospho-Ser32/Ser36 IκBα (Cell Signaling Technology), cyclin D1 and p53 (Oncogene), total IκBα, ezrin, and MYC (Santa Cruz Biotechnology, Santa Cruz, CA).
RNA-mediated interference. RNA-mediated interference for down-regulating Aurora-A expression was done by the transfection of double-stranded RNA oligonucleotides (40 mmol/mL stock) with LipofectAMINE 2000. Seventy-two hours after transfection, cells were collected. The sequences for the small interfering RNA (siRNA) against Aurora-A and the corresponding inverted siRNA were: Aurora-A forward, 5′GGCUACAGCUCCAGUUGGAdTdT; Aurora-A reverse, 5′-UCCAACUGGAGCUGUAGCCdTdT; inverted Aurora-A forward, 5′ AAAGGTTGACCTCGACATCGGdTdT; inverted Aurora-A reverse, 5′ dTdTCCGATGTCGAGGTCAACCTTT.
Electrophoretic mobility shift assay. Nuclear extracts from HeLa cells were prepared using the hypotonic lysis method. Briefly, 5 μg of nuclear extracts was incubated with 32P-radiolabeled NF-κB oligonucleotide (5′-AGTTGAGGGGACTTTCCCAGG-3′) for 30 min at room temperature and the DNA/protein complex was separated on a nondenaturing 6% polyacrylamide gel. Gels were dried and exposed to Kodak Biomax film.
Site mutagenesis. QuikChange mutagenesis was done as described in the instructions of the manufacturer. Briefly, complementary oligonucleotide primers containing the mutation were designed and used in a PCR reaction with Pfu polymerase and the wild-type plasmid DNA as a template (IκBα S32A, 5′-CCGCCACGACGCCGGCCTGGAC-3′; IκBα S36A, 5′-CGGCCTGGACGCCATGAAAGA-3′). The reaction mixture was then digested with the restriction endonuclease DpnI for 1 h at 37°C to remove the template DNA and transformed into competent JM109 bacteria. DNA prepared from the resulting colonies was sequenced to detect the presence and integrity of the mutation.
Immunohistochemistry. p65 immunostaining on the tissue microarray was done using a rabbit polyclonal anti–NF-κB p65 antibody (Zymed). Slides were dewaxed in xylene (twice for 5 min) and cleared through a series of graded alcohols. Antigen retrieval was done by microwaving for 18 min in 0.01 mol/L citrate buffer (pH 6.0). Endogenous peroxidase activity was blocked using Envision + peroxidase blocking solution (Dako, Glostrup, Denmark). Sections were rinsed in 0.05% TBS/Tween 20 buffer (pH 7.4) and Dako serum-free protein block was added for 5 min. Sections were drained and the primary antibody (1:100 in TBS) was applied for 30 min. Sections were rinsed in TBS/Tween for 5 min. The antibody binding was detected using the Dako Envision/HRP system.
Chromogenic in situ hybridization. Chromogenic in situ hybridization (CISH) was used to allow a direct evaluation of copy number changes in the neoplastic cells of 57 invasive breast carcinomas. The probes used were generated in-house and made-up of two contiguous, fluorescence in situ hybridization–mapped and sequence-verified bacterial artificial chromosomes (RP11-158O17 and RP11-120E08), which map to 20q13.31 (∼54.3 and ∼54.5 Mb) according to the Ensembl v37 of the human genome.3
The in-house probe was generated, biotin-labeled, and used in hybridizations according to the protocol described (22). Heat pretreatment of deparaffinized sections were incubated for 15 min at 98°C in CISH pretreatment buffer (SPOT-light tissue pretreatment kit; Zymed) and digested with pepsin for 6 min at room temperature according to the instructions of the manufacturer. An appropriate gene-amplified breast tumor control was included in the slide run. Signals were evaluated at ×400 and ×630, and 60 morphologically unequivocal neoplastic cells were counted for the presence of the gene probe signals. Amplification was defined as more than five signals per nucleus in >50% of cancer cells, or when large gene copy clusters were seen (22). Signals were interpretable in 44 cores. Immunohistochemistry and CISH were done in duplicate on serial sections of the MaxArray Human Breast Carcinoma Tissue MicroArray (Zymed).Cell viability assay. The effects of cisplatin on cell viability was analyzed with the colorimetric 3-(4,5-dimethylthiazol-2-yl)-2,5-diphenyltetrazolium bromide (MTT) assay (Sigma) according to the instructions of the manufacturer. HeLa cells were plated in 96-well plates at 7,500 cells per well in triplicate 24 h before transfection with the appropriate siRNA primer. Twenty-four hours after transfection, the cells were treated with a range of 0 to 200 μmol/L of cisplatin for 55 h. The absorbance was measured at 570 nm using the Wallac VICTOR2 1420 Multilabel Counter (Perkin-Elmer).
Results
Aurora-A regulates NF-κB via IκBα phosphorylation. To gain insight into the involvement of Aurora-A in the regulation of NF-κB, we did a series of experiments using HeLa cells. We selected this cell system for two reasons. First, in HeLa cells, the cell cycle kinetics and oncogenic activity of Aurora-A have been extensively characterized. Induction of Aurora-A leads to centrosome amplification and aneuploidy (23, 24). Second, these cells are TNFα-responsive and the IκBα degradation pathway is intact (25, 26). HeLa cells were cotransfected with a NF-κB–dependent luciferase reporter plasmid together with plasmids expressing Aurora-A, UBE2N, or the catalytically inactive mutant of UBE2N (C87A; ref. 14). Assays of luciferase activity in lysates showed that overexpression of Aurora-A or UBE2N alone, or in combination, had a dramatic effect in increasing NF-κB activity in comparison to the vector control (Fig. 1A). The UBE2N (C87A) mutant alone or in combination with Aurora-A did not activate NF-κB.
Regulation of NF-κB activity by Aurora-A. A, reporter gene analysis with the 3XκBL and the pGK-β-galactosidase reporter plasmids. Transient transfection assays in HeLa cells with empty vector or plasmids expressing Aurora-A, UBE2N dominant-negative mutant (C87A), UBE2N, Aurora-A with UBE2N (C87A) mutant, or Aurora-A with UBE2N and assayed for NF-κB–dependent luciferase and β-galactosidase activation. B, HeLa cells were cotransfected with plasmids expressing Aurora-A kinase inactive (KI), Aurora-A alone or in combination with the Aurora kinase inhibitor VX-680, Aurora-A COOH-terminal catalytic domain, or empty vector control together with NF-κB luciferase reporter plasmid. Luciferase activity in the extracts was measured as in (A). C, NF-κB DNA binding activity was examined by electrophoretic mobility shift assay in lysates from HeLa cells transfected with empty vector or plasmids expressing Aurora-A (2 and 4 μg), Aurora-A COOH-terminal, and kinase inactive (KI). p65 was used as positive control.
Regulation of NF-κB activity by Aurora-A. A, reporter gene analysis with the 3XκBL and the pGK-β-galactosidase reporter plasmids. Transient transfection assays in HeLa cells with empty vector or plasmids expressing Aurora-A, UBE2N dominant-negative mutant (C87A), UBE2N, Aurora-A with UBE2N (C87A) mutant, or Aurora-A with UBE2N and assayed for NF-κB–dependent luciferase and β-galactosidase activation. B, HeLa cells were cotransfected with plasmids expressing Aurora-A kinase inactive (KI), Aurora-A alone or in combination with the Aurora kinase inhibitor VX-680, Aurora-A COOH-terminal catalytic domain, or empty vector control together with NF-κB luciferase reporter plasmid. Luciferase activity in the extracts was measured as in (A). C, NF-κB DNA binding activity was examined by electrophoretic mobility shift assay in lysates from HeLa cells transfected with empty vector or plasmids expressing Aurora-A (2 and 4 μg), Aurora-A COOH-terminal, and kinase inactive (KI). p65 was used as positive control.
We next investigated whether Aurora-A kinase activity was necessary for NF-κB activation. A kinase-inactive form of the enzyme (Aurora-A KI, K162M; ref. 27) or HeLa cells treated with the Aurora kinase inhibitor VX-680 (28) were unable to activate NF-κB, indicating that the kinase activity of Aurora-A was required for NF-κB regulation (Fig. 1B). The use of the Aurora-A KI rules out also the possibility that this result was due to a mitotic failure rather than specific activation of NF-κB by Aurora-A because the inactive form of Aurora-A also causes mitotic defects (23). In electrophoretic mobility shift assays, a clear dose-response elevation of NF-κB DNA-binding activity was observed after transfection of plasmid expressing Aurora-A in HeLa cells (Fig. 1C). By contrast, use of plasmids expressing the Aurora-A COOH-terminal catalytic domain or kinase-inactive Aurora-A, showed no effect on NF-κB DNA-binding activity (Fig. 1C). To exclude the possibility that Aurora-A regulates other transcription factors, we examined its effect on activator protein 1 (AP-1) transcriptional activation. Reporter assays were conducted using AP-1 luciferase reporter plasmid cotransfected with a plasmid construct expressing Aurora-A or siRNA against Aurora-A in HeLa cells. Only c-Jun showed a dramatic effect on AP-1 activation (Supplementary Fig. S1).
To determine whether Aurora-A regulates NF-κB via phosphorylation of IκBα, HeLa cells and HeLa cells overexpressing Aurora-A were used. Figure 2A shows a significant increase in the phosphorylation of IκBα in cells overexpressing Aurora-A compared with the control cells. A dramatic reduction of phosphorylation of IκBα was observed when the Aurora kinase inhibitor VX-680 (28) was used alone or in combination with the IKKβ-specific inhibitor IKKIV (29) in the Aurora-A–overexpressing cells. These results indicated that IKKβ may be important in Aurora-A–mediated IκBα phosphorylation. To investigate these observations, we used MEFs derived from IKKβ-deficient mice. No phosphorylation of IκBα was observed when Aurora-A was overexpressed in these cells (Fig. 2B). In contrast, increased levels of IκBα phosphorylation were observed when Aurora-A was cotransfected with IKKβ, compared with IKKβ transfected alone (Fig. 2B). To confirm these results, the proteasome inhibitor MG132 was used to inhibit IκBα degradation.
Aurora-A phosphorylation of IκBα. A, HeLa cells transfected with plasmids expressing Aurora-A and IKKβ, and treated with Aurora (VX-680) and IKKβ (IKKIV) inhibitors alone or in combination. Cell lysates were analyzed for phosphorylated IκBα (S32/36) levels by immunoblotting. Aurora-A, IKKβ, and ezrin antibodies were used as controls. B, IKKβ-deficient MEFs were transfected with empty vector or plasmids expressing Aurora-A, IKKβ, or in combination in the presence or absence of proteasomal inhibitor MG132. Cell lysates were analyzed for phosphorylated IκBα (S32/36) levels by immunoblotting. Aurora-A, IKKβ, and ezrin antibodies were used as controls.
Aurora-A phosphorylation of IκBα. A, HeLa cells transfected with plasmids expressing Aurora-A and IKKβ, and treated with Aurora (VX-680) and IKKβ (IKKIV) inhibitors alone or in combination. Cell lysates were analyzed for phosphorylated IκBα (S32/36) levels by immunoblotting. Aurora-A, IKKβ, and ezrin antibodies were used as controls. B, IKKβ-deficient MEFs were transfected with empty vector or plasmids expressing Aurora-A, IKKβ, or in combination in the presence or absence of proteasomal inhibitor MG132. Cell lysates were analyzed for phosphorylated IκBα (S32/36) levels by immunoblotting. Aurora-A, IKKβ, and ezrin antibodies were used as controls.
Aurora-A mediates phosphorylation of IκBα at Ser32 and Ser36. To assess if Aurora-A–mediated phosphorylation of IκBα affects Ser32 and Ser36, single (S32A or S36A) and double (S32/36A) phosphorylation site mutants of IκBα were used. HeLa cells were transiently cotransfected with MYC-tagged Aurora-A and PK-tagged wild-type IκBα, S32A-IκBα, S36A-IκBα, or S32/36A-IκBα. IκBα phosphorylation was detected with anti–phospho-S32/36-IκBα antibody (Fig. 3A,, top). The lower band seen in all the lanes represents the endogenous phosphorylated IκBα, whereas the upper band, present only in the PK-IκBα lane, is the exogenous IκBα phosphorylated on both Ser32 and Ser36. Neither of the upper two bands were observed with the S32A/36A mutant. This implies that Aurora-A induces the phosphorylation of IκBα at both the Ser32 and Ser36 residues. To test these observations in a different cell system, we transfected Aurora-A into MCF7 breast cancer cells. We showed that overexpression of Aurora-A results in increased levels of phosphorylated IκBα (Fig. 3B).
Aurora-A–induced phosphorylation of IκBα at Ser32/Ser36 and its inhibition rescues TNFα-induced IκBα degradation. A, HeLa cells cotransfected with plasmids expressing Aurora-A and empty vector, PK-IκBα, PK-IκBα-S32A, PK-IκBα-S36A, or PK-IκBα-S32/36A, respectively. Cell lysates were analyzed for phosphorylated IκBα (S32/36) levels by immunoblotting (top). Anti-IκBα antibody shows the endogenous and exogenous IκBα (middle). Tubulin and MYC-Aurora-A used as controls (bottom). B, in MCF7 and MCF7 overexpressing MYC–Aurora-A cells, the levels of S32/S36-phosphorylated IκBα were assessed by immunoblotting. Bottom, levels of IκBα and Aurora-A, respectively. C, HeLa cells with or without TNFα were treated with VX-680 and IKKIV inhibitors towards Aurora-A and IKKβ, respectively, and total IκBα levels were assessed by immunoblotting. The relative levels of IκBα in Aurora-A and IKKβ-inhibited and control cell lysates were quantified by densitometry (bottom). Tubulin provides a loading control. D, HeLa cells cotransfected with plasmids expressing Aurora-A or empty vector and treated with MEK1 (PD98059), PI3K (LY294002), Aurora (VX-680), and IKKβ (IKKIV) inhibitors, respectively. Cell lysates were analyzed for phosphorylated IκBα (S32/36) and Aurora-A levels by immunoblotting. Ezrin used as a loading control.
Aurora-A–induced phosphorylation of IκBα at Ser32/Ser36 and its inhibition rescues TNFα-induced IκBα degradation. A, HeLa cells cotransfected with plasmids expressing Aurora-A and empty vector, PK-IκBα, PK-IκBα-S32A, PK-IκBα-S36A, or PK-IκBα-S32/36A, respectively. Cell lysates were analyzed for phosphorylated IκBα (S32/36) levels by immunoblotting (top). Anti-IκBα antibody shows the endogenous and exogenous IκBα (middle). Tubulin and MYC-Aurora-A used as controls (bottom). B, in MCF7 and MCF7 overexpressing MYC–Aurora-A cells, the levels of S32/S36-phosphorylated IκBα were assessed by immunoblotting. Bottom, levels of IκBα and Aurora-A, respectively. C, HeLa cells with or without TNFα were treated with VX-680 and IKKIV inhibitors towards Aurora-A and IKKβ, respectively, and total IκBα levels were assessed by immunoblotting. The relative levels of IκBα in Aurora-A and IKKβ-inhibited and control cell lysates were quantified by densitometry (bottom). Tubulin provides a loading control. D, HeLa cells cotransfected with plasmids expressing Aurora-A or empty vector and treated with MEK1 (PD98059), PI3K (LY294002), Aurora (VX-680), and IKKβ (IKKIV) inhibitors, respectively. Cell lysates were analyzed for phosphorylated IκBα (S32/36) and Aurora-A levels by immunoblotting. Ezrin used as a loading control.
Next, we examined the possible signaling pathways linking Aurora-A to NF-κB activation. Activation of NF-κB in response to TNFα is mediated through phosphorylation and activation of the IKK complex, which in turn, phosphorylates and inactivates IκBα (29). Dominant-negative forms of NF-κB–inducing kinase have been shown to inhibit this pathway by preventing degradation of IκBα (30). The inhibition of Aurora-A in HeLa cells using the small molecule inhibitor VX-680 partially rescued TNFα-induced IκBα degradation, indicating that Aurora-A may be one of the TNFα-induced pathways regulating NF-κB (Fig. 3C). Similar results were obtained when specific siRNA towards Aurora-A and IKKβ were used, simultaneous depletion of the proteins had an additive effect on inhibiting TNFα-stimulated NF-κB activation (Supplementary Fig. S2). An additional pathway implicated in NF-κB activation by TNFα involves activation of the PI3K/AKT cascade. In HeLa cells, treatment with the well-characterized PI3K inhibitor, LY294002 (31), did not prevent phosphorylation of IκBα in response to Aurora-A (Fig. 3D). MEK1 has also been shown to activate NF-κB via IκBα phosphorylation. Similar negative results were obtained when using the MEK1 inhibitor PD98059 (32). These results indicate that Aurora-A was not involved in the regulation of the PI3K or MEK1 signaling pathways that lead to IκBα phosphorylation. In contrast, the IKKβ inhibitor IKKIV and the Aurora kinase inhibitor VX-680 considerably reduced the hyperphosphorylated IκBα form (Fig. 3D).
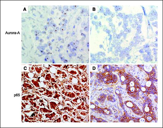
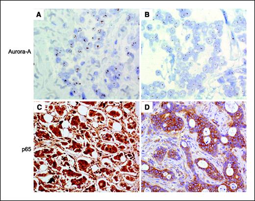
Invasive breast carcinomas with Aurora-A gene amplification show NF-κB nuclear expression. Numerous studies have documented elevated NF-κB DNA-binding activity, in a hormone-independent manner, in tumor formations in human mammary carcinoma and primary breast cancer cell lines (33). The mechanisms that underlie the elevated expression of NF-κB are not clear. Therefore, to assess the association between Aurora-A and NF-κB, we investigated the presence of Aurora-A gene amplification by means of chromogenic in situ hybridization (22) and p65 nuclear localization in 44 invasive breast carcinomas. Aurora-A amplification was found in six (13.6%) cases (5 of 38 invasive ductal carcinomas, 1 of 5 medullary carcinomas, and 0 of 1 invasive mucinous carcinoma), all of which showed NF-κB nuclear expression (Fig. 4A–D). Aurora-A amplification significantly correlated with p65 expression (P = 0.0289, Fisher's exact test). p65 nuclear expression was more pervasive, being found in 19 of 38 (50%) cases without Aurora-A amplification. The cases exhibiting p65 nuclear localization without Aurora-A amplification may be due to other factors such as ER or ErbB2 status.
Aurora-A amplification was associated with NF-κB nuclear localization. A, invasive ductal carcinoma with Aurora-A gene amplification. Presence of more than five signals and signal clusters in the nuclei of neoplastic cells (original magnification, ×630). B, invasive ductal carcinoma without Aurora-A gene amplification. Presence of two to three copies of Aurora-A gene in the nuclei of the neoplastic cells (original magnification, ×630). C, p65 strong nuclear and cytoplasmic expression in samples with Aurora-A gene amplification (original magnification, ×200). D, p65 expression was restricted to the cytoplasmic compartment of neoplastic cells (original magnification, ×200).
Aurora-A amplification was associated with NF-κB nuclear localization. A, invasive ductal carcinoma with Aurora-A gene amplification. Presence of more than five signals and signal clusters in the nuclei of neoplastic cells (original magnification, ×630). B, invasive ductal carcinoma without Aurora-A gene amplification. Presence of two to three copies of Aurora-A gene in the nuclei of the neoplastic cells (original magnification, ×630). C, p65 strong nuclear and cytoplasmic expression in samples with Aurora-A gene amplification (original magnification, ×200). D, p65 expression was restricted to the cytoplasmic compartment of neoplastic cells (original magnification, ×200).
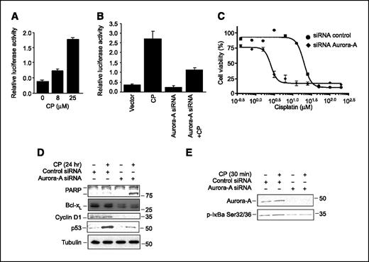
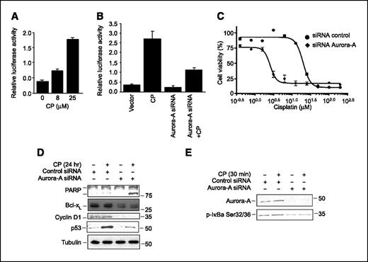
Aurora-A–mediated regulation of NF-κB affects chemotherapeutic efficacy. Cisplatin is a DNA-damaging agent widely used in cancer therapy and its clinical efficacy relies on its ability to trigger apoptosis (34). In response to chemotherapeutic reagents such as cisplatin, NF-κB is up-regulated, leading to the expression of antiapoptotic genes such as Bcl-xL (35). Furthermore, NF-κB inhibition has been reported to increase the efficacy of chemotherapeutic drugs (36–38). HeLa cells were chosen for the following experiments because they are sensitive to drugs such as cisplatin (39). Indeed, in HeLa cells, NF-κB was induced in a dose-dependent manner following cisplatin treatment (Fig. 5A). Despite NF-κB activation, however, cells die indicating that this survival signal was not strong enough to abrogate apoptotic pathways. To examine whether the down-regulation of NF-κB via Aurora-A inhibition sensitizes HeLa cells to cisplatin, we transiently transfected HeLa cells with a reporter NF-κB expression plasmid and siRNA towards Aurora-A. Aurora-A–depleted cells treated with cisplatin severely suppressed NF-κB activation (Fig. 5B). In a cell viability assay, we sought to determine whether Aurora-A depletion in HeLa cells potentiates the effect of cisplatin. HeLa cells transfected with control siRNA or siRNA towards Aurora-A were incubated with various concentrations of cisplatin. The cellular EC50 was determined by MTT assay. Aurora-A depletion in HeLa cells was able to enhance the cell-killing activity of cisplatin (siRNA Aurora-A, EC50 = 2.55; siRNA control, EC50 = 19.75; Fig. 5C). Aurora-A overexpression induces a striking increase in resistance to cisplatin-induced cell killing (EC50 = 56.78; data not shown). To further confirm these results, inhibition of Aurora-A by VX-680 was also examined in combination with cisplatin. VX-680 was able to enhance the cell-killing activity of cisplatin in HeLa cells (VX-680–treated HeLa cells, EC50 = 17.6; HeLa cells, EC50 = 31; Aurora-A–overexpressed HeLa cells, EC50 = 83.7; Supplementary Fig. S3). The down-regulation of NF-κB led to the acceleration of the apoptotic program, as PARP cleavage was markedly increased in Aurora-A–depleted cells (Fig. 5D). To examine how Aurora-A depletion enhances cisplatin-induced cell death, we analyzed the expression of NF-κB target genes known to be involved in cell proliferation and apoptosis such as cyclin D1 and Bcl-xL (39). The expressions of both Bcl-xL and cyclin D1 were down-regulated in Aurora-A–depleted cells (Fig. 5D). The severe down-regulation of cyclin D1 expression is likely due to the down-regulation of NF-κB and to changes in cell proliferation. Cisplatin treatment led to a p53 induction in control cells but had a weaker effect in Aurora-A–depleted cells. This is in contrast to previous studies which showed that Aurora-A depletion stabilizes p53 (40, 41). One possible explanation is that this was due to the activity of p53 in the cell lines used; in HeLa cells, p53 is disrupted by the E6 oncogene of human papilloma virus. Despite the lower levels of p53 induced in Aurora-A–depleted HeLa cells, these were more sensitive to cisplatin-induced apoptosis, possibly due to concomitant down-regulation of antiapoptotic proteins such as Bcl-xL. To confirm that increased cisplatin sensitivity in Aurora-A–depleted cells was due to NF-κB inhibition, we examined early events occurring after cisplatin treatment such as IκBα phosphorylation. After only 30 min of cisplatin addition, there was an increase in IκBα phosphorylated at residues Ser32/Ser36 in control cells but not in Aurora-A–depleted cells (Fig. 5E).
Aurora-A depletion enhances cisplatin-induced apoptosis in HeLa cells. A, HeLa cells were transfected with the 3XκBL and the pGK-β-galactosidase reporter plasmid together with empty vector. Twenty-four hours after transfection, cells were left untreated or treated with cisplatin (8–25 μmol/L) and luciferase activity was estimated. B, HeLa cells were transfected with the 3XκBL and the pGK-β-galactosidase reporter plasmid together with empty vector, or Aurora-A siRNA. Twenty-four hours after transfection, cells were treated with cisplatin (8 μmol/L) for 24 h and the luciferase activity was assessed as in (A). C, HeLa cells transfected with control siRNA or Aurora-A siRNA were incubated with a range of 0 to 200 μmol/L of cisplatin for 55 h and analyzed with MTT assay. D, HeLa cells were transfected with control or Aurora-A siRNA. Twenty-four hours after transfection, cells were treated with cisplatin for 24 h. PARP cleavage, Bcl-xL, cyclin D1, and p53 were assessed via immunoblotting. Tubulin provides a loading control. E, HeLa cells were transfected with control or Aurora-A siRNA. Twenty-four hours after transfection, cells were treated with cisplatin (8 μmol/L) for 30 min. Levels of Aurora-A and phosphorylated IκBα at Ser32/Ser36 were assessed by immunoblotting. CP, cisplatin.
Aurora-A depletion enhances cisplatin-induced apoptosis in HeLa cells. A, HeLa cells were transfected with the 3XκBL and the pGK-β-galactosidase reporter plasmid together with empty vector. Twenty-four hours after transfection, cells were left untreated or treated with cisplatin (8–25 μmol/L) and luciferase activity was estimated. B, HeLa cells were transfected with the 3XκBL and the pGK-β-galactosidase reporter plasmid together with empty vector, or Aurora-A siRNA. Twenty-four hours after transfection, cells were treated with cisplatin (8 μmol/L) for 24 h and the luciferase activity was assessed as in (A). C, HeLa cells transfected with control siRNA or Aurora-A siRNA were incubated with a range of 0 to 200 μmol/L of cisplatin for 55 h and analyzed with MTT assay. D, HeLa cells were transfected with control or Aurora-A siRNA. Twenty-four hours after transfection, cells were treated with cisplatin for 24 h. PARP cleavage, Bcl-xL, cyclin D1, and p53 were assessed via immunoblotting. Tubulin provides a loading control. E, HeLa cells were transfected with control or Aurora-A siRNA. Twenty-four hours after transfection, cells were treated with cisplatin (8 μmol/L) for 30 min. Levels of Aurora-A and phosphorylated IκBα at Ser32/Ser36 were assessed by immunoblotting. CP, cisplatin.
Discussion
We have identified a novel role for Aurora-A kinase as a regulator of NF-κB signaling. Overexpression of Aurora-A occurs during the early events of carcinogenesis (42) and coincides with the aberrant activation of NF-κB (43). Our data provide new insight into the role of Aurora-A in tumor promotion via induction of the NF-κB survival pathway. Aurora-A is a cell cycle–regulated protein, the protein levels and activity of which oscillate during mitosis (44). Overexpression of both active and kinase-inactive Aurora-A gives rise to multinucleated HeLa cells (24). Overexpression of inactive Aurora-A induces abnormal spindles, leading to prolonged mitosis and cell death (7). In contrast, overexpression of active Aurora-A also induces an abnormal spindle that leads to prolonged mitosis but is accompanied by cell survival. This can be caused by both inactivation of p53 and the induction of antiapoptotic proteins such as Bcl-xL, a transcriptional target of NF-κB. Although the role of NF-κB during mitosis has not been thoroughly investigated, it has been shown to promote survival during mitotic exit (45).
We have shown that the mechanism by which Aurora-A regulates NF-κB is through the IκBα phosphorylation and this is required for full activation of NF-κB. It remains to be determined whether Aurora-A contributes to the activation of the IKK complex by an additional activation of an upstream kinase or by altering IKK complex conformation to cause autoactivation. The possibility that the PI3K/AKT or RAF/mitogen-activated protein kinase pathways were involved in the Aurora-A–dependent NF-κB activation was excluded.
We examined the association between Aurora-A amplification and NF-κB nuclear localization in 44 invasive breast carcinomas. Aurora-A gene amplification was found in 13.6% of the cases, which is in agreement with the prevalence of Aurora-A amplification and 20q copy number gains in medullary carcinomas and invasive ductal cancer (46). Most importantly, in all cases with Aurora-A amplification, neoplastic cells consistently showed NF-κB nuclear expression. p65 nuclear expression was seen in 25 out of 44 cases (56%) analyzed in this series. High levels of NF-κB activation have been previously reported in primary breast tumor specimens, especially in ER-negative/ErbB2-positive (86%) as well as in ER-negative/ErbB2-negative (33%) cases (47). Although elevated levels of this transcription factor in breast tumors have been reported (47, 48), the results herein are the first to show the association between Aurora-A amplification and nuclear NF-κB.
We also validated the potential therapeutic importance of Aurora-A–dependent inhibition of NF-κB. Several chemotherapeutic agents induce NF-κB, leading to the survival of tumor cells. Furthermore, constitutively active NF-κB is found in a variety of tumors that exhibit increased resistance to chemotherapy and this is achieved at least in part by the induction of the multidrug P-glycoproteins which are NF-κB–regulated gene products (49, 50). Aurora-A depletion sensitized HeLa cells to cisplatin-induced apoptosis through suppression of NF-κB antiapoptotic target gene expression. This is consistent with our recent data which showed that Aurora-A inhibition enhanced the efficacy of chemotherapeutic agents and reversed acquired resistance resulting from the activation of NF-κB (51). Our studies not only provide insight into Aurora-A function, but may also be important in the design of therapeutic protocols that involve targeting of either Aurora-A or NF-κB. In NF-κB constitutively active tumors, down-regulation of NF-κB via inhibition of Aurora-A might be useful, leading to the potentiation of standard chemotherapeutic agents.
Note: Supplementary data for this article are available at Cancer Research Online (http://cancerres.aacrjournals.org/).
P. Briassouli and F. Chan contributed equally to this work.
Current address for P. Briassouli: UCSF Comprehensive Cancer Center, Box 0875, 2340 Sutter Street, San Francisco, CA 94143.
Acknowledgments
Grant support: Programme Grants from Breakthrough Breast Cancer and Cancer Research UK (C309/A2187).
The costs of publication of this article were defrayed in part by the payment of page charges. This article must therefore be hereby marked advertisement in accordance with 18 U.S.C. Section 1734 solely to indicate this fact.
We thank R. Hay for plasmids of PK-IκBα constructs; A. Pintzas for AP-1 and c-Jun constructs; Z.J. Chen for the UBE2N (C87A) construct; M. Karin and T. Lawrence for IKKβ−/− MEFs; A. Ashworth, C. Isacke, P. Workman, and all the members of the Cancer Drug Target Discovery Team for critically reading and discussing the manuscript.




