Abstract
The integrin α6β4 has been shown to facilitate key functions of carcinoma cells, including their ability to migrate, invade, and evade apoptosis. The mechanism involved seems to be a profound effect of α6β4 on specific signaling pathways, especially the phosphatidylinositol 3-kinase (PI3K)/Akt pathway. An intimate relationship between α6β4 and growth factor receptors may explain this effect of α6β4 on signaling. Previously, we showed that α6β4 and ErbB-2 can function synergistically to activate the PI3K/Akt pathway. Given that ErbB-2 can activate PI3K only when it heterodimerizes with other members of the epidermal growth factor receptor family, these data imply that other receptors cooperate in this process. Here, we report that α6β4 can regulate the expression of ErbB-3 using several different models and that the consequent formation of an ErbB-2/ErbB-3 heterodimer promotes the α6β4-dependent activation of PI3K/Akt and the ability of this integrin to impede apoptosis of carcinoma cells. Our data also support the hypothesis that α6β4 can regulate ErbB-3 expression at the translational level as evidenced by the findings that α6β4 does not increase ErbB-3 mRNA significantly, and that this regulation is both rapamycin sensitive and dependent on eukaryotic translation initiation factor 4E. These findings provide one mechanism to account for the activation of PI3K by α6β4 and they also provide insight into the regulation of ErbB-3 in carcinoma cells. [Cancer Res 2007;67(4):1645–52]
Introduction
The α6β4 integrin was identified initially as an epithelial-specific integrin, and it was thought that expression of the β4 subunit was limited to cells of epithelial origin (1). Subsequent studies in this direction focused on the role of this integrin in epithelial biology and hemidesmosome organization (2, 3). Prior to these studies, however, Falcioni et al. (4) identified a tumor antigen associated with metastasis (TSP-180) that was shown to be identical to the β4 integrin subunit (5). This work provided the first indication that α6β4 may be linked to tumor spread. Subsequently, other studies revealed that expression of α6β4 persists in some aggressive carcinomas and that its expression may be linked to the behavior of these tumors (6).
A series of articles published by our laboratories provided the first evidence that α6β4 contributes to the functions of carcinoma cells and they elucidated some of the mechanisms involved. Specifically, these studies identified key roles for α6β4 in the migration, invasion, and survival of carcinoma cells (7–9). Studies by several other laboratories have substantiated and extended these findings (10). In fact, there is now compelling evidence that α6β4 may actually be involved in the formation of some carcinomas (11). It is widely assumed that the distinct signaling properties of α6β4 underlie its involvement in these diverse functions of carcinoma cells. Although α6β4 has been reported to activate several key signaling molecules in carcinoma cells, its ability to activate phosphatidylinositol 3-kinase (PI3K) has attracted the most attention, especially with regard to its influence on function.
A critical, unresolved issue is the mechanism by which α6β4 activates PI3K (12). This mechanism is probably not a direct activation of PI3K by α6β4 because the β4 cytoplasmic domain lacks a consensus sequence for binding the p85 regulatory subunit of PI3K. Studies, to date, on the mechanism by which α6β4 activates PI3K have implicated the insulin receptor substrate proteins (IRS-1 and IRS-2), the compartmentalization of α6β4 into membrane microdomains, and its synergistic interaction with specific growth factor receptors (13–15). These mechanisms are not mutually exclusive and the ability of α6β4 to affect growth factor receptor signaling may encompass all of these postulated mechanisms. In this direction, studies by one of our laboratories provided the first evidence that α6β4 may associate with ErbB-2 (16), an orphan receptor of the epidermal growth factor receptor (EGFR) family, on the surface of some breast carcinoma cell lines. Subsequent studies using a 3T3 cell model system showed that both α6β4 and ErbB-2 are required for PI3K activation and the stimulation of chemoinvasion (17). Given that ErbB-2 is thought to function only when it heterodimerizes with other members of the EGFR family, these data imply that other receptors cooperate in this process.
In the current study, we investigated the relationship between α6β4 and ErbB signaling more rigorously, especially in the context of PI3K activation. Specifically, we focused on ErbB-3, which lacks intrinsic protein tyrosine kinase activity but possesses in its cytoplasmic tail six consensus binding sites for the SH2 domain of the p85 regulatory subunit of PI3K (18). Among the EGFR family, the ErbB-2/ErbB-3 heterodimer is the strongest stimulator of the PI3K activity (19) and the overexpression of both proteins promotes breast carcinoma proliferation and survival (20, 21). Our data reveal that α6β4 can regulate the expression of ErbB-3 at the level of protein translation, resulting in a significant induction of ErbB-2/ErbB-3 heterodimerization and consequent activation of PI3K. These findings provide one mechanism to account for the activation of PI3K by α6β4 and they also provide insight into the regulation of ErbB-3 in carcinoma cells.
Materials and Methods
Cell lines. The human breast carcinoma cell lines MDA-MB-435 and MCF7 were obtained from the American Type Culture Collection (Manassas, VA) and maintained in RPMI medium supplemented with 10% FCS (Invitrogen, Milan, Italy). The generation of MDA-MB-435 subclones that express the α6β4 integrin and NIH 3T3 cells that express ErbB-2 and the α6β4 integrin has previously been described (12, 17). The generation of MCF7 scrambled short hairpin RNA (scr-shRNA) and MCF7/β4 shRNA cell subclones that endogenously express α6β4 integrin or are depleted for the expression of α6β4 integrin has previously been described (22). The rat bladder epithelial cell line 804G was kindly donated by Dr. G. Meneguzzi (Faculty of Medicine, Institut National de la Santé et de la Recherche Médicale U634, Nice, France).
Reagents. The β4 antibodies (439-9B and 450-11A), the α6 antibody (135-13C), and the ErbB-2 antibody (W6/100) were prepared as described (16, 17). The antibody W6/100 was used for immunoprecipitation experiments. The ErbB-2 antibodies (clone 3B5 and Ab-1) were purchased from BD PharMingen and Oncogene (Milan, Italy) and used in Western blot experiments. The immunoprecipitation experiments were also done with the anti–ErbB-2 (clone 9G6) from Oncogene. The rabbit ErbB-3 antibody (C17) was obtained from Santa Cruz Biotechnology (Milan, Italy). The eukaryotic translation initiation factor 4E (eIF-4E), 4E-BP1, Akt, and phospho-Akt(Ser473) antibodies and the signal transducer and activator of transcription 1 (Stat-1) antibody were purchased from Cell Signaling (Milan, Italy). The α-tubulin (TU-01), actin (JLA20), and heat shock protein 70 (Hsp70; N27F3-4) antibodies were purchased from BD Biosciences, Immunological Sciences, and Stressgen (Milan, Italy), respectively. FITC- and peroxidase-conjugated immunoglobulin antibodies were purchased from Bio-Rad (Milan, Italy).
A laminin 5–enriched matrix was prepared from 804G cells as previously described (23). In brief, confluent 804G cells in either 100-mm dishes or 96-well plates were washed in sterile PBS and detached from the underlying laminin 5–enriched matrix by treatment for 10 min in 20 mmol/L NH4OH at 4°C and subsequent washing thrice with sterile PBS. Poly-l-lysine (Calbiochem, Milan, Italy) was used as control matrix at a concentration of 10 μg/mL.
RNA interference and antisense experiments. To diminish ErbB-3 expression, MCF7 parental cells and MDA-MB-435/β4 cells were transiently transfected with the Transit-TKO reagent (Mirus, Madison, WI) with either an ErbB-3 small interfering RNA (siRNA; 5′-GCUCUACGAGAGGUGUGAGTT-3′ and 5′-CUCACACCUCUCGUAGAGCTT-3′) or a control siRNA (5′-GCGCGCAACUCUACCUCUATT-3′ and 5′-UAGAGGUAGAGUUGCGCGCTT-3′). These oligonucleotides were synthesized by Oligoengine, Inc. (Seattle, WA). The cells were transfected with TKO reagent in the presence of serum following the manufacturer's protocol.
To diminish eIF-4E expression, cells were transiently transfected using Lipofectamine (Invitrogen) with the PG-eIF-4E vector (Promega Biotech, Milan, Italy) that carries the sense and antisense oligonucleotides as previously described (24).
Reverse transcription-PCR. Total RNA was prepared from MDA-MB-435/Mock, MDA-MB-435/β4, MCF7/scr-shRNA, and MCF7/β4 shRNA cells using RNAzol B according to the manufacturer's procedure (Invitrogen). Reverse transcription-PCR for analysis ErbB-3 mRNA expression was carried out with the following specific primers synthesized by Invitrogen: forward, 5′-GGTGCTGGGCTTGCTTTT-3′; reverse, 5′-CGTGGCTGGAGTTGGTGTTA-3′. Amplified PCR products were electrophoresed on an agarose gel containing ethidium bromide (0.5 μg/mL) and visualized under UV light.
Cell treatments. MCF7/scr and MCF7/siErbB-3 cells were serum starved for 24 h. The cells were detached with trypsin and spread onto a laminin 5–enriched matrix for 20 min. Then, the cells were washed with cold PBS and extracted in SDS buffer [1% SDS, 10% glycerol, 137 mmol/L NaCl, 20 mmol/L Tris-HCl (pH 7.4), 50 mmol/L NaF, 1 mmol/L phenylmethylsulfonyl fluoride (PMSF), 5 mmol/L Na3VO4, 50 mmol/L protease inhibitors (Sigma-Aldrich, Milan, Italy)]. Recombinant human heregulin β1 (HRG-β1; 10 ng/mL; R&D Systems, Milan, Italy) was added to the cells that had been serum deprived for 24 h. After 20 min of stimulation, the cells were washed with cold PBS and extracted in NP40 buffer [1% NP40, 10% glycerol, 137 mmol/L NaCl, 20 mmol/L Tris-HCl (pH 7.4), 50 mmol/L NaF, 1 mmol/L PMSF, 5 mmol/L Na3VO4, protease inhibitors]. To induce ErbB-2/ErbB-3 heterodimerization, the cells were stimulated with HRG-β1 for 10 min before lysis. MDA-MB-435/mock and MDA-MB-435/β4 cells were plated at a concentration of 1.5 × 106 per 100-mm dish. The next day, the medium was replaced with serum-free medium in the presence of rapamycin 50 nmol/L (Calbiochem) for 30 and 60 min. Then, the cells were washed in PBS and extracted in radioimmunoprecipitation assay buffer [50 mmol/L Tris-HCl (pH 8), 150 mmol/L NaCl, 1% NP40, 0.1% deoxycholate, 0.1% SDS, 1 mmol/L PMSF, 5 mmol/L Na3VO4, 50 mmol/L protease inhibitors].
Apoptosis assay. The MDA-MD 435/β4/scr, MDA-MB-435/β4/siErbB-3, MCF7/scr, and MCF7/siErbB-3 cells were serum starved for 24 h. For Annexin V staining, 1 × 106 cells were washed with PBS, centrifuged, and resuspended in 100 μL of Annexin V-FITC labeling solution (Boehringer, Milan, Italy) in the presence of propidium iodide and incubated for 15 min. After washing, the cells were incubated in SA-FLUOS solution for 20 min at 4°C, centrifuged, washed, and analyzed by fluorescence-activated cell sorting (FACS).
Flow cytometry. To assess ErbB-3 surface expression, cells were harvested using citrate saline buffer (0.134 mol/L KCl, 0.015 mol/L Na citrate) and washed twice with cold PBS containing 0.002% EDTA and 10 mmol/L NaN3. Samples (1 × 106) cells were incubated for 1 h at 4°C with saturating concentrations of primary antibody diluted in PBS containing 0.5% bovine serum albumin (BSA). Cells were then washed with PBS containing 0.5% BSA and incubated for 1 h at 4°C with 50 μL of FITC-conjugated secondary antibody [F(ab′)2; Cappel, West Chester, PA] diluted 1:20 in PBS/BSA. After washing, cell suspensions were analyzed with a flow cytometer (Epics XL analyzer, Coulter Corp., Miami, FL) after addition of 5 μL of a 1 mg/mL solution of propidium iodide to exclude nonviable cells. At least 1 × 104 cells per sample were analyzed.
Immunoprecipitation and Western blot analysis. Total cell lysates from MCF7/scr and MCF7/β4 cells were immunoprecipitated with anti–ErbB-2 antibody (clone W6/100) and protein A from Pierce (Milan, Italy). Total protein and immunocomplexes were separated by 8% SDS-PAGE and transferred to nitrocellulose. The proteins were detected by Western blot analysis with anti–ErbB-2 (clone 3B5) and anti–ErbB-3 (clone C-17) antibodies, respectively. Extracts from the cell populations described in the figure legends were separated by SDS-PAGE, transferred to nitrocellulose, and probed with the antibodies described above. Total cell lysates from NIH 3T3 clones were immunoprecipitated with an α6 antibody and probed with a β4 antibody.
PI3K activity. To assay PI3K activity, the cells were lysed after serum starvation for 24 h, and aliquots of cell extracts containing equivalent amounts of protein were subjected to a PI3K assay as previously described (17). The phosphorylated lipids were resolved on TLC plates (Merck, Darmstadt, Germany) and subjected to autoradiography.
Results
Expression of α6β4 integrin enhances ErbB-3 expression. We assessed the hypothesis that the functional relationship between the α6β4 integrin and ErbB-2 involves other members of the EGFR family, especially ErbB-3. To address this hypothesis initially, we used stable transfectants of MDA-MB-435 cells that express the α6β4 integrin (12). As shown in Fig. 1A, expression of β4 integrin in these cells results in a marked induction of ErbB-3 expression. This relationship between α6β4 and ErbB-3 was also evaluated in breast carcinoma cells that express endogenous α6β4 and ErbB-3 using shRNA. Specifically, β4 shRNA depleted β4 expression, as well as ErbB-3 expression, in MCF7 cells (Fig. 1B). In contrast, expression of Hsp70 was not affected by the β4 shRNA. Importantly, no effect of α6β4 on ErbB-2 expression was evident in any of our experiments (Figs. 3A–B and 4B).
α6β4 integrin enhances ErbB-3 expression. Detergent extracts obtained from MDA-MB-435 mock and β4-transfected cells (A); MCF7 scr-shRNA and β4 shRNA cells (B); and NIH 3T3/ErbB-2, NIH 3T3/ErbB-2/β4L, NIH 3T3/ErbB-2/β4 wild-type, NIH 3T3 parental, and NIH 3T3/β4 cells (C) were separated by SDS-PAGE and total cell lysates were immunoprecipitated with an α6 antibody and immunoblotted with a β4 antibody (top rows) or with ErbB-2 and ErbB-3 antibodies (middle rows). Antibodies specific for Stat-1, Hsp70, and actin were used to validate equivalent amounts of protein in each lane (bottom rows). D, FACS analysis of endogenous α6 and exogenous β4L expression in NIH 3T3 cells.
α6β4 integrin enhances ErbB-3 expression. Detergent extracts obtained from MDA-MB-435 mock and β4-transfected cells (A); MCF7 scr-shRNA and β4 shRNA cells (B); and NIH 3T3/ErbB-2, NIH 3T3/ErbB-2/β4L, NIH 3T3/ErbB-2/β4 wild-type, NIH 3T3 parental, and NIH 3T3/β4 cells (C) were separated by SDS-PAGE and total cell lysates were immunoprecipitated with an α6 antibody and immunoblotted with a β4 antibody (top rows) or with ErbB-2 and ErbB-3 antibodies (middle rows). Antibodies specific for Stat-1, Hsp70, and actin were used to validate equivalent amounts of protein in each lane (bottom rows). D, FACS analysis of endogenous α6 and exogenous β4L expression in NIH 3T3 cells.
The data obtained above were substantiated using an NIH 3T3 cell model system. These cells express neither α6β4 nor ErbB-2, and they express a minimal amount of ErbB-3. We previously reported that expression of both α6β4 and ErbB-2 in these cells is necessary to activate the PI3K/Akt pathway (17). Based on our hypothesis, we predicted that the expression of these receptors would also result in the consequent expression of ErbB-3. Indeed, expression of both α6β4 and ErbB-2 resulted in a substantial increase in ErbB-3 expression (Fig. 1C). Expression of ErbB-2 alone or in combination with a cytoplasmic deletion mutant of β4 resulted in only a marginal increase in ErbB-3 expression (Fig. 1C). The expression of the wild-type β4 subunit in the absence of ErbB-2 did not increase ErbB-3 expression (Fig. 1C). We also confirmed heterodimerization between the endogenous α6 integrin and the exogenous β4 subunits in both parental and ErbB-2–expressing NIH 3T3 cells (Fig. 1C,, top). The expression of the α6 subunit and the β4 subunit with a deleted cytoplasmic domain (β4L) was assessed by FACS analysis (Fig. 1D). The NIH 3T3 clones we used express comparable levels of endogenous α6 subunit (data not shown).
The survival function of α6β4 is dependent on ErbB-3. A key function of α6β4 is to protect carcinoma cells from apoptotic stimuli such as growth factor or hormone deprivation (22, 25). To investigate whether the survival function of α6β4 is dependent on ErbB-3, we examined the effect of reducing ErbB-3 expression in α6β4-expressing carcinoma cells on their survival in serum-deprived conditions. As shown in Fig. 2A, the transfection of MDA-MB-435/β4 cells with an ErbB-3 siRNA resulted in a 3.5-fold reduction in ErbB-3 expression. As evidence for a role of ErbB-3 in α6β4-mediated survival, we observed that ErbB-3 siRNA–transfected MDA-MB-435/β4 cells exhibited a 2.5-fold increase in Annexin V positivity compared with cells transfected with a scrambled control siRNA. Likewise, a 2-fold increase in cell death, as assessed by propidium iodide staining, was observed in MDA-MB-435/β4 cells after transfection with ErbB-3 siRNA. To show that the survival function of α6β4 in cells that endogenously express this integrin is dependent on ErbB-3, we transfected MCF7 cells with an ErbB-3 siRNA. ErbB-3 siRNA transfectants exhibited a 2.2-fold increase in Annexin V positivity, as well as propidium iodide positivity, indicating a distinct role for ErbB-3 in impeding apoptotic death (Fig. 2B).
α6β4 survival function is dependent on ErbB-3. A, α6β4-expressing MDA-MB-435 cells were transiently transfected for 48 h with either ErbB-3–specific or scrambled siRNAs. Subsequently, the cells were serum starved for 24 h and ErbB-3 surface expression was evaluated by flow cytometry. Apoptosis was assessed with Annexin V-FITC and propidium iodide (PI). B, MCF7 cells were transfected transiently for 48 h with either ErbB-3–specific or scrambled siRNAs. After serum starvation for 24 h, total cell proteins were extracted, then the indicated amount of protein was resolved by SDS-PAGE and immunoblotted with ErbB-3– and ErbB-2–specific antibodies (top). Bottom, apoptosis was assessed by Annexin V-FITC and propidium iodide staining in cells that expressed either ErbB-3 or scrambled siRNA. A Stat-1 antibody was used to validate equivalent loading of protein in each lane.
α6β4 survival function is dependent on ErbB-3. A, α6β4-expressing MDA-MB-435 cells were transiently transfected for 48 h with either ErbB-3–specific or scrambled siRNAs. Subsequently, the cells were serum starved for 24 h and ErbB-3 surface expression was evaluated by flow cytometry. Apoptosis was assessed with Annexin V-FITC and propidium iodide (PI). B, MCF7 cells were transfected transiently for 48 h with either ErbB-3–specific or scrambled siRNAs. After serum starvation for 24 h, total cell proteins were extracted, then the indicated amount of protein was resolved by SDS-PAGE and immunoblotted with ErbB-3– and ErbB-2–specific antibodies (top). Bottom, apoptosis was assessed by Annexin V-FITC and propidium iodide staining in cells that expressed either ErbB-3 or scrambled siRNA. A Stat-1 antibody was used to validate equivalent loading of protein in each lane.
ErbB-3 facilitates Akt activation by α6β4. The ability of the α6β4 integrin to activate the PI3K/Akt pathway is well documented and it underlies many of the functions attributed to this integrin in carcinoma cells (12, 17, 25–27). Given that ErbB-2 lacks the intrinsic ability to activate PI3K because it does not contain p85 binding sites, a logical hypothesis is that the ability of α6β4 to activate the PI3K/Akt pathway is linked to its regulation of ErbB-3. Indeed, as shown in Fig. 3A, expression of α6β4 in MDA-MB-435 cells results in a significant increase in Akt activation, as assessed by Ser473 phosphorylation, as well as induction of ErbB-3 expression. To evaluate the contribution of ErbB-3 to α6β4-mediated Akt activation, an ErbB-3 siRNA was expressed in these cells as described above, which caused a marked diminution of ErbB-3 expression (Fig. 3A). Importantly, this reduction in ErbB-3 expression diminished Akt activation. These data support the hypothesis that ErbB-3 is necessary for the ability of α6β4 to activate Akt in these cells. Of note, neither expression of α6β4 nor loss of ErbB-3 expression influenced the expression of ErbB-2 in these cells (Fig. 3A).
The α6β4 stimulation of Akt activation is dependent on ErbB-3. A, mock and α6β4-expressing MDA-MB-435 cells were transiently transfected for 48 h with either ErbB-3–specific or scrambled siRNAs. The cells were then serum starved for 24 h and extracted in detergent. Equivalent amounts of protein were separated by SDS-PAGE and analyzed by immunoblotting to evaluate the relative expression of ErbB-3, ErbB-2, and phospho-Akt (P-Akt). Hsp70 and Akt antibodies were used to validate equivalent loading of protein in each lane. B, MCF7 cells were transiently transfected for 48 h with either ErbB-3–specific or scrambled siRNAs and then serum starved for 24 h. Subsequently, the cells were plated on either laminin 5 (LM5) or poly-l-lysine for the indicated time. Equivalent amounts of protein were resolved by SDS-PAGE and analyzed by immunoblotting to evaluate the relative expression of ErbB-3, ErbB-2, and phospho-Akt. Hsp70 and Akt antibodies were used to validate equivalent loading of protein in each lane. The relative level of phospho-Akt to total Akt was assessed by densitometry using the NIH Image program and this ratio is provided under the phospho-Akt bands for each immunoblot.
The α6β4 stimulation of Akt activation is dependent on ErbB-3. A, mock and α6β4-expressing MDA-MB-435 cells were transiently transfected for 48 h with either ErbB-3–specific or scrambled siRNAs. The cells were then serum starved for 24 h and extracted in detergent. Equivalent amounts of protein were separated by SDS-PAGE and analyzed by immunoblotting to evaluate the relative expression of ErbB-3, ErbB-2, and phospho-Akt (P-Akt). Hsp70 and Akt antibodies were used to validate equivalent loading of protein in each lane. B, MCF7 cells were transiently transfected for 48 h with either ErbB-3–specific or scrambled siRNAs and then serum starved for 24 h. Subsequently, the cells were plated on either laminin 5 (LM5) or poly-l-lysine for the indicated time. Equivalent amounts of protein were resolved by SDS-PAGE and analyzed by immunoblotting to evaluate the relative expression of ErbB-3, ErbB-2, and phospho-Akt. Hsp70 and Akt antibodies were used to validate equivalent loading of protein in each lane. The relative level of phospho-Akt to total Akt was assessed by densitometry using the NIH Image program and this ratio is provided under the phospho-Akt bands for each immunoblot.
Given that the α6β4 integrin is a receptor for the laminins, including laminin 5, and that ligation of α6β4 by laminins can enhance PI3K/Akt signaling, we assessed the role of ErbB-3 in ligand-induced Akt activation by α6β4. The attachment of MCF7 cells to laminin 5 for 30 min resulted in a strong stimulation of Akt activity in comparison with cells plated on poly-l-lysine (Fig. 3B). This robust activation of Akt by laminin-5 attachment was reduced by ∼80% in MCF7 cells with diminished ErbB-3 expression (Fig. 3B). After 60 min of laminin-5 attachment, however, the activation of Akt in MCF7 scr cells diminished to the basal level and, in siErbB-3 cells, it was almost abrogated. A significant effect of α6β4 ligation on either ErbB-3 or ErbB-2 expression was not observed under these conditions.
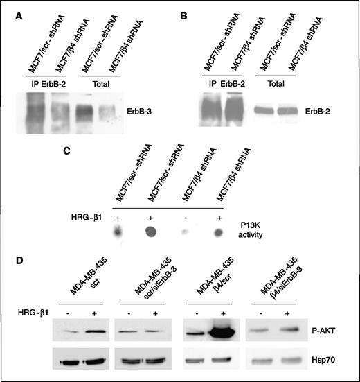
The ability of heregulin to induce ErbB-2/ErbB-3 heterodimerization and stimulate Akt activation is influenced by α6β4. Although ErbB-3 protein has six binding sites to recruit p85, the regulatory subunit of PI3K, its cytoplasmic tail does not have kinase activity and it requires other members, such as ErbB-2 or EGFR, to activate the PI3K/Akt pathway (28). Heregulin is a ligand for ErbB-3 that induces ErbB-2/ErbB-3 heterodimerization (29). As shown in Fig. 4A, HRG-β1 enhanced the heterodimerization of ErbB-2/ErbB-3 in MCF7 cells as assessed by coimmunoprecipitation. However, heterodimerization was significantly reduced in cells that expressed the β4 shRNA because ErbB-3 expression was diminished. As mentioned above, loss of β4 expression had no effect on ErbB-2 expression in these cells (Fig. 4B). We also evaluated whether the increase of ErbB-2/ErbB-3 heterodimerization could affect PI3K activity. To this end, total cell lysates from MCF7 scr-shRNA and β4 shRNA cells were tested for PI3K activity in the presence or absence of HRG-β1 stimulation. As shown in Fig. 4C, HRG-β1 stimulation of MCF7 scr cells resulted in a much more robust activation of PI3K than did stimulation of MCF7/β4 shRNA (Fig. 4C). Moreover, the basal level of PI3K activity in MCF7 cells that expressed β4 shRNA was abrogated in the absence of HRG-β1 stimulation (Fig. 4C).
HRG-β1–dependent ErbB-2/ErbB-3 heterodimerization and Akt activation are influenced by α6β4 integrin. A, MCF7 scr and β4 shRNA cells were serum starved for 24 h. Subsequently, the cells were stimulated with HRG-β1 for 10 min, washed, and extracted with detergent. Equivalent amounts of protein were incubated with a bead-conjugated ErbB-2 antibody. Immunocomplexes and aliquots of total cell extracts were separated by SDS-PAGE and analyzed by immunoblotting with an ErbB-3 antibody. B, the immunocomplexes and aliquots of total cell extracts were also analyzed by immunoblotting with an ErbB-2 antibody. C, aliquots of cell extracts derived from MCF7 scr and β4 shRNA cells stimulated with HRG-β1, as described above, and lysates containing equivalent amount of protein were subjected to a PI3K assay. The phosphorylated lipids were resolved by TLC. D, MDA-MB-435 parental and α6β4-expressing cells were transiently transfected for 48 h with either ErbB-3–specific or scrambled siRNAs and then serum starved for 24 h. Subsequently, the cells were stimulated with HRG-β1 for 20 min, washed, and extracted. Equivalent amounts of protein were separated by SDS-PAGE and analyzed by immunoblotting to evaluate the relative expression of phospho-Akt. An Hsp70 antibody was used to validate equivalent amounts of protein in each lane.
HRG-β1–dependent ErbB-2/ErbB-3 heterodimerization and Akt activation are influenced by α6β4 integrin. A, MCF7 scr and β4 shRNA cells were serum starved for 24 h. Subsequently, the cells were stimulated with HRG-β1 for 10 min, washed, and extracted with detergent. Equivalent amounts of protein were incubated with a bead-conjugated ErbB-2 antibody. Immunocomplexes and aliquots of total cell extracts were separated by SDS-PAGE and analyzed by immunoblotting with an ErbB-3 antibody. B, the immunocomplexes and aliquots of total cell extracts were also analyzed by immunoblotting with an ErbB-2 antibody. C, aliquots of cell extracts derived from MCF7 scr and β4 shRNA cells stimulated with HRG-β1, as described above, and lysates containing equivalent amount of protein were subjected to a PI3K assay. The phosphorylated lipids were resolved by TLC. D, MDA-MB-435 parental and α6β4-expressing cells were transiently transfected for 48 h with either ErbB-3–specific or scrambled siRNAs and then serum starved for 24 h. Subsequently, the cells were stimulated with HRG-β1 for 20 min, washed, and extracted. Equivalent amounts of protein were separated by SDS-PAGE and analyzed by immunoblotting to evaluate the relative expression of phospho-Akt. An Hsp70 antibody was used to validate equivalent amounts of protein in each lane.
We also determined the influence of α6β4 on the ability of HRG-β1 to activate Akt using the MDA-MB-435/scr and β4 transfectants. Heregulin stimulation of MDA-MB-435/β4 transfectants resulted in a significant increase in Akt phosphorylation in comparison with the untreated cells (Fig. 4D). Interestingly, expression of siErbB-3 in MDA-MB-435/β4 transfectants strongly reduced Akt activation on HRG-β1 stimulation to the same level in the absence of stimulation (Fig. 4D). In contrast, parental MDA-MB-435 cells exhibit only a weak increase of Akt phosphorylation after HRG-β1 stimulation, which is diminished with siErbB-3. These data substantiate the hypothesis that the α6β4-dependent regulation of ErbB-3 expression facilitates heregulin signaling in this system through PI3K.
Evidence that α6β4 regulates ErbB-3 translation. The data reported in Figs. 1–4 indicate that α6β4 can regulate the expression of ErbB-3 protein in several model systems, and they raise the important issue of the mechanism involved. To begin to address this issue, we assessed the expression of ErbB-3 protein to verify whether α6β4 may regulate ErbB-3 expression at the translational level. This possibility is substantiated by our previous study showing that α6β4 can regulate the activity of eIF-4E and the mammalian target of rapamycin (mTOR)–dependent expression of vascular endothelial growth factor (VEGF; ref. 30). For this reason, we used an antisense eIF-4E oligonucleotide to reduce expression of this factor in both MDA-MB-435/β4 transfectants and MCF7 cells. Expression of this antisense oligonucleotide in both cell types caused a reduction in ErbB-3 expression in comparison with cells that expressed the sense oligonucleotide (Fig. 5A and B).
α6β4 stimulates eIF-4E–dependent ErbB-3 expression. MDA-MB-435/β4 cells (A) and MCF7 parental cells (B) were transiently transfected with either an eIF-4E antisense oligo–expressing vector or a control vector expressing eIF-4E in the sense orientation. The relative expression of ErbB-3 and eIF-4E was assessed by immunoblotting. Stat-1 and Hsp70 antibodies were used to validate equivalent amounts of protein in each lane.
α6β4 stimulates eIF-4E–dependent ErbB-3 expression. MDA-MB-435/β4 cells (A) and MCF7 parental cells (B) were transiently transfected with either an eIF-4E antisense oligo–expressing vector or a control vector expressing eIF-4E in the sense orientation. The relative expression of ErbB-3 and eIF-4E was assessed by immunoblotting. Stat-1 and Hsp70 antibodies were used to validate equivalent amounts of protein in each lane.
Additional evidence to support the involvement of α6β4 in regulating the translation of ErbB-3 was obtained using rapamycin, which is an inhibitor of the mTOR kinase (31). Treatment of MDA-MB-435 cells with 50 nmol/L rapamycin prevented the increase in ErbB-3 that results from expression of α6β4 in these cells (Fig. 6A). Rapamycin treatment also inhibited the phosphorylation of Akt in MDA-MB-435/β4 cells (Fig. 6A). This result supports a positive feedback loop in which ErbB-3 expression facilitates Akt activation by α6β4 (Fig. 6C).
α6β4-mediated expression of ErbB-3 is rapamycin sensitive and requires ErbB-3 itself. A, mock and α6β4-expressing MDA-MB-435 cells were plated at a concentration of 1.5 × 106 per 100-mm dish. The next day, the medium was replaced with serum-free medium in the presence of rapamycin (50 nmol/L) for the indicated times. Subsequently, detergent extracts were analyzed by immunoblotting to evaluate ErbB-3 expression and phospho-Akt. An Hsp70 antibody was used to validate equivalent amounts of protein in each lane. B, mock and α6β4-expressing MDA-MB-435 cells were transiently transfected for 48 h with either ErbB-3–specific or scrambled siRNAs. After serum starvation for 24 h, cells were extracted and equivalent amounts of proteins were resolved by SDS-PAGE. The expression of ErbB-3, phospho-Akt, and phospho-4E-BP1 was assessed by immunoblotting. An Hsp70 antibody was used to validate equivalent amounts of protein in each lane. C, schematic model that depicts the regulation of ErbB-3 expression by the α6β4 integrin in ErbB-2–positive breast cancer cells. The cooperation between α6β4 integrin and ErbB-2 activates PI3K/Akt. The initial activation of PI3K/Akt by α6β4 integrin activates mTOR, which stimulates the phosphorylation and inactivation of 4E-BP1 and a consequent increase in ErbB-3 translation. The resulting ErbB-2/ErbB-3 heterodimer amplifies PI3K/Akt signaling, which creates a positive feedback loop.
α6β4-mediated expression of ErbB-3 is rapamycin sensitive and requires ErbB-3 itself. A, mock and α6β4-expressing MDA-MB-435 cells were plated at a concentration of 1.5 × 106 per 100-mm dish. The next day, the medium was replaced with serum-free medium in the presence of rapamycin (50 nmol/L) for the indicated times. Subsequently, detergent extracts were analyzed by immunoblotting to evaluate ErbB-3 expression and phospho-Akt. An Hsp70 antibody was used to validate equivalent amounts of protein in each lane. B, mock and α6β4-expressing MDA-MB-435 cells were transiently transfected for 48 h with either ErbB-3–specific or scrambled siRNAs. After serum starvation for 24 h, cells were extracted and equivalent amounts of proteins were resolved by SDS-PAGE. The expression of ErbB-3, phospho-Akt, and phospho-4E-BP1 was assessed by immunoblotting. An Hsp70 antibody was used to validate equivalent amounts of protein in each lane. C, schematic model that depicts the regulation of ErbB-3 expression by the α6β4 integrin in ErbB-2–positive breast cancer cells. The cooperation between α6β4 integrin and ErbB-2 activates PI3K/Akt. The initial activation of PI3K/Akt by α6β4 integrin activates mTOR, which stimulates the phosphorylation and inactivation of 4E-BP1 and a consequent increase in ErbB-3 translation. The resulting ErbB-2/ErbB-3 heterodimer amplifies PI3K/Akt signaling, which creates a positive feedback loop.
Given that the PI3K/Akt pathway is necessary for mTOR activation and our finding that ErbB-2/ErbB-3 mediates the α6β4-dependent activation of this pathway in the cells we examined, it follows that ErbB-3 contributes to the regulation of its own expression in a positive feedback loop. To test this hypothesis, we focused on the role of ErbB-3 in the phosphorylation of 4E-BP1. This is a key event in the regulation of protein translation because the phosphorylation of 4E-BP1 by mTOR disrupts the interaction between 4E-BP1 and eIF-4E, enabling eIF-4E to initiate translation (32, 33). As shown in Fig. 6B, expression of α6β4 in MDA-MB-435 cells resulted in a marked induction of 4E-BP1 phosphorylation consistent with our previous results (30). Importantly, however, this induction of 4E-BP1 phosphorylation was ablated in cells that expressed the ErbB-3 siRNA. As expected, the ablation of 4E-BP1 phosphorylation in MDA-MB-435/β4/siErbB-3 cells correlates with a decrease in Akt phosphorylation (Fig. 6B). Our finding that α6β4 can regulate the translation of ErbB-3 protein through the PI3K/Akt activity and mTOR pathway provides one mechanism to account for the role of this integrin in tumor survival (Fig. 1C).
Discussion
It is widely assumed that the distinct signaling properties of the α6β4 integrin account for its ability to enhance functions associated with carcinoma progression such as invasion and resistance to apoptotic stimuli (22, 34). In this study, we highlight a novel mechanism by which α6β4 can effect activation of the PI3K/Akt pathway. This mechanism involves the ability of α6β4 to regulate the expression of ErbB-3, and we provide evidence that this regulation occurs at the level of protein translation. The increase in ErbB-2/ErbB-3 heterodimer formation that occurs as a consequence stimulates Akt activity. Indeed, the ability of heregulin, a ErbB-3 ligand, to stimulate PI3K/Akt activity is enhanced markedly in cells that express α6β4. Moreover, our data implicate ErbB-3 in the reported ability of α6β4 to protect carcinoma cells from apoptotic stimuli (30). Although previous studies implicated α6β4 in the facilitation of growth factor receptor signaling (6, 9), ours is the first study to show that this integrin can promote such signaling by regulating the expression of a specific growth factor receptor.
The data reported here are a direct extension of our previous work that showed an interaction between α6β4 and ErbB-2 in breast carcinoma cell lines and revealed the necessity of ErbB-2 for the α6β4-dependent activation of the PI3K/Akt pathway and for α6β4-mediated functions such as invasion and survival (12, 16, 17, 30). Given that ErbB-2 is thought to function only when it heterodimerizes with other members of the EGFR family (35), the “missing link” in our previous studies was the identification of an ErbB-2 heterodimer that facilitates α6β4-dependent functions. Clearly, ErbB-3 is one EGFR family member that can serve in this capacity, a finding that is highly relevant because both the ErbB-2/ErbB-3 heterodimer (36, 37) and α6β4 (22, 34) have been implicated in breast cancer progression and metastasis. It is also worth noting that ours is the first study to implicate ErbB-3 directly in the survival of breast carcinoma cells.
Our conclusion that α6β4 can regulate ErbB-3 expression and promote ErbB-2/ErbB-3 heterodimer formation and signaling is based on evidence obtained from carcinoma cells that express endogenous α6β4 and ErbB-2/ErbB-3, carcinoma cells that lack expression of either α6β4 or ErbB-3, as well as a 3T3 cell model system. The inference could be made from these results that all breast carcinoma cells that express α6β4 also express ErbB-3 and, conversely, that all breast carcinoma cells that express ErbB-3 also express α6β4. Most likely, however, the correlation between α6β4 and ErbB-3 expression is not absolute and other factors influence the expression of these receptors. For example, MDA-MB-231 cells express α6β4 but not ErbB-3. A likely explanation for this observation is that these cells express the Nrdp1 ubiquitin ligase that promotes ErbB-3 degradation (38). Interestingly, these cells, unlike the cells examined in this study, express EGFR, raising the possibility that EGFR may promote α6β4 signaling in some breast carcinoma cells. Further studies are needed to assess coordinate expression of α6β4 and EGFR family members in different types and stages of human breast cancers.
An important observation is that α6β4 can regulate the translation of ErbB-3 as evidenced by the findings that α6β4 regulates ErbB-3 protein expression, which is dependent on eIF-4E and sensitive to rapamycin. This conclusion is buttressed by our previous study showing that α6β4 can stimulate mTOR activation and 4E-BP1 phosphorylation in breast carcinoma cells, resulting in increased VEGF translation (30). In the context of our current data, it is interesting to note that ErbB-2/ErbB-3 heterodimers are potent stimulators of VEGF expression in endothelial cells (39). Given our previous work indicating that VEGF is an autocrine survival factor for breast carcinoma cells (30), it is worth considering the possibility that α6β4-mediated ErbB-2/ErbB-3 signaling promotes breast carcinoma survival by elevating VEGF expression.
The hypothesis can be formulated based on our past and current results that the ability of α6β4 to enhance the translation of key growth factors and receptors underlies the contribution of this integrin to carcinoma biology. In a recent test of this hypothesis, we observed that ablation of α6β4 expression by shRNA in an aggressive and metastatic breast carcinoma cell line significantly impaired the ability of these cells to form xenograft tumors (34) and it also resulted in a marked reduction in VEGF expression in tumors that did form. Reexpression of β4 in these β4 shRNA cells restored both VEGF expression and tumor formation (34). It will be informative to assess α6β4-dependent ErbB-3 expression in a similar fashion.
Insight into the mechanism by which α6β4 can activate the PI3K/Akt pathway is provided by our data. This mechanism is probably not a direct activation of PI3K by α6β4 because the β4 cytoplasmic domain lacks a consensus sequence for binding the p85 regulatory subunit of PI3K. Possible mechanisms that have been proposed include the involvement of insulin receptor substrate proteins (IRS-1 and IRS-2), which contain multiple PI3K binding motifs and are tyrosine phosphorylated and bind to PI3K on ligation of α6β4 (13). In addition, the compartmentalization of α6β4 into lipid rafts may facilitate interactions with tyrosine kinases that can activate PI3K (40). Our results indicate that the activation of PI3K/Akt by α6β4 can be indirect and occur through the α6β4-dependent regulation of ErbB-3 and the formation of an ErbB-2/ErbB-3 heterodimer that promotes PI3K/Akt activation. This mechanism is attractive because ErbB-3 contains six consensus binding sites for the SH2 domain of p85 (18), the ErbB-2/ErbB-3 heterodimer is known to be a very potent stimulator of PI3K activity (19), and this heterodimer is frequently expressed in breast cancer (36). Nonetheless, a more direct activation of PI3K/Akt by α6β4 must occur if we assume that the PI3K/Akt pathway is involved in the regulation of protein (ErbB-3) translation. The increase in ErbB-3 expression that does occur in response to α6β4, however, would enhance and sustain PI3K/Akt signaling in a positive feedback mode. Our data, in fact, support this model. As shown in Fig. 6B, expression of α6β4 in MDA-MB-435 cells stimulates the phosphorylation of 4E-BP1, a key event in the regulation of protein translation, but this phosphorylation is inhibited dramatically by the expression of an siRNA for ErbB-3. A conclusion can be drawn from these data that ErbB-3 facilitates its own expression because of its ability to heterodimerize with ErbB-2 and enhance PI3K/Akt activation in this positive feedback mode.
In summary, the data we report substantiate the hypothesis that the function and signaling properties of the α6β4 integrin in breast carcinoma cells are intimately associated with the EGFR family. These data also support the possibility that the effect of α6β4 on the functions of carcinoma cells is mediated, in part, by the ability of this integrin to enhance the translation of key growth factors and growth factor receptors.
Acknowledgments
Grant support: Italian Association for Cancer Research and Ministero della Salute (R. Falcioni) and NIH grants CA80789 (A.M. Mercurio) and CA93855 (R.E. Bachelder). G. Bon is recipient of a fellowship from Federazione Italiana Ricerca sul Cancro (FIRC).
The costs of publication of this article were defrayed in part by the payment of page charges. This article must therefore be hereby marked advertisement in accordance with 18 U.S.C. Section 1734 solely to indicate this fact.
We thank Oreste Segatto, Sergio Anastasi, and John Koland for valuable discussion; and Xuena Lin, Melissa Wendt, Selene Di Carlo, and Stefano Iacovelli for their contributions to this work.





