Abstract
An increase in the activity of mitogen-activated protein kinase (MAPK) has been correlated with the progression of prostate cancer to advanced disease in humans. The serine/threonine protein kinase p90-kDa ribosomal S6 kinase (RSK) is an important downstream effector of MAPK but its role in prostate cancer has not previously been examined. Increasing RSK isoform 2 (RSK2) levels in the human prostate cancer line, LNCaP, enhanced prostate-specific antigen (PSA) expression, an important diagnostic marker for prostate cancer, whereas inhibiting RSK activity using a RSK-specific inhibitor, 3Ac-SL0101, decreased PSA expression. The RSK2 regulation of PSA expression occurred via a mechanism involving both RSK2 kinase activity and its ability to associate with the coactivator, p300. RNA interference of the androgen receptor (AR) showed that the AR was important in the RSK2-mediated increase in PSA expression. RSK levels are higher in ∼50% of human prostate cancers compared with normal prostate tissue, which suggests that increased RSK levels may participate in the rise in PSA expression that occurs in prostate cancer. Furthermore, 3Ac-SL0101 inhibited proliferation of the LNCaP line and the androgen-independent human prostate cancer line, PC-3. These results suggest that proliferation of some prostate cancer cells is dependent on RSK activity and support the hypothesis that RSK may be an important chemotherapeutic target for prostate cancer.
Introduction
Prostate cancer progresses from a dependence on the hormone androgen to androgen independence (1). Nonetheless, the androgen receptor (AR) continues to play a key role in regulating prostate cancer cell proliferation even in advanced disease (2). The AR is a member of the superfamily of ligand-activated transcription factors (3), and like other superfamily members, the transcriptional activity of the AR can be further stimulated by second messenger signaling pathways (reviewed in ref. 4). There is substantial evidence that prostate cancer progression involves the activation of second messenger signaling pathways, in response to increased expression of growth factors and their receptors (reviewed in refs. 4, 5). It is possible that the activated signaling pathways enhance AR-mediated transcription to such an extent that normal levels of androgens become less important (6). However, the molecular mechanisms by which these changes result in prostate cancer progression remain unknown and there are no targeted therapies available for advanced prostate cancer.
An increase in mitogen-activated protein kinase (MAPK) activity has been correlated with the progression of prostate cancer to advanced disease in humans (7). These results, together with observations that Ras activity regulates the androgen requirement of prostate tumor growth in xenografts, suggest that the MAPK pathway plays a role in prostate cancer proliferation (6, 8). The family of Serine/Threonine protein kinases, p90 ribosomal S6 kinase (RSK), function as downstream effectors of MAPK (9, 10). The RSK family consists of four isoforms, which are the products of separate genes (11). RSK isoform 4 (RSK4) is an outlier in the family and may be functionally distinct (12–14), but it is not known whether RSK1-3 have differing functions in vivo. RSKs play an important role in cell survival and proliferation in somatic cells through their ability to phosphorylate and regulate the activity of key substrates, including several transcription factors and kinases, the cyclin-dependent kinase inhibitor, p27Kip1, the tumor suppressor, tuberin, and the proapoptotic protein, Bad (15–17). Additionally, a possible role for RSKs in tumorigenesis is suggested by their involvement in phosphorylation of filamin A, a regulator of cellular migration (18). We have also found that RSKs regulate the transcriptional activity of estrogen receptor α (ERα), a close relative of the AR (19, 20). These observations combined with the known importance of MAPK in prostate cancer, raised the possibility that RSKs may play a role in prostate cancer progression.
We now show that RSK2 regulates the expression of prostate-specific antigen (PSA), an important diagnostic marker for prostate cancer. Furthermore, the RSK-specific inhibitor, 3Ac-SL0101, inhibits proliferation of the human prostate cancer lines, LNCaP and PC-3. Taken together with our observations that RSK levels are higher in ∼50% of human prostate tumors compared with normal prostate tissue, we suggest that RSK may be an important novel chemotherapeutic target for prostate cancer.
Materials and Methods
Materials. ICI 182,780 was a gift from Zeneca Pharmaceuticals (Cheshire, United Kingdom). Monoclonal antibodies anti-HA (12CA5) and anti-myc (9E10) were from the Lymphocyte Culture Center (University of Virginia, Charlottesville, VA). Monoclonal antibodies anti-AR (441) and anti-RSK2 (E-1) and the polyclonal antibody anti-RSK1 (C-21) were from Santa Cruz Biotechnology, Inc. (Santa Cruz, CA). Monoclonals anti-Ran (20) and anti-MAPK (16) were from BD Biosciences (Franklin Lakes, NJ). Polyclonals anti-pPDK1 (Ser241), anti-active MAPK, and anti-RSK2 were from Cell Signaling Technology (Beverly, MA), Promega Co. (Madison, WI), and Upstate Cell Signaling Solutions (Wattman ,MA), respectively. Immunoblots were done using anti-mouse or anti-rabbit secondary IgGs conjugated to horseradish peroxidase (Jackson Laboratory, Bar Harbor, ME). The siGENOME SMARTpool AR short interfering RNA (siRNA) and siCONTROL nontargeting siRNA 1 were from Dharmacon (Lafayette, CO).
Cell culture. LNCaP cells were obtained from Lelund Chung (Emory University) and maintained as described by American Type Culture Collection (ATCC, Manassas, VA). The PC-3 line was obtained from the ATCC and maintained in the recommended media.
Expression vectors and receptor mutants. HA-tagged RSK2, RSK2(Y707A), and RSK2(K100A/Y707A) and myc-tagged RSK2 were described previously (20). E1A cDNA, the pKH3 vector, and the vector encoding ERα (HEGO) were provided by Dan Engel (University of Virginia), Ian Macara (University of Virginia), and Pierre Chambon (University Louis Pasteur), respectively. HA-AR and HA-E1A were produced by amplification of the open reading frame and inserted in-frame with the HA-tag of the eukaryotic expression vector, pKH3. Sequences were verified by the Biomolecular Research Core (University of Virginia).
Tissue sample analysis. These studies were done with approval from the Human Investigation Committee at the University of Virginia. Samples of prostate biopsies that had been done on patients with elevated PSA levels were obtained from the Tissue Procurement Facility (University of Virginia). The samples were T2a (n = 3), T2c (n = 3), T3a (n = 5), T3b (n = 1), and N (n = 1). The Gleason scores were 6 (n = 3), 7 (n = 6), 8 (n = 2), and 9 (n = 1). The samples were obtained from Caucasians ages 48 to 67 years. The frozen tissue blocks were examined microscopically and prostate cancer tissue was excised from areas of the block that were predominantly tumor. Normal and benign prostatic tissues were obtained from areas of the block containing abundant epithelium. Tissues were finely ground in the presence of liquid N2 and added to boiling 2× SDS loading buffer and then heated at 100°C for 3 minutes. The total protein concentration in the denatured lysates was determined and equivalent protein amounts were electrophoresed and immunoblotted with anti-RAN. The immunoblots were analyzed and quantitated by densitometry as described (21) and the samples normalized to each other based on RAN levels. Normalized samples were electrophoresed and immunoblotted with anti-RSK1 and anti-RSK2 and the immunoblots analyzed and quantitated by densitometry.
Proliferation assay. Proliferation assays were done as described (22). In the washout experiments each well was coated with 0.25 μg fibronectin (Invitrogen, Carlsbad, CA). It was not possible to do washout experiments with the LNCaP line because these cells are only weakly attached even when plated onto dishes with fibronectin and are lost from the surface during replacement of the medium.
In vitro kinase assay. Production and purification of glutathione-S-transferase (GST) fusion proteins was done according to the manufacturer's protocol (Amersham Biosciences, Piscataway, NJ).
The ability of purified, recombinant RSK2(Y707A) (5 nmol/L; ref. 22) to phosphorylate GST-AR-tide was determined in kinase buffer (23) with 100 μmol/L ATP, γ-32P-ATP (∼6,000 cpm/pmol), and 20 mg/mL of the appropriate substrate at 30°C with shaking at 1,000 rpm. At 10 and 30 minutes, an aliquot of the supernatant was removed, added to 2× SDS loading buffer, and boiled. Samples were electrophoresed and the amount of incorporated 32P determined by Phosphorimager.
Endogenous RSK2 activity in LNCaP and PC-3 cells was determined according to the following protocol. Cells (150-mm dishes) were pretreated for 4 hours with vehicle or U0126 (25 μmol/L), and 100 ng/mL epidermal growth factor (EGF) or vehicle was added for 8 minutes. An 8-minute EGF treatment of LNCaP and PC-3 cells results in maximum RSK2 activity (data not shown). After lysis an aliquot was removed and RSK2 was immunoprecipitated with anti-RSK2 (4 μg) and GammaBind plus Sepharose beads. The beads were washed twice with 500 μL of kinase wash buffer (23). Pelleted beads were incubated with kinase buffer and 20 mg/mL of the appropriate substrate at 30°C with shaking at 1,000 rpm. Aliquots were removed and analyzed as for GST-AR-tide. The relative amount of RSK2 on the beads was determined by immunoblotting and the signal quantified by densitometry.
Transcriptional analysis. LNCaP cells were transfected, treated and assayed for luciferase and β-galactosidase as described previously except that LipofectAMINE 2000 (Invitrogen) was used and the cells were treated for 15 hours before lysis (21). In siRNA experiments the appropriate siRNA (20 nmol/L) was transfected using Trans IT-TKO (Mirus, Madison, WI) 6 hours after the first transfection with the reporter constructs and either the RSK2(Y707A) construct or vector control. The cells were treated for 15 hours before lysis. PSA expression was determined in supernatants of transfected LNCaP cells using the ACTIVE PSA ELISA kit (Diagnostic Systems Lab., Inc., Sparks, MD).
Results
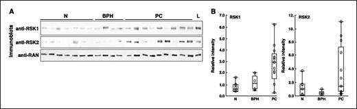
RSK is overexpressed in human prostate cancers. Malignant transformation and progression in human cancers are frequently associated with overabundance or increased activity of proteins that are involved in normal cellular processes (24). Therefore, we investigated whether the levels of RSK protein expression were increased in human prostate samples. We found that the average RSK1 and RSK2 levels were ∼3.5- and ∼2.5-fold higher, respectively, in the prostate cancer samples than in normal prostate (N) and benign prostatic hyperplasia samples (BPH; Fig. 1). Approximately 50% of the prostate cancer samples had RSK1 and RSK2 levels higher than the median value for the N samples. Both the RSK1 and RSK2 levels in the prostate cancer samples were statistically higher than the N and BPH samples with a confidence level >0.95 using an unpaired t test with unequal variances.
RSK levels are higher in human prostate cancer tissue. A, denatured tissue lysates were normalized to RAN and the normalized aliquots immunoblotted. Subset of the PC samples. B, immunoblots were quantitated by densitometry (21) and intensities plotted as a box-and-whisker plot (45). Bar in the box is at the statistical median and ends of the box are at the upper and lower quartiles. N, normal tissue (n = 7); BPH, benign hyperplastic prostate tissue (n = 4); PC, prostate cancer tissue (n = 13); L, LNCaP cell line.
RSK levels are higher in human prostate cancer tissue. A, denatured tissue lysates were normalized to RAN and the normalized aliquots immunoblotted. Subset of the PC samples. B, immunoblots were quantitated by densitometry (21) and intensities plotted as a box-and-whisker plot (45). Bar in the box is at the statistical median and ends of the box are at the upper and lower quartiles. N, normal tissue (n = 7); BPH, benign hyperplastic prostate tissue (n = 4); PC, prostate cancer tissue (n = 13); L, LNCaP cell line.
RSK2 enhances PSA expression. RSK2 is the best characterized of the isoforms and is important in regulating transcription through its ability to enhance the activity of transcription factors by phosphorylation and to associate with the transcriptional coactivator, p300, and its close relative, cAMP-responsive element binding protein binding protein (CBP; ref. 25). Therefore, we focused our studies on RSK2. To determine whether the elevated RSK2 levels observed in the prostate cancer tissue are physiologically significant we used the human prostate cancer line, LNCaP. These cells are a good model system for these studies because they have RSK2 levels intermediate between those of normal and tumorigenic prostate tissues. Specifically, LNCaP cells express ∼2-fold higher levels of RSK2 compared with normal human prostate tissue, but the level of RSK2 is similar to the average RSK2 level observed in human prostate cancer tissues (Fig. 1).
Increased PSA levels are correlated with prostate cancer and therefore, we determined whether increasing RSK2 levels stimulated transcription from the PSA promoter. LNCaP cells were cotransfected with reporter constructs and a control vector, plus a vector encoding epitope-tagged wild type RSK2 [(HA)-RSK2] or a constitutively active RSK2 mutant [HA-RSK2(Y707A)]. The mutant RSK2(Y707A) is a constitutively active kinase, and thus eliminates the requirement of RSK2 to be activated by MAPK (23). To minimize active MAPK levels, the cells were serum-starved during the various treatments. RSK2(Y707A) enhanced expression from the PSA promoter by ∼15% in the absence of the synthetic androgen, R1881, compared with the vector control (Fig. 2A). However, in the presence of R1881, transcription was increased ∼35% and ∼60% by RSK2 and RSK2(Y707A), respectively, compared with the vector control. Interestingly, in the presence of EGF both the wild-type and mutant RSK2 dramatically increased transcription ∼30-fold above the control. Upon EGF activation there was no statistical difference in the ability of RSK2 and RSK2(Y707A) to stimulate transcription. These observations are in agreement with results from in vitro kinase assays in which RSK2(Y707A) has a higher basal activity than RSK2 but has a similar activity upon activation by EGF (23).
RSK2 enhances PSA expression in prostate cancer cells. A, LNCaP cells were cotransfected with luciferase and β-galactosidase reporter vectors. Luciferase expression was either under the control of the 6-kb region upstream of the start of the PSA gene (PSA-LUC; ref. 46) or the control of a minimal promoter (MIN-LUC). Additionally, the cells were transfected with a control vector (V), a vector encoding RSK2 or RSK2(Y707A). The cells were serum-starved and treated with vehicle (−), 5 nmol/L R1881 or 100 ng/mL EGF for 15 hours. Luciferase data were divided by the β-galactosidase data to control for differences in transfection efficiency. Data obtained from the MIN-LUC reporter were subtracted from that obtained with the PSA-LUC reporter to control for nonspecific transcription effects. Data were normalized so that, in the vector control, the response to vehicle addition was zero and the response to R1881 was 100. (n ≥ 5, performed in triplicate.) Columns, means; bars, ±SE. *, P < 0.05 and **, P < 0.01 obtained by comparing vector control to RSK2 or RSK2(Y707A). B, LNCaP cells were cotransfected with expression vectors encoding HA-AR with or without myc-RSK2(Y707A) and treated as in (A). Lysates of the transfected cells were immunoblotted. Equal loading of lysate is shown by the anti-MAPK immunoblot.
RSK2 enhances PSA expression in prostate cancer cells. A, LNCaP cells were cotransfected with luciferase and β-galactosidase reporter vectors. Luciferase expression was either under the control of the 6-kb region upstream of the start of the PSA gene (PSA-LUC; ref. 46) or the control of a minimal promoter (MIN-LUC). Additionally, the cells were transfected with a control vector (V), a vector encoding RSK2 or RSK2(Y707A). The cells were serum-starved and treated with vehicle (−), 5 nmol/L R1881 or 100 ng/mL EGF for 15 hours. Luciferase data were divided by the β-galactosidase data to control for differences in transfection efficiency. Data obtained from the MIN-LUC reporter were subtracted from that obtained with the PSA-LUC reporter to control for nonspecific transcription effects. Data were normalized so that, in the vector control, the response to vehicle addition was zero and the response to R1881 was 100. (n ≥ 5, performed in triplicate.) Columns, means; bars, ±SE. *, P < 0.05 and **, P < 0.01 obtained by comparing vector control to RSK2 or RSK2(Y707A). B, LNCaP cells were cotransfected with expression vectors encoding HA-AR with or without myc-RSK2(Y707A) and treated as in (A). Lysates of the transfected cells were immunoblotted. Equal loading of lysate is shown by the anti-MAPK immunoblot.
It is conceivable that RSK2 might increase transcription by enhancing AR levels. To test this possibility HA-tagged AR and myc-tagged RSK2(Y707A) were cotransfected into LNCaP cells. We determined the levels of HA-tagged AR rather than endogenous AR because the transfection efficiency in LNCaP cells is only ∼20% and we wanted to determine AR levels in those cells that also contained RSK2(Y707A). We have previously determined that after cotransfection ≥90% of the transfected cells express both constructs (data not shown). Because the transfection efficiencies were similar for the different conditions the lysates were normalized to each other based on total MAPK levels. In the vector control we observed that R1881 increased AR levels, which is consistent with the literature (26) but also found that EGF increased AR levels (Fig. 2B). However, the levels of AR were similar in the presence of RSK2(Y707A) compared with the vector control. Therefore, there does not seem to be a correlation between the level of AR and the ability of RSK2(Y707A) to enhance transcription.
RSK2 activates AR-mediated transcription. RSK2 is known to stimulate the transcriptional activity of ERα (20), a close relative of the AR. Therefore, we determined whether RSK2 also enhances PSA expression by increasing the transcriptional activity of the AR. To test this possibility we reduced AR expression levels using siRNA. The AR siRNA dramatically decreased AR expression in both the RSK2(Y707A) and vector control transfected cells (Fig. 3A,, inset). Our transfection efficiency for siRNA is ∼90% and the knockdown for AR is among the most effective that we have done (data not shown). The transcriptional response in the absence of ligand was <0.5 of that observed with RSK2(Y707A) (Fig. 3A). In the presence of R1881 the AR siRNA essentially abolished transcription in the vector control, and decreased transcription by ∼90% in the RSK2(Y707A) transfected cells. These effects were not due to nonspecific effects on transcription because β-galactosidase expression was unaffected by the AR siRNA (data not shown). Thus, RSK2(Y707A) seems to work predominately through an AR-dependent mechanism in both the absence and presence of R1881. However, in response to EGF, the AR siRNA decreased transcription by only ∼30%, which suggests that in this case PSA expression is being regulated only partly through the AR.
RSK2 regulates AR-mediated transcription. A, LNCaP cells were transfected and analyzed as in Fig. 2A except that only the PSA-LUC reporter was used. Additionally, a second transfection was done 6 hours after the first using control or AR siRNA (n = 2, performed in triplicate). *, P < 0.05 and **, P < 0.01 obtained by comparing the control siRNA with the AR siRNA. Aliquots of the transfected cells were also immunoblotted. Equal loading of lysate is shown by the anti-RAN immunoblot. B, LNCaP cells were transfected and analyzed as in Fig. 2A except that a vector encoding RSK2(K100A/707A) was also used (n = 2, performed in triplicate). **, P < 0.01 obtained by comparing the vector control with either RSK2(Y707A) or RSK2(K100A/Y707A). C, LNCaP cells were transfected and analyzed as in Fig. 2B except that a vector encoding ERα was also used. Additionally, either 0.5 μmol/L 4-hydroxytamoxifen or 1 μmol/L ICI 182,780 was added with R1881 (n = 2, performed in triplicate). D, recombinant, purified RSK2(Y707A) was used in an in vitro kinase assay and the amount of 32P incorporated into the fusion proteins determined by Phosphorimager. E, LNCaP cells were transfected and analyzed as in Fig. 2A except that varying concentrations of R1881 were added (n = 2, performed in triplicate). Maximum responses and the concentrations at half the maximum response (EC50) were determined by performing a best-fit analysis of the data (GraphPad Prism).
RSK2 regulates AR-mediated transcription. A, LNCaP cells were transfected and analyzed as in Fig. 2A except that only the PSA-LUC reporter was used. Additionally, a second transfection was done 6 hours after the first using control or AR siRNA (n = 2, performed in triplicate). *, P < 0.05 and **, P < 0.01 obtained by comparing the control siRNA with the AR siRNA. Aliquots of the transfected cells were also immunoblotted. Equal loading of lysate is shown by the anti-RAN immunoblot. B, LNCaP cells were transfected and analyzed as in Fig. 2A except that a vector encoding RSK2(K100A/707A) was also used (n = 2, performed in triplicate). **, P < 0.01 obtained by comparing the vector control with either RSK2(Y707A) or RSK2(K100A/Y707A). C, LNCaP cells were transfected and analyzed as in Fig. 2B except that a vector encoding ERα was also used. Additionally, either 0.5 μmol/L 4-hydroxytamoxifen or 1 μmol/L ICI 182,780 was added with R1881 (n = 2, performed in triplicate). D, recombinant, purified RSK2(Y707A) was used in an in vitro kinase assay and the amount of 32P incorporated into the fusion proteins determined by Phosphorimager. E, LNCaP cells were transfected and analyzed as in Fig. 2A except that varying concentrations of R1881 were added (n = 2, performed in triplicate). Maximum responses and the concentrations at half the maximum response (EC50) were determined by performing a best-fit analysis of the data (GraphPad Prism).
RSK2 kinase activity regulates PSA expression. To determine the importance of RSK2 kinase activity in enhancing PSA expression we tested whether the kinase-inactive mutant RSK2(K100A/Y707A) could stimulate transcription. The kinase-inactive mutant has the essential ATP-binding Lys-100 mutated to Ala in the NH2-terminal kinase domain of RSK2. In the absence or presence of R1881 the kinase-inactive mutant produced the same transcriptional response as the vector control (Fig. 3B). Surprisingly, however, in the presence of EGF the kinase-inactive mutant still stimulated transcription to a level ∼0.5 that observed with RSK2(Y707A). These results suggest that RSK2 kinase activity regulates the transcriptional activity of the AR in the absence and presence of R1881 but that RSK2 kinase activity is only partly responsible for the increased PSA expression observed in response to EGF.
Because RSK2 enhances ERα-mediated transcription (20) and it has been reported that LNCaP cells contain ERα, albeit at very low levels (27) we investigated whether inhibition of ERα would influence the ability of RSK2 to stimulate PSA expression. In agreement with the literature (28), we observed a modest 20% increase in estrogen-dependent transcription using an ERE-luciferase reporter system in LNCaP cells (data not shown). Ectopic expression of ERα led to an ∼10-fold increase in estrogen responsiveness (data not shown); thus, ERα-mediated transcription is most likely limited by ERα levels in LNCaP cells. To ensure that we could observe an effect of inhibiting ERα activity on RSK2 stimulation of PSA expression we measured transcription from the PSA promoter with or without ectopically expressed ERα. However, regardless of ERα levels, the inhibition of ERα activity with the antiestrogens, 4-hydroxytamoxifen and ICI 182,780, did not influence the ability of RSK2(Y707A) to stimulate PSA levels (Fig. 3C). Thus, inhibition of ERα does not affect the role of RSK2 in regulating PSA expression.
It is possible that RSK2 kinase activity enhances AR-mediated transcription through phosphorylation of the AR, or through associated coactivators or via both mechanisms. To distinguish between these possibilities we asked whether RSK2 could phosphorylate the AR. RSK2 phosphorylates Serine or Threonine residues that lie within the motif, RXRXXS/T, where X is any amino acid (29). Based on this motif, there is a putative RSK2 phosphorylation site, RAREAS (residues 203-208 in the human AR accession no. M34233), which is contained in the activation function 1 (AF-1) region. It is possible that RSK2 phosphorylation of Ser208 enhances the activity of AF-1, which is the main transactivation domain of the AR. This putative site is highly but not completely conserved across various species. To test whether Ser208 could be phosphorylated by RSK2, we measured the ability of RSK2 to phosphorylate in vitro a protein consisting of GST fused to the sequence from 203 to 213 of the human AR, which we call GST-AR-tide. As a positive control, we compared the ability of RSK2 to phosphorylate GST-AR-tide versus GST-ER-tide. GST-ER-tide contains Ser167 in human ERα, a site phosphorylated in vivo by RSK2 (19, 20). RSK2 phosphorylated GST-ER-tide ∼150-fold over background compared with 2-fold for GST-AR-tide (Fig. 3D). Thus, in vitro, GST-AR-tide can be phosphorylated by RSK2, but it is not a particularly good substrate compared with GST-ER-tide.
There is another putative RSK2 phosphorylation site, RMRHLS (residues 773-778), which is contained within the ligand-binding domain. The sequence RMRHLS is contained within helix 7 of the ligand-binding domain and is completely conserved across all species. Mutations within this region are known to influence ligand-binding (30), and therefore, it is possible that RSK2 phosphorylation of Ser778 enhances the affinity of the AR for its ligand. But according to the crystal structure of the AR ligand-binding domain, Ser778 is located within the binding pocket and is buried in the interior of the protein (31). Therefore, it seems unlikely that a kinase would have access to this residue. Nonetheless, to test whether RSK2 could phosphorylate Ser778, we determined whether RSK2 altered the affinity of the AR for ligand by measuring PSA expression at various doses of R1881. At each dose the transcriptional response was higher in the RSK2(Y707A) transfected cells than in the vector control transfected cells (Fig. 3E). However, the R1881 EC50 for the RSK2(Y707A) and the vector control was ∼0.3 nmol/L, which suggests that RSK2(Y707A) does not alter the affinity of the AR for R1881. Therefore, it seems unlikely that RSK2 phosphorylates the RMRHLS motif. Taken together, these results argue that RSK2 protein kinase activity stimulates AR-mediated transcription by phosphorylation of an AR coactivator rather than by direct AR phosphorylation.
RSK2/p300 complex regulates PSA expression. RSK2 is known to interact with the coactivator p300/CBP. This interaction is independent of RSK2 catalytic activity and is important in Ras-mediated gene activation (25). Furthermore, p300 has been shown to regulate prostate cancer growth (32, 33). Therefore, we hypothesized that the interaction between RSK2 and p300 might play a role in the regulation of PSA expression. To test this possibility, we determined whether ectopic coexpression of p300 and RSK2 could enhance PSA expression over that obtained with each protein expressed individually. Suboptimal levels of the constitutively active RSK2 mutant RSK2(Y707A) were used in these experiments, to ensure that an enhancement in PSA expression could be observed when p300 and RSK2(Y707A) were coexpressed. In the vehicle-treated cells coexpression of p300 and RSK2(Y707A) increased PSA expression ∼2-fold over that obtained with each separately (Fig. 4A). EGF treatment did not further enhance the response obtained with coexpression of RSK2(Y707A) and p300 compared with vehicle treatment. It could be that the increased expression of both RSK2(Y707A) and p300 bypasses the requirement for activation of the MAPK pathway. The additive transcriptional response of RSK2(Y707A) and p300 in the vehicle-treated cells suggests that both molecules are influencing the same transcriptional event, which is consistent with our hypothesis that the interaction between RSK2 and p300 is important in regulating PSA expression.
RSK2/p300 complex regulates PSA expression. LNCaP cells were transfected and analyzed as in Fig. 2A except that only the PSA-LUC reporter was used and a vector encoding either p300 (A) or E1A (B) was also used (n = 2, performed in triplicate). **, P < 0.01 obtained by comparing the response obtained in (A) to vector control or in (B) to RSK2(Y707A). Aliquots of the transfected LNCaP cells were lysed and immunoblotted.
RSK2/p300 complex regulates PSA expression. LNCaP cells were transfected and analyzed as in Fig. 2A except that only the PSA-LUC reporter was used and a vector encoding either p300 (A) or E1A (B) was also used (n = 2, performed in triplicate). **, P < 0.01 obtained by comparing the response obtained in (A) to vector control or in (B) to RSK2(Y707A). Aliquots of the transfected LNCaP cells were lysed and immunoblotted.
To further test our hypothesis, we asked whether the viral oncoprotein E1A would inhibit the ability of RSK2 to activate transcription. E1A is known to associate with p300 and the binding of RSK2 and E1A to p300 are mutually exclusive. Therefore, E1A can compete for the binding of RSK2 to p300 (25). The ectopic expression of E1A increased PSA expression in both the EGF-treated and vehicle-treated cells, for reasons that are unclear (Fig. 4B). Importantly, however, E1A inhibited the ability of RSK2(Y707A) to activate transcription ∼2- and 3-fold in the absence and presence of EGF, respectively. The effects of p300 and E1A on RSK2-stimulated PSA expression were not due to differences in the RSK2(Y707A) levels because RSK2(Y707A) expression levels were similar with or without p300 and E1A (Fig. 4B , inset).
RSK regulates prostate cancer cell proliferation. Based on our observations that increasing RSK2 stimulates PSA expression, we tested directly whether RSK was important in regulating prostate cancer cell proliferation. We recently discovered a cell-permeable, RSK-specific inhibitor, 3Ac-SL0101, which functions as a competitive inhibitor for ATP binding (22).4
J.A Smith et al. Synthesis of the prodrug, kaempferol 3-O-(2,3,4-tri-O-acetyl-a-l-rhamnopyranoside) (3Ac-SL0101), a novel inhibitor of the Ser/Thr protein kinase, RSK., submitted for publication.
RSK activity regulates prostate cancer cell proliferation. A, MCF-10A and MCF-7 cells were treated with vehicle or 20 μmol/L 3Ac-SL0101 for 72 hours. Proliferation assay was done and the data expressed relative to time 0 (n = 2, performed in triplicate). **, P < 0.01 obtained by comparing the vehicle to 3Ac-SL0101. Columns, means; bars, ±SE. B, LNCaP and PC-3 cells were treated with vehicle or varying concentrations of 3Ac-SL0101 for 72 hours. Proliferation assay was done and analyzed as in (A). n = 2, performed in triplicate. **, P < 0.01obtained by comparing vehicle with 3Ac-SL0101. C, PC-3 cells were treated with vehicle or 20 μmol/L 3Ac-SL0101 for 72 hours. Cells treated with drug were washed and incubated with or without 3Ac-SL0101 for an additional 72 hours (n = 2, performed in triplicate). Proliferation assay was done and analyzed as in (A). **, P < 0.01 obtained by comparing vehicle with 3Ac-SL0101. D, LNCaP cells were treated with vehicle or 30 μmol/L 3Ac-SL0101. Proliferation (n = 2, performed in triplicate) and PSA (n = 2, performed in duplicate) assays were performed. Data was expressed relative to time 0. **, P < 0.01 obtained by comparing vehicle with 3Ac-SL0101.
RSK activity regulates prostate cancer cell proliferation. A, MCF-10A and MCF-7 cells were treated with vehicle or 20 μmol/L 3Ac-SL0101 for 72 hours. Proliferation assay was done and the data expressed relative to time 0 (n = 2, performed in triplicate). **, P < 0.01 obtained by comparing the vehicle to 3Ac-SL0101. Columns, means; bars, ±SE. B, LNCaP and PC-3 cells were treated with vehicle or varying concentrations of 3Ac-SL0101 for 72 hours. Proliferation assay was done and analyzed as in (A). n = 2, performed in triplicate. **, P < 0.01obtained by comparing vehicle with 3Ac-SL0101. C, PC-3 cells were treated with vehicle or 20 μmol/L 3Ac-SL0101 for 72 hours. Cells treated with drug were washed and incubated with or without 3Ac-SL0101 for an additional 72 hours (n = 2, performed in triplicate). Proliferation assay was done and analyzed as in (A). **, P < 0.01 obtained by comparing vehicle with 3Ac-SL0101. D, LNCaP cells were treated with vehicle or 30 μmol/L 3Ac-SL0101. Proliferation (n = 2, performed in triplicate) and PSA (n = 2, performed in duplicate) assays were performed. Data was expressed relative to time 0. **, P < 0.01 obtained by comparing vehicle with 3Ac-SL0101.
To understand why the proliferation of the PC-3 line was more sensitive to inhibition of RSK activity than the LNCaP line we analyzed the endogenous RSK2 activity in these lines. RSK2 levels are increased 2-fold in LNCaP cells and by 6-fold in PC-3 cells, compared with the average RSK2 level for normal human tissue (Figs. 1 and 6A). Basal RSK2 specific activity was ∼3.5-fold higher in PC-3 than in LNCaP cells (Fig. 6B). Upon activation by EGF the specific activity of RSK2 was ∼10-fold higher in PC-3 than in LNCaP cells. MAPK and PDK1 are the only known regulators of RSK activity (36, 37). Therefore, the differences in RSK2 specific activity are surprising because the levels of active MAPK and active PDK1 in the EGF-treated cells were less in PC-3 than in LNCaP cells (Fig. 6A). Taking into account the differences in RSK2 expression levels, the total RSK2 activity under basal and EGF-stimulated conditions is ∼10- and ∼35-fold higher, respectively, in PC-3 than in LNCaP cells. It has been hypothesized that during the process of tumorigenesis there is an increased dependency on compromised signaling pathways and concomitantly that alternative signaling pathways become dormant (38, 39). We speculate that the higher levels of RSK2 activity in PC-3 compared with LNCaP cells have made the growth of PC-3 cells more dependent on the RSK pathway and thus more sensitive to the RSK-specific inhibitor, 3Ac-SL0101.
Characterization of RSK in prostate cancer cells. Serum-starved LNCaP and PC-3 cells were treated with either 25 μmol/L U0126 or 100 ng/mL EGF and lysed. A, an aliquot of the lysate was immunoblotted. B, RSK2 was immunoprecipitated and used in an in vitro kinase assay. Specifically incorporated 32P was obtained by subtracting the values obtained from GST-S6-tide from those obtained with GST. The relative level of RSK2 was determined by densitometry of immunoblots and the data normalized to the RSK2 level in U0126-treated LNCaP cells. Relative specific activity was determined by dividing the specifically incorporated 32P by the normalized RSK2 level (n = 2, performed in duplicate). **, P < 0.01 obtained by comparing LNCaP with PC-3 cells.
Characterization of RSK in prostate cancer cells. Serum-starved LNCaP and PC-3 cells were treated with either 25 μmol/L U0126 or 100 ng/mL EGF and lysed. A, an aliquot of the lysate was immunoblotted. B, RSK2 was immunoprecipitated and used in an in vitro kinase assay. Specifically incorporated 32P was obtained by subtracting the values obtained from GST-S6-tide from those obtained with GST. The relative level of RSK2 was determined by densitometry of immunoblots and the data normalized to the RSK2 level in U0126-treated LNCaP cells. Relative specific activity was determined by dividing the specifically incorporated 32P by the normalized RSK2 level (n = 2, performed in duplicate). **, P < 0.01 obtained by comparing LNCaP with PC-3 cells.
Discussion
We propose that RSK is an important regulator of proliferation in some prostate cancer cells. We base this hypothesis on the observations that in LNCaP cells an increase in RSK2 levels stimulates the expression of PSA. Additionally, we have found that the RSK-specific inhibitor, 3Ac-SL0101, reduced PSA expression in LNCaP cells and inhibited the growth of both LNCaP and PC-3 cells. These results are likely to be physiologically significant because we found that RSK levels were increased in ∼50% of human prostate cancer tissues compared with normal prostate tissue.
We have found that RSK2 regulates AR-mediated transcription. The AR is known to be a phosphoprotein but the importance of this phosphorylation on AR transcriptional activity is not clearly understood. AKT/protein kinase B (PKB) has an identical phosphorylation consensus motif as RSK (40). Ser210 and Ser778, located in the putative RSK2 consensus phosphorylation sites, are phosphorylated in cells engineered to overexpress AKT/PKB (41). However, in other studies in which mass spectroscopy was used to map phosphorylated residues in the AR, Ser210 was not found to be phosphorylated in LNCaP cells stimulated with EGF (42). These latter observations are in agreement with our in vitro phosphorylation studies, which show that Ser210 is an extremely poor RSK2 substrate. Furthermore, RSK2 did not affect the affinity of the AR for ligand, which strongly suggests that RSK2 does not phosphorylate Ser778, which is located in a region known to be important in ligand binding. Therefore, it is more likely that RSK2 phosphorylation of an AR coactivator accounts for the ability of RSK2 to increase PSA expression rather than by direct phosphorylation of the AR. However, it is of interest to note that under conditions in which RSK2 kinase activity is extremely high, less than ideal substrates, such as the AR, may be phosphorylated.
Increasing RSK2 levels dramatically enhanced PSA expression in response to EGF treatment. This stimulation is partly dependent on the kinase activity of RSK2 to enhance AR-mediated transcription. However, in addition to its kinase activity, it seems that the association of RSK2 with the coactivator p300/CBP is important. The association between RSK2 and p300/CBP has been shown to be independent of the catalytic activity of RSK2 (25), which is consistent with our observations that both constitutively active and the kinase-inactive RSK2 mutants stimulate PSA expression. Furthermore, E1A, through its ability to compete with RSK2 for p300, inhibits the ability of RSK2 to stimulate PSA expression. It has been proposed that RSK2 kinase activity and p300 histone acetyltransferase (HAT) activity are regulated by the interaction of RSK2 with p300 (43). Thus, the EGF stimulation in p300 HAT activity may enhance PSA expression through a mechanism involving acetylation of histone and transcription factors such as the AR (44).
The Gleason scores of the prostate cancer tissues we analyzed were >6, which indicates that our samples were all of advanced cancers. These studies support the analysis of RSK levels in a larger clinical study to determine whether there is a correlation between RSK levels and prostate cancer grade. We found that there is a positive linear relationship between RSK1 and RSK2 levels in the prostate samples (P < 0.01; data not shown). RSK1 and RSK2 are on different chromosomes and thus it seems unlikely that the increased levels of both isoforms are both due to gene amplification. Therefore, we propose that alterations in signal transduction are responsible for the increase in RSK levels observed in some prostate cancers. Although all cancer tissues contain active MAPK, we did not find a linear relationship between RSK and active MAPK levels (data not shown) and thus the increased RSK levels are not simply a reflection of MAPK activity. The major RSK regulatory inputs are thought to be MAPK and PDK1 (9, 15). Interestingly, we found that RSK2 activity in response to EGF is 35-fold greater in PC-3 than LNCaP cells, even though the levels of active MAPK and PDK1 are lower in PC-3 cells. These results suggest that not all RSK regulatory inputs have been identified. It may be that the identification of these additional inputs will elucidate why RSK levels are increased in some prostate cancers and why RSK has become important in the growth of some prostate cancers.
Note: D.E. Clark and T.M. Errington contributed equally to this study.
Acknowledgments
Grant support: Department of Defense grant PC030511.
The costs of publication of this article were defrayed in part by the payment of page charges. This article must therefore be hereby marked advertisement in accordance with 18 U.S.C. Section 1734 solely to indicate this fact.





