Abstract
Melanoma cells produce growth factors for autocrine growth control and for stimulating fibroblasts and endothelial cells in the tumor stroma. Activated stromal fibroblasts can in turn secrete growth factors that support tumor growth. We studied this feedback from fibroblasts to melanoma cells by overexpressing insulin-like growth factor 1 (IGF-1) with an adenoviral vector. Melanoma cells do not produce IGF-1. IGF-1 enhanced survival, migration, and growth of cells from biologically early lesions, but not from biologically late primary or metastatic lesions. Early melanoma cells were activated by IGF-1 to phosphorylate Erk1 and -2 of the mitogen-activated protein kinase pathway. IGF-1 also activated Akt, inhibited its down-stream effector GSK3-β, and stabilized β-catenin. Late primary and metastatic melanoma cells did not respond to growth stimulation by IGF-1 because of a constitutive activation of the mitogen-activated protein kinase pathway and a higher level of stabilized β-catenin. These studies demonstrate that fibroblast-derived growth factors from the tumor environment can provide the malignant cells with a positive feedback through multiple mechanisms but that this stimulation is required only for cells from early and not late stages of tumor progression.
INTRODUCTION
During the transition of primary melanoma cells from a superficial location in the epidermis, the RGP,3 to an invasive, expanding tumor nodule in the dermis, the VGP, cells change their stromal partners from keratinocytes to fibroblasts (1). The transition is critical for expansion of the tumor mass and for further dissemination. RGP cells represent a biologically early stage of melanoma. They still depend on support by exogenous growth factors supplied to them by normal skin cells because they have limited capacity for production of autocrine growth factors (2, 3). This growth factor dependence is most likely the reason that RGP cells have no competence for growth in soft agar, cannot form tumors in immunodeficient animals, and do not metastasize in patients (4, 5, 6). VGP primary melanoma cells represent a biologically advanced stage. They have escaped from control by keratinocytes (7) and migrated into the dermis, where they proliferate independently from exogenous growth factors (8) and establish close communicative networks with fibroblasts (1). VGP melanoma cells grow anchorage independently in soft agar, are tumorigenic in animals, and have metastatic competence in both patients and experimental animal models (4, 9). This independence from exogenous growth factors is apparently a result of the increased constitutive production of growth factors.
For normal melanocytes, benign nevus cells, and melanoma cells from the RGP and early VGP stage, IGF-1 is one of the most critical growth factor required for survival and growth of cells in chemically defined media (10, 11). IGF-1 or its substitute, insulin, is also a motility factor for melanoma cells (12, 13). The receptor for IGF-1 (and insulin), IGF-1R, is expressed by all melanocytic cells, and expression increases with progression (2, 14, 15). Down-regulation of IGF-1R with antisense oligonucleotides inhibits melanoma growth in vivo (16). Mice transgenic for IGF-1 under a keratin 1 promoter show marked thickening of the dermis and hypodermis, and the skin is more prone to transformation in initiation/promotion protocols (17), suggesting that the constitutive production of IGF-1 is a critical factor in tumor development and progression. Breast and lung carcinoma cells produce IGF-1 for autocrine stimulation, but the tumor stroma, particularly the fibroblasts, produces IGF-1 for paracrine stimulation (18). When the ligand binds to IGF-1R, signaling occurs through Ras-dependent phosphorylation of MAP kinase and subsequent activation of nuclear transcription factors (19, 20). Phosphorylation of Akt is also induced by IGF-1 in several tumors (21, 22, 23, 24), suggesting a role for this growth factor as an antiapoptotic survival factor. IGF-1 produced by the tumor cells activates β3 and β1 integrins (25, 26), increases synthesis of collagen (27), activates matrix metalloproteinase-9 (28), and induces production of angiogenic growth factors such as vascular endothelial growth factor (29). All of these events are intimately associated with aggressive tumor behavior. In melanoma, IGF-1 synthesis by tumor cells is not clear. Thus tumor cells must first activate the fibroblasts in the tumor stroma, which then produce IGF-1 for their stimulation. Activation of the stromal fibroblasts by melanoma cells apparently occurs through PDGF, which is produced by melanoma cells as either PDGF-AA or PDGF-BB (7). Melanoma cells do not express the receptor for PDGF-B, PDGFR-β. Thus, PDGF-B appears to be produced by melanoma cells solely for paracrine stimulation of fibroblasts in the tumor stroma.
The purpose of this study was to delineate how IGF-1 can have multiple roles in melanoma progression by acting as a survival, growth, and motility factor. We wanted to determine whether all biological events were the result of activation of the MAP kinase pathway or whether additional pathways played a role. Melanoma cells do not express IGF-1, excluding this growth factor from autocrine stimulation. Although all melanoma cells expressed the IGF-1R, we saw striking differences in the response to IGF-1 when the gene was transduced to 15 melanoma cell lines by an adenoviral vector for gene transfer or when cells were treated with the recombinant protein. Only melanoma cells with biological early malignant characteristics responded to IGF-1. The differences between biologically early and late melanoma cells were that in early cells we found the following distinct mechanisms of stimulation: IGF-1, as expected, activated the MAP kinase pathway for growth stimulation in RGP melanoma and activated PKB/Akt, which led to stabilization of β-catenin. Activation of the Akt/β-catenin pathway could be responsible for the increased survival of cells. These results demonstrate the complex and important role for this growth factor for tumor progression in melanoma.
MATERIALS AND METHODS
Cell Culture.
Melanoma cells were isolated and cultured from clinically and histologically defined lesions (4, 30). Cultures were maintained in MCDB 153 medium with 20% L15 medium, 2% FCS, and 5 μg/ml insulin unless otherwise stated. For growth in “protein-free” medium, when the activities of specific growth factors were tested, FCS and insulin were omitted from the medium. The 293 cells used for propagating adenoviruses were maintained in DMEM containing 10% FCS. Human primary dermal fibroblasts were initiated as explant cultures from neonatal foreskins, after treatment with trypsin and removal of epidermis, and cultured in DMEM supplemented with 10% FCS.
Materials.
IGF-1 and IGF-1R cDNA were provided by Dr. A. Ullrich, (Martinsried, Germany) and have been described previously (31, 32). IGF-1 was detected with a RIA kit from Diagnostic Systems Laboratories (Webster, TX). MAP kinase, phospho-MAP kinase, Akt and phospho-Akt antibodies, and restriction enzymes were from New England Biolabs (Beverly, MA). Antibodies against IGF-1 and IGF-1R were from Santa Cruz Biotechnology Biotechnologies (Santa Cruz, CA). PY20, 4G10, and anti-β-catenin antibodies were from Transduction Laboratories (Los Angeles, CA). Histone 1B was from Roche Pharmaceuticals (Indianapolis, IN). Tau protein was kindly provided by Dr. Virginia Lee (University of Pennsylvania, Philadelphia, PA). All tissue culture media were from Sigma (St. Louis, MO), except DMEM, which was purchased from Life Technologies (Rockville, MD). PD98059 and Wortmannin were from Calbiochem (San Diego, CA). All radioactive materials were from Amersham Radiochemicals (Arlington Heights, IL).
Immunoprecipitation and Western Analysis.
Immunoprecipitations for the detection of phosphorylated IGF-1R were performed essentially as described previously (33). In brief, melanoma cells were maintained in protein-free medium for 24 h before treatment with 50 ng/ml recombinant IGF-1 for 10 min. The cell monolayers were washed with cold PBS containing 1 mm Na3VO4 and rapidly scraped into immunoprecipitation solution, which consisted of 20 mm HEPES (pH 7.5); 150 mm KCl; 0.5% Triton X-100; 1 mm EDTA; 1 mm EGTA; 1 mm Na3VO4; 1 mm NaF; 2 mm Na Pi; 1 μg/ml each of aprotinin, leupeptin, and pepstatin; and 2 mm phenylmethylsulfonyl fluoride. After incubation on ice for 15 min, the extracts were separated by centrifugation at 13,000 × g for 15 min. The supernatants were used for immunoprecipitation with an anti-IGF-1R antibody overnight at 4°C. Immunoprecipitates were collected by a protein A/G mixture coupled to beads for 60 min and washed three times with immunoprecipitation buffer. The beads were suspended in sample-loading buffer, boiled for 3 min, and separated on a 7.5% SDS-polyacrylamide gel. After protein transfer onto PVDF membranes, extracts were probed with PY20 and 4G10 antibodies, and the specific bands were visualized by electrochemiluminescence (Amersham Biotechnologies). To analyze the kinase activities of Akt and GSK-3β, the melanoma cells were maintained in protein-free medium after infections with the adenoviral vectors for 48 h. Akt kinase assays were performed as described previously (23), with rabbit polyclonal antibodies and histone H1B as substrate. GSK-3β was assayed according to Valentinis et al. (33) and Hong and Lee (34), using an anti-GSK-3β antibody (Santa Cruz Biotechnology) and Tau protein as the substrate. Autoradiograms were subjected to densitometric analysis and quantified by NIH Image. Western analysis of Akt, phospho-Akt, MAP kinase, and phospho-MAP kinase were performed as follows: cell monolayers were treated with adenoviruses or recombinant IGF-1 for specific time periods and harvested according to conditions described by the manufacturer (New England Biolabs). After separation on 10% SDS-polyacrylamide gels, proteins were transferred onto PVDF membranes and analyzed using specific antibodies according to the manufacturer’s recommendations.
Cell Fractionation and Pulse Chase Analysis of β-Catenin.
Melanoma cells were maintained in protein-free medium for 24 h and then treated with 50 ng/ml IGF-1 for 30 min. Cells were harvested, and soluble and insoluble fractions were isolated using NP40 as described (22). Equal amount of proteins were loaded and separated by 10% SDS-PAGE. Proteins were transferred to PVDF membranes and analyzed using β-catenin monoclonal antibody as described above. For pulse chase experiments, cells were serum-starved for 24 h and treated with 100 μCi/ml Translabel (NEN Biosciences) for 4 h. The medium was replaced with 10 times the normal amount of methionine and cysteine for 30 min. Subsequently, the cells were treated with IGF-1 and harvested at the indicated times. Whole-cell extracts were prepared using radioimmunoprecipitation assay buffer and counted for radioactivity; protein concentrations were determined, and equal amounts of proteins were separated by 10% SDS-PAGE. The gels were dried and exposed for autoradiography.
[3H]Thymidine Incorporation Assay.
Melanoma cells were seeded at 30,000 cells/well in 96-well plates and infected with adenoviruses or incubated with recombinant proteins or inhibitors for 48 h. The cells were pulsed with 1 μCi/ml [3H]thymidine for 4 h, trypsinized, and harvested using an automatic cell harvester before counting in a beta counter. All experiments were performed in quadruplicate and repeated three times. Neutralization experiments were performed by incubating cells with neutralizing antibodies at 50 μg/ml for the indicated times before harvesting the cells. Trypan blue exclusion tests were used for cell counting assays. For cell survival in suspension experiments, 50,000 cells were plated on poly(HEMA)-coated 6-well plates (35). Cells were harvested, counted for viability by trypan blue dye exclusion, and analyzed for apoptosis/cell cycle distribution, using propidium iodide. For this analysis, harvested cells were fixed in 80% ethanol for 1 h, treated with RNase, and stained with propidium iodide (36).
Preparation of Adenoviral Vectors.
The recombinant adenovirus, IGF-1/Ad5, was generated by homologous recombination in 293 cells as described previously (37). Briefly, full-length cDNA was ligated into the transfer vector pAdCMV. In the plasmids, the full-length cDNA was flanked by a CMV promoter at the 5′ end and SV-40 T-antigen intron/polyadenylation signal at the 3′ end to form a complete transcriptional unit. Monolayers of 293 cells were transfected with linearized transfer vector along with dl7001 (Ad5 virus lacking E1 and E3 regions), using the CaPO4 precipitation method. The recombinant plaques were identified by Southern analysis and further propagated in 293 cells (37, 38). Large-scale virus preparation was performed using the double CsCl proliferation method. Prior to infection of melanoma cells, the adenoviral vector was titrated in 293 cells to determine the pfu in the virus preparation.
Northern Analysis.
Total RNA from melanoma cell lines was extracted with RNAzol (Molecular Research Center Inc, Cincinnati, OH). Fifteen μg of RNA were separated on a 0.8% formaldehyde-agarose gel and transferred overnight onto a nylon membrane (Micron Separations, Inc., Westborough, MA). Membranes were probed with full-length cDNAs. Prehybridization and hybridizations were carried out in Church buffer at 65°C, and membranes were washed with 2× SSC-0.1% SDS at room temperature for 45 min with three changes. Subsequently, the membranes were washed with 0.1× SSC-0.1% SDS until the background counts were reduced to a minimum. The probes were prepared with a random labeling kit from Roche Pharmaceuticals, using [α-32P]dATP (3000 Ci/mmol).
RESULTS
Response of Melanoma Cells from Different Stages of Tumor Progression to Endogenous or Exogenous IGF-1.
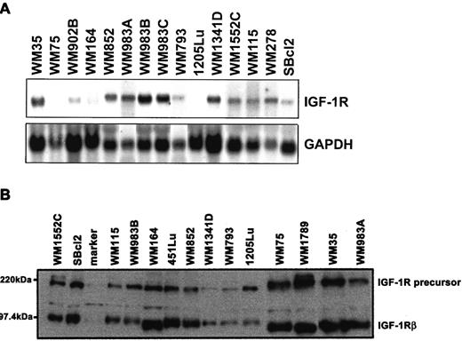
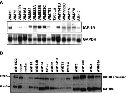
All 15 melanoma cell lines tested expressed the receptor for IGF-1 (IGF-1R), regardless of the stage of progression from which the cells were derived (Fig. 1,A). The mRNA expression levels varied among cell lines when compared with glyceraldehyde-3-phosphate dehydrogenase controls, with slow-growing cells generally expressing the lower levels. All of 14 cell lines expressed the IGF-1 protein when tested by Western blotting (Fig. 1,B). When we used a polyclonal antibody for detection, cell lines contained both mature and proforms of the receptor. None of the melanoma cell lines expressed IGF-1 when RNA from the cells was tested by reverse transcription-PCR, nor was protein secretion detected in six cell lines by immunoassays (not shown), suggesting the absence of an autocrine loop for this growth factor in melanoma cells. The stimulation of melanoma cells by IGF-1 was then tested by overexpressing the gene in melanoma cells with an adenoviral vector, using recombinant protein, or by incubating melanoma cells with culture supernatants from fibroblasts transduced with IGF-1. Maximal growth factor production of 300–400 ng/ml in supernatants of 90% confluent RGP primary melanoma cultures was achieved 72 h after transduction (Fig. 2,A) and use of 20 pfu/cell of the adenoviral vector (Fig. 2,B). Infection levels were toxic to the cells. Secretion levels remained stable for ∼8 days until the cells had to be subcultured. Subsequent culturing with proliferation of cells decreased the growth factor levels below detection levels after ∼3 weeks depending on the growth rate of the cells. Secretion levels of transduced fibroblasts were comparable to those for melanoma cells when the ∼50% lower cell densities of fibroblasts per culture surface were considered (Fig. 2 C). The fibroblasts secreted low levels of IGF-1 when transduced with the control vector lacZ.
The mitogenic effects of IGF-1 for melanoma cells showed marked differences among cell lines depending on the stage of progression at which the cells were originally isolated (Table 1). Only RGP primary melanomas and cell lines representing a biologically early VGP primary stage were responsive, whereas all advanced VGP primary or metastatic cell lines were nonresponsive when tested in [3H]thymidine incorporation or cell-counting assays. Responding cell lines were up to 3-fold stimulated (Fig. 3,A). The MAP kinase kinase inhibitor PD98059 and phosphatidylinositol 3′-kinase inhibitor Wortmannin inhibited stimulation of DNA synthesis by IGF-1 in SBcl2 cells (data not shown). Stimulation of RGP and early VGP primary melanoma cells, but not late VGP and metastatic melanoma cell lines was also achieved with recombinant IGF-1 added to the culture medium (data not shown). Culture supernatants of fibroblasts transduced with the IGF-1 gene (containing ∼100–200 ng/ml secreted IGF-1; see Fig. 2,C) were mitogenic for responding cell lines, and the mitogenic activity in the supernatant could be blocked with 1 μg of IGF-1R neutralizing antibodies (Fig. 3,B). Survival of RGP melanomas that were maintained anchorage independently was enhanced after IGF-1 was transduced, whereas control cells showed high death rates within 24 h (Fig. 3 C).
IGF-1R Expressed by Melanoma Cells Is Functionally Active, but Signaling Differs among Cells from Different Stages of Progression.
IGF-1R mediated signals after IGF-1 binding in all of nine melanoma cell lines from different stages of progression (Fig. 4). The cells were first treated with recombinant IGF-1. Extracts were then immunoprecipitated with an anti-IGF-1R antibody, and the precipitates were analyzed for phosphorylation of the receptor, using antibodies for phosphorylated tyrosine kinases. Although there were variations in the level of phosphorylated receptor, the results suggest that the IGF-1R on melanoma cells from all stages of progression is functionally active. The effect of IGF-1 on MAP kinase activity in responding and nonresponding melanoma cells was then examined. Melanoma cells transduced for 24–72 h with IGF-1 at 20 pfu/cell of the adenoviral vector and maintained in protein-free medium were then examined for phosphorylation of Erk1 (p44) and Erk2 (p42), using phosphospecific antibodies (Fig. 5). At each time point, IGF-1 phosphorylated Erks in the responding RGP melanoma cell line SBcl2 (Fig. 5,A). The specificity of Erk activation was confirmed by treating cells with PD98059, which abolished Erk phosphorylation (data not shown). Nonresponding cells, whether transduced with IGF-1 or the lacZ control vector, showed the same levels of phosphorylation of MAP kinase, demonstrating that the enzyme in these cells is constitutively active (Fig. 5 B).
IGF-1 Induces Akt Activation and β-Catenin Stabilization.
Activation of the Akt pathway may lead to survival of cells (39). Serum- and growth factor-depleted melanoma cells from different stages of progression were treated with IGF-1, and cell extracts were examined for Akt phosphorylation and enzyme activity. All melanoma cell lines from different stages of progression contained Akt, and IGF-1 treatment of the cells led to its phosphorylation, suggesting the potential for signaling through this pathway (Fig. 6,A). The specificity of Akt activation was confirmed by treating cells with Wortmannin, which abolished Akt phosphorylation (data not shown). On the other hand, the activity of GSK-3β, which is a downstream effector of Akt, differed between growth-responding and -nonresponding cell lines. When melanoma cells were tested for Akt-mediated histone H1B phosphorylation 48 h after IGF-1 transduction, RGP melanoma SBcl2 cells responded with a 4-fold increase whereas the metastatic cells 1205 Lu showed a much smaller increase (Fig. 6,B). Similarly, when Tau was used as substrate for GSK-3β, the RGP melanoma cells showed a significant decrease in activity compared with metastatic melanoma cell line (Fig. 6,C). These results demonstrate that IGF-1 can activate the Akt signaling pathway in RGP melanoma cells but not as much in metastatic cells. Because β-catenin is a downstream effector molecule of Akt, we then determined whether IGF-1 could modulate translocation and stabilization of β-catenin. After 30 min of IGF-1 treatment in either responding RGP SBcl2 or nonresponding metastatic 1205 Lu cells, β-catenin was increasingly localized in the soluble fraction of the RGP but not the metastatic cells (Fig. 7,A). Pulse chase analysis of β-catenin in these two cell lines suggested reduced stabilized protein in SBcl2 cells in the absence of IGF-1 and increased half-life after treatment with IGF-1, whereas 1205 Lu cells demonstrated a longer half-life for the protein even in the absence of IGF-1 (Fig. 7 B). These results suggest that IGF-1, through activation of the Akt pathway, contributes to cell survival by stabilizing β-catenin.
DISCUSSION
Cytokine networks in which tumor cells interact with normal host cells have been studied mostly by characterizing the activity of tumor-derived growth factors. These paracrine growth factors are secreted by tumor cells to activate fibroblasts. The fibroblasts in turn produce matrix proteins that function as scaffoldings to maintain tumor architecture. Here we characterized the growth factor IGF-1, which when fibroblasts release it functions to stimulate the tumor cells. Using an adenoviral vector for efficient gene transfer to induce high levels of secretion, we could demonstrate that IGF-1 is a major stimulator for melanoma cells. However, activation of melanoma cells is restricted to cells from biologically early stages of progression. These RGP cells are present only as a thin layer of malignant cells, and they reside mostly in the epidermis. For the tumors to progress, malignant cells must invade into the dermis. Once in the dermis, tumor cells can readily invade blood and lymphatic vessel for further dissemination. Our studies have identified several pathways in RGP melanoma cells that are activated by IGF-1, regardless of whether the growth factor is provided by fibroblasts or by overexpression of the IGF-1 gene in the malignant cells. We provide here experimental evidence that IGF-1 acts in RGP melanoma cells as a growth, survival, and motility factor. Each characteristic is apparently mediated through a distinct pathway.
IGF-1 has previously been described in normal cells as an activator of the MAP kinase pathway (40). We could confirm this in our studies with melanoma cells. When provided to melanoma cells at supraphysiological levels, IGF-1 can also substitute for the second essential growth factor for melanoma cells, bFGF. We have previously shown that RGP primary melanoma cells require both IGF-1 and bFGF (41). When bFGF is overexpressed in RGP cells at supraphysiological levels, the cells become independent not only of exogenous bFGF but also of IGF-1 (2, 5). As the cells progress to the advanced VGP stage of primary melanoma, they begin producing bFGF constitutively at higher levels and become independent of bFGF and, later, of IGF-1 (2, 5). Apparently endogenous bFGF activates the MAP kinase pathway in VGP primary and metastatic cells, constitutively rendering them insensitive to exogenous or endogenous growth factors. Neither exogenous bFGF (5) nor IGF-1 (this study) can stimulate the highly malignant and aggressive cells. The dominant role of bFGF as an autocrine growth factor was underscored by experiments with antisense oligonucleotides. Inhibition of expression of bFGF or its receptor FGFR1 inhibited melanoma growth both in vitro and in vivo (5, 42). Whether bFGF can also act as a paracrine growth factor to stimulate fibroblasts and endothelial cells is unclear but is likely based on our gene transfection studies with adenoviral vectors (43, 44).
RGP melanoma cells are unable to grow anchorage independently and undergo apoptosis. However, the cells can be rescued by IGF-1, suggesting that IGF-1 is a survival factor for them. Cell survival by IGF-1 is most likely mediated through stimulation of the PKB/Akt pathway or in combination with MAP kinase pathway. It has since been reported that one of the down-stream targets of Akt activation is inactivation by phosphorylation of the proapoptotic protein Bad, which is also a target for inactivation by MAP kinase (22, 45, 46). Akt activation also resulted in inhibition of GSK-3β and stabilization of β-catenin. This dual activation of the MAP kinase and β-catenin pathways provides the cells with a powerful mechanism to survive during the arduous migration from the cytokine-rich environment of the epidermis to the dermis, in which the normal host cells are more scattered and surrounded by matrix components. The activation of Akt and stabilization of β-catenin are similar to the activation of the MAP kinase pathway observed in RGP and to a lesser extent in metastatic melanoma cells, suggesting a similar constitutive activation in the more advanced cells. Indeed, β-catenin has been found constitutively activated in melanoma through point mutations (47). It is known that Akt/PKB can act either synergistically or in opposition to the MAP kinase pathway, depending on the cell type and stage of differentiation. Every melanoma cell line can be activated by IGF-1 via phosphorylation of Akt/PKB. However, metastatic melanoma cell lines possess constitutively phosphorylated Erk1 and Erk2. These cells cannot be further stimulated to growth by IGF-1, suggesting that activation of Akt/PKB has no influence on the cell growth per se. Treatment of melanoma cells with IGF-1, which activates phosphorylation of Akt/PKB, has no significant influence in the phosphorylation status of Erk1 and -2 (Fig. 5 B), suggesting no direct influence of Akt/PKB on Erk1 and -2. Whereas MAP kinase modulates genes that may be involved in protein synthesis, proliferation and extracellular matrix remodeling, Akt/PKB activates genes that regulate survival and apoptosis in tumor cells. Whether these pathways activate synergistically the key proteins to impart proliferative advantage warrants further study. β-Catenin in melanoma cells can also be activated when cells bind through the N-cadherin adhesion molecule, which is found on all melanoma cells, and N-cadherin on melanoma cells allows them to establish gap junctions with fibroblasts for even more intimate cell-to-cell cross-talk (48). The functional consequences of gap junctions between melanoma cells and fibroblasts are not clear, but transport of small molecules appears to be bidirectional. Broader genomic and proteomic screening studies in the future should help to elucidate the spectrum of pathways that are activated by the most critical growth factors and cytokines in this tumor system.
IGF-1R expression in human melanoma cells. A, Northern analysis of total RNA from 15 melanoma cell lines. Fifteen μg of RNA were separated by formaldehyde-agarose gel electrophoresis and hybridized to a full-length IGF-1R cDNA probe (top gel). The same blot was then hybridized to housekeeping glyceraldehyde-3-phosphate dehydrogenase (GAPDH; bottom gel). B, Western analysis of extracts of melanoma cells for IGF-1R. The protein extracts were separated by SDS-PAGE and analyzed for IGF-1R, using rabbit polyclonal antibodies against the β subunit followed by electrochemiluminescence for detection.
IGF-1R expression in human melanoma cells. A, Northern analysis of total RNA from 15 melanoma cell lines. Fifteen μg of RNA were separated by formaldehyde-agarose gel electrophoresis and hybridized to a full-length IGF-1R cDNA probe (top gel). The same blot was then hybridized to housekeeping glyceraldehyde-3-phosphate dehydrogenase (GAPDH; bottom gel). B, Western analysis of extracts of melanoma cells for IGF-1R. The protein extracts were separated by SDS-PAGE and analyzed for IGF-1R, using rabbit polyclonal antibodies against the β subunit followed by electrochemiluminescence for detection.
IGF-1 production after infection of cells with an adenoviral vector for IGF-1 (IGF-1/Ad5). A, time-dependent secretion of IGF-1 after gene transfer. The cells were infected with IGF-1/Ad5 at 10 pfu/cell, and 24, 48, and 72 h later, culture supernatants were analyzed for IGF-1 levels by a commercial RIA. B, dose-dependent secretion of IGF-1 by WM1552C cells. Cells were infected with 0.2, 2, 20, and 200 pfu/cell IGF-1/Ad5 or control lacZ/Ad5 in protein-free medium. Forty-eight h later supernatants were tested for IGF-1 levels. C, normal human foreskin fibroblasts were infected with 20 pfu/cell IGF-1/Ad5 for 48 h, and culture supernatants were assessed for IGF-1 levels. Bars, SD.
IGF-1 production after infection of cells with an adenoviral vector for IGF-1 (IGF-1/Ad5). A, time-dependent secretion of IGF-1 after gene transfer. The cells were infected with IGF-1/Ad5 at 10 pfu/cell, and 24, 48, and 72 h later, culture supernatants were analyzed for IGF-1 levels by a commercial RIA. B, dose-dependent secretion of IGF-1 by WM1552C cells. Cells were infected with 0.2, 2, 20, and 200 pfu/cell IGF-1/Ad5 or control lacZ/Ad5 in protein-free medium. Forty-eight h later supernatants were tested for IGF-1 levels. C, normal human foreskin fibroblasts were infected with 20 pfu/cell IGF-1/Ad5 for 48 h, and culture supernatants were assessed for IGF-1 levels. Bars, SD.
IGF-1 stimulates growth of melanoma cells. A, SBcl2 RGP melanoma cells were infected with 0.2, 2, 20, and 200 pfu/cell IGF-1/Ad5 and maintained for 48 h in protein-free medium. Four h before cells were harvested, [3H]thymidine was added at 1 μCi/well, and the radioactivity incorporated was measured in a liquid scintillation counter. B, stimulation of melanoma cell growth by culture supernatants from fibroblasts that had been transduced with IGF-1 at 20 pfu/cell for 48 h. Stimulation of [3H]thymidine incorporation was tested in the presence and absence of a neutralizing antibody (Ab) against IGF-1. Control IgG had no effect on cell growth (not shown). C, protection of SBcl2 cells from cell death by IGF-1 when grown in an anchorage-independent fashion. The cells were grown in poly(HEMA)-coated plates for 24 h in the presence or absence of IGF-1 and analyzed by flow cytometry. P < 0.001 by Student’s t test. Bars, SD.
IGF-1 stimulates growth of melanoma cells. A, SBcl2 RGP melanoma cells were infected with 0.2, 2, 20, and 200 pfu/cell IGF-1/Ad5 and maintained for 48 h in protein-free medium. Four h before cells were harvested, [3H]thymidine was added at 1 μCi/well, and the radioactivity incorporated was measured in a liquid scintillation counter. B, stimulation of melanoma cell growth by culture supernatants from fibroblasts that had been transduced with IGF-1 at 20 pfu/cell for 48 h. Stimulation of [3H]thymidine incorporation was tested in the presence and absence of a neutralizing antibody (Ab) against IGF-1. Control IgG had no effect on cell growth (not shown). C, protection of SBcl2 cells from cell death by IGF-1 when grown in an anchorage-independent fashion. The cells were grown in poly(HEMA)-coated plates for 24 h in the presence or absence of IGF-1 and analyzed by flow cytometry. P < 0.001 by Student’s t test. Bars, SD.
Phosphorylation of IGF-1R in human melanoma cells. Melanoma cell lines in protein-free medium were incubated with recombinant IGF-1 for 10 min, and the cell extracts were then immunoprecipitated with anti-IGF-1R antibodies against the β subunit. The immunoprecipitated proteins were separated by SDS-PAGE and hybridized against antiphosphotyrosine antibodies. The phosphorylated proteins were detected by electrochemiluminescence.
Phosphorylation of IGF-1R in human melanoma cells. Melanoma cell lines in protein-free medium were incubated with recombinant IGF-1 for 10 min, and the cell extracts were then immunoprecipitated with anti-IGF-1R antibodies against the β subunit. The immunoprecipitated proteins were separated by SDS-PAGE and hybridized against antiphosphotyrosine antibodies. The phosphorylated proteins were detected by electrochemiluminescence.
Activation of MAP kinase (MAPK) in melanoma cells by IGF-1. Protein extracts of melanoma cells transduced with IGF-1 or lacZ were separated on SDS-polyacrylamide gels and hybridized to phospho- and native-specific MAP kinase antibodies. A, detection of MAP kinase in RGP SBcl2 melanoma cells 24, 48, and 72 h after transduction. B, constitutive activation of MAP kinase in advanced VGP primary and metastatic melanoma cell lines. Melanoma cells were transduced with either IGF-1 or lacZ and analyzed 48 h later for MAP kinase activity, using antibodies against phospho- and native-specific proteins.
Activation of MAP kinase (MAPK) in melanoma cells by IGF-1. Protein extracts of melanoma cells transduced with IGF-1 or lacZ were separated on SDS-polyacrylamide gels and hybridized to phospho- and native-specific MAP kinase antibodies. A, detection of MAP kinase in RGP SBcl2 melanoma cells 24, 48, and 72 h after transduction. B, constitutive activation of MAP kinase in advanced VGP primary and metastatic melanoma cell lines. Melanoma cells were transduced with either IGF-1 or lacZ and analyzed 48 h later for MAP kinase activity, using antibodies against phospho- and native-specific proteins.
IGF-1-induced alterations in Akt and GSK-3β activities in melanoma cells. A, induction of Akt phosphorylation by IGF-1. The cell lines were incubated in the presence (+) or absence (−) of recombinant IGF-1 for 20 min. Cell extracts were analyzed for phosphorylation of Akt by a phosphospecific antibody (top bands). Constitutive levels of Akt are indicated by the bottom bands. B, melanoma cells were transduced with IGF-1 and then incubated in protein-free medium for 48 h, at which time cells were harvested and analyzed for PKB/Akt activity, using histone H1B. Proteins were separated by SDS-PAGE, and the phosphorylated bands were detected by autoradiography. C, IGF-1- or lacZ-transduced melanoma cells were analyzed for GSK-3β activity with Tau as substrate, using the same procedure as for histone H1B. Bars, SD.
IGF-1-induced alterations in Akt and GSK-3β activities in melanoma cells. A, induction of Akt phosphorylation by IGF-1. The cell lines were incubated in the presence (+) or absence (−) of recombinant IGF-1 for 20 min. Cell extracts were analyzed for phosphorylation of Akt by a phosphospecific antibody (top bands). Constitutive levels of Akt are indicated by the bottom bands. B, melanoma cells were transduced with IGF-1 and then incubated in protein-free medium for 48 h, at which time cells were harvested and analyzed for PKB/Akt activity, using histone H1B. Proteins were separated by SDS-PAGE, and the phosphorylated bands were detected by autoradiography. C, IGF-1- or lacZ-transduced melanoma cells were analyzed for GSK-3β activity with Tau as substrate, using the same procedure as for histone H1B. Bars, SD.
Stabilization of β-catenin by IGF-1 in melanoma cells. A, melanoma cells SBcl2 and 1205Lu were treated with or without IGF-1 and incubated for 30 min in protein-free medium. The soluble and insoluble fractions were separated and analyzed by Western blotting. Signals were quantified using NIH Image software and represented by arbitrary units. B, pulse chase analysis for β-catenin levels in melanoma cells exposed to IGF-1. Serum-starved melanoma cells were treated with [35S]methionine and [35S]cysteine, exposed to IGF-1 or not exposed, and harvested after 1–5 h. Cell lysates were separated by 10% SDS-PAGE and analyzed for β-catenin levels, using a monoclonal antibody.
Stabilization of β-catenin by IGF-1 in melanoma cells. A, melanoma cells SBcl2 and 1205Lu were treated with or without IGF-1 and incubated for 30 min in protein-free medium. The soluble and insoluble fractions were separated and analyzed by Western blotting. Signals were quantified using NIH Image software and represented by arbitrary units. B, pulse chase analysis for β-catenin levels in melanoma cells exposed to IGF-1. Serum-starved melanoma cells were treated with [35S]methionine and [35S]cysteine, exposed to IGF-1 or not exposed, and harvested after 1–5 h. Cell lysates were separated by 10% SDS-PAGE and analyzed for β-catenin levels, using a monoclonal antibody.
The costs of publication of this article were defrayed in part by the payment of page charges. This article must therefore be hereby marked advertisement in accordance with 18 U.S.C. Section 1734 solely to indicate this fact.
This work was supported by Grants CA-25874, CA-47159, CA-76674, and CA-10815 from the National Institutes of Health (to M. H.).
The abbreviations used are: RGP, radial growth phase; VGP, vertical growth phase; IGF, insulin-like growth factor; MAP, mitogen-activated protein; PDGF, platelet-derived growth factor; PVDF, polyvinylidene difluoride; Ad, adenovirus; pfu, plaque-forming unit; bFGF, basic fibroblast growth factor.
Growth stimulation in melanoma cells transduced with IGF-1
| Melanocytes and melanoma cells were transduced with IGF-1, using the adenoviral vector at 20 pfu/cell, and cultured in protein-free medium. [3H]Thymidine incorporation was measured after 48 h and compared with cells transduced with lacZ. Similar results were obtained with recombinant IGF-1. . | . | . | ||
|---|---|---|---|---|
| Progression stage . | Cell line . | Stimulation by IGF-1a . | ||
| Melanocyte | ++ | |||
| RGP primary | WM35 | +++ | ||
| SBC12 | +++ | |||
| WM1552C | ++ | |||
| WM1789 | NT | |||
| Early VGP primary | WM1341D | ++ | ||
| WM115 | + | |||
| Late VGP primary | WM75 | − | ||
| WM902B | − | |||
| WM278 | − | |||
| WM983A | − | |||
| WM793 | − | |||
| Metastatic | WM164 | − | ||
| WM852 | − | |||
| WM983B | − | |||
| 1205Lu | − | |||
| 451Lu | − | |||
| WM1158 | NT | |||
| Melanocytes and melanoma cells were transduced with IGF-1, using the adenoviral vector at 20 pfu/cell, and cultured in protein-free medium. [3H]Thymidine incorporation was measured after 48 h and compared with cells transduced with lacZ. Similar results were obtained with recombinant IGF-1. . | . | . | ||
|---|---|---|---|---|
| Progression stage . | Cell line . | Stimulation by IGF-1a . | ||
| Melanocyte | ++ | |||
| RGP primary | WM35 | +++ | ||
| SBC12 | +++ | |||
| WM1552C | ++ | |||
| WM1789 | NT | |||
| Early VGP primary | WM1341D | ++ | ||
| WM115 | + | |||
| Late VGP primary | WM75 | − | ||
| WM902B | − | |||
| WM278 | − | |||
| WM983A | − | |||
| WM793 | − | |||
| Metastatic | WM164 | − | ||
| WM852 | − | |||
| WM983B | − | |||
| 1205Lu | − | |||
| 451Lu | − | |||
| WM1158 | NT | |||
−, no stimulation; +, 1.5-fold; ++, 2-fold; +++, ≥3-fold stimulation of [3H]thymidine incorporation; NT, not tested.


![Fig. 3. IGF-1 stimulates growth of melanoma cells. A, SBcl2 RGP melanoma cells were infected with 0.2, 2, 20, and 200 pfu/cell IGF-1/Ad5 and maintained for 48 h in protein-free medium. Four h before cells were harvested, [3H]thymidine was added at 1 μCi/well, and the radioactivity incorporated was measured in a liquid scintillation counter. B, stimulation of melanoma cell growth by culture supernatants from fibroblasts that had been transduced with IGF-1 at 20 pfu/cell for 48 h. Stimulation of [3H]thymidine incorporation was tested in the presence and absence of a neutralizing antibody (Ab) against IGF-1. Control IgG had no effect on cell growth (not shown). C, protection of SBcl2 cells from cell death by IGF-1 when grown in an anchorage-independent fashion. The cells were grown in poly(HEMA)-coated plates for 24 h in the presence or absence of IGF-1 and analyzed by flow cytometry. P < 0.001 by Student’s t test. Bars, SD.](https://aacr.silverchair-cdn.com/aacr/content_public/journal/cancerres/61/19/canres_61_19_1463/2/m_ch1911463003.jpeg?Expires=1713009264&Signature=cQcp8rnQceYFTW7HObStPDAD64lqX3OeYbcUifuYEeXbjX9W5fH3DZmAoKexN7Dm3gbA-zCBhx1LlmA2zcCjpN1Wt4fK9mek~7DoPlk1cDOtQoULK0ADOPYeuEtzCm4O-9jCeQgEz8AwiPJBOHpkAOUygxs8OA1-GguKwTMbU~k7hqmpWPhWLcgsYlFY6UKqHgiHc9M7n5jrN~WkPq84GNULWbYzyiBBLefECw3fHOekUhWHqJeg6CztFyliYnyIjM~X0EySE~7aDNB152ycisqQB0-xbHB3jWwTo0FZIdPF4aj1PpJwDecpuH~2h0-mJUVMPwt6H4B-S3PoBGQSbA__&Key-Pair-Id=APKAIE5G5CRDK6RD3PGA)



![Fig. 7. Stabilization of β-catenin by IGF-1 in melanoma cells. A, melanoma cells SBcl2 and 1205Lu were treated with or without IGF-1 and incubated for 30 min in protein-free medium. The soluble and insoluble fractions were separated and analyzed by Western blotting. Signals were quantified using NIH Image software and represented by arbitrary units. B, pulse chase analysis for β-catenin levels in melanoma cells exposed to IGF-1. Serum-starved melanoma cells were treated with [35S]methionine and [35S]cysteine, exposed to IGF-1 or not exposed, and harvested after 1–5 h. Cell lysates were separated by 10% SDS-PAGE and analyzed for β-catenin levels, using a monoclonal antibody.](https://aacr.silverchair-cdn.com/aacr/content_public/journal/cancerres/61/19/canres_61_19_1463/2/m_ch1911463007.jpeg?Expires=1713009264&Signature=GnWXVtq9vN8XIkyhGg~KBwm9LR13oKerZxEp5dzx2POhP624HFAXFeWnuUFXIxJA-UnpxHZTGkB7QPfL3ywdNIQ6P5gvjvdjelG8jYLHZc29b5gysQmS7v-QT0pfQH462zrmeU6H0jGDIIuXPIXym-9go0zcD2mHlwgMOnpESRRTc97fWD3O8IrGWrPxfffvmozCk3iVtTC~AOCCOzgPZ8NTA3wXRTOCGLvVv1ZCMsL5ll8CJJd4i7omPm--nSKIz8DXMgp4mAvTiKCjX-5DwoHjVAkbWB7hI-ENktDye0J5dLAuWKTEz9GuwTgovBt7MkXKwtq1wuRqkKIDSTTMUQ__&Key-Pair-Id=APKAIE5G5CRDK6RD3PGA)