Abstract
A salient feature of pancreatic ductal adenocarcinoma (PDAC) is an abundant fibroinflammatory response characterized by the recruitment of immune and mesenchymal cells and the consequent establishment of a protumorigenic microenvironment. Here, we report the prominent presence of B cells in human pancreatic intraepithelial neoplasia and PDAC lesions as well as in oncogenic Kras-driven pancreatic neoplasms in the mouse. The growth of orthotopic pancreatic neoplasms harboring oncogenic Kras was significantly compromised in B-cell–deficient mice (μMT), and this growth deficiency could be rescued by the reconstitution of a CD1dhiCD5+ B-cell subset. The protumorigenic effect of B cells was mediated by their expression of IL35 through a mechanism involving IL35-mediated stimulation of tumor cell proliferation. Our results identify a previously unrecognized role for IL35-producing CD1dhiCD5+ B cells in the pathogenesis of pancreatic cancer and underscore the potential significance of a B-cell/IL35 axis as a therapeutic target.
Significance: This study identifies a B-cell subpopulation that accumulates in the pancreatic parenchyma during early neoplasia and is required to support tumor cell growth. Our findings provide a rationale for exploring B-cell–based targeting approaches for the treatment of pancreatic cancer. Cancer Discov; 6(3); 247–55. ©2015 AACR.
See related commentary by Roghanian et al., p. 230.
See related article by Lee et al., p. 256.
See related article by Gunderson et al., p. 270.
This article is highlighted in the In This Issue feature, p. 217
Introduction
Pancreatic ductal adenocarcinoma (PDAC) is a highly aggressive disease with a dismal 5-year survival rate of 6% and a poor response to all existing therapies. The development of PDAC is initiated by mutations in the KRAS oncogene followed by inactivating mutations and deletion of tumor-suppressor genes, including TP53, CDKN2A, and SMAD4 (1). The role of these alterations in the initiation and progression of PDAC has been attributed to cell-intrinsic processes that are critical for malignant transformation, including the bypass of proliferative barriers, metabolic adaptation, and metastatic dissemination.
In addition to these genetically driven cell-intrinsic changes, a key pathophysiologic aspect of PDAC is the recruitment of host immune cells into the tumor microenvironment. Investigations into the functional relevance of discrete tumor-infiltrating immune cell subtypes have uncovered a multitude of immunomodulatory mechanisms mediated by recruited cells. For example, tumor-associated macrophages and myeloid-derived suppressor cells have been shown to promote pancreatic tumorigenesis through the suppression of antitumor immunity via expression of heme oxygenase-1 and arginase, respectively (2–4). CD4+ T cells repress the antitumor activity of CD8+ cytotoxic T cells from the onset of pancreatic neoplasia (5). Likewise, a regulatory subset of CD4+ T cells promotes progression of pancreatic neoplasia by suppressing antitumor T-cell immunity in mice immunized with Listeria monocytogenes (6). Furthermore, PDAC-associated inflammation potentiates differentiation of immune cell subsets, such as Th17 T cells and plasmacytoid dendritic cells, that can enhance tumor cell growth (7, 8). Significantly, these mechanisms are engaged at very early stages of disease development and represent attractive targets for therapeutic intervention.
We have previously shown that the formation of preinvasive lesions known as pancreatic intraepithelial neoplasia (PanIN) is accompanied by the recruitment of B cells into the pancreatic parenchyma (3). In the present study, we sought to determine whether this immune cell population plays a role in neoplastic progression. Our findings identify a B-cell subset that contributes to pancreatic cancer pathogenesis through a paracrine mechanism that promotes the proliferation of the transformed epithelium.
Results
To investigate the role of B cells in pancreatic tumorigenesis, we first assessed whether their presence is linked to pancreatic neoplasia in human and mouse. Prominent B-cell infiltrates were detected in proximity to human PanIN lesions as well as in pancreata of LSL-KrasG12D; p48Cre (KC) mice (Fig. 1A). Furthermore, the implantation of pancreatic ductal epithelial cells expressing oncogenic Kras (KrasG12D-PDEC) into wild-type (WT) pancreata led to the accumulation of B cells in regions adjacent to the newly established neoplastic lesions (Fig. 1A), suggesting an instructive role for the transformed epithelium in B-cell recruitment. We reasoned that the infiltration of neoplastic lesions by B cells would be mediated by chemotactic cues, with the most relevant being the main B-cell chemoattractant CXCL13. Consistent with this postulate, CXCL13 was detected in the fibroinflammatory stroma surrounding human and mouse PanIN lesions (Fig. 1B and C; and Supplementary Fig. S1A and S1B), and treatment of mice with anti-CXCL13–blocking antibody resulted in decreased accumulation of B cells in pancreata of KC mice and mice orthotopically implanted with GFP-KrasG12D-PDEC (Supplementary Fig. S1C–S1F). To further characterize the CXCL13-expressing cell population, qPCR analysis was performed on FACS-sorted cells from pancreata of KC mice. Using the immune marker CD45 and the fibroblast marker CD140 (PDGFR), we found that the expression of CXCL13 was restricted to the fibroblast fraction (CD45−CD140+) of the isolated cells (Fig. 1D). In agreement with this finding, double immunofluorescent staining revealed that CXCL13-expressing cells were positive for the mesenchymal marker vimentin (Fig. 1B and C, inset). Another cell population that could potentially contribute to CXCL13 production is dendritic cells (9). However, we did not detect Cxcl13 mRNA in intrapancreatic dendritic cells (CD45+CD11c+; Fig. 1D). Together, these results indicate that in the context of evolving pancreatic neoplasia, stromal fibroblasts are induced to secrete CXCL13, thereby promoting the infiltration of B cells into the pancreatic tumor microenvironment. These observations are consistent with recent findings documenting that fibroblast-mediated production of CXCL13 potentiates recruitment of B cells in a prostate cancer model (10). The physiologic relevance of this recruitment event is suggested by the fact that anti-CXCL13 treatment of mice orthotopically implanted with GFP-KrasG12D-PDEC resulted in the reduced growth of the orthotopic lesions (Supplementary Fig. S1G and S1H).
B cells infiltrate mouse and human pancreatic neoplasia and promote growth of KrasG12D-PDEC in vivo. A, IHC detection of B cells in human (CD20 staining) and mouse (B220 staining) in pancreata from hPanIN (20 patient samples), p48Cre (control, 5 mice), KC (10 mice), or KrasG12D-PDEC (9 mice) orthotopic lesions, as indicated. Inset, B cells in the parenchyma of an adjacent tissue section detected by immunofluorescence using anti-CD19 (green) and DAPI (blue). Representative images are shown. Scale bars, 100 μm. B, hematoxylin and eosin (H&E) staining and IHC staining for CD20, CXCL13, and vimentin from serial sections in a representative sample of human pancreatic cancer containing PanIN lesions. Inset, sections of human PanIN lesions were stained by immunofluorescence (CXCL13, red; vimentin, green; and DAPI, blue). Scale bars, 100 μm; inset, 7.5 μm. C, serial sections of a KC mouse pancreas were stained by IHC with CXCL13 or immunofluorescence (n = 10; CXCL13, red; vimentin, green; and DAPI, blue). A representative image is shown. Scale bars, 100 μm and 12 μm (inset). D, expression of Cxcl13 mRNA in cellular subsets isolated from pancreata of KC mice. Error bars indicate SD (n = 6). E, sections from orthotopic pancreatic grafts 2 weeks after GFP-KRasG12D-PDEC implantation into WT or μMT mice were stained with hematoxylin and eosin or anti-GFP antibody. Where indicated, μMT mice were reconstituted with WT B cells 2 days prior to orthotopic implantation. Representative images are shown. Scale bars, 100 μm. F, graph depicts quantification of the data in E and indicates the average fraction of GFP+ signal per field of view (FOV; 10 fields of view per animal; n = 12 WT, n = 14 μMT, n = 9 μMT+WT B cell animals). Error bars indicate SD; P values were determined by the Student t test (unpaired, two-tailed); ***, P < 0.001.
B cells infiltrate mouse and human pancreatic neoplasia and promote growth of KrasG12D-PDEC in vivo. A, IHC detection of B cells in human (CD20 staining) and mouse (B220 staining) in pancreata from hPanIN (20 patient samples), p48Cre (control, 5 mice), KC (10 mice), or KrasG12D-PDEC (9 mice) orthotopic lesions, as indicated. Inset, B cells in the parenchyma of an adjacent tissue section detected by immunofluorescence using anti-CD19 (green) and DAPI (blue). Representative images are shown. Scale bars, 100 μm. B, hematoxylin and eosin (H&E) staining and IHC staining for CD20, CXCL13, and vimentin from serial sections in a representative sample of human pancreatic cancer containing PanIN lesions. Inset, sections of human PanIN lesions were stained by immunofluorescence (CXCL13, red; vimentin, green; and DAPI, blue). Scale bars, 100 μm; inset, 7.5 μm. C, serial sections of a KC mouse pancreas were stained by IHC with CXCL13 or immunofluorescence (n = 10; CXCL13, red; vimentin, green; and DAPI, blue). A representative image is shown. Scale bars, 100 μm and 12 μm (inset). D, expression of Cxcl13 mRNA in cellular subsets isolated from pancreata of KC mice. Error bars indicate SD (n = 6). E, sections from orthotopic pancreatic grafts 2 weeks after GFP-KRasG12D-PDEC implantation into WT or μMT mice were stained with hematoxylin and eosin or anti-GFP antibody. Where indicated, μMT mice were reconstituted with WT B cells 2 days prior to orthotopic implantation. Representative images are shown. Scale bars, 100 μm. F, graph depicts quantification of the data in E and indicates the average fraction of GFP+ signal per field of view (FOV; 10 fields of view per animal; n = 12 WT, n = 14 μMT, n = 9 μMT+WT B cell animals). Error bars indicate SD; P values were determined by the Student t test (unpaired, two-tailed); ***, P < 0.001.
To directly analyze the functional significance of B cells in pancreatic tumorigenesis, GFP-KrasG12D-PDEC were implanted into pancreata of μMT mice which lack functional B cells, or syngeneic WT control animals. Analysis of pancreata at 2 weeks after implantation revealed a significant reduction in the abundance of GFP-KrasG12D-PDEC–derived lesions in μMT mice in comparison with WT mice (Fig. 1E and F). A similar difference was observed at 4 weeks after implantation (Supplementary Fig. S2A and S2B). To determine whether the compromised growth of the neoplastic cells in μMT mice is a direct consequence of B-cell loss, WT B cells were adoptively transferred into μMT animals. Two days after adoptive transfer, the mice were orthotopically implanted with GFP-KrasG12D-PDEC, and pancreata and spleens were harvested 2 weeks thereafter (Supplementary Fig. S2C). The defect in growth of GFP-KrasG12D-PDEC in μMT mice was rescued to a significant extent by the adoptive transfer of WT B cells and was accompanied by de novo infiltration of transferred B cells (Fig. 1E and F; Supplementary Fig. S2D), consistent with an essential role for B cells in establishing a protumorigenic environment. As B lymphocytes were also observed in the vicinity of neoplastic lesions formed as a consequence of the concordant pancreatic expression of oncogenic KrasG12D and mutant Trp53R172H (Supplementary Fig. S2E), we examined their functional significance in this setting using cells derived from Pdx1Cre;LSL-KrasG12D;LSL-Trp53R172H/+ (KPC) mice (11). Tumors formed by KPC cells that were orthotopically implanted into pancreata of μMT mice were of significantly reduced size compared with orthotopic tumors formed in WT pancreata (Supplementary Fig. S2F). These findings along with those reported by the accompanying articles (12, 13) suggest that the presence of B cells might be required to support both early and more advanced stages of pancreatic tumorigenesis.
Studies conducted in mouse models of squamous carcinomas have demonstrated that humoral immunity, which is associated with the production of immunoglobulins by mature B cells, can facilitate tumorigenesis predominantly through a mechanism involving Fcγ receptor–dependent activation of myeloid cells (14). To evaluate the role of B cells in myeloid cell activation in the context of pancreatic tumorigenesis, we analyzed CD45+CD11b+F4/80+ macrophages for expression of markers specific for either M1 or M2 [tumor-associated macrophage (TAM)] phenotype. We found that, in μMT mice with orthotopic implants of GFP-KrasG12D-PDEC or GFP-KPC-PDEC, there was a decrease in the prevalence of TAM-like CD206-expressing intrapancreatic macrophages and a corresponding increase in M1-like CD86-positive macrophages (Supplementary Fig. S3A–S3D). These observations are consistent with earlier findings demonstrating that B-cell depletion leads to the repolarization of tumor-associated macrophages. To investigate the potential relevance of Fcγ receptor–dependent activation of macrophages to the observed B-cell dependence of neoplastic growth, we examined the prevalence of antibody-producing plasma cells in control p48Cre and KC mice. We observed a significant increase in CD19lo/−B220lo/−CD138+ plasma cells in the spleens of KC animals (Fig. 2A and Supplementary Fig. S4A). Concordantly, a significant increase in the proportion of mature marginal zone B cells (plasma cell precursors) was detected in spleens of KC mice as compared with controls (Supplementary Fig. S4B and S4C), consistent with an increase in systemic inflammation in mice with pancreatic cancer (15). However, there was no increase in the abundance of plasma cells in the pancreatic microenvironment of KC animals (Fig. 2A), suggesting that tumor-infiltrating B cells might modulate pancreatic neoplasia by means other than immunoglobulin production.
CD1dhiCD5+ B cells are expanded in pancreatic neoplasia and are functionally important for sustaining growth of KrasG12D-PDEC in vivo. A, quantification of flow cytometric analysis of plasma cells from spleens, mesenteric lymph nodes (MLN), and pancreata of p48Cre (control) or KC mice. Cells were analyzed for the presence of markers CD19, B220, and CD138 (n = 5 p48Cre, n = 5 KC). B, quantification of flow cytometric analysis of immune cells from pancreata of p48Cre (control) mice, KC mice (2.5 mo), or KrasG12D-PDEC orthotopic lesions (2 weeks), as indicated. After gating on CD19 and CD1d populations, cells were analyzed for the presence of CD5 marker (n = 8 p48Cre, n = 8 KrasG12D-PDEC, n = 8 KC). C, sections from orthotopic pancreatic grafts 2 weeks after GFP-KrasG12D-PDEC implantation into WT or μMT mice were stained with anti-GFP antibody. Where indicated, μMT mice were reconstituted with WT CD19+CD1dhiCD5+ or with CD19+CD1dloCD5− 2 days prior to orthotopic implantation. Representative images are shown. Scale bars, 100 μm. D, graph depicts quantification of the data from C indicating the average fraction of GFP+ area per field of view (FOV) of the implant (10 fields of view per animal; n = 12 WT, n = 11 μMT, n = 9 μMT+ CD1dloCD5−, n = 9 μMT+ CD1dhiCD5+, animals). E, sections from orthotopic pancreatic grafts 2 weeks after GFP-KrasG12D-PDEC implantation into WT or μMT mice were stained with H&E or anti-GFP antibody. Where indicated, μMT mice were reconstituted with WT B cells or with Il10−/− B cells 2 days prior to orthotopic implantation. Representative images are shown. Scale bars, 100 μm. F, graph depicts quantification of the data from E indicating the average fraction of GFP+ area per field of view of the implant (10 fields of view per animal; n = 14 WT, n = 12 μMT, n = 12 μMT+WT B cell, n = 12 μMT+Il10−/− B cell animals). Error bars indicate SD; P values were determined by the Student t test (unpaired, two-tailed); *, P < 0.05; **, P < 0.01; ***, P < 0.001; NS, not significant.
CD1dhiCD5+ B cells are expanded in pancreatic neoplasia and are functionally important for sustaining growth of KrasG12D-PDEC in vivo. A, quantification of flow cytometric analysis of plasma cells from spleens, mesenteric lymph nodes (MLN), and pancreata of p48Cre (control) or KC mice. Cells were analyzed for the presence of markers CD19, B220, and CD138 (n = 5 p48Cre, n = 5 KC). B, quantification of flow cytometric analysis of immune cells from pancreata of p48Cre (control) mice, KC mice (2.5 mo), or KrasG12D-PDEC orthotopic lesions (2 weeks), as indicated. After gating on CD19 and CD1d populations, cells were analyzed for the presence of CD5 marker (n = 8 p48Cre, n = 8 KrasG12D-PDEC, n = 8 KC). C, sections from orthotopic pancreatic grafts 2 weeks after GFP-KrasG12D-PDEC implantation into WT or μMT mice were stained with anti-GFP antibody. Where indicated, μMT mice were reconstituted with WT CD19+CD1dhiCD5+ or with CD19+CD1dloCD5− 2 days prior to orthotopic implantation. Representative images are shown. Scale bars, 100 μm. D, graph depicts quantification of the data from C indicating the average fraction of GFP+ area per field of view (FOV) of the implant (10 fields of view per animal; n = 12 WT, n = 11 μMT, n = 9 μMT+ CD1dloCD5−, n = 9 μMT+ CD1dhiCD5+, animals). E, sections from orthotopic pancreatic grafts 2 weeks after GFP-KrasG12D-PDEC implantation into WT or μMT mice were stained with H&E or anti-GFP antibody. Where indicated, μMT mice were reconstituted with WT B cells or with Il10−/− B cells 2 days prior to orthotopic implantation. Representative images are shown. Scale bars, 100 μm. F, graph depicts quantification of the data from E indicating the average fraction of GFP+ area per field of view of the implant (10 fields of view per animal; n = 14 WT, n = 12 μMT, n = 12 μMT+WT B cell, n = 12 μMT+Il10−/− B cell animals). Error bars indicate SD; P values were determined by the Student t test (unpaired, two-tailed); *, P < 0.05; **, P < 0.01; ***, P < 0.001; NS, not significant.
Recent studies addressing the function of B cells in autoimmune disorders have demonstrated that B-cell–mediated cytokine release can alter disease progression (16). In particular, a subset of cytokine-producing CD19+CD1dhiCD5+ B cells has been shown to impart immunologic tolerance in autoimmune disease and to promote progression of breast and squamous carcinomas (17, 18). We found that CD1dhiCD5+ B cells are expanded in pancreata of KC and orthotopically implanted mice as compared with p48Cre animals (Fig. 2B and Supplementary Fig. S4D). To investigate if this B-cell subset contributes to growth of GFP-KrasG12D-PDEC in vivo, CD19+CD1dhiCD5+ or CD19+CD1dloCD5− cells were adoptively transferred into μMT mice (Supplementary Fig. S5A and S5B). Pancreata were then orthotopically injected with GFP-KrasG12D-PDEC and harvested for analysis at 2 weeks after implantation. Although the efficiency of the adoptive transfer was the same for both B-cell subsets, only CD19+CD1dhiCD5+ cells could effectively rescue the defective growth of GFP-KrasG12D-PDEC in μMT mice (Fig. 2C and D; Supplementary Fig. S5C). Based on these observations, we conclude that CD1dhiCD5+ B cells play an essential role in the development of pancreatic neoplasia.
A critical functional output of the CD1dhiCD5+ subtype has been reported to be the expression of the immunosuppressive cytokine IL10 (19, 20). Consistent with this attribute, B-cell–specific IL10 expression was detected in both mouse and human pancreatic cancers (Supplementary Fig. S6A–S6D). To test whether the observed B-cell–mediated growth-promoting effect is IL10-dependent, WT or Il10−/− B cells (derived from the spleens of WT or Il10−/− mice, respectively) were adoptively transferred into μMT mice. Two days after B-cell transfer, mice were injected with GFP-KrasG12D-PDEC, and cells were allowed to grow for 2 weeks. The successful transfer of B cells was confirmed using flow cytometry (Supplementary Fig. S6E). We found that Il10−/− B cells were capable of rescuing the growth of GFP-KrasG12D-PDEC in vivo to the same extent as WT B cells (Fig. 2E and F). Thus IL10 expression is dispensable for the growth-promoting effect of B cells on neoplastic lesions.
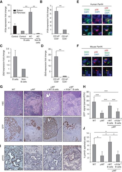
It has been recently shown that, in the context of autoimmune and infectious diseases, CD1dhiCD5+ B cells can confer their immunomodulatory effects via expression of the cytokine IL35 (a heterodimer, consisting of protein subunits p35 and EBI3, encoded by genes IL12a and EBI3, respectively; refs. 21, 22). Significantly, IL35 has been found to be upregulated in sera of patients with pancreatic cancer (23). Analysis of KC pancreata revealed that Il12a expression is primarily confined to B cells and, in particular, to the CD1dhiCD5+ B-cell subpopulation (Fig. 3A and B). A similar pattern of expression was observed for the Ebi3 transcript (Fig. 3C and D). Furthermore, B-cell–specific expression of p35 was detected by immunofluorescence in samples of mouse as well as in human PanIN lesions (Fig. 3E and F; Supplementary Fig. S7A and S7B). Because the p35 subunit of IL35 can combine with p40 (IL12b) and EBI3 can combine with p28 (IL27) to form IL12 and IL27, respectively, we tested the expression of these subunits in intrapancreatic B cells. Neither total B cells nor the CD1dhiCD5+ subpopulation of B cells isolated from pancreata of KC mice expressed Il12b or Il27 to an appreciable degree (Supplementary Fig. S7C and S7D). To directly test the functional significance of IL35, WT or Il12a−/− B cells (derived from spleens of WT or Il12a−/− mice, respectively) were adoptively transferred into μMT mice (Supplementary Fig. S8), followed by orthotopic implantation of GFP-KrasG12D-PDEC. As shown in Fig. 3G and H, Il12a−/− B cells failed to rescue the growth of GFP-KrasG12D-PDEC in vivo, suggesting that the B-cell–dependent neoplastic expansion requires IL35 production. IL35 has been previously reported to stimulate the proliferation of pancreatic cancer cell lines (24). We therefore tested the impact of B-cell–mediated IL35 production on the proliferation of GFP-KrasG12D-PDEC. As shown in Fig. 3I and J, the absence of B cells was accompanied by a reduction in epithelial cell proliferation, which was rescued by WT but not Il12a−/− B cells. No changes in apoptosis were observed under these conditions as judged by cleaved caspase staining (data not shown). Based on these observations, we propose that expression of IL35 by CD1dhiCD5+ is required for the proliferative expansion of KRASG12D-harboring neoplastic lesions in vivo.
Expression of IL35 by B cells is functionally important for sustaining growth of KrasG12D-PDEC in vivo. A, levels of Il12a mRNA in immune cells from spleen or pancreata of p48Cre (control) or KC mice were assessed by quantitative RT-PCR (n = 9 Trp48Cre, n = 9 KC). B, levels of Il12a mRNA in CD19+CD1dhiCD5+ and CD19+CD1dloCD5− subpopulations of B cells sorted from pancreata of KC mice were assessed by quantitative RT-PCR (n = 9 KC). C, levels of Ebi3 mRNA in B cells and non-B cells from pancreata of KC mice were assessed by quantitative RT-PCR (n = 9 KC). D, levels of Ebi3 mRNA in CD19+CD1dhiCD5+ and CD19+CD1dloCD5− subpopulations of B cells sorted from pancreata of KC mice were assessed by quantitative RT-PCR (n = 9 KC). E, immunofluorescence staining for p35 and CD20 in samples of human pancreatic cancer containing PanIN lesions. Scale bars, 10 μm (top) and 20 μm (bottom). Two independent fields of view (FOV) are shown. F, immunofluorescence staining for p35 and B220 in samples of KC pancreata. Scale bars, 20 μm. Two independent fields of view are shown. G, sections from orthotopic pancreatic grafts 2 weeks after GFP-KrasG12D-PDEC implantation into WT or μMT mice were stained with hematoxylin and eosin (H&E) or anti-GFP antibody. Where indicated, μMT mice were reconstituted with WT B cells or with Il12a−/− B cells 2 days prior to orthotopic implantation. Representative images are shown. Scale bars, 100 μm. H, graph depicts quantification of the data from G indicating the average fraction of GFP+ area per field of view of the implant (10 fields of view per animal; n = 9 WT, n = 9 μMT, n = 9 μMT+WT B cell, n = 9 μMT+Il12a−/− B cell animals). I, IHC staining for phospho-Histone H3 (pHH3) of GFP-KrasG12D-PDEC implanted into mice as described in G above. Representative images are shown. Scale bars, 50 μm. J, graph depicts quantification of the data in I and indicates the fraction of phospho-Histone H3+ signal in epithelial cells (10 fields of view per animal; n = 6 WT, n = 6 μMT, n = 6 μMT+WT B cell, n = 6 μMT+Il12a−/− B-cell animals). Error bars indicate SEM in A, SD in B–D, H, and J; P values were determined by the Student t test (unpaired, two-tailed); *, P < 0.05; **, P < 0.01; ***, P < 0.001.
Expression of IL35 by B cells is functionally important for sustaining growth of KrasG12D-PDEC in vivo. A, levels of Il12a mRNA in immune cells from spleen or pancreata of p48Cre (control) or KC mice were assessed by quantitative RT-PCR (n = 9 Trp48Cre, n = 9 KC). B, levels of Il12a mRNA in CD19+CD1dhiCD5+ and CD19+CD1dloCD5− subpopulations of B cells sorted from pancreata of KC mice were assessed by quantitative RT-PCR (n = 9 KC). C, levels of Ebi3 mRNA in B cells and non-B cells from pancreata of KC mice were assessed by quantitative RT-PCR (n = 9 KC). D, levels of Ebi3 mRNA in CD19+CD1dhiCD5+ and CD19+CD1dloCD5− subpopulations of B cells sorted from pancreata of KC mice were assessed by quantitative RT-PCR (n = 9 KC). E, immunofluorescence staining for p35 and CD20 in samples of human pancreatic cancer containing PanIN lesions. Scale bars, 10 μm (top) and 20 μm (bottom). Two independent fields of view (FOV) are shown. F, immunofluorescence staining for p35 and B220 in samples of KC pancreata. Scale bars, 20 μm. Two independent fields of view are shown. G, sections from orthotopic pancreatic grafts 2 weeks after GFP-KrasG12D-PDEC implantation into WT or μMT mice were stained with hematoxylin and eosin (H&E) or anti-GFP antibody. Where indicated, μMT mice were reconstituted with WT B cells or with Il12a−/− B cells 2 days prior to orthotopic implantation. Representative images are shown. Scale bars, 100 μm. H, graph depicts quantification of the data from G indicating the average fraction of GFP+ area per field of view of the implant (10 fields of view per animal; n = 9 WT, n = 9 μMT, n = 9 μMT+WT B cell, n = 9 μMT+Il12a−/− B cell animals). I, IHC staining for phospho-Histone H3 (pHH3) of GFP-KrasG12D-PDEC implanted into mice as described in G above. Representative images are shown. Scale bars, 50 μm. J, graph depicts quantification of the data in I and indicates the fraction of phospho-Histone H3+ signal in epithelial cells (10 fields of view per animal; n = 6 WT, n = 6 μMT, n = 6 μMT+WT B cell, n = 6 μMT+Il12a−/− B-cell animals). Error bars indicate SEM in A, SD in B–D, H, and J; P values were determined by the Student t test (unpaired, two-tailed); *, P < 0.05; **, P < 0.01; ***, P < 0.001.
Discussion
Understanding the cellular and molecular underpinnings of PDAC-associated immune modulation is a prerequisite for the development of immunotherapy-based targeting approaches for this deadly malignancy. Our current work identifies a B-cell subset as an important driver of pancreatic tumorigenesis. Specifically, we demonstrate that, in the context of pancreatic neoplasia, B cells of the CD19+CD1dhiCD5+ cell surface phenotype play a protumorigenic role through the production of IL35. In a model of experimental autoimmune encephalomyelitis, activation of TLR4 and CD40 has been shown to induce the upregulation of mRNAs encoding subunits of IL35 (IL12a and EBI3) by B cells (25). By analogy, it is plausible that activation of TLR4 and CD40 could modulate IL35 production in B cells in pancreatic cancer, as both TLR4 and CD40 are upregulated on stromal cells in the pancreatic cancer milieu, and inhibition of TLR4 protects against pancreatic cancer (8). Although we have shown that IL35 can stimulate the proliferation of tumor cells, one of the IL35 receptors, gp130 (22), is expressed on the surface of multiple immune cell types (26). Thus, the effects of IL35 are likely to be exerted through a network of interactions involving tumor and stromal cells.
To date, the evidence for B-cell function in PDAC has been scarce and seemingly contradictory. Whereas infiltration of the CD20+ tumor-associated pan–B-cell population has been shown to correlate with better survival prognosis (27), elevated levels of B-cell–activating factor have been reported to correlate with metastatic propensity (28). These findings are in line with the increasing appreciation of the multifaceted role that B cells play in tumorigenesis. As part of the adaptive immune system, B cells harbor the potential to mediate antitumor responses by facilitating antigen presentation, effective priming of T cells, and antitumor antibody production (29, 30). On the other hand, B cells have been shown to contribute to tumorigenesis by promoting alternative macrophage activation (via deposition of immune complexes) and dampening T-cell–mediated antitumor response (B regulatory function; refs. 14, 31). The findings described in this study, along with those reported by Gunderson and colleagues (12) and Lee and colleagues (13), illustrate that, depending on biologic context, the protumorigenic effects of B cells could be mediated by distinct B-cell populations. Thus, we have shown that IL35-producing B cells are required to support growth of early pancreatic neoplasia. Gunderson and colleagues (12) have demonstrated that, in the setting of advanced disease, the protumorigenic role of B cells can be mediated by the engagement of FcRγ on tumor-associated macrophages, resulting in their TH2 reprogramming. Lastly, Lee and colleagues (13) have reported an increase in B1b cells in mouse neoplastic lesions that is further amplified upon loss of HIF1α, indicating that expansion of this B-cell subset might be uniquely controlled by oxygen-sensing mechanisms. Functional dissection of how these various B-cell–dependent effector mechanisms are orchestrated would enable the full delineation of the role of B cells in the development and maintenance of pancreatic tumors.
Methods
Animal Models
The LSL-KrasG12D, Pdx1Cre, and p48Cre strains have been described previously (3, 11). C57BL/6 mice used for orthotopic injections and isolation of B cells for adoptive transfers were obtained from Charles River Laboratories. Randomization methods or inclusion/exclusion criteria were not used to allocate animals to experimental groups. Researchers were not blinded to the experimental groups while conducting surgeries, as well as during data collection for orthotopic transplantation into WT and μMT mice (due to very apparent spleen size differences upon organ harvest and B-cell differences in flow cytometry experiments). Data collection for orthotopic transplantation into μMT mice supplemented with B cells of various genotypes was conducted blindly. Orthotopic implantation of PDEC was performed as described previously (3). Both female and male mice were used in the studies. In the setting of orthotopic injection, GFP-KrasG12D-PDEC were injected at 1 × 106 cells/mouse pancreas, and KPC cells were injected at 7.5 × 104 cells/mouse pancreas. B-cell–deficient μMT mice, Il10−/− and Il12a−/− animals were obtained from The Jackson Laboratory (strains #002288, 002251, and 002692, respectively). All animal care and procedures were approved by the Institutional Animal Care and Use Committee at the New York University (NYU) School of Medicine.
Isolation, Culture, and Infection of PDEC
Isolation, culture, and adenoviral infection of PDEC were carried out as previously described (32). The KPC cell line (line 4662) was a kind gift from Dr. R.H. Vonderheide. Primary cell lines were not authenticated and were tested for Mycoplasma contamination every 4 months. To generate GFP-labeled PDEC lines, the cells were infected with pLVTHM-GFP virus as described in ref. 3. Briefly, lentivirus was generated by transfecting HEK-293T cells with the vector, the packaging construct (psPAX2), and the envelope plasmid (pMD2G). Supernatants containing viral particles were collected over a period of 48 hours. Following final collection, supernatants were filtered through a 0.45-μm syringe filter and concentrated using 100 MWCO Amicon Ultra centrifugal filters (Millipore).
Adoptive Transfer of B Cells
Spleens of WT C57BL/6 mice (2–3 months of age; Charles River Laboratories) were mechanically dissociated; a single-cell suspension was made in 1% FBS/PBS, passed through a 70-μm strainer (BD Falcon), and treated with RBC lysis buffer (eBioscience). B cells were purified using CD45R-linked MACS beads (Miltenyi) using LS columns according to the manufacturer's instructions. Enrichment of B cells was confirmed by flow cytometry using FITC-CD19 (6D5, #115505; Biolegend). Viability and numbers of purified B cells were assessed using Nexcelom Cellometer Auto 2000 viability counter. Purified cells were then washed in cold PBS and injected retro-orbitally into recipient mice (7 × 106 cells/mouse in 100 μL volume (WT, Il10−/− and Il12a−/− B cells) or 1.5 × 106 cells/mouse in 100 μL volume (CD19+CD1dhiCD5+ and CD19+CD1dloCD5−).
Quantitative RT-PCR
For RNA isolation, cells were enriched into B-cell and non–B-cell populations, as well as immune and nonimmune cells using CD45R-linked or CD45-linked MACS beads (Miltenyi). Flow through fractions yielded non-B cells and nonimmune cells, respectively. Cells were then further processed by FACS: CD19+CD1dhiCD5+ and CD19+CD1dloCD5− B cells; CD45−CD140a+ fibroblasts and CD45−CD140a− nonfibroblasts as well as CD45+CD11c+ dendritic cells were FACS sorted using a 100-μm nozzle from 3-to-6-month-old KC mice pancreata (or spleens for dendritic cells) into the lysing reagent TRIzol (Invitrogen), and total RNA was extracted as per the manufacturer's instructions (RNeasy Mini Kit; QIAGEN). Total RNA (1 μg) was reverse-transcribed using the Quantitect Reverse Transcription Kit (Qiagen). Subsequently, specific transcripts were amplified by SYBR Green PCR Master Mix (USB) using a Stratagene Mx 3005P thermocycler. Where fold expression is specified, comparative CT method was used to quantify gene expression. Where relative expression is specified, standard curve method was used to quantify gene expression. Expression was normalized to GAPDH.
Primers used for QPCR are as follows: GAPDH forward: CACGGCAAATTCAACGGCACAGTC, reverse: ACCCGTTTGGCTCCACCCTTCA; CXCL13 forward: GTAACCATTTGGCACGAGGATT, reverse: AATGAGGCTCAGCACAGCAA; IL12a forward: CATCGATGAGCTGATGCAGT, reverse: CAGATAGCCCATCACCCTGT; Ebi3 forward: TGCTCTTCCTGTCACTTGCC, reverse: CGGGATACCGAGAAGCATGG; IL10 forward: CAGTACAGCCGGGAAGACAA, reverse: CCTGGGGCATCACTTCTACC; IL12b forward: CAGCAAGTGGGCATGTGTTC, reverse: TTGGGGGACTCTTCCATCCT; IL27 forward: TGTCCACAGCTTTGCTGAAT, reverse: CCGAAGTGTGGTAGCGAGG.
Human Pancreas Specimens
For the purposes of analyzing B-cell infiltration pattern and CXCL13 expression pattern, we examined 10 samples containing PanIN lesions and 10 samples containing PDAC lesions (20 samples total). Samples consisted of 5-μm sections that were cut from formalin-fixed, paraffin embedded (FFPE) blocks provided by the Tissue Acquisition and Biorepository Service of the NYU School of Medicine. This study was conducted in accordance with the Declaration of Helsinki; all samples were anonymized prior to being transferred to the investigator's laboratory and therefore met exempt human subject research criteria.
Histology and Immunohistochemistry
Mouse pancreata were fixed and processed for histology and immunohistochemistry (IHC) as described previously (3). The IHC protocol was modified to detect mouse and human CXCL13, where blocking was done in 1× bovine-free blocking solution (Vector) supplemented with 0.5% Tween-20 and 10% serum for 1 hour at room temperature, followed by incubation with the primary antibody diluted in 1× bovine-free blocking solution overnight at 4°C. Secondary biotinylated rabbit–anti-goat antibody (Vector) was diluted in 1× bovine-free blocking solution as well. The following primary antibodies were used: rabbit anti-GFP (#2956S; Cell Signaling Technology), rat anti-B220 (#BDB557390; Fisher), rabbit–anti-vimentin (#5741P; Cell Signaling Technology), mouse–anti-CD20 (#555677; BD Pharmingen), rabbit–anti-phospho Histone H3 (#06-570; Millipore), and goat–anti-mouse CXCL13 and goat–anti-human CXCL13 (#AF470 and # AF801, both from R&D systems). At least 9 mice per experimental condition were analyzed for GFP staining, and 6 mice per condition were analyzed for pHH3 staining. Slides were examined on a Nikon Eclipse 80i microscope.
Immunofluorescence
For paraffin sections, FFPE sections were deparaffinized and rehydrated, permeabilized with TBS/0.1% Tween-20 and washed in PBS. Citrate buffer antigen retrieval (10 mmol/L sodium citrate/0.05% Tween-20, pH 6.0) was performed in a microwave for 15 minutes. Blocking was performed in 10% serum/1% BSA/0.5% Tween-20/PBS for 1 hour at room temperature. Primary antibodies were diluted in 2% BSA/0.5% Tween-20/PBS and incubated on sections overnight at 4°C. Secondary antibodies (Alexa Fluor–labeled; Invitrogen) were diluted in 2% BSA/PBS for 1 hour at room temperature. Sections were washed with PBS and stained with DAPI. The following primary antibodies were used: goat–anti-mouse CXCL13 (#AF470; R&D Systems), rabbit-anti-vimentin (#5741P; Cell Signaling Technology), mouse–anti-CD20 (#555677; BD Pharmingen), anti-IL12a (#LS-B9481; LS Bio), anti-B220 (#BDB557390; Fisher), anti-IL10 (#bs-0698R; Bioss), and anti-CD19 (#550284; BD Pharmingen). For frozen sections, staining was performed as described in ref. 3 using the following primary antibodies: anti-IL12a (#LS-B9481; LS Bio) and anti-B220 (#BDB557390; BD Pharmingen). Slides were examined using AxioVision v4.7 (Zeiss) software on a Zeiss Axiovert 200M microscope.
Flow Cytometry
Cellular suspensions from the tissues were prepared as described previously in ref. 2. The following antibodies were used: anti-CD19 (1D3, #45-0193-80; eBioscience), anti-B220 (RA3-6B2, #RM2630; Life Technologies), anti-CD45 (104, #109825; Biolegend), anti-CD1d (1B1, #123507; Biolegend), anti-CD140 (APA5, #135905; Biolegend), anti-CD21 (7E9, #123419; Biolegend), anti-CD5 (53-7.3, #100607; Biolegend), anti-AA4.1 (#17-5892; eBioscience), anti-CD138 (281-2, #142505; Biolegend), anti-CD206 (C068C2; Biolegend), anti-CD86 (GL-1; Biolegend), anti–F4-80 (BM8; Biolegend), and anti-CD11b (M1-70; Biolegend). Dead cells were excluded by staining with propidium iodide (Sigma-Aldrich) or Aqua Live/Dead stain. Flow cytometry was performed on FACScalibur and LSRII II (BD Biosciences) instruments at the NYU School of Medicine Flow Cytometry Core Facility, and data were analyzed using FlowJo software.
Blockade of CXCL13
For CXCL13 neutralization experiments, anti-CXCL13 or a control IgG antibody (both from R&D Systems) was injected at a concentration of 200 μg/mouse (10). For experiments using KC animals, injections were performed twice per week for 1 week. For experiments using orthotopically implanted animals, mice were injected with the antibodies 2 days prior to implantation and then every 4 days after implantation for a total duration of 2 weeks.
Statistical Analyses
Data are presented as mean ± SD or SEM, as indicated. The experiments were repeated a minimum of three times to demonstrate reproducibility. In estimating orthotopic tumor size based on our previous data, the SD for our dependent variable is 2 units in WT mice. We would be interested in any differences between strains greater than 4 units. Assuming equal variability and sample size in the two strains, a two-tailed alpha of 0.05, and power of 0.80, we determined that we would need about 5 to 6 animals per group to detect an effect as small as 0.5 SD units. Variance was similar between the groups that were being statistically compared. Data were analyzed by the Microsoft Excel built-in t test (unpaired, two-tailed), and results were considered significant at P value < 0.05.
Disclosure of Potential Conflicts of Interest
No potential conflicts of interest were disclosed.
Authors' Contributions
Conception and design: Y. Pylayeva-Gupta, S. Das, D. Bar-Sagi
Development of methodology: Y. Pylayeva-Gupta
Acquisition of data (provided animals, acquired and managed patients, provided facilities, etc.): Y. Pylayeva-Gupta, S. Das, J.S. Handler, C.H. Hajdu, M. Coffre
Analysis and interpretation of data (e.g., statistical analysis, biostatistics, computational analysis): Y. Pylayeva-Gupta, S. Das, M. Coffre, S.B. Koralov
Writing, review, and/or revision of the manuscript: Y. Pylayeva-Gupta, S. Das, C.H. Hajdu, M. Coffre, S.B. Koralov, D. Bar-Sagi
Administrative, technical, or material support (i.e., reporting or organizing data, constructing databases): Y. Pylayeva-Gupta
Study supervision: Y. Pylayeva-Gupta, D. Bar-Sagi
Acknowledgments
The authors thank L.J. Taylor for discussions and help with manuscript preparation, and the members of the Bar-Sagi lab for comments. Special thanks to Drs. George Miller, David Tuveson, Ken Olive, and Howard Crawford for their generous help with mouse strains lost during Hurricane Sandy.
Grant Support
The NYULMC Office of Collaborative Science Cytometry Core and Histology Core are shared resources partially supported by the Cancer Center Support Grant P30CA016087 at the Laura and Isaac Perlmutter Cancer Center. Research is supported by Stand Up To Cancer-The Lustgarten Foundation Pancreatic Cancer Convergence Dream Team Grant Number SU2C-AACR-DT14-14 (to D. Bar-Sagi). Stand Up To Cancer is a program of the Entertainment Industry Foundation administered by the American Association for Cancer Research. Research is also supported by a 2013 Pancreatic Cancer Action Network-AACR Pathway to Leadership Grant, 13-70-25-PYLA (to Y. Pylayeva-Gupta).


